Bilateral Optic Neuritis Secondary to Nivolumab Therapy: A Case Report
Abstract
1. Introduction
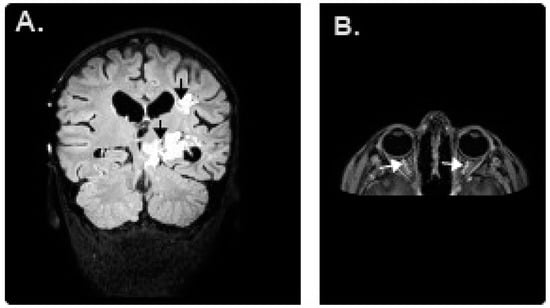
2. Case Presentation
3. Discussion
4. Conclusions
Author Contributions
Funding
Conflicts of Interest
References
- Yi, Y.; Hsieh, I.; Huang, X.; Li, J.; Zhao, W. Glioblastoma Stem-Like Cells: Characteristics. Microenviron. Ther. Front. Pharmacol. 2016, 7, 477. [Google Scholar]
- Tanaka, R.; Maruyama, H.; Tomidokoro, Y.; Yanagiha, K.; Hirabayashi, T.; Ishii, A.; Okune, M.; Inoue, S.; Sekine, I.; Tamaoka, A.; et al. Nivolumab-induced chronic inflammatory demyelinating polyradiculoneuropathy mimicking rapid-onset Guillain-Barré syndrome: A case report. Jpn. J. Clin. Oncol. 2016, 46, 875–878. [Google Scholar] [CrossRef] [PubMed]
- Abe, J.; Sato, T.; Tanaka, R.; Okazaki, T.; Takahashi, S. Nivolumab-Induced Severe Akathisia in an Advanced Lung Cancer Patient. Am. J. Case Rep. 2016, 17, 880–882. [Google Scholar] [CrossRef] [PubMed]
- De Velasco, G.; Bermas, B.; Choueiri, T. Autoimmune Arthropathy and Uveitis as Complications of Programmed Death 1 Inhibitor Treatment. Arthritis Rheumatol. 2016, 68, 556–557. [Google Scholar] [CrossRef] [PubMed]
- Karlin, J.; Gentzler, R.; Golen, J. Bilateral Anterior Uveitis Associated with Nivolumab Therapy. Ocul. Immunol. Inflamm. 2016, 26, 283–285. [Google Scholar] [CrossRef] [PubMed]
- Yeh, E.; Graves, J.; Benson, L.; Wassmer, E.; Waldman, A. Pediatric optic neuritis. Neurology 2016, 87, 53–58. [Google Scholar] [CrossRef] [PubMed]
- Beck, R.; Cleary, P.; Anderson, M.M., Jr.; Keltner, J.; Shults, W.; Kaufman, D.; Buckley, E.G.; Corbett, M.J.; Kupersmith, M.J.; Miller, N.R.; et al. A randomized, controlled trial of corticosteroids in the treatment of acute optic neuritis: The Optic Neuritis Study Group. N. Engl. J. Med. 1992, 326, 581–588. [Google Scholar] [CrossRef] [PubMed]
- Jayakody, H.; Bonthius, D.; Longmuir, R.; Joshi, C. Pediatric optic neuritis: Does a prolonged course of steroids reduce relapses? A preliminary study. Pediatr. Neurol. 2014, 51, 721–725. [Google Scholar] [CrossRef] [PubMed]
- Waldman, A.; Stull, L.; Galetta, S.; Balcer, L.; Liu, G. Pediatric optic neuritis and risk of multiple sclerasis: Meta-analysis of observational studies. J. AAPOS 2011, 15, 441–446. [Google Scholar] [CrossRef] [PubMed]
- Wilejto, M.; Shroff, M.; Buncic, J.; Kennedy, J.; Goia, C.; Banwell, B. The clinical features, MRI findings, and outcome of optic neuritis in children. Neurology 2006, 67, 258–262. [Google Scholar] [CrossRef] [PubMed]
- Mizota, A.; Niimura, M.; Adachi-Usami, E. Clinical characteristics of Japanese children with optic neuritis. Pediatr. Neurol. 2004, 31, 42–45. [Google Scholar] [CrossRef] [PubMed]
- Jung, K.; Zeng, X.; Bilusic, M. Nivolumab-associated acute glomerulonephritis: A case report and literature review. BMC Nephrol. 2016, 17, 188. [Google Scholar] [CrossRef] [PubMed]
- Edmondson, L.A.; Smith, L.V.; Mallik, A. Nivolumab-induced vitiligo in a metastatic melanoma patient: A case report. J. Oncol. Pharm. Pract. 2017, 23, 629–634. [Google Scholar] [CrossRef] [PubMed]

© 2018 by the authors. Licensee MDPI, Basel, Switzerland. This article is an open access article distributed under the terms and conditions of the Creative Commons Attribution (CC BY) license (http://creativecommons.org/licenses/by/4.0/).
Share and Cite
Kartal, Ö.; Ataş, E. Bilateral Optic Neuritis Secondary to Nivolumab Therapy: A Case Report. Medicina 2018, 54, 82. https://doi.org/10.3390/medicina54050082
Kartal Ö, Ataş E. Bilateral Optic Neuritis Secondary to Nivolumab Therapy: A Case Report. Medicina. 2018; 54(5):82. https://doi.org/10.3390/medicina54050082
Chicago/Turabian StyleKartal, Ömer, and Erman Ataş. 2018. "Bilateral Optic Neuritis Secondary to Nivolumab Therapy: A Case Report" Medicina 54, no. 5: 82. https://doi.org/10.3390/medicina54050082
APA StyleKartal, Ö., & Ataş, E. (2018). Bilateral Optic Neuritis Secondary to Nivolumab Therapy: A Case Report. Medicina, 54(5), 82. https://doi.org/10.3390/medicina54050082
