[68Ga]Ga-FAPI-46 PET/CT for Staging Suspected/Confirmed Lung Cancer: Results on the Surgical Cohort Within a Monocentric Prospective Trial
Abstract
1. Introduction
2. Materials and Methods
2.1. Study Design
2.1.1. Inclusion Criteria
2.1.2. Exclusion Criteria
2.2. Aim of the Present Analyses
2.3. Radiosynthesis of [68Ga]-FAPI-46
2.4. FAPI Procedure
2.5. PET/CT Imaging Review
2.6. Histopathological and Immunohistochemical Analyses
2.7. Data Comparison and Validation
2.8. Statistical Analyses
3. Results
3.1. Agreement (%) with Histopathological-T&N-StagingAJCC 8th Edition
3.2. PET/CT Diagnostic Performance T&N, per Patient
3.3. PET/CT Diagnostic Performance T&N, per Region
3.3.1. PET/CT Visual Criteria
3.3.2. Semiquantitative PET Parameters
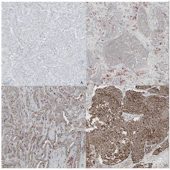
3.4. FAPI Uptake and FAP-IHC Expression
4. Discussion
4.1. Study Results
4.2. Limitations
4.3. FAPI and Lung Cancer: Current Status
4.3.1. FAPI and Lung Cancer
4.3.2. FAPI and NSCLC
4.4. FAPI and Lung Cancer: Future Perspectives
5. Conclusions
Supplementary Materials
Author Contributions
Funding
Institutional Review Board Statement
Informed Consent Statement
Data Availability Statement
Conflicts of Interest
References
- Bray, F.; Ferlay, J.; Soerjomataram, I.; Siegel, R.L.; Torre, L.A.; Jemal, A. Global Cancer Statistics 2018: GLOBOCAN Estimates of Incidence and Mortality Worldwide for 36 Cancers in 185 Countries. CA Cancer J. Clin. 2018, 68, 394–424. [Google Scholar] [CrossRef] [PubMed]
- Lung Cancer. Available online: https://www.who.int/news-room/fact-sheets/detail/lung-cancer (accessed on 21 September 2024).
- Broderick, S.R.; Patterson, G.A. Performance of Integrated Positron Emission Tomography/Computed Tomography for Mediastinal Nodal Staging in Non-Small Cell Lung Carcinoma. Thorac. Surg. Clin. 2013, 23, 193–198. [Google Scholar] [CrossRef] [PubMed]
- van Tinteren, H.; Hoekstra, O.S.; Smit, E.F.; van den Bergh, J.H.A.M.; Schreurs, A.J.M.; Stallaert, R.A.L.M.; van Velthoven, P.C.M.; Comans, E.F.I.; Diepenhorst, F.W.; Verboom, P.; et al. Effectiveness of Positron Emission Tomography in the Preoperative Assessment of Patients with Suspected Non-Small-Cell Lung Cancer: The PLUS Multicentre Randomised Trial. Lancet 2002, 359, 1388–1393. [Google Scholar] [CrossRef]
- Annema, J.T.; van Meerbeeck, J.P.; Rintoul, R.C.; Dooms, C.; Deschepper, E.; Dekkers, O.M.; De Leyn, P.; Braun, J.; Carroll, N.R.; Praet, M.; et al. Mediastinoscopy vs Endosonography for Mediastinal Nodal Staging of Lung Cancer: A Randomized Trial. JAMA 2010, 304, 2245–2252. [Google Scholar] [CrossRef]
- Vilmann, P.; Clementsen, P.F.; Colella, S.; Siemsen, M.; Leyn, P.D.; Dumonceau, J.-M.; Herth, F.J.; Larghi, A.; Vazquez-Sequeiros, E.; Hassan, C.; et al. Combined Endobronchial and Oesophageal Endosonography for the Diagnosis and Staging of Lung Cancer. Eur. Respir. J. 2015, 46, 40–60. [Google Scholar] [CrossRef]
- Mohan, A.; Madan, K.; Hadda, V.; Mittal, S.; Suri, T.; Shekh, I.; Guleria, R.; Khader, A.; Chhajed, P.; Christopher, D.J.; et al. Guidelines for Endobronchial Ultrasound-Transbronchial Needle Aspiration (EBUS-TBNA): Joint Indian Chest Society (ICS)/Indian Association for Bronchology (IAB) Recommendations. Lung India 2023, 40, 368–400. [Google Scholar] [CrossRef]
- Deboever, N.; Mitchell, K.G.; Feldman, H.A.; Cascone, T.; Sepesi, B. Current Surgical Indications for Non-Small-Cell Lung Cancer. Cancers 2022, 14, 1263. [Google Scholar] [CrossRef] [PubMed]
- Kiani, M.; Jokar, S.; Hassanzadeh, L.; Behnammanesh, H.; Bavi, O.; Beiki, D.; Assadi, M. Recent Clinical Implications of FAPI: Imaging and Therapy. Clin. Nucl. Med. 2024, 49, e538–e556. [Google Scholar] [CrossRef]
- Huang, W.; Pang, Y.; Liu, Q.; Liang, C.; An, S.; Wu, Q.; Zhang, Y.; Huang, G.; Chen, H.; Liu, J.; et al. Development and Characterization of Novel FAP-Targeted Theranostic Pairs: A Bench-to-Bedside Study. Research 2023, 6, 0282. [Google Scholar] [CrossRef]
- Sharma, P.; Singh, S.S.; Gayana, S. Fibroblast Activation Protein Inhibitor PET/CT: A Promising Molecular Imaging Tool. Clin. Nucl. Med. 2021, 46, e141–e150. [Google Scholar] [CrossRef]
- Lindner, T.; Loktev, A.; Altmann, A.; Giesel, F.; Kratochwil, C.; Debus, J.; Jäger, D.; Mier, W.; Haberkorn, U. Development of Quinoline-Based Theranostic Ligands for the Targeting of Fibroblast Activation Protein. J. Nucl. Med. 2018, 59, 1415–1422. [Google Scholar] [CrossRef] [PubMed]
- Loktev, A.; Lindner, T.; Mier, W.; Debus, J.; Altmann, A.; Jäger, D.; Giesel, F.; Kratochwil, C.; Barthe, P.; Roumestand, C.; et al. A Tumor-Imaging Method Targeting Cancer-Associated Fibroblasts. J. Nucl. Med. 2018, 59, 1423–1429. [Google Scholar] [CrossRef] [PubMed]
- Lindner, T.; Loktev, A.; Giesel, F.; Kratochwil, C.; Altmann, A.; Haberkorn, U. Targeting of Activated Fibroblasts for Imaging and Therapy. EJNMMI Radiopharm. Chem. 2019, 4, 16. [Google Scholar] [CrossRef] [PubMed]
- Loktev, A.; Lindner, T.; Burger, E.-M.; Altmann, A.; Giesel, F.; Kratochwil, C.; Debus, J.; Marmé, F.; Jäger, D.; Mier, W.; et al. Development of Fibroblast Activation Protein–Targeted Radiotracers with Improved Tumor Retention. J. Nucl. Med. 2019, 60, 1421–1429. [Google Scholar] [CrossRef]
- Ferdinandus, J.; Kessler, L.; Hirmas, N.; Trajkovic-Arsic, M.; Hamacher, R.; Umutlu, L.; Nader, M.; Zarrad, F.; Weber, M.; Fendler, W.P. Equivalent Tumor Detection for Early and Late FAPI-46 PET Acquisition. Eur. J. Nucl. Med. Mol. Imaging 2021, 48, 3221–3227. [Google Scholar] [CrossRef]
- Meyer, C.; Dahlbom, M.; Lindner, T.; Vauclin, S.; Mona, C.; Slavik, R.; Czernin, J.; Haberkorn, U.; Calais, J. Radiation Dosimetry and Biodistribution of 68Ga-FAPI-46 PET Imaging in Cancer Patients. J. Nucl. Med. 2020, 61, 1171–1177. [Google Scholar] [CrossRef]
- Röhrich, M.; Leitz, D.; Glatting, F.M.; Wefers, A.K.; Weinheimer, O.; Flechsig, P.; Kahn, N.; Mall, M.A.; Giesel, F.L.; Kratochwil, C.; et al. Fibroblast Activation Protein–Specific PET/CT Imaging in Fibrotic Interstitial Lung Diseases and Lung Cancer: A Translational Exploratory Study. J. Nucl. Med. 2022, 63, 127–133. [Google Scholar] [CrossRef] [PubMed]
- Yanagawa, N.; Sugai, M.; Shikanai, S.; Sugimoto, R.; Osakabe, M.; Uesugi, N.; Saito, H.; Maemondo, M.; Sugai, T. High Expression of Fibroblast-activating Protein Is a Prognostic Marker in Non-small Cell Lung Carcinoma. Thorac. Cancer 2022, 13, 2377–2384. [Google Scholar] [CrossRef]
- Giesel, F.L.; Kratochwil, C.; Lindner, T.; Marschalek, M.M.; Loktev, A.; Lehnert, W.; Debus, J.; Jäger, D.; Flechsig, P.; Altmann, A.; et al. 68Ga-FAPI PET/CT: Biodistribution and Preliminary Dosimetry Estimate of 2 DOTA-Containing FAP-Targeting Agents in Patients with Various Cancers. J. Nucl. Med. 2019, 60, 386–392. [Google Scholar] [CrossRef]
- Kratochwil, C.; Flechsig, P.; Lindner, T.; Abderrahim, L.; Altmann, A.; Mier, W.; Adeberg, S.; Rathke, H.; Röhrich, M.; Winter, H.; et al. 68Ga-FAPI PET/CT: Tracer Uptake in 28 Different Kinds of Cancer. J. Nucl. Med. 2019, 60, 801–805. [Google Scholar] [CrossRef]
- Chen, H.; Pang, Y.; Wu, J.; Zhao, L.; Hao, B.; Wu, J.; Wei, J.; Wu, S.; Zhao, L.; Luo, Z.; et al. Comparison of [68Ga]Ga-DOTA-FAPI-04 and [18F] FDG PET/CT for the Diagnosis of Primary and Metastatic Lesions in Patients with Various Types of Cancer. Eur. J. Nucl. Med. Mol. Imaging 2020, 47, 1820–1832. [Google Scholar] [CrossRef] [PubMed]
- Chen, H.; Zhao, L.; Ruan, D.; Pang, Y.; Hao, B.; Dai, Y.; Wu, X.; Guo, W.; Fan, C.; Wu, J.; et al. Usefulness of [68Ga]Ga-DOTA-FAPI-04 PET/CT in Patients Presenting with Inconclusive [18F]FDG PET/CT Findings. Eur. J. Nucl. Med. Mol. Imaging 2021, 48, 73–86. [Google Scholar] [CrossRef] [PubMed]
- Demmert, T.T.; Pomykala, K.L.; Lanzafame, H.; Pabst, K.M.; Lueckerath, K.; Siveke, J.; Umutlu, L.; Hautzel, H.; Hamacher, R.; Herrmann, K.; et al. Oncologic Staging with 68Ga-FAPI PET/CT Demonstrates a Lower Rate of Nonspecific Lymph Node Findings Than 18 F-FDG PET/CT. J. Nucl. Med. 2023, 64, 1906–1909. [Google Scholar] [CrossRef]
- Watanabe, M.; Fendler, W.P.; Grafe, H.; Hirmas, N.; Hamacher, R.; Lanzafame, H.; Pabst, K.M.; Hautzel, H.; Aigner, C.; Kasper, S.; et al. Prognostic Implications of 68Ga-FAPI-46 PET/CT–Derived Parameters on Overall Survival in Various Types of Solid Tumors. J. Nucl. Med. 2024, 65, 1027–1034. [Google Scholar] [CrossRef]
- Wu, G.; Wang, D.; Zhang, W.; Jia, Z.; Li, J.; Zhang, L. Head-to-Head Comparison of [68Ga]Ga-FAPI PET and [18F]FDG PET in the Detection of Bone and Lymph Node Metastasis in Various Cancers: A Systematic Review and Meta-Analysis. Eur. J. Radiol. 2024, 171, 111302. [Google Scholar] [CrossRef]
- Postmus, P.E.; Kerr, K.M.; Oudkerk, M.; Senan, S.; Waller, D.A.; Vansteenkiste, J.; Escriu, C.; Peters, S. Early and Locally Advanced Non-Small-Cell Lung Cancer (NSCLC): ESMO Clinical Practice Guidelines for Diagnosis, Treatment and Follow-Up†. Ann. Oncol. 2017, 28, iv1–iv21. [Google Scholar] [CrossRef]
- Linee Guida Neoplasie del Polmone. Available online: https://www.aiom.it/linee-guida-aiom-neoplasie-del-polmone-2019/ (accessed on 21 September 2024).
- Schneider, B.J.; Ismaila, N.; Altorki, N. Lung Cancer Surveillance After Definitive Curative-Intent Therapy: ASCO Guideline Summary. JCO Oncol. Pract. 2020, 16, 83–86. [Google Scholar] [CrossRef] [PubMed]
- Brusa, I.; Emiliani, S.; Cabitza, V.; Malizia, C.; Zanoni, L.; Fortunati, E.; Fanti, S.; Lodi, F. Automated Production of [68Ga]FAPI-46: Evaluation of Process Performance Over 3 Years of Clinical Use. In Proceedings of the 10th GICR National Congress, Brescia, Italy, 12–14 April 2024. [Google Scholar]
- Detterbeck, F.C.; Boffa, D.J.; Kim, A.W.; Tanoue, L.T. The Eighth Edition Lung Cancer Stage Classification. Chest 2017, 151, 193–203. [Google Scholar] [CrossRef]
- Goldstraw, P.; Chansky, K.; Crowley, J.; Rami-Porta, R.; Asamura, H.; Eberhardt, W.E.E.; Nicholson, A.G.; Groome, P.; Mitchell, A.; Bolejack, V.; et al. The IASLC Lung Cancer Staging Project: Proposals for Revision of the TNM Stage Groupings in the Forthcoming (Eighth) Edition of the TNM Classification for Lung Cancer. J. Thorac. Oncol. 2016, 11, 39–51. [Google Scholar] [CrossRef]
- Rami-Porta, R.; Bolejack, V.; Crowley, J.; Ball, D.; Kim, J.; Lyons, G.; Rice, T.; Suzuki, K.; Thomas, C.F.; Travis, W.D.; et al. The IASLC Lung Cancer Staging Project: Proposals for the Revisions of the T Descriptors in the Forthcoming Eighth Edition of the TNM Classification for Lung Cancer. J. Thorac. Oncol. 2015, 10, 990–1003. [Google Scholar] [CrossRef]
- Chansky, K.; Detterbeck, F.C.; Nicholson, A.G.; Rusch, V.W.; Vallières, E.; Groome, P.; Kennedy, C.; Krasnik, M.; Peake, M.; Shemanski, L.; et al. The IASLC Lung Cancer Staging Project: External Validation of the Revision of the TNM Stage Groupings in the Eighth Edition of the TNM Classification of Lung Cancer. J. Thorac. Oncol. 2017, 12, 1109–1121. [Google Scholar] [CrossRef] [PubMed]
- REDCap. Available online: https://projectredcap.org/ (accessed on 22 September 2024).
- R: The R Project for Statistical Computing. Available online: https://www.r-project.org/ (accessed on 22 September 2024).
- Röhrich, M.; Daum, J.; Gutjahr, E.; Spektor, A.-M.; Glatting, F.M.; Sahin, Y.A.; Buchholz, H.G.; Hoppner, J.; Schroeter, C.; Mavriopoulou, E.; et al. Diagnostic Potential of Supplemental Static and Dynamic 68Ga-FAPI-46 PET for Primary 18 F-FDG–Negative Pulmonary Lesions. J. Nucl. Med. 2024, 65, 872–879. [Google Scholar] [CrossRef]
- Takamochi, K.; Yoshida, J.; Murakami, K.; Niho, S.; Ishii, G.; Nishimura, M.; Nishiwaki, Y.; Suzuki, K.; Nagai, K. Pitfalls in Lymph Node Staging with Positron Emission Tomography in Non-Small Cell Lung Cancer Patients. Lung Cancer 2005, 47, 235–242. [Google Scholar] [CrossRef] [PubMed]
- Li, C.; Chen, Q.; Tian, Y.; Chen, J.; Xu, K.; Xiao, Z.; Zhong, J.; Wu, J.; Wen, B.; He, Y. 68Ga-FAPI-04 PET/CT in Non–Small Cell Lung Cancer: Accurate Evaluation of Lymph Node Metastasis and Correlation with Fibroblast Activation Protein Expression. J. Nucl. Med. 2024, 65, 527–532. [Google Scholar] [CrossRef]
- Zhou, X.; Wang, S.; Xu, X.; Meng, X.; Zhang, H.; Zhang, A.; Song, Y.; Zhu, H.; Yang, Z.; Li, N. Higher Accuracy of [68 Ga]Ga-DOTA-FAPI-04 PET/CT Comparing with 2-[18F]FDG PET/CT in Clinical Staging of NSCLC. Eur. J. Nucl. Med. Mol. Imaging 2022, 49, 2983–2993. [Google Scholar] [CrossRef] [PubMed]
- Cuzzani, G.; Fortunati, E.; Zanoni, L.; Nanni, C.; Antonacci, F.; Giunchi, F.; Bandelli, G.P.; Brusa, I.; Solli, P.; Fanti, S. Case Report: Pulmonary Actinomyces Infection Mimics Lung Cancer on [68Ga]Ga-FAPI PET/CT. J. Nucl. Med. 2024, 65, 1161. [Google Scholar] [CrossRef]
- Erol Fenercioğlu, Ö.; Beyhan, E.; Samancı, N.Ş.; Çermik, T.F.; Ergül, N. Pneumonia with Intense 68Ga-FAPI Uptake Mimicking Metastasis on 68Ga-FAPI PET/CT in a Patient with Rectal Cancer. Mirt 2023, 32, 237–238. [Google Scholar] [CrossRef]
- Xie, Y.; Tang, W.; Ma, J.; Wang, Y.; Chen, Y. Elevated 68Ga-FAPI Activity in Klebsiella Pneumoniae Invasion Syndrome. Clin. Nucl. Med. 2024, 49, 89–90. [Google Scholar] [CrossRef]
- Watabe, T.; David, I.R.; Kimura, T.; Hiroshima, T.; Tatsumi, M.; Naka, S.; Kamiya, T.; Fukui, E.; Kanou, T.; Ose, N.; et al. Epithelioid Granuloma Mimicking Lung Cancer Showed Intense Uptake on [18F]FAPI-74 PET. Eur. J. Nucl. Med. Mol. Imaging 2024, 51, 930–931. [Google Scholar] [CrossRef]
- Jiang, C.-Z.; Ye, H. F-FAPI PET/CT Imaging in a Patient with Multisystemic Tuberculosis. Int. J. Infect. Dis. 2023, 137, 71–72. [Google Scholar] [CrossRef]
- Zheng, Z.; Hu, P.; Lin, Y.; Shi, H. 68Ga-FAPI and 18F-FDG PET Images in a Patient with Tuberculosis Mimicking Malignant Tumor on CT. Rev. Española De Med. Nucl. E Imagen Mol. Engl. Ed. 2024, 43, 124–127. [Google Scholar] [CrossRef] [PubMed]
- Liu, W.; Gong, W.; Yang, X.; Xu, T.; Chen, Y. Increased FAPI Activity in Pulmonary Tuberculosis. Clin. Nucl. Med. 2023, 48, 188–189. [Google Scholar] [CrossRef] [PubMed]
- O’Brien, S.; Musameh, K.; El Obeid, M.; Butler, T.; Armstrong, M.; Cunningham, Z.; Atzinger, A.; Kuwert, T.; Mitchell, P.D.; Donnelly, S.C. Fibroblast Activation in Sarcoidosis as Assessed by 68Ga-FAPI (Fibroblast Activation Protein Inhibitor)-46 PET/CT. QJM Int. J. Med. 2024, hcae067. [Google Scholar] [CrossRef]
- Meetschen, M.; Sandach, P.; Darwiche, K.; Theegarten, D.; Moter, A.; Schaarschmidt, B.M.; Herrmann, K.; Fendler, W.P.; Hautzel, H.; Opitz, M. Rabbit Fever: Granulomatous Inflammation by Francisella Tularensis Mimics Lung Cancer in Dual Tracer 18FDG and 68Ga-FAPI PET/CT. Eur. J. Nucl. Med. Mol. Imaging 2023, 50, 2567–2569. [Google Scholar] [CrossRef] [PubMed]
- Liu, M.; Liu, H.; Chen, X.; Zhang, S.; Cai, L. Pulmonary Cryptococcosis: Intense Uptake on Both 18F-FDG and 68Ga-FAPI PET/CT. Clin. Nucl. Med. 2023, 48, 980–981. [Google Scholar] [CrossRef]
- Babacan, G.B.; Öner Tamam, M.; Şengiz Erhan, S.; Şahin, M.C.; Acar Tayyar, M.N. Comparison of the 68Ga-FAPI Versus 18F-FDG in Gastric Adenocarcinoma and Anthracosis-Associated Lymph Nodes: FAPI Unmasking False-Negatives and False-Positives. Clin. Nucl. Med. 2024, 49, e134–e136. [Google Scholar] [CrossRef]
- Cheson, B.D. Staging and Response Assessment in Lymphomas: The New Lugano Classification. Chin. Clin. Oncol. 2015, 4, 5. [Google Scholar] [CrossRef]
- Nanni, C.; Versari, A.; Chauvie, S.; Bertone, E.; Bianchi, A.; Rensi, M.; Bellò, M.; Gallamini, A.; Patriarca, F.; Gay, F.; et al. Interpretation Criteria for FDG PET/CT in Multiple Myeloma (IMPeTUs): Final Results. IMPeTUs (Italian Myeloma Criteria for PET USe). Eur. J. Nucl. Med. Mol. Imaging 2018, 45, 712–719. [Google Scholar] [CrossRef] [PubMed]
- Mallorie, A.; Goldring, J.; Patel, A.; Lim, E.; Wagner, T. Assessment of Nodal Involvement in Non-Small-Cell Lung Cancer with 18F-FDG-PET/CT: Mediastinal Blood Pool Cut-off Has the Highest Sensitivity and Tumour SUVmax/2 Has the Highest Specificity. Nucl. Med. Commun. 2017, 38, 715–719. [Google Scholar] [CrossRef]
- Li, Y.; Zhang, Y.; Guo, Z.; Hou, P.; Lv, J.; Ke, M.; Liu, S.; Li, S.; Yin, W.; He, J.; et al. [18F]FAPI Adds Value to [18F]FDG PET/CT for Diagnosing Lymph Node Metastases in Stage I-IIIA Non-Small Cell Lung Cancer: A Prospective Study. Cancer Imaging 2024, 24, 68. [Google Scholar] [CrossRef]
- Kang, Y.; Na, K.J.; Park, J.; Kwak, N.; Lee, Y.-S.; Choi, H.; Kim, Y.T. Preoperative Evaluation of Mediastinal Lymph Nodes in Non-Small Cell Lung Cancer Using [68Ga]FAPI-46 PET/CT: A Prospective Pilot Study. Eur. J. Nucl. Med. Mol. Imaging 2024, 51, 2409–2419. [Google Scholar] [CrossRef] [PubMed]
- Wei, Y.; Ma, L.; Li, P.; Lu, J.; Ren, J.; Yan, S.; Wu, H.; Yuan, S.; Fu, Z.; Yu, J. FAPI Compared with FDG PET/CT for Diagnosis of Primary and Metastatic Lung Cancer. Radiology 2023, 308, e222785. [Google Scholar] [CrossRef] [PubMed]
- Detterbeck, F.C.; Woodard, G.A.; Bader, A.S.; Dacic, S.; Grant, M.J.; Park, H.S.; Tanoue, L.T. The Proposed Ninth Edition TNM Classification of Lung Cancer. Chest 2024, 166, 882–895. [Google Scholar] [CrossRef]
- Yang, Q.; Huang, D.; Wu, J.; Zhong, H.; Han, Y.; Jiang, H.; Chen, Y.; Chen, G.; Zhan, X.; Zhou, P. Performance of [18F]FDG PET/CT versus FAPI PET/CT for Lung Cancer Assessment: A Systematic Review and Meta-Analysis. Eur. Radiol. 2023, 34, 1077–1085. [Google Scholar] [CrossRef]
- Sun, Y.; Sun, Y.; Li, Z.; Song, S.; Wu, K.; Mao, J.; Cheng, J. 18F-FAPI PET/CT Performs Better in Evaluating Mediastinal and Hilar Lymph Nodes in Patients with Lung Cancer: Comparison with 18F-FDG PET/CT. Eur. J. Med. Res. 2024, 29, 9. [Google Scholar] [CrossRef]
- Wei, Y.; Cheng, K.; Fu, Z.; Zheng, J.; Mu, Z.; Zhao, C.; Liu, X.; Wang, S.; Yu, J.; Yuan, S. [18F]AlF-NOTA-FAPI-04 PET/CT Uptake in Metastatic Lesions on PET/CT Imaging Might Distinguish Different Pathological Types of Lung Cancer. Eur. J. Nucl. Med. Mol. Imaging 2022, 49, 1671–1681. [Google Scholar] [CrossRef] [PubMed]
- Qiao, K.; Qin, X.; Fu, S.; Ren, J.; Jia, J.; Hu, X.; Tao, Y.; Yuan, S.; Wei, Y. Value of [18F]AlF-NOTA-FAPI-04 PET/CT for Differential Diagnosis of Malignant and Various Inflammatory Lung Lesions: Comparison with [18F]FDG PET/CT. Eur. Radiol. 2024, 34, 1948–1959. [Google Scholar] [CrossRef]
- Giesel, F.L.; Adeberg, S.; Syed, M.; Lindner, T.; Jiménez-Franco, L.D.; Mavriopoulou, E.; Staudinger, F.; Tonndorf-Martini, E.; Regnery, S.; Rieken, S.; et al. FAPI-74 PET/CT Using Either 18F-AlF or Cold-Kit 68Ga Labeling: Biodistribution, Radiation Dosimetry, and Tumor Delineation in Lung Cancer Patients. J. Nucl. Med. 2021, 62, 201–207. [Google Scholar] [CrossRef]
- Wu, J.; Deng, H.; Zhong, H.; Wang, T.; Rao, Z.; Wang, Y.; Chen, Y.; Zhang, C. Comparison of 68Ga-FAPI and 18F-FDG PET/CT in the Evaluation of Patients with Newly Diagnosed Non-Small Cell Lung Cancer. Front. Oncol. 2022, 12, 924223. [Google Scholar] [CrossRef]
- Dendl, K.; Koerber, S.A.; Kratochwil, C.; Cardinale, J.; Finck, R.; Dabir, M.; Novruzov, E.; Watabe, T.; Kramer, V.; Choyke, P.L.; et al. FAP and FAPI-PET/CT in Malignant and Non-Malignant Diseases: A Perfect Symbiosis? Cancers 2021, 13, 4946. [Google Scholar] [CrossRef]
- Glatting, F.M.; Hoppner, J.; Liew, D.P.; van Genabith, A.; Spektor, A.-M.; Steinbach, L.; Hubert, A.; Kratochwil, C.; Giesel, F.L.; Dendl, K.; et al. Repetitive Early 68Ga-FAPI PET Acquisition Comparing 68Ga-FAPI-02, 68Ga-FAPI-46, and 68Ga-FAPI-74: Methodologic and Diagnostic Implications for Malignant, Inflammatory/Reactive, and Degenerative Lesions. J. Nucl. Med. 2022, 63, 1844–1851. [Google Scholar] [CrossRef] [PubMed]
- Wu, Y.; Li, P.; Zhang, H.; Shi, Y.; Wu, H.; Zhang, J.; Qian, Y.; Li, C.; Yang, J. Diagnostic Value of Fluorine 18 Fluorodeoxyglucose Positron Emission Tomography/Computed Tomography for the Detection of Metastases in Non-Small-Cell Lung Cancer Patients. Int. J. Cancer 2013, 132, E37–E47. [Google Scholar] [CrossRef] [PubMed]
- Chen, Z.; Wang, Y.; Yang, X.; Li, L.; Huo, Y.; Yu, X.; Xiao, X.; Zhang, C.; Chen, Y.; Zhao, H.; et al. Feasibility of Acquisitions Using Total-Body PET/CT with a Half-Dose [68Ga]Ga-FAPI-04 Activity in Oncology Patients. Eur. J. Nucl. Med. Mol. Imaging 2023, 50, 3961–3969. [Google Scholar] [CrossRef]
- Qi, C.; Wang, S.; Yu, H.; Zhang, Y.; Hu, P.; Tan, H.; Shi, Y.; Shi, H. An Artificial Intelligence-Driven Image Quality Assessment System for Whole-Body [18F]FDG PET/CT. Eur. J. Nucl. Med. Mol. Imaging 2023, 50, 1318–1328. [Google Scholar] [CrossRef] [PubMed]
- Sun, H.; Huang, Y.; Hu, D.; Hong, X.; Salimi, Y.; Lv, W.; Chen, H.; Zaidi, H.; Wu, H.; Lu, L. Artificial Intelligence-Based Joint Attenuation and Scatter Correction Strategies for Multi-Tracer Total-Body PET. EJNMMI Phys. 2024, 11, 66. [Google Scholar] [CrossRef] [PubMed]
- Liu, L.; Chen, X.; Wan, L.; Zhang, N.; Hu, R.; Li, W.; Liu, S.; Zhu, Y.; Pang, H.; Liang, D.; et al. Feasibility of a Deep Learning Algorithm to Achieve the Low-Dose 68Ga-FAPI/the Fast-Scan PET Images: A Multicenter Study. Br. J. Radiol. 2023, 96, 20230038. [Google Scholar] [CrossRef]
- Pang, L.; Zhang, Z.; Liu, G.; Hu, P.; Chen, S.; Gu, Y.; Huang, Y.; Zhang, J.; Shi, Y.; Cao, T.; et al. Comparison of the Accuracy of a Deep Learning Method for Lesion Detection in PET/CT and PET/MRI Images. Mol. Imaging Biol. 2024, 26, 802–811. [Google Scholar] [CrossRef]
- Baum, R.P.; Novruzov, E.; Zhao, T.; Greifenstein, L.; Jakobsson, V.; Perrone, E.; Mishra, A.; Eismant, A.; Ghai, K.; Klein, O.; et al. Radiomolecular Theranostics With Fibroblast-Activation-Protein Inhibitors and Peptides. Semin. Nucl. Med. 2024, 54, S0001299824000515. [Google Scholar] [CrossRef]





| T (n = 50) | T-FDG | T-FAPI | T-SURGERY | N (n = 46) | N-FDG | N-FAPI | N-SURGERY | ||||||
|---|---|---|---|---|---|---|---|---|---|---|---|---|---|
| n° | Mean | n° | Mean | n° | Mean | n° | Mean | n° | Mean | n° | Mean | ||
| 0 | 10 | 20% | 6 | 12% | 6 | 12% | 0 | 29 | 63% | 36 | 78% | 34 | 74% |
| 1 | 11 | 22% | 13 | 26% | 11 | 22% | 1 | 5 | 11% | 6 | 13% | 8 | 17% |
| 2 | 19 | 38% | 20 | 40% | 20 | 40% | 2 | 11 | 24% | 3 | 7% | 4 | 9% |
| 3 | 7 | 14% | 8 | 16% | 10 | 20% | 3 | 1 | 2% | 1 | 2% | 0 | 0% |
| 4 | 3 | 6% | 3 | 6% | 3 | 6% | |||||||
| (According to TNM_AJCC 8th Ed.) | CONCORDANCE WITH T-Histopathology | CONCORDANCE WITH N-Histopathology | ||
|---|---|---|---|---|
| FDG | FAPI | FDG | FAPI | |
| % agreement | 58 | 66 | 69.6 | 78.3 |
| Cohen’s Kappa value | 0.435 | 0.536 | 0.384 | 0.447 |
| Cohen’s Kappa p-value | <0.001 | <0.001 | <0.001 | <0.001 |
| (dichotomized: neg vs. pos) | CONCORDANCE WITH T-histopathology | CONCORDANCE WITH N-histopathology | ||
| FDG | FAPI | FDG | FAPI | |
| % agreement | 80 | 92 | 71.7 | 78.4 |
| Cohen’s Kappa value | 0.265 | 0.621 | 0.354 | 0.404 |
| Cohen’s Kappa p-value | 0.05 | <0.001 | 0.013 | 0.0058 |
| Visual Criteria (Patient-Based) | T (n = 50) | N (n = 46) | ||||
|---|---|---|---|---|---|---|
| FDG | FAPI | p-Value | FDG | FAPI | p-Value | |
| TP | 37 | 42 | n.s. | 8 | 6 | n.s. |
| FN | 7 | 2 | 4 | 6 | ||
| FP | 3 | 2 | 9 | 4 | ||
| TN | 3 | 4 | 25 | 30 | ||
| Sensitivity | 84% | 95% | 67% | 50% | ||
| Specificity | 50% | 67% | 74% | 88% | ||
| PPV | 93% | 95% | 47% | 60% | ||
| NPV | 30% | 67% | 86% | 83% | ||
| LR+ | 1.68 | 2.86 | 2.52 | 4.25 | ||
| LR− | 0.32 | 0.07 | 0.45 | 0.57 | ||
| Accuracy | 80% | 92% | 72% | 78% | ||
| Visual Criteria Performance by Histological Classification (n = 59) | T (n°) | FDG | FAPI | ||||||||
|---|---|---|---|---|---|---|---|---|---|---|---|
| FN | FP | TN | TP | FN | FP | TN | TP | ||||
| Adenocarcinoma | 37 | 53 | Malignant | 13 | 24 | 7 | 30 | ||||
| Squamous cell carcinoma | 13 | 1 | 12 | 13 | |||||||
| Carcinoid | 1 | 1 | 1 | ||||||||
| Lung Cancer (histology not specified) | 2 | 2 | 2 | ||||||||
| Inflammatory nodule | 4 | 6 | Benign | 1 | 3 | 4 | |||||
| Granulomatous abscess | 1 | 1 | 1 | ||||||||
| Actinomyces abscess | 1 | 1 | 1 | ||||||||
| 59 | |||||||||||
| Visual Criteria (Region-Based) | T (n = 59) | N (n = 217) | ||||
|---|---|---|---|---|---|---|
| FDG | FAPI | p-Value | FDG | FAPI | p-Value | |
| TP | 38 | 45 | n.s. | 9 | 8 | 1 |
| FN | 15 | 8 | 6 | 7 | 1 | |
| FP | 3 | 2 | 25 | 7 | 0.0018 | |
| TN | 3 | 4 | 177 | 195 | 0.019 | |
| Sensitivity | 72% | 85% | 60% | 53% | 1 | |
| Specificity | 50% | 67% | 88% | 97% | 0.001 | |
| PPV | 93% | 96% | 26% | 53% | 0.135 | |
| NPV | 17% | 33% | 97% | 97% | 1 | |
| LR+ | 1.43 | 2.55 | 4.85 | 15.39 | 1 | |
| LR− | 0.57 | 0.23 | 0.46 | 0.48 | 1 | |
| Accuracy | 69% | 83% | 86% | 94% | 0.018 | |
| Semiquantitative PET Parameters (Region-Based) | T (n = 59) | ||||||||||||||
|---|---|---|---|---|---|---|---|---|---|---|---|---|---|---|---|
| FDG | FAPI | p-Value AUCs (FDGvs. FAPI) | |||||||||||||
| AUC | 95% CI | p-Value | Cut-Off | Sensitivity | Specificity | Accuracy | AUC | 95% CI | p-Value | Cut-Off | Sensitivity | Specificity | Accuracy | Not Significant | |
| SUVmax-T (Tmax) | 44.2% | 0.1322–0.7515 | 0.325 | 12 | 81% | 33% | 76% | 61.2% | 0.3342–0.889 | 0.189 | 2.1 | 71% | 67% | 72% | 0.6848 |
| TBR-L (Tmax/Liver mean) | 55.2% | 0.267–0.8368 | 0.344 | 0.9 | 74% | 50% | 71% | 63.7% | 0.3347–0.9389 | 0.140 | 0.9 | 89% | 50% | 84% | 0.294 |
| TBR-MBP (Tmax/MBP mean) | 52.8% | 0.236–0.8206 | 0.415 | 1 | 76% | 50% | 73% | 65.1% | 0.3573–0.9445 | 0.116 | 2.3 | 77% | 67% | 76% | 0.1147 |
| TBR-P (Tmax/Lung mean) | 57.5% | 0.2656–0.8853 | 0.277 | 4 | 81% | 50% | 78% | 63.2% | 0.3226–0.9415 | 0.148 | 6.5 | 72% | 67% | 71% | 0.4142 |
| Semiquantitative PET Parameters (Region-Based) | N (n = 217) | ||||||||||||||
|---|---|---|---|---|---|---|---|---|---|---|---|---|---|---|---|
| FDG | FAPI | p-Value AUCs (FDGsFAPI) | |||||||||||||
| AUC | 95% CI | p-Value | Cut-Off | Sensitivity | Specificity | Accuracy | AUC | 95% CI | p-Value | Cut-Off | Sensitivity | Specificity | Accuracy | Not Significant | |
| SUVmax-N (Nmax) | 74.7% | 0.5968–0.8962 | <0.001 | 3 | 60% | 90% | 87% | 79.9% | 0.6477–0.9094 | <0.001 | 1.5 | 73% | 83% | 82% | 0.4314 |
| TBR-L (Nmax/Liver mean) | 74.7% | 0.6133–0.8797 | <0.001 | 1.4 | 60% | 91% | 88% | 78.2% | 0.6538–0.9099 | <0.001 | 1.1 | 60% | 96% | 94% | 0.4577 |
| TBR-MBP (Nmax/MBP mean) | 74.4% | 0.6098–0.8783 | <0.001 | 1.7 | 60% | 90% | 88% | 77.9% | 0.6477–0.9094 | <0.001 | 1.7 | 60% | 96% | 94% | 0.4642 |
| TBR-P (Nmax/Lung mean) | 74.9% | 0.6127–0.8846 | <0.001 | 5.4 | 60% | 90% | 88% | 77.7% | 0.6465–0.9071 | <0.001 | 3.2 | 60% | 96% | 93% | 0.5757 |
Disclaimer/Publisher’s Note: The statements, opinions and data contained in all publications are solely those of the individual author(s) and contributor(s) and not of MDPI and/or the editor(s). MDPI and/or the editor(s) disclaim responsibility for any injury to people or property resulting from any ideas, methods, instructions or products referred to in the content. |
© 2024 by the authors. Licensee MDPI, Basel, Switzerland. This article is an open access article distributed under the terms and conditions of the Creative Commons Attribution (CC BY) license (https://creativecommons.org/licenses/by/4.0/).
Share and Cite
Zanoni, L.; Fortunati, E.; Cuzzani, G.; Malizia, C.; Lodi, F.; Cabitza, V.S.; Brusa, I.; Emiliani, S.; Assenza, M.; Antonacci, F.; et al. [68Ga]Ga-FAPI-46 PET/CT for Staging Suspected/Confirmed Lung Cancer: Results on the Surgical Cohort Within a Monocentric Prospective Trial. Pharmaceuticals 2024, 17, 1468. https://doi.org/10.3390/ph17111468
Zanoni L, Fortunati E, Cuzzani G, Malizia C, Lodi F, Cabitza VS, Brusa I, Emiliani S, Assenza M, Antonacci F, et al. [68Ga]Ga-FAPI-46 PET/CT for Staging Suspected/Confirmed Lung Cancer: Results on the Surgical Cohort Within a Monocentric Prospective Trial. Pharmaceuticals. 2024; 17(11):1468. https://doi.org/10.3390/ph17111468
Chicago/Turabian StyleZanoni, Lucia, Emilia Fortunati, Giulia Cuzzani, Claudio Malizia, Filippo Lodi, Veronica Serena Cabitza, Irene Brusa, Stefano Emiliani, Marta Assenza, Filippo Antonacci, and et al. 2024. "[68Ga]Ga-FAPI-46 PET/CT for Staging Suspected/Confirmed Lung Cancer: Results on the Surgical Cohort Within a Monocentric Prospective Trial" Pharmaceuticals 17, no. 11: 1468. https://doi.org/10.3390/ph17111468
APA StyleZanoni, L., Fortunati, E., Cuzzani, G., Malizia, C., Lodi, F., Cabitza, V. S., Brusa, I., Emiliani, S., Assenza, M., Antonacci, F., Giunchi, F., Degiovanni, A., Ferrari, M., Natali, F., Galasso, T., Bandelli, G. P., Civollani, S., Candoli, P., D’Errico, A., ... Nanni, C. (2024). [68Ga]Ga-FAPI-46 PET/CT for Staging Suspected/Confirmed Lung Cancer: Results on the Surgical Cohort Within a Monocentric Prospective Trial. Pharmaceuticals, 17(11), 1468. https://doi.org/10.3390/ph17111468

