Evaluation of Light-Emitting Diodes’ Effects on the Expression Level of P53 and EGFR in the Gingival Tissues of Albino Rats
Abstract
1. Introduction
2. Materials and Methods
2.1. Materials
2.2. Animals
2.3. Experimental Design
2.4. Animal Sacrificing and Sample Collection
2.5. Microscopical Study
P53 and EGFR Scoring for IHC
2.6. Molecular study
2.6.1. RNA Extraction
2.6.2. Primer Design
2.6.3. One-Step qRT-PCR
2.7. Ethical Approval
2.8. Statistical Analysis
3. Results
3.1. Histopathological Evaluation
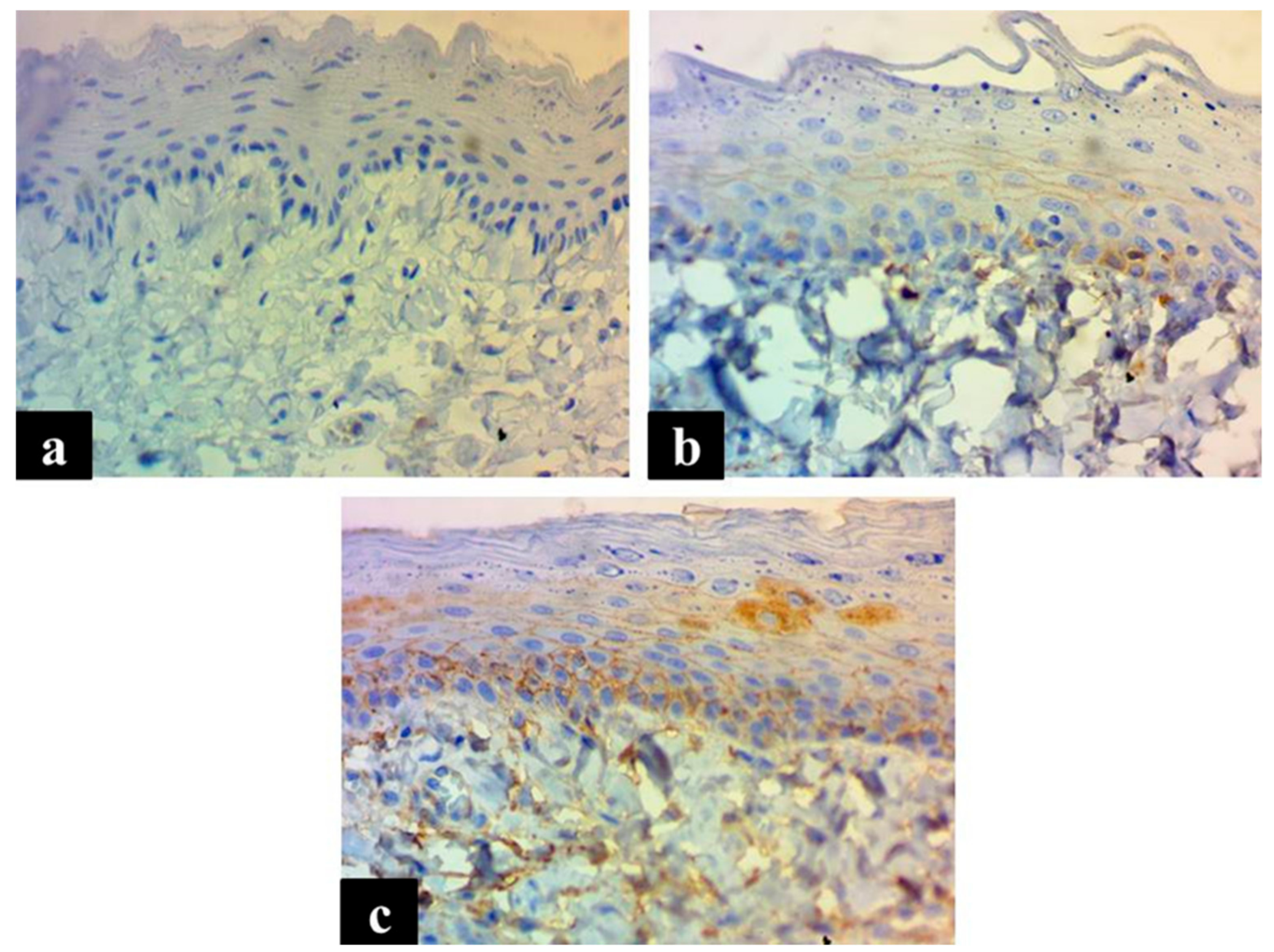
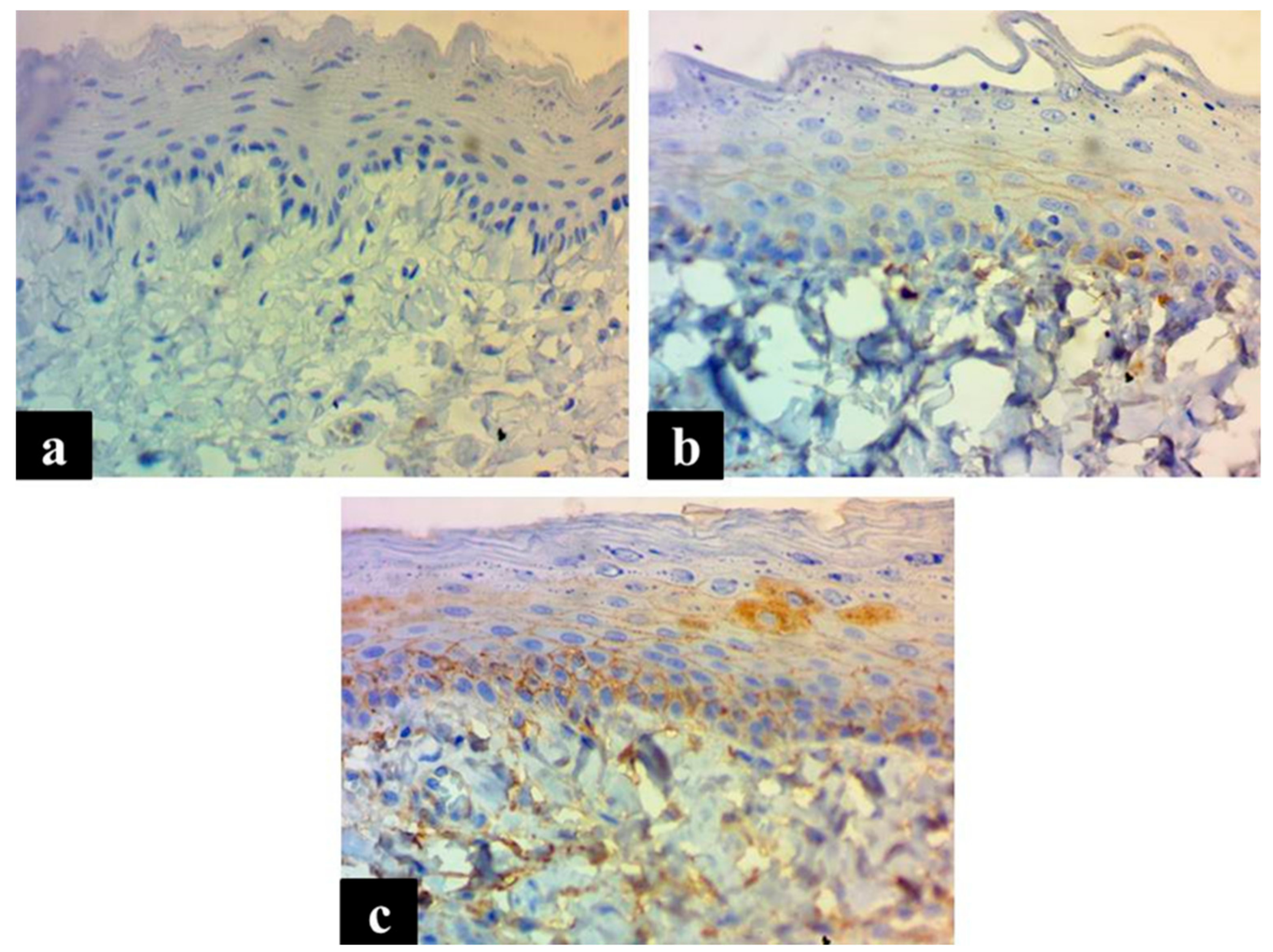
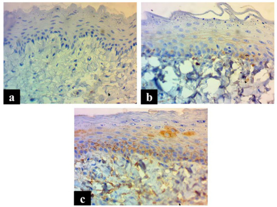
3.2. P53 and EGFR Expression
3.3. Effect of LED on the Expression of Both P53 and EGFR Genes
4. Discussion
5. Conclusions
Author Contributions
Funding
Acknowledgments
Conflicts of Interest
References
- Jandt, K.D.; Mills, R.W. A brief history of LED photopolymerization. Dent. Mater. 2013, 29, 605–617. [Google Scholar] [CrossRef] [PubMed]
- Guram, G.; Shaik, J. Comparison of light-emitting diode-curing unit and halogen-based light-curing unit for the polymerization of orthodontic resins: An in vitro study. J. Int. Soc. Prev. Community Dent. 2018, 8, 409. [Google Scholar] [CrossRef] [PubMed]
- Santini, A. Current Status of Visible Light Activation Units and the Curing of Light-activated Resin-based Composite Materials. Dent. Update 2010, 37, 214–227. [Google Scholar] [CrossRef] [PubMed]
- Leonard, D.L.; Charlton, D.G.; Roberts, H.W.; Cohen, M.E. Polymerization efficiency of LED curing lights. J. Esthet. Restor. Dent. 2002, 14, 286–295. [Google Scholar] [CrossRef] [PubMed]
- Hanosh, F.N.; Hanosh, G.S. Vital Bleaching: A New Light-Activated Hydrogen Peroxide System. J. Esthet. Restor. Dent. 1992, 4, 90–95. [Google Scholar] [CrossRef]
- Yoshino, F.; Yoshida, A. Effects of blue-light irradiation during dental treatment. Jpn. Dent. Sci. Rev. 2018, 54, 160–168. [Google Scholar] [CrossRef]
- Khalig, A.; Naseem, N.; Anjum, R.; Nagi, A.H. Morphological changes in oral mucosa of rabbits induced by light emitting diode (led) used as dental curing light. Oral Pathol. 2016, 36, 55–59. [Google Scholar]
- Ashour, M.; Khounganian, R. Scanning electron microscopic study of visible light curing effects on the oral mucous membrane. East. Mediterr. Health J. 1997, 3, 540–548. [Google Scholar]
- Murdiastuti, K.; Suryono, S.; Moeljono, A.; Sari, M.P.; Gamawati, R. The Effect of Visible Light Cure (VLC) Exposure to Gingival Tissue’s Sprague dawley Rats. Indones. J. Dent. Res. 2011, 1, 78. [Google Scholar] [CrossRef]
- Swad, A.A. Effect of visible light emitted from the cure gun used as filling hardener on the oral mucosa of rabbits. Iraqi J. Vet. Sci. 2009, 23, 163–166. [Google Scholar]
- Kolbe, L. How Much Sun Protection Is Needed? Are We on the Way to Full-Spectrum Protection? Double Trouble: Homozygous Dominant Mutations and Hair Loss in Pachyonychia Congenita. J. Investig. Dermatol. 2012, 132, 1756–1757. [Google Scholar] [CrossRef] [PubMed]
- Liebel, F.; Kaur, S.; Ruvolo, E.; Kollias, N.; Southall, M.D. Irradiation of skin with visible light induces reactive oxygen species and matrix-degrading enzymes. J. Investig. Dermatol. 2012, 132, 1901–1907. [Google Scholar] [CrossRef] [PubMed]
- Yoshida, A.; Shiotsu-Ogura, Y.; Wada-Takahashi, S.; Takahashi, S.S.; Toyama, T.; Yoshino, F. Blue light irradiation-induced oxidative stress in vivo via ROS generation in rat gingival tissue. J. Photochem. Photobiol. B 2015, 151, 48–53. [Google Scholar] [CrossRef] [PubMed]
- Kim, T.Y.; Han, S.W.; Bang, Y.J. Chasing targets for EGFR tyrosine kinase inhibitors in non-small-cell lung cancer: Asian perspectives. Expert Rev. Mol. Diagn. 2007, 7, 821–836. [Google Scholar] [CrossRef] [PubMed]
- Schiff, B.A.; McMurphy, A.B.; Jasser, S.A.; Younes, M.N.; Doan, D.; Yigitbasi, O.G.; Kim, S.; Zhou, G.; Mandal, M.; Bekele, B.N.; et al. Epidermal growth factor receptor (EGFR) is overexpressed in anaplastic thyroid cancer, and the EGFR inhibitor gefitinib inhibits the growth of anaplastic thyroid cancer. Clin. Cancer Res. 2004, 10, 8594–8602. [Google Scholar] [CrossRef] [PubMed]
- Sandberg, A.A. Cytogenetics and molecular genetics of bladder cancer: A personal view. Am. J. Med. Genet. Semin. Med. Genet. 2002, 115, 173–182. [Google Scholar] [CrossRef]
- Rajeswari, M.R.; Saraswathi, T. Expression of epithelial growth factor receptor in oral epithelial dysplastic lesions. J. Oral Maxillofac. Pathol. 2012, 16, 183. [Google Scholar] [CrossRef]
- McBride, O.W.; Merry, D.; Givol, D. The Gene for Human p53 Cellular Tumor Antigen is Located on Chromosome 17 Short Arm (17p13). Proc. Natl. Acad. Sci. USA 1986, 83, 130–134. [Google Scholar] [CrossRef]
- Saranath, D.; Tandle, A.T.; Teni, T.R.; Dedhia, P.M.; Borges, A.M.; Parikh, D.; Sanghavi, V.; Mehta, A.R. p53 inactivation in chewing tobacco-induced oral cancers and leukoplakias from India. Oral Oncol. 1999, 35, 242–250. [Google Scholar] [CrossRef]
- Shetty, S.; Krishnapillai, R.; Prabhu, S. Assessment and comparison of p53 and p63 expression in oral epithelial dysplasia and squamous cell carcinoma. SRM J. Res. Dent. Sci. 2014, 5, 149. [Google Scholar] [CrossRef]
- Singla, S.; Singla, G.; Zaheer, S.; Rawat, D.S.; Mandal, A.K. Expression of p53, epidermal growth factor receptor, c-erbB2 in oral leukoplakias and oral squamous cell carcinomas. J. Cancer Res. Ther. 2018, 14, 388–393. [Google Scholar] [PubMed]
- Agarwal, M.L.; Agarwal, A.; Taylor, W.R.; Chernova, O.; Sharma, Y.; Stark, G.R. A p53-dependent S-phase checkpoint helps to protect cells from DNA damage in response to starvation for pyrimidine nucleotides. Proc. Natl. Acad. Sci. USA 1998, 95, 14775–14780. [Google Scholar] [CrossRef] [PubMed]
- Salmo, N.; Saeed, A. Epidermal growth factor receptor expression in mice skin upon ultraviolet B exposure—Seborrheic Keratosis as a coincidental and unique finding. Adv. Biomed. Res. 2012, 1, 59. [Google Scholar] [CrossRef] [PubMed]
- Zlobec, I.; Vuong, T.; Hayashi, S.; Haegert, D.; Tornillo, L.; Terracciano, L.; Lugli, A.; Jass, J. A simple and reproducible scoring system for EGFR in colorectal cancer: Application to prognosis and prediction of response to preoperative brachytherapy. Br. J. Cancer 2007, 96, 793–800. [Google Scholar] [CrossRef] [PubMed]
- Freedman, R.; Geller, R.; Kaufmann, W. Universe: The Solar System, 5th ed.; W.H. Freeman: London, UK, 2010; ISBN 978-1319042462. [Google Scholar]
- Hankins, M.W.; Mrosovsky, N.; Lucas, R.J.; Lem, J.; Biel, M.; Yau, K.-W.; Douglas, R.H.; Foster, R.G.; Thompson, S.; Hofmann, F.; et al. Melanopsin and rod-cone photoreceptive systems account for all major accessory visual functions in mice. Nature 2003, 424, 75–81. [Google Scholar]
- Guyton, A.C.; Hall, J.E. Buku Ajar Fisiologi Kedokteran edisi 9, 9th ed.; Setiawan, I., Ed.; EGC: Jakarta, Indonesia, 1997; ISBN 979-448-357-5. [Google Scholar]
- Ogden, G.R.; Kiddie, R.A.; Lunny, D.P.; Lane, D.P. Assessment of p53 protein expression in normal, benign, and malignant oral mucosa. J. Pathol. 1992, 166, 389–394. [Google Scholar] [CrossRef] [PubMed]
- Rich, A.M.; Kerdpon, D.; Reade, P.C. p53 expression in oral precancer and cancer. Aust. Dent. J. 1999, 44, 103–105. [Google Scholar] [CrossRef]
- Kaur, J.; Srivastava, A.; Ralhan, R. Overexpression of p53 protein in betel-and tobacco-related human oral dysplasia and squamous-cell carcinoma in India. Int. J. Cancer 1994, 58, 340–345. [Google Scholar] [CrossRef]
- Kushner, J.; Bradley, G.; Jordan, R.C.K. Patterns of p53 and Ki-67 protein expression in epithelial dysplasia from the floor of the mouth. J. Pathol. 1997, 183, 418–423. [Google Scholar] [CrossRef]
- Kerdpon, D.; Rich, A.; Reade, P. Expression of p53 in oral mucosal hyperplasia, dysplasia and squamous cell carcinoma. Oral Dis. 2008, 3, 86–92. [Google Scholar] [CrossRef]
- Wang, W.; Cheng, B.; Miao, L.; Me, Y.; Wu, M. Mutant p53-R273H gains new function in sustained activation of EGFR signaling via suppressing miR-27a expression. Cell Death Dis. 2013, 4, e574. [Google Scholar] [CrossRef] [PubMed]



| Primer Name | Sequence 5′–3′ for Forward Primers 3′–5′ for Reverse Primers | Optimal Annealing Temperature | PCR Products Size | References |
|---|---|---|---|---|
| P53 | F: GTCACGCTCCCCTGAAGAC | Present study | 270 bp | 55.6 °C |
| R: CAGGAGCTGACACTTGGAGG | ||||
| EGFR | F: ATTAATCCCGGAGAGCCAGAG | Present study | 157 bp | 55.1 °C |
| R:GTGAGCCTGTTACTTGTGCC | ||||
| GAPDH | F: AGTGCCAGCCTCGTCTCATA | Liang et al. 2018 | 248 bp | 55.6 °C |
| R: GATGGTGATGGGTTTCCCGT |
| Parameter % | Control Groups (1 and 2) | LC2m 2w | LC2m 4w | LC5m 2w | LC5m 4w |
|---|---|---|---|---|---|
| Ulcer | 0 | 0 | 0 | 0 | 0 |
| Increase in clear cells | 0 | 62.5 | 25 | 75 | 25 |
| Hyperkeratosis | 0 | 25 | 25 | 25 | 25 |
| Parakeratosis | 0 | 0 | 0 | 62.5 | 0 |
| Hyperplasia | 0 | 75 | 37.5 | 75 | 37.5 |
| Dysplasia | 0 | 0 | 0 | 0 | 0 |
| Inflammation | 0 | 62.5 | 25 | 87.5 | 25 |
| Fibrosis | 0 | 37.5 | 37.5 | 50 |
| Group | Score 0 | Score 1+ | Score 2+ | Score 3+ |
|---|---|---|---|---|
| Control 1 | 2 | 5 | 1 | |
| LC2m 2w | 2 | 6 | ||
| LC5m 2w | 1 | 7 | ||
| Control 2 | 3 | 5 | ||
| LC2m 4w | 6 | 2 | ||
| LC5m 4w | 6 | 2 |
© 2019 by the authors. Licensee MDPI, Basel, Switzerland. This article is an open access article distributed under the terms and conditions of the Creative Commons Attribution (CC BY) license (http://creativecommons.org/licenses/by/4.0/).
Share and Cite
Ahmed, A.G.; Raziq, A.H. Evaluation of Light-Emitting Diodes’ Effects on the Expression Level of P53 and EGFR in the Gingival Tissues of Albino Rats. Medicina 2019, 55, 605. https://doi.org/10.3390/medicina55090605
Ahmed AG, Raziq AH. Evaluation of Light-Emitting Diodes’ Effects on the Expression Level of P53 and EGFR in the Gingival Tissues of Albino Rats. Medicina. 2019; 55(9):605. https://doi.org/10.3390/medicina55090605
Chicago/Turabian StyleAhmed, Azhar Ghanim, and Alaa Hani Raziq. 2019. "Evaluation of Light-Emitting Diodes’ Effects on the Expression Level of P53 and EGFR in the Gingival Tissues of Albino Rats" Medicina 55, no. 9: 605. https://doi.org/10.3390/medicina55090605
APA StyleAhmed, A. G., & Raziq, A. H. (2019). Evaluation of Light-Emitting Diodes’ Effects on the Expression Level of P53 and EGFR in the Gingival Tissues of Albino Rats. Medicina, 55(9), 605. https://doi.org/10.3390/medicina55090605
