Immunomodulatory Effects of Juzentaihoto on Fas-Mediated Apoptosis: Insights from Cancer Patients and In Vitro Models
Abstract
1. Introduction
2. Results
2.1. Changes in Immune Cells in Cancer Patients After Using JTT
2.2. Effects of JTT on CD95 Expression in NK Cells
2.3. Optimal Conditions for Culturing Jurkat Cell in JTT Medium
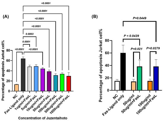
2.4. Effects of Different Concentrations of JTT on Apoptosis in Jurkat Cells
2.5. Effects of JTT on CD95 Expression in Jurkat Cells at Different Concentrations
2.6. Effects of JTT on Apoptosis in T Lymphocytes
2.7. Effects of JTT on Caspase-8 and Caspase-3 Activation in the Extrinsic Apoptosis Pathway
2.8. Effects of JTT on Intrinsic Apoptosis in Jurkat Cells Induced by Staurosporine
2.9. Effects of JTT on TRAIL-Induced Apoptosis in Cancer Cells
3. Discussion
4. Materials and Methods
4.1. Clinical Study
4.1.1. Participants
JTT Treatment
Flow Cytometry
Quantification of FasL by ELISA on Cancer Patients
4.2. In Vitro Study
4.2.1. Cells
4.2.2. Cell Culture
4.2.3. JTT Preparation
4.3. Experimental Procedures
4.3.1. Morphological Observation
4.3.2. Flow Cytometry
4.3.3. Induction of Extrinsic Apoptosis
4.3.4. Induction of Intrinsic Apoptosis
4.3.5. Induction of Extrinsic Apoptosis in Cancer Cells
4.3.6. Western Blot Analysis
4.3.7. Image Analysis
4.4. Statistical Analysis
5. Conclusions
Supplementary Materials
Author Contributions
Funding
Institutional Review Board Statement
Informed Consent Statement
Data Availability Statement
Acknowledgments
Conflicts of Interest
Abbreviations
| JTT | Juzentaihoto |
| DNA | Deoxyribonucleic acid |
| TRAIL | TNF-related apoptosis-inducing ligand |
| NK | natural killer |
| BCL-2 | B-cell lymphoma 2 |
| FasL | Fas Ligand |
| PBMCs | Peripheral blood mononuclear cells |
| OD | optical density |
| PBS | Phosphate-buffered saline |
| PEG | Percutaneous Endoscopic Gastrostomy |
| DISC | Death-Inducing Signaling Complex |
| TCR | T Cell Receptor |
| IAP | Inhibitor of Apoptosis Protein |
| IL-2 | Interleukin-2 |
References
- Elmore, S. Apoptosis: A review of programmed cell death. J. Toxicol. Pathol. 2007, 35, 495–516. [Google Scholar] [CrossRef]
- Nagata, S.; Hanayama, R.; Kawane, K.J.C. Autoimmunity and the clearance of dead cells. J. Cell 2010, 140, 619–630. [Google Scholar] [CrossRef]
- Obeng, E. Apoptosis (programmed cell death) and its signals-A review. Braz. J. Biol. 2020, 81, 1133–1143. [Google Scholar] [CrossRef]
- Leist, M.; Jäättelä, M. Four deaths and a funeral: From caspases to alternative mechanisms. Nature 2001, 2, 589–598. [Google Scholar] [CrossRef]
- Marino, P.; Mininni, M.; Deiana, G.; Marino, G.; Divella, R.; Bochicchio, I.; Giuliano, A.; Lapadula, S.; Lettini, A.R.; Sanseverino, F.J.N. Healthy lifestyle and cancer risk: Modifiable risk factors to prevent cancer. Nutrients 2024, 16, 800. [Google Scholar] [CrossRef] [PubMed]
- Nakata, K.; Hiyama, E.; Katanoda, K.; Matsuda, T.; Tada, Y.; Inoue, M.; Kawa, K.; Maru, M.; Shimizu, C.; Horibe, K. Cancer in adolescents and young adults in Japan: Epidemiology and cancer strategy. Int. J. Clin. Oncol. 2022, 27, 7–15. [Google Scholar] [CrossRef]
- Higashi, T. Cancer epidemiology and treatment patterns for older persons in Japan: A review of nationwide data and statistics. Jpn. J. Clin. Oncol. 2022, 52, 303–312. [Google Scholar] [CrossRef] [PubMed]
- Lossi, L.J.B.J. The concept of intrinsic versus extrinsic apoptosis. Biochem. J. 2022, 479, 357–384. [Google Scholar] [CrossRef]
- Green, D.R.; Llambi, F. Cell death signaling. Cold Spring Harb. Perspect. Med. 2015, 7, a006080. [Google Scholar] [CrossRef]
- Riedl, S.J.; Salvesen, G. The apoptosome: Signalling platform of cell death. Nat. Rev. Mol. Cell Biol. 2007, 8, 405–413. [Google Scholar] [CrossRef]
- Pistritto, G.; Trisciuoglio, D.; Ceci, C.; Garufi, A.; D’Orazi, G.J.A. Apoptosis as anticancer mechanism: Function and dysfunction of its modulators and targeted therapeutic strategies. Aging 2016, 8, 603. [Google Scholar] [CrossRef]
- Carneiro, B.A.; El-Deiry, W. Targeting apoptosis in cancer therapy. Nat. Rev. Clin. Oncol. 2020, 17, 395–417. [Google Scholar] [CrossRef]
- Pfeffer, C.M.; Singh, A. Apoptosis: A target for anticancer therapy. Int. J. Mol. Sci. 2018, 19, 448. [Google Scholar] [CrossRef] [PubMed]
- Lowe, S.W.; Cepero, E.; Evan, G.J.N. Intrinsic tumour suppression. Nature 2004, 432, 307–315. [Google Scholar] [CrossRef] [PubMed]
- Whiteside, T.L. Tumor-induced death of immune cells: Its mechanisms and consequences. Semin. Cancer Biol. 2002, 12, 43–50. [Google Scholar] [CrossRef]
- Whiteside, T.L.J.V. Apoptosis of immune cells in the tumor microenvironment and peripheral circulation of patients with cancer: Implications for immunotherapy. Vaccine 2002, 20, A46–A51. [Google Scholar] [CrossRef]
- Peter, M.; Hadji, A.; Murmann, A.; Brockway, S.; Putzbach, W.; Pattanayak, A.; Ceppi, P. The role of CD95 and CD95 ligand in cancer. Cell Death Differ. 2015, 22, 549–559. [Google Scholar] [CrossRef] [PubMed]
- Chino, A.; Sakurai, H.; Choo, M.-K.; Koizumi, K.; Shimada, Y.; Terasawa, K.; Saiki, I. Juzentaihoto, a Kampo medicine, enhances IL-12 production by modulating Toll-like receptor 4 signaling pathways in murine peritoneal exudate macrophages. Int. Immunopharmacol. 2005, 5, 871–882. [Google Scholar] [CrossRef]
- Fujiki, K.; Nakamura, M.; Matsuda, T.; Isogai, M.; Ikeda, M.; Yamamoto, Y.; Kitamura, M.; Sazaki, N.; Yakushiji, F.; Suzuki, S. IL-12 and IL-18 induction and subsequent NKT activation effects of the Japanese botanical medicine Juzentaihoto. Int. J. Mol. Sci. 2008, 9, 1142–1155. [Google Scholar] [CrossRef]
- Motoo, Y.; Cameron, S.J.I.M.R. Kampo medicines for supportive care of patients with cancer: A brief review. Integr. Med. Res. 2022, 11, 100839. [Google Scholar] [CrossRef]
- Inoue, M.; Hoshino, E. Symptoms of cancer patients and kampo formulas effective for them. Gan Kagaku Ryoho Cancer Chemother. 2015, 42, 2418–2422. [Google Scholar]
- Cheon, C.; Kang, S.; Ko, Y.; Kim, M.; Jang, B.-H.; Shin, Y.-C.; Ko, S.-G. Sipjeondaebo-tang in patients with breast cancer with fatigue: A protocol for a pilot, randomised, double-blind, placebo-controlled, cross-over trial. BMJ Open 2018, 8, e021242. [Google Scholar] [CrossRef] [PubMed]
- Hong, T.; Matsumoto, T.; Kiyohara, H.; Yamada, H.J.P. Enhanced production of hematopoietic growth factors through T cell activation in Peyer’s patches by oral administration of Kampo (Japanese herbal) medicine, ”Juzen-Taiho-To”. Appl. Surf. Sci. 1998, 5, 353–360. [Google Scholar] [CrossRef] [PubMed]
- Kawai, H.; Saito, Y.J.M.; Oncology, C. Combination of Juzentaihoto and chemotherapy improves the prognosis of patients with postoperative recurrence of non-small cell lung cancer. Mol. Clin. Oncol. 2020, 13, 13. [Google Scholar] [CrossRef] [PubMed]
- Wajant, H.J.S. The Fas signaling pathway: More than a paradigm. Science 2002, 296, 1635–1636. [Google Scholar] [CrossRef]
- O’connell, J.; O’Sullivan, G.C.; Collins, J.K.; Shanahan, F. The Fas counterattack: Fas-mediated T cell killing by colon cancer cells expressing Fas ligand. J. Exp. Med. 1996, 184, 1075–1082. [Google Scholar] [CrossRef]
- Matsuda, T.; Maekawa, K.; Asano, K.; Hisamitsu, T.J.E.B.C.; Medicine, A. Suppressive effect of juzen-taiho-to on lung metastasis of B16 melanoma cells in vivo. Evid. Based Complement. Altern. Med. 2011, 2011, 743153. [Google Scholar] [CrossRef]
- Ishikawa, S.; Ishikawa, T.; Tezuka, C.; Asano, K.; Sunagawa, M.; Hisamitsu, T.J.E.B.C.; Medicine, A. Efficacy of juzentaihoto for tumor immunotherapy in B16 melanoma metastasis model. Evid.-Based Complement. Altern. Med. 2017, 2017, 6054706. [Google Scholar] [CrossRef]
- Ogawa-Ochiai, K.; Katagiri, T.; Sato, Y.; Shirai, A.; Ishiyama, K.; Takami, A.; Morishita, E. Natural killer cell function changes by the Japanese Kampo Medicine juzentaihoto in General fatigue patients. Adv. Integr. Med. 2021, 8, 33–43. [Google Scholar] [CrossRef]
- Melaiu, O.; Lucarini, V.; Cifaldi, L.; Fruci, D. Influence of the tumor microenvironment on NK cell function in solid tumors. Front. Immunol. 2020, 10, 3038. [Google Scholar] [CrossRef]
- Mamessier, E.; Pradel, L.C.; Thibult, M.-L.; Drevet, C.; Zouine, A.; Jacquemier, J.; Houvenaeghel, G.; Bertucci, F.; Birnbaum, D.; Olive, D. Peripheral Blood NK Cells from Breast Cancer Patients Are Tumor-Induced Composite Subsets. J. Immunol. 2013, 190, 2424–2436. [Google Scholar] [CrossRef]
- Tonetti, C.R.; de Souza-Araújo, C.N.; Yoshida, A.; da Silva, R.F.; Alves, P.C.M.; Mazzola, T.N.; Derchain, S.; Fernandes, L.G.R.; Guimarães, F.J.C. Ovarian cancer-associated ascites have high proportions of cytokine-responsive CD56bright NK cells. Cells 2021, 10, 1702. [Google Scholar] [CrossRef] [PubMed]
- Han, B.; Mao, F.-Y.; Zhao, Y.-L.; Lv, Y.-P.; Teng, Y.-S.; Duan, M.; Chen, W.; Cheng, P.; Wang, T.-T.; Liang, Z.-Y. Altered NKp30, NKp46, NKG2D, and DNAM-1 expression on circulating NK cells is associated with tumor progression in human gastric cancer. Immunol. Res. 2018, 2018, 6248590. [Google Scholar] [CrossRef]
- Garcia-Iglesias, T.; del Toro-Arreola, A.; Albarran-Somoza, B.; del Toro-Arreola, S.; Sanchez-Hernandez, P.E.; Ramirez-Dueñas, M.G.; Balderas-Peña, L.M.A.; Bravo-Cuellar, A.; Ortiz-Lazareno, P.C.; Daneri-Navarro, A. Low NKp30, NKp46 and NKG2D expression and reduced cytotoxic activity on NK cells in cervical cancer and precursor lesions. BMC Cancer 2009, 9, 1–8. [Google Scholar] [CrossRef]
- Pessino, A.; Sivori, S.; Bottino, C.; Malaspina, A.; Morelli, L.; Moretta, L.; Biassoni, R.; Moretta, A. Molecular cloning of NKp46: A novel member of the immunoglobulin superfamily involved in triggering of natural cytotoxicity. J. Exp. Med. 1998, 188, 953–960. [Google Scholar] [CrossRef]
- Narni-Mancinelli, E.; Jaeger, B.N.; Bernat, C.; Fenis, A.; Kung, S.; De Gassart, A.; Mahmood, S.; Gut, M.; Heath, S.C.; Estellé, J.J.S. Tuning of natural killer cell reactivity by NKp46 and Helios calibrates T cell responses. Science 2012, 335, 344–348. [Google Scholar] [CrossRef]
- Gauthier, L.; Morel, A.; Anceriz, N.; Rossi, B.; Blanchard-Alvarez, A.; Grondin, G.; Trichard, S.; Cesari, C.; Sapet, M.; Bosco, F.; et al. Multifunctional natural killer cell engagers targeting NKp46 trigger protective tumor immunity. Cell 2019, 177, 1701–1713.e16. [Google Scholar] [CrossRef] [PubMed]
- Shin, M.H.; Oh, E.; Minn, D.J.I.N. Current Developments in NK Cell Engagers for Cancer Immunotherapy: Focus on CD16A and NKp46. Immune Netw. 2024, 24, e34. [Google Scholar] [CrossRef] [PubMed]
- Yutani, S.; Komatsu, N.; Matsueda, S.; Yoshitomi, M.; Shirahama, T.; Yamada, A.; Itoh, K.; Sasada, T.J.E.B.C.; Medicine, A. Juzentaihoto Failed to Augment Antigen-Specific Immunity but Prevented Deterioration of Patients’ Conditions in Advanced Pancreatic Cancer under Personalized Peptide Vaccine. Evid. Based Complement. Altern. Med. 2013, 2013, 981717. [Google Scholar] [CrossRef]
- Wensveen, F.M.; Jelenčić, V.; Polić, B. NKG2D: A master regulator of immune cell responsiveness. Front. Immunol. 2018, 9, 441. [Google Scholar] [CrossRef]
- Yamada, A.; Arakaki, R.; Saito, M.; Kudo, Y.; Ishimaru, N. Dual role of Fas/FasL-mediated signal in peripheral immune tolerance. Front. Immunol. 2017, 8, 403. [Google Scholar] [CrossRef]
- Yu, Y. Fas/FasL and Apoptosis/Non-apoptosis. J. Clin. Med. Res. 2024, 5, 352–356. [Google Scholar] [CrossRef]
- He, Z.; Liu, X.; Qin, S.; Yang, Q.; Na, J.; Xue, Z.; Zhong, L. Anticancer mechanism of Astragalus polysaccharide and its application in cancer immunotherapy. Pharmaceutics 2024, 17, 636. [Google Scholar] [CrossRef]
- Tang, P.; Liu, S.; Zhang, J.; Ai, Z.; Hu, Y.; Cui, L.; Zou, H.; Li, X.; Wang, Y.; Nan, B. Ginsenosides as dietary supplements with immunomodulatory effects: A review. Appl. Biol. Chem. 2024, 67, 27. [Google Scholar] [CrossRef]
- Ghafouri-Fard, S.; Balaei, N.; Shoorei, H.; Hasan, S.M.F.; Hussen, B.M.; Talebi, S.F.; Taheri, M.; Ayatollahi, S.A. The effects of Ginsenosides on PI3K/AKT signaling pathway. Mol. Biol. Rep. 2022, 49, 6701–6716. [Google Scholar] [CrossRef]
- Chen, Z.; Cheng, L.; Zhang, J.; Cui, X. Exploring the mechanism by which Angelica sinensis improves haematopoietic function in aplastic anaemia. Aging 2024, 16, 11535. [Google Scholar] [CrossRef]
- Harjanti, D.W.; Wahyono, F.; Ciptaningtyas, V.R. Effects of different sterilization methods of herbal formula on phytochemical compounds and antibacterial activity against mastitis-causing bacteria. Vet. World 2020, 13, 1187. [Google Scholar] [CrossRef]
- Mukhtar, K.; Nabi, B.G.; Ahmed, W.; Suleman, R.; Aadil, R.M. Effect of thermal processing on the digestion of plant proteins. In Processing Technologies and Food Protein Digestion; Elsevier: Amsterdam, The Netherlands, 2023; pp. 407–428. [Google Scholar] [CrossRef]
- Baky, M.H.; Elkenawy, N.M.; El-Nashar, H.A.; Abib, B.; Farag, M.A. Comparison of autoclaving and γ-radiation impact on four spices aroma profiles and microbial load using HS-SPME GC–MS and chemometric tools. Sci. Rep. 2024, 14, 5752. [Google Scholar] [CrossRef]
- Liu, H.; Wang, J.; Sekiyama, A.; Tabira, T. Juzen-taiho-to, an herbal medicine, activates and enhances phagocytosis in microglia/macrophages. Tohoku J. Exp. Med. 2008, 215, 43–54. [Google Scholar] [CrossRef]
- Dai, Y.; Kato, M.; Takeda, K.; Kawamoto, Y.; Akhand, A.A.; Hossain, K.; Suzuki, H.; Nakashima, I.J. T-cell-immunity-based inhibitory effects of orally administered herbal medicine juzen-taiho-to on the growth of primarily developed melanocytic tumors in RET-transgenic mice. J. Investig. Dermatol. 2001, 117, 694–701. [Google Scholar] [CrossRef][Green Version]
- Abraham, R.T.; Weiss, A. Jurkat T cells and development of the T-cell receptor signalling paradigm. Nat. Rev. Immunol. 2004, 4, 301–308. [Google Scholar] [CrossRef]
- Kiraz, Y.; Adan, A.; Kartal Yandim, M.; Baran, Y. Major apoptotic mechanisms and genes involved in apoptosis. Tumour Biol. 2016, 37, 8471–8486. [Google Scholar] [CrossRef]
- Bertheloot, D.; Latz, E.; Franklin, B.S. Necroptosis, pyroptosis and apoptosis: An intricate game of cell death. Cell. Mol. Immunol. 2021, 18, 1106–1121. [Google Scholar] [CrossRef]
- D’arcy, M.S. Cell death: A review of the major forms of apoptosis, necrosis and autophagy. Cell Biol. Int. 2019, 43, 582–592. [Google Scholar] [CrossRef]
- Eckelman, B.P.; Salvesen, G.S.; Scott, F.L. Human inhibitor of apoptosis proteins: Why XIAP is the black sheep of the family. EMBO Rep. 2006, 7, 988–994. [Google Scholar] [CrossRef]
- Gyrd-Hansen, M.; Meier, P. IAPs: From caspase inhibitors to modulators of NF-κB, inflammation and cancer. Nat. Rev. Cancer 2010, 10, 561–574. [Google Scholar] [CrossRef]
- Silke, J.; Vaux, D.L. Two kinds of BIR-containing protein-inhibitors of apoptosis, or required for mitosis. J. Cell Sci. 2001, 114, 1821–1827. [Google Scholar] [CrossRef]
- Kataoka, T.; Budd, R.; Holler, N.; Thome, M.; Martinon, F.; Irmler, M.; Burns, K.; Hahne, M.; Kennedy, N.; Kovacsovics, M. The caspase-8 inhibitor FLIP promotes activation of NF-κB and Erk signaling pathways. Curr. Biol. 2000, 10, 640–648. [Google Scholar] [CrossRef]
- Varfolomeev, E.E.; Ashkenazi, A. Tumor necrosis factor: An apoptosis JuNKie? Cell 2004, 116, 491–497. [Google Scholar] [CrossRef]
- Guo, Q.; Li, J.; Lin, H. Effect and molecular mechanisms of traditional Chinese medicine on regulating tumor immunosuppressive microenvironment. BioMed Res. Int. 2015, 2015, 261620. [Google Scholar] [CrossRef]
- Malsy, M.; Bitzinger, D.; Graf, B.; Bundscherer, A. Staurosporine induces apoptosis in pancreatic carcinoma cells PaTu 8988t and Panc-1 via the intrinsic signaling pathway. Eur. J. Med. Res. 2019, 24, 1–8. [Google Scholar] [CrossRef]
- Chai, J.; Du, C.; Wu, J.-W.; Kyin, S.; Wang, X.; Shi, Y. Structural and biochemical basis of apoptotic activation by Smac/DIABLO. Nature 2000, 406, 855–862. [Google Scholar] [CrossRef]
- Du, C.; Fang, M.; Li, Y.; Li, L.; Wang, X. Smac, a mitochondrial protein that promotes cytochrome c–dependent caspase activation by eliminating IAP inhibition. Cell 2000, 102, 33–42. [Google Scholar] [CrossRef]
- Xu, X.; Lai, Y.; Hua, Z.-C. Apoptosis and apoptotic body: Disease message and therapeutic target potentials. Biosci. Rep. 2019, 39, BSR20180992. [Google Scholar] [CrossRef]
- Kroemer, G.; Pouyssegur, J. Tumor cell metabolism: Cancer’s Achilles’ heel. Cancer Cell 2008, 13, 472–482. [Google Scholar] [CrossRef]
- Chen, J.-J.; Mikelis, C.M.; Zhang, Y.; Gutkind, J.S.; Zhang, B. TRAIL induces apoptosis in oral squamous carcinoma cells: A crosstalk with oncogenic Ras regulated cell surface expression of death receptor 5. Oncotarget 2013, 4, 206. [Google Scholar] [CrossRef]
- Montinaro, A.; Walczak, H. Harnessing TRAIL-induced cell death for cancer therapy: A long walk with thrilling discoveries. Cell Death Differ. 2023, 30, 237–249. [Google Scholar] [CrossRef]
- Li, J.; Sun, G.-Z.; Lin, H.-S.J. Effect of YangWeiKangLiu Granules on peripheral blood T-lymphocyte cell rDNA transcription activity and Fas expression in gastric cancer patients metastasis. J. Clin. Oncol. 2005, 23, 4275. [Google Scholar] [CrossRef]
- Li, J.; Sun, G.-Z.; Lin, H.-S.; Pei, Y.-X.; Qi, X.; An, C.; Yu, J.; Hua, B.-J. The herb medicine formula “Yang Wei Kang Liu” improves the survival of late stage gastric cancer patients and induces the apoptosis of human gastric cancer cell line through Fas/Fas ligand and Bax/Bcl-2 pathways. Int. Immunopharmacol. 2008, 8, 1196–1206. [Google Scholar] [CrossRef]
- Amjad, M.T.; Chidharla, A.; Kasi, A. Cancer Chemotherapy; Springer Nature: Berlin, Germany, 2020. [Google Scholar]
- Pulito, C.; Cristaudo, A.; Porta, C.L.; Zapperi, S.; Blandino, G.; Morrone, A.; Strano, S. Oral mucositis: The hidden side of cancer therapy. J. Exp. Clin. Cancer Res. 2020, 39, 1–15. [Google Scholar] [CrossRef]
- Michael, H.; Amimo, J.O.; Rajashekara, G.; Saif, L.J.; Vlasova, A.N. Mechanisms of kwashiorkor-associated immune suppression: Insights from human, mouse, and pig studies. Front. Immunol. 2022, 13, 826268. [Google Scholar] [CrossRef]
- Averyanova, M.; Yureneva, S.; Kiseleva, V.; Yakushevskaya, O.; Iskusnykh, M.; Pavlova, A.; Elchaninov, A.; Fatkhudinov, T.; Mikhanoshina, N.; Ivanets, T.; et al. Effect of menopausal hormone therapy on cellular immunity parameters and cytokine profile. Biomedicines 2024, 12, 1892. [Google Scholar] [CrossRef]
- Bhat, T.A.; Panzica, L.; Kalathil, S.G.; Thanavala, Y. Immune dysfunction in patients with chronic obstructive pulmonary disease. Ann. Am. Thorac. Soc. 2015, 12, S169–S175. [Google Scholar] [CrossRef]
- Holt, R.I.; Cockram, C.S.; Ma, R.C.; Luk, A.O. Diabetes and infection: Review of the epidemiology, mechanisms and principles of treatment. Diabetologia 2024, 67, 1168–1180. [Google Scholar] [CrossRef]
- Sigalet, D.L.; Mackenzie, S.L.; Hameed, S.M. Enteral nutrition and mucosal immunity: Implications for feeding strategies in surgery and trauma. Can. J. Surg. 2004, 47, 109. [Google Scholar]
- Strasser, A.; Bouillet, P. The control of apoptosis in lymphocyte selection. Immunol. Rev. 2003, 193, 82–92. [Google Scholar] [CrossRef]
- Wherry, E.J. T cell exhaustion. Nat. Immunol. 2011, 12, 492–499. [Google Scholar] [CrossRef]
- Tay, R.E.; Richardson, E.K.; Toh, H.C. Revisiting the role of CD4+ T cells in cancer immunotherapy—New insights into old paradigms. Oncogenesis 2021, 28, 5–17. [Google Scholar] [CrossRef]
- Chen, Y.; Yu, D.; Qian, H.; Shi, Y.; Tao, Z. CD8+ T cell-based cancer immunotherapy. J. Transl. Med. 2024, 22, 394. [Google Scholar] [CrossRef]











| Characteristic | Kampo Group (%) | Healthy Group (%) |
|---|---|---|
| Total number of patients | 10 (100%) | 10 (100%) |
| Sex | ||
| Male | 4 (40%) | 3 (30%) |
| Female | 6 (60%) | 7 (70%) |
| Diagnosis (Kampo group) | ||
| Head and Neck Cancer | 4 (40%) | |
| Laryngeal cancer | 2 (20%) | |
| Hypopharyngeal cancer | 1 (10%) | |
| Oropharyngeal cancer | 1 (10%) | |
| Parotid gland cancer | 1 (10%) | |
| Breast cancer | 6 (60%) | |
| Adverse effects (Kampo group) | 0 (0%) | |
| Chemotherapy (Kampo group) | 6 (60%) | |
| Radiotherapy (Kampo group) | 7 (70%) |
Disclaimer/Publisher’s Note: The statements, opinions and data contained in all publications are solely those of the individual author(s) and contributor(s) and not of MDPI and/or the editor(s). MDPI and/or the editor(s) disclaim responsibility for any injury to people or property resulting from any ideas, methods, instructions or products referred to in the content. |
© 2025 by the authors. Licensee MDPI, Basel, Switzerland. This article is an open access article distributed under the terms and conditions of the Creative Commons Attribution (CC BY) license (https://creativecommons.org/licenses/by/4.0/).
Share and Cite
Ngo, Q.T.; Espinoza, J.L.; Li, H.; Inokuchi, M.; Nakanishi, Y.; Morishita, E.; Katagiri, T.; Kawahara, A.; Yoshizaki, T.; Takami, A.; et al. Immunomodulatory Effects of Juzentaihoto on Fas-Mediated Apoptosis: Insights from Cancer Patients and In Vitro Models. Pharmaceuticals 2025, 18, 1658. https://doi.org/10.3390/ph18111658
Ngo QT, Espinoza JL, Li H, Inokuchi M, Nakanishi Y, Morishita E, Katagiri T, Kawahara A, Yoshizaki T, Takami A, et al. Immunomodulatory Effects of Juzentaihoto on Fas-Mediated Apoptosis: Insights from Cancer Patients and In Vitro Models. Pharmaceuticals. 2025; 18(11):1658. https://doi.org/10.3390/ph18111658
Chicago/Turabian StyleNgo, Quang Trung, Jorge Luis Espinoza, Hongyang Li, Masafumi Inokuchi, Yosuke Nakanishi, Eriko Morishita, Takamasa Katagiri, Akihiro Kawahara, Tomokazu Yoshizaki, Akiyoshi Takami, and et al. 2025. "Immunomodulatory Effects of Juzentaihoto on Fas-Mediated Apoptosis: Insights from Cancer Patients and In Vitro Models" Pharmaceuticals 18, no. 11: 1658. https://doi.org/10.3390/ph18111658
APA StyleNgo, Q. T., Espinoza, J. L., Li, H., Inokuchi, M., Nakanishi, Y., Morishita, E., Katagiri, T., Kawahara, A., Yoshizaki, T., Takami, A., & Ogawa-Ochiai, K. (2025). Immunomodulatory Effects of Juzentaihoto on Fas-Mediated Apoptosis: Insights from Cancer Patients and In Vitro Models. Pharmaceuticals, 18(11), 1658. https://doi.org/10.3390/ph18111658

