Intracardiac Migration of the Ureteral Double-J Stent during Percutaneous Nephrolithotomy
Abstract
1. Introduction
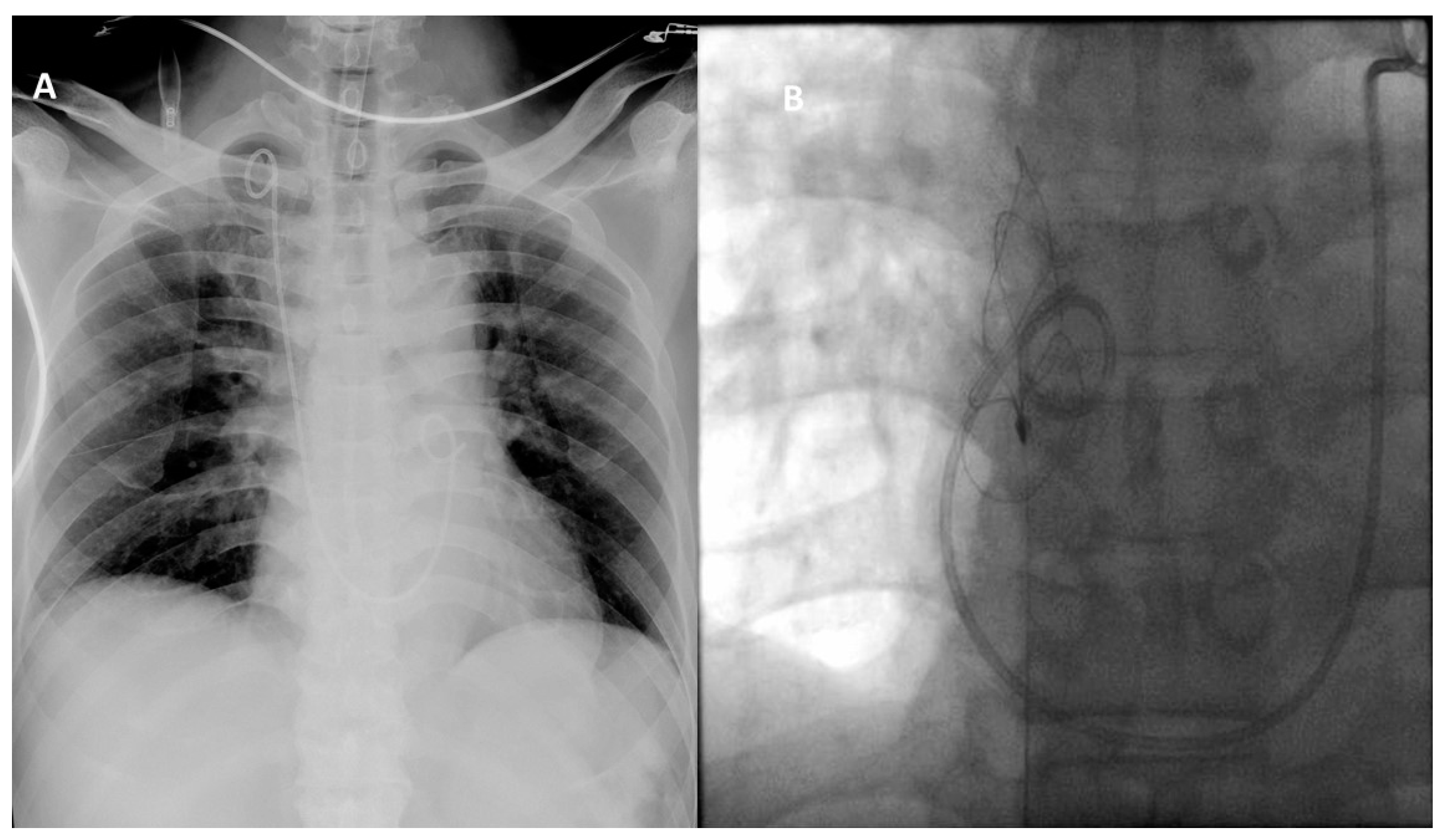
2. Case Presentation
3. Discussion
4. Conclusions
Author Contributions
Funding
Institutional Review Board Statement
Informed Consent Statement
Data Availability Statement
Conflicts of Interest
References
- Chuang, T.-Y.; Kao, M.-H.; Chen, P.-C.; Wang, C.-C. Risk factors of morbidity and mortality after flexible ureteroscopic lithotripsy. Urol. Sci. 2020, 31, 253–257. [Google Scholar]
- Tzelves, L.; Türk, C.; Skolarikos, A. European Association of Urology Urolithiasis Guidelines: Where Are We Going? Eur. Urol. Focus 2021, 7, 34–38. [Google Scholar] [CrossRef] [PubMed]
- Kapoor, R.; Solanki, F.; Singhania, P.; Andankar, M.; Pathak, H.R. Safety and efficacy of percutaneous nephrolithotomy in the pediatric population. J. Endourol. 2008, 22, 637–640. [Google Scholar] [CrossRef] [PubMed]
- Hsiao, S.-C.; Jou, Y.-C.; Cheng, M.-C.; Shen, C.-H.; Lin, C.-T.; Chen, P.-C.; Lai, W.-H.; Chen, P.-Y. Safety and efficacy of percutaneous nephrolithotomy in patients with large stones: A retrospective study. Urol. Sci. 2019, 30, 272–275. [Google Scholar]
- Michel, M.S.; Trojan, L.; Rassweiler, J.J. Complications in percutaneous nephrolithotomy. Eur. Urol. 2007, 51, 899–906. [Google Scholar] [CrossRef] [PubMed]
- Falahatkar, S.; Hemmati, H.; Gholamjani Moghaddam, K. Intracaval migration: An uncommon complication of ureteral Double-J stent placement. J. Endourol. 2012, 26, 119–121. [Google Scholar] [CrossRef] [PubMed]
- Farshi, A.R.; Roshandel, M.R. Intracardiac migration of ureteral double-J stent: A case report and review. Can. Urol. Assoc. J. 2015, 9, E661–E664. [Google Scholar] [CrossRef] [PubMed]
- Hajji, M.; Bennani, M.S.; Bekkali, S.; Jroundi, L. Intracaval Migration of Ureteral Stent. J. Belg. Soc. Radiol. 2015, 99, 28–30. [Google Scholar] [CrossRef] [PubMed][Green Version]
- Jiang, C.; Fu, S.; Chen, J.; Chen, Y.; Chen, D.; Mishra, P.; Ni, X.; Ke, C. Migration of a double J stent into the inferior vena cava: A case report. Medicine 2019, 98, e15668. [Google Scholar] [CrossRef] [PubMed]
- Maheshwari, P.N.; Oswal, A.T.; Wagaskar, V.G. A double J stent misplaced in the inferior vena cava during Boari flap repair. Indian J. Urol. 2016, 32, 71–73. [Google Scholar] [CrossRef] [PubMed]
- Michalopoulos, A.S.; Tzoufi, M.J.; Theodorakis, G.; Mentzelopoulos, S.D. Acute postoperative pulmonary thromboembolism as a result of intravascular migration of a pigtail ureteral stent. Anesth. Analg. 2002, 95, 1185–1188. [Google Scholar] [CrossRef] [PubMed]
- Sabnis, R.B.; Ganpule, A.P.; Ganpule, S.A. Migration of double J stent into the inferior vena cava and the right atrium. Indian J. Urol. 2013, 29, 353–354. [Google Scholar] [CrossRef] [PubMed]
- Arts, L.; Willems, S.; Michielsen, D. A ureteral single-J stent in the right atrium: A case report. J. Med. Case Rep. 2020, 14, 159. [Google Scholar] [CrossRef] [PubMed]
- Mahmood, S.N.; Toffeq, H.M. Renal Vein Injury During Percutaneous Nephrolithotomy Procedure. J. Endourol. Case Rep. 2016, 2, 148–151. [Google Scholar] [CrossRef] [PubMed]
- Yang, Y.; Wen, Y.; Chen, K.; Chen, C. Ultrasound-guided versus fluoroscopy-guided percutaneous nephrolithotomy: A systematic review and meta-analysis. World J. Urol. 2019, 37, 777–788. [Google Scholar] [CrossRef] [PubMed]


| Authors | Sex/Side/Age | Location | Surgery | Catheter Withdraw |
|---|---|---|---|---|
| Falahatkar et al. [6] | F/L/52 | IVC | Ureteroscopy and ureteral double-J placement | Endovascular |
| Farshi et al. [7] | F/R/28 | IVC | Cystoscopy and ureteral double-J placement | Ureteroscopy |
| Hajji et al. [8] | F/R/33 | IVC | Cystoscopy and ureteral double-J placement | Endovascular |
| Jiang et al. [9] | M/L/53 | IVC | Pyelolithotomy | Nephroscope |
| Maheshwari et al. [10] | F/R/30 | IVC | Boari flap | Cystoscopic stent removal |
| Michalopoulos et al. [11] | F/R/29 | Left lung | Nephrolithotomy | Endovascular |
| Sabnis et al. [12] | F/R/43 | Right atrium | Ureteroscopy and ureteral double-J placement | Open surgery |
| Arts et al. [13] | F/L/57 | Right atrium | Ureterocutaneostomy and ureteral single-J placement | Endovascular |
| Chang et al. (present study) | M/R/60 | Right heart | PNL (first-described) | Endovascular |
Publisher’s Note: MDPI stays neutral with regard to jurisdictional claims in published maps and institutional affiliations. |
© 2021 by the authors. Licensee MDPI, Basel, Switzerland. This article is an open access article distributed under the terms and conditions of the Creative Commons Attribution (CC BY) license (https://creativecommons.org/licenses/by/4.0/).
Share and Cite
Chang, C.-K.; Wu, Y.-H.; Shih, M.-C.P.; Geng, J.-H. Intracardiac Migration of the Ureteral Double-J Stent during Percutaneous Nephrolithotomy. Medicina 2021, 57, 939. https://doi.org/10.3390/medicina57090939
Chang C-K, Wu Y-H, Shih M-CP, Geng J-H. Intracardiac Migration of the Ureteral Double-J Stent during Percutaneous Nephrolithotomy. Medicina. 2021; 57(9):939. https://doi.org/10.3390/medicina57090939
Chicago/Turabian StyleChang, Chun-Kai, Yi-Hsuan Wu, Ming-Chen Paul Shih, and Jiun-Hung Geng. 2021. "Intracardiac Migration of the Ureteral Double-J Stent during Percutaneous Nephrolithotomy" Medicina 57, no. 9: 939. https://doi.org/10.3390/medicina57090939
APA StyleChang, C.-K., Wu, Y.-H., Shih, M.-C. P., & Geng, J.-H. (2021). Intracardiac Migration of the Ureteral Double-J Stent during Percutaneous Nephrolithotomy. Medicina, 57(9), 939. https://doi.org/10.3390/medicina57090939

