Krukenberg Tumor in Association with Ureteral Stenosis Due to Peritoneal Carcinomatosis from Pulmonary Adenocarcinoma: A Case Report
Abstract
1. Introduction
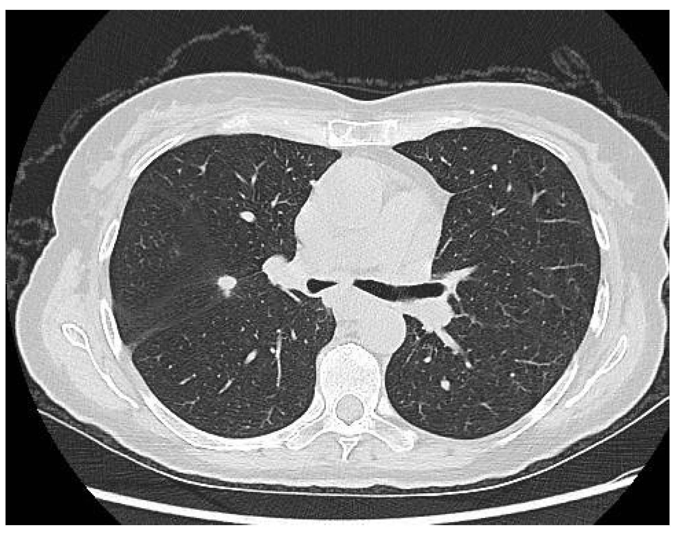
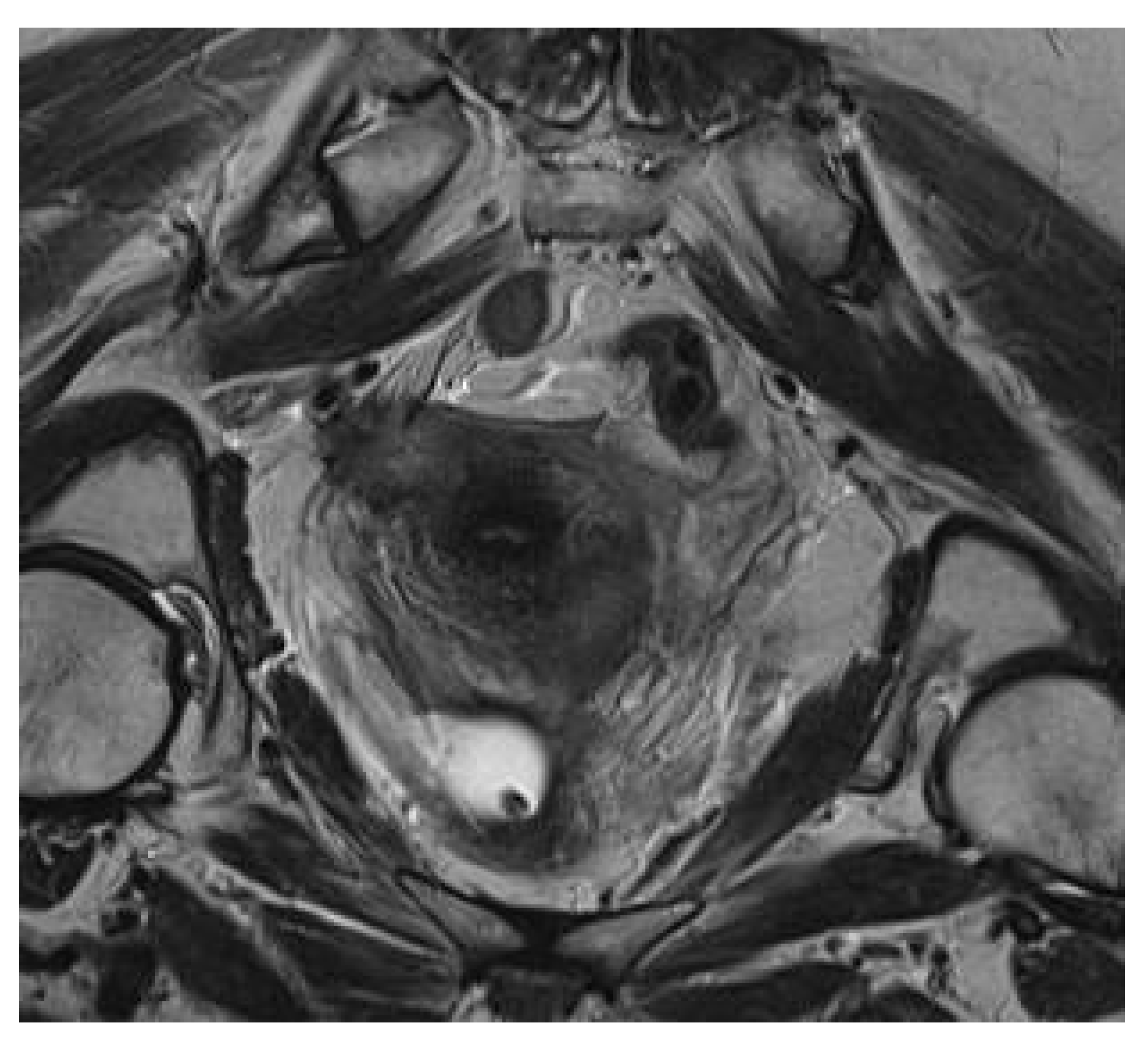
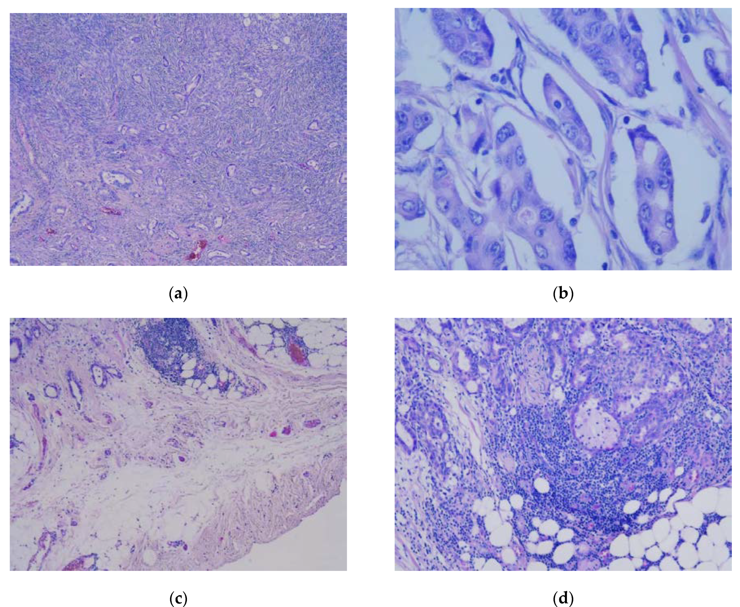
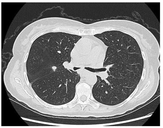
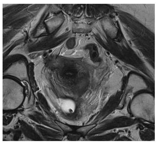
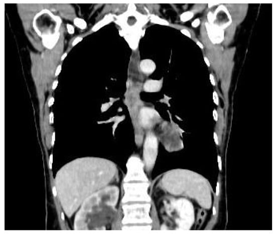
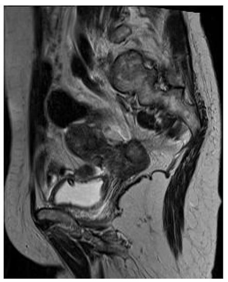
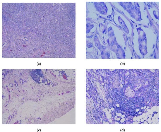
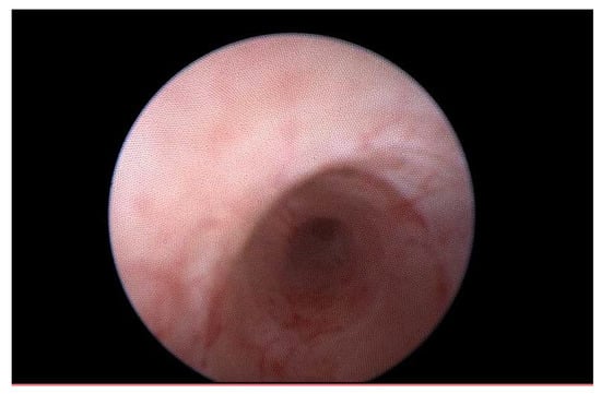
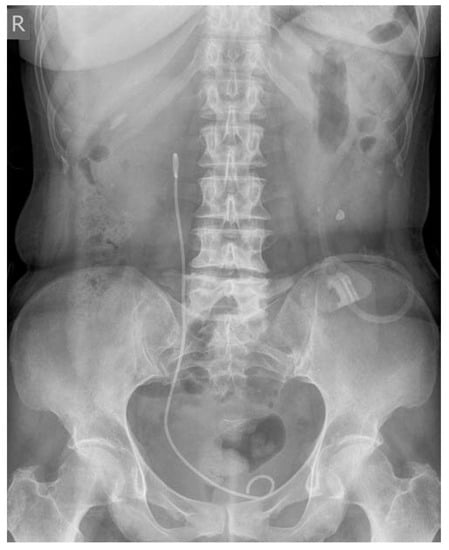
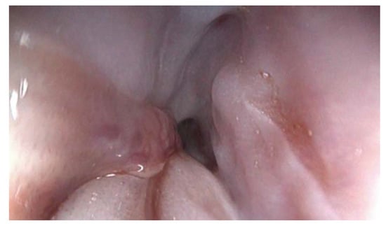
2. Case Report
3. Discussion
4. Conclusions
Author Contributions
Funding
Conflicts of Interest
References
- Aziz, M.; Kasi, A. Cancer, Krukenberg Tumor; StatPearls Publishing: Treasure Island, FL, USA, 2018. [Google Scholar]
- Man, M.; Cazacu, M.; Oniu, T. Krukenberg tumors of gastric origin versus krukenberg tumors of colorectal origin. Chirurgia 2007, 102, 407–410. [Google Scholar] [PubMed]
- McGill, F.; Ritter, D.B.; Rickard, C.; Kaleya, R.N.; Wadler, S.; Greston, W.M. Management of krukenberg tumors: An 11-year experience and review of the literature. Prim. Care Update. Ob Gyns 1998, 5, 157–1588. [Google Scholar] [CrossRef]
- Losito, N.S.; Scaffa, C.; Cantile, M.; Botti, G.; Costanzo, R.; Manna, A.; Franco, R.; Greggi, S. Lung cancer diagnosis on ovary mass: A case report. J. Ovarian. Res. 2013, 6, 34. [Google Scholar] [CrossRef] [PubMed]
- Sota Yoldi, L.A.; Vigil, V.L.; Martin, D.C.; Antunes, P.B. Krukenberg tumor secondary to lung adenocarcinoma. Arch. Bronconeumol. 2019, 55, 380–381. [Google Scholar] [CrossRef] [PubMed]
- Irving, J.A.; Young, R.H. Lung carcinoma metastatic to the ovary: A clinicopathologic study of 32 cases emphasizing their morphologic spectrum and problems in differential diagnosis. Am. J. Surg. Pathol. 2005, 29, 997–1006. [Google Scholar] [PubMed]
- Young, R.H. From krukenberg to today: The Ever present problems posed by metastatic tumors in the ovary: Part, I. Historical perspective, general principles, mucinous tumors including the krukenberg tumor. Adv. Anat. Pathol. 2006, 13, 205–227. [Google Scholar] [CrossRef] [PubMed]
- Tan, K.L.; Tan, W.S.; Lim, J.F.; Eu, K.W. Krukenberg tumors of colorectal origin: A dismal outcome—Experience of a tertiary center. Int. J. Colorectal Dis. 2010, 25, 233–238. [Google Scholar] [CrossRef] [PubMed]
- Vidarsdottir, H.; Tran, L.; Nodin, B.; Jirstrom, K.; Planck, M.; Jonsson, P.; Mattsson, J.S.M.; Botling, J.; Micke, P.; Brunnstrom, H. Immunohistochemical profiles in primary lung cancers and epithelial pulmonary metastases. Hum. Pathol. 2019, 84, 221–230. [Google Scholar] [CrossRef] [PubMed]
- Sereno, M.; Rodriguez-Esteban, I.; Gomez-Raposo, C.; Merino, M.; Lopez-Gomez, M.; Zambrana, F.; Casado, E. Lung cancer and peritoneal carcinomatosis. Oncol. Lett. 2013, 6, 705–708. [Google Scholar] [CrossRef] [PubMed]
- McNeill, P.M.; Wagman, L.D.; Neifeld, J.P. Small bowel metastases from primary carcinoma of the lung. Cancer 1987, 59, 1486–1489. [Google Scholar] [CrossRef]
- Satoh, H.; Ishikawa, H.; Yamashita, Y.T.; Kurishima, K.; Ohtsuka, M.; Sekizawa, K. Peritoneal carcinomatosis in lung cancer patients. Oncol. Rep. 2001, 8, 1305–1307. [Google Scholar] [CrossRef] [PubMed]
- Nassereddine, H.; Sannier, A.; Brosseau, S.; Rodier, J.M.; Khalil, A.; Msika, S.; Danel, C.; Couvelard, A.; Theou-Anton, N.; Cazes, A. Clinicopathological and molecular study of peritoneal carcinomatosis associated with non-small cell lung carcinoma. Pathol. Oncol. Res. 2019. [Google Scholar] [CrossRef] [PubMed]
- Meneses Grasa, Z.; Coll Salinas, A.; Macías Cerrolaza, J.A.; Aguayo Albasini, J.L.; Campillo Soto, A.; Guillén Paredes, M.P. Intestinal obstruction by metastasis in mesentery from squamous cell lung carcinoma. Rev. Esp. Enferm. Dig. 2009, 101, 817–818. (In Spanish) [Google Scholar] [CrossRef] [PubMed][Green Version]
- Su, H.T.; Tsai, C.M.; Perng, R.P. Peritoneal Carcinomatosis in Lung Cancer. Respirology 2008, 13, 465–467. [Google Scholar] [CrossRef] [PubMed]
- Grigoroiu, M.; Tagett, R.; Draghici, S.; Dima, S.; Nastase, A.; Florea, R.; Sorop, A.; Ilie, V.; Bacalbasa, N.; Tica, V.; et al. Gene-Expression Profiling in Non-Small Cell Lung Cancer with Invasion of Mediastinal Lymph Nodes for Prognosis Evaluation. Cancer Genom. Proteom. 2015, 12, 231–242. [Google Scholar]
- Kushitani, K.; Takeshima, Y.; Amatya, V.J.; Furonaka, O.; Sakatani, A.; Inai, K. Immunohistochemical marker panels for distinguishing between epithelioid mesothelioma and lung adenocarcinoma. Pathol. Int. 2007, 57, 190–199. [Google Scholar] [CrossRef] [PubMed]














© 2020 by the authors. Licensee MDPI, Basel, Switzerland. This article is an open access article distributed under the terms and conditions of the Creative Commons Attribution (CC BY) license (http://creativecommons.org/licenses/by/4.0/).
Share and Cite
Balescu, I.; Bejinariu, N.; Slaniceanu, S.; Gongu, M.; Masoud, B.; Lacau, S.; Tie, G.; Ciocirlan, M.; Bacalbasa, N.; Copaescu, C. Krukenberg Tumor in Association with Ureteral Stenosis Due to Peritoneal Carcinomatosis from Pulmonary Adenocarcinoma: A Case Report. Medicina 2020, 56, 187. https://doi.org/10.3390/medicina56040187
Balescu I, Bejinariu N, Slaniceanu S, Gongu M, Masoud B, Lacau S, Tie G, Ciocirlan M, Bacalbasa N, Copaescu C. Krukenberg Tumor in Association with Ureteral Stenosis Due to Peritoneal Carcinomatosis from Pulmonary Adenocarcinoma: A Case Report. Medicina. 2020; 56(4):187. https://doi.org/10.3390/medicina56040187
Chicago/Turabian StyleBalescu, Irina, Nona Bejinariu, Simona Slaniceanu, Mircea Gongu, Brandusa Masoud, Smarandita Lacau, George Tie, Maria Ciocirlan, Nicolae Bacalbasa, and Catalin Copaescu. 2020. "Krukenberg Tumor in Association with Ureteral Stenosis Due to Peritoneal Carcinomatosis from Pulmonary Adenocarcinoma: A Case Report" Medicina 56, no. 4: 187. https://doi.org/10.3390/medicina56040187
APA StyleBalescu, I., Bejinariu, N., Slaniceanu, S., Gongu, M., Masoud, B., Lacau, S., Tie, G., Ciocirlan, M., Bacalbasa, N., & Copaescu, C. (2020). Krukenberg Tumor in Association with Ureteral Stenosis Due to Peritoneal Carcinomatosis from Pulmonary Adenocarcinoma: A Case Report. Medicina, 56(4), 187. https://doi.org/10.3390/medicina56040187

