Thymol Protects against 5-Fluorouracil-Induced Hepatotoxicity via the Regulation of the Akt/GSK-3β Pathway in In Vivo and In Silico Experimental Models
Abstract
1. Introduction
2. Results
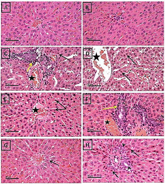
2.1. Protective Effect of Thymol against 5-FU-Induced Histopathological Changes in Liver Tissues
2.2. Effects of Thymol and 5-FU on Liver Enzymes and Oxidative Stress Markers in Liver Tissues
2.3. Effect of Thymol and 5-Fluorouracil on Apoptotic Marker Expression in Liver Tissues
2.4. Effect of Thymol and 5-Fluorouracil on Akt1/ GSK-3α/β Signaling Pathway Protein Expression in Liver Tissues
2.5. Docking Studies of Thymol
3. Discussion
4. Materials and Methods
4.1. Materials
4.1.1. Drugs and Chemicals
4.1.2. Animals
4.2. Methods
4.2.1. Experiment Design
4.2.2. Blood and Liver Sample Collection
4.2.3. Histopathological Examination
4.2.4. Assessment of Serum Liver Enzymes and Oxidative Stress Markers in Liver Tissues
4.2.5. Assessment of Apoptotic Markers in Liver Tissues
4.2.6. Western Blot Analysis
4.2.7. Assessing the Binding Affinities Using In Silico Modeling
4.3. Statistics
5. Conclusions
Author Contributions
Funding
Institutional Review Board Statement
Data Availability Statement
Acknowledgments
Conflicts of Interest
References
- Pujari, R.R.; Bandawane, D.D. Hepatoprotective Activity of Gentisic Acid on 5-Fluorouracil-Induced Hepatotoxicity in Wistar Rats. Turk. J. Pharm. Sci. 2021, 18, 332–338. [Google Scholar] [CrossRef] [PubMed]
- Gelen, V.; Şengül, E.; Yıldırım, S.; Atila, G. The Protective Effects of Naringin against 5-Fluorouracil-Induced Hepatotoxicity and Nephrotoxicity in Rats. Iran. J. Basic Med. Sci. 2018, 21, 404–410. [Google Scholar] [CrossRef]
- Ghoshal, K.; Jacob, S.T. An Alternative Molecular Mechanism of Action of 5-Fluorouracil, a Potent Anticancer Drug. Biochem. Pharmacol. 1997, 53, 1569–1575. [Google Scholar] [CrossRef]
- Al-Asmari, A.; Khan, A.; Al-Masri, N. Mitigation of 5-Fluorouracil–Induced Liver Damage in Rats by Vitamin C via Targeting Redox–Sensitive Transcription Factors. Hum. Exp. Toxicol. 2016, 35, 1203–1213. [Google Scholar] [CrossRef]
- Fukuno, S.; Nagai, K.; Yoshida, S.; Suzuki, H.; Konishi, H. Taurine as a Protective Agent for 5-Fluorouracil-Induced Hepatic Damage Related to Oxidative Stress. Die Pharm. Int. J. Pharm. Sci. 2016, 71, 530–532. [Google Scholar] [CrossRef]
- Mansoori, R.; Kazemi, S.; Almasi, D.; Hosseini, S.M.; Karim, B.; Nabipour, M.; Moghadamnia, A.A. Therapeutic Benefit of Melatonin in 5-Fluorouracil-Induced Renal and Hepatic Injury. Basic Clin. Pharmacol. Toxicol. 2024, 134, 397–411. [Google Scholar] [CrossRef]
- Diba, M.; Seghatoleslam, A.; Namavari, M.; Assadi, S.; Vakili, S.N.; Babaei, Z.; Akmali, M. Potential Protective Role of Cyrtopodion Scabrum in Antioxidant Parameters in Serum and Liver of Rats with 5-FU-Induced Oxidative Damage. Arch. Razi Inst. 2021, 76, 95–105. [Google Scholar] [CrossRef] [PubMed]
- Khalaf, H.M.; Hafez, S.M.N.A.; Abdalla, A.M.; Welson, N.N.; Abdelzaher, W.Y.; Abdelbaky, F.A.F. Role of Platelet-Activating Factor and HO-1 in Mediating the Protective Effect of Rupatadine against 5-Fluorouracil-Induced Hepatotoxicity in Rats. Environ. Sci. Pollut. Res. 2022, 29, 40190–40203. [Google Scholar] [CrossRef]
- Saleh, D.O.; Mahmoud, S.S.; Hassan, A.; Sanad, E.F. Doxorubicin-Induced Hepatic Toxicity in Rats: Mechanistic Protective Role of Omega-3 Fatty Acids through Nrf2/HO-1 Activation and PI3K/Akt/GSK-3β Axis Modulation. Saudi J. Biol. Sci. 2022, 29, 103308. [Google Scholar] [CrossRef]
- Guo, C.; Zheng, L.; Chen, S.; Liang, X.; Song, X.; Wang, Y.; Hua, B.; Qiu, L. Thymol Ameliorates Ethanol-Induced Hepatotoxicity via Regulating Metabolism and Autophagy. Chem. Biol. Interact. 2023, 370, 110308. [Google Scholar] [CrossRef]
- Mahran, Y.F.; Al-Kharashi, L.A.; Atawia, R.T.; Alanazi, R.T.; Dhahi, A.M.B.; Alsubaie, R.; Badr, A.M. Radioprotective Effects of Carvacrol and/or Thymol against Gamma Irradiation-Induced Acute Nephropathy: In Silico and In Vivo Evidence of the Involvement of Insulin-like Growth Factor-1 (IGF-1) and Calcitonin Gene-Related Peptide. Biomedicines 2023, 11, 2521. [Google Scholar] [CrossRef]
- Güvenç, M.; Cellat, M.; Gökçek, İ.; Yavaş, İ.; Özsoy, Ş.Y. Effects of Thymol and Carvacrol on Sperm Quality and Oxidant/Antioxidant Balance in Rats. Arch. Physiol. Biochem. 2019, 125, 396–403. [Google Scholar] [CrossRef]
- Botelho, M.A.; Barros, G.; Queiroz, D.B.; Carvalho, C.F.; Gouvea, J.; Patrus, L.; Bannet, M.; Patrus, D.; Rego, A.; Silva, I.; et al. Nanotechnology in Phytotherapy: Antiinflammatory Effect of a Nanostructured Thymol Gel from Lippia Sidoides in Acute Periodontitis in Rats. Phytother. Res. 2016, 30, 152–159. [Google Scholar] [CrossRef] [PubMed]
- Chamanara, M.; Abdollahi, A.; Rezayat, S.M.; Ghazi-Khansari, M.; Dehpour, A.; Nassireslami, E.; Rashidian, A. Thymol Reduces Acetic Acid-Induced Inflammatory Response through Inhibition of NF-kB Signaling Pathway in Rat Colon Tissue. Inflammopharmacology 2019, 27, 1275–1283. [Google Scholar] [CrossRef]
- Al-Khrashi, L.A.; Badr, A.M.; Al-Amin, M.A.; Mahran, Y.F. Thymol Ameliorates 5-Fluorouracil-Induced Intestinal Mucositis: Evidence of down-Regulatory Effect on TGF-β/MAPK Pathways through NF-κB. J. Biochem. Mol. Toxicol. 2022, 36, e22932. [Google Scholar] [CrossRef] [PubMed]
- Badr, A.M.; Alkharashi, L.A.; Sherif, I.O.; Alanteet, A.A.; Alotaibi, H.N.; Mahran, Y.F. IL-17/Notch1/STAT3 Pathway Contributes to 5-Fluorouracil-Induced Intestinal Mucositis in Rats: Amelioration by Thymol Treatment. Pharmaceuticals 2022, 15, 1412. [Google Scholar] [CrossRef]
- Ibrahim, D.; Abdelfattah-Hassan, A.; Badawi, M.; Ismail, T.A.; Bendary, M.M.; Abdelaziz, A.M.; Mosbah, R.A.; Mohamed, D.I.; Arisha, A.H.; El-Hamid, M.I.A. Thymol Nanoemulsion Promoted Broiler Chicken’s Growth, Gastrointestinal Barrier and Bacterial Community and Conferred Protection against Salmonella Typhimurium. Sci. Rep. 2021, 11, 7742. [Google Scholar] [CrossRef] [PubMed]
- Ye, X.; Ling, T.; Xue, Y.; Xu, C.; Zhou, W.; Hu, L.; Chen, J.; Shi, Z. Thymol Mitigates Cadmium Stress by Regulating Glutathione Levels and Reactive Oxygen Species Homeostasis in Tobacco Seedlings. Molecules 2016, 21, 1339. [Google Scholar] [CrossRef]
- Omonijo, F.A.; Liu, S.; Hui, Q.; Zhang, H.; Lahaye, L.; Bodin, J.-C.; Gong, J.; Nyachoti, M.; Yang, C. Thymol Improves Barrier Function and Attenuates Inflammatory Responses in Porcine Intestinal Epithelial Cells during Lipopolysaccharide (LPS)-Induced Inflammation. J. Agric. Food Chem. 2019, 67, 615–624. [Google Scholar] [CrossRef]
- Dou, X.; Yan, D.; Liu, S.; Gao, L.; Shan, A. Thymol Alleviates LPS-Induced Liver Inflammation and Apoptosis by Inhibiting NLRP3 Inflammasome Activation and the AMPK-mTOR-Autophagy Pathway. Nutrients 2022, 14, 2809. [Google Scholar] [CrossRef]
- Jafari, A.; Rasmi, Y.; Hajaghazadeh, M.; Karimipour, M. Hepatoprotective Effect of Thymol against Subchronic Toxicity of Titanium Dioxide Nanoparticles: Biochemical and Histological Evidences. Environ. Toxicol. Pharmacol. 2018, 58, 29–36. [Google Scholar] [CrossRef]
- Rayasam, G.V.; Tulasi, V.K.; Sodhi, R.; Davis, J.A.; Ray, A. Glycogen Synthase Kinase 3: More than a Namesake. Br. J. Pharmacol. 2009, 156, 885–898. [Google Scholar] [CrossRef] [PubMed]
- Jacobs, K.M.; Bhave, S.R.; Ferraro, D.J.; Jaboin, J.J.; Hallahan, D.E.; Thotala, D. GSK-3β: A Bifunctional Role in Cell Death Pathways. Int. J. Cell Biol. 2012, 2012, 930710. [Google Scholar] [CrossRef]
- Abu-Elfotuh, K.; Abdel-Sattar, S.A.; Abbas, A.N.; Mahran, Y.F.; Alshanwani, A.R.; Hamdan, A.M.E.; Atwa, A.M.; Reda, E.; Ahmed, Y.M.; Zaghlool, S.S.; et al. The Protective Effect of Thymoquinone or/and Thymol against Monosodium Glutamate-Induced Attention-Deficit/Hyperactivity Disorder (ADHD)-like Behavior in Rats: Modulation of Nrf2/HO-1, TLR4/NF-κB/NLRP3/Caspase-1 and Wnt/β-Catenin Signaling Pathways in Rat Model. Biomed. Pharmacother. 2022, 155, 113799. [Google Scholar] [CrossRef]
- Wang, Q.; Qi, G.; Zhou, H.; Cheng, F.; Yang, X.; Liu, X.; Wang, R. Protective Effect of Thymol on Glycerol-Induced Acute Kidney Injury. Ren. Fail. 2023, 45, 2227728. [Google Scholar] [CrossRef]
- Yao, L.; Swartz, P.; Hamilton, P.T.; Clark, A.C. Remodeling Hydrogen Bond Interactions Results in Relaxed Specificity of Caspase-3. Biosci. Rep. 2021, 41, BSR20203495. [Google Scholar] [CrossRef]
- Martinez, A.; Castro, A.; Dorronsoro, I.; Alonso, M. Glycogen Synthase Kinase 3 (GSK-3) Inhibitors as New Promising Drugs for Diabetes, Neurodegeneration, Cancer, and Inflammation. Med. Res. Rev. 2002, 22, 373–384. [Google Scholar] [CrossRef] [PubMed]
- Mohammad, M.K.; Al-Masri, I.M.; Taha, M.O.; Al-Ghussein, M.A.S.; Alkhatib, H.S.; Najjar, S.; Bustanji, Y. Olanzapine Inhibits Glycogen Synthase Kinase-3β: An Investigation by Docking Simulation and Experimental Validation. Eur. J. Pharmacol. 2008, 584, 185–191. [Google Scholar] [CrossRef]
- Taha, M.O.; Bustanji, Y.; Al-Ghussein, M.A.S.; Mohammad, M.; Zalloum, H.; Al-Masri, I.M.; Atallah, N. Pharmacophore Modeling, Quantitative Structure–Activity Relationship Analysis, and in Silico Screening Reveal Potent Glycogen Synthase Kinase-3β Inhibitory Activities for Cimetidine, Hydroxychloroquine, and Gemifloxacin. J. Med. Chem. 2008, 51, 2062–2077. [Google Scholar] [CrossRef] [PubMed]
- Alonso, M.; Martinez, A. GSK-3 Inhibitors: Discoveries and Developments. Curr. Med. Chem. 2004, 11, 755–763. [Google Scholar] [CrossRef]
- Borek: Antioxidants and Radiation Therapy—Google Scholar. Available online: https://scholar.google.com/scholar_lookup?title=Antioxidants%20and%20radiation%20therapy&publication_year=2004&author=C.%20Borek (accessed on 6 December 2023).
- Minami, M.; Matsumoto, S.; Horiuchi, H. Cardiovascular Side-Effects of Modern Cancer Therapy. Circ. J. 2010, 74, 1779–1786. [Google Scholar] [CrossRef] [PubMed]
- Abou-Zeid, N.R.A. Ameliorative Effect of Vitamin C against 5-Fuorouracil-Induced Hepatotoxicity in Mice: A Light and Electron Microscope Study. J. Basic Appl. Zool. 2014, 67, 109–118. [Google Scholar] [CrossRef]
- Yaegashi, A.; Yoshida, K.; Suzuki, N.; Shimada, I.; Tani, Y.; Saijo, Y.; Toyama, A. A Case of Severe Hepatotoxicity Induced by Cisplatin and 5-Fluorouracil. Int. Cancer Conf. J. 2019, 9, 24–27. [Google Scholar] [CrossRef] [PubMed]
- Ali, N. Protective Effect of Captopril against 5-Fluorouracil-Induced Hepato and Nephrotoxicity in Male Albino Rats. J. Am. Sci. 2012, 8, 680–685. [Google Scholar]
- Zeng, D.; Wang, Y.; Chen, Y.; Li, D.; Li, G.; Xiao, H.; Hou, J.; Wang, Z.; Hu, L.; Wang, L.; et al. Angelica Polysaccharide Antagonizes 5-FU-Induced Oxidative Stress Injury to Reduce Apoptosis in the Liver Through Nrf2 Pathway. Front. Oncol. 2021, 11, 720620. [Google Scholar] [CrossRef] [PubMed]
- Liu, Y.; Wen, P.-H.; Zhang, X.-X.; Dai, Y.; He, Q. Breviscapine Ameliorates CCl4-induced Liver Injury in Mice through Inhibiting Inflammatory Apoptotic Response and ROS Generation. Int. J. Mol. Med. 2018, 42, 755–768. [Google Scholar] [CrossRef]
- Choudhury, S.; Ghosh, S.; Mukherjee, S.; Gupta, P.; Bhattacharya, S.; Adhikary, A.; Chattopadhyay, S. Pomegranate Protects against Arsenic-Induced P53-Dependent ROS-Mediated Inflammation and Apoptosis in Liver Cells. J. Nutr. Biochem. 2016, 38, 25–40. [Google Scholar] [CrossRef]
- Mohammadi, A.; Mahjoub, S.; Ghafarzadegan, K.; Nouri, H.R. Immunomodulatory Effects of Thymol through Modulation of Redox Status and Trace Element Content in Experimental Model of Asthma. Biomed. Pharmacother. 2018, 105, 856–861. [Google Scholar] [CrossRef]
- Zhao, J.-A.; Peng, L.; Geng, C.-Z.; Liu, Y.-P.; Wang, X.; Yang, H.-C.; Wang, S.-J. Preventive Effect of Hydrazinocurcumin on Carcinogenesis of Diethylnitrosamine-Induced Hepatocarcinoma in Male SD Rats. Asian Pac. J. Cancer Prev. 2014, 15, 2115–2121. [Google Scholar] [CrossRef][Green Version]
- Stockham, S.L.; Scott, M.A. Fundamentals of Veterinary Clinical Pathology; John Wiley & Sons: Hoboken, NJ, USA, 2013; ISBN 978-1-118-68607-2. [Google Scholar]
- Sugarbaker, P.H.; Gianola, F.J.; Speyer, J.C.; Wesley, R.; Barofsky, I.; Meyers, C.E. Prospective, Randomized Trial of Intravenous versus Intraperitoneal 5-Fluorouracil in Patients with Advanced Primary Colon or Rectal Cancer. Surgery 1985, 98, 414–422. [Google Scholar]
- Ray, S.; Roy, K.; Sengupta, C. In Vitro Evaluation of Protective Effects of Ascorbic Acid and Water Extract of Spirulina Plantesis (Blue Green Algae) on 5-Fluorouracil-Induced Lipid Peroxidation. Acta Pol. Pharm. 2007, 64, 335–344. [Google Scholar] [PubMed]
- Rashid, S.; Ali, N.; Nafees, S.; Hasan, S.K.; Sultana, S. Mitigation of 5-Fluorouracil Induced Renal Toxicity by Chrysin via Targeting Oxidative Stress and Apoptosis in Wistar Rats. Food Chem. Toxicol. 2014, 66, 185–193. [Google Scholar] [CrossRef]
- Llana-Ruiz-Cabello, M.; Gutiérrez-Praena, D.; Puerto, M.; Pichardo, S.; Jos, Á.; Cameán, A.M. In Vitro Pro-Oxidant/Antioxidant Role of Carvacrol, Thymol and Their Mixture in the Intestinal Caco-2 Cell Line. Toxicol. In Vitro 2015, 29, 647–656. [Google Scholar] [CrossRef]
- Elgaml, S.A.; Hashish, E. Clinicopathological Studies of Thymus vulgaris Extract against Cadmium Induced Hepatotoxicity in Albino Rats. Glob. J. Pharmacol. 2014, 8, 501–509. [Google Scholar]
- Chun, K.-S.; Joo, S.H. Modulation of Reactive Oxygen Species to Overcome 5-Fluorouracil Resistance. Biomol. Ther. 2022, 30, 479–489. [Google Scholar] [CrossRef] [PubMed]
- Richter, C.; Gogvadze, V.; Laffranchi, R.; Schlapbach, R.; Schweizer, M.; Suter, M.; Walter, P.; Yaffee, M. Oxidants in Mitochondria: From Physiology to Diseases. Biochim. Biophys. Acta BBA Mol. Basis Dis. 1995, 1271, 67–74. [Google Scholar] [CrossRef] [PubMed]
- Alfaradhi, M.Z.; Fernandez-Twinn, D.S.; Martin-Gronert, M.S.; Musial, B.; Fowden, A.; Ozanne, S.E. Oxidative Stress and Altered Lipid Homeostasis in the Programming of Offspring Fatty Liver by Maternal Obesity. Am. J. Physiol. Regul. Integr. Comp. Physiol. 2014, 307, R26–R34. [Google Scholar] [CrossRef] [PubMed]
- Barzilai, A.; Yamamoto, K.-I. DNA Damage Responses to Oxidative Stress. DNA Repair 2004, 3, 1109–1115. [Google Scholar] [CrossRef] [PubMed]
- El-Sayyad, H.I.; Ismail, M.F.; Shalaby, F.M.; Abou-El-Magd, R.F.; Gaur, R.L.; Fernando, A.; Raj, M.H.G.; Ouhtit, A. Histopathological Effects of Cisplatin, Doxorubicin and 5-Flurouracil (5-FU) on the Liver of Male Albino Rats. Int. J. Biol. Sci. 2009, 5, 466–473. [Google Scholar] [CrossRef]
- Rodriguez, I.; Matsuura, K.; Khatib, K.; Reed, J.C.; Nagata, S.; Vassalli, P. A Bcl-2 Transgene Expressed in Hepatocytes Protects Mice from Fulminant Liver Destruction but Not from Rapid Death Induced by Anti-Fas Antibody Injection. J. Exp. Med. 1996, 183, 1031–1036. [Google Scholar] [CrossRef] [PubMed]
- Nagoor Meeran, M.F.; Jagadeesh, G.S.; Selvaraj, P. Thymol Attenuates Altered Lipid Metabolism in β-Adrenergic Agonist Induced Myocardial Infarcted Rats by Inhibiting Tachycardia, Altered Electrocardiogram, Apoptosis and Cardiac Hypertrophy. J. Funct. Foods 2015, 14, 51–62. [Google Scholar] [CrossRef]
- Bai, P.; Nagy, L.; Fodor, T.; Liaudet, L.; Pacher, P. Poly(ADP-Ribose) Polymerases as Modulators of Mitochondrial Activity. Trends Endocrinol. Metab. 2015, 26, 75–83. [Google Scholar] [CrossRef] [PubMed]
- Kraus, W.L.; Hottiger, M.O. PARP-1 and Gene Regulation: Progress and Puzzles. Mol. Asp. Med. 2013, 34, 1109–1123. [Google Scholar] [CrossRef] [PubMed]
- Mukhopadhyay, P.; Horváth, B.; Rajesh, M.; Varga, Z.V.; Gariani, K.; Ryu, D.; Cao, Z.; Holovac, E.; Park, O.; Zhou, Z.; et al. PARP Inhibition Protects against Alcoholic and Non-Alcoholic Steatohepatitis. J. Hepatol. 2017, 66, 589–600. [Google Scholar] [CrossRef]
- Gobeil, S.; Boucher, C.C.; Nadeau, D.; Poirier, G.G. Characterization of the Necrotic Cleavage of Poly(ADP-Ribose) Polymerase (PARP-1): Implication of Lysosomal Proteases. Cell Death Differ. 2001, 8, 588–594. [Google Scholar] [CrossRef] [PubMed]
- Curtin, N.J.; Szabo, C. Therapeutic Applications of PARP Inhibitors: Anticancer Therapy and Beyond. Mol. Asp. Med. 2013, 34, 1217–1256. [Google Scholar] [CrossRef]
- Erzurumlu, Y.; Dogan, H.; Çatakli, D. Thymol Reduces the Lipopolysaccharide-Induced Acute Kidney Inflammation by Modulating Lysosomal Stress. J. Res. Pharm. 2023, 27, 375–385. [Google Scholar] [CrossRef]
- Sampey, B.P.; Stewart, B.J.; Petersen, D.R. Ethanol-Induced Modulation of Hepatocellular Extracellular Signal-Regulated Kinase-1/2 Activity via 4-Hydroxynonenal. J. Biol. Chem. 2007, 282, 1925–1937. [Google Scholar] [CrossRef]
- Agoglia, A.E.; Sharko, A.C.; Psilos, K.E.; Holstein, S.E.; Reid, G.T.; Hodge, C.W. Alcohol Alters the Activation of ERK1/2, a Functional Regulator of Binge Alcohol Drinking in Adult C57BL/6J Mice. Alcohol. Clin. Exp. Res. 2015, 39, 463–475. [Google Scholar] [CrossRef]
- Xia, Z.; Dickens, M.; Raingeaud, J.; Davis, R.J.; Greenberg, M.E. Opposing Effects of ERK and JNK-P38 MAP Kinases on Apoptosis. Science 1995, 270, 1326–1331. [Google Scholar] [CrossRef]
- Kummer, J.L.; Rao, P.K.; Heidenreich, K.A. Apoptosis Induced by Withdrawal of Trophic Factors Is Mediated by P38 Mitogen-Activated Protein Kinase. J. Biol. Chem. 1997, 272, 20490–20494. [Google Scholar] [CrossRef] [PubMed]
- Marsh, H.N.; Scholz, W.K.; Lamballe, F.; Klein, R.; Nanduri, V.; Barbacid, M.; Palfrey, H.C. Signal Transduction Events Mediated by the BDNF Receptor Gp 145trkB in Primary Hippocampal Pyramidal Cell Culture. J. Neurosci. 1993, 13, 4281–4292. [Google Scholar] [CrossRef] [PubMed]
- Mattson, M.P.; Scheff, S.W. Endogenous Neuroprotection Factors and Traumatic Brain Injury: Mechanisms of Action and Implications for Therapy. J. Neurotrauma 1994, 11, 3–33. [Google Scholar] [CrossRef] [PubMed]
- Wang, Z.; Yao, T.; Song, Z. Involvement and Mechanism of DGAT2 Upregulation in the Pathogenesis of Alcoholic Fatty Liver Disease. J. Lipid Res. 2010, 51, 3158–3165. [Google Scholar] [CrossRef]
- He, Y.; Zhou, A.; Jiang, W. Toll-like Receptor 4-Mediated Signaling Participates in Apoptosis of Hippocampal Neurons. Neural Regen. Res. 2013, 8, 2744–2753. [Google Scholar] [CrossRef]
- Yang, W.; Liu, Y.; Xu, Q.-Q.; Xian, Y.-F.; Lin, Z.-X. Sulforaphene Ameliorates Neuroinflammation and Hyperphosphorylated Tau Protein via Regulating the PI3K/Akt/GSK-3β Pathway in Experimental Models of Alzheimer’s Disease. Oxid. Med. Cell. Longev. 2020, 2020, 4754195. [Google Scholar] [CrossRef]
- Ivánovics, G.; Horváth, S. Raphanin, an Antibacterial Principle of the Radish (Raphanus sativus). Nature 1947, 160, 297–298. [Google Scholar] [CrossRef]
- Li, C.S.; Van Nguyen, T.; Chai, O.H.; Park, B.H.; Lee, J.-S.; Kim, S.M. 3,3′-Diindolylmethane Augments 5-Fluorouracil-InducedGrowth Suppression in Gastric Cancer Cells through Suppression of the Akt/GSK-3β and WNT/Beta-Catenin. J. Oncol. 2023, 2023, 8268955. [Google Scholar] [CrossRef]
- Fresno Vara, J.A.; Casado, E.; de Castro, J.; Cejas, P.; Belda-Iniesta, C.; González-Barón, M. PI3K/Akt Signalling Pathway and Cancer. Cancer Treat. Rev. 2004, 30, 193–204. [Google Scholar] [CrossRef]
- Han, Z.; Hong, L.; Han, Y.; Wu, K.; Han, S.; Shen, H.; Li, C.; Yao, L.; Qiao, T.; Fan, D. Phospho Akt Mediates Multidrug Resistance of Gastric Cancer Cells through Regulation of P-Gp, Bcl-2 and Bax. J. Exp. Clin. Cancer Res. 2007, 26, 261–268. [Google Scholar]
- Sun, Y.; Jiang, Y.; Huang, J.; Chen, H.; Liao, Y.; Yang, Z. CISD2 Enhances the Chemosensitivity of Gastric Cancer through the Enhancement of 5-FU-Induced Apoptosis and the Inhibition of Autophagy by AKT/mTOR Pathway. Cancer Med. 2017, 6, 2331–2346. [Google Scholar] [CrossRef]
- Jope, R.S.; Johnson, G.V.W. The Glamour and Gloom of Glycogen Synthase Kinase-3. Trends Biochem. Sci. 2004, 29, 95–102. [Google Scholar] [CrossRef]
- Eldar-Finkelman, H. Glycogen Synthase Kinase 3: An Emerging Therapeutic Target. Trends Mol. Med. 2002, 8, 126–132. [Google Scholar] [CrossRef] [PubMed]
- Shinohara, M.; Ybanez, M.D.; Win, S.; Than, T.A.; Jain, S.; Gaarde, W.A.; Han, D.; Kaplowitz, N. Silencing Glycogen Synthase Kinase-3β Inhibits Acetaminophen Hepatotoxicity and Attenuates JNK Activation and Loss of Glutamate Cysteine Ligase and Myeloid Cell Leukemia Sequence 1. J. Biol. Chem. 2010, 285, 8244–8255. [Google Scholar] [CrossRef]
- Abalo, R.; Uranga, J.A.; Pérez-García, I.; de Andrés, R.; Girón, R.; Vera, G.; López-Pérez, A.E.; Martín-Fontelles, M.I. May Cannabinoids Prevent the Development of Chemotherapy-Induced Diarrhea and Intestinal Mucositis? Experimental Study in the Rat. Neurogastroenterol. Motil. 2017, 29, e12952. [Google Scholar] [CrossRef]
- Javed, H.; Azimullah, S.; Meeran, M.F.N.; Ansari, S.A.; Ojha, S. Neuroprotective Effects of Thymol, a Dietary Monoterpene Against Dopaminergic Neurodegeneration in Rotenone-Induced Rat Model of Parkinson’s Disease. Int. J. Mol. Sci. 2019, 20, 1538. [Google Scholar] [CrossRef] [PubMed]
- Badr, A.M.; Bassiouni, Y.A.; Alqarni, I. Implication of Sphingosine-1-P/Sphingosine Kinase Pathway in Non-Alcoholic Fatty Liver Disease. Adv. Res. Gastroenterol. Hepatol. 2019, 13, 555855. [Google Scholar] [CrossRef]
- Bancroft, J.; Stevens, M.A.; Bancroft, J.D. Theory and Practice of Histological Techniques; Elsevier: Amsterdam, The Netherlands, 1996. [Google Scholar]
- Ellman, G.L.; Lysko, H. Disulfide and Sulfhydryl Compounds in TCA Extracts of Human Blood and Plasma. J. Lab. Clin. Med. 1967, 70, 518–527. [Google Scholar]
- Ohkawa, H.; Ohishi, N.; Yagi, K. Assay for Lipid Peroxides in Animal Tissues by Thiobarbituric Acid Reaction. Anal. Biochem. 1979, 95, 351–358. [Google Scholar] [CrossRef] [PubMed]
- Nishikimi, M.; Rao, N.A.; Yagi, K. The Occurrence of Superoxide Anion in the Reaction of Reduced Phenazine Methosulfate and Molecular Oxygen. Biochem. Biophys. Res. Commun. 1972, 46, 849–854. [Google Scholar] [CrossRef]
- Badr, A.M.; Al-Kharashi, L.A.; Attia, H.; Alshehri, S.; Alajami, H.N.; Ali, R.A.; Mahran, Y.F. TLR4/Inflammasomes Cross-Talk and Pyroptosis Contribute to N-Acetyl Cysteine and Chlorogenic Acid Protection against Cisplatin-Induced Nephrotoxicity. Pharmaceuticals 2023, 16, 337. [Google Scholar] [CrossRef] [PubMed]







| Groups | Liver Enzymes | Oxidative Stress Markers | |||||
|---|---|---|---|---|---|---|---|
| AST (U/L) | ALT (U/L) | ALP (U/L) | LDH (U/L) | Glutathione (µg/mg Protein) | TBARSs (nmol/mg Protein) | SOD (U/mg Protein) | |
| Control | 92.49 ± 2.02 | 47.58 ± 3.91 | 15.89 ± 1.32 | 166.80 ± 1.92 | 1.70 ± 0.03 | 0.37 ± 0.02 | 3.93 ± 0.12 |
| 5-FU | 131.20 ± 4.39 x | 89.21 ± 1.16 x | 37.80 ± 1.66 x | 330.60 ± 11.58 x | 0.63 ± 0.04 x | 2.60 ± 0.07 x | 0.95 ± 0.049 x |
| 5-FU + Thymol (60 mg/kg) | 112.00 ± 6.88 x,y | 48.25 ± 2.73 y | 15.03 ± 0.85 y | 288.00 ± 11.58 x,y | 1.11 ± 0.04 x,y | 1.68 ± 0.03 x,y | 2.35 ± 0.08 x,y |
| 5-FU + Thymol (120 mg/kg) | 84.58 ± 2.29 y,z | 31.60 ± 4.30 x,y,z | 11.35 ± 0.59 y | 182.00 ± 2.55 y,z | 1.55 ± 0.07 y,z | 0.67 ± 0.05 x,y,z | 3.52 ± 0.08 x,y,z |
| Protein | pdb ID | Binding Energy Kcal/mol | RMSD (Å) | Amino Acid Residues of Interaction | Types of Bonds |
|---|---|---|---|---|---|
| Caspase-3 | 3kjf | −4.16 | 1.48 | PHE 250 ASN 208 PHE 250 | H-donor pi-H pi-H |
| Gsk-3β | 1Q5K | −5.28 | 1.08 | VAL 135 | H-donor |
| Bax | 4S0P | −4.6 | 1.49 | - | - |
| Description | |
|---|---|
| Control | Normal rats received the vehicle (0.5% DMSO in normal saline) once daily by oral gavage. |
| 5-FU | Rats serving as the positive control group were given the vehicle orally (0.5% DMSO in normal saline) once daily and two doses of 5-FU (150 mg/kg, intraperitoneally (ip)) on days 6 and 7 to induce hepatic toxicity [15,77]. |
| 5-FU + Thymol 60 | Rats were given thymol daily (60 mg/kg in 0.5% DMSO in normal saline, orally) and 5-FU (150 mg/kg, ip) on days 6 and 7 [15,78]. |
| 5-FU + Thymol 120 | Rats were given thymol daily (120 mg/kg in 0.5% DMSO in normal saline, orally) and 5-FU (150 mg/kg, ip) on days 6 and 7 [15,24] |
Disclaimer/Publisher’s Note: The statements, opinions and data contained in all publications are solely those of the individual author(s) and contributor(s) and not of MDPI and/or the editor(s). MDPI and/or the editor(s) disclaim responsibility for any injury to people or property resulting from any ideas, methods, instructions or products referred to in the content. |
© 2024 by the authors. Licensee MDPI, Basel, Switzerland. This article is an open access article distributed under the terms and conditions of the Creative Commons Attribution (CC BY) license (https://creativecommons.org/licenses/by/4.0/).
Share and Cite
Mahran, Y.F.; Badr, A.M.; Al-Kharashi, L.A.; Alajami, H.N.; Aldamry, N.T.; Bayoumy, N.M.; Elmongy, E.I.; Soliman, S. Thymol Protects against 5-Fluorouracil-Induced Hepatotoxicity via the Regulation of the Akt/GSK-3β Pathway in In Vivo and In Silico Experimental Models. Pharmaceuticals 2024, 17, 1094. https://doi.org/10.3390/ph17081094
Mahran YF, Badr AM, Al-Kharashi LA, Alajami HN, Aldamry NT, Bayoumy NM, Elmongy EI, Soliman S. Thymol Protects against 5-Fluorouracil-Induced Hepatotoxicity via the Regulation of the Akt/GSK-3β Pathway in In Vivo and In Silico Experimental Models. Pharmaceuticals. 2024; 17(8):1094. https://doi.org/10.3390/ph17081094
Chicago/Turabian StyleMahran, Yasmen F., Amira M. Badr, Layla A. Al-Kharashi, Hanaa N. Alajami, Nouf T. Aldamry, Nervana Moustafa Bayoumy, Elshaymaa I. Elmongy, and Sahar Soliman. 2024. "Thymol Protects against 5-Fluorouracil-Induced Hepatotoxicity via the Regulation of the Akt/GSK-3β Pathway in In Vivo and In Silico Experimental Models" Pharmaceuticals 17, no. 8: 1094. https://doi.org/10.3390/ph17081094
APA StyleMahran, Y. F., Badr, A. M., Al-Kharashi, L. A., Alajami, H. N., Aldamry, N. T., Bayoumy, N. M., Elmongy, E. I., & Soliman, S. (2024). Thymol Protects against 5-Fluorouracil-Induced Hepatotoxicity via the Regulation of the Akt/GSK-3β Pathway in In Vivo and In Silico Experimental Models. Pharmaceuticals, 17(8), 1094. https://doi.org/10.3390/ph17081094

