Pipette-Free and Fully Integrated Paper Device Employing DNA Extraction, Isothermal Amplification, and Carmoisine-Based Colorimetric Detection for Determining Infectious Pathogens
Abstract
:1. Introduction
2. Materials and Methods
2.1. Materials
2.2. Preparation of Bacterial Samples and DNA Extraction
2.3. LAMP Reaction
2.4. Optimization of Carmoisine-Based Colorimetric Detection
2.5. Fabrication of Paper Device
2.6. Operation of Paper Device
3. Results and Discussion
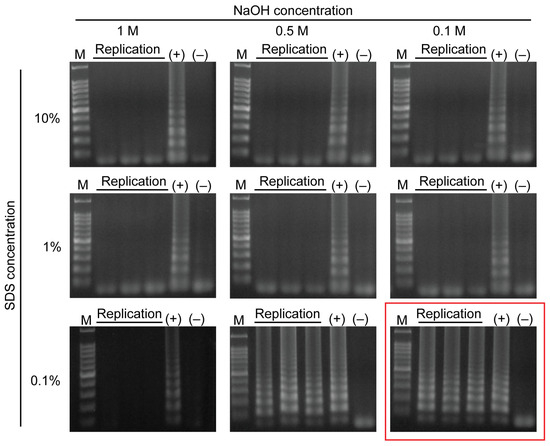
3.1. DNA Extraction Performance
3.2. Optimization of Carmoisine-Based Colorimetric Detection
3.3. Selectivity
3.4. Sensitivity
3.5. Real Sample Analysis
4. Conclusions
Author Contributions
Funding
Institutional Review Board Statement
Informed Consent Statement
Data Availability Statement
Conflicts of Interest
References
- Liu, Y.; Huang, H.; Zheng, Y.; Wang, C.; Chen, W.; Huang, W.; Lin, L.; Wei, H.; Wang, J.; Lin, M. Development of a POCT Detection Platform Based on a Locked Nucleic Acid-Enhanced ARMS-RPA-GoldMag Lateral Flow Assay. J. Pharm. Biomed. Anal. 2023, 235, 115632. [Google Scholar] [CrossRef]
- Ortiz, D.A.; Loeffelholz, M.J. Practical Challenges of Point-of-Care Testing. Clin. Lab. Med. 2023, 43, 155–165. [Google Scholar] [CrossRef]
- Yared, N. The Role of Point-of-Care Testing in Specific Populations. Clin. Lab. Med. 2023, 43, 181–187. [Google Scholar] [CrossRef]
- Aloraij, Y.; Alsheikh, A.; Alyousef, R.A.; Alhamlan, F.; Suaifan, G.A.R.Y.; Muthana, S.; Al-Kattan, K.; Zourob, M. Development of a Rapid Immuno-Based Screening Assay for the Detection of Adenovirus in Eye Infections. ACS Omega 2022, 7, 17555–17562. [Google Scholar] [CrossRef]
- Hou, F.; Sun, S.; Abdullah, S.W.; Tang, Y.; Li, X.; Guo, H. The Application of Nanoparticles in Point-of-Care Testing (POCT) Immunoassays. Anal. Methods 2023, 15, 2154–2180. [Google Scholar] [CrossRef]
- Lou-Franco, J.; Zhao, Y.; Nelis, J.L.D.; Stewart, L.; Rafferty, K.; Elliott, C.; Cao, C. Smartphone-Based Immunochemical Sensor Exploiting Peroxidase-like Activity of Ligand-Capped Gold Nanostars: A Proof-of-Concept Detection of Mycobacterium Bovis. Biosens. Bioelectron. 2023, 220, 114857. [Google Scholar] [CrossRef]
- Kang, B.-H.; Jang, K.-W.; Yu, E.-S.; Na, H.; Lee, Y.-J.; Ko, W.-Y.; Bae, N.; Rho, D.; Jeong, K.-H. Ultrafast Plasmonic Nucleic Acid Amplification and Real-Time Quantification for Decentralized Molecular Diagnostics. ACS Nano 2023, 17, 6507–6518. [Google Scholar] [CrossRef]
- Lee, D.; Chu, C.-H.; Sarioglu, A.F. Point-of-Care Toolkit for Multiplex Molecular Diagnosis of SARS-CoV-2 and Influenza A and B Viruses. ACS Sens. 2021, 6, 3204–3213. [Google Scholar] [CrossRef]
- Sofia De Olazarra, A.; Chen, F.-E.; Wang, T.-H.; Wang, S.X. Rapid, Point-of-Care Host-Based Gene Expression Diagnostics Using Giant Magnetoresistive Biosensors. ACS Sens. 2023, 8, 2780–2790. [Google Scholar] [CrossRef]
- Lutz, Í.; Miranda, J.; Santana, P.; Martins, T.; Ferreira, C.; Sampaio, I.; Vallinoto, M.; Gomes, G.E. Quality Analysis of Genomic DNA and Authentication of Fisheries Products Based on Distinct Methods of DNA Extraction. PLoS ONE 2023, 18, e0282369. [Google Scholar] [CrossRef]
- Natarajan, V.P.; Zhang, X.; Morono, Y.; Inagaki, F.; Wang, F. A Modified SDS-Based DNA Extraction Method for High Quality Environmental DNA from Seafloor Environments. Front. Microbiol. 2016, 7, 986. [Google Scholar] [CrossRef]
- Stojan, I.; Trumbić, Ž.; Lepen Pleić, I.; Šantić, D. Evaluation of DNA Extraction Methods and Direct PCR in Metabarcoding of Mock and Marine Bacterial Communities. Front. Microbiol. 2023, 14, 1151907. [Google Scholar] [CrossRef] [PubMed]
- Li, Q.; An, Z.; Sun, T.; Ji, S.; Wang, W.; Peng, Y.; Wang, Z.; Salentijn, G.I.J.; Gao, Z.; Han, D. Sensitive Colorimetric Detection of Antibiotic Resistant Staphylococcus Aureus on Dairy Farms Using LAMP with PH-Responsive Polydiacetylene. Biosens. Bioelectron. 2023, 219, 114824. [Google Scholar] [CrossRef] [PubMed]
- Nguyen, H.A.; Choi, H.; Lee, N.Y. A Rotatable Paper Device Integrating Reverse Transcription Loop-Mediated Isothermal Amplification and a Food Dye for Colorimetric Detection of Infectious Pathogens. Biosensors 2022, 12, 488. [Google Scholar] [CrossRef]
- Nguyen, H.A.; Lee, N.Y. Copper: DNA Extraction and Solid Phase Detection Agent for All-in-One Molecular Diagnostic Device Coupled with Isothermal Amplification. Biosens. Bioelectron. 2023, 229, 115222. [Google Scholar] [CrossRef] [PubMed]
- Deng, Y.; Zhou, T.; Peng, Y.; Wang, M.; Xiang, L.; Zhang, Y.; Li, J.; Yang, J.; Li, G. Dual-Gene-Controlled Rolling Circle Amplification Strategy for SARS-CoV-2 Analysis. Anal. Chem. 2023, 95, 3358–3362. [Google Scholar] [CrossRef]
- Sebuyoya, R.; Valverde, A.; Moranova, L.; Strmiskova, J.; Hrstka, R.; Montiel, V.R.-V.; Pingarrón, J.M.; Barderas, R.; Campuzano, S.; Bartosik, M. Dual Detection System for Cancer-Associated Point Mutations Assisted by a Multiplexed LNA-Based Amperometric Bioplatform Coupled with Rolling Circle Amplification. Sens. Actuators B Chem. 2023, 394, 134375. [Google Scholar] [CrossRef]
- Ju, Y.; Kim, H.Y.; Ahn, J.K.; Park, H.G. Ultrasensitive Version of Nucleic Acid Sequence-Based Amplification (NASBA) Utilizing a Nicking and Extension Chain Reaction System. Nanoscale 2021, 13, 10785–10791. [Google Scholar] [CrossRef]
- Reed, A.J.; Connelly, R.P.; Williams, A.; Tran, M.; Shim, B.-S.; Choe, H.; Gerasimova, Y.V. Label-Free Pathogen Detection by a Deoxyribozyme Cascade with Visual Signal Readout. Sens. Actuators B Chem. 2019, 282, 945–951. [Google Scholar] [CrossRef]
- Ge, R.; Dai, H.; Zhang, S.; Wei, J.; Jiao, T.; Chen, Q.; Chen, Q.; Chen, X. A Collection of RPA-Based Photoelectrochemical Assays for the Portable Detection of Multiple Pathogens. Anal. Chem. 2023, 95, 7379–7386. [Google Scholar] [CrossRef]
- Woo, A.; Jung, H.S.; Kim, D.-H.; Park, S.-G.; Lee, M.-Y. Rapid and Sensitive Multiplex Molecular Diagnosis of Respiratory Pathogens Using Plasmonic Isothermal RPA Array Chip. Biosens. Bioelectron. 2021, 182, 113167. [Google Scholar] [CrossRef] [PubMed]
- Guo, Y.; Zhou, Y.; Fu, J.; Fang, H.; Li, Y.; Huang, X.; Xiong, Y. A Self-Luminous Bifunctional Bacteria Directed Fluorescent Immunosensor for the Simultaneous Detection and Quantification of Three Pathogens in Milk. Sens. Actuators B Chem. 2021, 338, 129757. [Google Scholar] [CrossRef]
- Soares, R.R.A.; Hjort, R.G.; Pola, C.C.; Parate, K.; Reis, E.L.; Soares, N.F.F.; McLamore, E.S.; Claussen, J.C.; Gomes, C.L. Laser-Induced Graphene Electrochemical Immunosensors for Rapid and Label-Free Monitoring of Salmonella enterica in Chicken Broth. ACS Sens. 2020, 5, 1900–1911. [Google Scholar] [CrossRef] [PubMed]
- Wu, J.; Jiang, K.; Mi, H.; Qiu, Y.; Son, J.; Park, H.J.; Nam, J.-M.; Lee, J.-H. A Rapid and Sensitive Fluorescence Biosensor Based on Plasmonic PCR. Nanoscale 2021, 13, 7348–7354. [Google Scholar] [CrossRef]
- Dinh, V.P.; Lee, N.Y. Dual-Mode Visual Detection Strategies of Viable Pathogens for Point-of-Care Testing. Biosens. Bioelectron. 2023, 221, 114904. [Google Scholar] [CrossRef]
- Sivakumar, R.; Park, S.Y.; Lee, N.Y. Quercetin-Mediated Silver Nanoparticle Formation for the Colorimetric Detection of Infectious Pathogens Coupled with Loop-Mediated Isothermal Amplification. ACS Sens. 2023, 8, 1422–1430. [Google Scholar] [CrossRef]
- Yin, K.; Ding, X.; Xu, Z.; Li, Z.; Wang, X.; Zhao, H.; Otis, C.; Li, B.; Liu, C. Multiplexed Colorimetric Detection of SARS-CoV-2 and Other Pathogens in Wastewater on a 3D Printed Integrated Microfluidic Chip. Sens. Actuators B Chem. 2021, 344, 130242. [Google Scholar] [CrossRef]
- Weldeab, A.O.; Li, L.; Cekli, S.; Abboud, K.A.; Schanze, K.S.; Castellano, R.K. Pyridine-Terminated Low Gap π-Conjugated Oligomers: Design, Synthesis, and Photophysical Response to Protonation and Metalation. Org. Chem. Front. 2018, 5, 3170–3177. [Google Scholar] [CrossRef]
- Montaño-Priede, J.L.; Sanromán-Iglesias, M.; Zabala, N.; Grzelczak, M.; Aizpurua, J. Robust Rules for Optimal Colorimetric Sensing Based on Gold Nanoparticle Aggregation. ACS Sens. 2023, 8, 1827–1834. [Google Scholar] [CrossRef]
- Gutiérrez-Capitán, M.; Sanchís, A.; Carvalho, E.O.; Baldi, A.; Vilaplana, L.; Cardoso, V.F.; Calleja, Á.; Wei, M.; De La Rica, R.; Hoyo, J.; et al. Engineering a Point-of-Care Paper-Microfluidic Electrochemical Device Applied to the Multiplexed Quantitative Detection of Biomarkers in Sputum. ACS Sens. 2023, 8, 3032–3042. [Google Scholar] [CrossRef]
- Komatsu, T.; Maeki, M.; Ishida, A.; Tani, H.; Tokeshi, M. Paper-Based Device for the Facile Colorimetric Determination of Lithium Ions in Human Whole Blood. ACS Sens. 2020, 5, 1287–1294. [Google Scholar] [CrossRef] [PubMed]
- Martinez, A.W.; Phillips, S.T.; Butte, M.J.; Whitesides, G.M. Patterned Paper as a Platform for Inexpensive, Low-Volume, Portable Bioassays. Angew. Chem. Int. Ed. 2007, 46, 1318–1320. [Google Scholar] [CrossRef] [PubMed]
- Jokerst, J.C.; Adkins, J.A.; Bisha, B.; Mentele, M.M.; Goodridge, L.D.; Henry, C.S. Development of a Paper-Based Analytical Device for Colorimetric Detection of Select Foodborne Pathogens. Anal. Chem. 2012, 84, 2900–2907. [Google Scholar] [CrossRef] [PubMed]
- Mason, M.G.; Botella, J.R. Rapid (30-Second), Equipment-Free Purification of Nucleic Acids Using Easy-to-Make Dipsticks. Nat. Protoc. 2020, 15, 3663–3677. [Google Scholar] [CrossRef]
- Kiziltan, T.; Baran, A.; Kankaynar, M.; Şenol, O.; Sulukan, E.; Yildirim, S.; Ceyhun, S.B. Effects of the Food Colorant Carmoisine on Zebrafish Embryos at a Wide Range of Concentrations. Arch. Toxicol. 2022, 96, 1089–1099. [Google Scholar] [CrossRef]
- Balasubramanian, B.; Pogozelski, W.K.; Tullius, T.D. DNA Strand Breaking by the Hydroxyl Radical Is Governed by the Accessible Surface Areas of the Hydrogen Atoms of the DNA Backbone. Proc. Natl. Acad. Sci. USA 1998, 95, 9738–9743. [Google Scholar] [CrossRef]






| Target Gene | Primer Name | Primer Sequence (5′–3′) |
|---|---|---|
| esp gene (Enterococcus faecium) | LB | TGATGTTGACACAACAGTTAAGGG |
| F3 | CCAGAACACTTATGGAACAG | |
| B3 | GTTGGGCTTTGTGACCTG | |
| FIP | CGTGTCTCCGCTCTCTTCTTTTTATTTGCAAGATATTGATGGTG | |
| BIP | ATCGGGAAACCTGAATTAGAAGAAGAACTCGTGGATGAATACTTTC |
Disclaimer/Publisher’s Note: The statements, opinions and data contained in all publications are solely those of the individual author(s) and contributor(s) and not of MDPI and/or the editor(s). MDPI and/or the editor(s) disclaim responsibility for any injury to people or property resulting from any ideas, methods, instructions or products referred to in the content. |
© 2023 by the authors. Licensee MDPI, Basel, Switzerland. This article is an open access article distributed under the terms and conditions of the Creative Commons Attribution (CC BY) license (https://creativecommons.org/licenses/by/4.0/).
Share and Cite
Nguyen, H.A.; Lee, N.Y. Pipette-Free and Fully Integrated Paper Device Employing DNA Extraction, Isothermal Amplification, and Carmoisine-Based Colorimetric Detection for Determining Infectious Pathogens. Sensors 2023, 23, 9112. https://doi.org/10.3390/s23229112
Nguyen HA, Lee NY. Pipette-Free and Fully Integrated Paper Device Employing DNA Extraction, Isothermal Amplification, and Carmoisine-Based Colorimetric Detection for Determining Infectious Pathogens. Sensors. 2023; 23(22):9112. https://doi.org/10.3390/s23229112
Chicago/Turabian StyleNguyen, Hanh An, and Nae Yoon Lee. 2023. "Pipette-Free and Fully Integrated Paper Device Employing DNA Extraction, Isothermal Amplification, and Carmoisine-Based Colorimetric Detection for Determining Infectious Pathogens" Sensors 23, no. 22: 9112. https://doi.org/10.3390/s23229112
APA StyleNguyen, H. A., & Lee, N. Y. (2023). Pipette-Free and Fully Integrated Paper Device Employing DNA Extraction, Isothermal Amplification, and Carmoisine-Based Colorimetric Detection for Determining Infectious Pathogens. Sensors, 23(22), 9112. https://doi.org/10.3390/s23229112

