Chronic Propafenone Application Increases Functional KIR2.1 Expression In Vitro
Abstract
1. Introduction
2. Results
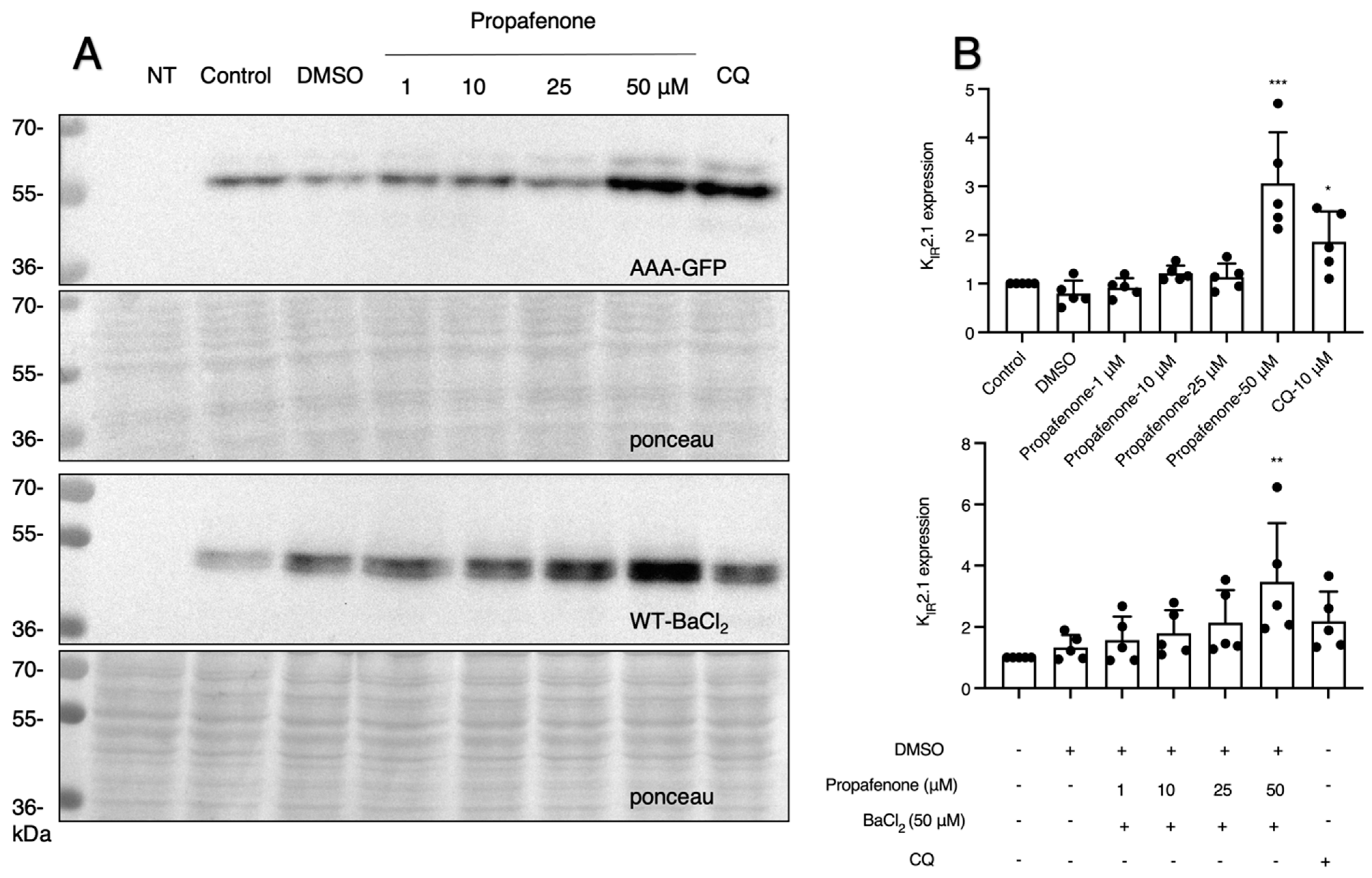
2.1. As an AgoKir, Propafenone Can Increase Both Channel Expression and IK1 Density
2.2. Propafenone Specifically Works on KIR2.1 Channels and Shows a Long Residence Time
2.3. Channel Function, Polyamine Binding Sites, and the Drug-Channel Interaction Location Do Not Interfere with the Long-Term Effect of Propafenone on KIR2.1 Expression
2.4. KIR2.1-GFP/Dendra2 Clustering and Protein Turnover Rate Indicate That Propafenone May Interfere in Late Endosome Function
3. Discussion
4. Materials and Methods
4.1. Cell Culture
4.2. KIR2.1-Mutant Expression Constructs and Transfection
4.3. Drugs
4.4. Western Blot
4.5. Cloning
4.6. Live Imaging with Confocal Microscopy
4.7. Immunofluorescence Microscopy
4.8. Washout Experiment
4.9. Cycloheximide Assay
4.10. Patch Clamp Electrophysiology
4.11. Statistics
Supplementary Materials
Author Contributions
Funding
Institutional Review Board Statement
Informed Consent Statement
Data Availability Statement
Acknowledgments
Conflicts of Interest
References
- Kurata, H.T.; Phillips, L.R.; Rose, T.; Loussouarn, G.; Herlitze, S.; Fritzenschaft, H.; Enkvetchakul, D.; Nichols, C.G.; Baukrowitz, T. Molecular basis of inward rectification: Polyamine interaction sites located by combined channel and ligand mutagenesis. J. Gen. Physiol. 2004, 124, 541–554. [Google Scholar] [CrossRef]
- Hibino, H.; Inanobe, A.; Furutani, K.; Murakami, S.; Findlay, I.; Kurachi, Y. Inwardly rectifying potassium channels: Their structure, function, and physiological roles. Physiol. Rev. 2010, 90, 291–366. [Google Scholar] [CrossRef]
- Tao, X.; Avalos, J.L.; Chen, J.; MacKinnon, R. Crystal structure of the eukaryotic strong inward-rectifier K+ channel Kir2.2 at 3.1 A resolution. Science 2009, 326, 1668–1674. [Google Scholar] [CrossRef] [PubMed]
- Anumonwo, J.M.; Lopatin, A.N. Cardiac strong inward rectifier potassium channels. J. Mol. Cell. Cardiol. 2010, 48, 45–54. [Google Scholar] [CrossRef] [PubMed]
- Kubo, Y.; Baldwin, T.J.; Jan, Y.N.; Jan, L.Y. Primary structure and functional expression of a mouse inward rectifier potassium channel. Nature 1993, 362, 127–133. [Google Scholar] [CrossRef]
- Lopatin, A.N.; Makhina, E.N.; Nichols, C.G. Potassium channel block by cytoplasmic polyamines as the mechanism of intrinsic rectification. Nature 1994, 372, 366–369. [Google Scholar] [CrossRef]
- Ficker, E.; Taglialatela, M.; Wible, B.A.; Henley, C.M.; Brown, A.M. Spermine and spermidine as gating molecules for inward rectifier K+ channels. Science 1994, 266, 1068–1072. [Google Scholar] [CrossRef] [PubMed]
- Nakamura, T.Y.; Artman, M.; Rudy, B.; Coetzee, W.A. Inhibition of rat ventricular IK1 with antisense oligonucleotides targeted to Kir2.1 mRNA. Am. J. Physiol. 1998, 274, H892–H900. [Google Scholar] [CrossRef] [PubMed]
- Lange, P.S.; Er, F.; Gassanov, N.; Hoppe, U.C. Andersen mutations of KCNJ2 suppress the native inward rectifier current IK1 in a dominant-negative fashion. Cardiovasc. Res. 2003, 59, 321–327. [Google Scholar] [CrossRef] [PubMed]
- Iijima, A.; Svecova, O.; Hosek, J.; Kula, R.; Bebarova, M. Sildenafil affects the human Kir2.1 and Kir2.2 channels at clinically relevant concentrations: Inhibition potentiated by low Ba2+. Front. Pharmacol. 2023, 14, 1136272. [Google Scholar] [CrossRef]
- Mylona, P.; Gokhale, D.A.; Taylor, G.M.; Sibley, C.P. Detection of a high-frequency silent polymorphism (C→T) in the kir2.1 (KCNJ2) inwardly rectifying potassium channel gene by polymerase chain reaction and single strand conformation polymorphism. Mol. Cell. Probes 1998, 12, 331–333. [Google Scholar] [CrossRef] [PubMed]
- Zaritsky, J.J.; Redell, J.B.; Tempel, B.L.; Schwarz, T.L. The consequences of disrupting cardiac inwardly rectifying K+ current (I(K1)) as revealed by the targeted deletion of the murine Kir2.1 and Kir2.2 genes. J. Physiol. 2001, 533, 697–710. [Google Scholar] [CrossRef]
- Dhamoon, A.S.; Jalife, J. The inward rectifier current (IK1) controls cardiac excitability and is involved in arrhythmogenesis. Heart Rhythm 2005, 2, 316–324. [Google Scholar] [CrossRef]
- Reilly, L.; Eckhardt, L.L. Cardiac potassium inward rectifier Kir2: Review of structure, regulation, pharmacology, and arrhythmogenesis. Heart Rhythm 2021, 18, 1423–1434. [Google Scholar] [CrossRef]
- Liu, Q.; Sun, J.; Dong, Y.; Li, P.; Wang, J.; Wang, Y.; Xu, Y.; Tian, X.; Wu, B.; He, P.; et al. Tetramisole is a new I(K1) channel agonist and exerts I(K1) -dependent cardioprotective effects in rats. Pharmacol. Res. Perspect. 2022, 10, e00992. [Google Scholar] [CrossRef] [PubMed]
- Weaver, C.D.; Denton, J.S. Next-generation inward rectifier potassium channel modulators: Discovery and molecular pharmacology. Am. J. Physiol. Cell. Physiol. 2021, 320, C1125–C1140. [Google Scholar] [CrossRef] [PubMed]
- van der Heyden, M.A.; Sanchez-Chapula, J.A. Toward specific cardiac I(K1) modulators for in vivo application: Old drugs point the way. Heart Rhythm 2011, 8, 1076–1080. [Google Scholar] [CrossRef]
- Fakler, B.; Brandle, U.; Glowatzki, E.; Weidemann, S.; Zenner, H.P.; Ruppersberg, J.P. Strong voltage-dependent inward rectification of inward rectifier K+ channels is caused by intracellular spermine. Cell 1995, 80, 149–154. [Google Scholar] [CrossRef]
- Baronas, V.A.; Kurata, H.T. Inward rectifiers and their regulation by endogenous polyamines. Front. Physiol. 2014, 5, 325. [Google Scholar] [CrossRef]
- Yang, J.; Jan, Y.N.; Jan, L.Y. Control of rectification and permeation by residues in two distinct domains in an inward rectifier K+ channel. Neuron 1995, 14, 1047–1054. [Google Scholar] [CrossRef]
- Xie, L.H.; John, S.A.; Weiss, J.N. Inward rectification by polyamines in mouse Kir2.1 channels: Synergy between blocking components. J. Physiol. 2003, 550, 67–82. [Google Scholar] [CrossRef] [PubMed]
- Nichols, C.G.; Lee, S.J. Polyamines and potassium channels: A 25-year romance. J. Biol. Chem. 2018, 293, 18779–18788. [Google Scholar] [CrossRef] [PubMed]
- Xia, M.; Jin, Q.; Bendahhou, S.; He, Y.; Larroque, M.M.; Chen, Y.; Zhou, Q.; Yang, Y.; Liu, Y.; Liu, B.; et al. A Kir2.1 gain-of-function mutation underlies familial atrial fibrillation. Biochem. Biophys. Res. Commun. 2005, 332, 1012–1019. [Google Scholar] [CrossRef] [PubMed]
- Yim, J.; Kim, K.B.; Kim, M.; Lee, G.D.; Kim, M. Andersen-Tawil Syndrome With Novel Mutation in KCNJ2: Case Report. Front. Pediatr. 2021, 9, 790075. [Google Scholar] [CrossRef]
- Le Tanno, P.; Folacci, M.; Revilloud, J.; Faivre, L.; Laurent, G.; Pinson, L.; Amedro, P.; Millat, G.; Janin, A.; Vivaudou, M.; et al. Characterization of Loss-Of-Function KCNJ2 Mutations in Atypical Andersen Tawil Syndrome. Front. Genet. 2021, 12, 773177. [Google Scholar] [CrossRef]
- Marrus, S.B.; Cuculich, P.S.; Wang, W.; Nerbonne, J.M. Characterization of a novel, dominant negative KCNJ2 mutation associated with Andersen-Tawil syndrome. Channels 2011, 5, 500–509. [Google Scholar] [CrossRef][Green Version]
- Vivekanandam, V.; Mannikko, R.; Skorupinska, I.; Germain, L.; Gray, B.; Wedderburn, S.; Kozyra, D.; Sud, R.; James, N.; Holmes, S.; et al. Andersen-Tawil syndrome: Deep phenotyping reveals significant cardiac and neuromuscular morbidity. Brain 2022, 145, 2108–2120. [Google Scholar] [CrossRef]
- Miake, J.; Marban, E.; Nuss, H.B. Functional role of inward rectifier current in heart probed by Kir2.1 overexpression and dominant-negative suppression. J. Clin. Investig. 2003, 111, 1529–1536. [Google Scholar] [CrossRef]
- Van der Schoor, L.; Van Hattum, E.J.; de Wilde, S.M.; Harlianto, N.I.; Van Weert, A.J.; Bloothooft, M.; Van der Heyden, M.A.G. Towards the Development of AgoKirs: New Pharmacological Activators to Study Kir2.x Channel and Target Cardiac Disease. Int. J. Mol. Sci. 2020, 21, 5746. [Google Scholar] [CrossRef]
- Gomez, R.; Caballero, R.; Barana, A.; Amoros, I.; De Palm, S.H.; Matamoros, M.; Nunez, M.; Perez-Hernandez, M.; Iriepa, I.; Tamargo, J.; et al. Structural basis of drugs that increase cardiac inward rectifier Kir2.1 currents. Cardiovasc. Res. 2014, 104, 337–346. [Google Scholar] [CrossRef]
- Stoschitzky, K.; Stoschitzky, G.; Lercher, P.; Brussee, H.; Lamprecht, G.; Lindner, W. Propafenone shows class Ic and class II antiarrhythmic effects. Europace 2016, 18, 568–571. [Google Scholar] [CrossRef] [PubMed]
- Kovacs, B.; Yakupoglu, H.Y.; Eriksson, U.; Krasniqi, N.; Duru, F. Medical therapy with flecainide and propafenone in atrial fibrillation: Long-term clinical experience in the tertiary care setting. Cardiol. J. 2023, 30, 82–90. [Google Scholar] [CrossRef] [PubMed]
- Bryson, H.M.; Palmer, K.J.; Langtry, H.D.; Fitton, A. Propafenone. A reappraisal of its pharmacology, pharmacokinetics and therapeutic use in cardiac arrhythmias. Drugs 1993, 45, 85–130. [Google Scholar] [CrossRef]
- Takanari, H.; Nalos, L.; Stary-Weinzinger, A.; de Git, K.C.; Varkevisser, R.; Linder, T.; Houtman, M.J.; Peschar, M.; de Boer, T.P.; Tidwell, R.R.; et al. Efficient and specific cardiac IK(1) inhibition by a new pentamidine analogue. Cardiovasc. Res. 2013, 99, 203–214. [Google Scholar] [CrossRef] [PubMed]
- de Git, K.C.; de Boer, T.P.; Vos, M.A.; Van der Heyden, M.A.G. Cardiac ion channel trafficking defects and drugs. Pharmacol. Ther. 2013, 139, 24–31. [Google Scholar] [CrossRef]
- Jansen, J.A.; De Boer, T.P.; Wolswinkel, R.; Van Veen, T.A.; Vos, M.A.; Van Rijen, H.V.; Van der Heyden, M.A.G. Lysosome mediated Kir2.1 breakdown directly influences inward rectifier current density. Biochem. Biophys. Res. Commun. 2008, 367, 687–692. [Google Scholar] [CrossRef]
- Nalos, L.; De Boer, T.P.; Houtman, M.J.; Rook, M.B.; Vos, M.A.; Van der Heyden, M.A.G. Inhibition of lysosomal degradation rescues pentamidine-mediated decreases of KIR2.1 ion channel expression but not that of Kv11.1. Eur. J. Pharmacol. 2011, 652, 96–103. [Google Scholar] [CrossRef]
- Ohkuma, S.; Poole, B. Fluorescence probe measurement of the intralysosomal pH in living cells and the perturbation of pH by various agents. Proc. Natl. Acad. Sci. USA 1978, 75, 3327–3331. [Google Scholar] [CrossRef]
- Zhou, Z.; Gong, Q.; Ye, B.; Fan, Z.; Makielski, J.C.; Robertson, G.A.; January, C.T. Properties of HERG channels stably expressed in HEK 293 cells studied at physiological temperature. Biophys. J. 1998, 74, 230–241. [Google Scholar] [CrossRef]
- Chakrabarti, S.; Wu, X.; Yang, Z.; Wu, L.; Yong, S.L.; Zhang, C.; Hu, K.; Wang, Q.K.; Chen, Q. MOG1 rescues defective trafficking of Na(v)1.5 mutations in Brugada syndrome and sick sinus syndrome. Circ. Arrhythm. Electrophysiol. 2013, 6, 392–401. [Google Scholar] [CrossRef]
- Fader, C.M.; Colombo, M.I. Autophagy and multivesicular bodies: Two closely related partners. Cell Death Differ. 2009, 16, 70–78. [Google Scholar] [CrossRef] [PubMed]
- Henne, W.M.; Buchkovich, N.J.; Emr, S.D. The ESCRT pathway. Dev. Cell 2011, 21, 77–91. [Google Scholar] [CrossRef] [PubMed]
- Dean, L. Propafenone Therapy and CYP2D6 Genotype. In Medical Genetics Summaries; Pratt, V.M., Scott, S.A., Pirmohamed, M., Esquivel, B., Kane, M.S., Kattman, B.L., Malheiro, A.J., Eds.; National Center for Biotechnology Information (US): Bethesda, MD, USA, 2012. [Google Scholar]
- Cay, S.; Kara, M.; Ozcan, F.; Ozeke, O.; Aksu, T.; Aras, D.; Topaloglu, S. Propafenone use in coronary artery disease patients undergoing atrial fibrillation ablation. J. Interv. Card Electrophysiol. 2022, 65, 381–389. [Google Scholar] [CrossRef] [PubMed]
- Tamargo, J.; Valenzuela, C.; Delpon, E. New insights into the pharmacology of sodium channel blockers. Eur. Heart J. 1992, 13 (Suppl. F), 2–13. [Google Scholar] [CrossRef]
- Delpon, E.; Valenzuela, C.; Perez, O.; Casis, O.; Tamargo, J. Propafenone preferentially blocks the rapidly activating component of delayed rectifier K+ current in guinea pig ventricular myocytes. Voltage-independent and time-dependent block of the slowly activating component. Circ. Res. 1995, 76, 223–235. [Google Scholar] [CrossRef]
- Abi Samra, F. The clinical use of class IC antiarrhythmic drugs. J. La. State Med. Soc. 1989, 141, 27–31. [Google Scholar]
- Femenia, F.; Palazzolo, J.; Arce, M.; Arrieta, M. Proarrhythmia Induced by Propafenone: What is the Mechanism? Indian Pacing Electrophysiol. J. 2010, 10, 278–280. [Google Scholar]
- Chu, Y.Q.; Wang, C.; Li, X.M.; Wang, H. Propafenone-Induced QRS Widening in a Child With Arrhythmogenic Right Ventricular Cardiomyopathy: A Case Report and Literatures Review. Front. Pediatr. 2020, 8, 481330. [Google Scholar] [CrossRef]
- Tomcsanyi, J.; Tomcsanyi, K. Wide QRS alternans caused by propafenone toxicity. Acta Cardiol. 2019, 74, 82–83. [Google Scholar] [CrossRef]
- Puljevic, D.; Smalcelj, A.; Durakovic, Z.; Goldner, V. The influence of atenolol and propafenone on QT interval dispersion in patients 3 months after myocardial infarction. Int. J. Clin. Pharmacol. Ther. 1997, 35, 381–384. [Google Scholar]
- Keramari, S.; Poutoglidis, A.; Poutoglidou, F.; Kaiafa, G.; Keramaris, M. Propafenone Poisoning of a Female Adolescent After a Suicide Attempt. Cureus 2021, 13, e16576. [Google Scholar] [CrossRef]
- Latini, R.; Barbieri, E.; Castello, C.; Marchi, S.; Sica, A.; Gerosa, G.; Rossi, R.; Zardini, P. Propafenone and 5-hydroxypropafenone concentrations in the right atrium of patients undergoing heart surgery. Am. Heart J. 1989, 117, 497–498. [Google Scholar] [CrossRef]
- Steurer, G.; Weber, H.; Schmidinger, H.; Plass, H.; Frey, B.; Purerfellner, H.; Probst, P. Plasma propafenone concentration in the evaluation of anti-arrhythmic efficacy. Eur. Heart J. 1991, 12, 526–532. [Google Scholar] [CrossRef] [PubMed]
- Manu, P.; Rogozea, L.M.; Dan, G.A. Pharmacological Management of Atrial Fibrillation: A Century of Expert Opinions in Cecil Textbook of Medicine. Am. J. Ther. 2022, 29, e18–e25. [Google Scholar] [CrossRef]
- Goversen, B.; de Boer, T.P.; van der Heyden, M.A.G. Commentary: Reciprocal Modulation of IK1-INa Extends Excitability in Cardiac Ventricular Cells. Front. Physiol. 2016, 7, 647. [Google Scholar] [CrossRef]
- Varghese, A. Reciprocal Modulation of IK1-INa Extends Excitability in Cardiac Ventricular Cells. Front. Physiol. 2016, 7, 542. [Google Scholar] [CrossRef]
- Milstein, M.L.; Musa, H.; Balbuena, D.P.; Anumonwo, J.M.; Auerbach, D.S.; Furspan, P.B.; Hou, L.; Hu, B.; Schumacher, S.M.; Vaidyanathan, R.; et al. Dynamic reciprocity of sodium and potassium channel expression in a macromolecular complex controls cardiac excitability and arrhythmia. Proc. Natl. Acad. Sci. USA 2012, 109, E2134–E2143. [Google Scholar] [CrossRef] [PubMed]
- Utrilla, R.G.; Nieto-Marin, P.; Alfayate, S.; Tinaquero, D.; Matamoros, M.; Perez-Hernandez, M.; Sacristan, S.; Ondo, L.; de Andres, R.; Diez-Guerra, F.J.; et al. Kir2.1-Nav1.5 Channel Complexes Are Differently Regulated than Kir2.1 and Nav1.5 Channels Alone. Front. Physiol. 2017, 8, 903. [Google Scholar] [CrossRef] [PubMed]
- Ponce-Balbuena, D.; Guerrero-Serna, G.; Valdivia, C.R.; Caballero, R.; Diez-Guerra, F.J.; Jimenez-Vazquez, E.N.; Ramirez, R.J.; Monteiro da Rocha, A.; Herron, T.J.; Campbell, K.F.; et al. Cardiac Kir2.1 and NaV1.5 Channels Traffic Together to the Sarcolemma to Control Excitability. Circ. Res. 2018, 122, 1501–1516. [Google Scholar] [CrossRef] [PubMed]
- Perez-Hernandez, M.; Matamoros, M.; Alfayate, S.; Nieto-Marin, P.; Utrilla, R.G.; Tinaquero, D.; de Andres, R.; Crespo, T.; Ponce-Balbuena, D.; Willis, B.C.; et al. Brugada syndrome trafficking-defective Nav1.5 channels can trap cardiac Kir2.1/2.2 channels. JCI Insight 2018, 3, e96291. [Google Scholar] [CrossRef]
- Matamoros, M.; Perez-Hernandez, M.; Guerrero-Serna, G.; Amoros, I.; Barana, A.; Nunez, M.; Ponce-Balbuena, D.; Sacristan, S.; Gomez, R.; Tamargo, J.; et al. Nav1.5 N-terminal domain binding to alpha1-syntrophin increases membrane density of human Kir2.1, Kir2.2 and Nav1.5 channels. Cardiovasc. Res. 2016, 110, 279–290. [Google Scholar] [CrossRef] [PubMed]
- Shieh, R.C.; Chang, J.C.; Arreola, J. Interaction of Ba2+ with the pores of the cloned inward rectifier K+ channels Kir2.1 expressed in Xenopus oocytes. Biophys J. 1998, 75, 2313–2322. [Google Scholar] [CrossRef]
- Hsieh, C.P.; Kuo, C.C.; Huang, C.W. Driving force-dependent block by internal Ba2+ on the Kir2.1 channel: Mechanistic insight into inward rectification. Biophys. Chem. 2015, 202, 40–57. [Google Scholar] [CrossRef] [PubMed]
- Clarke, O.B.; Caputo, A.T.; Hill, A.P.; Vandenberg, J.I.; Smith, B.J.; Gulbis, J.M. Domain reorientation and rotation of an intracellular assembly regulate conduction in Kir potassium channels. Cell 2010, 141, 1018–1029. [Google Scholar] [CrossRef] [PubMed]
- Van der Heyden, M.A.G.; Jespersen, T. Pharmacological exploration of the resting membrane potential reserve: Impact on atrial fibrillation. Eur. J. Pharmacol. 2016, 771, 56–64. [Google Scholar] [CrossRef]
- Pegan, S.; Arrabit, C.; Zhou, W.; Kwiatkowski, W.; Collins, A.; Slesinger, P.A.; Choe, S. Cytoplasmic domain structures of Kir2.1 and Kir3.1 show sites for modulating gating and rectification. Nat. Neurosci. 2005, 8, 279–287. [Google Scholar] [CrossRef]
- Caballero, R.; Dolz-Gaiton, P.; Gomez, R.; Amoros, I.; Barana, A.; Gonzalez de la Fuente, M.; Osuna, L.; Duarte, J.; Lopez-Izquierdo, A.; Moraleda, I.; et al. Flecainide increases Kir2.1 currents by interacting with cysteine 311, decreasing the polyamine-induced rectification. Proc. Natl. Acad. Sci. USA 2010, 107, 15631–15636. [Google Scholar] [CrossRef]
- Garneau, L.; Klein, H.; Parent, L.; Sauve, R. Contribution of cytosolic cysteine residues to the gating properties of the Kir2.1 inward rectifier. Biophys. J. 2003, 84, 3717–3729. [Google Scholar] [CrossRef][Green Version]
- Bandyopadhyay, D.; Cyphersmith, A.; Zapata, J.A.; Kim, Y.J.; Payne, C.K. Lysosome transport as a function of lysosome diameter. PLoS ONE 2014, 9, e86847. [Google Scholar] [CrossRef]
- Piper, R.C.; Luzio, J.P. Late endosomes: Sorting and partitioning in multivesicular bodies. Traffic 2001, 2, 612–621. [Google Scholar] [CrossRef]
- Hu, Y.B.; Dammer, E.B.; Ren, R.J.; Wang, G. The endosomal-lysosomal system: From acidification and cargo sorting to neurodegeneration. Transl. Neurodegener. 2015, 4, 18. [Google Scholar] [CrossRef]
- de Boer, T.P.; van Veen, T.A.; Houtman, M.J.; Jansen, J.A.; van Amersfoorth, S.C.; Doevendans, P.A.; Vos, M.A.; van der Heyden, M.A.G. Inhibition of cardiomyocyte automaticity by electrotonic application of inward rectifier current from Kir2.1 expressing cells. Med. Biol. Eng. Comput. 2006, 44, 537–542. [Google Scholar] [CrossRef]
- Li, E.; Loen, V.; Van Ham, W.B.; Kool, W.; Van der Heyden, M.A.G.; Takanari, H. Quantitative analysis of the cytoskeleton’s role in inward rectifier KIR2.1 forward and backward trafficking. Front. Physiol. 2021, 12, 812572. [Google Scholar] [CrossRef] [PubMed]
- Qile, M.; Beekman, H.D.M.; Sprenkeler, D.J.; Houtman, M.J.C.; van Ham, W.B.; Stary-Weinzinger, A.; Beyl, S.; Hering, S.; van den Berg, D.J.; de Lange, E.C.M.; et al. LUF7244, an allosteric modulator/activator of Kv 11.1 channels, counteracts dofetilide-induced torsades de pointes arrhythmia in the chronic atrioventricular block dog model. Br. J. Pharmacol. 2019, 176, 3871–3885. [Google Scholar] [CrossRef]
- Rodriguez-Menchaca, A.A.; Navarro-Polanco, R.A.; Ferrer-Villada, T.; Rupp, J.; Sachse, F.B.; Tristani-Firouzi, M.; Sanchez-Chapula, J.A. The molecular basis of chloroquine block of the inward rectifier Kir2.1 channel. Proc. Natl. Acad. Sci. USA 2008, 105, 1364–1368. [Google Scholar] [CrossRef] [PubMed]
- de Boer, T.P.; Nalos, L.; Stary, A.; Kok, B.; Houtman, M.J.; Antoons, G.; van Veen, T.A.; Beekman, J.D.; de Groot, B.L.; Opthof, T.; et al. The anti-protozoal drug pentamidine blocks KIR2.x-mediated inward rectifier current by entering the cytoplasmic pore region of the channel. Br. J. Pharmacol. 2010, 159, 1532–1541. [Google Scholar] [CrossRef]
- Lee, Y.M.; Thompson, G.A.; Ashmole, I.; Leyland, M.; So, I.; Stanfield, P.R. Multiple residues in the p-region and m2 of murine kir 2.1 regulate blockage by external ba. Korean J. Physiol. Pharmacol. 2009, 13, 61–70. [Google Scholar] [CrossRef] [PubMed]
- Fernandes, C.A.H.; Zuniga, D.; Fagnen, C.; Kugler, V.; Scala, R.; Pehau-Arnaudet, G.; Wagner, R.; Perahia, D.; Bendahhou, S.; Venien-Bryan, C. Cryo-electron microscopy unveils unique structural features of the human Kir2.1 channel. Sci. Adv. 2022, 8, eabq8489. [Google Scholar] [CrossRef]
- Houtman, M.J.C.; Chen, X.; Qile, M.; Duran, K.; van Haaften, G.; Stary-Weinzinger, A.; van der Heyden, M.A.G. Glibenclamide and HMR1098 normalize Cantu syndrome-associated gain-of-function currents. J. Cell Mol. Med. 2019, 23, 4962–4969. [Google Scholar] [CrossRef]
- Hund, T.J.; Koval, O.M.; Li, J.; Wright, P.J.; Qian, L.; Snyder, J.S.; Gudmundsson, H.; Kline, C.F.; Davidson, N.P.; Cardona, N.; et al. A beta(IV)-spectrin/CaMKII signaling complex is essential for membrane excitability in mice. J. Clin. Investig. 2010, 120, 3508–3519. [Google Scholar] [CrossRef]







Disclaimer/Publisher’s Note: The statements, opinions and data contained in all publications are solely those of the individual author(s) and contributor(s) and not of MDPI and/or the editor(s). MDPI and/or the editor(s) disclaim responsibility for any injury to people or property resulting from any ideas, methods, instructions or products referred to in the content. |
© 2023 by the authors. Licensee MDPI, Basel, Switzerland. This article is an open access article distributed under the terms and conditions of the Creative Commons Attribution (CC BY) license (https://creativecommons.org/licenses/by/4.0/).
Share and Cite
Li, E.; Kool, W.; Woolschot, L.; van der Heyden, M.A.G. Chronic Propafenone Application Increases Functional KIR2.1 Expression In Vitro. Pharmaceuticals 2023, 16, 404. https://doi.org/10.3390/ph16030404
Li E, Kool W, Woolschot L, van der Heyden MAG. Chronic Propafenone Application Increases Functional KIR2.1 Expression In Vitro. Pharmaceuticals. 2023; 16(3):404. https://doi.org/10.3390/ph16030404
Chicago/Turabian StyleLi, Encan, Willy Kool, Liset Woolschot, and Marcel A. G. van der Heyden. 2023. "Chronic Propafenone Application Increases Functional KIR2.1 Expression In Vitro" Pharmaceuticals 16, no. 3: 404. https://doi.org/10.3390/ph16030404
APA StyleLi, E., Kool, W., Woolschot, L., & van der Heyden, M. A. G. (2023). Chronic Propafenone Application Increases Functional KIR2.1 Expression In Vitro. Pharmaceuticals, 16(3), 404. https://doi.org/10.3390/ph16030404

