Pulmonary Embolism and Severe Asthma: Case Report and Literature Review
Abstract
1. Introduction
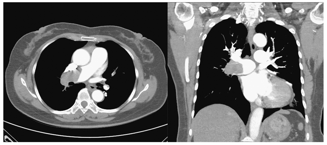
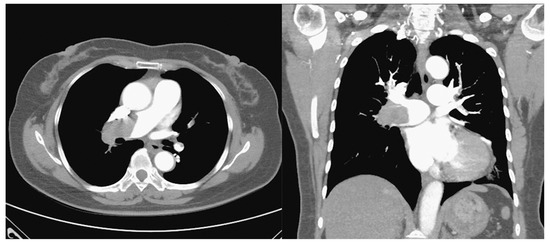
2. Case Presentation
3. Discussion
4. Conclusions
Author Contributions
Funding
Conflicts of Interest
References
- Zöller, B.; Pirouzifard, M.; Memon, A.A.; Sundquist, J.; Sundquist, K. Risk of pulmonary embolism and deep venous thrombosis in patients with asthma: A nationwide case−control study from Sweden. Eur. Respir. J. 2017, 49, 1601014. [Google Scholar] [CrossRef] [PubMed]
- Bazan-Socha, S.; Mastalerz, L.; Cybulska, A.; Zareba, L.; Kremers, R.; Zabczyk, M.; Pulka, G.; Iwaniec, T.; Hemker, C.; Undas, A. Prothrombotic state in asthma is related to increased levels of inflammatory cytokines, IL-6 and TNFα, in peripheral blood. Inflammation 2017, 40, 1225–1235. [Google Scholar] [CrossRef] [PubMed]
- Gu, W.-J.; Liu, J.-C. Asthma and risk of pulmonary thromboembolism. Eur. Respir. J. 2014, 43, 1534–1535. [Google Scholar] [CrossRef] [PubMed]
- Barreto, I.; Teles Martins, C.; Manique, A.; Bárbara, C. Asthma and the risk of pulmonary embolism. Eur. Respir. J. 2016, 48, PA2459. [Google Scholar] [CrossRef]
- Konstantinides, S.V. Asthma and pulmonary embolism: Bringing airways and vessels closer together. Eur. Respir. J. 2014, 43, 694–696. [Google Scholar] [CrossRef] [PubMed]
- Majoor, C.J.; Kamphuisen, P.W.; Zwinderman, A.H.; ten Brinke, A.; Amelink, M.; Rijssenbeek-Nouwens, L.; Sterk, P.J.; Büller, H.R.; Bel, E.H. Risk of deep vein thrombosis and pulmonary embolism in asthma. Eur. Respir. J. 2013, 42, 655–661. [Google Scholar] [CrossRef] [PubMed]
- Huerta, C.; Johansson, S.; Wallander, M.-A.; Rodríguez, L.A.G. Risk factors and short-term mortality of venous thromboembolism diagnosed in the primary care setting in the United Kingdom. Arch. Intern. Med. 2007, 167, 935–943. [Google Scholar] [CrossRef] [PubMed]
- Chung, W.-S.; Lin, C.-L.; Ho, F.-M.; Li, R.-Y.; Sung, F.-C.; Kao, C.-H.; Yeh, J.-J. Asthma increases pulmonary thromboembolism risk: A nationwide population cohort study. Eur. Respir. J. 2014, 43, 801–807. [Google Scholar] [CrossRef] [PubMed]
- De Boer, J.D.; Majoor, C.J.; van’t Veer, C.; Bel, E.H.; van der Poll, T. Asthma and coagulation. Blood 2012, 119, 3236–3244. [Google Scholar] [CrossRef] [PubMed]
- Yeh, J.-J.; Wang, Y.-C.; Kao, C.-H. Asthma–Chronic Obstructive Pulmonary Disease Overlap Syndrome Associated with Risk of Pulmonary Embolism. PLoS ONE 2016, 11, e0162483. [Google Scholar] [CrossRef] [PubMed]
- Corbett, V.; Hassouna, H.; Girgis, R. In situ thrombosis of the pulmonary arteries: An emerging new perspective on pulmonary embolism. Med. Student Res. J. 2015, 4, 54–58. [Google Scholar]
- Wanner, A.; Mendes, E.S. Airway endothelial dysfunction in asthma and chronic obstructive pulmonary disease: A challenge for future research. Am. J. Respir. Crit. Care Med. 2010, 182, 1344–1351. [Google Scholar] [CrossRef] [PubMed]
- Hataji, O.; Taguchi, O.; Gabazza, E.; Yuda, H.; Fujimoto, H.; Suzuki, K.; Adachi, Y. Activation of protein C pathway in the airways. Lung 2002, 180, 47–59. [Google Scholar] [CrossRef] [PubMed]
- Kucharewicz, I.; Mogielnicki, A.; Kasacka, I.; Buczko, W.; Bodzenta-Łukaszyk, A. Plasmin system regulation in an ovalbumin-induced rat model of asthma. Int. Arch. Allergy Immunol. 2008, 147, 190–196. [Google Scholar] [CrossRef] [PubMed]
- Nakajima, T.; Inagaki, N.; Tanaka, H.; Tanaka, A.; Yoshikawa, M.; Tamari, M.; Hasegawa, K.; Matsumoto, K.; Tachimoto, H.; Ebisawa, M. Marked increase in CC chemokine gene expression in both human and mouse mast cell transcriptomes following Fcε receptor I cross-linking: An interspecies comparison. Blood 2002, 100, 3861–3868. [Google Scholar] [CrossRef] [PubMed]
- Qaddoura, A.; Digby, G.C.; Kabali, C.; Kukla, P.; Zhan, Z.Q.; Baranchuk, A.M. The value of electrocardiography in prognosticating clinical deterioration and mortality in acute pulmonary embolism: A systematic review and meta-analysis. Clin. Cardiol. 2017, 40, 814–824. [Google Scholar] [CrossRef] [PubMed]





| Study Group | Methodology | Case Number | Result |
|---|---|---|---|
| Huerta et al. [7] | Cohort study | 3544 DVT; 3066 PE; 10000 Control | DVT (OR 1.15, 1.00–1.31); PE (OR 1.32, 1.15–1.53) |
| Majoor et al. [6] | Retrospective | 648 Asthma (severe: 283, mild to moderate: 365) | Severe asthma: HR = 3.33 (1.16–9.93); Corticosteroid use: HR = 2.82 (1.09–7.30) |
| Chung et al. [8] | Cohort study | 31356 Asthma; 125157 Control | PE: HR = 3.24 (1.74–6.01); Increased risk with frequent asthma exacerbation and hospitalization. |
| Barreto et al. [5] | Retrospective | 133 acute PE; (12% Asthma) | PE (OR 2.16, 1.26–3.71) |
| Yeh et al. [10] | Cohort study | ACOS: 14150; non-ACOS: 55876 | ACOS for PE: HR = 2.08 (1.56–2.76) Using ICS: HR =1.97 (1.29–3.01); Using OCS: HR = 1.97 (1.46–2.65) |
| Zöller et al. [1] | Cohort study | PE: 114366; DVT: 76494; Both PE and DVT: 6854 | PE (OR 1.43, 1.37–1.50); DVT (OR 1.56, 1.47–1.65); either PE or DVT (OR 1.60, 1.32–1.93) |
© 2019 by the authors. Licensee MDPI, Basel, Switzerland. This article is an open access article distributed under the terms and conditions of the Creative Commons Attribution (CC BY) license (http://creativecommons.org/licenses/by/4.0/).
Share and Cite
Lee, P.-H.; Fu, P.-K. Pulmonary Embolism and Severe Asthma: Case Report and Literature Review. Medicina 2019, 55, 647. https://doi.org/10.3390/medicina55100647
Lee P-H, Fu P-K. Pulmonary Embolism and Severe Asthma: Case Report and Literature Review. Medicina. 2019; 55(10):647. https://doi.org/10.3390/medicina55100647
Chicago/Turabian StyleLee, Po-Hsin, and Pin-Kuei Fu. 2019. "Pulmonary Embolism and Severe Asthma: Case Report and Literature Review" Medicina 55, no. 10: 647. https://doi.org/10.3390/medicina55100647
APA StyleLee, P.-H., & Fu, P.-K. (2019). Pulmonary Embolism and Severe Asthma: Case Report and Literature Review. Medicina, 55(10), 647. https://doi.org/10.3390/medicina55100647

