Effect of Balance Taping Using Kinesiology Tape and Cross Taping on Shoulder Impingement Syndrome: A Case Report
Abstract
1. Introduction
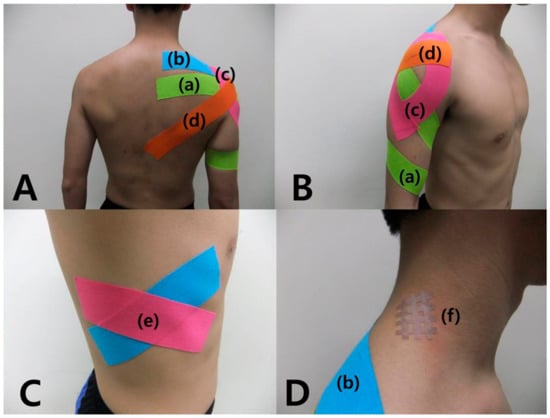
2. Case Report
3. Discussion
Author Contributions
Funding
Conflicts of Interest
References
- Juel, N.G.; Natvig, B. Shoulder diagnoses in secondary care, a one year cohort. BMC. Musculoskelet. Disord. 2014, 18, 89. [Google Scholar] [CrossRef]
- Van Rijn, R.M.; Huisstede, B.M.; Koes, B.W.; Burdorf, A. Associations between work-related factors and specific disorders of the shoulder-a systematic review of the literature. Scand. J. Work. Environ. Health 2010, 36, 189–201. [Google Scholar] [CrossRef] [PubMed]
- Cools, A.M.; Cambier, D.; Witvrouw, E.E. Screening the athlete’s shoulder for impingement symptoms: A clinical reasoning algorithm for early detection of shoulder pathology. Br. J. Sports Med. 2008, 42, 628–635. [Google Scholar] [CrossRef] [PubMed]
- Michener, L.A.; Subasi Yesilyaprak, S.S.; Seitz, A.L.; Timmons, M.K.; Walsworth, M.K. Supraspinatus tendon and subacromial space parameters measured on ultrasonographic imaging in subacromial impingement syndrome. Knee Surg. Sports Traumatol. Arthrosc. 2015, 23, 363–369. [Google Scholar] [CrossRef] [PubMed]
- Ellenbecker, T.S.; Cools, A. Rehabilitation of shoulder impingement syndrome and rotator cuff injuries: An evidence-based review. Br. J. Sports. Med. 2010, 44, 319–327. [Google Scholar] [CrossRef] [PubMed]
- Ludewig, P.M.; Cook, T.M. Alterations in shoulder kinematics and associated muscle activity in people with symptoms of shoulder impingement. Phys. Ther. 2000, 80, 276–291. [Google Scholar] [PubMed]
- Michener, L.A.; McClure, P.W.; Karduna, A.R. Anatomical and biomechanical mechanisms of subacromial impingement syndrome. Clin. Biomech. 2003, 18, 369–379. [Google Scholar] [CrossRef]
- Frost, P.; Andersen, J.H. Shoulder impingement syndrome in relation to shoulder intensive work. Occup. Environ. Med. 1999, 56, 494–498. [Google Scholar] [CrossRef]
- Silverstein, B.A.; Bao, S.S.; Fan, Z.J.; Howard, N.; Smith, C.; Spielholz, P.; Bonauto, D.; Viikari-Juntura, E. Rotator cuff syndrome: Personal, work-related psychosocial and physical load factors. J. Occup. Environ. Med. 2008, 50, 1062–1076. [Google Scholar] [CrossRef]
- Lee, J.H.; Choi, S.W. Balance Taping: Clinical Application of Elastic Therapeutic Tape for Musculoskeletal Disorders; WETAPE: Paju, Korea, 2016. [Google Scholar]
- Lee, S.M.; Lee, J.H. Effect of balance taping using kinesiology tape for a hamstring muscle injury and traumatic knee pain in an amateur university football player. Medicine 2018, 97, e10973. [Google Scholar] [CrossRef]
- Lee, J.H. The short-term effectiveness of balance taping on acute nonspecific low-back pain: A case report. Medicine 2017, 96, e9304. [Google Scholar] [CrossRef] [PubMed]
- Danaka, N. Spiral Balance Taping Therapy; Pyungwha ME CO: Gangju, Korea, 1997. [Google Scholar]
- Lim, C.; Park, Y.; Bae, Y. The effect of the kinesio taping and spiral taping on menstrual pain and premenstrual syndrome. J. Phys. Ther. Sci. 2013, 25, 761–764. [Google Scholar] [CrossRef] [PubMed]
- Halski, T.; Ptaszkowski, K.; Słupska, L.; Paprocka-Borowicz, M.; Dymarek, R.; Taradaj, J.; Bidzińska, G.; Marczyński, D.; Cynarska, A.; Rosińczuk, J. Short-Term Effects of Kinesio Taping and Cross Taping Application in the Treatment of Latent Upper Trapezius Trigger Points: A Prospective, Single-Blind, Randomized, Sham-Controlled Trial. Evid. Based Complement. Alternat. Med. 2015, 2015, 191925. [Google Scholar] [CrossRef] [PubMed]
- Clarkson, H.M. Musculoskeletal Assessment: Joint Range of Motion and Muscle Strength, 2nd ed.; Lippincott Williams & Wilkins: Philadelphia, PA, USA, 2000. [Google Scholar]
- Hislop, H.; Avers, D.; Brown, M. Daniels and Worthingham’s Muscle Testing: Techniques of Manual Examination, 1st ed.; W. B. Saunders Co.: Philadelphia, PA, USA, 2013. [Google Scholar]
- Stratford, P.; Gill, C.; Westaway, M.; Binkley, J. Assessing disability and change on individual patients: A report of a patient specific measure. Physiother. Can. 1995, 47, 258–263. [Google Scholar] [CrossRef]
- Roach, K.E.; Budiman-Mak, E.; Songsiridej, N.; Lertratanakul, Y. Development of a shoulder pain and disability index. Arthritis. Care. Res. 1991, 4, 143–149. [Google Scholar] [CrossRef] [PubMed]
- Thoomes-de Graaf, M.; Scholten-Peeters, G.G.; Duijn, E.; Karel, Y.; Koes, B.W.; Verhagen, A.P. The Dutch Shoulder Pain and Disability Index (SPADI): A reliability and validation study. Qual. Life. Res. 2015, 24, 1515–1519. [Google Scholar] [CrossRef]
- Kim, G.W. Orthopedic Medical Taping Treatment; Daeseong Medicalbook: Goyang, Korea, 2004. [Google Scholar]
- Lee, J.H.; Choi, H.S. Conformity of modified O-ring test and maximal pinch strength for cross tape application direction. Medicine 2018, 97, e10879. [Google Scholar] [CrossRef] [PubMed]
- Han, J.H.; Lee, J.H.; Yoon, C.H. The mechanical effect of kinesiology tape on rounded shoulder posture in seated male workers: A single blinded randomised controlled pilot study. Physiother. Theory. Pract. 2015, 31, 120–125. [Google Scholar] [CrossRef]
- Gak, H.B.; Lee, J.H.; Kim, H.D. Efficacy of kinesiology taping for recovery of dominant upper back pain in female sedentary worker having a rounded shoulder posture. Technol. Health Care 2013, 21, 607–612. [Google Scholar]
- Konishi, Y. Tactile stimulation with Kinesiology tape alleviates muscle weakness attributable to attenuation of Ia afferents. J. Sci. Med. Sport 2013, 16, 45–48. [Google Scholar] [CrossRef]
- Bravi, R.; Quarta, E.; Cohen, E.J.; Gottard, A.; Minciacchi, D. A little elastic for a better performance: Kinesiotaping of the motor effector modulates neural mechanisms for rhythmic movements. Front. Syst. Neurosci. 2014, 25, 181. [Google Scholar] [CrossRef] [PubMed]
- Choi, I.R.; Lee, J.H. Effect of kinesiology tape application direction on quadriceps strength. Medicine 2018, 97, e11038. [Google Scholar] [CrossRef] [PubMed]
- Choi, I.R.; Lee, J.H. The effect of the application direction of the kinesiology tape on the strength of fatigued quadriceps muscles in athletes. Res. Sports. Med. 2019, 27, 1–10. [Google Scholar] [CrossRef] [PubMed]
- Ludewig, P.M.; Cook, T.M. Translations of the humerus in persons with shoulder impingement symptoms. J. Orthop. Sports. Phys. Ther. 2002, 32, 248–259. [Google Scholar] [CrossRef] [PubMed]
- Hallstrom, E.; Karrholm, J. Shoulder kinematics in 25 patients with impingement and 12 controls. Clin. Orthop. Relat. Res. 2006, 448, 22–27. [Google Scholar] [CrossRef] [PubMed]
- Lopes, A.D.; Timmons, M.K.; Grover, M.; Ciconelli, R.M.; Michener, L.A. Visual scapular dyskinesis: Kinematics and muscle activity alterations in patients with subacromial impingement syndrome. Arch. Phys. Med. Rehabil. 2015, 96, 298–306. [Google Scholar] [CrossRef]
- Neumann, D.A. Kinesiology of the Musculoskeletal System: Foundations for Physical Rehabilitation, 2nd ed.; Mosby: St. Louis, MO, USA, 2010. [Google Scholar]
- Page, P.; Frank, C.C.; Lardner, R. Assessment and Treatment of Muscle Imbalance: The Janda Approach; Human Kinetics: Champaign, IL, USA, 2010. [Google Scholar]
- Kibler, W.B.; Sciascia, A. Current concepts: Scapular dyskinesis. Br. J. Sports. Med. 2010, 44, 300–305. [Google Scholar] [CrossRef]
- McClure, P.W.; Michener, L.A.; Sennett, B.J.; Karduna, A.R. Direct 3-dimensional measurement of scapular kinematics during dynamic movements in vivo. J. Shoulder. Elbow. Surg. 2001, 10, 269–277. [Google Scholar] [CrossRef]
- Ludewig, P.M.; Phadke, V.; Braman, J.P.; Hassett, D.R.; Cieminski, C.J.; LaPrade, R.F. Motion of the shoulder complex during multiplanar humeral elevation. J. Bone. Joint. Surg. Am. 2009, 91, 378–389. [Google Scholar] [CrossRef]
- Lin, J.J.; Lim, H.K.; Yang, J.L. Effect of shoulder tightness on glenohumeral translation, scapular kinematics, and scapulohumeral rhythm in subjects with stiff shoulders. J. Orthop. Res. 2006, 24, 1044–1051. [Google Scholar] [CrossRef]
- Lee, J.H.; Yoo, W.G. Effect of scapular elevation taping on scapular depression syndrome: A case report. J. Back. Musculoskelet. Rehabil. 2012, 25, 187–191. [Google Scholar] [CrossRef]
- Kim, B.J.; Lee, J.H. Effects of scapula-upward taping using kinesiology tape in a patient with shoulder pain caused by scapular downward rotation. J. Phys. Ther. Sci. 2015, 27, 547–548. [Google Scholar] [CrossRef][Green Version]
- Inman, V.T.; Saunders, J.B.; Abbott, L.C. Observations of the function of the shoulder joint. 1944. Clin. Orthop. Relat. Res. 1996, 330, 3–12. [Google Scholar] [CrossRef]
- Reddy, A.S.; Mohr, K.J.; Pink, M.M.; Jobe, F.W. Electromyographic analysis of the deltoid and rotator cuff muscles in persons with subacromial impingement. J. Shoulder. Elbow. Surg. 2000, 9, 519–523. [Google Scholar] [CrossRef] [PubMed]
- Kaya, E.; Zinnuroglu, M.; Tugcu, I. Kinesio taping compared to physical therapy modalities for the treatment of shoulder impingement syndrome. Clin. Rheumatol. 2011, 30, 201–207. [Google Scholar] [CrossRef] [PubMed]
- Lyman, K.J.; Gange, K.N.; Hanson, T.A.; Mellinger, C.D. Effects of 3 Different Elastic Therapeutic Taping Methods on the Subacromial Joint Space. J. Manipulative. Physiol. Ther. 2017, 40, 494–500. [Google Scholar] [CrossRef]
- Frisany, A.A. Effectiveness of Cross Taping as a Therapy for Delayed Muscle Soreness. Am. J Sports Sci. 2018, 6, 65–73. [Google Scholar] [CrossRef]


| Assessment | Baseline Score | Final Score |
|---|---|---|
| PSFS (score) | 8/20 | 19/20 |
| Activity 1: lifting >5 kg object | 3/10 | 9/10 |
| Activity 2: elevating arm to stretch | 5/10 | 10/10 |
© 2019 by the authors. Licensee MDPI, Basel, Switzerland. This article is an open access article distributed under the terms and conditions of the Creative Commons Attribution (CC BY) license (http://creativecommons.org/licenses/by/4.0/).
Share and Cite
Lee, J.-H.; Choi, I.-R. Effect of Balance Taping Using Kinesiology Tape and Cross Taping on Shoulder Impingement Syndrome: A Case Report. Medicina 2019, 55, 648. https://doi.org/10.3390/medicina55100648
Lee J-H, Choi I-R. Effect of Balance Taping Using Kinesiology Tape and Cross Taping on Shoulder Impingement Syndrome: A Case Report. Medicina. 2019; 55(10):648. https://doi.org/10.3390/medicina55100648
Chicago/Turabian StyleLee, Jung-Hoon, and Im-Rak Choi. 2019. "Effect of Balance Taping Using Kinesiology Tape and Cross Taping on Shoulder Impingement Syndrome: A Case Report" Medicina 55, no. 10: 648. https://doi.org/10.3390/medicina55100648
APA StyleLee, J.-H., & Choi, I.-R. (2019). Effect of Balance Taping Using Kinesiology Tape and Cross Taping on Shoulder Impingement Syndrome: A Case Report. Medicina, 55(10), 648. https://doi.org/10.3390/medicina55100648
