Cardiac Imaging in Athlete’s Heart: The Role of the Radiologist
Abstract
1. Introduction
2. Cardiac Magnetic Resonance Imaging
2.1. The Added Role
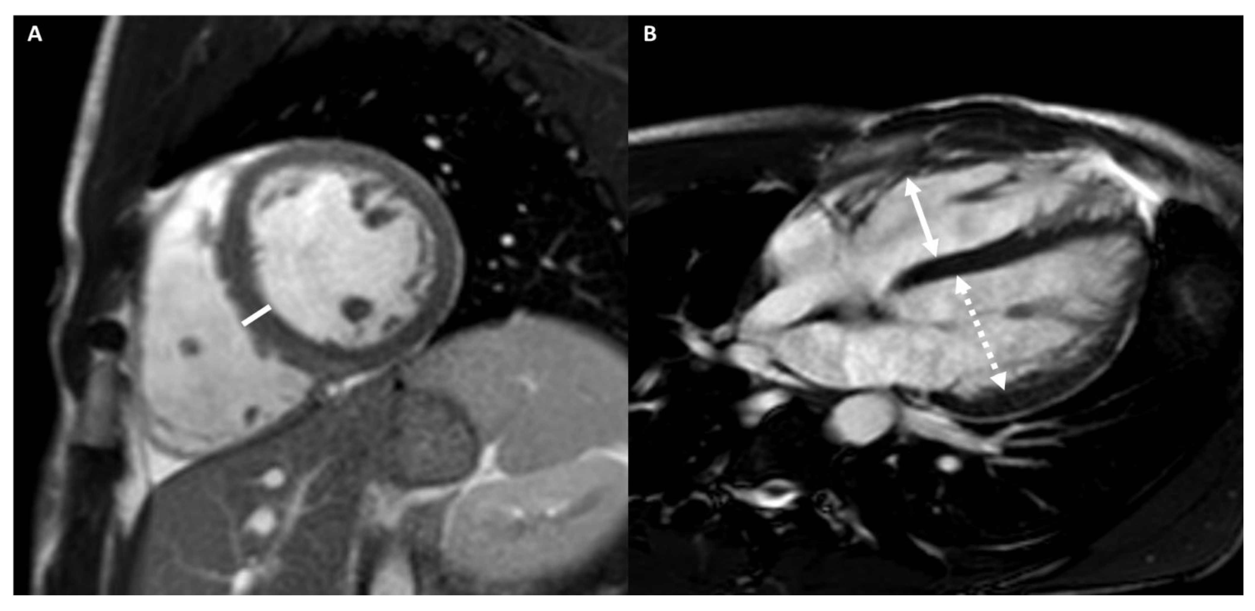
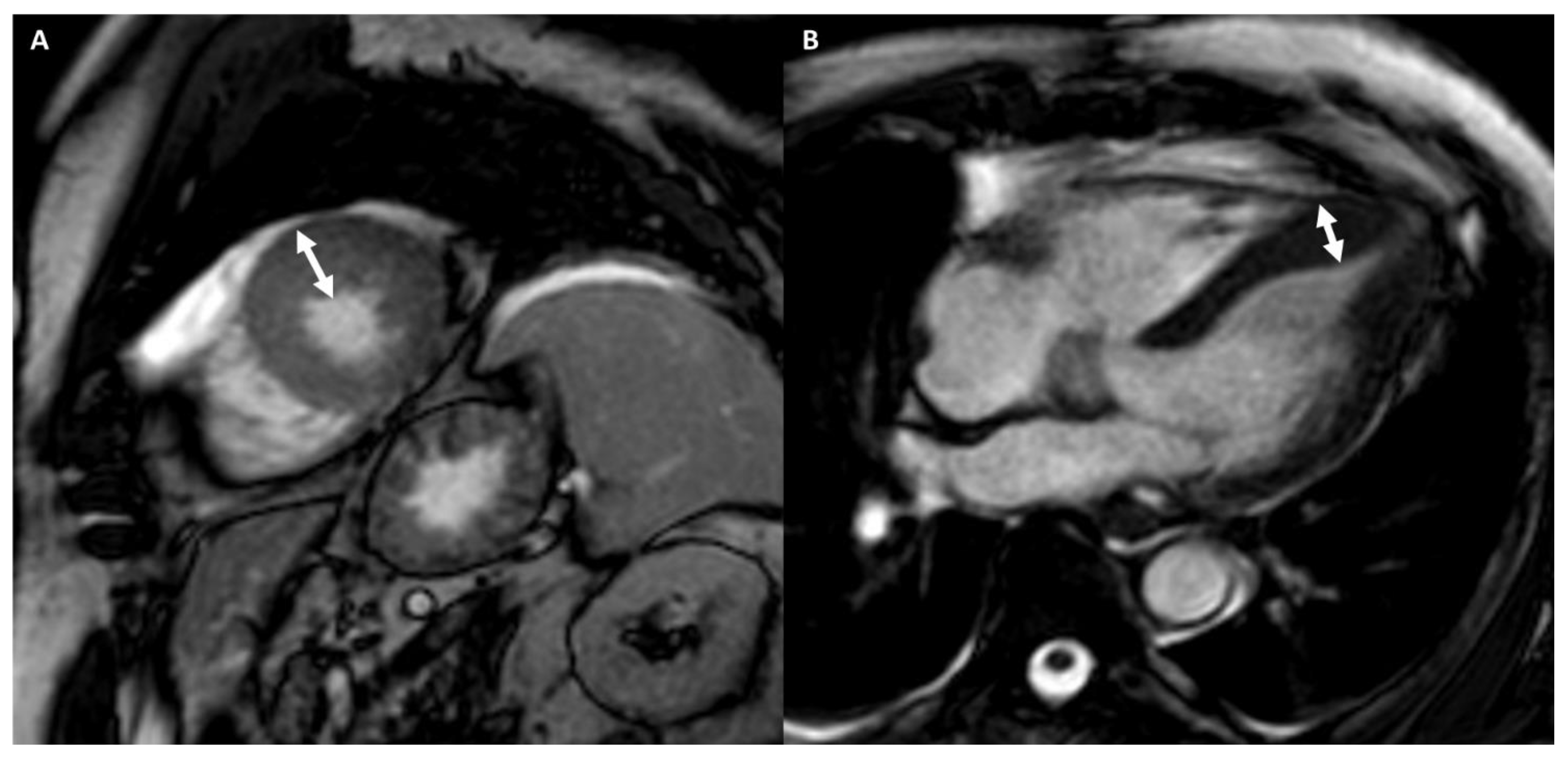
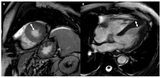
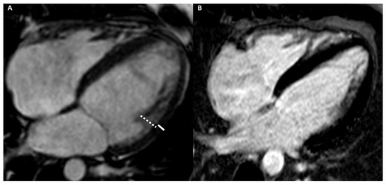
2.2. Morphological Assessment
2.3. Functional Assessment
2.3.1. Global Contractile Function
2.3.2. Regional Contractile Function
2.4. Mapping
2.4.1. T1 Mapping
2.4.2. T2 Mapping
2.5. Extracellular Volume Fraction
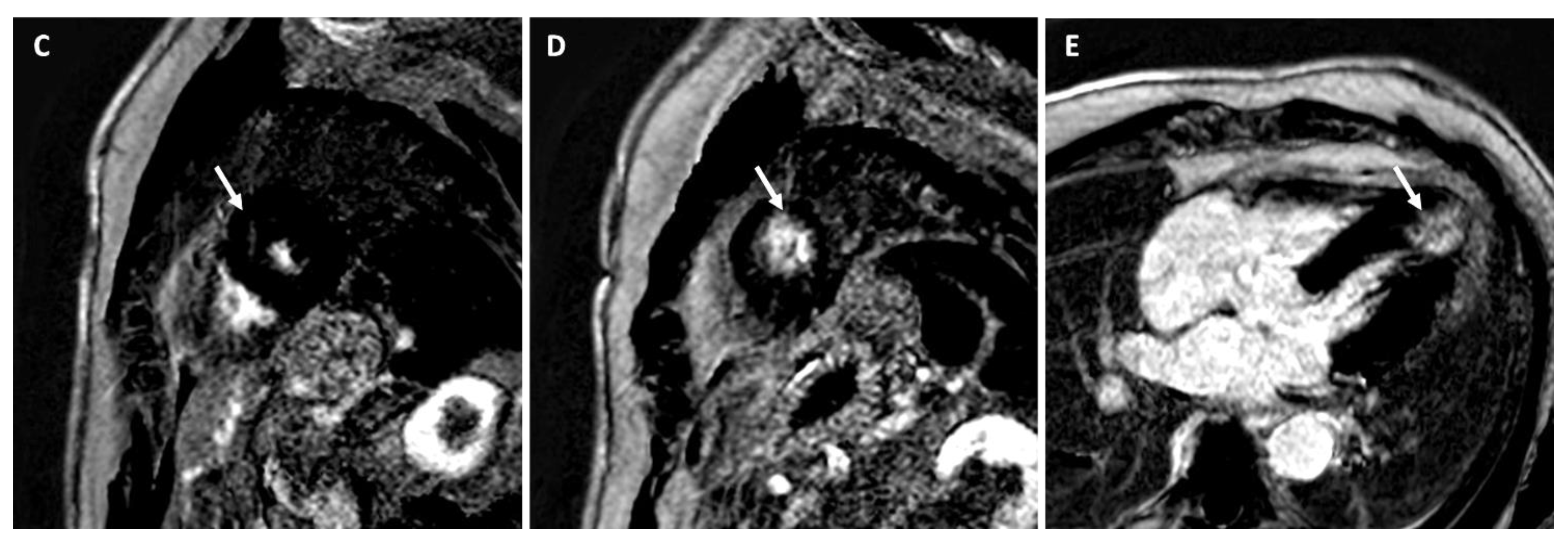
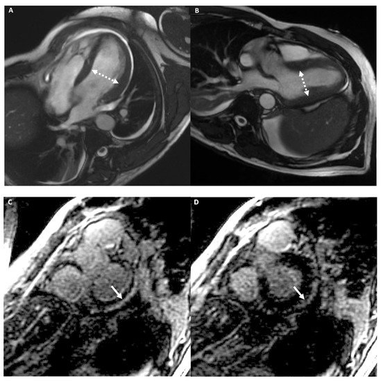
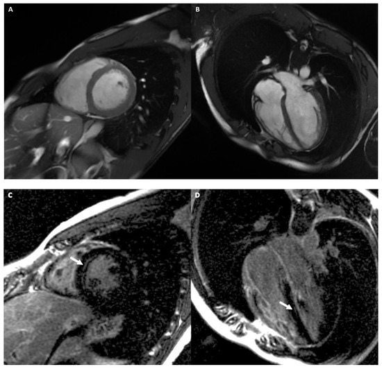
2.6. Late Gadolinium Enhancement
2.7. Stress Imaging
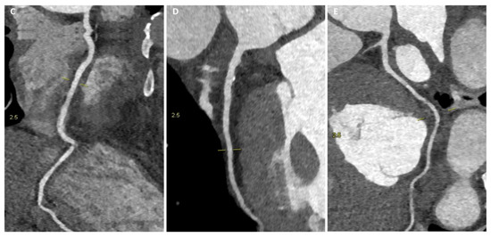
3. Cardiac-CT
3.1. The Added Role
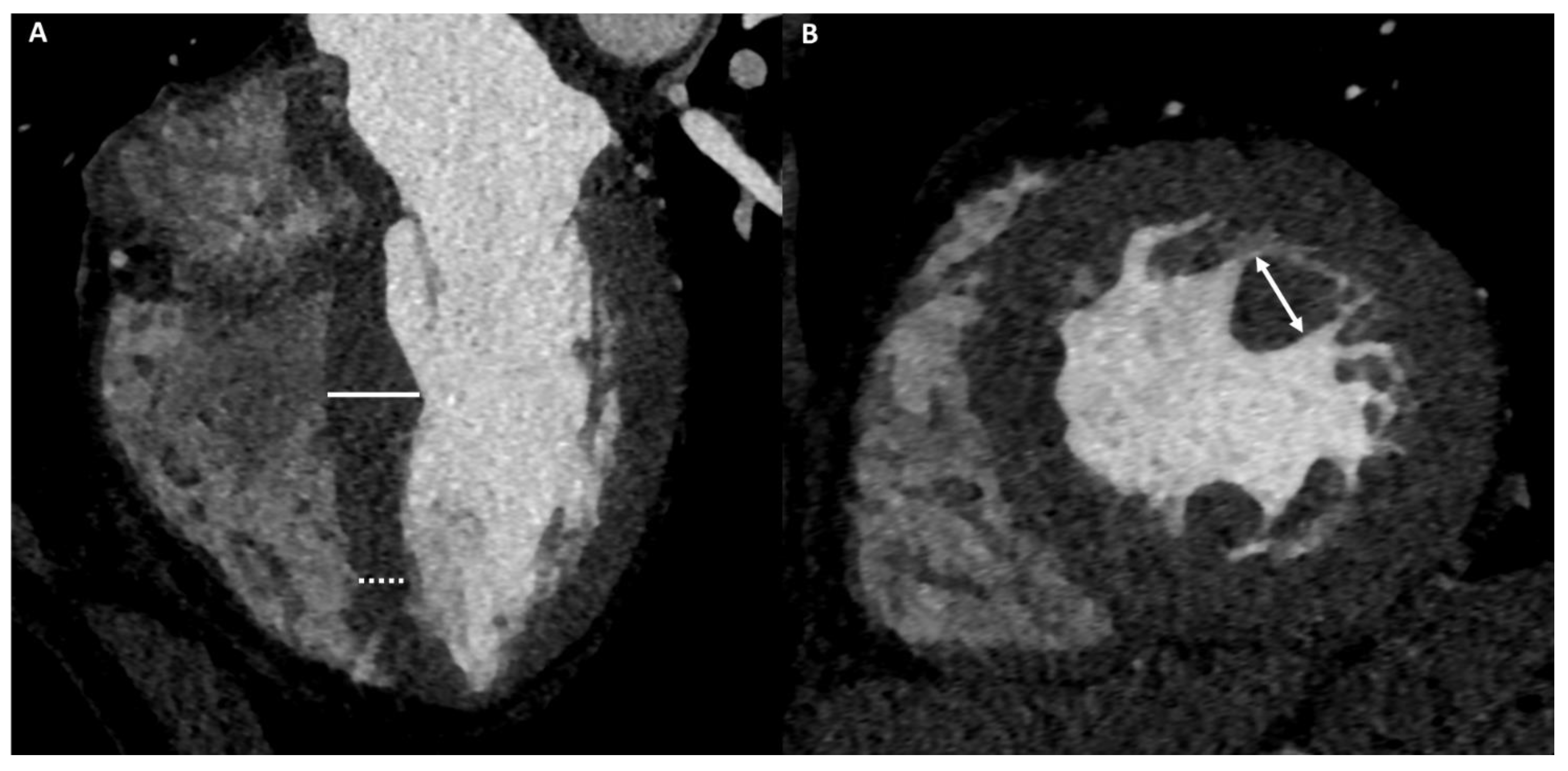
3.2. Morphological and Functional Assessment
3.3. Extracellular Volume Fraction
3.4. Late Iodine Enhancement
4. Athlete’s Heart
4.1. Definition
4.2. Differential Diagnosis
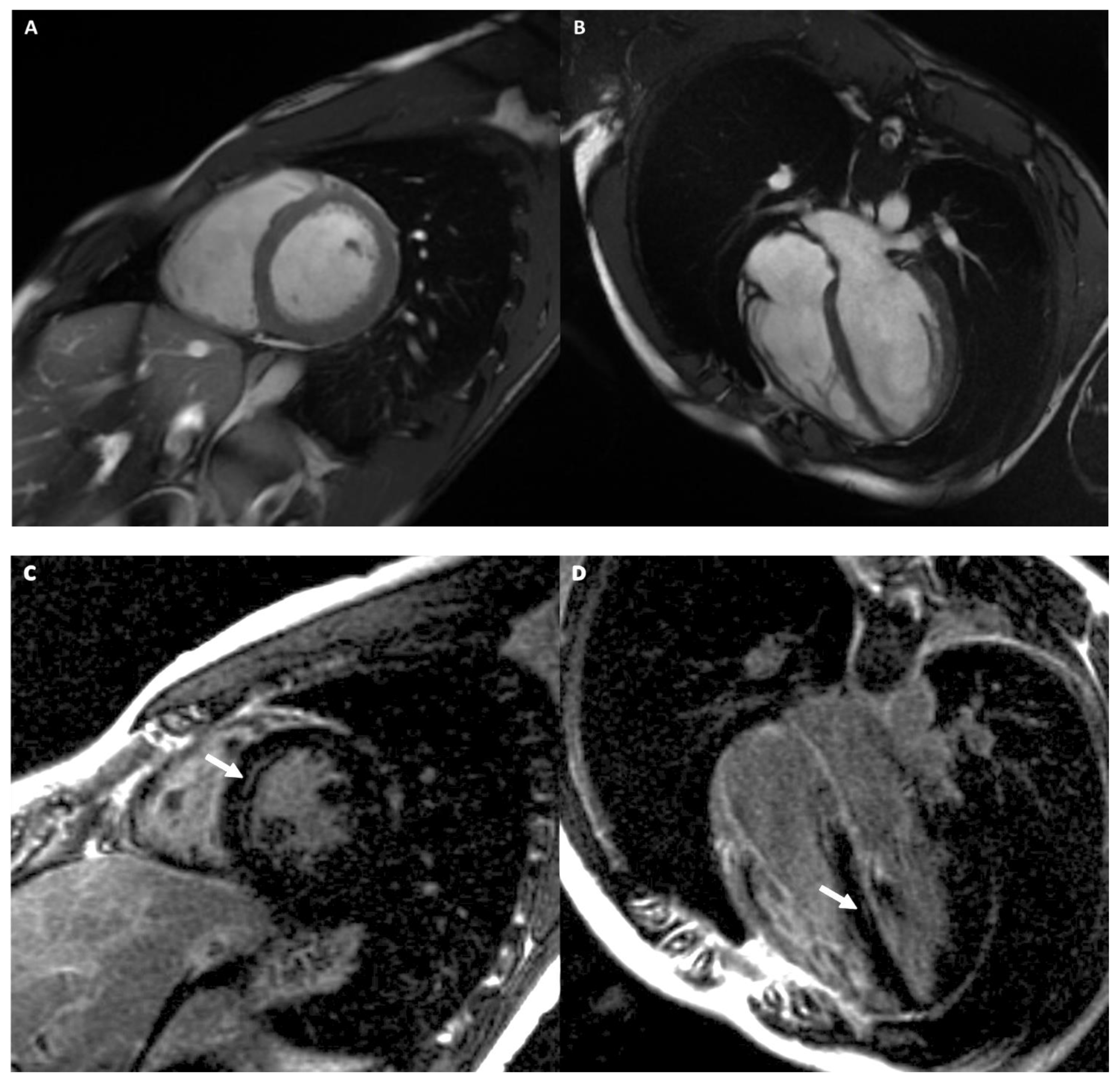
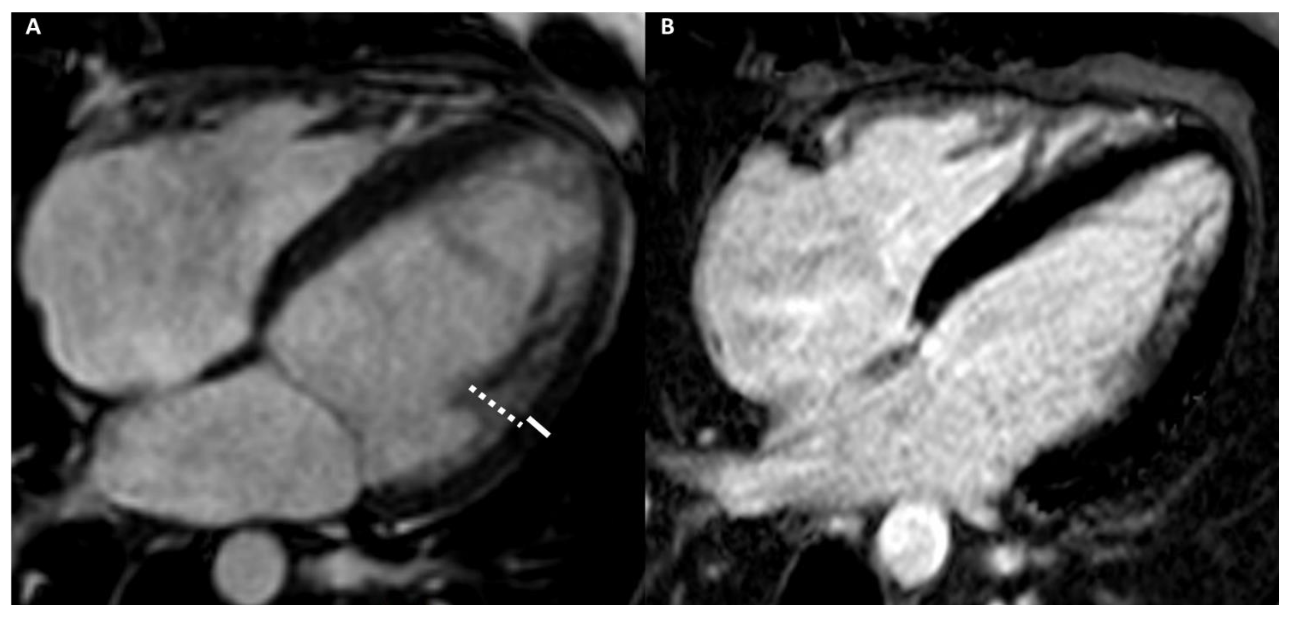
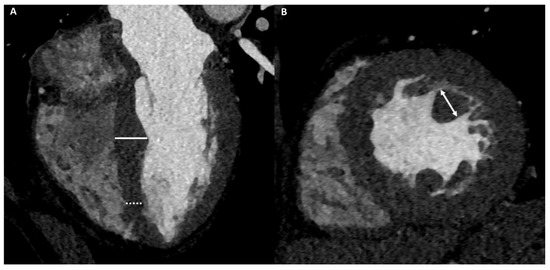
4.2.1. Cardiac Imaging: AH vs. Hypertrophic Cardiomyopathy
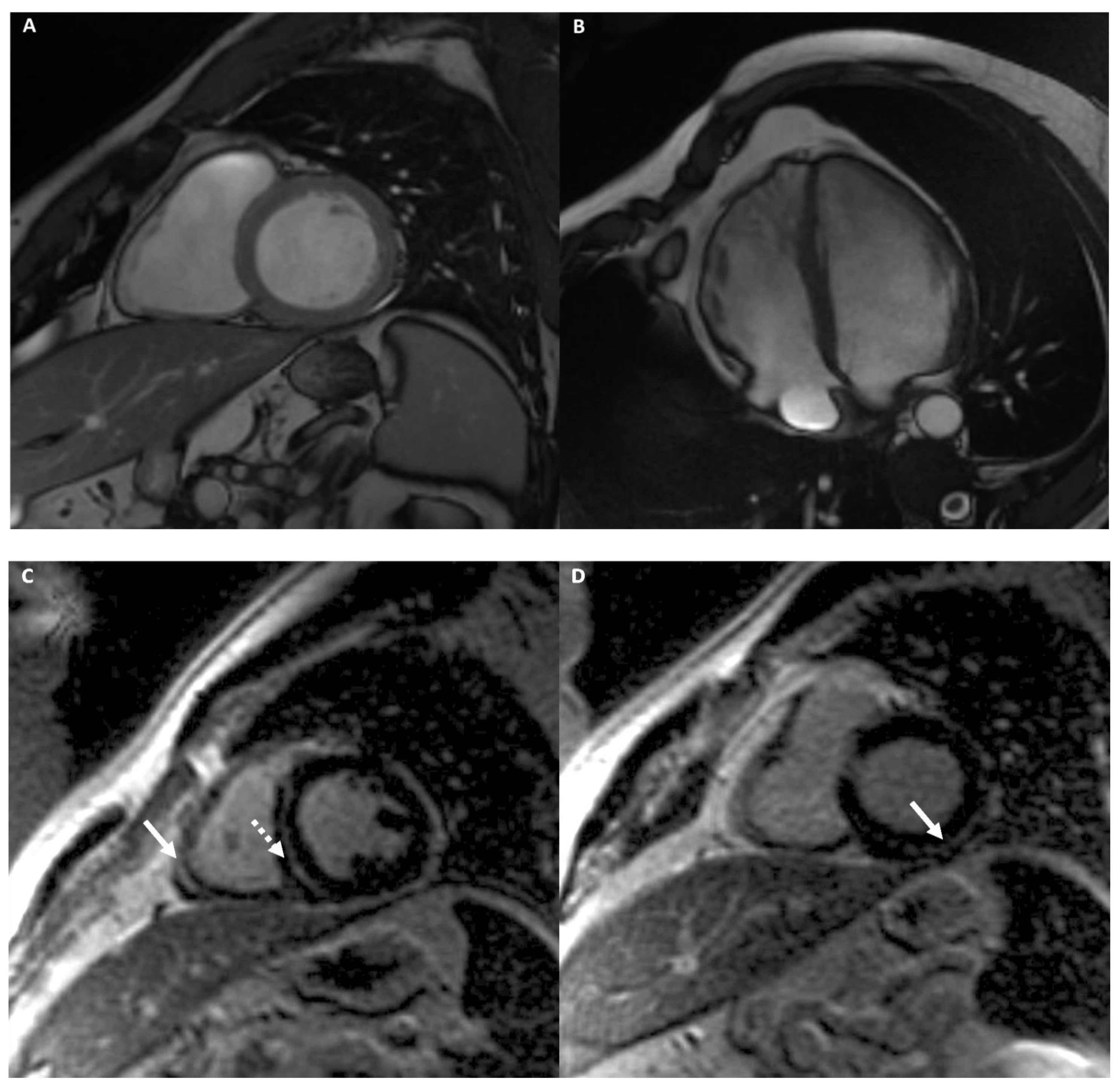
4.2.2. Cardiac Imaging: AH vs. Dilated Cardiomyopathy
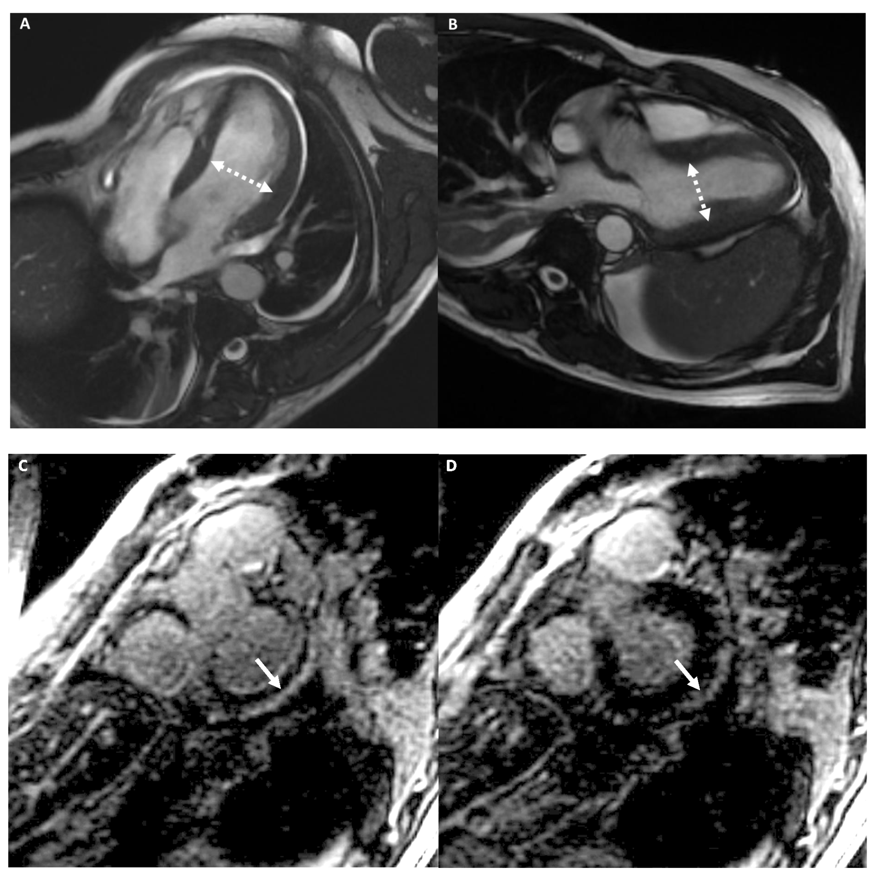
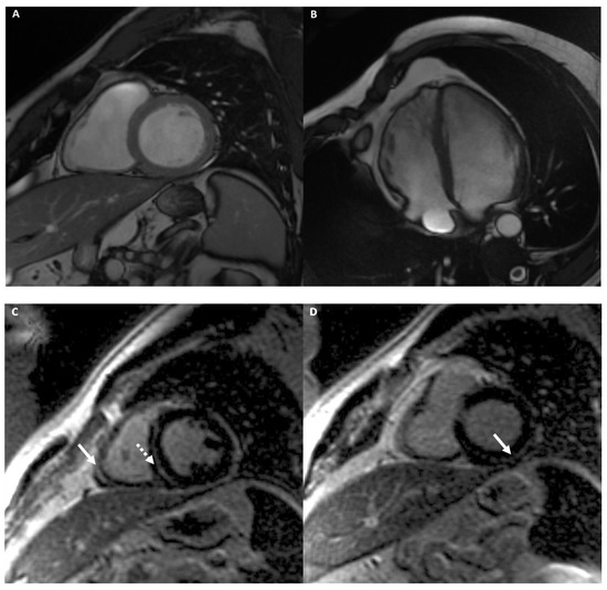
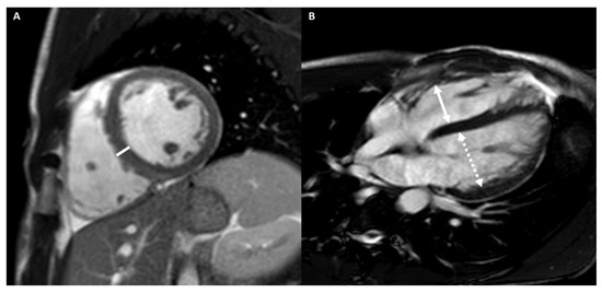
4.2.3. Cardiac Imaging: AH vs. Left Ventricular Non-Compaction
4.2.4. Cardiac Imaging: AH vs. Arrhythmogenic Cardiomyopathy
Arrhythmogenic Right Ventricular Cardiomyopathy
Left Dominant Arrhythmogenic Cardiomyopathy (LDAC)
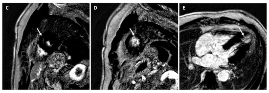
4.2.5. Cardiac Imaging: AH vs. Infiltrative Cardiomyopathy
5. Conclusions
Author Contributions
Funding
Institutional Review Board Statement
Informed Consent Statement
Data Availability Statement
Conflicts of Interest
References
- Gati, S.; Sharma, S.; Pennell, D. The Role of Cardiovascular Magnetic Resonance Imaging in the Assessment of Highly Trained Athletes. JACC Cardiovasc. Imaging 2018, 11, 247–259. [Google Scholar] [CrossRef] [PubMed]
- Maestrini, V.; Torlasco, C.; Hughes, R.; Moon, J.C. Cardiovascular Magnetic Resonance and Sport Cardiology: A Growing Role in Clinical Dilemmas. J. Cardiovasc. Transl. Res. 2020, 13, 296–305. [Google Scholar] [CrossRef] [PubMed]
- Emery, M.S.; Kovacs, R.J. Sudden Cardiac Death in Athletes. JACC Heart Fail. 2018, 6, 30–40. [Google Scholar] [CrossRef] [PubMed]
- Abulí, M.; de la Garza, M.S.; Sitges, M. Differentiating Athlete’s Heart from Left Ventricle Cardiomyopathies. J. Cardiovasc. Transl. Res. 2020, 13, 265–273. [Google Scholar] [CrossRef] [PubMed]
- D’Ascenzi, F.; Solari, M.; Corrado, D.; Zorzi, A.; Mondillo, S. Diagnostic Differentiation Between Arrhythmogenic Cardiomyopathy and Athlete’s Heart by Using Imaging. JACC Cardiovasc. Imaging 2018, 11, 1327–1339. [Google Scholar] [CrossRef]
- D’Andrea, A.; Radmilovic, J.; Carbone, A.; Mandoli, G.E.; Santoro, C.; Evola, V.; Bandera, F.; D’Ascenzi, F.; Bossone, E.; Galderisi, M.; et al. Speckle tracking evaluation in endurance athletes: The “optimal” myocardial work. Int. J. Cardiovasc. Imaging 2020, 36, 1679–1688. [Google Scholar] [CrossRef] [PubMed]
- De Innocentiis, C.; Ricci, F.; Khanji, M.Y.; Aung, N.; Tana, C.; Verrengia, E.; Petersen, S.E.; Gallina, S. Athlete’s Heart: Diagnostic Challenges and Future Perspectives. Sports Med. 2018, 48, 2463–2477. [Google Scholar] [CrossRef]
- Ko, S.M.; Hwang, S.H.; Lee, H.-J. Role of Cardiac Computed Tomography in the Diagnosis of Left Ventricular Myocardial Diseases. J. Cardiovasc. Imaging 2019, 27, 73–92. [Google Scholar] [CrossRef]
- Mavrogeni, S.I.; Bacopoulou, F.; Apostolaki, D.; Chrousos, G.P. Sudden cardiac death in athletes and the value of cardiovascular magnetic resonance. Eur. J. Clin. Investig. 2018, 48, e12955. [Google Scholar] [CrossRef] [PubMed]
- Mordi, I.; Carrick, D.; Bezerra, H.; Tzemos, N. T1 and T2 mapping for early diagnosis of dilated non-ischaemic cardiomyopathy in middle-aged patients and differentiation from normal physiological adaptation. Eur. Hear. J. Cardiovasc. Imaging 2016, 17, 797–803. [Google Scholar] [CrossRef]
- Reiter, U.; Reiter, C.; Kräuter, C.; Nizhnikava, V.; Fuchsjäger, M.H.; Reiter, G. Quantitative Clinical Cardiac Magnetic Resonance Imaging. Rofo 2020, 192, 246–256. [Google Scholar] [CrossRef]
- Czimbalmos, C.; Csecs, I.; Dohy, Z.; Toth, A.; Suhai, F.I.; Müssigbrodt, A.; Kiss, O.; Geller, L.; Merkely, B.; Vago, H. Cardiac magnetic resonance based deformation imaging: Role of feature tracking in athletes with suspected arrhythmogenic right ventricular cardiomyopathy. Int. J. Cardiovasc. Imaging 2019, 35, 529–538. [Google Scholar] [CrossRef] [PubMed]
- Li, H.; Zhu, H.; Yang, Z.; Tang, D.; Huang, L.; Xia, L. Tissue Characterization by Mapping and Strain Cardiac MRI to Evaluate Myocardial Inflammation in Fulminant Myocarditis. J. Magn. Reson. Imaging 2020, 52, 930–938. [Google Scholar] [CrossRef]
- Neisius, U.; Myerson, L.; Fahmy, A.S.; Nakamori, S.; El-Rewaidy, H.; Joshi, G.; Duan, C.; Manning, W.J.; Nezafat, R. Cardiovascular magnetic resonance feature tracking strain analysis for discrimination between hypertensive heart disease and hypertrophic cardiomyopathy. PLoS ONE 2019, 21, e0221061. [Google Scholar] [CrossRef] [PubMed]
- Xu, J.; Zhuang, B.; Sirajuddin, A.; Li, S.; Huang, J.; Yin, G.; Song, L.; Jiang, Y.; Zhao, S.; Lu, M. MRI T1 Mapping in Hypertrophic Cardiomyopathy: Evaluation in Patients Without Late Gadolinium Enhancement and Hemodynamic Obstruction. Radiology 2020, 294, 275–286. [Google Scholar] [CrossRef]
- Baggiano, A.; Torto, A.D.; Guglielmo, M.; Muscogiuri, G.; Fusini, L.; Babbaro, M.; Collevecchio, A.; Mollace, R.; Scafuri, S.; Mushtaq, S.; et al. Role of CMR Mapping Techniques in Cardiac Hypertrophic Phenotype. Diagnostics 2020, 10, 770. [Google Scholar] [CrossRef]
- Seraphim, A.; Knott, K.D.; Augusto, J.; Bhuva, A.N.; Manisty, C.; Moon, J.C. Quantitative cardiac MRI. J. Magn. Reson. Imaging 2020, 51, 693–711. [Google Scholar] [CrossRef] [PubMed]
- Emoto, T.; Kidoh, M.; Oda, S.; Nakaura, T.; Nagayama, Y.; Sasao, A.; Funama, Y.; Araki, S.; Takashio, S.; Sakamoto, K.; et al. Myocardial extracellular volume quantification in cardiac CT: Comparison of the effects of two different iterative reconstruction algorithms with MRI as a reference standard. Eur. Radiol. 2020, 30, 691–701. [Google Scholar] [CrossRef] [PubMed]
- Everett, R.J.; Treibel, T.A.; Fukui, M.; Lee, H.; Rigolli, M.; Singh, A.; Bijsterveld, P.; Tastet, L.; Al Musa, T.; Dobson, L.; et al. Extracellular Myocardial Volume in Patients with Aortic Stenosis. J. Am. Coll. Cardiol. 2020, 75, 304–316. [Google Scholar] [CrossRef] [PubMed]
- Sanaani, A.; Fuisz, A. Cardiac Magnetic Resonance for Diagnosis and Risk Stratification. Cardiol. Clin. 2019, 37, 27–33. [Google Scholar] [CrossRef]
- Caruso, M.R.; Garg, L.; Martinez, M.W. Cardiac Imaging in the Athlete: Shrinking the “Gray Zone”. Curr. Treat. Options Cardiovasc. Med. 2020, 3, 5. [Google Scholar] [CrossRef]
- Mortensen, K.H.; Jones, A.; Steeden, J.A.; Taylor, A.M.; Muthurangu, V. Isometric stress in cardiovascular magnetic resonance-a simple and easily replicable method of assessing cardiovascular differences not apparent at rest. Eur. Radiol. 2016, 26, 1009–1017. [Google Scholar] [CrossRef] [PubMed]
- Raman, S.V.; Dickerson, J.A.; Mazur, W.; Wong, T.C.; Schelbert, E.B.; Min, J.K.; Scandling, D.; Bartone, C.; Craft, J.T.; Thavendiranathan, P.; et al. Diagnostic Performance of Treadmill Exercise Cardiac Magnetic Resonance: The Prospective, Multicenter Exercise CMR’s Accuracy for Cardiovascular Stress Testing (EXACT) Trial. J. Am. Hear. Assoc. 2016, 5, e003811. [Google Scholar] [CrossRef] [PubMed]
- Le, T.-T.; Bryant, J.A.; Ting, A.E.; Ho, P.Y.; Su, B.; Teo, R.C.C.; Gan, J.S.-J.; Chung, Y.-C.; O’Regan, D.P.; Cook, S.A.; et al. Assessing exercise cardiac reserve using real-time cardiovascular magnetic resonance. J. Cardiovasc. Magn. Reson. 2017, 19, 7. [Google Scholar] [CrossRef] [PubMed]
- Heiberg, J.; Asschenfeldt, B.; Maagaard, M.; Ringgaard, S. Dynamic bicycle exercise to assess cardiac output at multiple Diagnosing Athlete’s Heart exercise levels during magnetic resonance imaging. Clin. Imaging 2017, 46, 102–107. [Google Scholar] [CrossRef]
- Schicchi, N.; Fogante, M.; Palumbo, P.; Agliata, G.; Pirani, P.E.; Di Cesare, E.; Giovagnoni, A. The sub-millisievert era in CTCA: The technical basis of the new radiation dose approach. Radiol. Med. 2020, 125, 1024–1039. [Google Scholar] [CrossRef]
- Schicchi, N.; Mari, A.; Fogante, M.; Pirani, P.E.; Agliata, G.; Tosi, N.; Palumbo, P.; Cannizzaro, E.; Bruno, F.; Splendiani, A.; et al. In vivo radiation dosimetry and image quality of turbo-flash and retrospective dual-source CT coronary angiography. Radiol. Med. 2020, 125, 117–127. [Google Scholar] [CrossRef]
- Pradella, S.; Grazzini, G.; De Amicis, C.; Letteriello, M.; Acquafresca, M.; Miele, V. Cardiac magnetic resonance in hypertrophic and dilated cardiomyopathies. Radiol. Med. 2020, 125, 1056–1071. [Google Scholar] [CrossRef] [PubMed]
- Tian, X.-W.; Ma, A.-L.; Zhou, R.-B.; Jiang, L.-J.; Hao, Y.; Zou, X.-G. Advances in Cardiac Computed Tomography Functional Imaging Technology. Cardiology 2020, 145, 615–622. [Google Scholar] [CrossRef]
- Hamdy, A.; Kitagawa, K.; Goto, Y.; Yamada, A.; Nakamura, S.; Takafuji, M.; Nagasawa, N.; Sakuma, H. Comparison of the different imaging time points in delayed phase cardiac CT for myocardial scar assessment and extracellular volume fraction estimation in patients with old myocardial infarction. Int. J. Cardiovasc. Imaging 2019, 35, 917–926. [Google Scholar] [CrossRef]
- Schicchi, N.; Fogante, M.; Pirani, P.E. Third-generation dual-source dual-energy CT in pediatric congenital heart disease patients: State-of-the-art. Radiol. Med. 2019, 124, 1238–1252. [Google Scholar] [CrossRef] [PubMed]
- Palmisano, A.; Vignale, D.; Benedetti, G.; Del Maschio, A.; De Cobelli, F.; Esposito, A. Late iodine enhancement cardiac computed tomography for detection of myocardial scars: Impact of experience in the clinical practice. Radiol. Med. 2020, 125, 128–136. [Google Scholar] [CrossRef]
- D’Andrea, A.; Radmilovic, J.; Ballo, P.; Mele, D.; Agricola, E.; Cameli, M.; Rossi, A.; Esposito, R.; Novo, G.; Mondillo, S.; et al. Left ventricular hypertrophy or storage disease? the incremental value of speckle tracking strain bull’s-eye. Echocardiography 2017, 34, 746–759. [Google Scholar] [CrossRef] [PubMed]
- Tsioufis, C. “Hearts that strain”: Distinguishing athlete’s heart from hypertensive disease in the echo lab and beyond. Hell. J. Cardiol. 2018, 59, 189–191. [Google Scholar] [CrossRef]
- Maron, B.J. Clinical Course and Management of Hypertrophic Cardiomyopathy. N. Engl. J. Med. 2018, 16, 655–668. [Google Scholar] [CrossRef] [PubMed]
- Swoboda, P.P.; McDiarmid, A.K.; Erhayiem, B.; Broadbent, D.A.; Dobson, L.E.; Garg, P.; Ferguson, C.; Page, S.P.; Greenwood, J.P.; Plein, S. Assessing Myocardial Extracellular Volume by T1 Mapping to Distinguish Hypertrophic Cardiomyopathy from Athlete’s Heart. J. Am. Coll. Cardiol. 2016, 67, 2189–2190. [Google Scholar] [CrossRef] [PubMed]
- Małek, Ł.A.; Bucciarelli-Ducci, C. Myocardial fibrosis in athletes—Current perspective. Clin. Cardiol. 2020, 43, 882–888. [Google Scholar] [CrossRef] [PubMed]
- Le, T.T.; Bryant, J.A.; Ang, B.W.Y.; Pua, C.J.; Su, B.; Ho, P.Y.; Lim, S.; Huang, W.; Lee, P.T.; Tang, H.C.; et al. The application of exercise stress cardiovascular magnetic resonance in patients with suspected dilated cardiomyopathy. J. Cardiovasc. Magn. Reson. 2020, 22, 10. [Google Scholar] [CrossRef] [PubMed]
- Cerny, V.; Kuchynka, P.; Marek, J. Utility of cardiac CT for evaluating delayed contrast enhancement in dilated cardiomyopathy. Herz 2017, 42, 776–780. [Google Scholar] [CrossRef] [PubMed]
- Flannery, M.D.; La Gerche, A. Sudden Death and Ventricular Arrhythmias in Athletes: Screening, De-Training and the Role of Catheter Ablation. Heart Lung Circ. 2019, 28, 155–163. [Google Scholar] [CrossRef] [PubMed]
- Glockner, J.F. Magnetic resonance imaging and computed tomography of cardiac masses and pseudomasses in the atrioventricular groove. Can. Assoc. Radiol. J. 2018, 69, 78–91. [Google Scholar] [CrossRef]
- Negri, F.; De Luca, A.; Fabris, E.; Korcova, R.; Cernetti, C.; Grigoratos, C.; Aquaro, G.D.; Nucifora, G.; Camici, P.G.; Sinagra, G. Left ventricular noncompaction, morphological, and clinical features for an integrated diagnosis. Heart Fail. Rev. 2019, 24, 315–323. [Google Scholar] [CrossRef] [PubMed]
- Andreini, D.; Russo, A.D.; Pontone, G.; Mushtaq, S.; Conte, E.; Perchinunno, M.; Guglielmo, M.; Santos, A.C.; Magatelli, M.; Baggiano, A.; et al. CMR for Identifying the Substrate of Ventricular Arrhythmia in Patients with Normal Echocardiography. JACC Cardiovasc. Imaging 2020, 13, 410–421. [Google Scholar] [CrossRef] [PubMed]
- Schicchi, N.; Fogante, M.; Oliva, M.; Pirani, P.E.; Agliata, G.; Giuseppetti, G.M.; Giovagnoni, A. Radiation dose and image quality with new protocol in lower extremity computed tomography angiography. Radiol. Med. 2019, 124, 184–190. [Google Scholar] [CrossRef] [PubMed]
- Stämpfli, S.F.; Donati, T.G.; Hellermann, J.; Anwer, S.; Erhart, L.; Gruner, C.; Kaufmann, B.A.; Gencer, B.; Haager, P.K.; Müller, H.; et al. Right ventricle and outcome in left ventricular non-compaction cardiomyopathy. J. Cardiol. 2020, 75, 20–26. [Google Scholar] [CrossRef]
- Palumbo, P.; Cannizzaro, E.; Di Cesare, A.; Bruno, F.; Schicchi, N.; Giovagnoni, A.; Splendiani, A.; Barile, A.; Masciocchi, C.; Di Cesare, E. Cardiac magnetic resonance in arrhythmogenic cardiomyopathies. Radiol. Med. 2020, 125, 1087–1101. [Google Scholar] [CrossRef]
- Miles, C.; Finocchiaro, G.; Papadakis, M.; Gray, B.; Westaby, J.; Ensam, B.; Basu, J.; Parry-Williams, G.; Papatheodorou, E.; Paterson, C.; et al. Sudden Death and Left Ventricular Involvement in Arrhythmogenic Cardiomyopathy. Circulation 2019, 139, 1786–1797. [Google Scholar] [CrossRef] [PubMed]
- Gasperetti, A.; Russo, A.D.; Busana, M.; Dessanai, M.; Pizzamiglio, F.; Saguner, A.M.; Riele, A.S.J.M.; Sommariva, E.; Vettor, G.; Bosman, L.; et al. Novel risk calculator performance in athletes with arrhythmogenic right ventricular cardiomyopathy. Heart Rhythm 2020, 17, 1251–1259. [Google Scholar] [CrossRef]
- Prior, D. Differentiating Athlete’s Heart from Cardiomyopathies—The Right Side. Heart Lung Circ. 2018, 27, 1063–1071. [Google Scholar] [CrossRef]
- Zorzi, A.; Cipriani, A.; Mattesi, G.; Vio, R.; Bettella, N.; Corrado, D. Arrhythmogenic Cardiomyopathy and Sports Activity. J. Cardiovasc. Transl. Res. 2020, 13, 274–283. [Google Scholar] [CrossRef]
- Adamuz, M.C.; Figal, D.P. The Challenging and Amazing Field of Sports Cardiology. J. Cardiovasc. Transl. Res. 2020, 13, 263–264. [Google Scholar] [CrossRef] [PubMed]
- Ramirez, R.; Trivieri, M.; Fayad, Z.A.; Ahmadi, A.; Narula, J.; Argulian, E. Advanced Imaging in Cardiac Sarcoidosis. J. Nucl. Med. 2019, 60, 892–898. [Google Scholar] [CrossRef] [PubMed]











| AH | HCM | DCM | LVNC Cardiomyopathy | ARVD | LDAC | IC | |
|---|---|---|---|---|---|---|---|
| Morphological evaluation | |||||||
| Wall thickness | <15 mm; Symmetric | >15 mm; Asymmetric | - | - | - | - | Mild increased |
| Volume | Increased (LV-RV) | - | Increased (LV-RV) | Increased (LV) | Increased (RV) | Mild increased (LV) | Atrial dilation |
| Trabeculation | Increased | Increased | Increased | NC/C > 2.3 in two cardiac segments | - | - | - |
| Functional evaluation | Normal systolic and diastolic function | Diastolic dysfunction | Systolic dysfunction | LV systolic dysfunction | RV systolic dysfunction | Mild LV systolic dysfunction | Diastolic dys-function |
| Strains and strain rate | Normal | - | - | Reduced | Reduced | - | Reduced |
| Mapping | Reduced (T1-T2) | Increased (T1) | Increased (T1-T2) | Increased (T1) | - | - | Increased (T1) |
| ECV | Reduced | Increased | Increased | - | - | - | Increased |
| LGE/LIE | |||||||
| Type | Linear | Patchy or massive | Linear | Linear | Linear | Linear | Linear or parchy |
| Layer | Mesocardial | Mesocardial | Mesocardial | Mesocardial | Subepicardial Mesocardial | Subepicardial | Subendocardial Mesocardial |
| Site | Interventricular juctions | Hypertrophic area; interventricular junctions | Septum; infero-lateral LV wall | Variable, not associated with NC area | Anterior RV wall | Infero-lateral LV wall | Circumferential; septum; lateral LV wall |
Publisher’s Note: MDPI stays neutral with regard to jurisdictional claims in published maps and institutional affiliations. |
© 2021 by the authors. Licensee MDPI, Basel, Switzerland. This article is an open access article distributed under the terms and conditions of the Creative Commons Attribution (CC BY) license (https://creativecommons.org/licenses/by/4.0/).
Share and Cite
Fogante, M.; Agliata, G.; Basile, M.C.; Compagnucci, P.; Volpato, G.; Falanga, U.; Stronati, G.; Guerra, F.; Vignale, D.; Esposito, A.; et al. Cardiac Imaging in Athlete’s Heart: The Role of the Radiologist. Medicina 2021, 57, 455. https://doi.org/10.3390/medicina57050455
Fogante M, Agliata G, Basile MC, Compagnucci P, Volpato G, Falanga U, Stronati G, Guerra F, Vignale D, Esposito A, et al. Cardiac Imaging in Athlete’s Heart: The Role of the Radiologist. Medicina. 2021; 57(5):455. https://doi.org/10.3390/medicina57050455
Chicago/Turabian StyleFogante, Marco, Giacomo Agliata, Maria Chiara Basile, Paolo Compagnucci, Giovanni Volpato, Umberto Falanga, Giulia Stronati, Federico Guerra, Davide Vignale, Antonio Esposito, and et al. 2021. "Cardiac Imaging in Athlete’s Heart: The Role of the Radiologist" Medicina 57, no. 5: 455. https://doi.org/10.3390/medicina57050455
APA StyleFogante, M., Agliata, G., Basile, M. C., Compagnucci, P., Volpato, G., Falanga, U., Stronati, G., Guerra, F., Vignale, D., Esposito, A., Dello Russo, A., Casella, M., & Giovagnoni, A. (2021). Cardiac Imaging in Athlete’s Heart: The Role of the Radiologist. Medicina, 57(5), 455. https://doi.org/10.3390/medicina57050455

