Exploring the Chemopreventive Potential of Artemisia annua Methanolic Extract in Colorectal Cancer Induced by Azoxymethane in Mice
Abstract
1. Introduction
2. Results
2.1. Yield Percentage of MEA and GC-MS Analysis
2.2. Evaluation of MEA’s Anticancer Activity in HCT116 and RKO Colon Cancer Cell Lines
2.3. Effects of MEA on AOM-Induced ABW and Survival
2.4. Influence of MEA on Serum Cancer Marker Enzymes in AOM-Exposed Mice
2.5. Modulation of Antioxidant Enzymes by MEA in AOM-Exposed Colonic Tissues
2.6. Assessment of Reactive Oxygen Species in Colonic Cells by DCFDA Flow Cytometry
2.7. Assessment of Apoptosis in Colonic Cells by Annexin V-FITC-PI Flow Cytometry
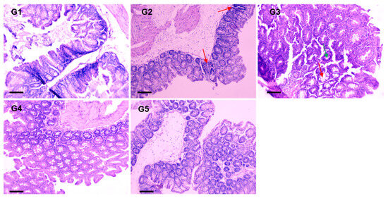
2.8. Assessment of Colon Tissues by H&E Staining
3. Methods
3.1. Materials
3.2. Methanolic Extraction of A. annua (MEA) Using Cold Maceration Technique
3.3. GC-MS (Gas Chromatography-Mass Spectrometry) Analysis
3.4. In Vitro Cell Cytotoxicity Assay
3.5. In Vivo Studies
3.5.1. Mice
3.5.2. Experimental Design
3.6. Study of Average Body Weight (ABW) and Survival Rate
3.7. Histopathological Evaluation of Colon Tissues
3.8. The Effect of MEA on the Levels of Cancer Marker Enzymes in the Serum Induced by AOM
3.9. The Effect of MEA on Antioxidant Enzymes in the Colon Induced by AOM
3.10. Annexin V-FITC/PI Apoptotic Assay
3.11. Assessment of Reactive Oxygen Species (ROS) in Colonic Cells Using Flow Cytometry
4. Discussions
5. Conclusions
Author Contributions
Funding
Institutional Review Board Statement
Informed Consent Statement
Data Availability Statement
Conflicts of Interest
References
- Sung, H.; Ferlay, J.; Siegel, R.L.; Laversanne, M.; Soerjomataram, I.; Jemal, A.; Bray, F. Global Cancer Statistics 2020: GLOBOCAN Estimates of Incidence and Mortality Worldwide for 36 Cancers in 185 Countries. CA Cancer J. Clin. 2021, 71, 209–249. [Google Scholar] [CrossRef] [PubMed]
- Deo, S.V.S.; Sharma, J.; Kumar, S. GLOBOCAN 2020 Report on Global Cancer Burden: Challenges and Opportunities for Surgical Oncologists. Ann. Surg. Oncol. 2022, 29, 6497–6500. [Google Scholar] [CrossRef]
- GBD 2019 Colorectal Cancer Collaborators. Global, regional, and national burden of colorectal cancer and its risk factors, 1990-2019: A systematic analysis for the Global Burden of Disease Study 2019. Lancet Gastroenterol. Hepatol. 2022, 7, 627–647. [Google Scholar] [CrossRef]
- Xi, Y.; Xu, P. Global colorectal cancer burden in 2020 and projections to 2040. Transl. Oncol. 2021, 14, 101174. [Google Scholar] [CrossRef]
- Almatroudi, A. The Incidence Rate of Colorectal Cancer in Saudi Arabia: An Observational Descriptive Epidemiological Analysis. Int. J. Gen. Med. 2020, 13, 977–990. [Google Scholar] [CrossRef] [PubMed]
- Alyabsi, M.; Algarni, M.; Alshammari, K. Trends in Colorectal Cancer Incidence Rates in Saudi Arabia (2001–2016) Using Saudi National Registry: Early- Versus Late-Onset Disease. Front. Oncol. 2021, 11, 730689. [Google Scholar] [CrossRef]
- Kumar, A.; Gautam, V.; Sandhu, A.; Rawat, K.; Sharma, A.; Saha, L. Current and emerging therapeutic approaches for colorectal cancer: A comprehensive review. World J. Gastrointest. Surg. 2023, 15, 495–519. [Google Scholar] [CrossRef] [PubMed]
- Xie, Y.-H.; Chen, Y.-X.; Fang, J.-Y. Comprehensive review of targeted therapy for colorectal cancer. Signal Transduct. Target. Ther. 2020, 5, 22. [Google Scholar] [CrossRef]
- Shi, J.; Sun, Z.; Gao, Z.; Huang, D.; Hong, H.; Gu, J. Radioimmunotherapy in colorectal cancer treatment: Present and future. Front. Immunol. 2023, 14, 1105180. [Google Scholar] [CrossRef] [PubMed]
- Huang, X.; Yang, Z.; Xie, Q.; Zhang, Z.; Zhang, H.; Ma, J. Natural products for treating colorectal cancer: A mechanistic review. Biomed. Pharmacother. 2019, 117, 109142. [Google Scholar] [CrossRef]
- Aiello, P.; Sharghi, M.; Mansourkhani, S.M.; Ardekan, A.P.; Jouybari, L.; Daraei, N.; Peiro, K.; Mohamadian, S.; Rezaei, M.; Heidari, M.; et al. Medicinal Plants in the Prevention and Treatment of Colon Cancer. Oxid. Med. Cell Longev. 2019, 2019, 2075614. [Google Scholar] [CrossRef]
- Gomathinayagam, R.; Ha, J.H.; Jayaraman, M.; Song, Y.S.; Isidoro, C.; Dhanasekaran, D.N. Chemopreventive and Anticancer Effects of Thymoquinone: Cellular and Molecular Targets. J. Cancer Prev. 2020, 25, 136–151. [Google Scholar] [CrossRef] [PubMed]
- Khan, A.; Alsahli, M.A.; Aljasir, M.A.; Maswadeh, H.; Mobark, M.A.; Azam, F.; Allemailem, K.S.; Alrumaihi, F.; Alhumaydhi, F.A.; Alwashmi, A.S.S.; et al. Safety, Stability, and Therapeutic Efficacy of Long-Circulating TQ-Incorporated Liposomes: Implication in the Treatment of Lung Cancer. Pharmaceutics 2022, 14, 153. [Google Scholar] [CrossRef] [PubMed]
- Khan, A.; Alsahli, M.A.; Aljasir, M.A.; Maswadeh, H.; Mobark, M.A.; Azam, F.; Allemailem, K.S.; Alrumaihi, F.; Alhumaydhi, F.A.; Almatroudi, A.A.; et al. Experimental and Theoretical Insights on Chemopreventive Effect of the Liposomal Thymoquinone Against Benzo[a]pyrene-Induced Lung Cancer in Swiss Albino Mice. J. Inflamm. Res. 2022, 15, 2263–2280. [Google Scholar] [CrossRef] [PubMed]
- Mostofa, A.G.M.; Hossain, M.K.; Basak, D.; Bin Sayeed, M.S. Thymoquinone as a Potential Adjuvant Therapy for Cancer Treatment: Evidence from Preclinical Studies. Front. Pharmacol. 2017, 8, 295. [Google Scholar] [CrossRef] [PubMed]
- Sadeghi, E.; Imenshahidi, M.; Hosseinzadeh, H. Molecular mechanisms and signaling pathways of black cumin (Nigella sativa) and its active constituent, thymoquinone: A review. Mol. Biol. Rep. 2023, 50, 5439–5454. [Google Scholar] [CrossRef] [PubMed]
- Li, F.; Qasim, S.; Li, D.; Dou, Q.P. Updated review on green tea polyphenol epigallocatechin-3-gallate as a cancer epigenetic regulator. Semin. Cancer Biol. 2022, 83, 335–352. [Google Scholar] [CrossRef]
- Negri, A.; Naponelli, V.; Rizzi, F.; Bettuzzi, S. Molecular Targets of Epigallocatechin—Gallate (EGCG): A Special Focus on Signal Transduction and Cancer. Nutrients 2018, 10, 1936. [Google Scholar] [CrossRef]
- Giordano, A.; Tommonaro, G. Curcumin and Cancer. Nutrients 2019, 11, 2376. [Google Scholar] [CrossRef]
- Weng, W.; Goel, A. Curcumin and colorectal cancer: An update and current perspective on this natural medicine. Semin. Cancer Biol. 2022, 80, 73–86. [Google Scholar] [CrossRef] [PubMed]
- Alrumaihi, F.A.; Khan, M.A.; Allemailem, K.S.; Alsahli, M.A.; Almatroudi, A.; Younus, H.; A Alsuhaibani, S.; Algahtani, M.; Khan, A. Methanolic Fenugreek Seed Extract Induces p53-Dependent Mitotic Catastrophe in Breast Cancer Cells, Leading to Apoptosis. J. Inflamm. Res. 2021, 14, 1511–1535. [Google Scholar] [CrossRef]
- El Bairi, K.; Ouzir, M.; Agnieszka, N.; Khalki, L. Anticancer potential of Trigonella foenum graecum: Cellular and molecular targets. Biomed. Pharmacother. 2017, 90, 479–491. [Google Scholar] [CrossRef]
- Promdam, N.; Panichayupakaranant, P. [6]-Gingerol: A narrative review of its beneficial effect on human health. Food Chem. Adv. 2022, 1, 100043. [Google Scholar] [CrossRef]
- Nafees, S.; Zafaryab Md Mehdi, S.H.; Zia, B.; Rizvi, M.A.; Khan, M.d.A. Anti-Cancer Effect of Gingerol in Cancer Prevention and Treatment. Anticancer Agents Med. Chem. 2021, 21, 428–432. [Google Scholar] [CrossRef]
- Sharma, S.; Shukla, M.K.; Sharma, K.C.; Tirath Kumar, L.; Anal, J.M.H.; Upadhyay, S.K.; Bhattacharyya, S.; Kumar, D. Revisiting the therapeutic potential of gingerols against different pharmacological activities. Naunyn Schmiedebergs Arch. Pharmacol. 2023, 396, 633–647. [Google Scholar] [CrossRef] [PubMed]
- Yusof, K.M.; Makpol, S.; Fen, L.S.; Jamal, R.; Wan Ngah, W.Z. Suppression of colorectal cancer cell growth by combined treatment of 6-gingerol and γ-tocotrienol via alteration of multiple signalling pathways. J. Nat. Med. 2019, 73, 745–760. [Google Scholar] [CrossRef]
- Honari, M.; Shafabakhsh, R.; Reiter, R.J.; Mirzaei, H.; Asemi, Z. Resveratrol is a promising agent for colorectal cancer prevention and treatment: Focus on molecular mechanisms. Cancer Cell Int. 2019, 19, 180. [Google Scholar] [CrossRef]
- Kataria, R.; Khatkar, A. Resveratrol in Various Pockets: A Review. Curr. Top. Med. Chem. 2019, 19, 116–122. [Google Scholar] [CrossRef]
- Ahmadi, R.; Ebrahimzadeh, M.A. Resveratrol—A comprehensive review of recent advances in anticancer drug design and development. Eur. J. Med. Chem. 2020, 200, 112356. [Google Scholar] [CrossRef] [PubMed]
- Efferth, T. From ancient herb to modern drug: Artemisia annua and artemisinin for cancer therapy. Semin. Cancer Biol. 2017, 46, 65–83. [Google Scholar] [CrossRef] [PubMed]
- Septembre-Malaterre, A.; Lalarizo Rakoto, M.; Marodon, C.; Bedoui, Y.; Nakab, J.; Simon, E.; Hoarau, L.; Savriama, S.; Strasberg, D.; Guiraud, P.; et al. Artemisia annua, a Traditional Plant Brought to Light. Int. J. Mol. Sci. 2020, 21, 4986. [Google Scholar] [CrossRef]
- Tu, Y. The discovery of artemisinin (qinghaosu) and gifts from Chinese medicine. Nat. Med. 2011, 17, 1217–1220. [Google Scholar] [CrossRef]
- Su, X.-Z.; Miller, L.H. The discovery of artemisinin and the Nobel Prize in Physiology or Medicine. Sci. China Life Sci. 2015, 58, 1175–1179. [Google Scholar] [CrossRef]
- Juteau, F.; Masotti, V.; Bessière, J.M.; Dherbomez, M.; Viano, J. Antibacterial and antioxidant activities of Artemisia annua essential oil. Fitoterapia 2002, 73, 532–535. [Google Scholar] [CrossRef] [PubMed]
- Lang, S.J.; Schmiech, M.; Hafner, S.; Paetz, C.; Steinborn, C.; Huber, R.; El Gaafary, M.; Werner, K.; Schmidt, C.Q.; Syrovets, T.; et al. Antitumor activity of an Artemisia annua herbal preparation and identification of active ingredients. Phytomedicine 2019, 62, 152962. [Google Scholar] [CrossRef]
- Appalasamy, S.; Lo, K.Y.; Ch’ng, S.J.; Nornadia, K.; Othman, A.S.; Chan, L.-K. Antimicrobial Activity of Artemisinin and Precursor Derived from In Vitro Plantlets of Artemisia annua L. Biomed. Res. Int. 2014, 2014, 1–6. [Google Scholar] [CrossRef]
- Poiată, A.; Tuchiluş, C.; Ivănescu, B.; Ionescu, A.; Lazăr, M.I. Antibacterial activity of some Artemisia species extract. Rev Med Chir. Soc. Med. Nat. 2009, 113, 911–914. [Google Scholar]
- Sen, R.; Bandyopadhyay, S.; Dutta, A.; Mandal, G.; Ganguly, S.; Saha, P.; Chatterjee, M. Artemisinin triggers induction of cell-cycle arrest and apoptosis in Leishmania donovani promastigotes. J. Med. Microbiol. 2007, 56, 1213–1218. [Google Scholar] [CrossRef] [PubMed]
- Rassias, D.J.; Weathers, P.J. Dried leaf Artemisia annua efficacy against non-small cell lung cancer. Phytomedicine 2019, 52, 247–253. [Google Scholar] [CrossRef] [PubMed]
- Singh, N.P.; Lai, H.C. Artemisinin induces apoptosis in human cancer cells. Anticancer Res. 2004, 24, 2277–2280. [Google Scholar]
- König, M.; von Hagens, C.; Hoth, S.; Baumann, I.; Walter-Sack, I.; Edler, L.; Sertel, S. Investigation of ototoxicity of artesunate as add-on therapy in patients with metastatic or locally advanced breast cancer: New audiological results from a prospective, open, uncontrolled, monocentric phase I study. Cancer Chemother. Pharmacol. 2016, 77, 413–427. [Google Scholar] [CrossRef] [PubMed]
- Wang, C.-Z.; Wan, C.; Luo, Y.; Zhang, C.-F.; Zhang, Q.-H.; Chen, L.; Liu, Z.; Wang, D.H.; Lager, M.; Li, C.-H.; et al. Effects of dihydroartemisinin, a metabolite of artemisinin, on colon cancer chemoprevention and adaptive immune regulation. Mol. Biol. Rep. 2022, 49, 2695–2709. [Google Scholar] [CrossRef]
- Zhang, H.; Zhou, F.; Wang, Y.; Xie, H.; Luo, S.; Meng, L.; Su, B.; Ye, Y.; Wu, K.; Xu, Y.; et al. Eliminating Radiation Resistance of Non-Small Cell Lung Cancer by Dihydroartemisinin Through Abrogating Immunity Escaping and Promoting Radiation Sensitivity by Inhibiting PD-L1 Expression. Front. Oncol. 2020, 10, 595466. [Google Scholar] [CrossRef] [PubMed]
- Salaroli, R.; Andreani, G.; Bernardini, C.; Zannoni, A.; La Mantia, D.; Protti, M.; Mercolini, L.; Isani, G. Anticancer activity of an Artemisia annua L. hydroalcoholic extract on canine osteosarcoma cell lines. Res. Vet. Sci. 2022, 152, 476–484. [Google Scholar] [CrossRef]
- Ahuja, A.; Yi, Y.-S.; Kim, M.-Y.; Cho, J.Y. Ethnopharmacological properties of Artemisia asiatica: A comprehensive review. J. Ethnopharmacol. 2018, 220, 117–128. [Google Scholar] [CrossRef]
- Kamarya, Y.; Xia, L.; Li, J. Chemical Constituents and Antitumor Mechanisms of Artemisia. Anticancer Agents Med. Chem. 2022, 22, 1838–1844. [Google Scholar] [CrossRef]
- Allemailem, K.S. Aqueous Extract of Artemisia annua Shows In Vitro Antimicrobial Activity and an In Vivo Chemopreventive Effect in a Small-Cell Lung Cancer Model. Plants 2022, 11, 3341. [Google Scholar] [CrossRef]
- Posadino, A.M.; Giordo, R.; Pintus, G.; Mohammed, S.A.; Orhan, I.E.; Fokou, P.V.T.; Sharopov, F.; Adetunji, C.O.; Gulsunoglu-Konuskan, Z.; Ydyrys, A.; et al. Medicinal and mechanistic overview of artemisinin in the treatment of human diseases. Biomed. Pharmacother. 2023, 163, 114866. [Google Scholar] [CrossRef] [PubMed]
- Verma, S.; Das, P.; Kumar, V.L. Chemoprevention by artesunate in a preclinical model of colorectal cancer involves down regulation of β-catenin, suppression of angiogenesis, cellular proliferation and induction of apoptosis. Chem. Biol. Interact. 2017, 278, 84–91. [Google Scholar] [CrossRef] [PubMed]
- Hamoya, T.; Fujii, G.; Iizumi, Y.; Narita, T.; Komiya, M.; Matsuzawa, Y.; Miki, K.; Kondo, T.; Kishimoto, S.; Watanabe, K.; et al. Artesunate inhibits intestinal tumorigenesis through inhibiting wnt signaling. Carcinogenesis 2021, 42, 148–158. [Google Scholar] [CrossRef]
- Tong, Y.; Liu, Y.; Zheng, H.; Zheng, L.; Liu, W.; Wu, J.; Ou, R.; Zhang, G.; Li, F.; Hu, M.; et al. Artemisinin and its derivatives can significantly inhibit lung tumorigenesis and tumor metastasis through Wnt/β-catenin signaling. Oncotarget 2016, 7, 31413–31428. [Google Scholar] [CrossRef]
- Tran, K.Q.; Tin, A.S.; Firestone, G.L. Artemisinin triggers a G1 cell cycle arrest of human Ishikawa endometrial cancer cells and inhibits cyclin-dependent kinase-4 promoter activity and expression by disrupting nuclear factor-κB transcriptional signaling. Anticancer Drugs 2014, 25, 270–281. [Google Scholar] [CrossRef] [PubMed]
- El-Said, K.S.; Haidyrah, A.S.; Mobasher, M.A.; Khayyat, A.I.A.; Shakoori, A.; Al-Sowayan, N.S.; Barnawi, I.O.; Mariah, R.A. Artemisia annua Extract Attenuate Doxorubicin-Induced Hepatic Injury via PI-3K/Akt/Nrf-2-Mediated Signaling Pathway in Rats. Int. J. Mol. Sci. 2023, 24, 15525. [Google Scholar] [CrossRef]
- Xia, J.; Dai, Q.; He, S.; Jia, H.; Liu, X.-G.; Hua, H.; Zhou, M.; Wang, X. Artesunate alleviates 5-fluorouracil-induced intestinal damage by suppressing cellular senescence and enhances its antitumor activity. Discov. Oncol. 2023, 14, 139. [Google Scholar] [CrossRef]
- Tcheng, M.; Ahmed, N.; Spagnuolo, P.A. Structure defines bioactivity of avocado-derived acetogenins. Stud. Nat. Prod. Chem. 2023, 78, 1–44. [Google Scholar] [CrossRef]
- Hati, S.; Tripathy, S.; Dutta, P.K.; Agarwal, R.; Srinivasan, R.; Singh, A.; Singh, S.; Sen, S. Spiro[pyrrolidine-3, 3′-oxindole] as potent anti-breast cancer compounds: Their design, synthesis, biological evaluation and cellular target identification. Sci. Rep. 2016, 6, 32213. [Google Scholar] [CrossRef]
- Zhou, Y.; Zhou, Z.; Chan, D.; Chung, P.Y.; Wang, Y.; Chan, A.S.C.; Law, S.; Lam, K.H.; Tang, J.C.O. The Anticancer Effect of a Novel Quinoline Derivative 91b1 through Downregulation of Lumican. Int. J. Mol. Sci. 2022, 23, 13181. [Google Scholar] [CrossRef] [PubMed]
- Li, J.; Duan, M.; Yao, X.; Tian, D.; Tang, J. Prenylated benzenepropanoic acid analogues from the Citrus grandis (L.) Osbeck and their anti-neuroinflammatory activity. Fitoterapia 2019, 139, 104410. [Google Scholar] [CrossRef] [PubMed]
- Nalin Pagi, D.D.; Payal Patel, H.J. Antimicrobial Activity and Phytochemical Screening of Aloe vera (Aloe barbadensis Miller). Int. J. Curr. Microbiol. Appl. Sci. 2017, 6, 2152–2162. [Google Scholar] [CrossRef]
- Alrumaihi, F.; Khan, M.A.; Babiker, A.Y.; Alsaweed, M.; Azam, F.; Allemailem, K.S.; Almatroudi, A.A.; Ahamad, S.R.; Alsugoor, M.H.; Alharbi, K.N.; et al. Lipid-Based Nanoparticle Formulation of Diallyl Trisulfide Chemosensitizes the Growth Inhibitory Activity of Doxorubicin in Colorectal Cancer Model: A Novel In Vitro, In Vivo and In Silico Analysis. Molecules 2022, 27, 2192. [Google Scholar] [CrossRef] [PubMed]
- Li, J.; Liu, Z.; Yu, H.; Xue, Q.; Qu, X. Effects of artemisinin on proliferation and apoptosis of human liver cancer HepG2 cells. Medicine 2020, 99, e20290. [Google Scholar] [CrossRef] [PubMed]
- Han, X.; Chai, Y.; Lv, C.; Chen, Q.; Liu, J.; Wang, Y.; Chou, G. Sesquiterpenes from Artemisia annua and Their Cytotoxic Activities. Molecules 2022, 27, 5079. [Google Scholar] [CrossRef] [PubMed]
- Guo, S.; Ma, J.; Xing, Y.; Shi, L.; Zhang, L.; Xu, Y.; Jin, X.; Yan, S.; Shi, B. Artemisia annua L. Aqueous Extract Promotes Intestine Immunity and Antioxidant Function in Broilers. Front. Vet. Sci. 2022, 9, 934021. [Google Scholar] [CrossRef]
- Abate, G.; Zhang, L.; Pucci, M.; Morbini, G.; Mac Sweeney, E.; Maccarinelli, G.; Ribaudo, G.; Gianoncelli, A.; Uberti, D.; Memo, M.; et al. Phytochemical Analysis Anti-Inflammatory Activity of Different Ethanolic Phyto-Extracts of Artemisia annua, L. Biomolecules 2021, 11, 975. [Google Scholar] [CrossRef]
- Zheng, H.; Lu, Z.; Wang, R.; Chen, N.; Zheng, P. Establishing the colitis-associated cancer progression mouse models. Int. J. Immunopathol. Pharmacol. 2016, 29, 759–763. [Google Scholar] [CrossRef] [PubMed]
- Kim, H.S.; Kundu, J.K.; Lee, J.-S.; Oh, T.-Y.; Na, H.-K.; Surh, Y.-J. Chemopreventive Effects of the Standardized Extract (DA-9601) of Artemisia asiatica on Azoxymethane-Initiated and Dextran Sulfate Sodium-Promoted Mouse Colon Carcinogenesis. Nutr. Cancer 2008, 60, 90–97. [Google Scholar] [CrossRef]
- Khan, A.; Alhumaydhi, F.A.; Alwashmi, A.S.; Allemailem, K.S.; Alsahli, M.A.; Alrumaihi, F.A.; Almatroudi, A.; A Mobark, M.; Mousa, A.; A Khan, M. Diallyl Sulfide-Mediated Modulation of the Fatty Acid Synthase (FASN) Leads to Cancer Cell Death in BaP-Induced Lung Carcinogenesis in Swiss Mice. J. Inflamm. Res. 2020, 13, 1075–1087. [Google Scholar] [CrossRef]
- Corti, A.; Franzini, M.; Paolicchi, A.; Pompella, A. Gamma-glutamyltransferase of Cancer Cells at the Crossroads of Tumor Progression, Drug Resistance and Drug Targeting. Anticancer Res. 2010, 30, 1169. [Google Scholar]
- Samuel, T.V.; Garg, A. Evaluation of serum adenosine deaminase and gamma glutamyl transferase in cancer cervix -A low-cost diagnostic tool. Int. J. Clin. Biochem. Res. 2020, 7, 325–328. [Google Scholar] [CrossRef]
- Lamas, B.; Natividad, J.M.; Sokol, H. Aryl hydrocarbon receptor and intestinal immunity. Mucosal Immunol. 2018, 11, 1024–1038. [Google Scholar] [CrossRef]
- Thomas, C.M.; Sweep, C.G. Serum tumor markers: Past, state of the art, and future. Int. J. Biol. Markers 2001, 16, 73–86. [Google Scholar] [CrossRef] [PubMed]









| Compound Number (#) | Retention Time RT (min) | Area (Ab*s) | Baseline Heigth (Ab) | Absolute Heigth (Ab) | Peak Width 50% (min) | Hit Number | Hit Name | Probability Ratio | Mol Weight (amu) |
|---|---|---|---|---|---|---|---|---|---|
| 1 | 3.407 | 83,860 | 31,696 | 49,692 | 0.063 | 1 | Toluene | 76 | 92.063 |
| 2 | 5.507 | 138,288 | 39,649 | 44,873 | 0.177 | 1 | Benzene, 1,3-dimethyl- | 97 | 106.078 |
| 3 | 5.736 | 4864 | 2405 | 6815 | 0.046 | 1 | 2,4-Octadiyne | 38 | 106.078 |
| 4 | 5.856 | 4569 | 2542 | 8112 | 0.057 | 1 | 3-Pyrrolidinol | 9 | 87.068 |
| 5 | 5.942 | 7651 | 3902 | 10,694 | 0.051 | 1 | Benzene, (1-methylethyl)- | 52 | 120.094 |
| 6 | 6.388 | 43,149 | 13,318 | 16,754 | 0.086 | 1 | Benzene, propyl- | 87 | 120.094 |
| 7 | 6.52 | 215,496 | 52,192 | 65,314 | 0.109 | 1 | Benzene, 1-ethyl-2-methyl- | 94 | 120.094 |
| 8 | 7.006 | 216,109 | 60,348 | 72,722 | 0.086 | 1 | Benzene, 1,2,4-trimethyl- | 95 | 120.094 |
| 9 | 7.104 | 413,451 | 99,796 | 110,633 | 0.257 | 1 | Benzene, 1,2,3-trimethyl- | 97 | 120.094 |
| 10 | 7.441 | 64,100 | 15,801 | 26,583 | 0.092 | 1 | Benzene, 1,3,5-trimethyl- | 94 | 120.094 |
| 11 | 9.101 | 272,932 | 25,660 | 34,264 | 0.372 | 1 | Benzene, 1-ethyl-2,3-dimethyl- | 97 | 134.11 |
| 12 | 11.922 | 5662 | 3468 | 6417 | 0.063 | 1 | Acetylcodein | 10 | 341.163 |
| 13 | 13.129 | 168,105 | 21,107 | 23,862 | 0.292 | 1 | Tetradecane | 95 | 198.235 |
| 14 | 15.549 | 7168 | 3324 | 7210 | 0.069 | 1 | 3-(2-Methoxymethoxyethylidene)-2,2-dimethylbicyclo[2.2.1]heptane | 12 | 210.162 |
| 15 | 16.064 | 38,886 | 11,461 | 14,980 | 0.12 | 1 | Nonadecane | 90 | 268.313 |
| 16 | 16.688 | 6749 | 2565 | 6265 | 0.074 | 1 | Quinoline-5,8-dione-6-ol, 7-[[(4-cyclohexylbutyl)amino]methyl]- | 32 | 342.194 |
| 17 | 19.846 | 15,534 | 5066 | 10,234 | 0.126 | 1 | 2,2-Dimethylpropanoic acid, 2,6-dimethylnon-1-en-3-yn-5-yl ester | 10 | 250.193 |
| 18 | 20.11 | 336,957 | 94,797 | 100,901 | 0.172 | 1 | Benzenepropanoic acid, 3,5-bis(1,1-dimethylethyl)-4-hydroxy-, methyl ester | 93 | 292.204 |
Disclaimer/Publisher’s Note: The statements, opinions and data contained in all publications are solely those of the individual author(s) and contributor(s) and not of MDPI and/or the editor(s). MDPI and/or the editor(s) disclaim responsibility for any injury to people or property resulting from any ideas, methods, instructions or products referred to in the content. |
© 2024 by the author. Licensee MDPI, Basel, Switzerland. This article is an open access article distributed under the terms and conditions of the Creative Commons Attribution (CC BY) license (https://creativecommons.org/licenses/by/4.0/).
Share and Cite
Alrumaihi, F. Exploring the Chemopreventive Potential of Artemisia annua Methanolic Extract in Colorectal Cancer Induced by Azoxymethane in Mice. Pharmaceuticals 2025, 18, 34. https://doi.org/10.3390/ph18010034
Alrumaihi F. Exploring the Chemopreventive Potential of Artemisia annua Methanolic Extract in Colorectal Cancer Induced by Azoxymethane in Mice. Pharmaceuticals. 2025; 18(1):34. https://doi.org/10.3390/ph18010034
Chicago/Turabian StyleAlrumaihi, Faris. 2025. "Exploring the Chemopreventive Potential of Artemisia annua Methanolic Extract in Colorectal Cancer Induced by Azoxymethane in Mice" Pharmaceuticals 18, no. 1: 34. https://doi.org/10.3390/ph18010034
APA StyleAlrumaihi, F. (2025). Exploring the Chemopreventive Potential of Artemisia annua Methanolic Extract in Colorectal Cancer Induced by Azoxymethane in Mice. Pharmaceuticals, 18(1), 34. https://doi.org/10.3390/ph18010034

