Giant Pulmonary Artery Thrombotic Material, Due to Chronic Thromboembolic Pulmonary Hypertension, Mimics Pulmonary Artery Sarcoma
Abstract
:1. Introduction
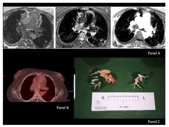
2. Case Report
3. Discussion
Author Contributions
Funding
Institutional Review Board Statement
Informed Consent Statement
Data Availability Statement
Conflicts of Interest
References
- Chong, S.; Kim, T.S.; Kim, B.T.; Cho, E.Y.; Kim, J. Pulmonary Artery Sarcoma Mimicking Pulmonary Thromboembolism: Integrated FDG PET/CT. AJR Am. J. Roentgenol. 2007, 188, 1691–1693. [Google Scholar] [CrossRef] [PubMed]
- Wong, H.H.; Gounaris, I.; McCormack, A.; Berman, M.; Davidson, D.; Horan, G.; Pepke-Zaba, J.; Jenkins, D.; Earl, H.M.; Hatcher, H.M. Presentation and management of pulmonary artery sarcoma. Clin. Sarcoma Res. 2015, 5, 3. [Google Scholar] [CrossRef] [PubMed] [Green Version]
- Narechania, S.; Renapurkar, R.; Heresi, G.A. Mimickers of chronic thromboembolic pulmonary hypertension on imaging tests: A review. Pulm. Circ. 2020, 10, 2045894019882620. [Google Scholar] [CrossRef] [PubMed] [Green Version]
- Kim, C.; Kim, M.Y.; Kang, J.W.; Song, J.S.; Lee, K.Y.; Kim, S.S. Pulmonary Artery Intimal Sarcoma versus Pulmonary Artery Thromboembolism: CT and Clinical Findings. Korean J. Radiol. 2018, 19, 792–802. [Google Scholar] [CrossRef] [PubMed]
- Mahmud, E.; Madani, M.M.; Kim, N.H.; Poch, D.; Ang, L.; Behnamfar, O.; Patel, M.P.; Auger, W.R. Chronic Thromboembolic Pulmonary Hypertension: Evolving Therapeutic Approaches for Operable and Inoperable Disease. J. Am. Coll. Cardiol. 2018, 71, 2468–2486. [Google Scholar] [CrossRef] [PubMed]
- Kim, N.H.; Delcroix, M.; Jais, X.; Madani, M.M.; Matsubara, H.; Mayer, E.; Ogo, T.; Tapson, V.F.; Ghofrani, H.-A.; Jenkins, D.P. Chronic thromboembolic pulmonary hypertension. Eur. Respir. J. 2019, 53, 1801915. [Google Scholar] [CrossRef] [PubMed]

Publisher’s Note: MDPI stays neutral with regard to jurisdictional claims in published maps and institutional affiliations. |
© 2021 by the authors. Licensee MDPI, Basel, Switzerland. This article is an open access article distributed under the terms and conditions of the Creative Commons Attribution (CC BY) license (https://creativecommons.org/licenses/by/4.0/).
Share and Cite
Triantafyllidi, H.; Iordanidis, D.; Mpahara, A.; Mademli, M.; Birmpa, D.; Argentos, S.; Benas, D.; Trivilou, P.; Anagnostopoulos, K.; Mayer, E. Giant Pulmonary Artery Thrombotic Material, Due to Chronic Thromboembolic Pulmonary Hypertension, Mimics Pulmonary Artery Sarcoma. Medicina 2021, 57, 992. https://doi.org/10.3390/medicina57090992
Triantafyllidi H, Iordanidis D, Mpahara A, Mademli M, Birmpa D, Argentos S, Benas D, Trivilou P, Anagnostopoulos K, Mayer E. Giant Pulmonary Artery Thrombotic Material, Due to Chronic Thromboembolic Pulmonary Hypertension, Mimics Pulmonary Artery Sarcoma. Medicina. 2021; 57(9):992. https://doi.org/10.3390/medicina57090992
Chicago/Turabian StyleTriantafyllidi, Helen, Dimitrios Iordanidis, Aikaterini Mpahara, Maria Mademli, Dionyssia Birmpa, Stylianos Argentos, Dimitrios Benas, Paraskevi Trivilou, Konstantinos Anagnostopoulos, and Eckhard Mayer. 2021. "Giant Pulmonary Artery Thrombotic Material, Due to Chronic Thromboembolic Pulmonary Hypertension, Mimics Pulmonary Artery Sarcoma" Medicina 57, no. 9: 992. https://doi.org/10.3390/medicina57090992
APA StyleTriantafyllidi, H., Iordanidis, D., Mpahara, A., Mademli, M., Birmpa, D., Argentos, S., Benas, D., Trivilou, P., Anagnostopoulos, K., & Mayer, E. (2021). Giant Pulmonary Artery Thrombotic Material, Due to Chronic Thromboembolic Pulmonary Hypertension, Mimics Pulmonary Artery Sarcoma. Medicina, 57(9), 992. https://doi.org/10.3390/medicina57090992

