Sulforaphane from Brassica Oleracea Induces Apoptosis in Oral Squamous Carcinoma Cells via p53 Activation and Mitochondrial Membrane Potential Dysfunction
Abstract
1. Introduction
2. Results
2.1. Effects of SFN on OECM-1 Cells and Its Anticancer Activity
2.2. Evaluation of Apoptosis in SFN-Treated OECM-1 Cells Using TUNEL Assay
2.3. Evaluation of Apoptosis in SFN-Treated OECM-1 Cells Using FITC-Annexin Assay
2.4. Effects of SFN on Mitochondrial Transmembrane Potential in OECM-1 Cell Line Using JC-1 Dye
2.5. DNA Fragmentation Analysis
2.6. Flow Cytometry Analysis
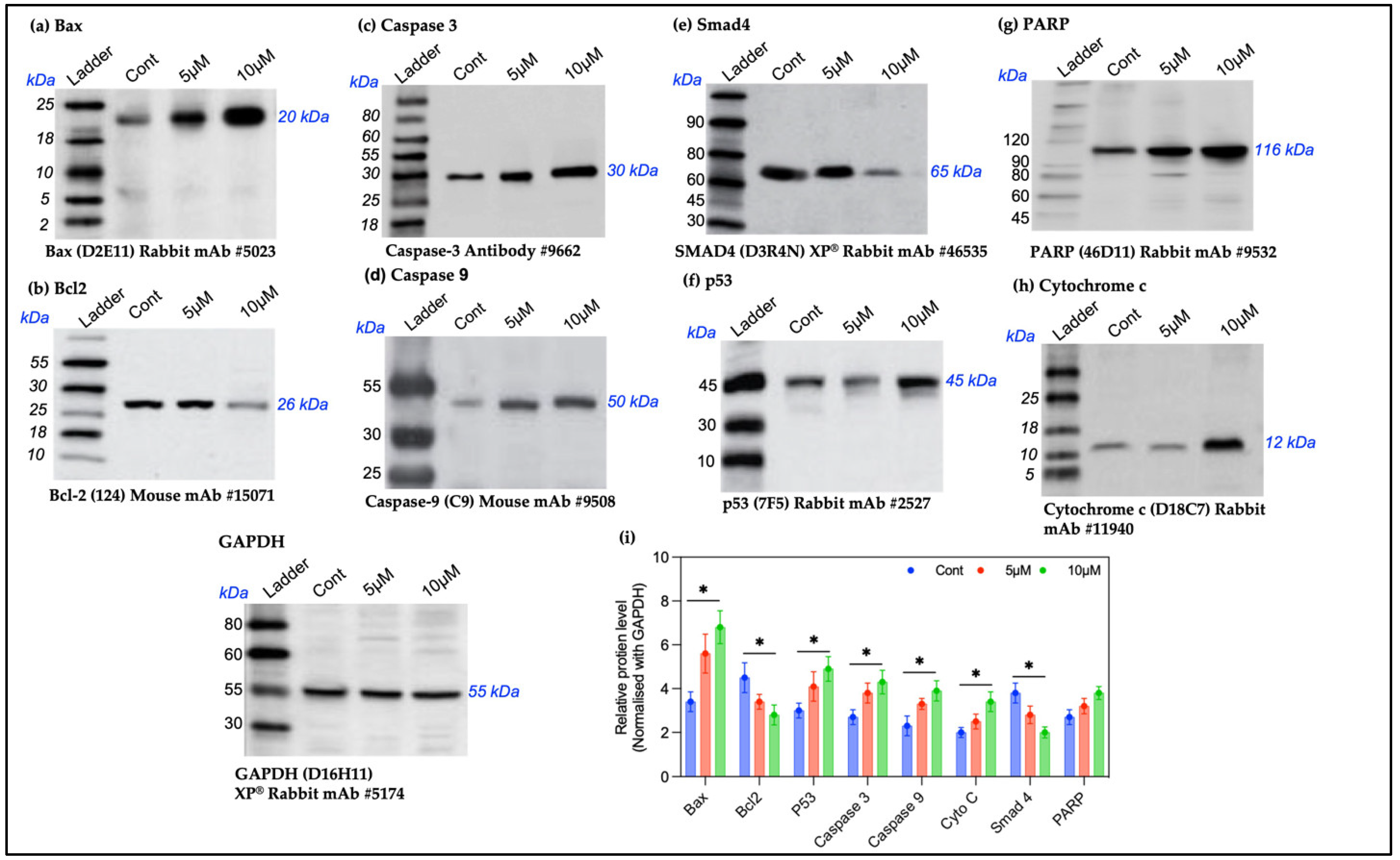
2.7. Western Blot Analysis
3. Discussion
4. Materials and Methods
4.1. Cell Culture and Treatment
4.2. Cell Viability Assay of OECM-1 Cells Treated with SFN
4.3. Acridine Orange/Propidium Iodide Staining Assay
4.4. TUNEL Assay
4.5. Annexin V Staining
4.6. Mitochondrial Membrane Potential
4.7. DNA Fragmentation Assay
4.8. Cell Cycle Analysis
4.9. Western Blot
4.10. Statistics
5. Conclusions
Author Contributions
Funding
Institutional Review Board Statement
Informed Consent Statement
Data Availability Statement
Conflicts of Interest
References
- Johnson, D.E.; Burtness, B.; Leemans, C.R.; Lui, V.W.Y.; Bauman, J.E.; Grandis, J.R. Head and neck squamous cell carcinoma. Nat. Rev. Dis. Primers 2020, 6, 92. [Google Scholar] [CrossRef] [PubMed]
- Porcheri, C.; Mitsiadis, T.A. New Scenarios in Pharmacological Treatments of Head and Neck Squamous Cell Carcinomas. Cancers 2021, 13, 5515. [Google Scholar] [CrossRef] [PubMed]
- Adtani, P.N.; Narasimhan, M.; Girija, D.M. In vitro anticancer activity of a pentacyclic triterpenoid via the mitochondrial pathway in bone-invasive oral squamous cell carcinoma. J. Oral. Maxillofac. Pathol. 2021, 25, 313–321. [Google Scholar] [CrossRef]
- Fuoad, S.A.A.; Mohammad, D.N.; Hamied, M.A.; Garib, B.T. Oro-facial malignancy in north of Iraq: A retrospective study of biopsied cases. BMC Oral Health 2021, 21, 147. [Google Scholar] [CrossRef] [PubMed]
- Al-Jamaei, A.A.H.; Helder, M.N.; Forouzanfar, T.; Brakenhoff, R.H.; Leemans, C.R.; de Visscher, J.; van Dijk, B.A.C. Age-group-specific trend analyses of oropharyngeal squamous cell carcinoma incidence from 1989 to 2018 and risk factors profile by age-group in 2015-2018: A population-based study in The Netherlands. Eur. J. Cancer Prev. 2022, 31, 158–165. [Google Scholar] [CrossRef] [PubMed]
- Adtani, P.N.; Subbarayan, R.; Shrestha, R.; Elsayed, W. Therapeutic potential of sulforaphane: Modulation of NRF2-mediated PI3/AKT/mTOR pathway in oral fibrosis. Braz. Dent. Sci. 2024, 27, e4172. [Google Scholar] [CrossRef]
- Salari, N.; Darvishi, N.; Heydari, M.; Bokaee, S.; Darvishi, F.; Mohammadi, M. Global prevalence of cleft palate, cleft lip and cleft palate and lip: A comprehensive systematic review and meta-analysis. J. Stomatol. Oral Maxillofac. Surg. 2022, 123, 110–120. [Google Scholar] [CrossRef]
- Jiang, X.; Wu, J.; Wang, J.; Huang, R. Tobacco and oral squamous cell carcinoma: A review of carcinogenic pathways. Tob. Induc. Dis. 2019, 17, 29. [Google Scholar] [CrossRef]
- Rodríguez-Molinero, J.; Migueláñez-Medrán, B.D.C.; Puente-Gutiérrez, C.; Delgado-Somolinos, E.; Carreras-Presas, C.M.; Fernández-Farhall, J.; López-Sánchez, A.F. Association between Oral Cancer and Diet: An Update. Nutrients 2021, 13, 1299. [Google Scholar] [CrossRef]
- Brocklehurst, P.; Kujan, O.; O’Malley, L.A.; Ogden, G.; Shepherd, S.; Glenny, A.M. Screening programmes for the early detection and prevention of oral cancer. Cochrane Database Syst. Rev. 2013, 2013, CD004150. [Google Scholar] [CrossRef]
- Anderson, G.; Ebadi, M.; Vo, K.; Novak, J.; Govindarajan, A.; Amini, A. An Updated Review on Head and Neck Cancer Treatment with Radiation Therapy. Cancers 2021, 13, 4912. [Google Scholar] [CrossRef] [PubMed]
- Almangush, A.; Alabi, R.O.; Troiano, G.; Coletta, R.D.; Salo, T.; Pirinen, M.; Makitie, A.A.; Leivo, I. Clinical significance of tumor-stroma ratio in head and neck cancer: A systematic review and meta-analysis. BMC Cancer 2021, 21, 480. [Google Scholar] [CrossRef]
- Fahey, J.W.; Wade, K.L.; Stephenson, K.K.; Panjwani, A.A.; Liu, H.; Cornblatt, G.; Cornblatt, B.S.; Ownby, S.L.; Fuchs, E.; Holtzclaw, W.D.; et al. Bioavailability of Sulforaphane Following Ingestion of Glucoraphanin-Rich Broccoli Sprout and Seed Extracts with Active Myrosinase: A Pilot Study of the Effects of Proton Pump Inhibitor Administration. Nutrients 2019, 11, 1489. [Google Scholar] [CrossRef] [PubMed]
- Nandini, D.B.; Rao, R.S.; Deepak, B.S.; Reddy, P.B. Sulforaphane in broccoli: The green chemoprevention!! Role in cancer prevention and therapy. J. Oral Maxillofac. Pathol. 2020, 24, 405. [Google Scholar] [CrossRef] [PubMed]
- Mangla, B.; Javed, S.; Sultan, M.H.; Kumar, P.; Kohli, K.; Najmi, A.; Alhazmi, H.A.; Al Bratty, M.; Ahsan, W. Sulforaphane: A review of its therapeutic potentials, advances in its nanodelivery, recent patents, and clinical trials. Phytother. Res. 2021, 35, 5440–5458. [Google Scholar] [CrossRef] [PubMed]
- Chen, L.; Chan, L.S.; Lung, H.L.; Yip, T.T.C.; Ngan, R.K.C.; Wong, J.W.C.; Lo, K.W.; Ng, W.T.; Lee, A.W.M.; Tsao, G.S.W.; et al. Crucifera sulforaphane (SFN) inhibits the growth of nasopharyngeal carcinoma through DNA methyltransferase 1 (DNMT1)/Wnt inhibitory factor 1 (WIF1) axis. Phytomedicine 2019, 63, 153058. [Google Scholar] [CrossRef]
- Yao, H.; Wang, H.; Zhang, Z.; Jiang, B.H.; Luo, J.; Shi, X. Sulforaphane inhibited expression of hypoxia-inducible factor-1α in human tongue squamous cancer cells and prostate cancer cells. Int. J. Cancer 2008, 123, 1255–1261. [Google Scholar] [CrossRef]
- Cho, N.-P.; Han, H.-S.; Leem, D.-H.; Choi, I.-S.; Jung, J.-Y.; Kim, H.-J.; Moon, K.-S.; Choi, K.-H.; Soh, Y.; Kong, G.; et al. Sulforaphane enhances caspase-dependent apoptosis through inhibition of cyclooxygenase-2 expression in human oral squamous carcinoma cells and nude mouse xenograft model. Oral Oncol. 2009, 45, 654–660. [Google Scholar] [CrossRef]
- Sharma, C.; Sadrieh, L.; Priyani, A.; Ahmed, M.; Hassan, A.H.; Hussain, A. Anti-carcinogenic effects of sulforaphane in association with its apoptosis-inducing and anti-inflammatory properties in human cervical cancer cells. Cancer Epidemiol. 2011, 35, 272–278. [Google Scholar] [CrossRef]
- Chattopadhyay, I.; Verma, M.; Panda, M. Role of Oral Microbiome Signatures in Diagnosis and Prognosis of Oral Cancer. Technol. Cancer Res. Treat. 2019, 18, 1533033819867354. [Google Scholar] [CrossRef]
- Bleyer, A. Cancer of the Oral Cavity and Pharynx in Young Females: Increasing Incidence, Role of Human Papilloma Virus, and Lack of Survival Improvement. Semin. Oncol. 2009, 36, 451–459. [Google Scholar] [CrossRef] [PubMed]
- Llewellyn, C.D.; Johnson, N.W.; Warnakulasuriya, K.A. Risk factors for squamous cell carcinoma of the oral cavity in young people—A comprehensive literature review. Oral Oncol. 2001, 37, 401–418. [Google Scholar] [CrossRef] [PubMed]
- Pappa, G.; Lichtenberg, M.; Iori, R.; Barillari, J.; Bartsch, H.; Gerhauser, C. Comparison of growth inhibition profiles and mechanisms of apoptosis induction in human colon cancer cell lines by isothiocyanates and indoles from Brassicaceae. Mutat. Res. 2006, 599, 76–87. [Google Scholar] [CrossRef]
- Kaiser, A.E.; Baniasadi, M.; Giansiracusa, D.; Giansiracusa, M.; Garcia, M.; Fryda, Z.; Wong, T.L.; Bishayee, A. Sulforaphane: A Broccoli Bioactive Phytocompound with Cancer Preventive Potential. Cancers 2021, 13, 4796. [Google Scholar] [CrossRef] [PubMed]
- Bauman, J.E.; Zang, Y.; Sen, M.; Li, C.; Wang, L.; Egner, P.A.; Fahey, J.W.; Normolle, D.P.; Grandis, J.R.; Kensler, T.W.; et al. Prevention of Carcinogen-Induced Oral Cancer by Sulforaphane. Cancer Prev. Res. 2016, 9, 547–557. [Google Scholar] [CrossRef]
- Gamet-Payrastre, L.; Li, P.; Lumeau, S.; Cassar, G.; Dupont, M.A.; Chevolleau, S.; Gasc, N.; Tulliez, J.; Terce, F. Sulforaphane, a naturally occurring isothiocyanate, induces cell cycle arrest and apoptosis in HT29 human colon cancer cells. Cancer Res. 2000, 60, 1426–1433. [Google Scholar]
- Gu, H.F.; Mao, X.Y.; Du, M. Metabolism, absorption, and anti-cancer effects of sulforaphane: An update. Crit. Rev. Food Sci. Nutr. 2022, 62, 3437–3452. [Google Scholar] [CrossRef]
- Devi, J.R.; Thangam, E.B. Mechanisms of anticancer activity of sulforaphane from Brassica oleracea in HEp-2 human epithelial carcinoma cell line. Asian Pac. J. Cancer Prev. 2012, 13, 2095–2100. [Google Scholar] [CrossRef]
- Kntayya, S.B.; Ibrahim, M.D.; Mohd Ain, N.; Iori, R.; Ioannides, C.; Abdull Razis, A.F. Induction of Apoptosis and Cytotoxicity by Isothiocyanate Sulforaphene in Human Hepatocarcinoma HepG2 Cells. Nutrients 2018, 10, 718. [Google Scholar] [CrossRef]
- Yasuda, S.; Horinaka, M.; Sakai, T. Sulforaphane enhances apoptosis induced by Lactobacillus pentosus strain S-PT84 via the TNFα pathway in human colon cancer cells. Oncol. Lett. 2019, 18, 4253–4261. [Google Scholar] [CrossRef]
- Barr, A.R.; Cooper, S.; Heldt, F.S.; Butera, F.; Stoy, H.; Mansfeld, J.; Novak, B.; Bakal, C. DNA damage during S-phase mediates the proliferation-quiescence decision in the subsequent G1 via p21 expression. Nat. Commun. 2017, 8, 14728. [Google Scholar] [CrossRef] [PubMed]
- Bryant, C.S.; Kumar, S.; Chamala, S.; Shah, J.; Pal, J.; Haider, M.; Seward, S.; Qazi, A.M.; Morris, R.; Semaan, A.; et al. Sulforaphane induces cell cycle arrest by protecting RB-E2F-1 complex in epithelial ovarian cancer cells. Mol. Cancer 2010, 9, 47. [Google Scholar] [CrossRef] [PubMed]
- Rodova, M.; Fu, J.; Watkins, D.N.; Srivastava, R.K.; Shankar, S. Sonic hedgehog signaling inhibition provides opportunities for targeted therapy by sulforaphane in regulating pancreatic cancer stem cell self-renewal. PLoS ONE 2012, 7, e46083. [Google Scholar] [CrossRef] [PubMed]
- Ge, M.; Zhang, L.; Cao, L.; Xie, C.; Li, X.; Li, Y.; Meng, Y.; Chen, Y.; Wang, X.; Chen, J.; et al. Sulforaphane inhibits gastric cancer stem cells via suppressing sonic hedgehog pathway. Int. J. Food Sci. Nutr. 2019, 70, 570–578. [Google Scholar] [CrossRef] [PubMed]
- Oh, C.J.; Kim, J.Y.; Min, A.K.; Park, K.G.; Harris, R.A.; Kim, H.J.; Lee, I.K. Sulforaphane attenuates hepatic fibrosis via NF-E2-related factor 2-mediated inhibition of transforming growth factor-β/Smad signaling. Free Radic. Biol. Med. 2012, 52, 671–682. [Google Scholar] [CrossRef]
- Singh, A.V.; Xiao, D.; Lew, K.L.; Dhir, R.; Singh, S.V. Sulforaphane induces caspase-mediated apoptosis in cultured PC-3 human prostate cancer cells and retards growth of PC-3 xenografts in vivo. Carcinogenesis 2004, 25, 83–90. [Google Scholar] [CrossRef]
- Kim, J.H.; Han Kwon, K.; Jung, J.Y.; Han, H.S.; Hyun Shim, J.; Oh, S.; Choi, K.H.; Choi, E.S.; Shin, J.A.; Leem, D.H.; et al. Sulforaphane Increases Cyclin-Dependent Kinase Inhibitor, p21 Protein in Human Oral Carcinoma Cells and Nude Mouse Animal Model to Induce G(2)/M Cell Cycle Arrest. J. Clin. Biochem. Nutr. 2010, 46, 60–67. [Google Scholar] [CrossRef]
- Wang, Y.Y.; Wang, W.C.; Su, C.W.; Hsu, C.W.; Yuan, S.S.; Chen, Y.K. Expression of Orai1 and STIM1 in human oral squamous cell carcinogenesis. J. Dent. Sci. 2022, 17, 78–88. [Google Scholar] [CrossRef]
- Subbarayan, R.; Srinivasan, D.; Shadula Osmania, S.; Murugan Girija, D.; Ikhlas, S.; Srivastav, N.; Balakrishnan, R.; Shrestha, R.; Chauhan, A. Molecular insights on Eltrombopag: Potential mitogen stimulants, angiogenesis, and therapeutic radioprotectant through TPO-R activation. Platelets 2024, 35, 2359028. [Google Scholar] [CrossRef]
- Merchant, F.A.; Diller, K.R.; Aggarwal, S.J.; Bovik, A.C. Viability analysis of cryopreserved rat pancreatic islets using laser scanning confocal microscopy. Cryobiology 1996, 33, 236–252. [Google Scholar] [CrossRef]
- Jiang, X.L.; Deng, B.; Deng, S.H.; Cai, M.; Ding, W.J.; Tan, Z.B.; Chen, R.X.; Xu, Y.C.; Xu, H.L.; Zhang, S.W.; et al. Dihydrotanshinone I inhibits the growth of hepatoma cells by direct inhibition of Src. Phytomedicine 2022, 95, 153705. [Google Scholar] [CrossRef] [PubMed]
- Tang, Q.; Markby, G.R.; MacNair, A.J.; Tang, K.; Tkacz, M.; Parys, M.; Phadwal, K.; MacRae, V.E.; Corcoran, B.M. TGF-β-induced PI3K/AKT/mTOR pathway controls myofibroblast differentiation and secretory phenotype of valvular interstitial cells through the modulation of cellular senescence in a naturally occurring in vitro canine model of myxomatous mitral valve disease. Cell Prolif. 2023, 56, e13435. [Google Scholar] [PubMed]
- Güçlü, E.; Ayan, I.C.; Vural, H. Inhibitory effect of AK-7 mediates by apoptosis, increases DNA fragmentation and caspase-3 activity in human glioblastoma multiforme cells. Bangladesh J. Pharmacol. 2022, 17, 42–50. [Google Scholar] [CrossRef]
- Elefantova, K.; Lakatos, B.; Kubickova, J.; Sulova, Z.; Breier, A. Detection of the Mitochondrial Membrane Potential by the Cationic Dye JC-1 in L1210 Cells with Massive Overexpression of the Plasma Membrane ABCB1 Drug Transporter. Int. J. Mol. Sci. 2018, 19, 1985. [Google Scholar] [CrossRef]
- Srinivas, B.K.; Shivamadhu, M.C.; Jayarama, S. Angio-Suppressive Effect of Partially Purified Lectin-like Protein from Musa acuminata pseudostem by Inhibition of VEGF-Mediated Neovascularization and Induces Apoptosis Both In Vitro and In Vivo. Nutr. Cancer 2019, 71, 285–300. [Google Scholar] [CrossRef]
- Pan, W.; Zhang, G. Linalool monoterpene exerts potent antitumor effects in OECM 1 human oral cancer cells by inducing sub-G1 cell cycle arrest, loss of mitochondrial membrane potential and inhibition of PI3K/AKT biochemical pathway. J. BUON 2019, 24, 323–328. [Google Scholar]
- Guo, H.; Ding, H.; Tang, X.; Liang, M.; Li, S.; Zhang, J.; Cao, J. Quercetin induces pro-apoptotic autophagy via SIRT1/AMPK signaling pathway in human lung cancer cell lines A549 and H1299 in vitro. Thorac. Cancer 2021, 12, 1415–1422. [Google Scholar] [CrossRef]






Disclaimer/Publisher’s Note: The statements, opinions and data contained in all publications are solely those of the individual author(s) and contributor(s) and not of MDPI and/or the editor(s). MDPI and/or the editor(s) disclaim responsibility for any injury to people or property resulting from any ideas, methods, instructions or products referred to in the content. |
© 2025 by the authors. Licensee MDPI, Basel, Switzerland. This article is an open access article distributed under the terms and conditions of the Creative Commons Attribution (CC BY) license (https://creativecommons.org/licenses/by/4.0/).
Share and Cite
Adtani, P.N.; Al-Bayati, S.A.A.F.; Elsayed, W.S. Sulforaphane from Brassica Oleracea Induces Apoptosis in Oral Squamous Carcinoma Cells via p53 Activation and Mitochondrial Membrane Potential Dysfunction. Pharmaceuticals 2025, 18, 393. https://doi.org/10.3390/ph18030393
Adtani PN, Al-Bayati SAAF, Elsayed WS. Sulforaphane from Brassica Oleracea Induces Apoptosis in Oral Squamous Carcinoma Cells via p53 Activation and Mitochondrial Membrane Potential Dysfunction. Pharmaceuticals. 2025; 18(3):393. https://doi.org/10.3390/ph18030393
Chicago/Turabian StyleAdtani, Pooja Narain, Sura Ali Ahmed Fuoad Al-Bayati, and Walid Shaaban Elsayed. 2025. "Sulforaphane from Brassica Oleracea Induces Apoptosis in Oral Squamous Carcinoma Cells via p53 Activation and Mitochondrial Membrane Potential Dysfunction" Pharmaceuticals 18, no. 3: 393. https://doi.org/10.3390/ph18030393
APA StyleAdtani, P. N., Al-Bayati, S. A. A. F., & Elsayed, W. S. (2025). Sulforaphane from Brassica Oleracea Induces Apoptosis in Oral Squamous Carcinoma Cells via p53 Activation and Mitochondrial Membrane Potential Dysfunction. Pharmaceuticals, 18(3), 393. https://doi.org/10.3390/ph18030393

