Adjuvant Intravitreal Bevacizumab Injection for Choroidal and Orbital Metastases of Refractory Invasive Ductal Carcinoma of the Breast
Abstract
1. Introduction
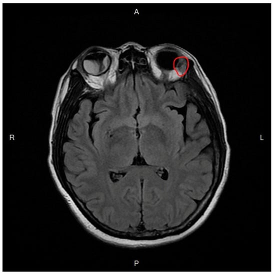
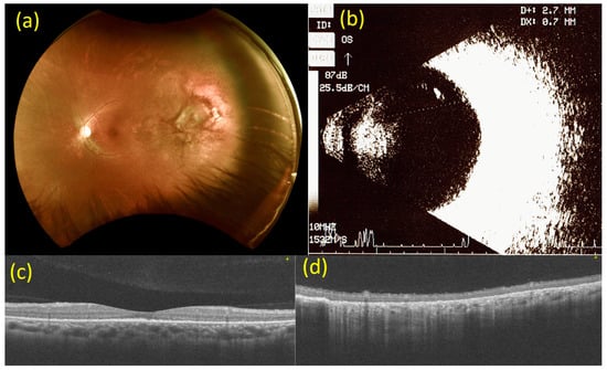
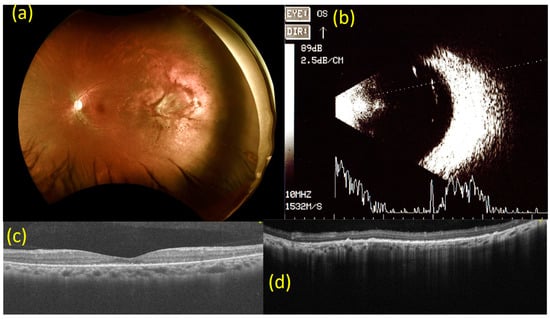
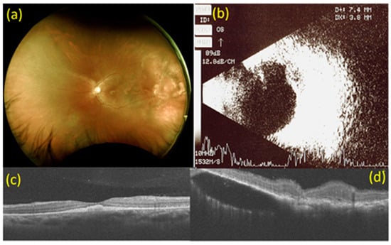
2. Case Report
3. Discussion
4. Conclusions
Author Contributions
Funding
Institutional Review Board Statement
Informed Consent Statement
Data Availability Statement
Conflicts of Interest
References
- Torre, L.A.; Bray, F.; Siegel, R.L.; Ferlay, J.; Lortet-Tieulent, J.; Jemal, A. Global cancer statistics, 2012. CA Cancer J. Clin. 2015, 65, 87–108. [Google Scholar] [CrossRef]
- Patanaphan, V.; Salazar, O.M.; Risco, R. Breast cancer: Metastatic patterns and their prognosis. South. Med. J. 1988, 81, 1109–1112. [Google Scholar] [CrossRef]
- Kreusel, K.M.; Wiegel, T.; Stange, M.; Bornfeld, N.; Foerster, M.H. Intraocular metastases of metastatic breast carcinoma in the woman. Incidence, risk factors and therapy. Der Ophthalmol. 2000, 97, 342–346. [Google Scholar] [CrossRef] [PubMed]
- Mewis, L.; Young, S.E. Breast Carcinoma Metastatic to the Choroid. Ophthalmology 1982, 89, 147–151. [Google Scholar] [CrossRef]
- Yao, H.Y.; Horng, C.T.; Chen, J.T.; Tsai, M.L. Regression of choroidal metastasis secondary to breast carcinoma with adjuvant intravitreal injection of bevacizumab. Acta Ophthalmol. 2010, 88, e282–e283. [Google Scholar] [CrossRef] [PubMed]
- Miller, K.; Wang, M.; Gralow, J.; Dickler, M.; Cobleigh, M.; Perez, E.A.; Shenkier, T.; Cella, D.; Davidson, N.E. Paclitaxel plus Bevacizumab versus Paclitaxel Alone for Metastatic Breast Cancer. N. Engl. J. Med. 2007, 357, 2666–2676. [Google Scholar] [CrossRef] [PubMed]
- Lin, C.J.; Tsai, Y.Y. The effect of intravitreal bevacizumab and transpupillary thermotherapy on choroidal metastases and literature review. Indian J. Ophthalmol. 2015, 63, 37–41. [Google Scholar] [CrossRef] [PubMed]
- Garcia, J.; Hurwitz, H.I.; Sandler, A.B.; Miles, D.; Coleman, R.L.; Deurloo, R.; Chinot, O.L. Bevacizumab (Avastin®) in cancer treatment: A review of 15 years of clinical experience and future outlook. Cancer Treat. Rev. 2020, 86, 102017. [Google Scholar] [CrossRef] [PubMed]
- Amselem, L.; Cervera, E.; Diaz-Llopis, M.; Montero, J.; Garcia-Pous, M.; Udaondo, P.; García-Delpech, S.; Salom, D. Intravitreal bevacizumab (Avastin) for choroidal metastasis secondary to breast carcinoma: Short-term follow-up. Eye (Lond.) 2007, 21, 566–567. [Google Scholar] [CrossRef] [PubMed]
- Mansour, A.M.; Alameddine, R. Intravitreal bevacizumab for consecutive multiple choroidal breast metastatic lesions. BMJ Case Rep. 2012, 2012, bcr0320126124. [Google Scholar] [CrossRef] [PubMed]
- Augustine, H.; Munro, M.; Adatia, F.; Webster, M.; Fielden, M. Treatment of ocular metastasis with anti-VGF: A literature review and case report. Can. J. Ophthalmol. 2014, 49, 458–463. [Google Scholar] [CrossRef]
- Maudgil, A.; Sears, K.S.; Rundle, P.A.; Rennie, I.G.; Salvi, S.M. Failure of intravitreal bevacizumab in the treatment of choroidal metastasis. Eye 2015, 29, 707–711. [Google Scholar] [CrossRef]
- Arevalo, J.F.; Espinoza, J.V. Indocyanine Green Mediated Photothrombosis and High Dose Intravitreal Bevacizumab as Adjuvant Therapy for Isolated Choroidal Metastasis from Breast Cancer. J. Ophthalmic Vis. Res. 2012, 7, 332–340. [Google Scholar] [PubMed]
- Seidman, C.J.; Finger, P.T.; Silverman, J.S.; Oratz, R. Intravitreal bevacizumab in the management of breast cancer iris metastasis. Retin. Cases Brief Rep. 2017, 11, 47–50. [Google Scholar] [CrossRef]
- Shields, C.L.; Shields, J.A.; Gross, N.E.; Schwartz, G.P.; Lally, S.E. Survey of 520 eyes with uveal metastases. Ophthalmology 1997, 104, 1265–1276. [Google Scholar] [CrossRef]
- Shields, J.A.; Shields, C.L.; Brotman, H.K.; Carvalho, C.; Perez, N.; Eagle, R.C., Jr. Cancer metastatic to the orbit: The 2000 Robert M. Curts Lecture. Ophthalmic Plast. Reconstr. Surg. 2001, 17, 346–354. [Google Scholar] [CrossRef] [PubMed]
- Kreusel, K.-M.; Bechrakis, N.E.; Krause, L.; Wiegel, T.; Foerster, M.H. Incidence and clinical characteristics of symptomatic choroidal metastasis from breast cancer. Acta Ophthalmol. Scand. 2006, 85, 298–302. [Google Scholar] [CrossRef] [PubMed]
- Garrity, J.A.; Henderson, J.W.; Cameron, J.D. Metastatic carcinomas. In Hender-Son’s ORBITAL Tumors, 4th ed.; Raven Press: New York, NY, USA, 2007; pp. 313–326. [Google Scholar]
- Glassburn, J.R.; Klionsky, M.; Brady, L.W. Radiation therapy for metastatic disease involving the orbit. Am. J. Clin. Oncol. 1984, 7, 145–148. [Google Scholar] [CrossRef] [PubMed]
- Fenicia, V.; Abdolrahimzadeh, S.; Mannino, G.; Verrili, S.; Balestrieri, M.; Recupero, S.M. Intravitreal bevacizumab in the suc-cessful management of choroidal metastases secondary to lung and breast cancer unresponsive to systemic therapy: A case series. Eye (Lond.) 2014, 28, 888–891. [Google Scholar] [CrossRef] [PubMed]
- Heiduschka, P.; Fietz, H.; Hofmeister, S.; Schultheiss, S.; Mack, A.F.; Peters, S.; Ziemssen, F.; Niggemann, B.; Julien, S.; Bartz-Schmidt, K.U.; et al. Penetration of Bevacizumab through the Retina after Intravitreal Injection in the Monkey. Investig. Opthalmology Vis. Sci. 2007, 48, 2814–2823. [Google Scholar] [CrossRef] [PubMed]




Publisher’s Note: MDPI stays neutral with regard to jurisdictional claims in published maps and institutional affiliations. |
© 2021 by the authors. Licensee MDPI, Basel, Switzerland. This article is an open access article distributed under the terms and conditions of the Creative Commons Attribution (CC BY) license (https://creativecommons.org/licenses/by/4.0/).
Share and Cite
Lin, I.-H.; Kuo, B.-I.; Liu, F.-Y. Adjuvant Intravitreal Bevacizumab Injection for Choroidal and Orbital Metastases of Refractory Invasive Ductal Carcinoma of the Breast. Medicina 2021, 57, 404. https://doi.org/10.3390/medicina57050404
Lin I-H, Kuo B-I, Liu F-Y. Adjuvant Intravitreal Bevacizumab Injection for Choroidal and Orbital Metastases of Refractory Invasive Ductal Carcinoma of the Breast. Medicina. 2021; 57(5):404. https://doi.org/10.3390/medicina57050404
Chicago/Turabian StyleLin, I-Hung, Bo-I Kuo, and Fang-Yu Liu. 2021. "Adjuvant Intravitreal Bevacizumab Injection for Choroidal and Orbital Metastases of Refractory Invasive Ductal Carcinoma of the Breast" Medicina 57, no. 5: 404. https://doi.org/10.3390/medicina57050404
APA StyleLin, I.-H., Kuo, B.-I., & Liu, F.-Y. (2021). Adjuvant Intravitreal Bevacizumab Injection for Choroidal and Orbital Metastases of Refractory Invasive Ductal Carcinoma of the Breast. Medicina, 57(5), 404. https://doi.org/10.3390/medicina57050404

