Eruption Disturbance in Children Receiving Bisphosphonates: Two Case Reports
Abstract
1. Introduction
2. Detailed Case Description
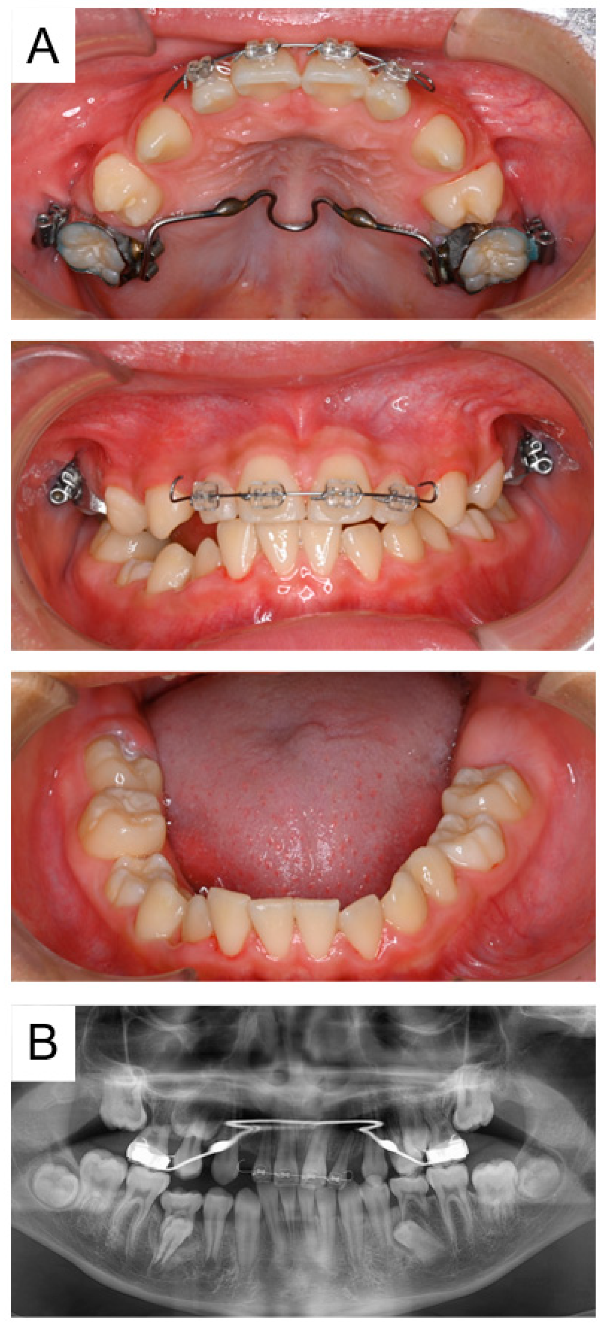
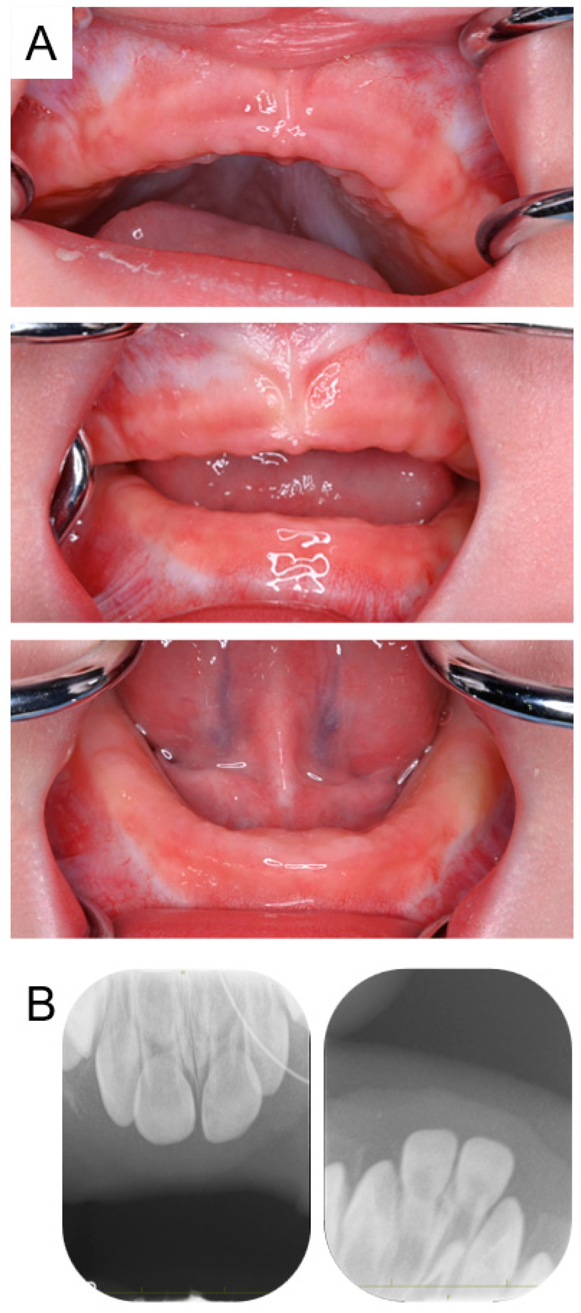
2.1. Case 1
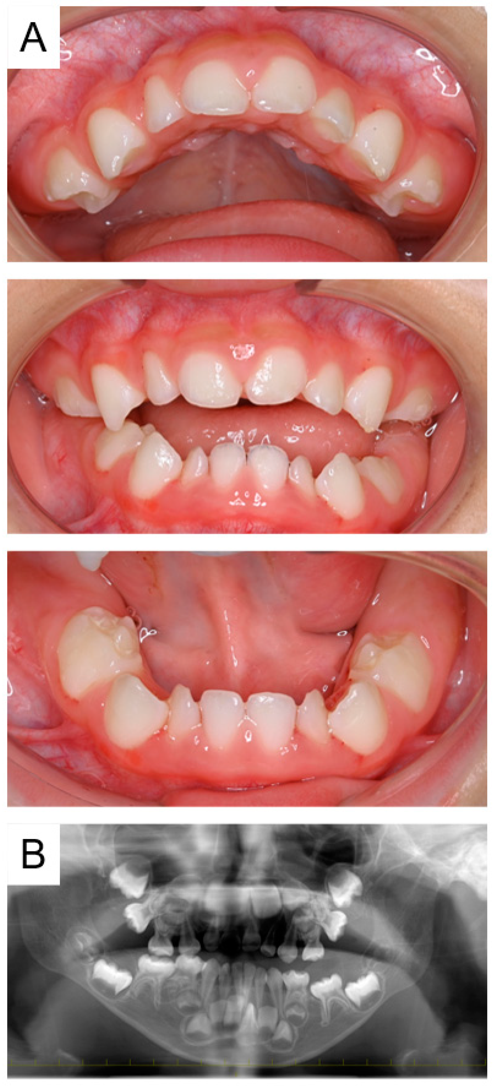
2.2. Case 2
3. Discussion
4. Conclusions
Supplementary Materials
Author Contributions
Funding
Institutional Review Board Statement
Informed Consent Statement
Data Availability Statement
Acknowledgments
Conflicts of Interest
References
- Billington, E.; Aghajafari, F.; Skulsky, E.; Kline, G.A. Bisphosphonates. BMJ 2024, 386, e076898. [Google Scholar] [CrossRef] [PubMed]
- Janovská, Z. Bisphosphonate-related osteonecrosis of the jaws. A severe side effect of bisphosphonate therapy. Acta Medica 2012, 55, 111–115. [Google Scholar] [CrossRef] [PubMed]
- Ahdi, H.S.; Wichelmann, T.A.; Pandravada, S.; Ehrenpreis, E.D. Medication-induced osteonecrosis of the jaw: A review of cases from the Food and Drug Administration Adverse Event Reporting System (FAERS). BMC Pharmacol. Toxicol. 2023, 24, 15. [Google Scholar] [CrossRef] [PubMed]
- Baroncelli, G.I.; Bertelloni, S. The use of bisphosphonates in pediatrics. Horm. Res. Paediatr. 2014, 82, 290–302. [Google Scholar] [CrossRef]
- Mitsuhata, C.; Kozai, K. Management of bisphosphonate preparation-treated children in the field of pediatric dentistry. Jpn. Dent. Sci. Rev. 2022, 58, 155–161. [Google Scholar] [CrossRef] [PubMed]
- Malmgren, B.; Thesleff, I.; Dahllöf, G.; Åström, E.; Tsilingaridis, G. Abnormalities in Tooth Formation after Early Bisphosphonate Treatment in Children with Osteogenesis Imperfecta. Calcif. Tissue Int. 2021, 109, 121–131. [Google Scholar] [CrossRef]
- Lézot, F.; Chesneau, J.; Battaglia, S.; Brion, R.; Castaneda, B.; Farges, J.C.; Heymann, D.; Rédini, F. Preclinical evidence of potential craniofacial adverse effect of zoledronic acid in pediatric patients with bone malignancies. Bone 2014, 68, 146–152. [Google Scholar] [CrossRef]
- Rossi, V.; Lee, B.; Marom, R. Osteogenesis imperfecta: Advancements in genetics and treatment. Curr. Opin. Pediatr. 2019, 31, 708–715. [Google Scholar] [CrossRef]
- Nguyen, H.T.T.; Vu, D.C.; Nguyen, D.M.; Dang, Q.D.; Tran, V.K.; Le, H.; Tong, S.M. Dentinogenesis Imperfecta and Caries in Osteogenesis Imperfecta among Vietnamese Children. Dent. J. 2021, 9, 49. [Google Scholar] [CrossRef]
- Neves-Silva, R.; Fernandes, D.T.; Fonseca, F.P.; Rebelo Pontes, H.A.; Brasileiro, B.F.; Santos-Silva, A.R.; Vargas, P.A.; Lopes, M.A. Oral manifestations of Langerhans cell histiocytosis: A case series. Spec. Care Dent. 2018, 38, 426–433. [Google Scholar] [CrossRef]
- AbdullGaffar, B.; Awadhi, F. Oral manifestations of Langerhans cell histiocytosis with unusual histomorphologic features. Ann. Diagn. Pathol. 2020, 47, 151536. [Google Scholar] [CrossRef] [PubMed]
- Shakya, R.; Koirala, B.; Dongol, A.; Maharjan, I.K.; Keshwar, S.; Jain, N.; Shrestha, A. Langerhans cell histiocytosis in a pediatric patient: A typical presentation with oral manifestations. Clin. Case Rep. 2023, 11, e7645. [Google Scholar] [CrossRef] [PubMed]
- Nordone, T.P.; Li, P. Arthrogryposis multiplex congenita in association with bilateral temporomandibular joint hypomobility: Report of a case and review of literature. J. Oral Maxillofac. Surg. 2010, 68, 1197–1204. [Google Scholar] [CrossRef]
- Stoll, C.; Alembik, Y.; Finck, S.; Janser, B. Arthrogryposis, ectodermal dysplasia and other anomalies in two sisters. Genet. Couns. 1992, 3, 35–39. [Google Scholar]
- Taqi, D.; Nematollahi, S.; Lemin, S.; Rauch, F.; Hamdy, R.; Dahan-Oliel, N. Arthrogryposis multiplex congenita: Dental and maxillofacial phenotype—A scoping review. Bone 2024, 179, 116955. [Google Scholar] [CrossRef]
- Tuffli, G.A.; Laxova, R. Brief clinical report: New, autosomal dominant form of ectodermal dysplasia. Am. J. Med. Genet. 1983, 14, 381–384. [Google Scholar] [CrossRef]
- Arita, K.; Abe, Y.; Nakano, K.; Saitoh, M.; Shimamura, K.; Osuga, N.; Shimizu, T.; Ishidori, H.; Matsumura, S.; Ozaki, M.; et al. Chronology of deciduous and permanent dentition in Japanese children II Part 1: Deciduous dentition. Jpn. J. Ped. Dent. 2019, 57, 45–53. (In Japanese) [Google Scholar]
- Rasmussen, P.; Kotsaki, A. Inherited retarded eruption in the permanent dentition. J. Clin. Pediatr. Dent. 1997, 21, 205–211. [Google Scholar]
- Suri, L.; Gagari, E.; Vastardis, H. Delayed tooth eruption: Pathogenesis, diagnosis, and treatment. A literature review. Am. J. Orthod. Dentofac. Orthop. 2004, 126, 432–445. [Google Scholar] [CrossRef]
- Standard Values for Body Size of Japanese Children in 2000. Available online: https://auxology.jp/ja-children-physique (accessed on 5 October 2024).
- Drake, M.T.; Clarke, B.L.; Khosla, S. Bisphosphonates: Mechanism of action and role in clinical practice. Mayo Clin. Proc. 2008, 83, 1032–1045. [Google Scholar] [CrossRef]
- Center, J.R.; Lyles, K.W.; Bliuc, D. Bisphosphonates and lifespan. Bone 2020, 141, 115566. [Google Scholar] [CrossRef] [PubMed]
- Yoneda, T.; Hashimoto, N.; Hiraga, T. Bisphosphonate actions on cancer. Calcif. Tissue Int. 2003, 73, 315–318. [Google Scholar] [CrossRef]
- Hua, F.; Zhang, L.; Chen, Z. Trigger osteoclast formation and activation: Molecular treatment strategy of delayed tooth eruption. Med. Hypotheses 2007, 69, 1222–1224. [Google Scholar] [CrossRef]
- Zarina, R.S.; Nik-Hussein, N.N. Dental abnormalities of a long-term survivor of a childhood hematological malignancy: Literature review and report of a case. J. Clin. Pediatr. Dent. 2005, 29, 167–174. [Google Scholar] [CrossRef]
- Hernandez, M.; Pochon, C.; Chastagner, P.; Droz, D. Long-term Adverse Effects of Acute Myeloid Leukemia Treatment on Odontogenesis in a Child. Int. J. Clin. Pediatr. Dent. 2019, 12, 243–246. [Google Scholar] [CrossRef]
- Akitomo, T.; Ogawa, M.; Kaneki, A.; Nishimura, T.; Usuda, M.; Kametani, M.; Kusaka, S.; Asao, Y.; Iwamoto, Y.; Tachikake, M.; et al. Dental Abnormalities in Pediatric Patients Receiving Chemotherapy. J. Clin. Med. 2024, 13, 2877. [Google Scholar] [CrossRef]
- Nagata, M.; Ono, N.; Ono, W. Mesenchymal Progenitor Regulation of Tooth Eruption: A View from PTHrP. J. Dent. Res. 2020, 99, 133–142. [Google Scholar] [CrossRef] [PubMed]
- Xin, Y.; Liu, Y.; Liu, D.; Li, J.; Zhang, C.; Wang, Y.; Zheng, S. New Function of RUNX2 in Regulating Osteoclast Differentiation via the AKT/NFATc1/CTSK Axis. Calcif. Tissue Int. 2020, 106, 553–566. [Google Scholar] [CrossRef] [PubMed]
- Hayashibara, T.; Komura, T.; Sobue, S.; Ooshima, T. Tooth eruption in a patient with craniometaphyseal dysplasia: Case report. J. Oral Pathol. Med. 2000, 29, 460–462. [Google Scholar] [CrossRef]
- Akitomo, T.; Asao, Y.; Iwamoto, Y.; Kusaka, S.; Usuda, M.; Kametani, M.; Ando, T.; Sakamoto, S.; Mitsuhata, C.; Kajiya, M.; et al. A Third Supernumerary Tooth Occurring in the Same Region: A Case Report. Dent. J. 2023, 11, 49. [Google Scholar] [CrossRef]
- Akitomo, T.; Kusaka, S.; Usuda, M.; Kametani, M.; Kaneki, A.; Nishimura, T.; Ogawa, M.; Mitsuhata, C.; Nomura, R. Fusion of a Tooth with a Supernumerary Tooth: A Case Report and Literature Review of 35 Cases. Children 2023, 11, 6. [Google Scholar] [CrossRef] [PubMed]
- Yamaguchi, T.; Hosomichi, K.; Shirota, T.; Miyamoto, Y.; Ono, W.; Ono, N. Primary failure of tooth eruption: Etiology and management. Jpn. Dent. Sci. Rev. 2022, 58, 258–267. [Google Scholar] [CrossRef] [PubMed]
- Wagner, D.; Rey, T.; Maniere, M.C.; Dubourg, S.; Bloch-Zupan, A.; Strub, M. Primary failure of eruption: From molecular diagnosis to therapeutic management. J. Oral Biol. Craniofac. Res. 2023, 13, 169–176. [Google Scholar] [CrossRef] [PubMed]
- Onuchic, L.; Ferraz-de-Souza, B.; Mendonca, B.B.; Correa, P.H.; Martin, R.M. Potential effects of alendronate on fibroblast growth factor 23 levels and effective control of hypercalciuria in an adult with Jansen’s metaphyseal chondrodysplasia. J. Clin. Endocrinol. Metab. 2012, 97, 1098–1103. [Google Scholar] [CrossRef]
- Akitomo, T.; Kusaka, S.; Iwamoto, Y.; Usuda, M.; Kametani, M.; Asao, Y.; Nakano, M.; Tachikake, M.; Mitsuhata, C.; Nomura, R. Five-Year Follow-Up of a Child with Non-Syndromic Oligodontia from before the Primary Dentition Stage: A Case Report. Children 2023, 10, 717. [Google Scholar] [CrossRef] [PubMed]
- Kametani, M.; Akitomo, T.; Usuda, M.; Kusaka, S.; Asao, Y.; Nakano, M.; Iwamoto, Y.; Tachikake, M.; Ogawa, M.; Kaneki, A.; et al. Evaluation of Periodontal Status and Oral Health Habits with Continual Dental Support for Young Patients with Hemophilia. Appl. Sci. 2024, 14, 1349. [Google Scholar] [CrossRef]
- Akitomo, T.; Tsuge, Y.; Mitsuhata, C.; Nomura, R. A Narrative Review of the Association between Dental Abnormalities and Chemotherapy. J. Clin. Med. 2024, 13, 4942. [Google Scholar] [CrossRef]





| Case 1 | Case 2 | |
|---|---|---|
| Age at initial visit | 1 y 8 m | 1 y 2 m |
| Diagnosis of systemic disease | Langerhans cell histiocytosis | Neurogenic arthrogryposis multiplex |
| Type of bisphosphonate | Zoledronic acid | Alendronic acid |
| Age at start of bisphosphonate treatment | 1 y 6 m | 3 m |
| Age at completion of bisphosphonate treatment | 3 y 0 m | 2 y 0 m |
| Age at current visit | 12 y 5 m | 4 y 9 m |
Disclaimer/Publisher’s Note: The statements, opinions and data contained in all publications are solely those of the individual author(s) and contributor(s) and not of MDPI and/or the editor(s). MDPI and/or the editor(s) disclaim responsibility for any injury to people or property resulting from any ideas, methods, instructions or products referred to in the content. |
© 2024 by the authors. Licensee MDPI, Basel, Switzerland. This article is an open access article distributed under the terms and conditions of the Creative Commons Attribution (CC BY) license (https://creativecommons.org/licenses/by/4.0/).
Share and Cite
Akitomo, T.; Iwamoto, Y.; Kametani, M.; Kaneki, A.; Nishimura, T.; Mitsuhata, C.; Nomura, R. Eruption Disturbance in Children Receiving Bisphosphonates: Two Case Reports. Pharmaceuticals 2024, 17, 1521. https://doi.org/10.3390/ph17111521
Akitomo T, Iwamoto Y, Kametani M, Kaneki A, Nishimura T, Mitsuhata C, Nomura R. Eruption Disturbance in Children Receiving Bisphosphonates: Two Case Reports. Pharmaceuticals. 2024; 17(11):1521. https://doi.org/10.3390/ph17111521
Chicago/Turabian StyleAkitomo, Tatsuya, Yuko Iwamoto, Mariko Kametani, Ami Kaneki, Taku Nishimura, Chieko Mitsuhata, and Ryota Nomura. 2024. "Eruption Disturbance in Children Receiving Bisphosphonates: Two Case Reports" Pharmaceuticals 17, no. 11: 1521. https://doi.org/10.3390/ph17111521
APA StyleAkitomo, T., Iwamoto, Y., Kametani, M., Kaneki, A., Nishimura, T., Mitsuhata, C., & Nomura, R. (2024). Eruption Disturbance in Children Receiving Bisphosphonates: Two Case Reports. Pharmaceuticals, 17(11), 1521. https://doi.org/10.3390/ph17111521

