Wound-Healing Potential of Myristica fragrans Essential Oil: A Multi-Targeted Approach Involving Inflammation, Oxidative Stress, and Apoptosis Regulation
Abstract
1. Introduction
2. Results
2.1. Chemical Characterization of Essential Oil
2.2. Toxicity Studies
2.3. Percentage of Wound Contraction
2.4. Body Weight and Feed Intake
2.5. Effects of MEO on Inflammatory Markers and Wound-Healing Dynamics
2.6. Effect of MEO on CD68 Level in Experimental Rats
2.7. Impact on Antioxidant Profile and Oxidative Stress Indicators
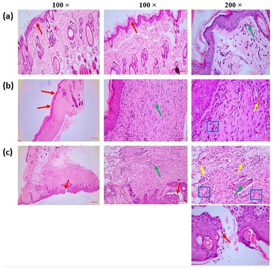
2.8. Results of Histology
Measurement of Histopathological Changes
2.9. Immunohistochemical Staining
3. Discussion
4. Materials and Methods
4.1. Animals Used in Experiments
4.2. Source of Oil
4.3. Identification of Compounds in MEO by GC-MS
4.4. Methods of Making Ointment
4.5. Toxicity Studies
4.6. Excision Wound Model
4.6.1. Experimental Design
4.6.2. Wounding Method
4.7. Treatment
4.8. Evaluation Parameters
4.9. Assessment of Biochemistry
4.9.1. Collection of Samples
4.9.2. Determination of IL-1β and TNF-α
4.9.3. Determination of CD68 in the Rat Serum
4.9.4. Antioxidant Activity
4.10. Immunohistochemical Staining
5. Conclusions
Author Contributions
Funding
Institutional Review Board Statement
Informed Consent Statement
Data Availability Statement
Acknowledgments
Conflicts of Interest
References
- Sujatha, P.S.; Pavithran, S.; Sujatha, P.S. Wound Healing Effect of Furfural and Pentadecanal from Lagerstroemia speciosa (L.) Pers Acetone Flower extracts against Haemadipsa sylvestris Bite. J. Adv. Sci. Res. 2024, 15, 12–15. [Google Scholar]
- Pereira Beserra, F.; Sergio Gushiken, L.F.; Vieira, A.J.; Augusto Bérgamo, D.; Luísa Bérgamo, P.; Oliveira de Souza, M.; Alberto Hussni, C.; Kiomi Takahira, R.; Henrique Nóbrega, R.; Monteiro Martinez, E.R.; et al. From inflammation to cutaneous repair: Topical application of lupeol improves skin wound healing in rats by modulating the cytokine levels, NF-κB, Ki-67, growth factor expression, and distribution of collagen fibers. Int. J. Mol. Sci. 2020, 21, 4952. [Google Scholar] [CrossRef]
- Ni, X.; Shan, X.; Xu, L.; Yu, W.; Zhang, M.; Lei, C.; Xu, N.; Lin, J.; Wang, B. Adipose-derived stem cells combined with platelet-rich plasma enhance wound healing in a rat model of full-thickness skin defects. Stem Cell Res. Ther. 2021, 12, 226. [Google Scholar] [CrossRef] [PubMed]
- Shenoy, R.R.; Sudheendra, A.T.; Nayak, P.G.; Paul, P.; Kutty, N.G.; Rao, C.M. Normal and delayed wound healing is improved by sesamol, an active constituent of Sesamum indicum (L.) in albino rats. J. Ethnopharmacol. 2011, 133, 608–612. [Google Scholar] [CrossRef]
- Kolimi, P.; Narala, S.; Nyavanandi, D.; Youssef, A.A. Innovative treatment strategies to accelerate wound healing: Trajectory and recent advancements. Cells 2022, 11, 2439. [Google Scholar] [CrossRef]
- Pollini, M.; Paladini, F. Antimicrobial silver nanoparticles for wound healing application: Progress and future trends. Materials 2019, 12, 2540. [Google Scholar] [CrossRef]
- Friedman, N.D.; Temkin, E.; Carmeli, Y. The negative impact of antibiotic resistance. Clin. Microbiol. Infect. 2016, 22, 416–422. [Google Scholar] [CrossRef]
- Wagner, W.; Wehrmann, M. Differential cytokine activity and morphology during wound healing in the neonatal and adult rat skin. J. Cell. Mol. Med. 2007, 11, 1342–1351. [Google Scholar] [CrossRef]
- Nieto, G.; Ros, G.; Castillo, J. Antioxidant and antimicrobial properties of rosemary (Rosmarinus officinalis, L.): A review. Medicines 2018, 5, 98. [Google Scholar] [CrossRef]
- Falck, C.K. Essential Oils in Veterinary Wound Management: A Review of Current Literature. AHVMA J. 2022, 67, 11–22. [Google Scholar]
- Saini, R.K.; Ranjit, A.; Sharma, K.; Prasad, P.; Shang, X.; Gowda, K.G.M.; Keum, Y.S. Bioactive Compounds of Citrus Fruits: A Review of Composition and Health Benefits of Carotenoids, Flavonoids, Limonoids, and Terpenes. Antioxidants 2022, 11, 239. [Google Scholar] [CrossRef] [PubMed]
- Caballero-Gallardo, K.; Quintero-Rincón, P.; Olivero-Verbel, J. Aromatherapy and Essential Oils: Holistic Strategies in Complementary and Alternative Medicine for Integral Wellbeing. Plants 2025, 14, 400. [Google Scholar] [CrossRef]
- Rosmalia, D.; Marjoni, M.R. Nutmeg (Myristica fragrans) Extracts Accelerate Oral Mucosal Wound Healing In Vivo. J. Angiother. 2024, 8, 1–5. [Google Scholar]
- Hoch, C.C.; Petry, J.; Griesbaum, L.; Weiser, T. 1,8-cineole (eucalyptol): A versatile phytochemical with therapeutic applications across multiple diseases. Biomed. Pharmacother. 2023, 170, 2659. [Google Scholar] [CrossRef]
- Anuradha, U.; Bhavana, V.; Chary, P.S.; Kalia, N.P. Exploration of the topical nanoemulgel bearing with ferulic acid and essential oil for diabetic wound healing. Pathophysiology 2024, 31, 49. [Google Scholar] [CrossRef]
- Vitale, S.; Colanero, S.; Placidi, M.; Di Emidio, G.; Tatone, C.; Amicarelli, F.; D’Alessandro, A.M. Phytochemistry and Biological Activity of Medicinal Plants in Wound Healing: An Overview of Current Research. Molecules 2022, 27, 3566. [Google Scholar] [CrossRef]
- Ukaegbu, K.; Allen, E.; Svoboda, K.K.H. Reactive Oxygen Species and Antioxidants in Wound Healing: Mechanisms and Therapeutic Potential. Int. Wound J. 2025, 22, e70330. [Google Scholar] [CrossRef]
- Thangaleela, S.; Sivamaruthi, B.S.; Kesika, P.; Chaiyasut, C. A narrative review on the bioactivity and health benefits of alpha-phellandrene. Sci. Pharm. 2022, 90, 57. [Google Scholar] [CrossRef]
- de Cassia da Silveira e Sá, R.; Andrade, L.N.; de Sousa, D.P. A review on anti-inflammatory activity of monoterpenes. Molecules 2013, 18, 1227–1254. [Google Scholar] [CrossRef]
- Javed, S.; Mangla, B.; Salawi, A.; Sultan, M.H.; Almoshari, Y.; Ahsan, W. Essential Oils as Dermocosmetic Agents, Their Mechanism of Action and Nanolipidic Formulations for Maximized Skincare. Cosmetics 2024, 11, 210. [Google Scholar] [CrossRef]
- Ao, X.; Yan, H.; Huang, M.; Xing, W.; Ao, L.Q.; Wu, X.F.; Pu, C.X.; Zhang, B.Y.; Xu, X.; Liang, H.P.; et al. Lavender essential oil accelerates lipopolysaccharide-induced chronic wound healing by inhibiting caspase-11-mediated macrophage pyroptosis. Kaohsiung J. Med. Sci. 2023, 39, 511–521. [Google Scholar] [CrossRef]
- Gullì, M.; Percaccio, E.; Di Giacomo, S.; Di Sotto, A. Novel Insights into the Immunomodulatory Effects of Caryophyllane Sesquiterpenes: A Systematic Review of Preclinical Studies. Appl. Sci. 2022, 12, 2292. [Google Scholar] [CrossRef]
- Astaneh, M.E.; Fereydouni, N. Nanocurcumin-enhanced zein nanofibers: Advancing macrophage polarization and accelerating wound healing. Regen. Ther. 2025, 28, 51–62. [Google Scholar] [CrossRef]
- Sharifiaghdam, M.; Shaabani, E.; Faridi-Majidi, R.; De Smedt, S.C.; Braeckmans, K.; Fraire, J.C. Macrophages as a therapeutic target to promote diabetic wound healing. Mol. Ther. 2022, 30, 2891–2908. [Google Scholar] [CrossRef]
- Gao, M.; Guo, H.; Dong, X.; Wang, Z.; Yang, Z.; Shang, Q.; Wang, Q. Regulation of inflammation during wound healing: The function of mesenchymal stem cells and strategies for therapeutic enhancement. Front. Pharmacol. 2024, 15, 1345779. [Google Scholar] [CrossRef]
- Liu, T.; Zhang, L.; Joo, D.; Sun, S.C. NF-κB signaling in inflammation. Signal Transduct. Target. Ther. 2017, 2, 17023. [Google Scholar] [CrossRef] [PubMed]
- Ashokkumar, K.; Simal-Gandara, J.; Murugan, M.; Dhanya, M.K.; Pandian, A. Nutmeg (Myristica fragrans Houtt.) essential oil: A review on its composition, biological, and pharmacological activities. Phytother. Res. 2022, 36, 2839–2851. [Google Scholar] [CrossRef]
- Trinh, X.T.; Long, N.V.; Van Anh, L.T.; Nga, P.T.; Giang, N.N.; Chien, P.N.; Nam, S.Y.; Heo, C.Y. A Comprehensive Review of Natural Compounds for Wound Healing: Targeting Bioactivity Perspective. Int. J. Mol. Sci. 2022, 23, 9573. [Google Scholar] [CrossRef]
- Venkatesan, K.; Sivadasan, D.; Abderrahmen Al Weslati, M.; Gayasuddin Mouid, M.; Goyal, M.; Bansal, M.; Salama, M.E.M.; Azizullah Ghori, S.; Ahmad, F. Protective Effects of Frankincense Oil on Wound Healing: Downregulating Caspase-3 Expression to Facilitate the Transition from the Inflammatory to Proliferative Phase. Pharmaceuticals 2025, 18, 407. [Google Scholar] [CrossRef]
- Cordiano, R.; Di Gioacchino, M.; Mangifesta, R.; Panzera, C.; Gangemi, S.; Minciullo, P.L. Malondialdehyde as a Potential Oxidative Stress Marker for Allergy-Oriented Diseases: An Update. Molecules 2023, 28, 5979. [Google Scholar] [CrossRef]
- Ribas, V.; García-Ruiz, C.; Fernández-Checa, J.C. Glutathione and mitochondria. Front. Pharmacol. 2014, 5, 151. [Google Scholar] [CrossRef]
- Chidambaram, S.B.; Anand, N.; Varma, S.R.; Ramamurthy, S.; Vichitra, C.; Sharma, A.; Mahalakshmi, A.M.; Essa, M.M. Superoxide dismutase and neurological disorders. IBRO Neurosci. Rep. 2024, 16, 373. [Google Scholar] [CrossRef]
- Zhu, X.; Qiao, T.; Huang, Z.; Jia, G.; Zhao, H.; Chen, X. Caffeic acid improves intestinal barrier function integrity through activation of Nrf2 signaling pathway in weaned piglets and H2O2 induced IPEC-J2 cells. J. Nutr. Biochem. 2025, 143, 109952. [Google Scholar] [CrossRef]
- Riwaldt, S.; Corydon, T.J.; Pantalone, D.; Sahana, J.; Wise, P.; Wehland, M.; Krüger, M.; Melnik, D.; Kopp, S.; Infanger, M.; et al. Role of Apoptosis in Wound Healing and Apoptosis Alterations in Microgravity. Front. Bioeng. Biotechnol. 2021, 9, 679650. [Google Scholar] [CrossRef]
- amin Hussen, N.H.; Abdulla, S.K.; Ali, N.M.; Ahmed, V.A.; Hasan, A.H.; Qadir, E.E. Role of antioxidants in skin aging and the molecular mechanism of ROS: A comprehensive review. Asp. Mol. Med. 2025, 5, 100063. [Google Scholar] [CrossRef]
- Khan, F.A.; Khan, N.M.; Ahmad, S.; Nasruddin Aziz, R.; Ullah, I.; Almehmadi, M.; Allahyani, M.; Alsaiari, A.A.; Aljuaid, A. Phytochemical profiling, antioxidant, antimicrobial and cholinesterase inhibitory effects of essential oils isolated from the leaves of Artemisia scoparia and Artemisia absinthium. Pharmaceuticals 2022, 15, 1221. [Google Scholar] [CrossRef]
- Rodrigues, P.M.; Fernandes, A.; Pintado, M.; Tavaria, F.K. A systematic review of natural products for skin applications: Targeting inflammation, wound healing, and photo-aging. Phytomedicine 2023, 112, 105697. [Google Scholar]
- Carson, C.F.; Hammer, K.A.; Riley, T.V. Melaleuca alternifolia (tea tree) oil: A review of antimicrobial and other medicinal properties. Clin. Microbiol. Rev. 2006, 19, 50–62. [Google Scholar] [CrossRef]
- Saddiq, A.; Khayyat, S.A. Chemical and antimicrobial studies of monoterpene: Citral and linalool. J. King Saud Univ. Sci. 2010, 22, 97–105. [Google Scholar] [CrossRef]
- Adhikary, K.; Sarkar, R.; Maity, S.; Sadhukhan, I.; Sarkar, R. Immunomodulation of macrophages in diabetic wound individuals by structurally diverse bioactive phytochemicals. Pharmaceuticals 2024, 17, 1294. [Google Scholar] [CrossRef]
- Dominguez-Verano, P.; Jacobo-Herrera, N.; Sánchez-Cavazos, J.M.; Miranda-Bello, I.; Acosta-Galván, H.A. Chemical composition of Mexicali propolis and its effect on gastric repair in an indomethacin-induced gastric injury murine model. Antioxidants 2025, 14, 65. [Google Scholar] [CrossRef] [PubMed]








| Retention Duration (Min) | Name of the Compound | Peak Area (%) | Molecular Formula | Chemical Class |
|---|---|---|---|---|
| 29.996 | 4-nitrobenzoic acid, 3-pentyl ester | 12.85 | C12H15NO4 | Nitrobenzoate Esters |
| 7.416 | Eucalyptol | 6.99 | C10H18O | Terpenoid/Cineole |
| 5.627 | 1,4-cyclohexadiene,1-methyl-4-(1-methylethyl)- | 4.67 | C10H16 | Gamma-Terpinene |
| 17.468 | -)-5-oxatricyclo[8.2.0.0(4,6)]dodecane,,12-trimethyl-9- | 3.77 | C15H24O | Caryophyllene Sesquiterpenoids |
| 29.293 | Di-N-octyl phthalate | 3.73 | C24H38O4 | Phenolic Acids/Shikimic Acids And Derivatives |
| 16.423 | 1,3-benzodioxole, 4-methoxy-6-(2-propenyl)- | 3.69 | C11H12O3 | Monolignols/Myristicin |
| 30.293 | 4-nitro-benzoic acid, 1-methyl-heptyl ester | 3.51 | C15H21NO4 | Nitrobenzoate Esters |
| 6.433 | 2,6-octadien-1-ol, 3,7-dimethyl-, formate, (e)- | 3.04 | C11H18O2 | Geranyl Formate |
| 13.429 | 3-cyclohexene-1-methanol, .alpha.,.alpha.,4-trimethyl-, | 3.03 | C12H20O2 | Terpinyl Acetate |
| 6.322 | Bicyclo[2.2.1]heptane, 7,7-dimethyl-2-methylene- | 2.51 | C10H16 | Monoterpene/Alpha-Fenchene |
| 30.133 | 4-nitrobenzoic acid, 3-pentyl ester | 2.44 | C12H15NO4 | Nitrobenzoate Esters |
| 14.722 | Caryophyllene | 2.17 | C15H24 | Polycyclic Sesquiterpenes |
| 30.354 | 1,2-benzene dicarboxylic acid, dioctyl ester | 2.02 | C24H38O4 | Phthalic Acids-Diethylhexyl Phthalate |
| 17.164 | 8-acetoxycarvotanacetone | 1.96 | C12H18O3 | Terpinenes |
| 10.538 | 3-cyclohexene-1-methanol, .alpha.,.alpha.,4-trimethyl- | 1.56 | C10H18O | Alpha-Terpineol |
| 18.161 | 2,6,6-trimethylbicyclo[3.1.1]heptane-2,3-diol | 1.72 | C10H18O2 | Monoterpenoids-Pinane Monoterpenoids |
| 14.901 | 2-((1r,4r)-4-Hydroxy-4-Methylcyclohex-2-Enyl)Propan-2-Yl Acetate | 1.48 | C12H20O3 | Cannabidiol |
| 11.621 | 1,5-dimethyl-1-vinyl-4-hexenyl 2-aminobenzoate | 1.41 | C17H23NO2 | Arene-Linalyl Anthranilate |
| 13.608 | Eugenol | 1.37 | C10H12O2 | Caffeic Acids–Eugenol |
| 15.362 | 2-((1r,4r)-4-Hydroxy-4-Methylcyclohex-2-Enyl)Propan-2-Yl Acetate | 1.21 | C12H20O3 | Cannabidiol |
| 8.687 | 1,6-octadien-3-ol, 3,7-dimethyl- | 1.21 | C10H18O | Monoterpenoid-Linalool |
| 10.376 | Dl-menthol | 1.10 | C10H20O | Cyclohexanols-Menthol |
| 6.953 | 1,4-cyclohexadiene, 1-methyl-4-(1-methylethyl)- | 1.03 | C10H16 | Cyclohexane Monoterpenes/Gamma-Terpinene |
| 13.071 | P-month-8-en-3-ol, acetate | 1.03 | C12H20O2 | Isopulegyl Acetate |
| 9.598 | 2h-Pyran-3-Ol, 6-Ethenyltetrahydro-2,2,6-Trimethyl- | 1.01 | C10H18O2 | Oxanes/Linalool Oxide Pyranoside |
| Treatment | IL-1β (pg/mg) | TNF-α (pg/mg) | CD68 (ng/mL) |
|---|---|---|---|
| MEO | 658.3 ± 32.70 *** | 266.7 ± 33.33 *** | 12.67 ± 0.7149 *** |
| Reference | 825 ± 30.96 * | 433.3 ± 42.16 * | 15.83 ± 0.7032 * |
| Control | 983.3 ± 60.09 | 650 ± 42.82 ** | 31.83 ± 1.014 *** |
| Changes in Histopathology | Average Score | ||
|---|---|---|---|
| MEO | Reference | Control | |
| Collagen Deposition | 1 | 1 | 1 |
| Re-epithelialization | 3 | 2 | 1 |
| Inflammatory Response | 0 | 1 | 1 |
| Granulation Tissue Formation | 2 | 1 | 1 |
| Angiogenesis | 1 | 2 | 3 |
Disclaimer/Publisher’s Note: The statements, opinions and data contained in all publications are solely those of the individual author(s) and contributor(s) and not of MDPI and/or the editor(s). MDPI and/or the editor(s) disclaim responsibility for any injury to people or property resulting from any ideas, methods, instructions or products referred to in the content. |
© 2025 by the authors. Licensee MDPI, Basel, Switzerland. This article is an open access article distributed under the terms and conditions of the Creative Commons Attribution (CC BY) license (https://creativecommons.org/licenses/by/4.0/).
Share and Cite
Asiri, Y.I.; Venkatesan, K. Wound-Healing Potential of Myristica fragrans Essential Oil: A Multi-Targeted Approach Involving Inflammation, Oxidative Stress, and Apoptosis Regulation. Pharmaceuticals 2025, 18, 880. https://doi.org/10.3390/ph18060880
Asiri YI, Venkatesan K. Wound-Healing Potential of Myristica fragrans Essential Oil: A Multi-Targeted Approach Involving Inflammation, Oxidative Stress, and Apoptosis Regulation. Pharmaceuticals. 2025; 18(6):880. https://doi.org/10.3390/ph18060880
Chicago/Turabian StyleAsiri, Yahya I., and Krishnaraju Venkatesan. 2025. "Wound-Healing Potential of Myristica fragrans Essential Oil: A Multi-Targeted Approach Involving Inflammation, Oxidative Stress, and Apoptosis Regulation" Pharmaceuticals 18, no. 6: 880. https://doi.org/10.3390/ph18060880
APA StyleAsiri, Y. I., & Venkatesan, K. (2025). Wound-Healing Potential of Myristica fragrans Essential Oil: A Multi-Targeted Approach Involving Inflammation, Oxidative Stress, and Apoptosis Regulation. Pharmaceuticals, 18(6), 880. https://doi.org/10.3390/ph18060880

