Evaluation of Antibacterial and Antifungal Effects of Calcium Hydroxide Mixed with Two Different Essential Oils
Abstract
:1. Introduction
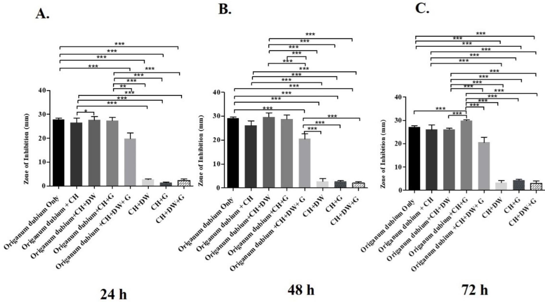
2. Results
3. Discussion
4. Materials and Methods
4.1. Plant Material
4.2. Isolation of Essential Oil
4.3. Gas Chromatography (GC) and Gas Chromatography-Mass Spectrometry (GC-MS) Analysis
4.3.1. GC-MS Analysis
4.3.2. GC Analysis
4.3.3. Identification of Compounds
4.4. Preparation of Bacterial and Fungal Cultures
4.5. Preparation of Experimental Groups
4.6. Disk Diffusion Assay
4.7. Statistical Analysis
5. Conclusions
Author Contributions
Funding
Institutional Review Board Statement
Data Availability Statement
Conflicts of Interest
References
- Alghamdi, F.; Shakir, M. The Influence of Enterococcus Faecalis as a Dental Root Canal Pathogen on Endodontic Treatment: A Systematic Review. Cureus 2020, 12, e7257. [Google Scholar] [CrossRef] [PubMed] [Green Version]
- Barbosa-Ribeiro, M.; De-Jesus-Soares, A.; Zaia, A.A.; Ferraz, C.C.R.; Almeida, J.F.A.; Gomes, B.P.F.A. Quantification of Lipoteichoic Acid Contents and Cultivable Bacteria at the Different Phases of the Endodontic Retreatment. J. Endod. 2016, 42, 552–556. [Google Scholar] [CrossRef]
- Estrela, C.; Silva, J.A.; Alencar, A.H.G.D.; Leles, C.R.; Decurcio, D.A. Efficacy of sodium hypochlorite and chlorhexidine against Enterococcus faecalis: A systematic review. J. Appl. Oral Sci. 2008, 16, 364–368. [Google Scholar] [CrossRef] [PubMed]
- Murad, C.F.; Sassone, L.M.; Souza, M.C.; Fidel, R.A.S.; Fidel, S.R.; Junior, R.H. Antimicrobial activity of sodium hypochlorite, chlorhexidine and MTAD® against Enterococcus faecalis biofilm on human dentin matrix in vitro. RSBO 2012, 9, 143–150. [Google Scholar]
- Barrett, A.W.; Kingsmill, V.J.; Speight, P.M. The Frequency of Fungal Infection in Biopsies of Oral Mucosal Lesions. Oral Dis. 1998, 4, 26–31. [Google Scholar] [CrossRef]
- Srikumar, G.P.; Kumar, R.S.; Bardia, S.; Geojan, N.E.; Nishad, G.; Bhagat, P. Antifungal Effectiveness of Various Intracanal Medicaments against Candida Albicans: An In Vitro Study. J. Contemp. Dent. Pract. 2020, 21, 1042–1047. [Google Scholar] [CrossRef]
- Martinho, F.C.; Gomes, C.C.; Nascimento, G.G.; Gomes, A.; Leite, F. Clinical comparison of the effectiveness of 7- and 14-day intracanal medications in root canal disinfection and inflammatory cytokines. Clin. Oral Investig. 2018, 22, 523–530. [Google Scholar] [CrossRef]
- Donyavi, Z.; Ghahari, P.; Esmaeilzadeh, M.; Kharazifard, M.; Yousefi-Mashouf, R. Antibacterial Efficacy of Calcium Hydroxide and Chlorhexidine Mixture for Treatment of Teeth with Primary Endodontic Lesions: A Randomized Clinical Trial. Iran. Endod. J. 2016, 11, 255–260. [Google Scholar] [CrossRef]
- Takushige, T.; Cruz, E.V.; Moral, A.A.; Hoshino, E. Endodontic Treatment of Primary Teeth Using a Combination of Antibacterial Drugs. Int. Endod. J. 2004, 37, 132–138. [Google Scholar] [CrossRef]
- Abouelenien, S.S.; Ibrahim, S.M.; Shaker, O.G.; Ahmed, G.M. Evaluation of Postoperative Pain in Infected Root Canals after Using Double Antibiotic Paste versus Calcium Hydroxide as Intra-Canal Medication: A Randomized Controlled Trial. F1000Research 2018, 7, 1768. [Google Scholar] [CrossRef] [Green Version]
- Ba-Hattab, R.; Al-Jamie, M.; Aldreib, H.; Alessa, L.; Alonazi, M. Calcium Hydroxide in Endodontics: An Overview. Open J. Stomatol. 2016, 6, 274–289. [Google Scholar] [CrossRef] [Green Version]
- Rehman, K.; Saunders, W.P.; Foye, R.H.; Sharkey, S.W. Calcium Ion Diffusion from Calcium Hydroxide-Containing Materials in Endodontically-Treated Teeth: An in Vitro Study. Int. Endod. J. 1996, 29, 271–279. [Google Scholar] [CrossRef] [PubMed]
- Estrela, C.; Holland, R. Calcium hydroxide: Study based on scientific evidences. J. Appl. Oral Sci. Rev. FOB 2003, 11, 269–282. [Google Scholar] [CrossRef] [PubMed] [Green Version]
- Sharma, G.; Ahmed, H.M.A.; Zilm, P.S.; Rossi-Fedele, G. Antimicrobial Properties of Calcium Hydroxide Dressing When Used for Long-Term Application: A Systematic Review. Aust. Endod. J. 2018, 44, 60–65. [Google Scholar] [CrossRef] [PubMed]
- Safavi, K.E.; Nichols, F.C. Effect of Calcium Hydroxide on Bacterial Lipopolysaccharide. J. Endod. 1993, 19, 76–78. [Google Scholar] [CrossRef]
- Solak, H.; Öztan, M.D. The PH Changes of Four Different Calcium Hydroxide Mixtures Used for Intracanal Medication. J. Oral Rehabil. 2003, 30, 436–439. [Google Scholar] [CrossRef]
- Gomes, B.P.F.D.A.; Ferraz, C.C.R.; Vianna, M.E.; Rosalen, P.L.; Zaia, A.A.; Teixeira, F.B.; De Souza-Filho, F.J. In Vitro Antimicrobial Activity of Calcium Hydroxide Pastes and Their Vehicles against Selected Microorganisms. Braz. Dent. J. 2002, 13, 155–161. [Google Scholar] [CrossRef]
- Madhubala, M.M.; Srinivasan, N.; Ahamed, S. Comparative Evaluation of Propolis and Triantibiotic Mixture as an Intracanal Medicament against Enterococcus Faecalis. J. Endod. 2011, 37, 1287–1289. [Google Scholar] [CrossRef]
- Yoo, Y.J.; Kim, A.R.; Perinpanayagam, H.; Han, S.H.; Kum, K.Y. Candida albicans Virulence Factors and Pathogenicity for Endodontic Infections. Microorganisms 2020, 8, 1300. [Google Scholar] [CrossRef]
- Thienngern, P.; Panichuttra, A.; Ratisoontorn, C.; Aumnate, C.; Matangkasombut, O. Efficacy of Chitosan Paste as Intracanal Medication Against Enterococcus Faecalis and Candida Albicans Biofilm Compared with Calcium Hydroxide in an In Vitro Root Canal Infection Model. Res. Sq. 2022. [Google Scholar] [CrossRef]
- Wińska, K.; Mączka, W.; Łyczko, J.; Grabarczyk, M.; Czubaszek, A.; Szumny, A. Essential Oils as Antimicrobial Agents—Myth or Real Alternative? Molecules 2019, 24, 2130. [Google Scholar] [CrossRef] [PubMed] [Green Version]
- Park, Y.K.; Koo, M.H.; Abreu, J.A.; Ikegaki, M.; Cury, J.A.; Rosalen, P.L. Antimicrobial activity of propolis on oral microorganisms. Curr. Microbiol. 1998, 36, 24–28. [Google Scholar] [CrossRef] [PubMed]
- Sinha, D.; Sinha, A. Natural Medicaments in Dentistry. Ayu 2014, 35, 113–118. [Google Scholar] [CrossRef] [PubMed] [Green Version]
- Hargreaves, K.M.; Cohen, S.; Berman, L.H. Cohen’s Pathways of the Pulp; Mosby Elsevier: Amsterdam, The Netherlands, 2011; ISBN 9780323064897. [Google Scholar]
- Nosrat, A.; Bolhari, B.; Sharifian, M.R.; Aligholi, M.; Mortazavi, M.S. The Effect of Carvacrol on Enterococcus Faecalis as a Final Irrigant. Iran. Endod. J. 2009, 4, 96–100. [Google Scholar] [CrossRef]
- Krishnamoorthy, A.L.; Lemus, A.A.; Solomon, A.P.; Valm, A.M.; Neelakantan, P. Interactions between Candida Albicans and Enterococcus Faecalis in an Organotypic Oral Epithelial Model. Microorganisms 2020, 8, 1771. [Google Scholar] [CrossRef]
- Pinheiro, E.T.; Gomes, B.P.F.A.; Ferraz, C.C.R.; Teixeira, F.B.; Zaia, A.A.; Souza Filho, F.J. Evaluation of Root Canal Microorganisms Isolated from Teeth with Endodontic Failure and Their Antimicrobial Susceptibility. Oral Microbiol. Immunol. 2003, 18, 100–103. [Google Scholar] [CrossRef]
- Zancan, R.F.; Vivan, R.R.; Lopes, M.R.M.; Weckwerth, P.H.; de Andrade, F.B.; Ponce, J.B.; Duarte, M.A.H. Antimicrobial Activity and Physicochemical Properties of Calcium Hydroxide Pastes Used as Intracanal Medication. J. Endod. 2016, 42, 1822–1828. [Google Scholar] [CrossRef]
- Zancan, R.F.; Calefi, P.H.S.; Borges, M.M.B.; Lopes, M.R.M.; de Andrade, F.B.; Vivan, R.R.; Duarte, M.A.H. Antimicrobial Activity of Intracanal Medications against Both Enterococcus Faecalis and Candida Albicans Biofilm. Microsc. Res. Tech. 2019, 82, 494–500. [Google Scholar] [CrossRef]
- Cook, J.; Nandakumar, R.; Fouad, A.F. Molecular- and Culture-Based Comparison of the Effects of Antimicrobial Agents on Bacterial Survival in Infected Dentinal Tubules. J. Endod. 2007, 33, 690–692. [Google Scholar] [CrossRef]
- Peters, L.B.; Wesselink, P.R. Periapical Healing of Endodontically Treated Teeth in One and Two Visits Obturated in the Presence or Absence of Detectable Microorganisms. Int. Endod. J. 2002, 35, 660–667. [Google Scholar] [CrossRef]
- Sathorn, C.; Parashos, P.; Messer, H. Antibacterial efficacy of calcium hydroxide intracanal dressing: A systematic review and meta-analysis. Int. Endod. J. 2007, 40, 2–10. [Google Scholar] [CrossRef] [PubMed]
- Baumgartner, J.C.; Watts, C.M.; Xia, T. Occurrence of Candida Albicans in Infections of Endodontic Origin. J. Endod. 2000, 26, 695–698. [Google Scholar] [CrossRef]
- Slack, G. The bacteriology of infected root canals and in vitro penicillin sensitivity. Br. Dent. J. 1953, 3, 211–214. [Google Scholar]
- Mohammadi, Z.; Shalavi, S.; Yazdizadeh, M. Antimicrobial Activity of Calcium Hydroxide in Endodontics: A Review. Chonnam Med. J. 2012, 48, 133–140. [Google Scholar] [CrossRef] [Green Version]
- Gomes, B.P.F.A.; Souza, S.F.C.; Ferraz, C.C.R.; Teixeira, F.B.; Zaia, A.A.; Valdrighi, L.; Souza-Filho, F.J. Effectiveness of 2% Chlorhexidine Gel and Calcium Hydroxide against Enterococcus Faecalis in Bovine Root Dentine in Vitro. Int. Endod. J. 2003, 36, 267–275. [Google Scholar] [CrossRef] [PubMed]
- Van Der Waal, S.V.; Connert, T.; Crielaard, W.; De Soet, J.J. In Mixed Biofilms Enterococcus Faecalis Benefits from a Calcium Hydroxide Challenge and Culturing. Int. Endod. J. 2016, 49, 865–873. [Google Scholar] [CrossRef] [PubMed]
- Silva, S.; Alves, N.; Silva, P.; Vieira, T.; Maciel, P.; Castellano, R.; Bonan, P.; Velozo, C.; Albuquerque, D. Antibacterial Activity of Rosmarinus Officinalis, Zingiber Officinale, Citrus Aurantium Bergamia, and Copaifera Officinalis Alone and in Combination with Calcium Hydroxide against Enterococcus Faecalis. BioMed Res. Int. 2019, 2019, 8129439. [Google Scholar] [CrossRef] [PubMed] [Green Version]
- Baser, K.H.C. The Turkish Origanum Species. In Oregano: The Genera Origanum and Lippia; Kintzios, S.E., Ed.; CRC Press: Boca Raton, FL, USA, 2002. [Google Scholar]
- De Vincenzi, M.; Stammati, A.; De Vincenzi, A.; Silano, M. Constituents of Aromatic Plants: Carvacrol. Fitoterapia 2004, 75, 801–804. [Google Scholar] [CrossRef]
- Seghatoleslami, S.; Samadi, N.; Salehnia, A.; Azimi, S. Antibacterial Activity of Endemic Satureja Khuzistanica Jamzad Essential Oil against Oral Pathogens. Iran. Endod. J. 2009, 4, 5–9. [Google Scholar] [CrossRef]
- Mustafa, M.; Kp, S.; Jain, D.; Sajjanshetty, S.; Arun, A.; Uppin, L. Role of Calcium Hydroxide in Endodontics: A Review. Glob. J. Med. Public Health 2012, 1, 66–70. [Google Scholar]
- Adel, M.; Abedi, F.; Mohammadi, N.; Aligholi, M. Evaluation of Inhibitory Effect of Dentin on the Antimicrobial Effect of Carvacrol and Sodium Hypochlorite on Euterococcus Faecalis: An In Vitro Study. J. Mashhad Dent. Sch. 2014, 38, 233–242. [Google Scholar]
- Adel, M.; Pourrousta, P.; Sharifi, M.; Javadi, A.; Falah-Abed, P.; Rahmani, N. Antimicrobial Effect of Carvacrol and Calcium Hydroxide against Enterococcus Faecalis in Different Layers of Dentin and Different Time Intervals. J. Maz. Univ. Med. Sci. 2016, 26, 35–43. [Google Scholar]
- Inouye, S.; Takahashi, M.; Abe, S. Inhibitory Activity of Hydrosols, Herbal Teas and Related Essential Oils against Filament Formation and the Growth of Candida Albicans. Nihon Ishinkin Gakkai Zasshi 2009, 50, 243–252. [Google Scholar] [CrossRef] [PubMed] [Green Version]
- Lima, I.O.; Pereira, F.D.O.; Oliveira, W.A.D.; Lima, E.D.O.; Menezes, E.A.; Cunha, F.A.; Diniz, M.D.F.F.M. Antifungal activity and mode of action of carvacrol against Candida albicans strains. J. Essent. Oil Res. 2013, 25, 138–142. [Google Scholar] [CrossRef]
- Raut, J.S.; Shinde, R.B.; Chauhan, N.M.; Karuppayil, S.M. Terpenoids of Plant Origin Inhibit Morphogenesis, Adhesion, and Biofilm Formation by Candida Albicans. Biofouling 2012, 29, 87–96. [Google Scholar] [CrossRef] [PubMed]
- Teixeira, M.C.; Salgueiro, L.; Ren, C.; Zhang, C.; Jia, C.; Niu, C.; Wang, C.; Yang, Y.; Chen, R.; Zhang, J.; et al. Carvacrol Induces Candida Albicans Apoptosis Associated With Ca 2+/Calcineurin Pathway. Front. Cell. Infect. Microbiol. 2020, 10, 192. [Google Scholar] [CrossRef]
- Moro, I.J.; Gondo, G.D.G.A.; Pierri, E.G.; Pietro, R.C.L.R.; Soares, C.P.; de Sousa, D.; dos Santos, A.G. Evaluation of Antimicrobial, Cytotoxic and Chemopreventive Activities of Carvone and Its Derivatives. J. Pharm. Sci. 2017, 53, 76. [Google Scholar] [CrossRef] [Green Version]
- McGeady, P.; Wansley, D.L.; Logan, D.A. Carvone and Perillaldehyde Interfere with the Serum-Induced Formation of Filamentous Structures in Candida Albicans at Substantially Lower Concentrations than Those Causing Significant Inhibition of Growth. J. Nat. Prod. 2002, 65, 953–955. [Google Scholar] [CrossRef]
- Piras, A.; Porcedda, S.; Falconieri, D.; Maxia, A.; Gonçalves, M.; Cavaleiro, C.; Salgueiro, L. Antifungal Activity of Essential Oil from Mentha Spicata L. and Mentha Pulegium L. Growing Wild in Sardinia Island (Italy). Nat. Prod. Res. 2021, 35, 993–999. [Google Scholar] [CrossRef]
- Soković, M.; Vukojević, J.; Marin, P.; Brkić, D.; Vajs, V.; van Griensven, L. Chemical Composition of Essential Oilsof Thymus and Mentha Speciesand Their Antifungal Activities. Molecules 2009, 14, 238. [Google Scholar] [CrossRef]
- Rath, S.; Padhy, R.N. Monitoring in Vitro Antibacterial Efficacy of 26 Indian Spices against Multidrug Resistant Urinary Tract Infecting Bacteria. Integr. Med. Res. 2014, 3, 133–141. [Google Scholar] [CrossRef] [PubMed] [Green Version]
- McLafferty, F.W.; Stauffer, D.B. The Wiley/NBS Registry of Mass Spectral Data; Wiley: New York, NY, USA, 1989; Volume 1. [Google Scholar]
- Stein, S.E. “Mass Spectra” NIST Mass Spec Data Center. In NIST Chemistry WebBook; Linstorm, P.J.P., Ed.; National Institute of Standards and Technology: Gaithersburg, MD, USA, 1998; Volume 9, pp. 1–1951. [Google Scholar]
- Kelsey, R.G. The Atlas of Spectral Data of Sesquiterpene Hydrocarbons By D. Joulain (Robertet S. A.) and W. A. König (University of Hamburg). E. B. Verlag, Hamburg. 1998. 661 Pp. 21 × 29.5 Cm. $700.0. ISBN 3-930826-48-8. J. Nat. Prod. 1999, 62, 1212–1213. [Google Scholar] [CrossRef]
- ESO 2000—The Complete Database of Essential Oils. Available online: http://www.leffingwell.com/baciseso.htm (accessed on 8 February 2022).
- Lee, S.C.; Fung, C.P.; Lee, N.; See, L.C.; Huang, J.S.; Tsai, C.J.; Chen, K.S.; Shieh, W.B. Fluconazole Disk Diffusion Test with Methylene Blue- and Glucoseenriched Mueller-Hinton Agar for Determining Susceptibility of Candida Species. J. Clin. Microbiol. 2001, 39, 1615–1617. [Google Scholar] [CrossRef] [PubMed] [Green Version]
- Nayyar, P.; Sethi, A.; Thakur, D.; Khullar, S.; Gayati, S.; Adarsh, K. Antibacterial Effect of Silver Nanoparticle Gel as an Intracanal Medicament in Combination with Other Medicaments against Enterococcus Faecalis: An In Vitro Study. J. Pharm. Bioallied Sci. 2021, 13, S408. [Google Scholar] [CrossRef]
- Baser, K.H.C. Biological and Pharmacological Activities of Carvacrol and Carvacrol Bearing Essential Oils. Curr. Pharm. Desing 2008, 14, 3106–3120. [Google Scholar] [CrossRef] [PubMed]
- Bouyahya, A.; Mechchate, H.; Benali, T.; Ghchime, R.; Charfi, S.; Balahbib, A.; Burkov, P.; Shariati, M.A.; Lorenzo, J.M.; Omari, N.; et al. Biomolecules Health Benefits and Pharmacological Properties of Carvone. Biomolecules 2021, 11, 1803. [Google Scholar] [CrossRef]




| LRI | Compound Name | Relative Percentage Amount (%) | |
|---|---|---|---|
| 1 | 1015 | α-Pinene | 1.0 |
| 2 | 1068 | Camphene | 0.1 |
| 3 | 1115 | β-Pinene | 1.2 |
| 4 | 1128 | Sabinene | 0.8 |
| 5 | 1168 | Myrcene | 0.8 |
| 6 | 1207 | Limonene | 12.5 |
| 7 | 1217 | 1,8-Cineole | 3.6 |
| 8 | 1241 | β-Terpinene | 0.2 |
| 9 | 1256 | γ-Terpinene | 0.1 |
| 10 | 1259 | (Ε)-β-Ocimene | 0.1 |
| 11 | 1393 | 3-Octanol | 0.2 |
| 12 | 1539 | β-Bourbonene | 0.4 |
| 13 | 1599 | Camphor | 0.1 |
| 14 | 1608 | β-Elemene | 0.4 |
| 15 | 1618 | Terpinen-4-ol | 0.2 |
| 16 | 1623 | β-Caryophyllene | 0.5 |
| 17 | 1635 | trans-Dihydrocarvone | 0.3 |
| 18 | 1663 | cis-iso-Dihydrocarvone | 0.1 |
| 19 | 1676 | Pulegone | 1.1 |
| 20 | 1687 | Dihydrocarvyl acetate | 0.6 |
| 21 | 1699 | Bicyclosesquiphellandrene | 0.4 |
| 22 | 1721 | Borneol | 0.2 |
| 23 | 1739 | Germacrene D | 0.6 |
| 24 | 1768 | Carvone | 71.3 |
| 25 | 1789 | p-Vinyl anisol | 0.9 |
| 26 | 1819 | α-Cadinene | 0.1 |
| 27 | 1828 | cis-Carvone oxide | tr |
| 28 | 1851 | trans-Carveol | 0.3 |
| 29 | 1863 | cis-Calamenene | 0.2 |
| 30 | 1867 | trans-Calamenene | 0.1 |
| 31 | 1882 | cis-Carveol | 1.4 |
| 32 | 2090 | Cubenol | 0.2 |
| 33 | 2260 | Torreyol | 0.1 |
| Total | 100.0 | ||
| LRI | Compound Name | Relative Percentage Amounts (%) | |
|---|---|---|---|
| 1 | 1015 | α-Pinene | 3.1 |
| 2 | 1019 | α-Thujene | 0.9 |
| 3 | 1067 | Camphene | 0.2 |
| 4 | 1114 | β-Pinene | 0.2 |
| 5 | 1155 | δ-3-Carene | 0.9 |
| 6 | 1167 | Myrcene | 1.4 |
| 7 | 1172 | β-Terpinene | 0.2 |
| 8 | 1187 | α-Terpinene | 1.2 |
| 9 | 1206 | Limonene | 0.3 |
| 10 | 1216 | 1,8-Cineole | 0.2 |
| 11 | 1217 | β-phellandrene | 0.3 |
| 12 | 1255 | γ-Terpinene | 4.1 |
| 13 | 1283 | p-Cymene | 6.9 |
| 14 | 1294 | Terpinolene | 0.3 |
| 15 | 1451 | 1-Octen-3-ol | 0.1 |
| 16 | 1472 | trans-Sabinene hydrate | 0.4 |
| 17 | 1549 | Linalool | 0.2 |
| 18 | 1558 | cis-Sabinene hydrate | 0.2 |
| 19 | 1618 | Terpinen-4-ol | 0.8 |
| 20 | 1622 | β-Caryophyllene | 0.4 |
| 21 | 1710 | α-Terpineol | 0.6 |
| 22 | 1715 | γ-Terpineol | 0.2 |
| 23 | 1720 | Borneol | 0.3 |
| 24 | 2027 | neo-iso-Dihydro carveol | 0.2 |
| 25 | 2151 | Spathulenol | 0.1 |
| 26 | 2199 | Thymol | 0.5 |
| 27 | 2231 | Carvacrol | 75.8 |
| Total | 100.0 | ||
| O. dubium E.O. | Calcium Hydroxide | Distilled Water | Glycerin | ||
|---|---|---|---|---|---|
| Origanum dubium EO and Calcium Hydroxide | 100 μL | 0.001 g | - | - | The proportion of group ingredients |
| Origanum dubium EO and Distilled water and Calcium Hydroxide | 100 μL | 0.002 g | 100 μL | - | |
| Origanum dubium EO and Glycerin and Calcium Hydroxide | 100 μL | 0.002 g | 100 μL | ||
| Origanum dubium EO and Distilled water and Glycerin and Calcium Hydroxide | 100 μL | 0.003 g | 100 μL | 100 μL | |
| Distilled water and Calcium Hydroxide | 100 μL | 0.001 g | - | - | |
| Glycerin and Calcium Hydroxide | - | 0.001 g | 100 μL | - | |
| Distilled water and Glycerin and Calcium Hydroxide | - | 0.001 g | 100 μL |
| Mentha spicata EO | Calcium Hydroxide | Distilled Water | Glycerin | ||
|---|---|---|---|---|---|
| Mentha spicata EO and Calcium Hydroxide | 100 μL | 0.001 g | - | - | The proportion of group ingredients |
| Mentha spicata EO and Distilled water and Calcium Hydroxide | 100 μL | 0.002 g | 100 μL | - | |
| Mentha spicata EO and Glycerin and Calcium Hydroxide | 100 μL | 0.002 g | 100 μL | ||
| Mentha spicata EO and Distilled water and Glycerin and Calcium Hydroxide | 100 μL | 0.003 g | 100 μL | 100 μL | |
| Distilled water and Calcium Hydroxide | 100 μL | 0.001 g | - | - | |
| Glycerin and Calcium Hydroxide | - | 0.001 g | 100 μL | - | |
| Distilled water and Glycerin and Calcium Hydroxide | - | 0.001 g | 100 μL |
Publisher’s Note: MDPI stays neutral with regard to jurisdictional claims in published maps and institutional affiliations. |
© 2022 by the authors. Licensee MDPI, Basel, Switzerland. This article is an open access article distributed under the terms and conditions of the Creative Commons Attribution (CC BY) license (https://creativecommons.org/licenses/by/4.0/).
Share and Cite
Cosan, G.; Ozverel, C.S.; Yigit Hanoglu, D.; Baser, K.H.C.; Tunca, Y.M. Evaluation of Antibacterial and Antifungal Effects of Calcium Hydroxide Mixed with Two Different Essential Oils. Molecules 2022, 27, 2635. https://doi.org/10.3390/molecules27092635
Cosan G, Ozverel CS, Yigit Hanoglu D, Baser KHC, Tunca YM. Evaluation of Antibacterial and Antifungal Effects of Calcium Hydroxide Mixed with Two Different Essential Oils. Molecules. 2022; 27(9):2635. https://doi.org/10.3390/molecules27092635
Chicago/Turabian StyleCosan, Gokalp, Cenk Serhan Ozverel, Duygu Yigit Hanoglu, Kemal Husnu Can Baser, and Yasar Meric Tunca. 2022. "Evaluation of Antibacterial and Antifungal Effects of Calcium Hydroxide Mixed with Two Different Essential Oils" Molecules 27, no. 9: 2635. https://doi.org/10.3390/molecules27092635
APA StyleCosan, G., Ozverel, C. S., Yigit Hanoglu, D., Baser, K. H. C., & Tunca, Y. M. (2022). Evaluation of Antibacterial and Antifungal Effects of Calcium Hydroxide Mixed with Two Different Essential Oils. Molecules, 27(9), 2635. https://doi.org/10.3390/molecules27092635

