Immunomodulatory Effects of a Standardized Botanical Mixture Comprising Angelica gigas Roots and Pueraria lobata Flowers Through the TLR2/6 Pathway in RAW 264.7 Macrophages and Cyclophosphamide-Induced Immunosuppression Mice
Abstract
1. Introduction
2. Results
2.1. CHL Increases the Immune Response in RAW 264.7 Macrophages
2.2. CHL Stimulates the TLR2 Signaling Pathway in RAW 264.7 Macrophages
2.3. CHL Preserves Body Weight, Immune Organ Index, and Cytokine Production in Immunosuppressed Mice
2.4. CHL Recovers NK Cell Activity and Immune Cell Composition in Immunosuppressed Mice
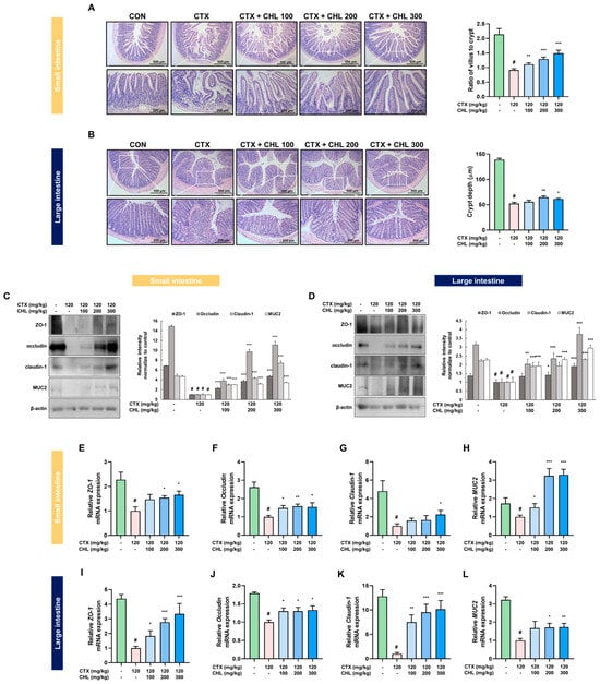
2.5. CHL Protects the Intestinal Tissue by Regulating the Tight Junctions and Mucin 2 in Immunosuppressed Mice
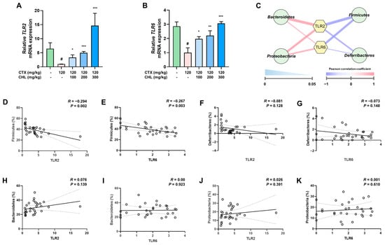
2.6. CHL Regulates Gut Microbiome Composition in Immunosuppressed Mice
2.7. CHL Modulates Intestinal Immunity via TLR2/6 Signaling Pathway in Immunosuppressed Mice
3. Discussion
4. Materials and Methods
4.1. Preparation of A. gigas and P. lobata Extracts
4.2. High-Performance Liquid Chromatography (HPLC) Analysis of Nodakenin and Tectoridin in CHL
4.3. Cell Culture and Sample Treatment
4.4. Nitrite Assay
4.5. Real-Time Quantitative PCR (RT-qPCR)
4.6. Western Blot Analysis
4.7. Determination of Cytokines Production
4.8. Designing Animal Experiments Scheme
4.9. Splenocyte Isolation and Preparation
4.10. Determination of NK Cell Activity
4.11. Flow Cytometry
4.12. Gut Microbiome and Correlation Analysis
4.13. Statistical Analysis
5. Conclusions
Supplementary Materials
Author Contributions
Funding
Institutional Review Board Statement
Informed Consent Statement
Data Availability Statement
Conflicts of Interest
Abbreviations
References
- Nicholson, L.B. The immune system. Essays Biochem. 2016, 60, 275–301. [Google Scholar] [CrossRef] [PubMed]
- Morey, J.N.; Boggero, I.A.; Scott, A.B.; Segerstrom, S.C. Current Directions in Stress and Human Immune Function. Curr. Opin. Psychol. 2015, 5, 13–17. [Google Scholar] [CrossRef]
- Muller, L.; Di Benedetto, S.; Pawelec, G. The Immune System and Its Dysregulation with Aging. Subcell. Biochem. 2019, 91, 21–43. [Google Scholar] [PubMed]
- Fujioka, S.; Niu, J.; Schmidt, C.; Sclabas, G.M.; Peng, B.; Uwagawa, T.; Li, Z.; Evans, D.B.; Abbruzzese, J.L.; Chiao, P.J. NF-kappaB and AP-1 connection: Mechanism of NF-kappaB-dependent regulation of AP-1 activity. Mol. Cell. Biol. 2004, 24, 7806–7819. [Google Scholar] [CrossRef] [PubMed]
- Irie, T.; Muta, T.; Takeshige, K. TAK1 mediates an activation signal from toll-like receptor(s) to nuclear factor-kappaB in lipopolysaccharide-stimulated macrophages. FEBS Lett. 2000, 467, 160–164. [Google Scholar] [CrossRef]
- Lewis, S.M.; Williams, A.; Eisenbarth, S.C. Structure and function of the immune system in the spleen. Sci. Immunol. 2019, 4, eaau6085. [Google Scholar] [CrossRef]
- Mowat, A.M.; Agace, W.W. Regional specialization within the intestinal immune system. Nat. Rev. Immunol. 2014, 14, 667–685. [Google Scholar] [CrossRef] [PubMed]
- Zuo, L.; Kuo, W.T.; Turner, J.R. Tight Junctions as Targets and Effectors of Mucosal Immune Homeostasis. Cell. Mol. Gastroenterol. Hepatol. 2020, 10, 327–340. [Google Scholar] [CrossRef] [PubMed]
- Grondin, J.A.; Kwon, Y.H.; Far, P.M.; Haq, S.; Khan, W.I. Mucins in Intestinal Mucosal Defense and Inflammation: Learning from Clinical and Experimental Studies. Front. Immunol. 2020, 11, 2054. [Google Scholar] [CrossRef] [PubMed]
- Ghafouri, S.A.; Ghaniei, A.; Tamannaei, A.E.T.; Sadr, S.; Charbgoo, A.; Ghiassi, S.; Abuali, M. Evaluation of therapeutic effects of an herbal mixture (Echinacea purpurea and Glycyrrhiza glabra) for treatment of clinical coccidiosis in broilers. Vet. Med. Sci. 2023, 9, 829–836. [Google Scholar] [CrossRef] [PubMed]
- Kong, D.X.; Li, X.J.; Zhang, H.Y. Where is the hope for drug discovery? Let history tell the future. Drug Discov. Today 2009, 14, 115–119. [Google Scholar] [CrossRef]
- Sabeel, Z.; Liang, Y.; Hao, M.; Ying, L.; Guo, R.; Chen, R.; Li, X.; Yu, C.; Yang, Z. A comprehensive review of antitumor properties of Angelica species and their antitumor-responsible constituents and the underlying molecular mechanisms involved in tumor inhibition. Phytother. Res. 2023, 37, 2187–2211. [Google Scholar] [CrossRef] [PubMed]
- Kim, S.H.; Lee, S.W.; Park, H.J.; Lee, S.H.; Im, W.K.; Kim, Y.D.; Kim, K.H.; Park, S.J.; Hong, S.; Jeon, S.H. Anti-cancer activity of Angelica gigas by increasing immune response and stimulating natural killer and natural killer T cells. BMC Complement. Altern. Med. 2018, 18, 218. [Google Scholar] [CrossRef]
- Li, J.; Li, Y.; Yuan, X.; Yao, D.; Gao, Z.; Niu, Z.; Wang, Z.; Zhang, Y. The effective constituent puerarin, from Pueraria lobata, inhibits the proliferation and inflammation of vascular smooth muscle in atherosclerosis through the miR-29b-3p/IGF1 pathway. Pharm. Biol. 2023, 61, 1–11. [Google Scholar] [CrossRef] [PubMed]
- Chen, C.; Li, X.; Kano, Y.; Yuan, D.; Qu, J. Oriental traditional herbal Medicine-Puerariae Flos: A systematic review. J. Ethnopharmacol. 2023, 306, 116089. [Google Scholar] [CrossRef] [PubMed]
- Kadiyska, T.; Tourtourikov, I.; Dabchev, K.; Zlatarova, A.; Stoynev, N.; Hadjiolova, R.; Spandidos, A.D.; Adamaki, M.; Zoumpourlis, V. Herbs and Plants in Immunomodulation. Int. J. Funct. Nutr. 2023, 4, 1–11. [Google Scholar] [CrossRef]
- Kim, S.K.; Kwon, D.A.; Lee, H.S.; Kim, H.K.; Kim, W.K. Preventive Effect of the Herbal Preparation, HemoHIM, on Cisplatin-Induced Immune Suppression. Evid. Based Complement. Alternat. Med. 2019, 2019, 3494806. [Google Scholar] [CrossRef] [PubMed]
- Park, H.R.; Jo, S.K.; Jung, U.; Yee, S.T.; Kim, S.H. Protective effects of HemoHIM on immune and hematopoietic systems against gamma-irradiation. Phytother. Res. 2014, 28, 245–251. [Google Scholar] [CrossRef] [PubMed]
- Kim, K.-T. Immunostimulatory effects of the Pueraria lobata flower extract via MAPK signaling in RAW264.7 cells. J. Korean Med. 2020, 41, 52–63. [Google Scholar] [CrossRef]
- Viola, A.; Munari, F.; Sanchez-Rodriguez, R.; Scolaro, T.; Castegna, A. The Metabolic Signature of Macrophage Responses. Front. Immunol. 2019, 10, 1462. [Google Scholar] [CrossRef] [PubMed]
- Takaesu, G.; Surabhi, R.M.; Park, K.J.; Ninomiya-Tsuji, J.; Matsumoto, K.; Gaynor, R.B. TAK1 is critical for IkappaB kinase-mediated activation of the NF-kappaB pathway. J. Mol. Biol. 2003, 326, 105–115. [Google Scholar] [CrossRef] [PubMed]
- Kishida, S.; Sanjo, H.; Akira, S.; Matsumoto, K.; Ninomiya-Tsuji, J. TAK1-binding protein 2 facilitates ubiquitination of TRAF6 and assembly of TRAF6 with IKK in the IL-1 signaling pathway. Genes Cells 2005, 10, 447–454. [Google Scholar] [CrossRef] [PubMed]
- Mukherjee, S.; Karmakar, S.; Babu, S.P. TLR2 and TLR4 mediated host immune responses in major infectious diseases: A review. Braz. J. Infect. Dis. 2016, 20, 193–204. [Google Scholar] [CrossRef]
- Li, Y.; Schutte, W.; Dekeukeleire, M.; Janssen, C.; Boon, N.; Asselman, J.; Lebeer, S.; Spacova, I.; De Rijcke, M. The immunostimulatory activity of sea spray aerosols: Bacteria and endotoxins activate TLR4, TLR2/6, NF-kappaB and IRF in human cells. Sci. Total Environ. 2024, 927, 171969. [Google Scholar] [CrossRef]
- Swan, D.; Gurney, M.; Krawczyk, J.; Ryan, A.E.; O’Dwyer, M. Beyond DNA Damage: Exploring the Immunomodulatory Effects of Cyclophosphamide in Multiple Myeloma. Hemasphere 2020, 4, e350. [Google Scholar] [CrossRef] [PubMed]
- Zhang, Z.; Pan, T.; Liu, C.; Shan, X.; Xu, Z.; Hong, H.; Lin, H.; Chen, J.; Sun, H. Cyclophosphamide induced physiological and biochemical changes in mice with an emphasis on sensitivity analysis. Ecotoxicol. Environ. Saf. 2021, 211, 111889. [Google Scholar] [CrossRef]
- Buettner, M.; Bode, U. Lymph node dissection—Understanding the immunological function of lymph nodes. Clin. Exp. Immunol. 2012, 169, 205–212. [Google Scholar] [CrossRef] [PubMed]
- Ma, X.; Yan, W.; Zheng, H.; Du, Q.; Zhang, L.; Ban, Y.; Li, N.; Wei, F. Regulation of IL-10 and IL-12 production and function in macrophages and dendritic cells. F1000Research 2015, 4, F1000-Faculty. [Google Scholar] [CrossRef]
- Spellberg, B.; Edwards, J.E., Jr. Type 1/Type 2 immunity in infectious diseases. Clin. Infect. Dis. 2001, 32, 76–102. [Google Scholar] [CrossRef]
- Yan, C.; Qu, H.; Li, X.; Feng, B. Holothurian Wall Hydrolysate Ameliorates Cyclophosphamide-Induced Immunocompromised Mice via Regulating Immune Response and Improving Gut Microbiota. Int. J. Mol. Sci. 2023, 24, 12583. [Google Scholar] [CrossRef] [PubMed]
- Xiang, X.; Wang, R.; Chen, L.; Chen, Y.; Zheng, B.; Deng, S.; Liu, S.; Sun, P.; Shen, G. Immunomodulatory activity of a water-soluble polysaccharide extracted from mussel on cyclophosphamide-induced immunosuppressive mice models. npj Sci. Food 2022, 6, 26. [Google Scholar] [CrossRef] [PubMed]
- Huntington, N.D.; Gray, D.H. Immune homeostasis in health and disease. Immunol. Cell Biol. 2018, 96, 451–452. [Google Scholar] [CrossRef] [PubMed]
- Kidd, P. Th1/Th2 balance: The hypothesis, its limitations, and implications for health and disease. Altern. Med. Rev. 2003, 8, 223–246. [Google Scholar]
- Michel, T.; Poli, A.; Domingues, O.; Mauffray, M.; Theresine, M.; Brons, N.H.; Hentges, F.; Zimmer, J. Mouse lung and spleen natural killer cells have phenotypic and functional differences, in part influenced by macrophages. PLoS ONE 2012, 7, e51230. [Google Scholar] [CrossRef]
- Yoo, H.J.; You, D.J.; Lee, K.W. Characterization and Immunomodulatory Effects of High Molecular Weight Fucoidan Fraction from the Sporophyll of Undaria pinnatifida in Cyclophosphamide-Induced Immunosuppressed Mice. Mar. Drugs 2019, 17, 447. [Google Scholar] [CrossRef] [PubMed]
- Thursby, E.; Juge, N. Introduction to the human gut microbiota. Biochem. J. 2017, 474, 1823–1836. [Google Scholar] [CrossRef]
- Santaolalla, R.; Fukata, M.; Abreu, M.T. Innate immunity in the small intestine. Curr. Opin. Gastroenterol. 2011, 27, 125–131. [Google Scholar] [CrossRef] [PubMed]
- Wang, J.; Li, M.; Gao, Y.; Li, H.; Fang, L.; Liu, C.; Liu, X.; Min, W. Effects of Exopolysaccharides from Lactiplantibacillus plantarum JLAU103 on Intestinal Immune Response, Oxidative Stress, and Microbial Communities in Cyclophosphamide-Induced Immunosuppressed Mice. J. Agric. Food Chem. 2022, 70, 2197–2210. [Google Scholar] [CrossRef]
- Wang, D.; Dong, Y.; Xie, Y.; Xiao, Y.; Ke, C.; Shi, K.; Zhou, Z.; Tu, J.; Qu, L.; Liu, Y. Atractylodes lancea Rhizome Polysaccharide Alleviates Immunosuppression and Intestinal Mucosal Injury in Mice Treated with Cyclophosphamide. J. Agric. Food Chem. 2023, 71, 17112–17129. [Google Scholar] [CrossRef]
- Choteau, L.; Vancraeyneste, H.; Le Roy, D.; Dubuquoy, L.; Romani, L.; Jouault, T.; Poulain, D.; Sendid, B.; Calandra, T.; Roger, T.; et al. Role of TLR1, TLR2 and TLR6 in the modulation of intestinal inflammation and Candida albicans elimination. Gut Pathog. 2017, 9, 9. [Google Scholar] [CrossRef] [PubMed]
- Vita, A.A.; McClure, R.; Farris, Y.; Danczak, R.; Gundersen, A.; Zwickey, H.; Bradley, R. Associations between Frequency of Culinary Herb Use and Gut Microbiota. Nutrients 2022, 14, 1981. [Google Scholar] [CrossRef]
- Jin, L.; Bian, X.; Dong, W.; Yang, R.; Jing, C.; Li, X.; Yang, D.; Guo, C.; Gao, W. A Chinese herbs complex ameliorates gut microbiota dysbiosis induced by intermittent cold exposure in female rats. Front. Microbiol. 2022, 13, 1065780. [Google Scholar] [CrossRef] [PubMed]
- Tian, T.; Zhao, Y.; Yang, Y.; Wang, T.; Jin, S.; Guo, J.; Liu, Z. The protective role of short-chain fatty acids acting as signal molecules in chemotherapy- or radiation-induced intestinal inflammation. Am. J. Cancer Res. 2020, 10, 3508–3531. [Google Scholar]
- Eom, J.A.; Jeong, J.J.; Han, S.H.; Kwon, G.H.; Lee, K.J.; Gupta, H.; Sharma, S.P.; Won, S.M.; Oh, K.K.; Yoon, S.J.; et al. Gut-microbiota prompt activation of natural killer cell on alcoholic liver disease. Gut Microbes 2023, 15, 2281014. [Google Scholar] [CrossRef]
- Jung, J.Y.; Shin, J.S.; Rhee, Y.K.; Cho, C.W.; Lee, M.K.; Hong, H.D.; Lee, K.T. In vitro and in vivo immunostimulatory activity of an exopolysaccharide-enriched fraction from Bacillus subtilis. J. Appl. Microbiol. 2015, 118, 739–752. [Google Scholar] [CrossRef] [PubMed]
- Jang, S.Y.; Kim, S.Y.; Song, H.A.; Kim, H.; Chung, K.S.; Lee, J.K.; Lee, K.T. Protective effect of hydrangenol on lipopolysaccharide-induced endotoxemia by suppressing intestinal inflammation. Int. Immunopharmacol. 2023, 125 Pt A, 111083. [Google Scholar] [CrossRef]
- Han, H.S.; Lee, H.H.; Gil, H.S.; Chung, K.S.; Kim, J.K.; Kim, D.H.; Yoon, J.; Chung, E.K.; Lee, J.K.; Yang, W.M.; et al. Standardized hot water extract from the leaves of Hydrangea serrata (Thunb.) Ser. alleviates obesity via the AMPK pathway and modulation of the gut microbiota composition in high fat diet-induced obese mice. Food Funct. 2021, 12, 2672–2685. [Google Scholar] [CrossRef] [PubMed]









Disclaimer/Publisher’s Note: The statements, opinions and data contained in all publications are solely those of the individual author(s) and contributor(s) and not of MDPI and/or the editor(s). MDPI and/or the editor(s) disclaim responsibility for any injury to people or property resulting from any ideas, methods, instructions or products referred to in the content. |
© 2025 by the authors. Licensee MDPI, Basel, Switzerland. This article is an open access article distributed under the terms and conditions of the Creative Commons Attribution (CC BY) license (https://creativecommons.org/licenses/by/4.0/).
Share and Cite
Jang, S.-Y.; Song, H.-A.; Park, M.-J.; Chung, K.-S.; Lee, J.K.; Jang, E.Y.; Sun, E.M.; Pyo, M.C.; Lee, K.-T. Immunomodulatory Effects of a Standardized Botanical Mixture Comprising Angelica gigas Roots and Pueraria lobata Flowers Through the TLR2/6 Pathway in RAW 264.7 Macrophages and Cyclophosphamide-Induced Immunosuppression Mice. Pharmaceuticals 2025, 18, 336. https://doi.org/10.3390/ph18030336
Jang S-Y, Song H-A, Park M-J, Chung K-S, Lee JK, Jang EY, Sun EM, Pyo MC, Lee K-T. Immunomodulatory Effects of a Standardized Botanical Mixture Comprising Angelica gigas Roots and Pueraria lobata Flowers Through the TLR2/6 Pathway in RAW 264.7 Macrophages and Cyclophosphamide-Induced Immunosuppression Mice. Pharmaceuticals. 2025; 18(3):336. https://doi.org/10.3390/ph18030336
Chicago/Turabian StyleJang, Seo-Yun, Hyeon-A Song, Min-Ji Park, Kyung-Sook Chung, Jong Kil Lee, Eun Yeong Jang, Eun Mi Sun, Min Cheol Pyo, and Kyung-Tae Lee. 2025. "Immunomodulatory Effects of a Standardized Botanical Mixture Comprising Angelica gigas Roots and Pueraria lobata Flowers Through the TLR2/6 Pathway in RAW 264.7 Macrophages and Cyclophosphamide-Induced Immunosuppression Mice" Pharmaceuticals 18, no. 3: 336. https://doi.org/10.3390/ph18030336
APA StyleJang, S.-Y., Song, H.-A., Park, M.-J., Chung, K.-S., Lee, J. K., Jang, E. Y., Sun, E. M., Pyo, M. C., & Lee, K.-T. (2025). Immunomodulatory Effects of a Standardized Botanical Mixture Comprising Angelica gigas Roots and Pueraria lobata Flowers Through the TLR2/6 Pathway in RAW 264.7 Macrophages and Cyclophosphamide-Induced Immunosuppression Mice. Pharmaceuticals, 18(3), 336. https://doi.org/10.3390/ph18030336

