Successful Treatment of Catastrophic Antiphospholipid Syndrome Using Rituximab: Case Report and Review of the Literature
Abstract
:1. Introduction
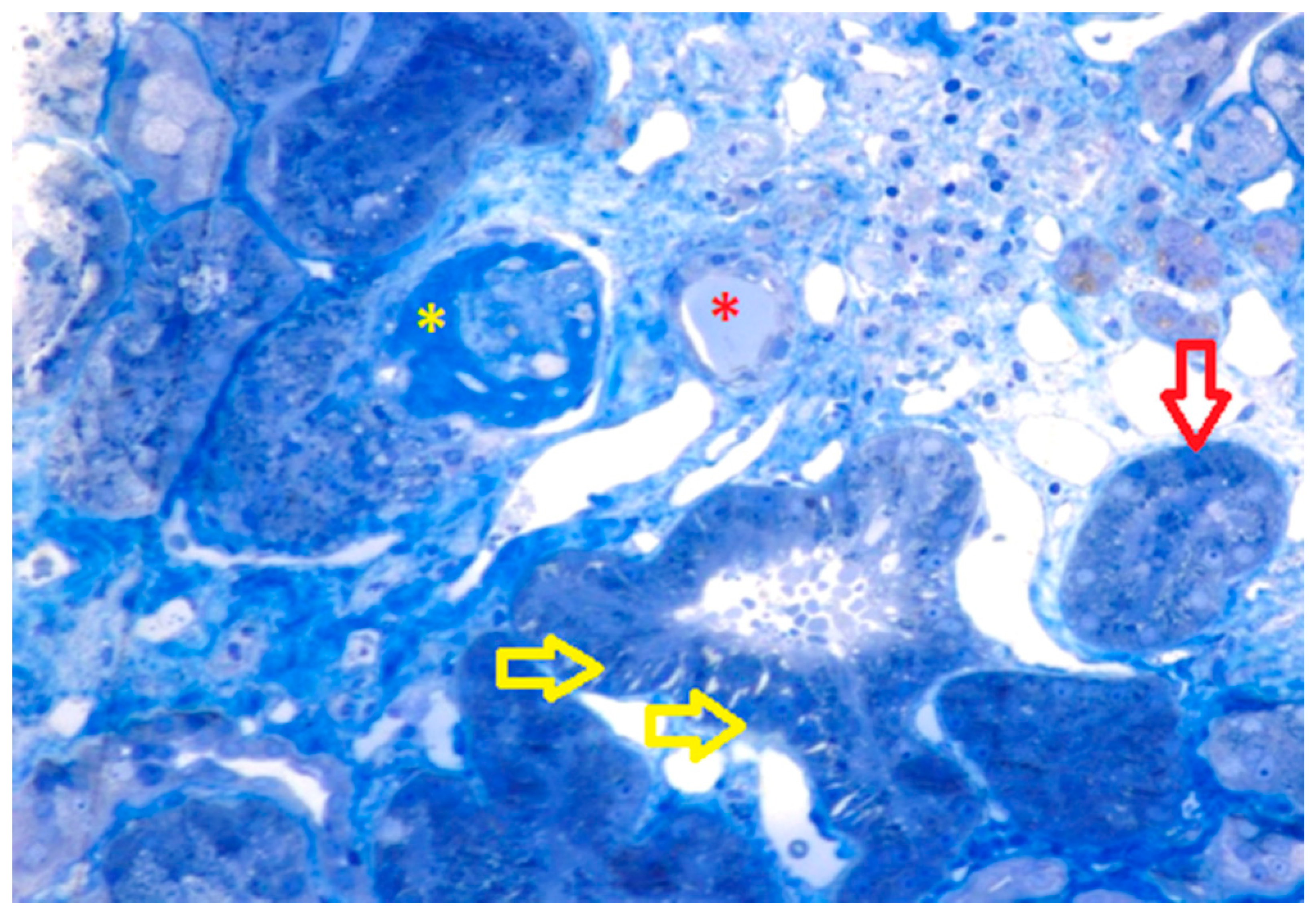
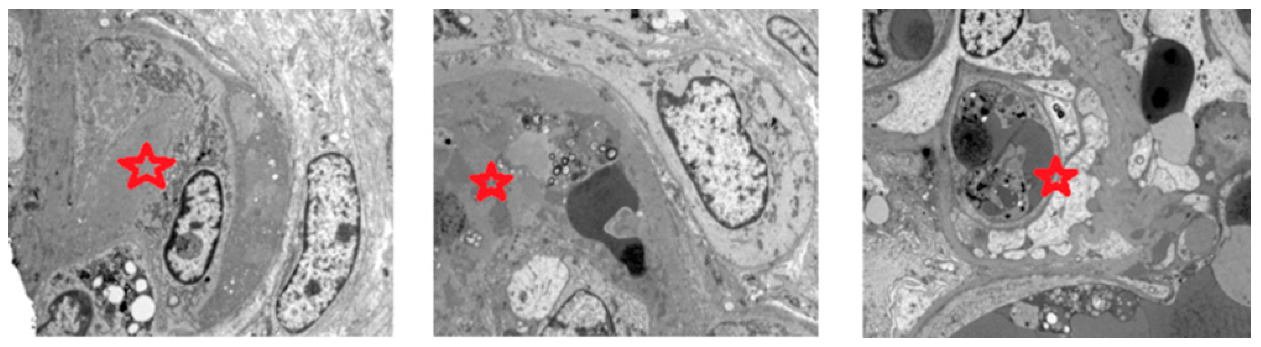
2. Case Presentation
3. Discussion
3.1. Catastrophic Antiphospholipid Syndrome
3.2. APS-Associated Nephropathy
3.3. CAPS Treatment
3.4. Acquired Hemophilia A
4. Conclusions
Author Contributions
Funding
Institutional Review Board Statement
Informed Consent Statement
Data Availability Statement
Conflicts of Interest
References
- Durcan, L.; Petri, M. Epidemiology of the Antiphospholipid Syndrome. In Handbook of Systemic Autoimmune Diseases; Cervera, R., Espinosa, G., Khamashta, M., Eds.; Elsevier Ltd.: Amsterdam, The Netherlands, 2016; Volume 12, pp. 17–30. [Google Scholar]
- Kazzaz, N.M.; McCune, W.J.; Knight, J.S. Treatment of catastrophic antiphospholipid syndrome. Curr. Opin. Rheumatol. 2016, 28, 218–227. [Google Scholar] [CrossRef] [PubMed]
- Rodríguez-Pintó, I.; Moitinho, M.; Santacreu, I.; Shoenfeld, Y.; Erkan, D.; Espinosa, G.; Cerveraa, R.; The CAPS Registry Project Group; CAPS Registry Project Group (European Forum on Antiphospholipid Antibodies). Catastrophic antiphospholipid syndrome (CAPS): Descriptive analysis of 500 patients from the International CAPS Registry. Autoimmun. Rev. 2016, 15, 1120–1124. [Google Scholar] [CrossRef] [PubMed]
- Matzaraki, V.; Kumar, V.; Wijmenga, C.; Zhernakova, A. The MHC locus and genetic susceptibility to autoimmune and infectious diseases. Genome Biol. 2017, 18, 76. [Google Scholar] [CrossRef]
- Benz, K.; Amann, K. Thrombotic microangiopathy: New insights. Curr. Opin. Nephrol. Hypertens. 2010, 19, 242–247. [Google Scholar] [CrossRef] [PubMed]
- Nayer, A.; Ortega, L.M. Catastrophic antiphospholipid syndrome: A clinical review. J. Nephropathol. 2014, 3, 9–17. [Google Scholar] [PubMed]
- Chaturvedi, S.; Braunstein, E.M.; Yuan, X.; Yu, J.; Alexander, A.; Chen, H.; Gavriilaki, E.; Alluri, R.; Streiff, M.B.; Petri, M.; et al. Complement activity and complement regulatory gene mutations are associated with thrombosis in APS and CAPS. Blood 2020, 135, 239–251. [Google Scholar] [CrossRef]
- Cervera, R.; Rodríguez-Pintó, I.; Espinosa, G. The diagnosis and clinical management of the catastrophic antiphospholipid syndrome: A comprehensive review. J. Autoimmun. 2018, 92, 1–11. [Google Scholar] [CrossRef]
- Islam, M.A.; Khandker, S.S.; Alam, F.; Kamal, M.A.; Gan, S.H. Genetic risk factors in thrombotic primary antiphospholipid syndrome: A systematic review with bioinformatic analyses. Autoimmun. Rev. 2018, 17, 226–243. [Google Scholar] [CrossRef]
- Iuliano, A.; Galeazzi, M.; Sebastiani, G.D. Antiphospholipid syndrome’s genetic and epigenetic aspects. Autoimmun. Rev. 2019, 18, 102352. [Google Scholar] [CrossRef]
- Sebastiani, G.D.; Morozzi, G.; Tincani, A.; Piette, J.C.; Font, J.; Allegri, F.; Mathieu, A.; Smolen, J.; de Ramon Garrido, E.; Fernandez-Nebro, A.; et al. HLA class II alleles associations of anticardiolipin and anti-beta2GPI antibodies in a large series of European patients with systemic lupus erythematosus. Lupus 2000, 9, 47–55. [Google Scholar]
- Rymarz, A.; Niemczyk, S. The complex treatment including rituximab in the Management of Catastrophic Antiphospholid Syndrome with renal involvement. BMC Nephrol. 2018, 19, 132. [Google Scholar] [CrossRef] [PubMed] [Green Version]
- Nochy, D.; Daugas, E.; Droz, D.; Beaufils, H.; Grünfeld, J.P.; Piette, J.C.; Bariety, J.; Hill, G. The intrarenal vascular lesions associated with primary antiphospholipid syndrome. J. Am. Soc. Nephrol. 1999, 10, 507–518. [Google Scholar] [CrossRef] [PubMed]
- Cheunsuchon, B.; Rungkaew, P.; Chawanasuntorapoj, R.; Pattaragarn, A.; Parichatikanond, P. Prevalence and clinicopathologic findings of antiphospholipid syndrome nephropathy in Thai systemic lupus erythematosus patients who underwent renal biopsies. Nephrology 2007, 12, 474–480. [Google Scholar] [CrossRef]
- Pierangeli, S.S.; Girardi, G.; Vega-Ostertag, M.; Liu, X.; Espinola, R.G.; Salmon, J. Requirement of activation of complement C3 and C5 for antiphospholipid antibody-mediated thrombophilia. Arthritis Rheum. 2005, 52, 2120–2124. [Google Scholar] [CrossRef] [PubMed]
- Nangaku, M.; Alpers, C.E.; Pippin, J.; Shankland, S.J.; Kurokawa, K.; Adler, S.; Morgan, B.P.; Johnson, R.J.; Couser, W.G. CD59 protects glomerular endothelial cells from immune-mediated thrombotic microangiopathy in rats. J. Am. Soc. Nephrol. 1998, 9, 590–597. [Google Scholar] [CrossRef]
- Erkan, D.; Yazici, Y.; Sobe, L.R.; Lockshin, M.D. Primary antiphospholipid syndrome: Functional outcome after 10 years. J. Rheumatol. 2000, 27, 2817–2821. [Google Scholar]
- Amigo, M.C.; Garcia-Torres, R.; Robles, M.; Bochicchio, T.; Reyes, P.A. Renal involvement in primary antiphospholipid syndrome. J. Rheumatol. 1992, 19, 1181–1185. [Google Scholar] [PubMed]
- Vaidya, S. Ten-yr renal allograft survival of patients with antiphospholipid antibody syndrome. Clin. Transplant. 2012, 26, 853–856. [Google Scholar] [CrossRef]
- Canaud, G.; Bienaimé, F.; Noël, L.H.; Royal, V.; Alyanakian, M.A.; Dautzenberg, M.D.; Rabant, M.; Posson, J.; Thervet, E.; Anglicheau, D.; et al. Severe vascular lesions and poor functional outcome in kidney transplant recipients with lupus anticoagulant antibodies. Am. J. Transplant. 2010, 10, 2051–2060. [Google Scholar] [CrossRef]
- Mondragón-Ramírez, G.; Bochicchio, T.; García-Torres, R.; Amigo, M.C.; Martínez-Lavin, M.; Reyes, P.; Herrera-Acosta, J. Recurrent renal thrombotic angiopathy after kidney transplantation in two patients with primary antiphospholipid syndrome (PAPS). Clin. Transplant. 1994, 8, 93–96. [Google Scholar] [PubMed]
- Tektonidou, M.G. Identification and treatment of APS renal involvement. Lupus 2014, 23, 1276–1278. [Google Scholar] [CrossRef] [PubMed]
- Cervera, R. CAPS Registry Project Group. Catastrophic antiphospholipid syndrome (CAPS): Update from the ‘CAPS Registry’. Lupus 2010, 19, 412–418. [Google Scholar] [CrossRef]
- Rodriguez-Pintó, I.; Espinosa, G.; Cervera, R. Catastrophic antiphospholipid syndrome: The current management approach. Best Pract. Res. Clin. Rheumatol. 2016, 30, 239–249. [Google Scholar] [CrossRef] [PubMed]
- Bucciarelli, S.; Espinosa, G.; Cervera, R.; Erkan, D.; Gómez-Puerta, J.A.; Ramos-Casals, M.; Font, J.; Asherson, R.A. European Forum on Antiphospholipid Antibodies. Mortality in the catastrophic antiphospholipid syndrome: Causes of death and prognostic factors in a series of 250 patients. Arthritis Rheum. 2006, 54, 2568–2576. [Google Scholar] [CrossRef] [PubMed]
- Fanouriakis, A.; Tziolos, N.; Bertsias, G. Update οn the diagnosis and management of systemic lupus erythematosus. Ann. Rheum. Dis. 2021, 80, 14–25. [Google Scholar] [CrossRef] [PubMed]
- Laslo, C.; Pantea Stoian, A.; Socea, B.; Paduraru, D.; Bodean, O.; Socea, L.; Neagu, T.P.; Alexandra Stanescu, A.M.; Marcu, D.; Diaconu, C.D. New oral anticoagulants and their reversal agents. J. Mind Med. Sci. 2018, 5, 195–201. [Google Scholar] [CrossRef]
- Legault, K.; Schunemann, H.; Hillis, C.; Yeung, C.; Akl, E.A.; Carrier, M.; Cervera, R.; Crowther, M.; Dentali, F.; Erkan, D.; et al. McMaster RARE-Best practices clinical practice guideline on diagnosis and management of the catastrophic antiphospholipid syndrome. J. Thromb. Haemost. 2018, 16, 1656–1664. [Google Scholar] [CrossRef]
- Unlu, O.; Erkan, D. Catastrophic Antiphospholipid Syndrome: Candidate Therapies for a Potentially Lethal Disease. Annu. Rev. Med. 2017, 68, 287–296. [Google Scholar] [CrossRef]
- Burcoglu-O’Ral, A.; Erkan, D.; Asherson, R. Treatment of catastrophic antiphospholipid syndrome with defibrotide, a proposed vascular endothelial cell modulator. J. Rheumatol. 2002, 29, 2006–2011. [Google Scholar]
- Asherson, R.A.; Cervera, R.; Piette, J.C.; Shoenfeld, Y.; Espinosa, G.; Petri, M.A.; Lim, E.; Lau, T.C.; Gurjal, A.; Jedryka-Góral, A.; et al. Catastrophic antiphospholipid syndrome: Clues to the pathogenesis from a series of 80 patients. Medicine 2001, 80, 355–377. [Google Scholar] [CrossRef]
- Musette, P.; Bouaziz, J.D. B Cell Modulation Strategies in Autoimmune Diseases: New Concepts. Front. Immunol. 2018, 9, 622. [Google Scholar] [CrossRef] [PubMed]
- Mouquet, H.; Musette, P.; Gougeon, M.; Jacquot, S.; Lemercier, B.; Lim, A.; Gilbert, D.; Dutot, I.; Roujeau, J.C.; D’Incan, M.; et al. B-cell depletion immunotherapy in pemphigus: Effects on cellular and humoral immune responses. J. Investig. Dermatol. 2008, 128, 2859–2869. [Google Scholar] [CrossRef] [PubMed] [Green Version]
- Erkan, D.; Vega, J.; Ramon, G.; Kozora, E.; Lockshin, M.D. A pilot open label phase II trial of rituximab for non-criteria manifestations of antiphospholipid syndrome. Arthritis Rheum. 2013, 65, 464–471. [Google Scholar] [CrossRef]
- Cambridge, G.; Isenberg, D.A.; Edwards, J.C.; Leandro, M.J.; Migone, T.S.; Teodorescu, M.; Stohl, W. B cell depletion therapy in systemic lupus erythematosus: Relationships among serum B lymphocyte stimulator levels, autoantibody profile and clinical response. Ann. Rheum. Dis. 2008, 67, 1011–1016. [Google Scholar] [CrossRef]
- Berman, H.; Rodríguez-Pintó, I.; Cervera, R.; Morel, N.; Costedoat-Chalumeau, N.; Erkan, D.; Shoenfeld, Y.; Espinosa, G. Catastrophic Antiphospholipid Syndrome (CAPS) Registry Project Group (European Forum on Antiphospholipid Antibodies). Rituximab use in the catastrophic antiphospholipid syndrome: Descriptive analysis of the CAPS registry patients receiving rituximab. Autoimmun. Rev. 2013, 12, 1085–1090. [Google Scholar] [CrossRef]
- Rodziewicz, M.; D’Cruz, D.P. An update on the management of antiphospholipid syndrome. Ther. Adv. Musculoskelet. Dis. 2020, 12, 1759720X20910855. [Google Scholar] [CrossRef] [PubMed]
- Trouvin, A.P.; Jacquot, S.; Grigioni, S.; Curis, E.; Dedreux, I.; Roucheux, A.; Boulard, H.; Vittecoq, O.; Le Loët, X.; Boyer, O.; et al. Usefulness of monitoring of B cell depletion in rituximab-treated rheumatoid arthritis patients in order to predict clinical relapse: A prospective observational study. Clin. Exp. Immunol. 2015, 180, 11–18. [Google Scholar] [CrossRef] [PubMed] [Green Version]
- Ellrichmann, G.; Bolz, J.; Peschke, M.; Duscha, A.; Hellwig, K.; Lee, D.H.; Linker, R.A.; Gold, R.; Haghikia, A. Peripheral CD19+ B-cell counts and infusion intervals as a surrogate for long-term B-cell depleting therapy in multiple sclerosis and neuromyelitis optica/neuromyelitis optica spectrum disorders. J. Neurol. 2019, 266, 57–67. [Google Scholar] [CrossRef] [Green Version]
- Jacob, G.; Sunu, A.; Arun, T.; Noble, G.; Nalanda, S.V.; Sajeev, K. Clinical response and pattern of B cell suppression with single low dose rituximab in nephrology. Kidney360 2020, 1, 359–367. [Google Scholar]
- Canaud, G.; Kamar, N.; Anglicheau, D.; Esposito, L.; Rabant, M.; Noël, L.H.; Guilbeau-Frugier, C.; Sberro-Soussan, R.; Del Bello, A.; Martinez, F.; et al. Eculizumab improves posttransplant thrombotic microangiopathy due to antiphospholipid syndrome recurrence but fails to prevent chronic vascular changes. Am. J. Transplant. 2013, 13, 2179–2185. [Google Scholar] [CrossRef]
- Erkan, D.; Salmon, J.E. The Role of Complement Inhibition in Thrombotic Angiopathies and Antiphospholipid Syndrome. Turk. J. Haematol. 2016, 33, 1–7. [Google Scholar] [CrossRef] [PubMed]
- Shapira, I.; Andrade, D.; Allen, S.L.; Salmon, J.E. Brief report: Induction of sustained remission in recurrent catastrophic antiphospholipid syndrome via inhibition of terminal complement with eculizumab. Arthritis Rheum. 2012, 64, 2719–2723. [Google Scholar] [CrossRef]
- Lonze, B.E.; Zachary, A.A.; Magro, C.M.; Desai, N.M.; Orandi, B.J.; Dagher, N.N.; Singer, A.L.; Carter-Monroe, N.; Nazarian, S.M.; Segev, D.L.; et al. Eculizumab prevents recurrent antiphospholipid antibody syndrome and enables successful renal transplantation. Am. J. Transplant. 2014, 14, 459–465. [Google Scholar] [CrossRef]
- Kronbichler, A.; Frank, R.; Kirschfink, M.; Szilágyi, Á.; Csuka, D.; Prohászka, Z.; Schratzberger, P.; Lhotta, K.; Mayer, G. Efficacy of eculizumab in a patient with immunoadsorption-dependent catastrophic antiphospholipid syndrome: A case report. Medicine 2014, 93, e143. [Google Scholar] [CrossRef] [PubMed]
- ClinicaTrials.gov. NCT01029587: Eculizumab to Enable Renal Transplantation in Patients with History of Catastrophic Antiphospholipid Antibody Syndrome. Available online: https://clinicaltrials.gov/ct2/show/NCT01029587 (accessed on 25 September 2020).
- ClinicaTrials.gov. NCT02128269: Phase IIa Trial of ALXN1007 for the Treatment of Non-criteria Manifestations of Antiphospholipid Syndrome. Available online: https://clinicaltrials.gov/ct2/show/NCT02128269 (accessed on 25 September 2020).
- Sevim, E.; Willis, R.; Erkan, D. Is there a role for immunosuppression in antiphospholipid syndrome? Hematol. Am. Soc. Hematol. Educ. Program 2019, 2019, 426–432. [Google Scholar] [CrossRef] [PubMed]
- Taher, A.; Abiad, R.; Uthman, I. Coexistence of lupus anticoagulant and acquired haemophilia in a patient with monoclonal gammopathy of unknown significance. Lupus 2003, 12, 854–856. [Google Scholar] [CrossRef] [PubMed]





| MHC Class II | |
|---|---|
| DQB1: *02, *05 | DQB1*02 risk factor for SLE, type 1 diabetes mellitus |
| DRB1: *03, *14 | DRB1*03 risk factor for SLE; multiple sclerosis Hashimoto/Graves’ disease, type 1 diabetes mellitus |
| DRB1*14 risk factor for rheumatoid arthritis. |
Publisher’s Note: MDPI stays neutral with regard to jurisdictional claims in published maps and institutional affiliations. |
© 2021 by the authors. Licensee MDPI, Basel, Switzerland. This article is an open access article distributed under the terms and conditions of the Creative Commons Attribution (CC BY) license (https://creativecommons.org/licenses/by/4.0/).
Share and Cite
Stanescu, C.; Andronesi, A.G.; Jurcut, C.; Gherghiceanu, M.; Vornicu, A.; Burcea, F.A.; Andronesi, T.D.; Lupusoru, G.E.; Iliuta, L.; Sorohan, B.M.; et al. Successful Treatment of Catastrophic Antiphospholipid Syndrome Using Rituximab: Case Report and Review of the Literature. Medicina 2021, 57, 912. https://doi.org/10.3390/medicina57090912
Stanescu C, Andronesi AG, Jurcut C, Gherghiceanu M, Vornicu A, Burcea FA, Andronesi TD, Lupusoru GE, Iliuta L, Sorohan BM, et al. Successful Treatment of Catastrophic Antiphospholipid Syndrome Using Rituximab: Case Report and Review of the Literature. Medicina. 2021; 57(9):912. https://doi.org/10.3390/medicina57090912
Chicago/Turabian StyleStanescu, Cristina, Andreea Gabriella Andronesi, Ciprian Jurcut, Mihaela Gherghiceanu, Alexandra Vornicu, Florentina Andreea Burcea, Toader Danut Andronesi, Gabriela Elena Lupusoru, Luminita Iliuta, Bogdan Marian Sorohan, and et al. 2021. "Successful Treatment of Catastrophic Antiphospholipid Syndrome Using Rituximab: Case Report and Review of the Literature" Medicina 57, no. 9: 912. https://doi.org/10.3390/medicina57090912
APA StyleStanescu, C., Andronesi, A. G., Jurcut, C., Gherghiceanu, M., Vornicu, A., Burcea, F. A., Andronesi, T. D., Lupusoru, G. E., Iliuta, L., Sorohan, B. M., Obrisca, B., & Ismail, G. (2021). Successful Treatment of Catastrophic Antiphospholipid Syndrome Using Rituximab: Case Report and Review of the Literature. Medicina, 57(9), 912. https://doi.org/10.3390/medicina57090912

