Correction: Yang et al. Evaluation of Crocetin as a Protective Agent in High Altitude Hypoxia-Induced Organ Damage. Pharmaceuticals 2024, 17, 985
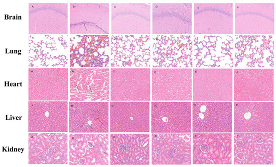
Error in Figure
Reference
- Yang, J.; Luo, K.; Guo, Z.; Wang, R.; Qian, Q.; Ma, S.; Li, M.; Gao, Y. Evaluation of Crocetin as a Protective Agent in High Altitude Hypoxia-Induced Organ Damage. Pharmaceuticals 2024, 17, 985. [Google Scholar] [CrossRef] [PubMed]

Disclaimer/Publisher’s Note: The statements, opinions and data contained in all publications are solely those of the individual author(s) and contributor(s) and not of MDPI and/or the editor(s). MDPI and/or the editor(s) disclaim responsibility for any injury to people or property resulting from any ideas, methods, instructions or products referred to in the content. |
© 2025 by the authors. Licensee MDPI, Basel, Switzerland. This article is an open access article distributed under the terms and conditions of the Creative Commons Attribution (CC BY) license (https://creativecommons.org/licenses/by/4.0/).
Share and Cite
Yang, J.; Luo, K.; Guo, Z.; Wang, R.; Qian, Q.; Ma, S.; Li, M.; Gao, Y. Correction: Yang et al. Evaluation of Crocetin as a Protective Agent in High Altitude Hypoxia-Induced Organ Damage. Pharmaceuticals 2024, 17, 985. Pharmaceuticals 2025, 18, 1716. https://doi.org/10.3390/ph18111716
Yang J, Luo K, Guo Z, Wang R, Qian Q, Ma S, Li M, Gao Y. Correction: Yang et al. Evaluation of Crocetin as a Protective Agent in High Altitude Hypoxia-Induced Organ Damage. Pharmaceuticals 2024, 17, 985. Pharmaceuticals. 2025; 18(11):1716. https://doi.org/10.3390/ph18111716
Chicago/Turabian StyleYang, Jun, Kai Luo, Ziliang Guo, Renjie Wang, Qingyuan Qian, Shuhe Ma, Maoxing Li, and Yue Gao. 2025. "Correction: Yang et al. Evaluation of Crocetin as a Protective Agent in High Altitude Hypoxia-Induced Organ Damage. Pharmaceuticals 2024, 17, 985" Pharmaceuticals 18, no. 11: 1716. https://doi.org/10.3390/ph18111716
APA StyleYang, J., Luo, K., Guo, Z., Wang, R., Qian, Q., Ma, S., Li, M., & Gao, Y. (2025). Correction: Yang et al. Evaluation of Crocetin as a Protective Agent in High Altitude Hypoxia-Induced Organ Damage. Pharmaceuticals 2024, 17, 985. Pharmaceuticals, 18(11), 1716. https://doi.org/10.3390/ph18111716
