Pleural Solitary Fibrous Tumors—A Retrospective Study on 45 Patients
Abstract
1. Introduction
2. Materials and Methods
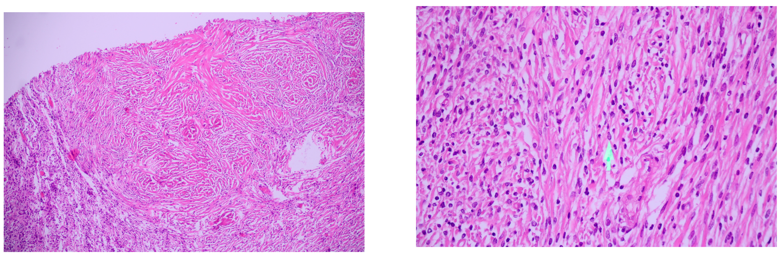
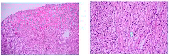
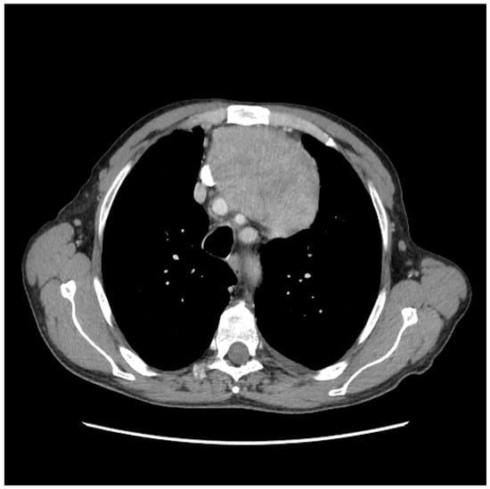
3. Results
4. Discussion
5. Conclusions
Author Contributions
Funding
Acknowledgments
Conflicts of Interest
References
- Yagyu, H.; Hara, Y.; Murohashi, K.; Ishikawa, Y.; Isaka, T.; Woo, T.; Kaneko, T. Giant Solitary Fibrous Tumor of Pleura Presenting Both Benign and Malignant Features. Am. J. Case Rep. 2019, 20, 1755–1759. [Google Scholar] [CrossRef] [PubMed]
- Wagner, E. Das tuberkelahnliche Lymphadenom (Der cytogene oder reticulirte Tuberkel). Arch. Heilk. (Leipzig) 1870, 11, 497. [Google Scholar]
- Kucuksu, N.; Thomas, W.; Ezdinli, E.Z. Chemotherapy of Malignant Diffuse Mesothelioma. Cancer 1976, 37, 1265–1274. [Google Scholar] [CrossRef]
- Ehrenhaft, J.L.; Sensenig, D.M.; Lawrence, M.S. Mesotheliomas of the Pleura. J. Thorac. Cardiovasc. Surg. 1960, 40, 393–409. [Google Scholar] [CrossRef]
- Klemperer, P.; Coleman, B.R. Primary Neoplasms of the Pleura. A Report of Five Cases. Am. J. Ind. Med. 1992, 22, 1–31. [Google Scholar] [CrossRef] [PubMed]
- Stout, A.P.; Himadi, G.M. Solitary (Localized) Mesothelioma of the Pleura. Ann. Surg. 1951, 133, 50–64. [Google Scholar] [CrossRef] [PubMed]
- Attanoos, R.L.; Pugh, M.R. The Diagnosis of Pleural Tumors Other Than Mesothelioma. Arch. Pathol. Lab. Med. 2018, 142, 902–913. [Google Scholar] [CrossRef]
- Yonli, D.S.; Chakroun, M.; Mokadem, S.; Saadi, A.; Rammeh, S.; Chebil, M. Adrenal Solitary Fibrous Tumor: A Case Report. Urol. Case Rep. 2019, 27, 100919. [Google Scholar] [CrossRef]
- Ronchi, A.; Cozzolino, I.; Zito, M.F.; Accardo, M.; Montella, M.; Panarese, I.; Roccuzzo, G.; Toni, G.; Franco, R.; De Chiara, A. Extrapleural Solitary Fibrous Tumor: A Distinct Entity From Pleural Solitary Fibrous Tumor. An Update on Clinical, Molecular and Diagnostic Features. Ann. Diagn. Pathol. 2018, 34, 142–150. [Google Scholar] [CrossRef]
- Song, Z.; Yang, F.; Zhang, Y.; Fan, P.; Liu, G.; Li, C.; Ding, W.; Zhang, Y.; Xu, X.; Ye, Y. Surgical Therapy and Next-Generation Sequencing-Based Genetic Alteration Analysis of Malignant Solitary Fibrous Tumor of the Pleura. Onco Targets Ther. 2018, 11, 5227–5238. [Google Scholar] [CrossRef]
- England, D.M.; Hochholzer, L.; McCarthy, M.J. Localized Benign and Malignant Fibrous Tumors of the Pleura. A Clinicopathologic Review of 223 Cases. Am. J. Surg. Pathol. 1989, 13, 640–658. [Google Scholar] [CrossRef] [PubMed]
- Mendez-Sanchez, H.; Mendez-Vivas, W.; Vargas-Mendoza, G.K.; Vazquez-Lopez, S.; Williams-Jacquez, A.D.; Cortes-Telles, A. Solitary Fibrous Tumors of the Pleura: A Clinical-Pathological Characterization Emphasizing Changes in Lung Function. Adv. Respir. Med. 2019, 87, 247–251. [Google Scholar] [CrossRef] [PubMed]
- Briselli, M.; Mark, E.J.; Dickersin, G.R. Solitary Fibrous Tumors of the Pleura: Eight New Cases and Review of 360 Cases in the Literature. Cancer 1981, 47, 2678–2689. [Google Scholar] [CrossRef]
- Jha, V.; Gil, J.; Teirstein, A.S. Familial Solitary Fibrous Tumor of the Pleura: A Case Report. Chest 2005, 127, 1852–1854. [Google Scholar] [CrossRef] [PubMed]
- Cardillo, G.; Facciolo, F.; Cavazzana, A.O.; Capece, G.; Gasparri, R.; Martelli, M. Localized (Solitary) Fibrous Tumors of the Pleura: An Analysis of 55 Patients. Ann. Thorac. Surg. 2000, 70, 1808–1812. [Google Scholar] [CrossRef]
- Urbina-Lima, A.D.; Roman-Martin, A.A.; Crespo-Santos, A.; Martinez-Rodriguez, A.; Cienfuegos-Belmonte, I.R.; Olmo-Ruiz, M.; Esteban-Artiaga, R.; Molina-Suarez, J.L. Solitary Fibrous Tumor of the Urinary Bladder Associated with Hypoglycemia: An Unusual Case of Doege-Potter Syndrome. Urol. Int. 2019, 103, 120–124. [Google Scholar] [CrossRef] [PubMed]
- Prado, F.; Dos Ramos, J.P.; Larranaga, N.; Espil, G.; Kozima, S. Solitary Fibrous Tumor and Doege-Potter Syndrome. Medicina (B Aires) 2018, 78, 47–49. [Google Scholar]
- Yanik, F.; Karamustafaoglu, Y.A.; Yoruk, Y. Surgical Outcomes and Clinical Courses of Solitary Fibrous Tumors of Pleura. Niger. J. Clin. Pract. 2019, 22, 1412–1416. [Google Scholar] [CrossRef]
- Tapias, L.F.; Mercier, O.; Ghigna, M.R.; Lahon, B.; Lee, H.; Mathisen, D.J.; Dartevelle, P.; Lanuti, M. Validation of a Scoring System to Predict Recurrence of Resected Solitary Fibrous Tumors of the Pleura. Chest 2015, 147, 216–223. [Google Scholar] [CrossRef]
- Lahon, B.; Mercier, O.; Fadel, E.; Ghigna, M.R.; Petkova, B.; Mussot, S.; Fabre, D.; Le Chevalier, T.; Dartevelle, P. Solitary Fibrous Tumor of the Pleura: Outcomes of 157 Complete Resections in a Single Center. Ann. Thorac. Surg. 2012, 94, 394–400. [Google Scholar] [CrossRef]
- de Perrot, M.; Fischer, S.; Brundler, M.A.; Sekine, Y.; Keshavjee, S. Solitary Fibrous Tumors of the Pleura. Ann. Thorac. Surg. 2002, 74, 285–293. [Google Scholar] [CrossRef]
- Ventura, L.; Gnetti, L.; Braggio, C.; Carbognati, P.; Rusca, M.; Silini, E.M.; Ampolini, L. Solitary Fibrous Tumor of the Pleura Associated with Severe Hypoglicemia: The Doege-Potter syndrome. J. Thorac. Oncol. 2017, 12, S1019–S1020. [Google Scholar] [CrossRef][Green Version]
- Galateau-Salle, F.; Churg, A.; Roggli, V.; Travis, W.D. The 2015 World Health Organization Classification of Tumors of the Pleura: Advances since the 2004 Classification. J. Thorac. Oncol. 2016, 11, 142–154. [Google Scholar] [CrossRef] [PubMed]
- Huang, S.C.; Huang, H.Y. Solitary Fibrous Tumor: An Evolving and Unifying Entity with Unsettled Issues. Histol. Histopathol. 2019, 34, 313–334. [Google Scholar]
- Ghanim, B.; Hess, S.; Bertoglio, P.; Celik, A.; Bas, A.; Oberndorfer, F.; Melfi, F.; Mussi, A.; Klepetko, W.; Pirker, C.; et al. Intrathoracic Solitary Fibrous Tumor—An International Multicenter Study on Clinical Outcome and Novel Circulating Biomarkers. Sci. Rep. 2017, 7, 12557. [Google Scholar] [CrossRef]
- Cao, Y.Y.; Fan, N.; Xing, F.; Xu, L.Y.; Qu, Y.J.; Liao, M.Y. Computed Tomography-Guided Cutting Needle Pleural Biopsy: Accuracy and Complications. Exp. Ther. Med. 2015, 9, 262–266. [Google Scholar] [CrossRef][Green Version]
- Mavarez, J.D.A.; Montes, M.A.V.; Seoane, M.R.R.; Shao, M.L. Hypoglycemia as an Atypical Presentation of a Pleural Tumor. Arch. Bronconeumol. 2019, 55, 652–654. [Google Scholar] [CrossRef]
- Karki, A.; Yang, J.; Chauhan, S. Paraneoplastic Syndrome Associate with Solitary Fibrous Tumor of Pleura. Lung India 2018, 35, 245–247. [Google Scholar] [CrossRef]
- Meng, W.; Zhu, H.H.; Li, H.; Wang, G.; Wei, D.; Feng, X. Solitary Fibrous Tumors of the Pleura With Doege-Potter Syndrome: A Case Report and Three-Decade Review of the Literature. BMC Res. Notes 2014, 7, 515. [Google Scholar] [CrossRef]
- Gomez, F.D.; Robin, L.; Jakubowicz, D.; Sillou, S.; Lab, J.P.; Balian, C. Solitary Fibrous Tumor of the Retroperitoneum With Urinary Symptoms Revealing a Doege-Potter’s Syndrome. Prog. Urol. 2019, 29, 136–137. [Google Scholar] [CrossRef]
- Tapias, L.F.; Lanuti, M. Solitary fibrous tumors of the pleura: Review of literature with up-to-date observations. Lung Cancer Manag. 2015, 4, 169–179. [Google Scholar] [CrossRef]
- Jannin, A.; Espiard, S.; Benomar, K.; Do, C.C.; Mycinski, B.; Porte, H.; D’Herbomez, M.; Penel, N.; Vantyghem, M.C. Non-Islet-Cell Tumour Hypoglycaemia (NICTH): About a Series of 6 Cases. Ann. Endocrinol. (Paris) 2019, 80, 21–25. [Google Scholar] [CrossRef] [PubMed]
- Aridi, T.; Tawil, A.; Hashem, M.; Khoury, J.; Raad, R.A.; Youssef, P. Unique Presentation and Management Approach of Pleural Solitary Fibrous Tumor. Case Rep. Surg. 2019, 2019, 9706825. [Google Scholar] [CrossRef] [PubMed]
- Wada, Y.; Okano, K.; Ando, Y.; Uemura, J.; Suto, H.; Asano, E.; Kishino, T.; Oshima, M.; Kumamoto, K.; Usuki, H.; et al. A Solitary Fibrous Tumor in the Pelvic Cavity of a Patient with Doege-Potter Syndrome: A Case Report. Surg. Case Rep. 2019, 5, 60. [Google Scholar] [CrossRef] [PubMed]
- Kim, D.W.; Na, K.J.; Yun, J.S.; Song, S.Y. Doege-Potter Syndrome: A Report of a Histologically Benign but Clinically Malignant Case. J. Cardiothorac. Surg. 2017, 12, 64. [Google Scholar] [CrossRef][Green Version]
- Han, G.; Zhang, Z.; Shen, X.; Wang, K.; Zhao, Y.; He, J.; Gao, Y.; Shan, X.; Xin, G.; Li, C.; et al. Doege-Potter Syndrome: A Review of the Literature Including a New Case Report. Medicine (Baltimore) 2017, 96, e7417. [Google Scholar] [CrossRef]
- Villemain, A.; Menard, O.; Mandry, D.; Siat, J.; Vignaud, J.M.; Martinet, Y.; Tiotiu, A. Paraneoplastic Hypoglycemia: The Hopes of Pathophysiological Documentation. Rev. Pneumol. Clin. 2017, 73, 140–145. [Google Scholar] [CrossRef]
- Kuhn-Velten, U.; Hohmann, C.; Strauss, T.; Heizmann, O.; Kloppel, G. Solitary Fibrous Tumor: A Rare Cause of Recurrent Severe Hypoglycemia. Dtsch. Med. Wochenschr. 2018, 143, 824–829. [Google Scholar]
- Rena, O.; Filosso, P.L.; Papalia, E.; Molinatti, M.; Di Marzio, P.; Maggi, G.; Oliaro, A. Solitary Fibrous Tumour of the Pleura: Surgical Treatment. Eur. J. Cardiothorac. Surg. 2001, 19, 185–189. [Google Scholar] [CrossRef]
- Pirvu, A.; Angelescu, D.; Savu, C. Localized Fibrous Tumor of the Pleura an Unusual Cause of Severe Hypoglycaemia. Case Report. Rev. Med. Chir. Soc. Med. Nat. Iasi 2016, 120, 628–630. [Google Scholar]
- Bailly, C.; Bichali, A.M.; Douane, F.; Ansquer, C.; Drui, D. Metastatic Solitary Fibrous Tumor with Doege-Potter Syndrome: Hypoglycemia Treated by 90Y Radioembolization. Clin. Nucl. Med. 2018, 43, e93–e95. [Google Scholar] [CrossRef] [PubMed]
- Ogunsakin, A.A.; Hilsenbeck, H.L.; Portnoy, D.C.; Nyenwe, E.A. Recurrent Severe Hypoinsulinemic Hypoglycemia Responsive to Temozolomide and Bevacizumab in a Patient With Doege-Potter Syndrome. Am. J. Med. Sci. 2018, 356, 181–184. [Google Scholar] [CrossRef] [PubMed]
- Sugimoto, K.; Tokitou, R.; Kadosaki, M.; Takeuchi, M. Intraoperative Glycemic Control Using an Artificial Endocrine Pancreas in a Patient with a Recurrent Pleural Solitary Fibrous Tumor Producing Insulin-Like Growth Factor 2: A Case Report. JA Clin. Rep. 2019, 5, 6. [Google Scholar] [CrossRef] [PubMed]
- Bossart, S.; Rammlmair, A.; Haneke, E. Reversible Schamroth Sign after Pleural Tumor Resection. Skin Appendage Disord. 2019, 5, 327–328. [Google Scholar] [CrossRef] [PubMed]
- Galie, N.; Vasile, R.; Savu, C.; Petreanu, C.; Grigorie, V.; Tabacu, E. Superior Vena Cava Syndrome—Surgical Solution—Case Report. Chirurgia (Bucur.) 2010, 105, 835–838. [Google Scholar] [PubMed]
- Shiono, S.; Abiko, M.; Tamura, G.; Sato, T. Malignant Solitary Fibrous Tumor with Superior Vena Cava Syndrome. Gen. Thorac. Cardiovasc. Surg. 2009, 57, 321–323. [Google Scholar] [CrossRef]
- You, X.; Sun, X.; Yang, C.; Fang, Y. CT Diagnosis and Differentiation of Benign and Malignant Varieties of Solitary Fibrous Tumor of the Pleura. Medicine (Baltimore) 2017, 96, e9058. [Google Scholar] [CrossRef]
- Cardinale, L.; Dalpiaz, G.; Pulzato, I.; Ardissone, F. Computed Tomography of Solitary Fibrous Tumor of the Pleura Abutting the Mediastinum: A Diagnostic Challenge. Lung India 2018, 35, 121–126. [Google Scholar]
- Aluja, J.F.; Gutierrez, F.; Bhalla, S. Pleural Tumours and Tumour-Like Lesions. Clin. Radiol. 2018, 73, 1014–1024. [Google Scholar] [CrossRef]
- Abu, A.W. Solitary Fibrous Tumours of the Pleura. Eur. J. Cardiothorac. Surg. 2012, 41, 587–597. [Google Scholar] [CrossRef]
- Gupta, A.; Souza, C.A.; Sekhon, H.S.; Gomes, M.M.; Hare, S.S.; Agarwal, P.P.; Kanne, J.P.; Seely, J.M. Solitary Fibrous Tumour of Pleura: CT Differentiation of Benign and Malignant Types. Clin. Radiol. 2017, 72, 796. [Google Scholar] [CrossRef] [PubMed]



| Stage 0 | Pedunculated Tumor Without Signs of Malignity |
|---|---|
| Stage I | Sessile or “inverted” tumor without signs of malignity |
| Stage II | Pedunculated tumor with histological signs of malignity |
| Stage III | Sessile or “inverted” tumor with histological signs of malignity |
| Stage IV | Multiple synchronous metastatic tumors |
| Symptoms | Number of Cases |
|---|---|
| Hypertrophic osteoarthropathy Pierre–Marie–Bamberger syndrome | 2 (4.44%) |
| Hypoglycemia Doege–Potter Syndrome | 2 (4.44%) |
| Thoracic pain | 5 (11.11%) |
| Cough | 6 (13.33%) |
| Dyspnea | 3 (6.66%) |
| Facial and upper body oedema Superior vena cava syndrome | 1 (2.22%) |
| Arthralgia and articular oedema | 1 (2.22%) |
| Weight loss | 1 (2.22%) |
| Symptoms | Size | Stage |
|---|---|---|
| Symptoms of Doege–Potter | 34 cm | III |
| Doege–Potter syndrome | 21 cm | III |
| Pierre–Marie–Bamberger syndrome | 23 cm | III |
| Pierre–Marie–Bamberger syndrome | 25 cm | III |
| Superior vena cava syndrome | 15 cm | III |
| Arthralgia and articular oedema | 18 cm | III |
| Weight loss | 9 cm | II |
| Dyspnea | 24 cm | III |
| Malignant Tumors | Benign PSFT |
|---|---|
| Tumoral resection (2.22%) | Tumoral resection 37 cases (82.22%) |
| Tumoral resection en bloc with left pneumonectomy (2.22%) | |
| Tumoral resection en bloc with left chest wall resection involving the first three ribs (2.22%) | |
| Tumoral resection en bloc with lower left lobectomy (2.22%) | |
| Tumoral resection en bloc with upper right lobectomy (2.22%) | |
| Tumoral resection en bloc with right chest wall resection involving the third, fourth, and fifth ribs (2.22%) | |
| Tumoral resection en bloc with left pneumonectomy (2.22%) | |
| Tumoral resection en bloc with partial diaphragm resection (2.22%) |
© 2020 by the authors. Licensee MDPI, Basel, Switzerland. This article is an open access article distributed under the terms and conditions of the Creative Commons Attribution (CC BY) license (http://creativecommons.org/licenses/by/4.0/).
Share and Cite
Savu, C.; Melinte, A.; Posea, R.; Galie, N.; Balescu, I.; Diaconu, C.; Cretoiu, D.; Dima, S.; Filipescu, A.; Balalau, C.; et al. Pleural Solitary Fibrous Tumors—A Retrospective Study on 45 Patients. Medicina 2020, 56, 185. https://doi.org/10.3390/medicina56040185
Savu C, Melinte A, Posea R, Galie N, Balescu I, Diaconu C, Cretoiu D, Dima S, Filipescu A, Balalau C, et al. Pleural Solitary Fibrous Tumors—A Retrospective Study on 45 Patients. Medicina. 2020; 56(4):185. https://doi.org/10.3390/medicina56040185
Chicago/Turabian StyleSavu, Cornel, Alexandru Melinte, Radu Posea, Niculae Galie, Irina Balescu, Camelia Diaconu, Dragos Cretoiu, Simona Dima, Alexandru Filipescu, Cristian Balalau, and et al. 2020. "Pleural Solitary Fibrous Tumors—A Retrospective Study on 45 Patients" Medicina 56, no. 4: 185. https://doi.org/10.3390/medicina56040185
APA StyleSavu, C., Melinte, A., Posea, R., Galie, N., Balescu, I., Diaconu, C., Cretoiu, D., Dima, S., Filipescu, A., Balalau, C., & Bacalbasa, N. (2020). Pleural Solitary Fibrous Tumors—A Retrospective Study on 45 Patients. Medicina, 56(4), 185. https://doi.org/10.3390/medicina56040185

