The Measurement of Elderly Volunteers’ Optic Nerve Sheath Diameters by Ocular Ultrasonography
Abstract
1. Introduction
2. Materials and Method
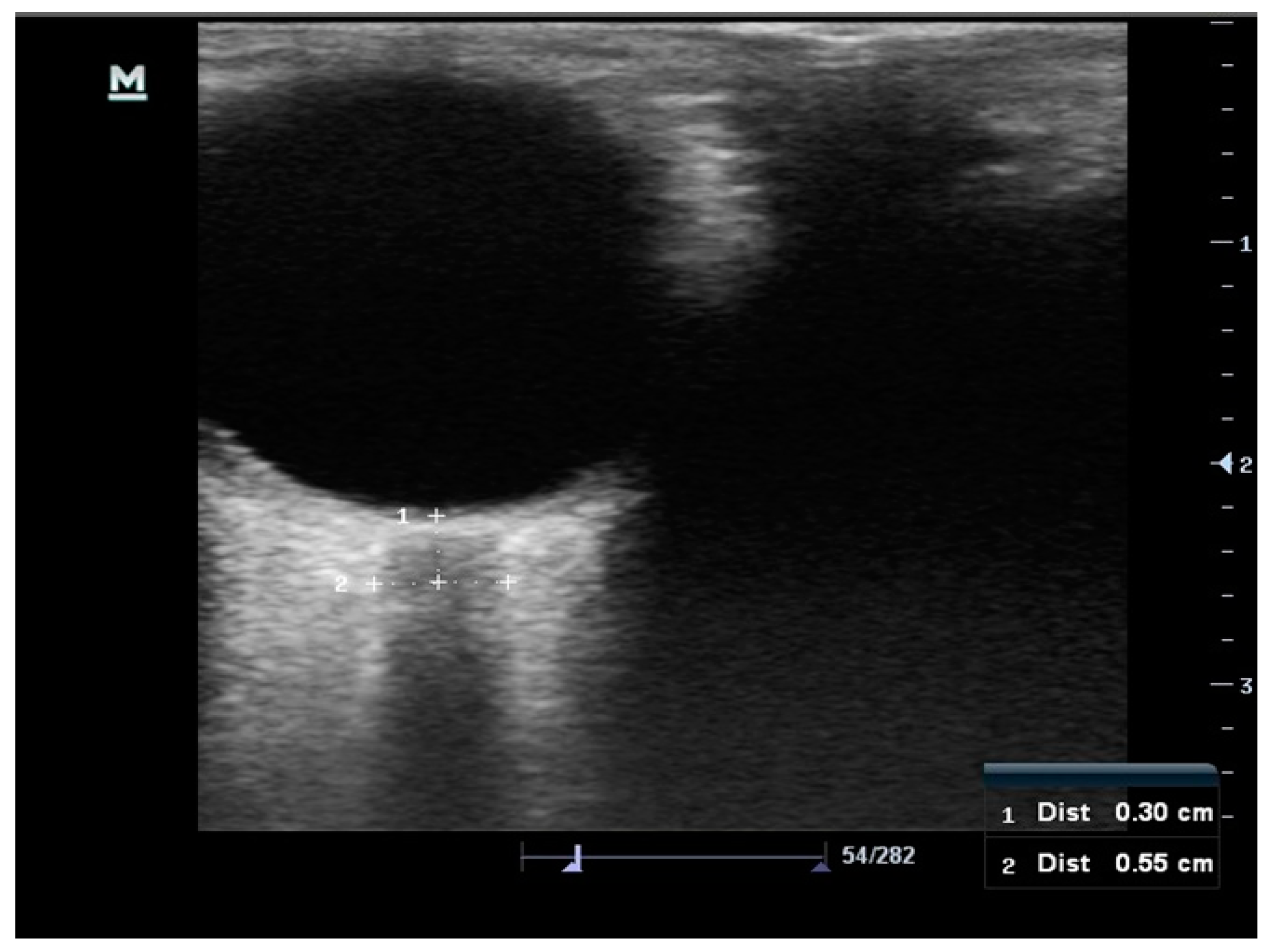
2.1. Measurement of the Optic Nerve Sheath Diameter
2.2. Statistical Analysis
3. Results
4. Discussion
Limitation
5. Conclusions
Author Contributions
Funding
Conflicts of Interest
References
- Hayretdag, O.C.; Tiryakioglu, N.; Varol, T. Examination of Age Related Volume Changes in Brain by Magnetic Resonance Imaging Method. IGUSABDER 2018, 5, 407–420. [Google Scholar]
- Peters, R. Ageing and the brain. Postgrad. Med. J. 2006, 82, 84–88. [Google Scholar] [CrossRef] [PubMed]
- Greenberg, D.L.; Messer, D.F.; Payne, M.E.; MacFall, J.R.; Provenzale, J.M.; Steffens, D.C.; Krishnan, R.R. Aging, gender, and the elderly adult brain: An examination of analytical strategies. Neurobiol. Aging 2008, 29, 290–302. [Google Scholar] [CrossRef] [PubMed]
- Komut, E.; Kozacı, N.; Sönmez, B.M.; Yılmaz, F.; Komut, S.; Yıldırım, Z.N.; Beydilli, I.; Yel, C. Bedside sonographic measurement of optic nerves heath diameter as a predictor of intracranial pressure in ED. Am. J. Emerg. Med. 2016, 34, 963–967. [Google Scholar] [CrossRef] [PubMed]
- Shrestha, G.S. Transorbital sonographic evaluation of normal optic nerve sheath diameter in healthy Nepalese adults. J. Neuroanaesth. Crit. Care 2016, 3, 115–118. [Google Scholar] [CrossRef]
- Chan, P.; Mok, K. Transorbital Sonographic Evaluation of Optic Nerve Sheath Diameter in Normal Hong Kong Chinese Adults. Hong Kong J. Emerg. Med. 2008, 15, 197–204. [Google Scholar] [CrossRef]
- Maude, R.R.; Hossain, M.A.; Hassan, M.U.; Osbourne, S.; Sayeed, K.L.; Karim, M.R.; Samad, R.; Borooah, S.; Dhillon, B.; Day, N.P.J.; et al. Transorbital sonographic evaluation of normal optic nerve sheath diameterin healthy volunteers in Bangladesh. PLoS ONE 2013, 8, e81013. [Google Scholar] [CrossRef]
- Hassen, G.W.; Bruck, I.; Donahue, J.; Mason, B.; Sweeney, B.; Saab, W.; Weedon, J.; Patel, N.; Perry, K.; Matari, H.; et al. Accuracy of Optic Nerve Sheath Diameter Measurement by Emergency Physicians Using Bedside Ultrasound. J. Emerg. Med. 2015, 48, 450–457. [Google Scholar] [CrossRef]
- DeBernardo, M.; Rosa, N. Optic nerve sheath diameter measurement in patients with idiopathic normal-pressure hydrocephalus. Eur. J. Neurol. 2018, 25, e24. [Google Scholar] [CrossRef]
- Toscano, M.; Spadetta, G.; Pulitano, P.; Rocco, M.; DiPiero, V.; Mecarelli, O.; Vicenzini, E. Optic Nerve Sheath Diameter Ultrasound Evaluation in Intensive Care Unit: Possible Role and Clinical Aspects in Neurological Critical Patients’ Daily Monitoring. Biomed. Res. Int. 2017, 2017. [Google Scholar] [CrossRef]
- DeBernardo, M.; Vitiello, L.; Rosa, N. Ocular Ultrasound Assessment to Estimate the Risk of Increased Intracranial Pressure after Traumatic Brain Injury in Prehospital Setting. Prehosp. Emerg. Care 2019, 1–2. [Google Scholar] [CrossRef] [PubMed]
- DeBernardo, M.; Rosa, N. Comment on “Optic Nerve Sheath Diameter Ultrasound Evaluation in Intensive Care Unit: Possible Roleand Clinical Aspectsin Neurological Critical Patients’ Daily Monitoring”. Biomed. Res. Int. 2018, 2018, 6154357. [Google Scholar] [CrossRef]
- DeBernardo, M.; Rosa, N. Comment on ‘Invasive and noninvasive means of measuring intracranial pressure: A review’. Physiol. Meas. 2018, 39, 058001. [Google Scholar] [CrossRef]
- DeBernardo, M.; Vitiello, L.; Rosa, N. Optic nerve ultrasonography for evaluating in creased intracranial pressure in severe preeclampsia. Int. J. Obstet. Anesth. 2019, 38, 147. [Google Scholar] [CrossRef]
- Pizzi, B.; Moretti, R. Ultra sonography of the optic nerve in neuro critically ill patients. Acta Anaesthesiol. Scand. 2011, 55, 644–652. [Google Scholar] [CrossRef]
- Ballantyne, J.; Hollman, A.; Hamilton, R.; Bradnam, M.; Carachi, R.; Young, D.; Dutton, G. Transorbital optic nerve sheath ultrasonography in normal children. Clin. Radiol. 1999, 54, 740–742. [Google Scholar] [CrossRef]
- Yagar, A.; Kozaci, N.; Avci, M.; Yildiz, S.; Karaman, Y. Determination of optic nerve sheath diameter variability with age in pediatric groups and comparison of increased intracranial pressure and optic nerve sheath diameter in pediatric patients with head trauma. Ann. Med. Res. 2018, 25, 460. [Google Scholar] [CrossRef]
- Tayal, V.S.; Neulander, M.; Norton, H.J.; Foster, T.; Saunders, T.; Blaivas, M. Emergency department sonographic measurement of optic nerve sheath diameter to detect findings of increased intracranial pressure in adult head injury patients. Ann. Emerg. Med. 2007, 49, 508–514. [Google Scholar] [CrossRef]
- Lochner, P.; Cantello, R.; Brigo, F.; Coppo, L.; Nardone, R.; Tezzon, F.; Raymkulova, O.; Strigaro, G.; Comi, C.; Leone, M.A. Transorbital Sonography in Acute Optic Neuritis: A Case-Control Study. Am. J. Neuroradiol. 2014. [Google Scholar] [CrossRef]
- Bauerle, J.; Lochner, P.; Kaps, M.; Nedelmann, M. Intra-and interobsever reliability of sonographic assessment of the optic nerve sheath diameter in healthy adults. J. Neuroimaging Off. J. Am. Soc. Neuroimaging 2012, 22, 42–45. [Google Scholar] [CrossRef]
- Ballantyne, S.; O’Neill, G.; Hamilton, R.; Hollman, A. Observer variation in the sonographic measurement of optic nerve sheath diameter in normal adults. Eur. J. Ultrasound 2002, 15, 145–149. [Google Scholar] [CrossRef]
- World Health Organization. Global Health and Ageing; World Health Organization: Geneva, Switzerland, 2016. [Google Scholar]
- Asghar, A.; Hashmi, M.; Hussain, A. Optic nerve sheath diameter evaluated by transorbital sonography in healthy volunteers from Pakistan. Anaesth. Pain Intensive Care 2015, 19, 282–286. [Google Scholar]
- Khasage, U.K.J.; Kumar, V.; Shamanur, N.S.; Prasad, B.B.; Kempanna, B.; Siddappa, G.B.; Vasanthapuram, A.; Sujir, S.N. Bedside transorbital sonographic evaluation of optic nerve sheath diameter in healthy south Indian population. J. Evid. Based Med. Health 2016, 3, 5573–5576. [Google Scholar] [CrossRef]
- Kc, B.; Thapa, A. Study of Optic Nerve Sheath Diameter in Normal Nepalese Adults Using Ultrasound. Birat J. Health Sci. 2018, 3, 357–360. [Google Scholar] [CrossRef]
- Kozaci, N.; Avci, M.; Caliskan, G.; Yuksel, S. Variability of optic nerve sheath diameter in acute ischemic stroke. Hong Kong J. Emerg. Med. 2019. [Google Scholar] [CrossRef]

| Sex | Right ONSD | Left ONSD | Mean ONSD | ONSD Difference |
|---|---|---|---|---|
| Mean ± SD (mm) | Mean ± SD (mm) | Mean ± SD (mm) | Mean ± SD (mm) | |
| Min–Max (mm) | Min–Max (mm) | Min–Max (mm) | Min–Max (mm) | |
| P | 0.831 | 0.894 | 0.883 | 0.236 |
| Female (n = 92) | 4.13 ± 0.65 | 4.17 ± 0.64 | 4.15 ± 0.64 | 0.15 ± 0.17 |
| 2.2–5.9 | 2.3–5.8 | 2.3–5.8 | 0–0.7 | |
| Male (n = 103) | 4.16 ± 0.74 | 4.18 ± 0.75 | 4.16 ± 0.74 | 0.18 ± 0.19 |
| 2.3–6.5 | 2.7–5.9 | 2.7–6.2 | 0–0.8 |
| Age | Right ONSD | Left ONSD | ONSD Difference | |
| R | −0.059 | −0.070 | 0.022 | |
| P | 0.410 | 0.333 | 0.765 |
| Age Groups | Right ONSD | Left ONSD | Mean ONSD | ONSD Difference |
|---|---|---|---|---|
| Mean ± SD (mm) | Mean ± SD (mm) | Mean ± SD (mm) | Mean ± SD (mm) | |
| Min–Max (mm) | Min–Max (mm) | Min–Max (mm) | Min–Max (mm) | |
| %95 CI (LB–UB) | %95 CI (LB–UB) | %95 CI (LB–UB) | %95 CI (LB–UB) | |
| P | 0.981 | 0.907 | 0.964 | 0.522 |
| 65–74 (n = 104) | 4.15 ± 0.69 | 4.20 ± 0.71 | 4.17 ± 0.69 | 0.15 ± 0.17 |
| 2.4–5.9 | 2.6–5.9 | 2.5–5.8 | 0–0.7 | |
| 4.02–4.29 | 4.06–4.33 | 4.03–4.30 | 0.1–0.2 | |
| 75–84 (n = 68) | 4.14 ± 0.71 | 4.15 ± 0.71 | 4.14 ± 0.70 | 0.17 ± 0.18 |
| 2.2–6.5 | 2.3–5.9 | 2.3–6.2 | 0–0.8 | |
| 3.97–4.31 | 3.98–4.32 | 3.97–4.31 | 0.1–0.2 | |
| >85 (n = 23) | 4.12 ± 0.72 | 4.18 ± 0.67 | 4.15 ± 0.68 | 0.17 ± 0.19 |
| 2.3–5.3 | 2.7–5.2 | 2.7–5.2 | 0–0.8 | |
| 3.81–4.43 | 3.89–4.47 | 3.85–4.44 | 0.1–0.2 |
© 2019 by the authors. Licensee MDPI, Basel, Switzerland. This article is an open access article distributed under the terms and conditions of the Creative Commons Attribution (CC BY) license (http://creativecommons.org/licenses/by/4.0/).
Share and Cite
Avci, M.; Kozaci, N.; Komut, E.; Komut, S.; Caliskan, G.; Tulubas, G. The Measurement of Elderly Volunteers’ Optic Nerve Sheath Diameters by Ocular Ultrasonography. Medicina 2019, 55, 413. https://doi.org/10.3390/medicina55080413
Avci M, Kozaci N, Komut E, Komut S, Caliskan G, Tulubas G. The Measurement of Elderly Volunteers’ Optic Nerve Sheath Diameters by Ocular Ultrasonography. Medicina. 2019; 55(8):413. https://doi.org/10.3390/medicina55080413
Chicago/Turabian StyleAvci, Mustafa, Nalan Kozaci, Erdal Komut, Seval Komut, Gulsum Caliskan, and Gul Tulubas. 2019. "The Measurement of Elderly Volunteers’ Optic Nerve Sheath Diameters by Ocular Ultrasonography" Medicina 55, no. 8: 413. https://doi.org/10.3390/medicina55080413
APA StyleAvci, M., Kozaci, N., Komut, E., Komut, S., Caliskan, G., & Tulubas, G. (2019). The Measurement of Elderly Volunteers’ Optic Nerve Sheath Diameters by Ocular Ultrasonography. Medicina, 55(8), 413. https://doi.org/10.3390/medicina55080413

