Hyperhalophilic Diatom Extract Protects against Lead-Induced Oxidative Stress in Rats and Human HepG2 and HEK293 Cells
Abstract
1. Introduction
2. Results
2.1. Biochemical Composition of Diatom Halamphora Extract
2.2. Cytotoxicity Assay
2.3. Effect of Lead Acetate on Cell Viability
2.4. Cytoprotective Effect of the Extract against Apoptotic Cell Death Due to Lead Acetate
2.5. Effects of Extract Treatment on Lipid Peroxidation Levels in the Liver and Kidney
2.6. Effects of Extract Treatment on Antioxidant Enzyme Activities in the Liver and Kidney
2.7. Effects of Extract Treatment on the Serum Biochemical Parameters in Rats
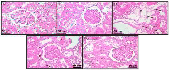
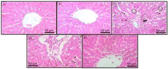
2.8. Histological Study
2.8.1. Hepatocyte Histology
2.8.2. Kidney Effect
3. Discussion
4. Materials and Methods
4.1. Chemicals
4.2. Microalgal Isolation and Culture Conditions
4.3. Microalgal Extract, Preparation, and Characterization
4.3.1. Extraction of Biomolecules
4.3.2. Determination of the Total Phenol Content in the Extract
4.3.3. Determination of the Total Flavonoid Content in the Extract
4.3.4. Determination of the Content of Pigments in the Extract: Chlorophyll (a) and Carotenoids
4.3.5. Estimation of the Fatty Acid Profile in the Extract via GC–MS
4.4. In Vitro Cytotoxicity Assay
4.4.1. Cell Lines and Culture
4.4.2. In Vitro Cytotoxicity Assay
4.4.3. Cell Treatment
4.5. Animals and In Vivo Treatment
4.5.1. Experimental Design
4.5.2. Determination of Stress Biomarkers
4.5.3. Antioxidant Enzyme Status
4.5.4. Biochemical Markers in Serum
4.5.5. Histological Analysis
4.6. Statistical Analysis
5. Conclusions
Author Contributions
Funding
Institutional Review Board Statement
Informed Consent Statement
Data Availability Statement
Acknowledgments
Conflicts of Interest
References
- Boukhris, S.; Athmouni, K.; Hamza-Mnif, I.; Siala-Elleuch, R.; Ayadi, H.; Nasri, M.; Sellami-Kamoun, A. The Potential of a Brown Microalga Cultivated in High Salt Medium for the Production of High-Value Compounds. BioMed Res. Int. 2017, 2017, 4018562. [Google Scholar] [CrossRef]
- Guermazi, W.; Masmoudi, S.; Trabelsi, N.A.; Gammoudi, S.; Ayadi, H.; Morant-Manceau, A.; Hotos, G.N. Physiological and Biochemical Responses in Microalgae Dunaliella salina, Cylindrotheca closterium and Phormidium versicolor NCC466 Exposed to High Salinity and Irradiation. Life 2023, 13, 313. [Google Scholar] [CrossRef]
- Foo, S.C.; Yusoff, F.M.; Ismail, M.; Basri, M.; Chan, K.W.; Khong, N.M.; Yau, S.K. Production of fucoxanthin-rich fraction (FxRF) from a diatom, Chaetoceros calcitrans (Paulsen) Takano 1968. Algal Res. 2015, 12, 26–32. [Google Scholar] [CrossRef]
- Koyande, A.K.; Chew, K.W.; Rambabu, K.; Tao, Y.; Chu, D.-T.; Show, P.-L. Microalgae: A potential alternative to health supplementation for humans. Food Sci. Hum. Wellness 2019, 8, 16–24. [Google Scholar] [CrossRef]
- Sampath-Wiley, P.; Neefus, C.D.; Jahnke, L.S. Seasonal effects of sun exposure and emersion on intertidal seaweed physiology: Fluctuations in antioxidant contents, photosynthetic pigments and photosynthetic efficiency in the red alga Porphyra umbilicalis Kützing (Rhodophyta, Bangiales). J. Exp. Mar. Biol. Ecol. 2008, 361, 83–91. [Google Scholar] [CrossRef]
- Kim, S.M.; Jung, Y.-J.; Kwon, O.-N.; Cha, K.H.; Um, B.-H.; Chung, D.; Pan, C.-H. A potential commercial source of fucoxanthin extracted from the microalga Phaeodactylum tricornutum. Appl. Biochem. Biotechnol. 2012, 166, 1843–1855. [Google Scholar] [CrossRef] [PubMed]
- Fung, A.; Hamid, N.; Lu, J. Fucoxanthin content and antioxidant properties of Undaria pinnatifida. Food Chem. 2013, 136, 1055–1062. [Google Scholar] [CrossRef]
- Xia, S.; Wang, K.; Wan, L.; Li, A.; Hu, Q.; Zhang, C. Production, characterization, and antioxidant activity of fucoxanthin from the marine diatom Odontella aurita. Mar. Drugs 2013, 11, 2667–2681. [Google Scholar] [CrossRef]
- Eilers, U.; Bikoulis, A.; Breitenbach, J.; Büchel, C.; Sandmann, G. Limitations in the biosynthesis of fucoxanthin as targets for genetic engineering in Phaeodactylum tricornutum. J. Appl. Phycol. 2016, 28, 123–129. [Google Scholar] [CrossRef]
- Das, U. Long-chain polyunsaturated fatty acids interact with nitric oxide, superoxide anion, and transforming growth factor-β to prevent human essential hypertension. Eur. J. Clin. Nutr. 2004, 58, 195–203. [Google Scholar] [CrossRef]
- Sergeant, S.; Rahbar, E.; Chilton, F.H. Gamma-linolenic acid, dihommo-gamma linolenic, eicosanoids and inflammatory processes. Eur. J. Pharmacol. 2016, 785, 77–86. [Google Scholar] [CrossRef] [PubMed]
- Conde, T.A.; Neves, B.F.; Couto, D.; Melo, T.; Neves, B.; Costa, M.; Silva, J.; Domingues, P.; Domingues, M.R. Microalgae as sustainable bio-factories of healthy lipids: Evaluating fatty acid content and antioxidant activity. Mar. Drugs 2021, 19, 357. [Google Scholar] [CrossRef] [PubMed]
- Khatoon, H.; Banerjee, S.; Yusoff, F.; Shariff, M. Evaluation of indigenous marine periphytic Amphora, Navicula and Cymbella grown on substrate as feed supplement in Penaeus monodon postlarval hatchery system. Aquac. Nutr. 2009, 15, 186–193. [Google Scholar] [CrossRef]
- Henry, G.E.; Momin, R.A.; Nair, M.G.; Dewitt, D.L. Antioxidant and cyclooxygenase activities of fatty acids found in food. J. Agric. Food Chem. 2002, 50, 2231–2234. [Google Scholar] [CrossRef] [PubMed]
- Medik, V. Modern approaches to the study of morbidity of population. Probl. Sots. Gig. Zdravookhr. Istor. Med. 2004, 1, 6–9. [Google Scholar]
- Perez-Vazquez, F.J.; Flores-Ramirez, R.; Ochoa-Martinez, A.C.; Orta-Garcia, S.T.; Hernandez-Castro, B.; Carrizalez-Yañez, L.; Pérez-Maldonado, I.N. Concentrations of persistent organic pollutants (POPs) and heavy metals in soil from San Luis Potosí, México. Environ. Monit. Assess. 2015, 187, 4119. [Google Scholar] [CrossRef]
- Bekkelman, I.; Pfister, E. Neurotoxicity due to long-standing exposure to lead. Meditsina Tr. I Promyshlennaia Ekol. 2001, 5, 22–26. [Google Scholar]
- Mehendale, H.M.; Limaye, P.B. Calpain: A death protein that mediates progression of liver injury. Trends Pharmacol. Sci. 2005, 26, 232–236. [Google Scholar] [CrossRef]
- Omobowale, T.O.; Oyagbemi, A.A.; Akinrinde, A.S.; Saba, A.B.; Daramola, O.T.; Ogunpolu, B.S.; Olopade, J.O. Failure of recovery from lead induced hepatoxicity and disruption of erythrocyte antioxidant defence system in Wistar rats. Environ. Toxicol. Pharmacol. 2014, 37, 1202–1211. [Google Scholar] [CrossRef]
- Ashraf, U.; Kanu, A.S.; Mo, Z.; Hussain, S.; Anjum, S.A.; Khan, I.; Abbas, R.N.; Tang, X. Lead toxicity in rice: Effects, mechanisms, and mitigation strategies—A mini review. Environ. Sci. Pollut. Res. 2015, 22, 18318–18332. [Google Scholar] [CrossRef]
- Lopes, A.C.B.A.; Peixe, T.S.; Mesas, A.E.; Paoliello, M.M. Lead exposure and oxidative stress: A systematic review. Rev. Environ. Contam. Toxicol. 2016, 236, 193–238. [Google Scholar] [PubMed]
- Matović, V.; Buha, A.; Ðukić-Ćosić, D.; Bulat, Z. Insight into the oxidative stress induced by lead and/or cadmium in blood, liver and kidneys. Food Chem. Toxicol. 2015, 78, 130–140. [Google Scholar] [CrossRef] [PubMed]
- Gargouri, M.; Ghorbel-Koubaa, F.; Bonenfant-Magné, M.; Magné, C.; Dauvergne, X.; Ksouri, R.; Krichen, Y.; Abdelly, C.; El Feki, A. Spirulina or dandelion-enriched diet of mothers alleviates lead-induced damages in brain and cerebellum of newborn rats. Food Chem. Toxicol. 2012, 50, 2303–2310. [Google Scholar] [CrossRef]
- El-Tantawy, W.H. Antioxidant effects of Spirulina supplement against lead acetate-induced hepatic injury in rats. J. Tradit. Complement. Med. 2016, 6, 327–331. [Google Scholar] [CrossRef]
- Dahmen-Ben Moussa, I.; Bellassoued, K.; Athmouni, K.; Naifar, M.; Chtourou, H.; Ayadi, H.; Makni-Ayadi, F.; Sayadi, S.; El Feki, A.; Dhouib, A. Protective effect of Dunaliella sp., lipid extract rich in polyunsaturated fatty acids, on hepatic and renal toxicity induced by nickel in rats. Toxicol. Mech. Methods 2016, 26, 221–230. [Google Scholar] [CrossRef]
- Murthy, K.C.; Vanitha, A.; Rajesha, J.; Swamy, M.M.; Sowmya, P.; Ravishankar, G.A. In vivo antioxidant activity of carotenoids from Dunaliella salina—A green microalga. Life Sci. 2005, 76, 1381–1390. [Google Scholar] [CrossRef]
- Belhaj, D.; Athmouni, K.; Ahmed, M.B.; Aoiadni, N.; El Feki, A.; Zhou, J.L.; Ayadi, H. Polysaccharides from Phormidium versicolor (NCC466) protecting HepG2 human hepatocellular carcinoma cells and rat liver tissues from cadmium toxicity: Evidence from in vitro and in vivo tests. Int. J. Biol. Macromol. 2018, 113, 813–820. [Google Scholar] [CrossRef]
- Gammoudi, S.; Athmouni, K.; Nasri, A.; Diwani, N.; Grati, I.; Belhaj, D.; Bouaziz-Ketata, H.; Fki, L.; El Feki, A.; Ayadi, H. Optimization, isolation, characterization and hepatoprotective effect of a novel pigment-protein complex (phycocyanin) producing microalga: Phormidium versicolor NCC-466 using response surface methodology. Int. J. Biol. Macromol. 2019, 137, 647–656. [Google Scholar] [CrossRef]
- Maadane, A.; Merghoub, N.; Ainane, T.; El Arroussi, H.; Benhima, R.; Amzazi, S.; Bakri, Y.; Wahby, I. Antioxidant activity of some Moroccan marine microalgae: Pufa profiles, carotenoids and phenolic content. J. Biotechnol. 2015, 215, 13–19. [Google Scholar] [CrossRef]
- Kuczynska, P.; Jemiola-Rzeminska, M.; Strzalka, K. Photosynthetic pigments in diatoms. Mar. Drugs 2015, 13, 5847–5881. [Google Scholar] [CrossRef]
- Desbois, A.P.; Walton, M.; Smith, V.J. Differential antibacterial activities of fusiform and oval morphotypes of Phaeodactylum tricornutum (Bacillariophyceae). J. Mar. Biol. Assoc. UK 2010, 90, 769–774. [Google Scholar] [CrossRef]
- Xu, J.; Lian, L.-j.; Wu, C.; Wang, X.-f.; Fu, W.-y.; Xu, L.-h. Lead induces oxidative stress, DNA damage and alteration of p53, Bax and Bcl-2 expressions in mice. Food Chem. Toxicol. 2008, 46, 1488–1494. [Google Scholar] [CrossRef] [PubMed]
- Liu, C.-M.; Ma, J.-Q.; Sun, Y.-Z. Puerarin protects the rat liver against oxidative stress-mediated DNA damage and apoptosis induced by lead. Exp. Toxicol. Pathol. 2012, 64, 575–582. [Google Scholar] [CrossRef] [PubMed]
- Lakshmi, B.; Sudhakar, M.; Aparna, M. Protective potential of Black grapes against lead induced oxidative stress in rats. Environ. Toxicol. Pharmacol. 2013, 35, 361–368. [Google Scholar] [CrossRef]
- Köseoğlu, O.; Sevim, D.; Kadiroğlu, P. Quality characteristics and antioxidant properties of Turkish monovarietal olive oils regarding stages of olive ripening. Food Chem. 2016, 212, 628–634. [Google Scholar] [CrossRef]
- Doyen, P.; Bigot, A.; Vasseur, P.; Rodius, F. Molecular cloning and expression study of pi-class glutathione S-transferase (pi-GST) and selenium-dependent glutathione peroxidase (Se-GPx) transcripts in the freshwater bivalve Dreissena polymorpha. Comp. Biochem. Physiol. Part C Toxicol. Pharmacol. 2008, 147, 69–77. [Google Scholar] [CrossRef]
- Flora, G.; Gupta, D.; Tiwari, A. Toxicity of lead: A review with recent updates. Interdiscip. Toxicol. 2012, 5, 47–58. [Google Scholar] [CrossRef]
- Anantharaj, K.; Govindasamy, C.; Natanamurugaraj, G.; Jeyachandran, S. Effect of heavy metals on marine diatom Amphora coffeaeformis (Agardh. Kutz). Glob. J. Environ. Res. 2011, 5, 112–117. [Google Scholar]
- Attia, A.M.; Nasr, H.M. Evaluation of the protective effect of omega-3 fatty acids and selenium on paraquat intoxicated rats. Slovak J. Anim. Sci. 2009, 42, 180–187. [Google Scholar]
- Pauwels, E.; Kostkiewicz, M. Fatty acid facts, Part III: Cardiovascular disease, or, a fish diet is not fishy. Drug News Perspect. 2008, 21, 552–561. [Google Scholar]
- Fassett, R.G.; Gobe, G.C.; Peake, J.M.; Coombes, J.S. Omega-3 polyunsaturated fatty acids in the treatment of kidney disease. Am. J. Kidney Dis. 2010, 56, 728–742. [Google Scholar] [CrossRef] [PubMed]
- Koletzko, B.; Goulet, O. Fish oil containing intravenous lipid emulsions in parenteral nutrition-associated cholestatic liver disease. Curr. Opin. Clin. Nutr. Metab. Care 2010, 13, 321–326. [Google Scholar] [CrossRef] [PubMed]
- Haleagrahara, N.; Jackie, T.; Chakravarthi, S.; Rao, M.; Kulur, A. Protective effect of Etlingera elatior (torch ginger) extract on lead acetate-induced hepatotoxicity in rats. J. Toxicol. Sci. 2010, 35, 663–671. [Google Scholar] [CrossRef] [PubMed]
- Ibrahim, N.M.; Eweis, E.A.; El-Beltagi, H.S.; Abdel-Mobdy, Y.E. Effect of lead acetate toxicity on experimental male albino rat. Asian Pac. J. Trop. Biomed. 2012, 2, 41–46. [Google Scholar] [CrossRef]
- Tomaszewska, E.; Winiarska-Mieczan, A.; Dobrowolski, P. Hematological and serum biochemical parameters of blood in adolescent rats and histomorphological changes in the jejunal epithelium and liver after chronic exposure to cadmium and lead in the case of supplementation with green tea vs. black, red or white tea. Exp. Toxicol. Pathol. 2015, 67, 331–339. [Google Scholar]
- Sallie, R.; Michael Tredger, J.; Williams, R. Drugs and the liver part 1: Testing liver function. Biopharm. Drug Dispos. 1991, 12, 251–259. [Google Scholar] [CrossRef]
- Abdel-Moneim, A.E.; Dkhil, M.A.; Al-Quraishy, S. The potential role of flaxseed oil on lead acetateinduced kidney injure in adult male albino rats. Afr. J. Biotechnol. 2011, 10, 1436–1441. [Google Scholar]
- Karadeniz, A.; Cemek, M.; Simsek, N. The effects of Panax ginseng and Spirulina platensis on hepatotoxicity induced by cadmium in rats. Ecotoxicol. Environ. Saf. 2009, 72, 231–235. [Google Scholar] [CrossRef]
- Kobbi-Rebai, R.; Annabi-Trabelsi, N.; Khemakhem, H.; Ayadi, H.; Aleya, L. Impacts of restoration of an uncontrolled phosphogypsum dumpsite on the seasonal distribution of abiotic variables, phytoplankton, copepods, and ciliates in a man-made solar saltern. Environ. Monit. Assess. 2013, 185, 2139–2155. [Google Scholar] [CrossRef]
- Guillard, R.R. Culture of phytoplankton for feeding marine invertebrates. In Culture of Marine Invertebrate Animals: Proceedings—1st Conference on Culture of Marine Invertebrate Animals Greenport; Springer: Berlin/Heidelberg, Germany, 1975; pp. 29–60. [Google Scholar]
- Goiris, K.; Muylaert, K.; Fraeye, I.; Foubert, I.; De Brabanter, J.; De Cooman, L. Antioxidant potential of microalgae in relation to their phenolic and carotenoid content. J. Appl. Phycol. 2012, 24, 1477–1486. [Google Scholar] [CrossRef]
- Chang, C.-C.; Yang, M.-H.; Wen, H.-M.; Chern, J.-C. Estimation of total flavonoid content in propolis by two complementary colorimetric methods. J. Food Drug Anal. 2002, 10, 178–182. [Google Scholar]
- Zhishen, J.; Mengcheng, T.; Jianming, W. The determination of flavonoid contents in mulberry and their scavenging effects on superoxide radicals. Food Chem. 1999, 64, 555–559. [Google Scholar] [CrossRef]
- Lichtenthaler, H.K. Chlorophylls and carotenoids: Pigments of photosynthetic biomembranes. In Methods in Enzymology; Elsevier: Amsterdam, The Netherlands, 1987; Volume 148, pp. 350–382. [Google Scholar]
- Carmichael, J.; DeGraff, W.G.; Gazdar, A.F.; Minna, J.D.; Mitchell, J.B. Evaluation of a tetrazolium-based semiautomated colorimetric assay: Assessment of chemosensitivity testing. Cancer Res. 1987, 47, 936–942. [Google Scholar] [PubMed]
- Draper, H.; Hadley, M. Malondialdehyde determination as index of lipid Peroxidation. In Methods in Enzymology; Elsevier: Amsterdam, The Netherlands, 1990; Volume 186, pp. 421–431. [Google Scholar]
- Lowry, O.H.; Rosebrough, N.J.; Farr, A.L.; Randall, R.J. Protein measurement with the Folin phenol reagent. J. Biol. Chem. 1951, 193, 265–275. [Google Scholar] [CrossRef] [PubMed]
- Beyer, W.F., Jr.; Fridovich, I. Assaying for superoxide dismutase activity: Some large consequences of minor changes in conditions. Anal. Biochem. 1987, 161, 559–566. [Google Scholar] [CrossRef]
- Abei, H. Catalase in vitro. Methods Enzymol. 1984, 105, 121–126. [Google Scholar]
- Flohe, L.; Gunzler, W. Methods in Enzymology; Academic Press: New York, NY, USA, 1984; Volume 105. [Google Scholar]
- Pirinccioglu, A.G.; Gökalp, D.; Pirinccioglu, M.; Kizil, G.; Kizil, M. Malondialdehyde (MDA) and protein carbonyl (PCO) levels as biomarkers of oxidative stress in subjects with familial hypercholesterolemia. Clin. Biochem. 2010, 43, 1220–1224. [Google Scholar] [CrossRef]





| Biochemical Components | Halamphora Extract |
|---|---|
| Yield (%DW) | 18.20 ± 0.21 |
| Phenolic compounds | |
| Polyphenols (mg GAE g−1 extract) | 38.27 ± 2.21 |
| Flavonoids (mg QE g−1 extract) | 17.69 ± 0.70 |
| Pigments | |
| Carotenoids (mg g−1 extract) | 2.19 ± 0.05 |
| Chlorophyll (a) (mg g−1 extract) | 6.11 ± 0.10 |
| Fatty acids | |
| C14:0 | 0.175 ± 0.4 |
| C15:0 | 0.851 ± 0.3 |
| C16:0 | 29.464 ± 0.3 |
| C17:0 | 1.655 ± 0.5 |
| C18:0 | 2.317 ± 0.3 |
| C20:0 | 0.463 ± 0.2 |
| C24:0 | 3.752 ± 0.2 |
| Total SFA | 38.677 ± 0.6 |
| C14:1(n-5) | 1.072 ± 0.2 |
| C16:1(n-7) | 42.066 ± 0.7 |
| C17:1(n-8) | 0.446 ± 0.1 |
| C18:1(n-9) | 4.993 ± 0.4 |
| C19:1(n-9) | 1.316 ± 0.2 |
| Total MUFA | 49.893 ± 1.3 |
| C16:2(n-7) | 1.459 ± 0.3 |
| C18:2(n-6) | 0.567 ± 0.1 |
| C20:4(n-6) (ArA) | 2.867 ± 0.2 |
| C20:5(n-3) (EPA) | 6.067 ± 0.3 |
| Total PUFA | 10.960 ± 0.5 |
| Parameters and Treatments | MDA (nmol of MDA mg−1 Protein) | SOD (U SOD mg−1 Protein) | CAT (µmoles H2O2 Destroyed min−1 mg−1 Protein) | GPx (nmoles of GSH min−1 mg−1 Protein) |
|---|---|---|---|---|
| Liver | ||||
| Group I | 1.014 ± 0.10 | 64.736 ± 5.08 | 272.156 ± 39.59 | 0.027 ± 0.001 |
| Group II | 1.064 ± 0.09 | 65.145 ± 4.47 | 269.520 ± 42.98 | 0.027 ± 0.002 |
| Group III | 1.397 ± 0.05 # | 45.305 ± 4.14 # | 132.054 ± 30.97 # | 0.020 ± 0.001 ## |
| Group IV | 1.110 ± 0.02 ** | 66.323 ± 2.98 * | 259.020 ± 18.75 ** | 0.028 ± 0.002 * |
| Kidney | ||||
| Group I | 0.960 ± 0.05 | 42.897 ± 2.23 | 89.344 ± 10.27 | 0.022 ± 0.001 |
| Group II | 0.902 ± 0.07 | 41.857 ± 4.70 | 90.501 ± 9.37 | 0.020 ± 0.001 |
| Group III | 1.233 ± 0.07 # | 24.613 ± 4.41 # | 61.078 ± 4.09 # | 0.016 ± 0.0005 ### |
| Group IV | 1.057 ± 0.07 * | 50.946 ± 4.00 * | 98.424 ± 8.10 ** | 0.023 ± 0.0004 *** |
| Groups | Group I | Group II | Group III | Group IV |
|---|---|---|---|---|
| ASAT (IU/L) | 79 ± 12.8 | 80.2 ± 14.6 | 195.8 ± 38.9 ## | 123.2 ± 9.8 * |
| ALAT(IU/L) | 14.8 ± 2.3 | 19.7 ± 2.7 | 32.6 ± 5.3 ## | 22.2 ± 1.4 * |
| ALP (U/L) | 103 ± 22.1 | 117.5 ± 19.7 | 212.8 ± 16.1 ## | 132 ± 26.6 * |
| LDH (U/L) | 780.7± 114.2 | 802.2 ± 133.8 | 1489.8 ± 168.8 ## | 1004.3 ± 75.4 * |
| Urea (mmol/L) | 3.0 ± 0.44 | 4.1 ± 0.23 | 6.1 ± 0.58 ## | 4.23 ± 0.38 * |
| Creatinine (µmol/L) | 20 ± 1.9 | 19.3 ± 1.8 | 30.6 ± 2.97 ## | 22.8 ± 2.5 * |
Disclaimer/Publisher’s Note: The statements, opinions and data contained in all publications are solely those of the individual author(s) and contributor(s) and not of MDPI and/or the editor(s). MDPI and/or the editor(s) disclaim responsibility for any injury to people or property resulting from any ideas, methods, instructions or products referred to in the content. |
© 2023 by the authors. Licensee MDPI, Basel, Switzerland. This article is an open access article distributed under the terms and conditions of the Creative Commons Attribution (CC BY) license (https://creativecommons.org/licenses/by/4.0/).
Share and Cite
Guermazi, W.; Boukhris, S.; Annabi-Trabelsi, N.; Rebai, T.; Sellami-Kamoun, A.; Aldahmash, W.; Plavan, G.I.; Harrath, A.H.; Ayadi, H. Hyperhalophilic Diatom Extract Protects against Lead-Induced Oxidative Stress in Rats and Human HepG2 and HEK293 Cells. Pharmaceuticals 2023, 16, 875. https://doi.org/10.3390/ph16060875
Guermazi W, Boukhris S, Annabi-Trabelsi N, Rebai T, Sellami-Kamoun A, Aldahmash W, Plavan GI, Harrath AH, Ayadi H. Hyperhalophilic Diatom Extract Protects against Lead-Induced Oxidative Stress in Rats and Human HepG2 and HEK293 Cells. Pharmaceuticals. 2023; 16(6):875. https://doi.org/10.3390/ph16060875
Chicago/Turabian StyleGuermazi, Wassim, Saoussan Boukhris, Neila Annabi-Trabelsi, Tarek Rebai, Alya Sellami-Kamoun, Waleed Aldahmash, Gabriel Ionut Plavan, Abdel Halim Harrath, and Habib Ayadi. 2023. "Hyperhalophilic Diatom Extract Protects against Lead-Induced Oxidative Stress in Rats and Human HepG2 and HEK293 Cells" Pharmaceuticals 16, no. 6: 875. https://doi.org/10.3390/ph16060875
APA StyleGuermazi, W., Boukhris, S., Annabi-Trabelsi, N., Rebai, T., Sellami-Kamoun, A., Aldahmash, W., Plavan, G. I., Harrath, A. H., & Ayadi, H. (2023). Hyperhalophilic Diatom Extract Protects against Lead-Induced Oxidative Stress in Rats and Human HepG2 and HEK293 Cells. Pharmaceuticals, 16(6), 875. https://doi.org/10.3390/ph16060875

