Breast Cancer Histopathological Images Segmentation Using Deep Learning
Abstract
:1. Introduction
2. Related Works
3. Methodology
3.1. Segmentation-Based Deep Learning Cluster Architecture
| Algorithm 1 |
| Input: Image set X = {x}, Network Net (N, C, Z) |
| Initialize the network parameters N, C, Z |
| Repeat |
| Update network parameters by minimizing reconstruction loss until convergence |
| For each image x in X, do |
| Generate reconstruction image xR from Net (x, N, C, Z) |
| End for |
| Output: reconstruction image xR representation in latent space Z |
3.2. Segmentation Based on Improved U-Net
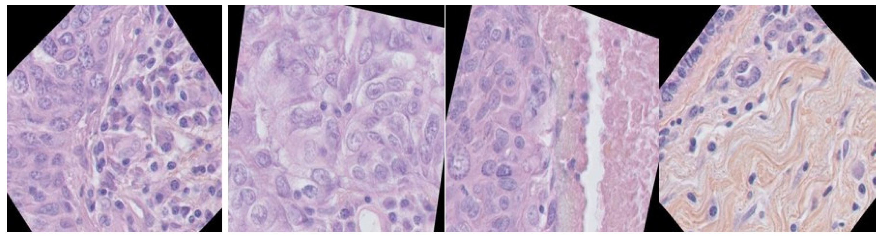
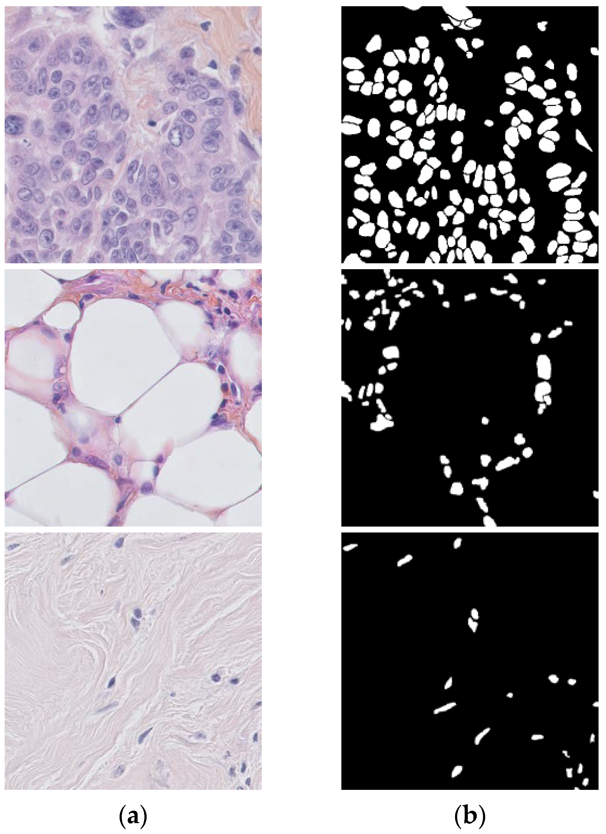
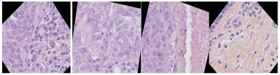
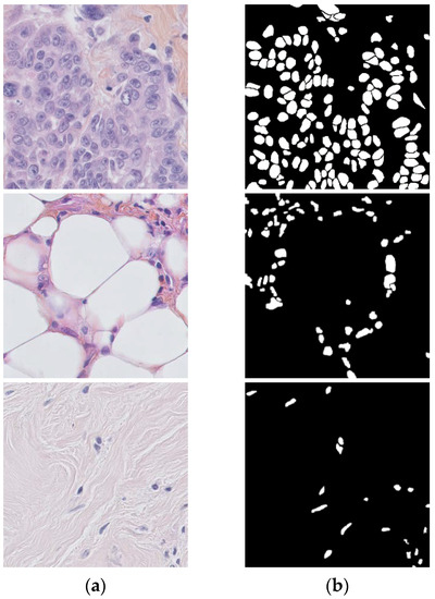
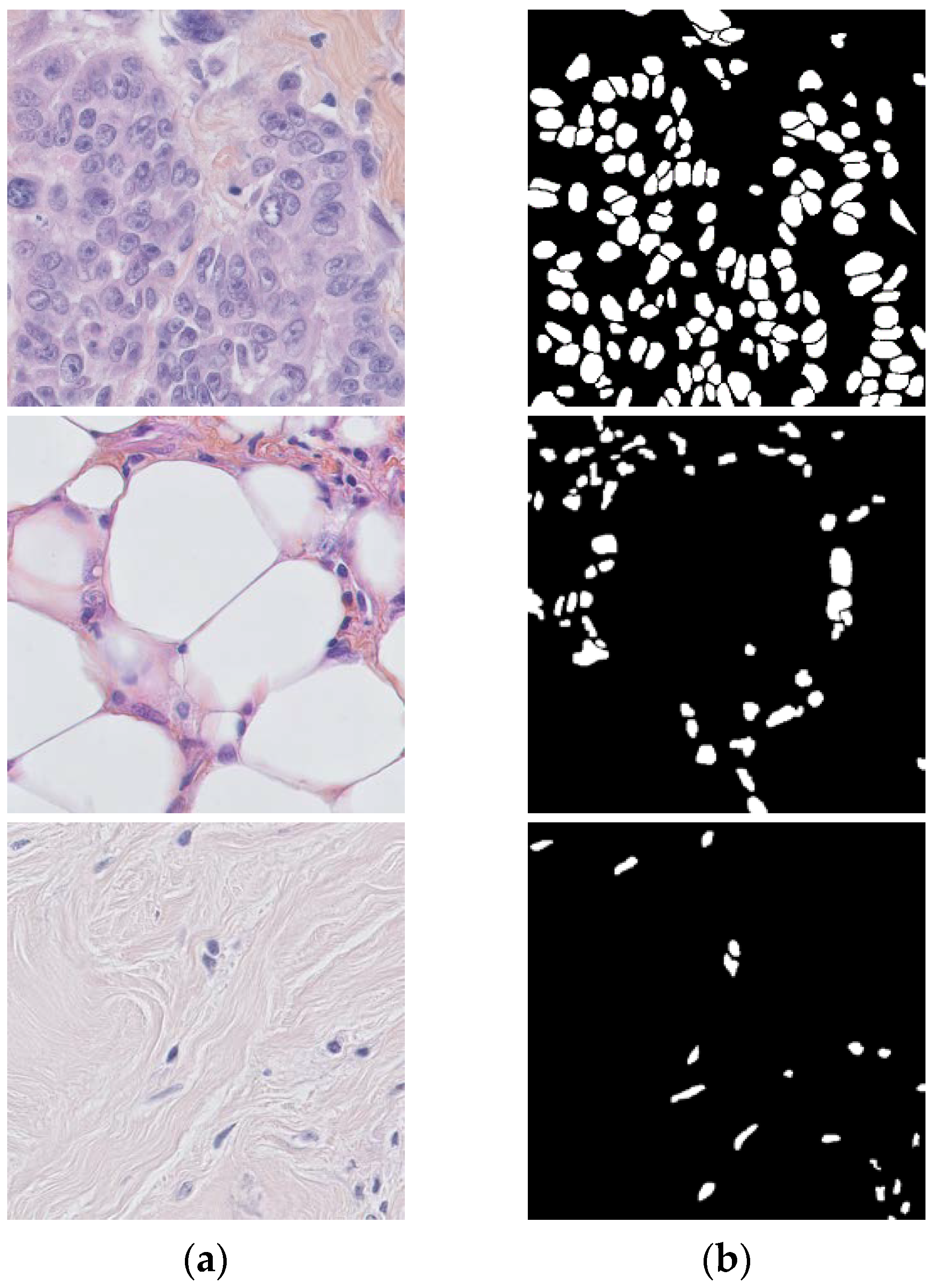
4. Results and Discussion
Experimental Tests
5. Comparison Study with the Existing Works
6. Conclusions
Author Contributions
Funding
Institutional Review Board Statement
Informed Consent Statement
Data Availability Statement
Conflicts of Interest
References
- Lagree, A. A review and comparison of breast tumor cell nuclei segmentation performances using deep convolutional neural networks. Sci. Rep. 2021, 11, 8025. [Google Scholar] [CrossRef] [PubMed]
- Boutaouche, F.; Benamrane, N. Diagnosis of breast lesions using the local Chan-Vese model, hierarchical fuzzy partitioning and fuzzy decision tree induction. Iran. J. Fuzzy Syst. 2017, 14, 15–40. [Google Scholar]
- Belgrana, F.Z.; Benamrane, N. Mammographic images interpretation using Neural-Evolutionary approach. Int. J. Comput. Sci. 2012, 9, 1. [Google Scholar]
- Huang, R. Boundary-rendering Network for Breast Lesion Segmentation in Ultrasound Images. Med. Image Anal. 2022, 80, 102478. [Google Scholar] [CrossRef]
- Ren, T.; Lin, S.; Huang, P.; Duong, T.Q. Convolutional neural network of multiparametric MRI accurately detects axillary lymph node metastasis in breast cancer patients with PR neoadjuvant chemotherapy. Clin. Breast Cancer 2022, 22, 170–177. [Google Scholar] [CrossRef]
- Evain, E. Breast nodule classification with two-dimensional ultrasound using Mask-RCNN ensemble aggregation. Diagn. Interv. Imaging 2021, 102, 653–658. [Google Scholar] [CrossRef]
- Touami, R.; Benamrane, N. Microcalcification Detection in Mammograms Using Particle Swarm Optimization and Probabilistic Neural Network. Comput. Sist. 2021, 25, 369–379. [Google Scholar] [CrossRef]
- Tun, S.M.; Alluri, S.; Rastegar, V.; Visintainer, P.; Mertens, W.; Makari-Judson, G. Mode of Detection of Second Events in Routine Surveillance of Early Stage Breast Cancer Patients. Clin. Breast Cancer 2022, 22, e818–e824. [Google Scholar] [CrossRef]
- Gurcan, M.N.; Boucheron, L.E.; Can, A.; Madabhushi, A.; Rajpoot, N.M.; Yener, B. Histopathological image analysis: A review. IEEE Rev. Biomed. Eng. 2009, 2, 147–171. [Google Scholar] [CrossRef]
- Mahmood, F. Deep adversarial training for multi-organ nuclei segmentation in histopathology images. IEEE Trans. Med. Imaging 2019, 39, 3257–3267. [Google Scholar] [CrossRef]
- Sohail, A.; Mukhtar, M.A.; Khan, A.; Zafar, M.M.; Zameer, A.; Khan, S. Deep object detection-based mitosis analysis in breast cancer histopathological images. arXiv 2020, arXiv:2003.08803. [Google Scholar]
- Drioua, W.R.; Benamrane, N.; Sais, L. Breast Cancer Detection from Histopathology Images Based on YOLOv5. In Proceedings of the 2022 7th International Conference on Frontiers of Signal Processing, Paris, France, 7–9 September 2022; pp. 30–34. [Google Scholar]
- Faridi, P.; Danyali, H.; Helfroush, M.S.; Jahromi, M.A. An automatic system for cell nuclei pleomorphism segmentation in histopathological images of breast cancer. In Proceedings of the 2016 IEEE Signal Processing in Medicine and Biology Symposium (SPMB), Philadelphia, PA, USA, 3 December 2016; pp. 1–5. [Google Scholar]
- Qu, A. Two-step segmentation of Hematoxylin-Eosin stained histopathological images for prognosis of breast cancer. In Proceedings of the IEEE International Conference on Bioinformatics and Biomedicine (BIBM), Belfast, UK, 2–5 November 2014; pp. 218–223. [Google Scholar]
- Rashmi, R.; Prasad, K.; Udupa, C.B.K.; Shwetha, V. A comparative evaluation of texture features for semantic segmentation of breast histopathological images. IEEE Access 2020, 8, 64331–64346. [Google Scholar] [CrossRef]
- Abdolhoseini, M.; Kluge, M.G.; Walker, F.R.; Johnson, S.J. Segmentation of heavily clustered nuclei from histopathological images. Sci. Rep. 2019, 9, 4551. [Google Scholar] [CrossRef] [PubMed]
- Faridi, P.; Danyali, H.; Helfroush, M.S.; Jahromi, M.A. Cancerous nuclei detection and scoring in breast cancer histopathological images. arXiv 2016, arXiv:1612.01237. [Google Scholar]
- Jian, T.X.; Mustafa, N.; Mashor, M.Y.; Ab Rahman, K.S. Hyperchromatic nucleus segmentation on breast histopathological images for mitosis detection. J. Telecommun. Electron. Comput. Eng. 2018, 10, 27–30. [Google Scholar]
- Acs, B.; Rantalainen, M.; Hartman, J. Artificial intelligence as the next step towards precision pathology. J. Intern. Med. 2020, 288, 62–81. [Google Scholar] [CrossRef]
- Sahasrabudhe, M. Self-supervised nuclei segmentation in histopathological images using attention. In Proceedings of the International Conference on Medical Image Computing and Computer-Assisted Intervention, Lima, Peru, 4–8 October 2020; pp. 393–402. [Google Scholar]
- Kate, V.; Shukla, P. Image segmentation of breast cancer histopathology images using PSO-based clustering technique. In Social Networking and Computational Intelligence; Springer: Singapore, 2020; pp. 207–216. [Google Scholar]
- Shu, J.; Fu, H.; Qiu, G.; Kaye, P.; Ilyas, M. Segmenting overlapping cell nuclei in digital histopathology images. In Proceedings of the 35th Annual International Conference of the IEEE Engineering in Medicine and Biology Society (EMBC), Osaka, Japan, 3–7 July 2013; pp. 5445–5448. [Google Scholar]
- Xu, H.; Liu, L.; Lei, X.; Mandal, M.; Lu, C. An unsupervised method for histological image segmentation based on tissue cluster level graph cut. Comput. Med. Imaging Graph. 2021, 93, 101974. [Google Scholar] [CrossRef]
- Khan, A.M.; El-Daly, H.; Simmons, E.; Rajpoot, N.M. HyMaP: A hybrid magnitude-phase approach to unsupervised segmentation of tumor areas in breast cancer histology images. J. Pathol. Inform. 2013, 4, 1. [Google Scholar] [CrossRef]
- Fouad, S.; Randell, D.; Galton, A.; Mehanna, H.; Landini, G. Unsupervised morphological segmentation of tissue compartments in histopathological images. PLoS ONE 2017, 12, e0188717. [Google Scholar] [CrossRef]
- Chan, L.; Hosseini, M.S.; Rowsell, C.; Plataniotis, K.N.; Damaskinos, S. Histosegnet: Semantic segmentation of histological tissue type in whole slide images. In Proceedings of the IEEE/CVF International Conference on Computer Vision, Thessaloniki, Greece, 23–25 September 2019; pp. 10662–10671. [Google Scholar]
- Cui, Y.; Zhang, G.; Liu, Z.; Xiong, Z.; Hu, J. A deep learning algorithm for one-step contour aware nuclei segmentation of histopathology images. Med. Biol. Eng. Comput. 2019, 57, 2027–2043. [Google Scholar] [CrossRef]
- Paramanandam, M. Automated segmentation of nuclei in breast cancer histopathology images. PLoS ONE 2016, 11, 162053. [Google Scholar] [CrossRef] [PubMed]
- Naylor, P.; Laé, M.; Reyal, F.; Walter, T. Segmentation of nuclei in histopathology images by deep regression of the distance map. IEEE Trans. Med. Imaging 2018, 38, 448–459. [Google Scholar] [CrossRef] [PubMed]
- Veta, M. Assessment of algorithms for mitosis detection in breast cancer histopathology images. Med. Image Anal. 2015, 20, 237–248. [Google Scholar] [CrossRef] [PubMed]
- Zemouri, R. Breast cancer diagnosis based on joint variable selection and constructive deep neural network. In Proceedings of the IEEE 4th Middle East Conference on Biomedical Engineering, Tunis, Tunisia, 28–30 March 2018; pp. 159–164. [Google Scholar]
- Jafarbiglo, S.K.; Danyali, H.; Helfroush, M.S. Nuclear atypia grading in histopathological images of breast cancer using convolutional neural networks. In Proceedings of the 4th Iranian Conference on Signal Processing and Intelligent Systems (ICSPIS), Tehran, Iran, 25–27 December 2018; pp. 89–93. [Google Scholar]
- Kang, Q.; Lao, Q.; Fevens, T. Nuclei segmentation in histopathological images using two- stage learning. In Proceedings of the International Conference on Medical Image Computing and Computer-Assisted Intervention, Shenzhen, China, 13–17 October 2019; pp. 703–711. [Google Scholar]
- Kaushal, C.; Bhat, S.; Koundal, D.; Singla, A. Recent trends in computer assisted diagnosis (CAD) system for breast cancer diagnosis using histopathological images. Irbm 2019, 40, 211–227. [Google Scholar] [CrossRef]
- Wahab, N.; Khan, A.; Lee, Y.S. Transfer learning based deep CNN for segmentation and detection of mitoses in breast cancer histopathological images. Microscopy 2019, 68, 216–233. [Google Scholar] [CrossRef]
- Qu, H. Weakly supervised deep nuclei segmentation using partial points annotation in histopathology images. IEEE Trans. Med. Imaging 2020, 39, 3655–3666. [Google Scholar] [CrossRef]
- Xu, J.; Luo, X.; Wang, G.; Gilmore, H.; Madabhushi, A. A deep convolutional neural network for segmenting and classifying epithelial and stromal regions in histopathological images. Neurocomputing 2016, 191, 214–223. [Google Scholar] [CrossRef]
- Sohail, A.; Khan, A.; Wahab, N.; Zameer, A.; Khan, S. A multi-phase deep CNN based mitosis detection framework for breast cancer histopathological images. Sci. Rep. 2021, 11, 6215. [Google Scholar] [CrossRef]
- Cao, J.; Qin, Z.; Jing, J.; Chen, J.; Wan, T. An automatic breast cancer grading method in histopathological images based on pixel-, object-, and semantic-level features. In Proceedings of the IEEE 13th International Symposium on Biomedical Imaging (ISBI), Prague, Czech Republic, 13–16 April 2016; pp. 1151–1154. [Google Scholar]
- Öztürk, Ş.; Akdemir, B. Cell-type based semantic segmentation of histopathological images using deep convolutional neural networks. Int. J. Imaging Syst. Technol. 2019, 29, 237–246. [Google Scholar] [CrossRef]
- Kaushal, C.; Koundal, D.; Singla, A. Comparative analysis of segmentation techniques using histopathological images of breast cancer. In Proceedings of the 2019 3rd International Conference on Computing Methodologies and Communication (ICCMC), Erode, India, 27–29 March 2019; pp. 261–266. [Google Scholar]
- Gour, M.; Jain, S.R. Deeprnnetseg: Deep residual neural network for nuclei segmentation on breast cancer histopathological images. In Proceedings of the International Conference on Computer Vision and Image Processing, Jaipur, India, 27–29 September 2019; pp. 243–253. [Google Scholar]
- Xu, J. Stacked sparse autoencoder (SSAE) for nuclei detection on breast cancer histopathology images. IEEE Trans. Med. Imaging 2015, 35, 119–130. [Google Scholar] [CrossRef]
- Raza, K.; Singh, N.K. A tour of unsupervised deep learning for medical image analysis. Curr. Med. Imaging 2021, 17, 1059–1077. [Google Scholar] [PubMed]
- Janowczyk, A.; Basavanhally, A.; Madabhushi, A. Stain normalization using sparse autoencoders (StaNoSA): Application to digital pathology. Comput. Med. Imaging Graph. 2017, 57, 50–61. [Google Scholar] [CrossRef] [PubMed]
- Hou, L. Sparse autoencoder for unsupervised nucleus detection and representation in histopathology images. Pattern Recognit. 2019, 86, 188–200. [Google Scholar] [CrossRef] [PubMed]
- Roboflow 2021. Available online: https://roboflow.com/ (accessed on 14 November 2022).
- Ronneberger, O.; Fischer, P.; Brox, T. U-net: Convolutional networks for biomedical image segmentation. In Proceedings of the International Conference on Medical Image Computing and Computer- Assisted Intervention, Munich, Germany, 5–9 October 2015; pp. 234–241. [Google Scholar]
- Naylor, P.; Laé, M.; Reyal, F.; Walter, T. Nuclei segmentation in histopathology images using deep neural networks. In Proceedings of the IEEE 14th International Symposium on Biomedical Imaging, Melbourne, VIC, Australia, 18–21 April 2017; pp. 933–936. [Google Scholar]
- Long, J.; Shelhamer, E.; Darrell, T. Fully convolutional networks for semantic segmentation. In Proceedings of the IEEE Conference on Computer Vision and Pattern Recognition, Boston, MA, USA, 7–12 June 2015; pp. 3431–3440. [Google Scholar]
- Sun, J.; Peng, Y.; Guo, Y.; Li, D. Segmentation of the multimodal brain tumor image used the multi-pathway architecture method based on 3D FCN. Neurocomputing 2021, 423, 34–45. [Google Scholar] [CrossRef]
- Mercadier, D.S.; Besbinar, B.; Frossard, P.; Mercadier, D.S.; Besbinar, B.; Frossard, P. Automatic segmentation of nuclei in histopathology images using encoding-decoding convolutional neural networks. In Proceedings of the ICASSP 2019—2019 IEEE International Conference on Acoustics, Speech and Signal Processing (ICASSP), Brighton, UK, 12–17 May 2019; pp. 1020–1024. [Google Scholar]
- Jung, H.; Lodhi, B.; Kang, J. An automatic nuclei segmentation method based on deep convolutional neural networks for histopathology images. BMC Biomed. Eng. 2019, 1, 24. [Google Scholar] [CrossRef] [PubMed]










| Models | Accuracy | Recall | Precision | F1 Score | IoU | |
|---|---|---|---|---|---|---|
| U-Net proposed | Image1 | 0.986 | 0.911 | 0.896 | 0.909 | 0.861 |
| Image2 | 0.891 | 0.870 | 0.811 | 0.910 | 0.857 | |
| Image3 | 0.809 | 0.899 | 0.840 | 0.902 | 0.834 | |
| Unsupervised approach | Image1 | 0.857 | 0.902 | 0.955 | 0.893 | 0.807 |
| Image2 | 0.860 | 0.875 | 0.866 | 0.907 | 0.848 | |
| Image3 | 0.822 | 0.823 | 0.853 | 0.834 | 0.810 | |
| FCN | Image1 | 0.805 | 0.891 | 0.855 | 0.823 | 0.723 |
| Image2 | 0.855 | 0.838 | 0.806 | 0.893 | 0.803 | |
| Image3 | 0.819 | 0.861 | 0.825 | 0.823 | 0.792 | |
| Approaches | Accuracy | Recall | Precision | F1 Score | IoU |
|---|---|---|---|---|---|
| PangNet [49] | 0.924 | 0.665 | 0.814 | 0.676 | 0.722 |
| DeconvNet [49] | 0.954 | 0.773 | 0.864 | 0.805 | 0.814 |
| Ensemble [49] | 0.944 | 0.900 | 0.741 | 0.802 | 0.804 |
| DCNN/U-Net [52] | 0.94 | 0.60 | 0.90 | 0.70 | 0.55 |
| NucSeg-N [53] | N/A | 0.910 | 0.910 | 0.909 | N/A |
| NucSeg-P [53] | N/A | 0.886 | 0.893 | 0.887 | N/A |
| NucSeg-NP [53] | N/A | 0.889 | 0.912 | 0.899 | N/A |
| Unsupervised approach | 0.860 | 0.875 | 0.866 | 0.907 | 0.848 |
| U-Net proposed | 0.986 | 0.911 | 0.896 | 0.909 | 0.861 |
| FCN | 0.819 | 0.861 | 0.825 | 0.823 | 0.792 |
Disclaimer/Publisher’s Note: The statements, opinions and data contained in all publications are solely those of the individual author(s) and contributor(s) and not of MDPI and/or the editor(s). MDPI and/or the editor(s) disclaim responsibility for any injury to people or property resulting from any ideas, methods, instructions or products referred to in the content. |
© 2023 by the authors. Licensee MDPI, Basel, Switzerland. This article is an open access article distributed under the terms and conditions of the Creative Commons Attribution (CC BY) license (https://creativecommons.org/licenses/by/4.0/).
Share and Cite
Drioua, W.R.; Benamrane, N.; Sais, L. Breast Cancer Histopathological Images Segmentation Using Deep Learning. Sensors 2023, 23, 7318. https://doi.org/10.3390/s23177318
Drioua WR, Benamrane N, Sais L. Breast Cancer Histopathological Images Segmentation Using Deep Learning. Sensors. 2023; 23(17):7318. https://doi.org/10.3390/s23177318
Chicago/Turabian StyleDrioua, Wafaa Rajaa, Nacéra Benamrane, and Lakhdar Sais. 2023. "Breast Cancer Histopathological Images Segmentation Using Deep Learning" Sensors 23, no. 17: 7318. https://doi.org/10.3390/s23177318
APA StyleDrioua, W. R., Benamrane, N., & Sais, L. (2023). Breast Cancer Histopathological Images Segmentation Using Deep Learning. Sensors, 23(17), 7318. https://doi.org/10.3390/s23177318

