A Typical Case Presentation with Spontaneous Visual Recovery in Patient Diagnosed with Leber Hereditary Optic Neuropathy Due to Rare Point Mutation in MT-ND4 Gene (m.11253T>C) and Literature Review
Abstract
1. Introduction
2. Aetiology
3. Clinical Features
3.1. Ocular Symptoms
- Functional:
- Bilateral, painless subacute failure of central vision. In majority of cases, the second eye is usually affected within the period of 12 months (the average is 3–4 months) since initial presentation. Bilateral concurrent visual loss occurs in about 25 percent of the patients. In most cases visual acuity ranges between counting fingers to perception of light which make patients legally blind (V < 0.05). Spontaneous partial visual regression is possible in rare cases and it is more likely to happen for the patients who have m.14484T>C mutation than for those with m.11778G>A or m.3460G>A pathogenic variant [2]. Other factors of better prognosis were estimated, such as earlier onset of LHON (age < 10 years), subacute manifestation of LHON with slow deterioration of visual acuity and a relatively large optic nerve disc [19,20,21].
- Loss of colour vision affecting mostly the red-green system [20].
- Reduced contrast sensitivity.
- Structural changes:
- Each stage of LHON (described below) has characteristic features of fundus appearance.
3.2. Extraocular Symptoms and Signs (LHON Plus Syndrome)
- Neurological signs:
- Postural tremor
- Peripheral neuropathies
- Movement disorders
- Multiple sclerosis-like illness (Harding syndrome: MS and LHON symptoms occur together)
- Nonspecific myopathy
- Cardiac arrhythmias
3.3. Other Neurological Signs Which Are Associated with LHON
4. Stages of LHON
- Asymptomatic (the carriers of the mutation). Using optical coherence tomography (OCT) imaging, thickening of the temporal retinal nerve fibre layer was confirmed in asymptomatic individuals with a LHON—causing mtDNA pathogenic variant, providing evidence that the papillomacular bundle is particularly vulnerable in LHON [31].
- Subacute (from the manifestation of LHON to 6 months). Patients are usually asymptomatic until they develop visual blurring affecting the central visual field in the first eye (acute phase). Similar symptoms appear in the other eye an average of two to three months later, so that both eyes are affected in the majority of cases within six months. Unilateral damage of the optic nerve is very rare in patients with LHON and in such cases another underlying pathologic process should be actively excluded. The most common characteristic is an enlarging central or centrocecal scotoma and as the field defect increases in size and density, visual acuity deteriorates to the level of counting fingers or worse. In this stage, even for the asymptomatic patients, specific alterations of the fundus could be observed: retinal telangiectasia of the peripapillary vessels, edema of the peripapillary retinal nerve fibre layer, which progress, and eventually atrophy of optic nerve occurs [5].
- Dynamic (from months 6 to 12). Alterations of the fundus, which occur in the subacute stage, are slowly regressing: the edema of the peripapillary retinal nerve fibre layer is decreasing.
- Chronic (more than 12 months). In this stage, optic nerve atrophy is progressing at various rates: it could be observed from 6 weeks to more than 1 year after the loss of vision. Central or centrocecal scotoma is enlarging. Most patients remain severely visually impaired and are within the legal requirements for blind registration [32]. OCT shows the retinal fibre layer thinning, especially in temporal zones.
5. Diagnostics
- Targeted gene panel test. The three most common mtDNA pathogenic variants consist 90–95% of those causing LHON. Targeted testing is the first test choice for searching one of these three variants.
- A multi-gene panel that includes the mitochondrial genes namely, MT-ND1, MT-ND2, MT-ND4, MT-ND4L, MT-ND5, and MT-ND6, that encode subunits of NADH dehydrogenase. The included genes and the sensitivity of multi-gene panels vary by laboratory and over time. Performing this test, not only the most frequent but also rare pathological variants could be determined [42].
- Whole mtDNA sequencing if pathogenic variant has not been identified during previous genetic testing.
6. Treatment
| Therapeutic Options | Mechanism of Action | Findings in Clinical Studies |
|---|---|---|
| 1. Nutritional Supplements (Combinations of vitamins (B2, B3, B12, C, E and folic acid). | Increase mitochondrial respiration and simultaneously scavenges free radicals to reduce reactive oxygen species (ROS) and toxic acyl coenzyme A molecules [53]. | Effective in combination with Idobenem [54] but effectiveness used as monotherapy in patients with Leber hereditary optic neuropathy (LHON) remains limited and variable [53,55]. |
| 2. Brimonidine | Topical a2-agonist. Neuroprotective action in a variety of animal models [56]. | Failed in a clinical trial for prophylaxis for second eye involvement in LHON carriers [57]. |
| 3. Cyclosporin A | Has an antiapoptotic effect by holding the mitochondrial permeability transition pore closed [58]. | It was thought that these drugs may be beneficial in the early stages of LHON by modifying the natural disease progression but study showed that they did not prevent second-eye involvement [59]. |
| 4. Phytoestrogens | Targeting estrogen receptor b improve cell viability by reducing apoptosis, inducing mitochondrial biogenesis and strongly reducing the levels of ROS in LHON cells [60]. | Treatment should prevent the loss of vision in unaffected individuals carrying the mutation. Studies were made only in vitro, and this method remains experimental pending further evidence [60]. |
| 5. Coenzyme Q10 (available as a nutritional supplement) | Ubiquinone, known as Coenzyme Q10, is a lipophilic electron carrier and endogenous antioxidant found in all cellular membranes. | Only a few case reports of improvement of visual acuity have been published [61,62]. |
| 6. Gene therapy | Intravitreal delivery of gene therapy when defective gene is replaced with a normal wild-type gene. | Long-term study demonstrated further the potential of gene therapy as a promising safe and effective treatment option. Further studies needed [52]. |
| 7. Stem Cells | Utilizes autologous bone-marrow- derived stem cells to treat optic nerve and retinal diseases. | The Stem Cell Ophthalmology Treatment Study (SCOTS) showed that patients with LHON had visual acuity gains and visual field improvement without serious complications. However, further research is needed to examine the role of stem cells in the treatment of LHON [51]. |
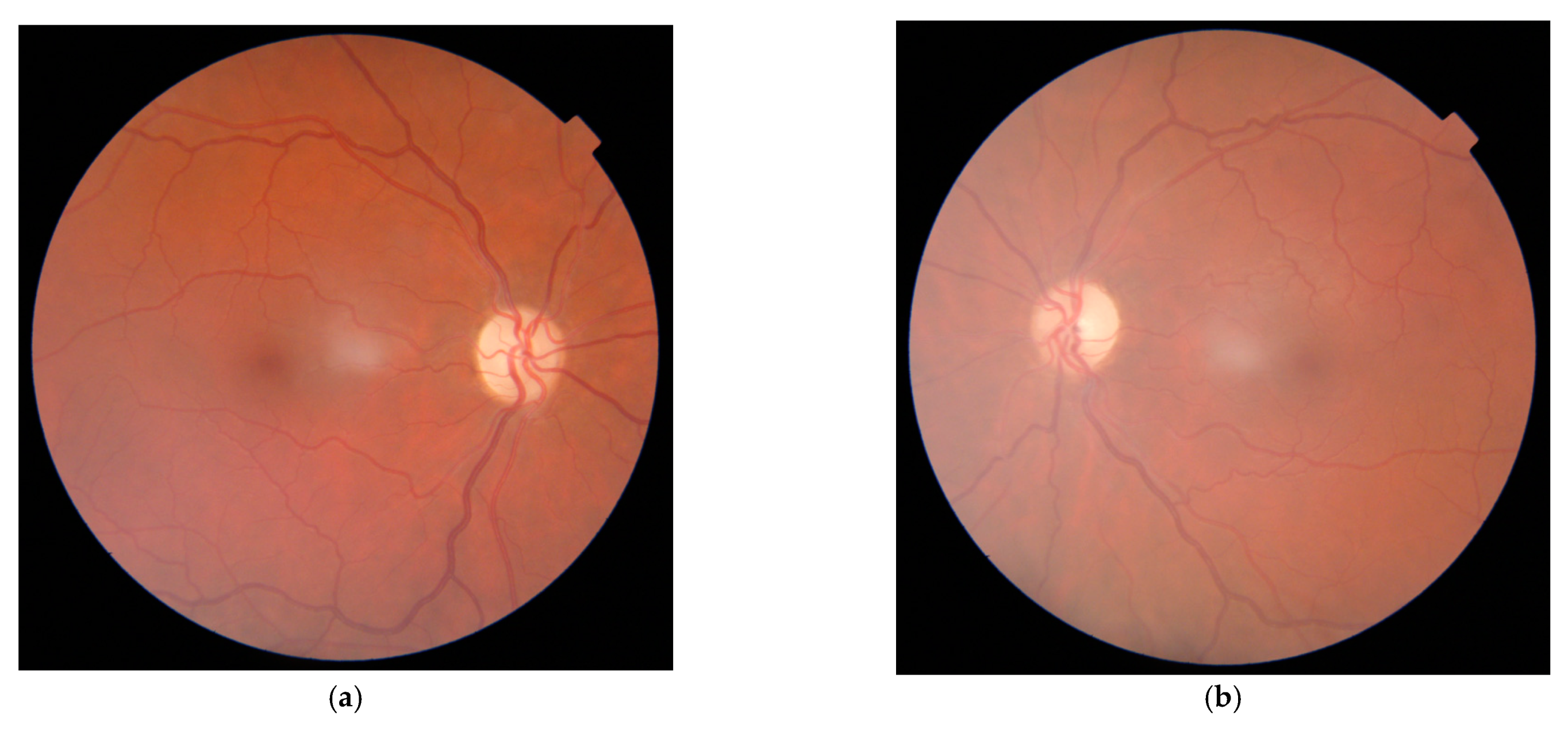
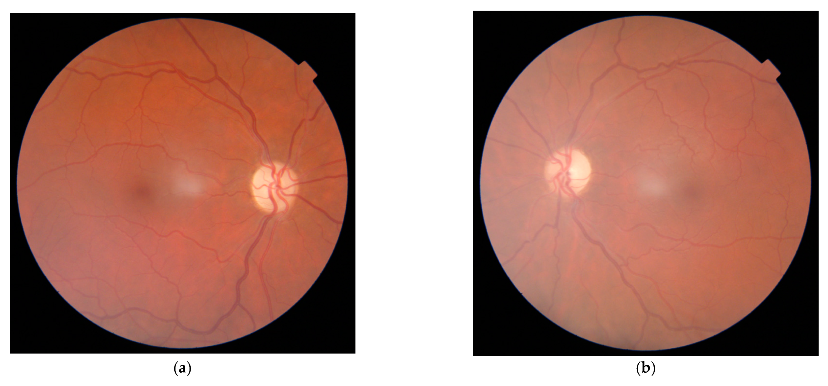
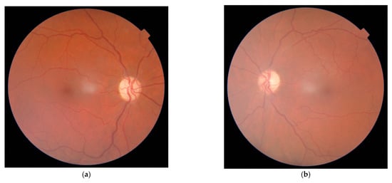
7. Case Report
8. Discussion
Author Contributions
Funding
Institutional Review Board Statement
Informed Consent Statement
Data Availability Statement
Conflicts of Interest
Abbreviations
| LHON | Leber hereditary optic neuropathy |
| EMA | European Medicines Agency |
| RGCs | Retinal ganglion cells |
| MS | multiple sclerosis |
| MRI | magnetic resonance imaging |
| ONH | optic nerve head |
| VEP | visual evoked potentials |
| mtDNA | mitochondrial deoxyribonucleic acid |
| pERG | pattern electroretinography |
| phNR | photopic negative response |
| OCT | optical coherence tomography |
| ATP | adenosine triphosphate |
| ROS | reactive oxygen species |
| SCOTS | Stem Cell Ophthalmology Treatment Study |
| DGGE | denaturing gradient gel electrophoresis |
| CFTR | cystic fibrosis transmembrane conductance regulator |
| CF | cystic fibrosis |
| EEG | electroencephalography |
| IOP | intraocular pressure |
| VA | visual acuity |
References
- Fraser, J.A.; Biousse, V.; Newman, N.J. The Neuro-Ophthalmology of Mitochondrial Disease. Surv. Ophthalmol. 2010, 55, 299–334. [Google Scholar] [CrossRef] [PubMed]
- Mascialino, B.; Leinonen, M.; Meier, T. Meta-Analysis of the Prevalence of Leber Hereditary Optic Neuropathy MtDNA Mutations in Europe. Eur. J. Ophthalmol. 2012, 22, 461–465. [Google Scholar] [CrossRef] [PubMed]
- Ueda, K.; Morizane, Y.; Shiraga, F.; Shikishima, K.; Ishikawa, H.; Wakakura, M.; Nakamura, M. Nationwide Epidemiological Survey of Leber Hereditary Optic Neuropathy in Japan. J. Epidemiol. 2017, 27, 447–450. [Google Scholar] [CrossRef] [PubMed]
- Dimitriadis, K.; Leonhardt, M.; Yu-Wai-Man, P.; Kirkman, M.A.; Korsten, A.; De Coo, I.F.; Chinnery, P.F.; Klopstock, T. Leber’s Hereditary Optic Neuropathy with Late Disease Onset: Clinical and Molecular Characteristics of 20 Patients. Orphanet J. Rare Dis. 2014, 9, 158. [Google Scholar] [CrossRef]
- Nikoskelainen, E.K. Clinical Picture of LHON. Clin. Neurosci. 1994, 2, 115–120. [Google Scholar]
- Yu-Wai-Man, P.; Votruba, M.; Burté, F.; La Morgia, C.; Barboni, P.; Carelli, V. A Neurodegenerative Perspective on Mitochondrial Optic Neuropathies. Acta Neuropathol. 2016, 132, 789–806. [Google Scholar] [CrossRef] [PubMed]
- Tsao, K.; Aitken, P.A.; Johns, D.R. Smoking as an Aetiological Factor in a Pedigree with Leber’s Hereditary Optic Neuropathy. Br. J. Ophthalmol. 1999, 83, 577–581. [Google Scholar] [CrossRef] [PubMed]
- Sadun, A.A.; Carelli, V.; Salomao, S.R.; Berezovsky, A.; Quiros, P.A.; Sadun, F.; DeNegri, A.-M.; Andrade, R.; Moraes, M.; Passos, A.; et al. Extensive Investigation of a Large Brazilian Pedigree of 11778/Haplogroup J Leber Hereditary Optic Neuropathy. Am. J. Ophthalmol. 2003, 136, 231–238. [Google Scholar] [CrossRef]
- Kirkman, M.A.; Yu-Wai-Man, P.; Korsten, A.; Leonhardt, M.; Dimitriadis, K.; De Coo, I.F.; Klopstock, T.; Chinnery, P.F. Gene-Environment Interactions in Leber Hereditary Optic Neuropathy. Brain 2009, 132, 2317–2326. [Google Scholar] [CrossRef] [PubMed]
- Prokai-Tatrai, K.; Xin, H.; Nguyen, V.; Szarka, S.; Blazics, B.; Prokai, L.; Koulen, P. 17β-Estradiol Eye Drops Protect the Retinal Ganglion Cell Layer and Preserve Visual Function in an in Vivo Model of Glaucoma. Mol. Pharm. 2013, 10, 3253–3261. [Google Scholar] [CrossRef] [PubMed]
- Zhou, X.; Li, F.; Ge, J.; Sarkisian, S.R.; Tomita, H.; Zaharia, A.; Chodosh, J.; Cao, W. Retinal Ganglion Cell Protection by 17-β-Estradiol in a Mouse Model of Inherited Glaucoma. Dev. Neurobiol. 2007, 67, 603–616. [Google Scholar] [CrossRef]
- Da, Y.; Zhang, X.; Li, F.; Yang, X.; Zhang, X.; Jia, J. Posterior Reversible Encephalopathy Syndrome in a Leber Hereditary Optic Neuropathy Patient With Mitochondrial DNA 11778G>A Point Mutation. J. Neuro-Ophthalmol. 2013, 33, 276–278. [Google Scholar] [CrossRef] [PubMed]
- Carelli, V. Leber’s Hereditary Optic Neuropathy (LHON/11778) with Myoclonus: Report of Two Cases. J. Neurol. Neurosurg. Psychiatry 2001, 71, 813–816. [Google Scholar] [CrossRef]
- Grazina, M.M.; Diogo, L.M.; Garcia, P.C.; Silva, E.D.; Garcia, T.D.; Robalo, C.B.; Oliveira, C.R. Atypical Presentation of Leber’s Hereditary Optic Neuropathy Associated to MtDNA 11778G>A Point Mutation—A Case Report. Eur. J. Paediatr. Neurol. 2007, 11, 115–118. [Google Scholar] [CrossRef] [PubMed]
- Harding, A.E.; Sweeney, M.G.; Miller, D.H.; Mumford, C.J.; Kellar-Wood, H.; Menard, D.; McDonald, W.I.; Compston, D.A.S. Occurrence of a Multiple Sclerosis-like Illness in Women Who Have a Leber’s Hereditary Optic Neuropathy Mitochondrial DNA Mutation. Brain 1992, 115, 979–989. [Google Scholar] [CrossRef] [PubMed]
- Hwang, J.-M.; Chang, B.L.; Park, S.S. Leber’s Hereditary Optic Neuropathy Mutations in Korean Patients with Multiple Sclerosis. Ophthalmologica 2001, 215, 398–400. [Google Scholar] [CrossRef]
- Barboni, P.; Savini, G.; Valentino, M.L.; La Morgia, C.; Bellusci, C.; De Negri, A.M.; Sadun, F.; Carta, A.; Carbonelli, M.; Sadun, A.A.; et al. Leber’s Hereditary Optic Neuropathy with Childhood Onset. Investig. Opthalmology Vis. Sci. 2006, 47, 5303. [Google Scholar] [CrossRef]
- do VF Ramos, C.; Bellusci, C.; Savini, G.; Carbonelli, M.; Berezovsky, A.; Tamaki, C.; Cinoto, R.; Sacai, P.Y.; Moraes-Filho, M.N.; Miura, H.M.P.P.; et al. Association of Optic Disc Size with Development and Prognosis of Leber’s Hereditary Optic Neuropathy. Investig. Opthalmology Vis. Sci. 2009, 50, 1666. [Google Scholar] [CrossRef] [PubMed]
- Carelli, V.; Ross-Cisneros, F.; Sadun, A.A. Mitochondrial Dysfunction as a Cause of Optic Neuropathies. Prog. Retin. Eye Res. 2004, 23, 53–89. [Google Scholar] [CrossRef]
- Ventura, D.F.; Gualtieri, M.; Oliveira, A.G.F.; Costa, M.F.; Quiros, P.; Sadun, F.; de Negri, A.M.; Saloma~o, S.R.; Berezovsky, A.; Sherman, J.; et al. Male Prevalence of Acquired Color Vision Defects in Asymptomatic Carriers of Leber’s Hereditary Optic Neuropathy. Investig. Opthalmology Vis. Sci. 2007, 48, 2362. [Google Scholar] [CrossRef]
- Newman, N.J.; Biousse, V.; Newman, S.A.; Bhatti, M.T.; Hamilton, S.R.; Farris, B.K.; Lesser, R.L.; Turbin, R.E. Progression of Visual Field Defects in Leber Hereditary Optic Neuropathy: Experience of the LHON Treatment Trial. Am. J. Ophthalmol. 2006, 141, 1061–1067.e1. [Google Scholar] [CrossRef] [PubMed]
- Sadun, A.A.; La Morgia, C.; Carelli, V. Leber’s Hereditary Optic Neuropathy. Curr. Treat. Options Neurol. 2011, 13, 109–117. [Google Scholar] [CrossRef] [PubMed]
- Holder, G.E. Electrophysiological Assessment of Optic Nerve Disease. Eye 2004, 18, 1133–1143. [Google Scholar] [CrossRef] [PubMed]
- Karanjia, R.; Berezovsky, A.; Sacai, P.Y.; Cavascan, N.N.; Liu, H.Y.; Nazarali, S.; Moraes-Filho, M.N.; Anderson, K.; Tran, J.S.; Watanabe, S.E.; et al. The Photopic Negative Response: An Objective Measure of Retinal Ganglion Cell Function in Patients With Leber’s Hereditary Optic Neuropathy. Investig. Opthalmology Vis. Sci. 2017, 58, BIO300. [Google Scholar] [CrossRef] [PubMed]
- McFarland, R.; Chinnery, P.F.; Blakely, E.L.; Schaefer, A.M.; Morris, A.A.M.; Foster, S.M.; Tuppen, H.A.L.; Ramesh, V.; Dorman, P.J.; Turnbull, D.M.; et al. Homoplasmy, Heteroplasmy, and Mitochondrial Dystonia. Neurology 2007, 69, 911–916. [Google Scholar] [CrossRef]
- Martikainen, M.H.; Ng, Y.S.; Gorman, G.S.; Alston, C.L.; Blakely, E.L.; Schaefer, A.M.; Chinnery, P.F.; Burn, D.J.; Taylor, R.W.; McFarland, R.; et al. Clinical, Genetic, and Radiological Features of Extrapyramidal Movement Disorders in Mitochondrial Disease. JAMA Neurol. 2016, 73, 668. [Google Scholar] [CrossRef] [PubMed]
- Pfeffer, G.; Burke, A.; Yu-Wai-Man, P.; Compston, D.A.; Chinnery, P.F. Clinical Features of MS Associated with Leber Hereditary Optic Neuropathy MtDNA Mutations. Neurology 2013, 81, 2073–2081. [Google Scholar] [CrossRef] [PubMed]
- Bhatti, M.T.; Newman, N.J. A Multiple Sclerosis-like Illness in a Man Harboring the MtDNA 14484 Mutation. J. Neuroophthalmol. 1999, 19, 28–33. [Google Scholar] [CrossRef]
- Horváth, R.; Abicht, A.; Shoubridge, E.A.; Karcagi, V.; Rózsa, C.; Komoly, S.; Lochmüller, H. Leber’s Hereditary Optic Neuropathy Presenting as Multiple Sclerosis-like Disease of the CNS. J. Neurol. 2000, 247, 65–67. [Google Scholar] [CrossRef]
- Palace, J. Multiple Sclerosis Associated with Leber’s Hereditary Optic Neuropathy. J. Neurol. Sci. 2009, 286, 24–27. [Google Scholar] [CrossRef] [PubMed]
- Savini, G.; Barboni, P.; Valentino, M.; Montagna, P.; Corteli, P.; Denegri, A.; Sadun, F.; Bianchi, S.; Longanesi, L.; Zanini, M. Retinal Nerve Fiber Layer Evaluation by Optical Coherence Tomography in Unaffected Carriers with Leber’s Hereditary Optic Neuropathy Mutations. Ophthalmology 2005, 112, 127–131. [Google Scholar] [CrossRef]
- Kirkman, M.A.; Korsten, A.; Leonhardt, M.; Dimitriadis, K.; De Coo, I.F.; Klopstock, T.; Griffiths, P.G.; Hudson, G.; Chinnery, P.F.; Yu-Wai-Man, P. Quality of Life in Patients with Leber Hereditary Optic Neuropathy. Investig. Opthalmology Vis. Sci. 2009, 50, 3112. [Google Scholar] [CrossRef] [PubMed]
- Puomila, A.; Hämäläinen, P.; Kivioja, S.; Savontaus, M.-L.; Koivumäki, S.; Huoponen, K.; Nikoskelainen, E. Epidemiology and Penetrance of Leber Hereditary Optic Neuropathy in Finland. Eur. J. Hum. Genet. 2007, 15, 1079–1089. [Google Scholar] [CrossRef]
- Bower, S.P.C.; Hawley, I.; Mackey, D.A. Cardiac Arrhythmia and Leber’s Hereditary Optic Neuropathy. Lancet 1992, 339, 1427–1428. [Google Scholar] [CrossRef]
- Matthews, L.; Enzinger, C.; Fazekas, F.; Rovira, A.; Ciccarelli, O.; Dotti, M.T.; Filippi, M.; Frederiksen, J.L.; Giorgio, A.; Küker, W.; et al. MRI in Leber’s Hereditary Optic Neuropathy: The Relationship to Multiple Sclerosis. J. Neurol. Neurosurg. Psychiatry 2015, 86, 537–542. [Google Scholar] [CrossRef]
- Mackey, D.A.; Oostra, R.J.; Rosenberg, T.; Nikoskelainen, E.; Bronte-Stewart, J.; Poulton, J.; Harding, A.E.; Govan, G.; Bolhuis, P.A.; Norby, S. Primary Pathogenic MtDNA Mutations in Multigeneration Pedigrees with Leber Hereditary Optic Neuropathy. Am. J. Hum. Genet. 1996, 59, 481–485. [Google Scholar] [PubMed]
- Mashima, Y.; Yamada, K.; Wakakura, M.; Kigasawa, K.; Kudoh, J.; Shimizu, N.; Oguchi, Y. Spectrum of Pathogenic Mitochondrial DNA Mutations and Clinical Features in Japanese Families with Leber’s Hereditary Optic Neuropathy. Curr. Eye Res. 1998, 17, 403–408. [Google Scholar] [CrossRef] [PubMed]
- Jia, X.; Li, S.; Xiao, X.; Guo, X.; Zhang, Q. Molecular Epidemiology of MtDNA Mutations in 903 Chinese Families Suspected with Leber Hereditary Optic Neuropathy. J. Hum. Genet. 2006, 51, 851–856. [Google Scholar] [CrossRef]
- Macmillan, C.; Kirkham, T.; Fu, K.; Allison, V.; Andermann, E.; Chitayat, D.; Fortier, D.; Gans, M.; Hare, H.; Quercia, N.; et al. Pedigree Analysis of French Canadian Families with T14484C Leber’s Hereditary Optic Neuropathy. Neurology 1998, 50, 417–422. [Google Scholar] [CrossRef] [PubMed]
- Man, P.Y.W.; Griffiths, P.G.; Brown, D.T.; Howell, N.; Turnbull, D.M.; Chinnery, P.F. The Epidemiology of Leber Hereditary Optic Neuropathy in the North East of England. Am. J. Hum. Genet. 2003, 72, 333–339. [Google Scholar] [CrossRef]
- Chinnery, P.F.; Andrews, R.M.; Turnbull, D.M.; Howell, N. Leber Hereditary Optic Neuropathy: Does Heteroplasmy Influence the Inheritance and Expression of the G11778A Mitochondrial DNA Mutation? Am. J. Med. Genet. 2001, 98, 235–243. [Google Scholar] [CrossRef]
- Jurkute, N.; Majander, A.; Bowman, R.; Votruba, M.; Abbs, S.; Acheson, J.; Lenaers, G.; Amati-Bonneau, P.; Moosajee, M.; Arno, G.; et al. Clinical Utility Gene Card for: Inherited Optic Neuropathies Including next-Generation Sequencing-Based Approaches. Eur. J. Hum. Genet. 2019, 27, 494–502. [Google Scholar] [CrossRef] [PubMed]
- Lyseng-Williamson, K.A. Idebenone: A Review in Leber’s Hereditary Optic Neuropathy. Drugs 2016, 76, 805–813. [Google Scholar] [CrossRef] [PubMed]
- Heitz, F.D.; Erb, M.; Anklin, C.; Robay, D.; Pernet, V.; Gueven, N. Idebenone Protects against Retinal Damage and Loss of Vision in a Mouse Model of Leber’s Hereditary Optic Neuropathy. PLoS ONE 2012, 7, e45182. [Google Scholar] [CrossRef] [PubMed]
- Carelli, V.; Carbonelli, M.; de Coo, I.F.; Kawasaki, A.; Klopstock, T.; Lagrèze, W.A.; La Morgia, C.; Newman, N.J.; Orssaud, C.; Pott, J.W.R.; et al. International Consensus Statement on the Clinical and Therapeutic Management of Leber Hereditary Optic Neuropathy. J. Neuro-Ophthalmol. 2017, 37, 371–381. [Google Scholar] [CrossRef] [PubMed]
- Raxone: EPAR-Product information. Available online: https://www.ema.europa.eu/en/medicines/human/EPAR/raxone (accessed on 20 February 2021).
- Klopstock, T.; Yu-Wai-Man, P.; Dimitriadis, K.; Rouleau, J.; Heck, S.; Bailie, M.; Atawan, A.; Chattopadhyay, S.; Schubert, M.; Garip, A.; et al. A Randomized Placebo-Controlled Trial of Idebenone in Leber’s Hereditary Optic Neuropathy. Brain 2011, 134, 2677–2686. [Google Scholar] [CrossRef]
- Klopstock, T.; Metz, G.; Yu-Wai-Man, P.; Büchner, B.; Gallenmüller, C.; Bailie, M.; Nwali, N.; Griffiths, P.G.; von Livonius, B.; Reznicek, L.; et al. Persistence of the Treatment Effect of Idebenone in Leber’s Hereditary Optic Neuropathy. Brain 2013, 136, e230-e230. [Google Scholar] [CrossRef] [PubMed]
- Johns, D.R. Leber’s Hereditary Optic Neuropathy. Arch. Ophthalmol. 1992, 110, 1577. [Google Scholar] [CrossRef] [PubMed]
- Llória, X. 13th EUNOS Congress. Neuro-Ophthalmology 2017, 41, Poster PA75. [Google Scholar] [CrossRef][Green Version]
- Weiss, J.; Levy, S.; Benes, S. Stem Cell Ophthalmology Treatment Study (SCOTS): Bone Marrow-Derived Stem Cells in the Treatment of Leber′s Hereditary Optic Neuropathy. Neural Regen. Res. 2016, 11, 1685. [Google Scholar] [CrossRef]
- Yuan, J.; Zhang, Y.; Liu, H.; Wang, D.; Du, Y.; Tian, Z.; Li, X.; Yang, S.; Pei, H.; Wan, X.; et al. Seven-Year Follow-up of Gene Therapy for Leber’s Hereditary Optic Neuropathy. Ophthalmology 2020, 127, 1125–1127. [Google Scholar] [CrossRef]
- Iyer, S. Novel Therapeutic Approaches for Leber’s Hereditary Optic Neuropathy. Discov. Med. 2013, 15, 141–149. [Google Scholar] [PubMed]
- Mashima, Y.; Kigasawa, K.; Wakakura, M.; Oguchi, Y. Do Idebenone and Vitamin Therapy Shorten the Time to Achieve Visual Recovery in Leber Hereditary Optic Neuropathy? J. Neuro-Ophthalmol. 2000, 20, 166–170. [Google Scholar] [CrossRef]
- Theodorou-Kanakari, A.; Karampitianis, S.; Karageorgou, V.; Kampourelli, E.; Kapasakis, E.; Theodossiadis, P.; Chatziralli, I. Current and Emerging Treatment Modalities for Leber’s Hereditary Optic Neuropathy: A Review of the Literature. Adv. Ther. 2018, 35, 1510–1518. [Google Scholar] [CrossRef] [PubMed]
- Wheeler, L.; WoldeMussie, E.; Lai, R. Role of Alpha-2 Agonists in Neuroprotection. Surv. Ophthalmol. 2003, 48, S47–S51. [Google Scholar] [CrossRef]
- Newman, N.J.; Biousse, V.; David, R.; Bhatti, M.T.; Hamilton, S.R.; Farris, B.K.; Lesser, R.L.; Newman, S.A.; Turbin, R.E.; Chen, K.; et al. Prophylaxis for Second Eye Involvement in Leber Hereditary Optic Neuropathy: An Open-Labeled, Nonrandomized Multicenter Trial of Topical Brimonidine Purite. Am. J. Ophthalmol. 2005, 140, 407.e1–407.e11. [Google Scholar] [CrossRef] [PubMed]
- Porcelli, A.M.; Angelin, A.; Ghelli, A.; Mariani, E.; Martinuzzi, A.; Carelli, V.; Petronilli, V.; Bernardi, P.; Rugolo, M. Respiratory Complex I Dysfunction Due to Mitochondrial DNA Mutations Shifts the Voltage Threshold for Opening of the Permeability Transition Pore toward Resting Levels. J. Biol. Chem. 2009, 284, 2045–2052. [Google Scholar] [CrossRef] [PubMed]
- Leruez, S.; Verny, C.; Bonneau, D.; Procaccio, V.; Lenaers, G.; Amati-Bonneau, P.; Reynier, P.; Scherer, C.; Prundean, A.; Orssaud, C.; et al. Cyclosporine A Does Not Prevent Second-Eye Involvement in Leber’s Hereditary Optic Neuropathy. Orphanet J. Rare Dis. 2018, 13, 33. [Google Scholar] [CrossRef]
- Pisano, A.; Preziuso, C.; Iommarini, L.; Perli, E.; Grazioli, P.; Campese, A.F.; Maresca, A.; Montopoli, M.; Masuelli, L.; Sadun, A.A.; et al. Targeting Estrogen Receptor β as Preventive Therapeutic Strategy for Leber’s Hereditary Optic Neuropathy. Hum. Mol. Genet. 2015, ddv396. [Google Scholar] [CrossRef] [PubMed]
- Huang, C.-C.; Kuo, H.-C.; Chu, C.-C.; Kao, L.-Y. Rapid Visual Recovery After Coenzyme Q10 Treatment of Leber Hereditary Optic Neuropathy. J. Neuro-Ophthalmol. 2002, 22, 66. [Google Scholar] [CrossRef]
- Geromel, V.; Darin, N.; Chrétien, D.; Bénit, P.; DeLonlay, P.; Rötig, A.; Munnich, A.; Rustin, P. Coenzyme Q10 and Idebenone in the Therapy of Respiratory Chain Diseases: Rationale and Comparative Benefits. Mol. Genet. Metab. 2002, 77, 21–30. [Google Scholar] [CrossRef]
- Leo-Kottler, B.; Luberichs, J.; Besch, D.; Christ-Adler, M.; Fauser, S. Leber’s Hereditary Optic Neuropathy: Clinical and Molecular Genetic Results in a Patient with a Point Mutation at Np T11253C (Isoleucine to Threonine) in the ND4 Gene and Spontaneous Recovery. Graefe’s Arch. Clin. Exp. Ophthalmol. 2002, 240, 758–764. [Google Scholar] [CrossRef] [PubMed]
- Hsu, T.-K.; Wang, A.-G.; Yen, M.-Y.; Liu, J.-H. Leber’s Hereditary Optic Neuropathy Masquerading as Optic Neuritis with Spontaneous Visual Recovery. Clin. Exp. Optom. 2014, 97, 84–86. [Google Scholar] [CrossRef] [PubMed]
- Emperador, S.; Vidal, M.; Hernández-Ainsa, C.; Ruiz-Ruiz, C.; Woods, D.; Morales-Becerra, A.; Arruga, J.; Artuch, R.; López-Gallardo, E.; Bayona-Bafaluy, M.P.; et al. The Decrease in Mitochondrial DNA Mutation Load Parallels Visual Recovery in a Leber Hereditary Optic Neuropathy Patient. Front. Neurosci. 2018, 12. [Google Scholar] [CrossRef] [PubMed]
- Moon, Y.; Kim, U.S.; Han, J.; Ahn, H.; Lim, H.T. Clinical and Optic Disc Characteristics of Patients Showing Visual Recovery in Leber Hereditary Optic Neuropathy. J. Neuro-Ophthalmol. 2020, 40, 15–21. [Google Scholar] [CrossRef] [PubMed]
- Pemp, B.; Kircher, K.; Reitner, A. Visual Function in Chronic Leber’s Hereditary Optic Neuropathy during Idebenone Treatment Initiated 5 to 50 Years after Onset. Graefe’s Arch. Clin. Exp. Ophthalmol. 2019, 257, 2751–2757. [Google Scholar] [CrossRef] [PubMed]






Publisher’s Note: MDPI stays neutral with regard to jurisdictional claims in published maps and institutional affiliations. |
© 2021 by the authors. Licensee MDPI, Basel, Switzerland. This article is an open access article distributed under the terms and conditions of the Creative Commons Attribution (CC BY) license (http://creativecommons.org/licenses/by/4.0/).
Share and Cite
Liutkeviciene, R.; Sidaraite, A.; Kuliaviene, L.; Glebauskiene, B.; Jurkute, N.; Aluzaite-Baranauskiene, L.; Gelzinis, A.; Zemaitiene, R. A Typical Case Presentation with Spontaneous Visual Recovery in Patient Diagnosed with Leber Hereditary Optic Neuropathy Due to Rare Point Mutation in MT-ND4 Gene (m.11253T>C) and Literature Review. Medicina 2021, 57, 202. https://doi.org/10.3390/medicina57030202
Liutkeviciene R, Sidaraite A, Kuliaviene L, Glebauskiene B, Jurkute N, Aluzaite-Baranauskiene L, Gelzinis A, Zemaitiene R. A Typical Case Presentation with Spontaneous Visual Recovery in Patient Diagnosed with Leber Hereditary Optic Neuropathy Due to Rare Point Mutation in MT-ND4 Gene (m.11253T>C) and Literature Review. Medicina. 2021; 57(3):202. https://doi.org/10.3390/medicina57030202
Chicago/Turabian StyleLiutkeviciene, Rasa, Agne Sidaraite, Lina Kuliaviene, Brigita Glebauskiene, Neringa Jurkute, Lina Aluzaite-Baranauskiene, Arvydas Gelzinis, and Reda Zemaitiene. 2021. "A Typical Case Presentation with Spontaneous Visual Recovery in Patient Diagnosed with Leber Hereditary Optic Neuropathy Due to Rare Point Mutation in MT-ND4 Gene (m.11253T>C) and Literature Review" Medicina 57, no. 3: 202. https://doi.org/10.3390/medicina57030202
APA StyleLiutkeviciene, R., Sidaraite, A., Kuliaviene, L., Glebauskiene, B., Jurkute, N., Aluzaite-Baranauskiene, L., Gelzinis, A., & Zemaitiene, R. (2021). A Typical Case Presentation with Spontaneous Visual Recovery in Patient Diagnosed with Leber Hereditary Optic Neuropathy Due to Rare Point Mutation in MT-ND4 Gene (m.11253T>C) and Literature Review. Medicina, 57(3), 202. https://doi.org/10.3390/medicina57030202

