Lipidated Peptidomimetic Ligand-Functionalized HER2 Targeted Liposome as Nano-Carrier Designed for Doxorubicin Delivery in Cancer Therapy
Abstract
1. Introduction
2. Results
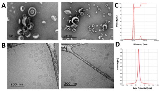
2.1. Characteristics of Dox-Encapsulating SA-5 Peptidomimetic Liposomes
2.2. Stability of Liposomes
2.3. Antiproliferative Activity
2.4. Time-Dependent In Vitro Cellular Uptake
2.5. In Vitro Fluorescence Microscopy Studies
2.6. In Vitro Release of Dox from Liposomes Formulations
2.7. In Vivo Activity
2.8. Histopathology of Tissues and Assessment of Toxicity
2.9. Inhibition of EGFR Heterodimerization In Vivo
3. Discussion
4. Materials and Methods
4.1. Materials
4.2. Synthesis of Lipidized Peptidomimetic
4.3. Liposome Preparation
4.4. Characterization of Liposome
4.5. Encapsulation Efficiency Analysis
4.6. Stability of Liposome
4.7. Antiproliferative Activity
4.8. Time-Dependent Cellular Uptake
4.9. Total Protein Concentration Determination
4.10. In Vitro Fluorescence Microscopy Studies
4.11. In Vitro Release of Dox from Liposomes Formulations
4.12. In Vivo Anti-Tumor Efficacy Evaluation
4.13. Inhibition of EGFR Heterodimerization In Vivo
4.14. Histopathology of Tissues and Assessment of Toxicity
5. Conclusions
Supplementary Materials
Author Contributions
Funding
Institutional Review Board Statement
Informed Consent Statement
Data Availability Statement
Acknowledgments
Conflicts of Interest
References
- Marin, J.J.; Romero, M.R.; Blazquez, A.G.; Herraez, E.; Keck, E.; Briz, O. Importance and limitations of chemotherapy among the available treatments for gastrointestinal tumours. Anticancer Agents Med. Chem. 2009, 9, 162–184. [Google Scholar] [CrossRef]
- Alexis, F.; Pridgen, E.M.; Langer, R.; Farokhzad, O.C. Nanoparticle technologies for cancer therapy. In Drug Delivery; Springer: Berlin/Heidelberg, Germany, 2010; pp. 55–86. [Google Scholar]
- Sonju, J.J.; Dahal, A.; Singh, S.S.; Jois, S.D. Peptide-functionalized liposomes as therapeutic and diagnostic tools for cancer treatment. J. Control. Release 2020, 329, 624–644. [Google Scholar] [CrossRef]
- Torchilin, V.P. Recent advances with liposomes as pharmaceutical carriers. Nat. Rev. Drug Discov. 2005, 4, 145. [Google Scholar] [CrossRef]
- Immordino, M.L.; Dosio, F.; Cattel, L. Stealth liposomes: Review of the basic science, rationale, and clinical applications, existing and potential. Int. J. Nanomed. 2006, 1, 297. [Google Scholar]
- Sapra, P.; Allen, T. Ligand-targeted liposomal anticancer drugs. Prog. Lipid Res. 2003, 42, 439–462. [Google Scholar] [CrossRef]
- Danhier, F.; Feron, O.; Préat, V. To exploit the tumor microenvironment: Passive and active tumor targeting of nanocarriers for anti-cancer drug delivery. J. Control. Release 2010, 148, 135–146. [Google Scholar] [CrossRef] [PubMed]
- Oh, D.Y.; Bang, Y.J. Her2-targeted therapies—A role beyond breast cancer. Nat. Rev. Clin. Oncol. 2020, 17, 33–48. [Google Scholar] [CrossRef]
- Allen, T.M. Ligand-targeted therapeutics in anticancer therapy. Nat. Rev. Cancer 2002, 2, 750. [Google Scholar] [CrossRef]
- Sapra, P.; Tyagi, P.; Allen, T.M. Ligand-targeted liposomes for cancer treatment. Curr. Drug Deliv. 2005, 2, 369–381. [Google Scholar] [CrossRef]
- Patil, R.R.; Guhagarkar, S.A.; Devarajan, P.V. Engineered nanocarriers of doxorubicin: A current update. Crit. Rev. Ther. TM Drug Carr. Syst. 2008, 25, 1–61. [Google Scholar] [CrossRef] [PubMed]
- Perez, A.T.; Domenech, G.H.; Frankel, C.; Vogel, C.L. Pegylated liposomal doxorubicin (doxil®) for metastatic breast cancer: The cancer research network, inc., experience. Cancer Investig. 2002, 20, 22–29. [Google Scholar] [CrossRef]
- Nagano, T.; Kim, Y.H.; Goto, K.; Kubota, K.; Ohmatsu, H.; Niho, S.; Yoh, K.; Naito, Y.; Saijo, N.; Nishiwaki, Y. Re-challenge chemotherapy for relapsed non-small-cell lung cancer. Lung Cancer 2010, 69, 315–318. [Google Scholar] [CrossRef]
- Lv, Q.; Meng, Z.; Yu, Y.; Jiang, F.; Guan, D.; Liang, C.; Zhou, J.; Lu, A.; Zhang, G. Molecular mechanisms and translational therapies for human epidermal receptor 2 positive breast cancer. Int. J. Mol. Sci. 2016, 17, 2095. [Google Scholar] [CrossRef]
- Naik, H.; Gauthier, T.; Singh, S.; Jois, S. Design of novel lipidated peptidomimetic conjugates for targeting egfr heterodimerization in her2+cancer. Bioorg. Med. Chem. Lett. 2018, 28, 3506–3513. [Google Scholar] [CrossRef] [PubMed]
- Banappagari, S.; Ronald, S.; Satyanarayanajois, S.D. A conformationally constrained peptidomimetic binds to the extracellular region of her2 protein. J. Biomol. Struct. Dyn. 2010, 28, 289–308. [Google Scholar] [CrossRef]
- Liu, S.; Li, S.; Hai, J.; Wang, X.; Chen, T.; Quinn, M.M.; Gao, P.; Zhang, Y.; Ji, H.; Cross, D.A.E.; et al. Targeting her2 aberrations in non-small cell lung cancer with osimertinib. Clin. Cancer Res. 2018, 24, 2594–2604. [Google Scholar] [CrossRef]
- Mar, N.; Vredenburgh, J.J.; Wasser, J.S. Targeting her2 in the treatment of non-small cell lung cancer. Lung Cancer 2015, 87, 220–225. [Google Scholar] [CrossRef] [PubMed]
- Banappagari, S.; Corti, M.; Pincus, S.; Satyanarayanajois, S. Inhibition of protein-protein interaction of her2-egfr and her2-her3 by a rationally designed peptidomimetic. J. Biomol. Struct. Dyn. 2012, 30, 594–606. [Google Scholar] [CrossRef] [PubMed]
- Valley, C.C.; Arndt-Jovin, D.J.; Karedla, N.; Steinkamp, M.P.; Chizhik, A.I.; Hlavacek, W.S.; Wilson, B.S.; Lidke, K.A.; Lidke, D.S. Enhanced dimerization drives ligand-independent activity of mutant epidermal growth factor receptor in lung cancer. Mol. Biol. Cell. 2015, 26, 4087–4099. [Google Scholar] [CrossRef]
- Arteaga, C.L.; Sliwkowski, M.X.; Osborne, C.K.; Perez, E.A.; Puglisi, F.; Gianni, L. Treatment of her2-positive breast cancer: Current status and future perspectives. Nat. Rev. Clin. Oncol. 2012, 9, 16–32. [Google Scholar] [CrossRef]
- Gewirtz, D.A. A critical evaluation of the mechanisms of action proposed for the antitumor effects of the anthracycline antibiotics adriamycin and daunorubicin. Biochem. Pharm. 1999, 57, 727–741. [Google Scholar] [CrossRef]
- Leighl, N.B.; Goss, G.D.; Lopez, P.G.; Burkes, R.L.; Dancey, J.E.; Rahim, Y.H.; Rudinskas, L.C.; Pouliot, J.F.; Rodgers, A.; Pond, G.R.; et al. Phase ii study of pegylated liposomal doxorubicin hcl (caelyx) in combination with cyclophosphamide and vincristine as second-line treatment of patients with small cell lung cancer. Lung Cancer 2006, 52, 327–332. [Google Scholar] [CrossRef] [PubMed]
- Alyane, M.; Barratt, G.; Lahouel, M. Remote loading of doxorubicin into liposomes by transmembrane ph gradient to reduce toxicity toward h9c2 cells. Saudi Pharm. J. 2016, 24, 165–175. [Google Scholar] [CrossRef] [PubMed]
- Ogawara, K.; Un, K.; Tanaka, K.; Higaki, K.; Kimura, T. In vivo anti-tumor effect of peg liposomal doxorubicin (dox) in dox-resistant tumor-bearing mice: Involvement of cytotoxic effect on vascular endothelial cells. J. Control Release 2009, 133, 4–10. [Google Scholar] [CrossRef]
- Moya, M.L.; Lopez-Lopez, M.; Lebron, J.A.; Ostos, F.J.; Perez, D.; Camacho, V.; Beck, I.; Merino-Bohorquez, V.; Camean, M.; Madinabeitia, N.; et al. Preparation and characterization of new liposomes. Bactericidal activity of cefepime encapsulated into cationic liposomes. Pharmaceutics 2019, 11, 69. [Google Scholar] [CrossRef] [PubMed]
- Bunn, P.A., Jr.; Helfrich, B.; Soriano, A.F.; Franklin, W.A.; Varella-Garcia, M.; Hirsch, F.R.; Baron, A.; Zeng, C.; Chan, D.C. Expression of her-2/neu in human lung cancer cell lines by immunohistochemistry and fluorescence in situ hybridization and its relationship to in vitro cytotoxicity by trastuzumab and chemotherapeutic agents. Clin. Cancer Res. 2001, 7, 3239–3250. [Google Scholar]
- Kanthala, S.; Banappagari, S.; Gokhale, A.; Liu, Y.Y.; Xin, G.; Zhao, Y.; Jois, S. Novel peptidomimetics for inhibition of her 2: Her 3 heterodimerization in her 2-positive breast cancer. Chem. Biol. Drug Des. 2015, 85, 702–714. [Google Scholar] [CrossRef] [PubMed]
- Wang, X.; Wang, X.L.; Chen, H.L.; Wu, D.; Chen, J.X.; Wang, X.X.; Li, R.L.; He, J.H.; Mo, L.; Cen, X.; et al. Ghrelin inhibits doxorubicin cardiotoxicity by inhibiting excessive autophagy through ampk and p38-mapk. Biochem. Pharm. 2014, 88, 334–350. [Google Scholar] [CrossRef] [PubMed]
- Aston, W.J.; Hope, D.E.; Nowak, A.K.; Robinson, B.W.; Lake, R.A.; Lesterhuis, W.J. A systematic investigation of the maximum tolerated dose of cytotoxic chemotherapy with and without supportive care in mice. BMC Cancer 2017, 17, 684. [Google Scholar] [CrossRef] [PubMed]
- Lim, E.; Modi, K.D.; Kim, J. In vivo bioluminescent imaging of mammary tumors using ivis spectrum. J. Vis. Exp. 2009, 26, e1210. [Google Scholar] [CrossRef]
- Ugocsai, K.; Mándoky, L.; Tiszlavicz, L.; Molnár, J. Investigation of her2 overexpression in non-small cell lung cancer. Anticancer Res. 2005, 25, 3061–3066. [Google Scholar]
- Kim, E.K.; Kim, K.A.; Lee, C.Y.; Shim, H.S. The frequency and clinical impact of her2 alterations in lung adenocarcinoma. PLoS ONE 2017, 12, e0171280. [Google Scholar] [CrossRef]
- Hirsch, F.; Varella-Garcia, M.; Cappuzzo, F. Predictive value of egfr and her2 overexpression in advanced non-small-cell lung cancer. Oncogene 2009, 28, S32. [Google Scholar] [CrossRef] [PubMed]
- Perrino, C.; Schiattarella, G.G.; Magliulo, F.; Ilardi, F.; Carotenuto, G.; Gargiulo, G.; Serino, F.; Ferrone, M.; Scudiero, F.; Carbone, A. Cardiac side effects of chemotherapy: State of art and strategies for a correct management. Curr. Vasc. Pharmacol. 2014, 12, 106–116. [Google Scholar] [CrossRef] [PubMed]
- Rajeswaran, A.; Trojan, A.; Burnand, B.; Giannelli, M. Efficacy and side effects of cisplatin-and carboplatin-based doublet chemotherapeutic regimens versus non-platinum-based doublet chemotherapeutic regimens as first line treatment of metastatic non-small cell lung carcinoma: A systematic review of randomized controlled trials. Lung Cancer 2008, 59, 1–11. [Google Scholar]
- Numico, G.; Castiglione, F.; Granetto, C.; Garrone, O.; Mariani, G.; Costanzo, G.D.; Ciura, P.L.; Gasco, M.; Ostellino, O.; Porcile, G.; et al. Single-agent pegylated liposomal doxorubicin (caelix) in chemotherapy pretreated non-small cell lung cancer patients: A pilot trial. Lung Cancer 2002, 35, 59–64. [Google Scholar] [CrossRef]
- Ding, Y.; Cui, W.; Sun, D.; Wang, G.L.; Hei, Y.; Meng, S.; Chen, J.H.; Xie, Y.; Wang, Z.Q. In vivo study of doxorubicin-loaded cell-penetrating peptide-modified ph-sensitive liposomes: Biocompatibility, bio-distribution, and pharmacodynamics in balb/c nude mice bearing human breast tumors. Drug Des. Devel. 2017, 11, 3105–3117. [Google Scholar] [CrossRef] [PubMed]
- Ayoub, N.M.; Al-Shami, K.M.; Yaghan, R.J. Immunotherapy for her2-positive breast cancer: Recent advances and combination therapeutic approaches. Breast Cancer 2019, 11, 53–69. [Google Scholar] [CrossRef] [PubMed]
- Abu Lila, A.S.; Ishida, T. Liposomal delivery systems: Design optimization and current applications. Biol. Pharm. Bull. 2017, 40, 1–10. [Google Scholar] [CrossRef]
- Needham, D.; Anyarambhatla, G.; Kong, G.; Dewhirst, M.W. A new temperature-sensitive liposome for use with mild hyperthermia: Characterization and testing in a human tumor xenograft model. Cancer Res. 2000, 60, 1197–1201. [Google Scholar]
- Yingchoncharoen, P.; Kalinowski, D.S.; Richardson, D.R. Lipid-based drug delivery systems in cancer therapy: What is available and what is yet to come. Pharm. Rev. 2016, 68, 701–787. [Google Scholar] [CrossRef]
- Hashizume, H.; Baluk, P.; Morikawa, S.; McLean, J.W.; Thurston, G.; Roberge, S.; Jain, R.K.; McDonald, D.M. Openings between defective endothelial cells explain tumor vessel leakiness. Am. J. Pathol. 2000, 156, 1363–1380. [Google Scholar] [CrossRef]
- Wacker, M. Nanocarriers for intravenous injection—The long hard road to the market. Int. J. Pharm. 2013, 457, 50–62. [Google Scholar] [CrossRef]
- Cho, W.S.; Cho, M.; Kim, S.R.; Choi, M.; Lee, J.Y.; Han, B.S.; Park, S.N.; Yu, M.K.; Jon, S.; Jeong, J. Pulmonary toxicity and kinetic study of cy5.5-conjugated superparamagnetic iron oxide nanoparticles by optical imaging. Toxicol. Appl. Pharm. 2009, 239, 106–115. [Google Scholar] [CrossRef] [PubMed]
- Nogueira, E.; Gomes, A.C.; Preto, A.; Cavaco-Paulo, A. Design of liposomal formulations for cell targeting. Colloids Surf B Biointerfaces 2015, 136, 514–526. [Google Scholar] [CrossRef]
- Suga, T.; Kato, N.; Hagimori, M.; Fuchigami, Y.; Kuroda, N.; Kodama, Y.; Sasaki, H.; Kawakami, S. Development of high-functionality and -quality lipids with rgd peptide ligands: Application for pegylated liposomes and analysis of intratumoral distribution in a murine colon cancer model. Mol. Pharm. 2018, 15, 4481–4490. [Google Scholar] [CrossRef]
- Schlieper, P.; Medda, P.K.; Kaufmann, R. Drug-induced zeta potential changes in liposomes studied by laser doppler spectroscopy. Biochimica et Biophysica Acta Biomembr. 1981, 644, 273–283. [Google Scholar] [CrossRef]
- Cretella, D.; Saccani, F.; Quaini, F.; Frati, C.; Lagrasta, C.; Bonelli, M.; Caffarra, C.; Cavazzoni, A.; Fumarola, C.; Galetti, M.; et al. Trastuzumab emtansine is active on her-2 overexpressing nsclc cell lines and overcomes gefitinib resistance. Mol. Cancer 2014, 13, 143. [Google Scholar] [CrossRef]
- Hendriks, B.S.; Opresko, L.K.; Wiley, H.S.; Lauffenburger, D. Quantitative analysis of her2-mediated effects on her2 and epidermal growth factor receptor endocytosis: Distribution of homo- and heterodimers depends on relative her2 levels. J. Biol. Chem. 2003, 278, 23343–23351. [Google Scholar] [CrossRef]
- Mei, L.; Fu, L.; Shi, K.; Zhang, Q.; Liu, Y.; Tang, J.; Gao, H.; Zhang, Z.; He, Q. Increased tumor targeted delivery using a multistage liposome system functionalized with rgd, tat and cleavable peg. Int. J. Pharm. 2014, 468, 26–38. [Google Scholar] [CrossRef]
- Cheng, L.; Huang, F.-Z.; Cheng, L.-F.; Zhu, Y.-Q.; Hu, Q.; Li, L.; Wei, L.; Chen, D.-W. Ge11-modified liposomes for non-small cell lung cancer targeting: Preparation, ex vitro and in vivo evaluation. Int. J. Nanomed. 2014, 9, 921. [Google Scholar] [CrossRef] [PubMed]
- Samuelsson, E.; Shen, H.; Blanco, E.; Ferrari, M.; Wolfram, J. Contribution of kupffer cells to liposome accumulation in the liver. Colloids Surf B Biointerfaces 2017, 158, 356–362. [Google Scholar] [CrossRef] [PubMed]
- Suga, T.; Fuchigami, Y.; Hagimori, M.; Kawakami, S. Ligand peptide-grafted pegylated liposomes using her2 targeted peptide-lipid derivatives for targeted delivery in breast cancer cells: The effect of serine-glycine repeated peptides as a spacer. Int. J. Pharm. 2017, 521, 361–364. [Google Scholar] [CrossRef] [PubMed]
- Song, S.; Liu, D.; Peng, J.; Sun, Y.; Li, Z.; Gu, J.-R.; Xu, Y. Peptide ligand-mediated liposome distribution and targeting to egfr expressing tumor in vivo. Int. J. Pharm. 2008, 363, 155–161. [Google Scholar] [CrossRef]
- Limasale, Y.D.P.; Tezcaner, A.; Özen, C.; Keskin, D.; Banerjee, S. Epidermal growth factor receptor-targeted immunoliposomes for delivery of celecoxib to cancer cells. Int. J. Pharm. 2015, 479, 364–373. [Google Scholar] [CrossRef]
- Wong, B.C.K.; Zhang, H.; Qin, L.; Chen, H.; Fang, C.; Lu, A.; Yang, Z. Carbonic anhydrase ix-directed immunoliposomes for targeted drug delivery to human lung cancer cells in vitro. Drug Des. Dev. Ther. 2014, 8, 993. [Google Scholar]
- Deshpande, P.P.; Biswas, S.; Torchilin, V.P. Current trends in the use of liposomes for tumor targeting. Nanomedicine 2013, 8, 1509–1528. [Google Scholar] [CrossRef]
- Zhao, Y.; Ren, W.; Zhong, T.; Zhang, S.; Huang, D.; Guo, Y.; Yao, X.; Wang, C.; Zhang, W.Q.; Zhang, X.; et al. Tumor-specific ph-responsive peptide-modified ph-sensitive liposomes containing doxorubicin for enhancing glioma targeting and anti-tumor activity. J. Control Release 2016, 222, 56–66. [Google Scholar] [CrossRef]
- Chiang, Y.T.; Lo, C.L. Ph-responsive polymer-liposomes for intracellular drug delivery and tumor extracellular matrix switched-on targeted cancer therapy. Biomaterials 2014, 35, 5414–5424. [Google Scholar] [CrossRef]
- Zhao, Z.; Zhao, Y.; Xie, C.; Chen, C.; Lin, D.; Wang, S.; Lin, D.; Cui, X.; Guo, Z.; Zhou, J. Dual-active targeting liposomes drug delivery system for bone metastatic breast cancer: Synthesis and biological evaluation. Chem. Phys. Lipids 2019, 223, 104785. [Google Scholar] [CrossRef]
- Tolliday, N. High-throughput assessment of mammalian cell viability by determination of adenosine triphosphate levels. Curr. Protoc. Chem. Biol. 2010, 2, 153–161. [Google Scholar] [CrossRef] [PubMed]
- Han, Q.; Wang, W.; Jia, X.; Qian, Y.; Li, Q.; Wang, Z.; Zhang, W.; Yang, S.; Jia, Y.; Hu, Z. Switchable liposomes: Targeting-peptide-functionalized and ph-triggered cytoplasmic delivery. ACS Appl. Mater. Interfaces 2016, 8, 18658–18663. [Google Scholar] [CrossRef] [PubMed]
- Soderberg, O.; Gullberg, M.; Jarvius, M.; Ridderstrale, K.; Leuchowius, K.J.; Jarvius, J.; Wester, K.; Hydbring, P.; Bahram, F.; Larsson, L.G.; et al. Direct observation of individual endogenous protein complexes in situ by proximity ligation. Nat. Methods 2006, 3, 995–1000. [Google Scholar] [CrossRef] [PubMed]








| Formulation | Particle Size (nm) | Zeta Potential (mV) | PDI | Encapsulation Efficiency |
|---|---|---|---|---|
| SA-5-Dox-LP | 107.19 ± 2.90 nm | −13.38 ± 1.50 | 0.17 ± 0.05 | 86.73 ± 4.63% |
| Dox-LP | 105.23 ± 3.20 nm | −4.18 ± 0.70 | 0.15± 0.05 | 82.60 ± 1.74% |
| Plain LP | 98.45 ± 1.74 nm | −2.32 ± 0.26 | 0.16± 0.03 | - |
| IC50 in μM (72 h) | |||||
|---|---|---|---|---|---|
| Formulation | BT-474 | Calu-3 | A549 | MCF-7 | HLFs |
| SA-5-Dox-LP | 0.10 ± 0.10 | 0.35 ± 0.07 | 0.10 ± 0.02 | 2.20 ± 0.30 | >50 |
| Dox-LP | 1.80 ± 0.70 | 0.50 ± 0.10 | 0.11 ± 0.07 | 0.10 ± 0.70 | 7.84 ± 0.41 |
| Free Dox | 0.08 ± 0.05 | 0.04 ± 0.02 | 0.03 ± 0.04 | 0.04 ± 0.10 | 0.15 ± 0.04 |
| Plain LP | >50 | >50 | >50 | >50 | >50 |
Publisher’s Note: MDPI stays neutral with regard to jurisdictional claims in published maps and institutional affiliations. |
© 2021 by the authors. Licensee MDPI, Basel, Switzerland. This article is an open access article distributed under the terms and conditions of the Creative Commons Attribution (CC BY) license (http://creativecommons.org/licenses/by/4.0/).
Share and Cite
Naik, H.; Sonju, J.J.; Singh, S.; Chatzistamou, I.; Shrestha, L.; Gauthier, T.; Jois, S. Lipidated Peptidomimetic Ligand-Functionalized HER2 Targeted Liposome as Nano-Carrier Designed for Doxorubicin Delivery in Cancer Therapy. Pharmaceuticals 2021, 14, 221. https://doi.org/10.3390/ph14030221
Naik H, Sonju JJ, Singh S, Chatzistamou I, Shrestha L, Gauthier T, Jois S. Lipidated Peptidomimetic Ligand-Functionalized HER2 Targeted Liposome as Nano-Carrier Designed for Doxorubicin Delivery in Cancer Therapy. Pharmaceuticals. 2021; 14(3):221. https://doi.org/10.3390/ph14030221
Chicago/Turabian StyleNaik, Himgauri, Jafrin Jobayer Sonju, Sitanshu Singh, Ioulia Chatzistamou, Leeza Shrestha, Ted Gauthier, and Seetharama Jois. 2021. "Lipidated Peptidomimetic Ligand-Functionalized HER2 Targeted Liposome as Nano-Carrier Designed for Doxorubicin Delivery in Cancer Therapy" Pharmaceuticals 14, no. 3: 221. https://doi.org/10.3390/ph14030221
APA StyleNaik, H., Sonju, J. J., Singh, S., Chatzistamou, I., Shrestha, L., Gauthier, T., & Jois, S. (2021). Lipidated Peptidomimetic Ligand-Functionalized HER2 Targeted Liposome as Nano-Carrier Designed for Doxorubicin Delivery in Cancer Therapy. Pharmaceuticals, 14(3), 221. https://doi.org/10.3390/ph14030221

