A Novel Concept of Combined High-Level-Laser Treatment and Transcutaneous Photobiomodulation Therapy Utilisation in Orthodontic Periodontal Interface Management
Abstract
- High-level-laser treatment (HLLT)-mediated reaction converged with surgical λ940 nm and λ2780 nm is effective in post-orthodontic soft tissue healing.
- This clinical communication demonstrated the effectiveness of HLLT in upper midline frenectomy and upper gingivoplasty from aesthetic and functional standpoints.
- A transcutaneous 940 nm PBM-laser can provide a synergetic effect, as an adjunct, to HLLT in accelerating wound healing and regeneration, which ultimately can optimise the clinical outcome and be utilised in daily practice.
1. Introduction
2. Materials and Methods
2.1. Study Design
2.2. Study Participant and Case Description
2.3. Interventions
2.3.1. Er,Cr:YSGG (λ2780 nm) Surgical Laser
2.3.2. λ940 nm Surgical Diode Laser
2.3.3. λ940 nm-PBM-Transcutaneous Approach
2.4. Outcomes Assessment Measures
2.5. Treatment Description
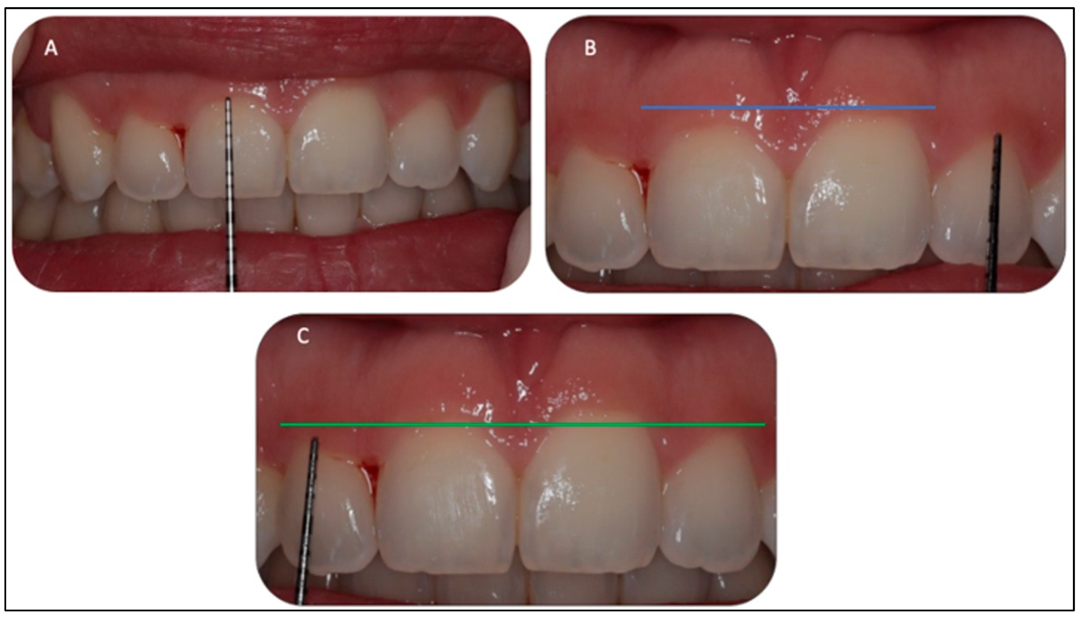
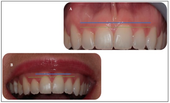
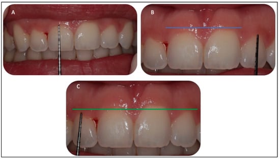
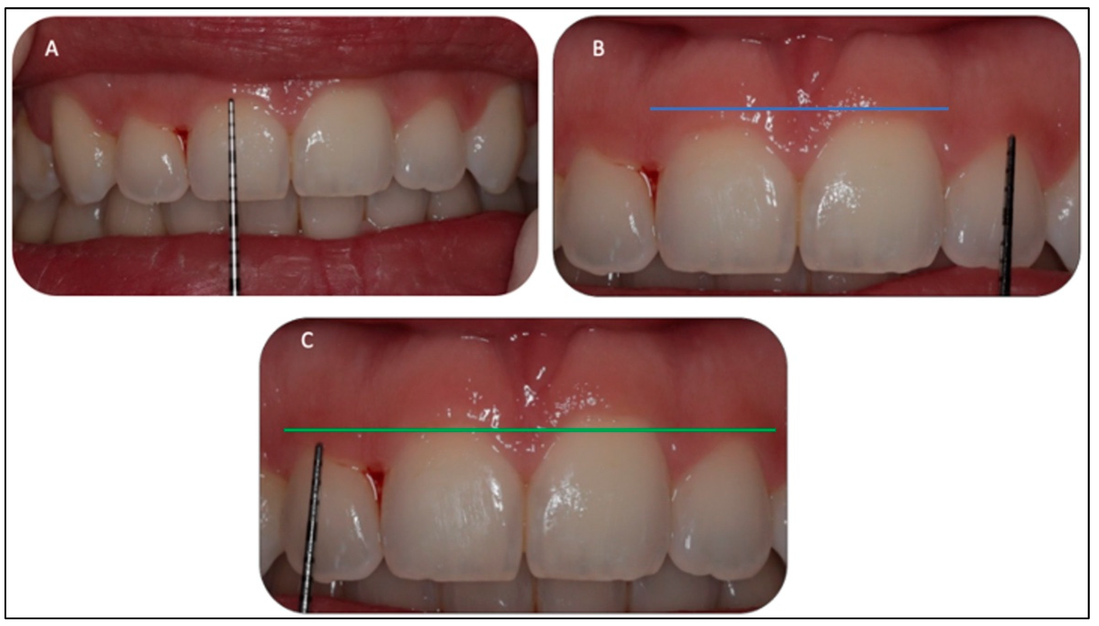
2.5.1. Gingivoplasty Procedure
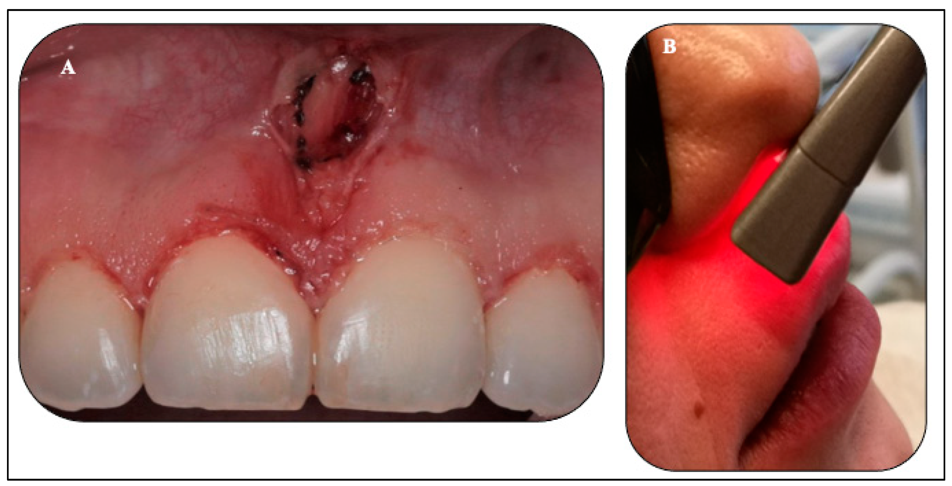
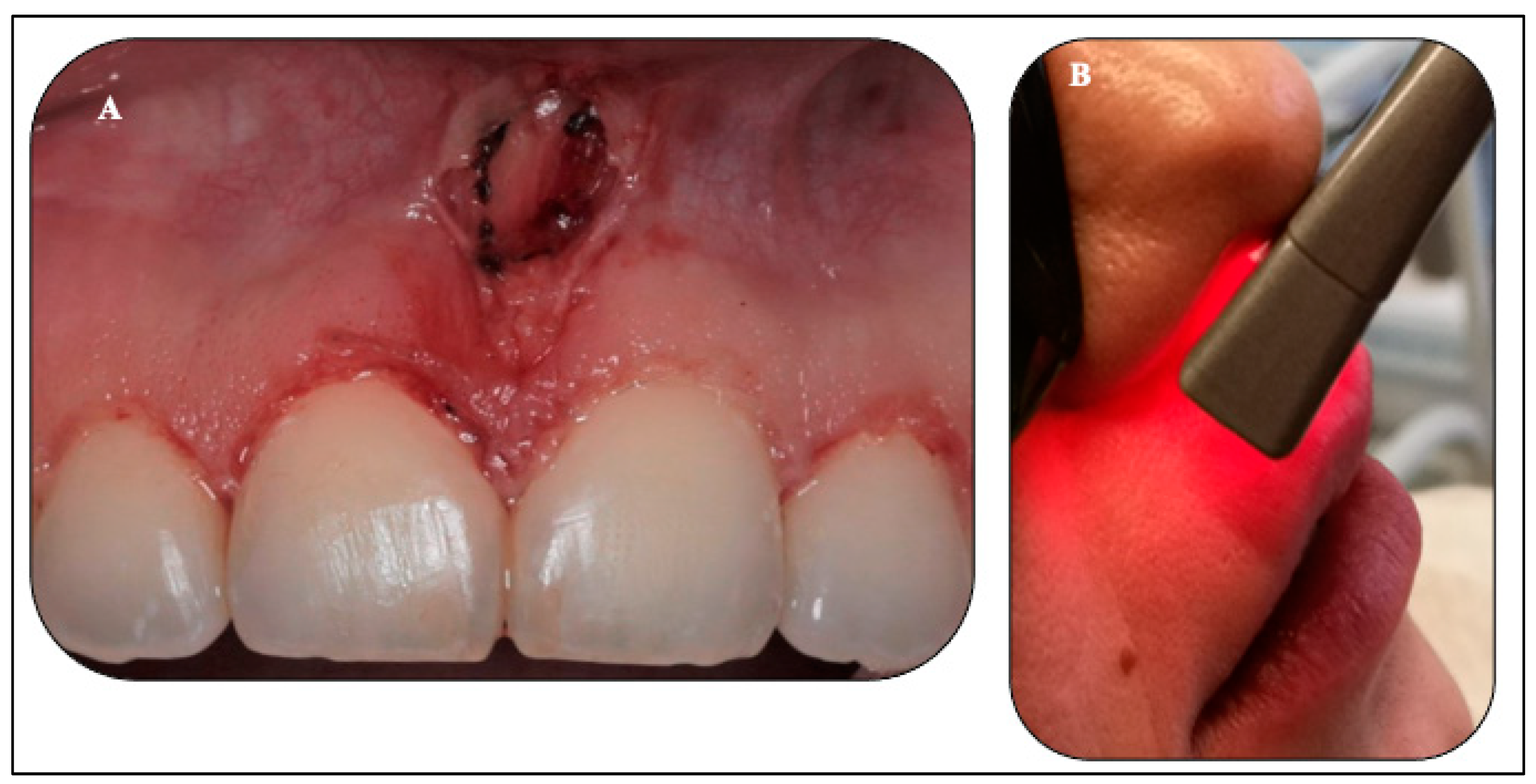
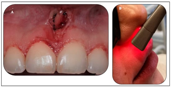
2.5.2. Upper Midline Frenectomy Procedure
2.5.3. Transcutaneous λ940 nm Laser-PBM (Extraoral Approach)
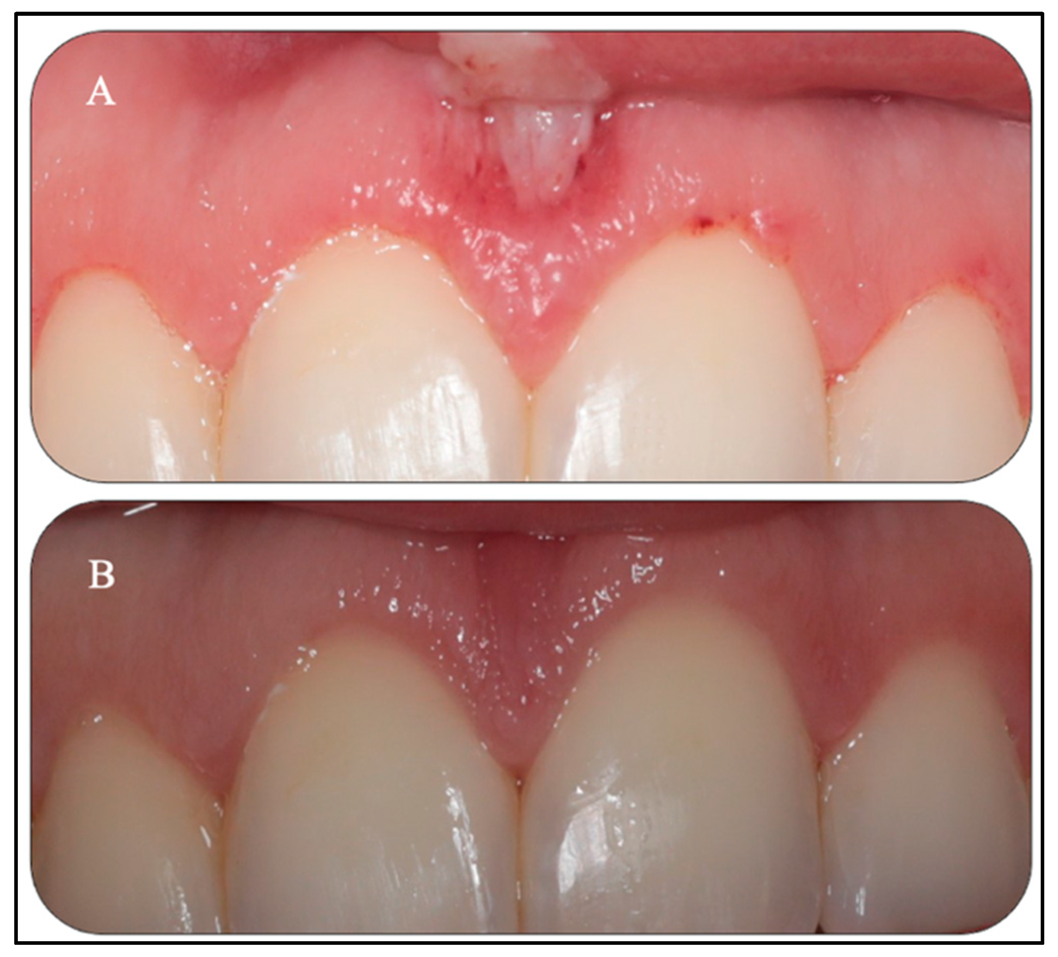
3. Results
4. Discussion
5. Limitations of the Study and Future Perspectives
6. Conclusions
Author Contributions
Funding
Institutional Review Board Statement
Informed Consent Statement
Data Availability Statement
Acknowledgments
Conflicts of Interest
References
- Dym, H.; Pierre, R. Diagnosis and Treatment Approaches to a “Gummy Smile”. Dent. Clin. N. Am. 2020, 64, 341–349. [Google Scholar] [CrossRef] [PubMed]
- Nasr, M.W.; Jabbour, S.F.; Sidaoui, J.A.; Haber, R.N.; Kechichian, E.G. Botulinum Toxin for the Treatment of Excessive Gingival Display: A Systematic Review. Aesthet. Surg. J. 2016, 36, 82–88. [Google Scholar] [CrossRef] [PubMed]
- Amaral, M.B.; de Avila, J.M.; Abreu, M.H.; Mesquita, R.A. Diode laser surgery versus scalpel surgery in the treatment of fibrous hyperplasia: A randomized clinical trial. Int. J. Oral Maxillofac. Surg. 2015, 4, 1383–1389. [Google Scholar] [CrossRef] [PubMed]
- Priyanka, M.; Sruthi, R.; Ramakrishnan, T.; Emmadi, P.; Ambalavanan, N. An overview of frenal attachments. J. Indian Soc. Periodontol. 2013, 17, 12–15. [Google Scholar] [CrossRef] [PubMed]
- Bhatsange, A.; Meshram, E.P.; Waghamare, A.; Shiggaon, L.; Mehetre, V.N.; Shende, A. A clinical and histological comparison of mucosal incisions produced by scalpel, electrocautery, and diode laser: A pilot study. J. Dent. Lasers 2016, 10, 37–42. [Google Scholar] [CrossRef]
- Devishree, S.K.G.; Shubhashini, P.V. Frenectomy: A review with the reports of surgical techniques. J. Clin. Diagn. Res. 2012, 6, 1587–1592. [Google Scholar] [CrossRef] [PubMed]
- Kaur, M.; Sharma, Y.P.D.; Singh, P.; Sharma, S.; Wahi, A. Comparative evaluation of efficacy and soft tissue wound healing using diode laser (810 nm) versus conventional scalpel technique for second-stage implant surgery. J. Indian Soc. Periodontol. 2018, 22, 228–234. [Google Scholar] [CrossRef] [PubMed]
- Hanna, R.; Parker, S. The advantages of carbon dioxide laser applications in paediatric oral surgery. A prospective cohort study. Lasers Med. Sci. 2016, 31, 1527–1536. [Google Scholar] [CrossRef] [PubMed]
- Akram, H.M.; Ali, O.H.; Omran, N.K.; Ali, A.O. Diode Laser Versus Scalpel Gingivectomy. Biomed. Pharmacol. J. 2017, 10, 4. [Google Scholar]
- Kumar, P.; Rattan, V.; Rai, S. Comparative evaluation of healing after gingivectomy with electrocautery and laser. J. Oral Biol. Craniofacial Res. 2015, 5, 69–74. [Google Scholar] [CrossRef][Green Version]
- Hanna, R.; Amaroli, A.; Signore, A.; Benedicenti, S. Utilization of carbon dioxide laser therapy in the management of denture induced hyperplasia and vestibuloplasty in a medically compromised patient: A case report. Int. J. Prosthodont. 2019, 32, 211–213. [Google Scholar] [CrossRef] [PubMed]
- Goharkhay, K.; Moritz, A.; Wilder-Smith, P.; Schoop, U.; Kluger, W.; Jakolitsch, S.; Sperr, W. Effects on oral soft tissue produced by a diode laser In Vitro. Lasers Surg. Med. 1999, 25, 401–406. [Google Scholar] [CrossRef]
- Ohshiro, T.; Fujino, T. Laser Applications in Plastic and Reconstructive Surgery. Keio J. Med. 1993, 24, 191–195. [Google Scholar] [CrossRef] [PubMed]
- Crispino, A.; Figliuzzi, M.M.; Iovane, C.; Del Giudice, T.; Lomanno, S.; Pacifico, D.; Fortunato, L.; Del Giudice, R. Effectiveness of a diode laser in addition to non-surgical periodontal therapy: Study of intervention. Ann. Di Stomatol. 2015, 6, 15–20. [Google Scholar] [CrossRef]
- Aoki, A.; Mizutani, K.; Schwarz, F.; Sculean, A.; Yukna, R.A.; Takasaki, A.A.; Romanos, G.E.; Taniguchi, Y.; Sasaki, K.M.; Zeredo, J.L.; et al. Periodontal and peri-implant wound healing following laser therapy. Periodontol. 2000 2015, 68, 217–269. [Google Scholar] [CrossRef] [PubMed]
- Ohshiro, T.; Calderhead, R.G. Low Level Laser Therapy: A Practical Introduction; John Wiley and Sons: Chichester, UK, 1988. [Google Scholar]
- Sommer, A.P.; Pinheiro, A.L.; Mester, A.R.; Franke, R.P.; Whelan, H.T. Biostimulatory windows in low-intensity laser activation: Lasers, scanners, and NASA’s light-emitting diode array system. J. Clin. Laser Med. Surg. 2001, 19, 29–33. [Google Scholar] [CrossRef] [PubMed]
- Hanna, R.; Agas, D.; Benedicenti, S.; Ferrando, S.; Laus, F.; Cuteri, V.; Lacava, G.; Sabbieti, M.G.; Amaroli, A. A comparative study between the effectiveness of 980nm photobiomodulation, delivered by Gaussian versus flattop profiles on osteoblasts maturation. Front. Endocrinol 2019, 10, 92. [Google Scholar] [CrossRef] [PubMed]
- Hanna, R.; Dalvi, S.; Amaroli, A.; De Angelis, N.; Benedicenti, S. Effects of photobiomodulation on bone defects grafted with bone substitutes: A systematic review of In Vivo animal studies. J. Biophotonics 2020, 14, e202000267. [Google Scholar] [CrossRef]
- Hanna, R.; Dalvi, S.; Benedicenti, S.; Amaroli, A.; Sălăgean, T.; Pop, I.D.; Todea, D.; Bordea, I.R. Photobiomodulation Therapy in Oral Mucositis and Potentially Malignant Oral Lesions: A Therapy Towards the Future. Cancers 2020, 12, 1949. [Google Scholar] [CrossRef]
- De Freitas, L.F.; Hamblin, M.R. Proposed mechanisms of photobiomodulation or low-level light therapy. IEEE J. Sel. Top. Quantum Electron. 2016, 22, 1–37. [Google Scholar] [CrossRef]
- Huang, Y.Y.; Sharma, S.K.; Carroll, J.D.; Hamblin, M.R. Biphasic dose response in low level light therapy—An update. Dose Response 2011, 9, 602–618. [Google Scholar] [CrossRef] [PubMed]
- Karu, T.I. Photobiological fundamentals of low power laser therapy. IEEE J. Quantum Electron. 1987, 23, 1703–1717. [Google Scholar] [CrossRef]
- Silberberg, N.; Goldstein, M.; Smidt, A. Excessive gingival display in a smile-Etiology, diagnosis, treatment modalities. Quintessence Int. 2009, 40, 809–818. [Google Scholar] [PubMed]
- Mahoor, M.N.; Abdel-Mottaleb, M. Classification and numbering of teeth in dental bitewing images. Pattern Recognit. 2005, 38, 577–586. [Google Scholar] [CrossRef]
- Kotlow, L. Diagnosis and treatment of ankyloglossia and tied maxillary fraenum in infants using Er:YAG and 1064 diode lasers. Eur. Arch. Paediatr. Dent. 2011, 12, 106–112. [Google Scholar] [CrossRef] [PubMed]
- Vitruk, P.; Robert, L. Haemostasis Coagulation with Ablative Soft-Tissue Dental Lasers and Hot-Tip Devices. Inside Dent. 2016, 12, 37–42. [Google Scholar]
- Vescovi, P. Lasers in oral surgery and implantology. Proc. SPIE 2016, 9670, 40–43. [Google Scholar]
- Tunc, S.K.; Yayli, N.Z.; Talmac, A.C.; Feslihan, E.; Akbal, D. Clinical comparison of the use of Er, Cr:YSGG and diode lasers in second stage implants surgery. Saudi Med. J. 2019, 4, 490–498. [Google Scholar] [CrossRef]
- DeLoach, L.J.; Higgins, M.S.; Caplan, A.B.; Stiff, J.L. The Visual Analog Scale in the Immediate Postoperative Period. Anesth. Analg. 1998, 86, 102–106. [Google Scholar]
- Tan, K.-Y.; Zin, T.; Sim, H.L.; Poon, P.L.; Cheng, A.; Mak, K. Randomized clinical trial comparing LigaSure haemorrhoidectomy with open diathermy haemorrhoidectomy. Tech. Coloproctol. 2008, 12, 93–97. [Google Scholar] [CrossRef][Green Version]
- Fornaini, C.; Merigo, E.; Sozzi, M.; Rocca, J.P.; Poli, F.; Selleri, S.; Cucinotta, A.A. Four different diode lasers comparison on soft tissues surgery: A preliminary ex vivo study. Laser Ther. 2016, 29, 105–114. [Google Scholar] [CrossRef] [PubMed]
- Nagy, A. All Tissues Dental Laser Er:YAG laser-Review Article. Biomed. J. Sci. Tech. Res. 2017, 1, 9–17. [Google Scholar] [CrossRef]
- Kotlow, L. The 9.3-μm CO2 Dental Laser: Technical Development and Early Clinical Experiences. J. Laser. Dent. 2014, 22, 10–27. [Google Scholar]
- Sant’Anna, E.F.; Araújo, M.T.S.; Nojima, L.I.; Cunha, A.C.D.; Silveria, B.L.D.; Marquezan, M. High-intensity laser application in Orthodontics. Dent. Press J. Orthod. 2017, 22, 99–109. [Google Scholar] [CrossRef] [PubMed]
- Belcheva, A.; Shindova, M. Pain perception of pediatric patients during cavity preparation with er: Yag laser and conventional rotary instruments. JIMAB 2014, 20, 634–637. [Google Scholar]
- Eroglu, C.N.; Tunç, S.K.; Elasan, S. Removal of epulis fissuratum by Er, Cr: YSGG laser in comparison with the conventional method. Photomed. Laser Surg. 2015, 33, 533–539. [Google Scholar] [CrossRef] [PubMed]
- Genovese, M.D.; Olivi, G. Use of laser technology in orthodontics: Hard and soft tissue laser treatments. Eur. J. Paediatr. Dent. 2010, 11, 44–48. [Google Scholar] [PubMed]
- Diaci, J.; Gaspirc, B. Comparison of Er:YAG and Er, Cr:YSGG Lasers Used in Dentistry. J. Laser Health Acad. 2012, 2012, 1–13. [Google Scholar]
- Basavaraj, P. History of Orthodontics; JB Medical Ltd.: New Delhi, India, 2013; p. 49. [Google Scholar]
- Cercadillo-Ibarguren, I.; Espana-Tost, A.; Arnabat-Dominguez, J.; Valmaseda-Castellon, E.; Berini-Aytes, L.; Gay Escoda, C. Histologic evaluation of thermal damage produced on soft tissues by CO2, Er, Cr:YSGG and diode lasers. Med Oral Patol Oral Cir. Bucal 2010, 15, e912–e918. [Google Scholar] [CrossRef]
- Walsh, J.T., Jr.; Flotte, T.J.; Deutsch, T.F. Er: YAG laser ablation of tissue: Effect of pulse duration and tissue type on thermal damage. Lasers Surg. Med. 1989, 9, 314–326. [Google Scholar] [CrossRef]
- Firkova, E.I.; Panchovska, M.S.; Daskalov, H. Amlodipin-induced gingival overgrowth and application of Er:YAG laser in the treatment protocol. JIMAB 2013, 19, 295–297. [Google Scholar] [CrossRef]












| (A) Er,Cr:YSGG (λ2780 nm) | (B) Surgical Diode λ940 nm | (C) λ940 nm Laser-PBM | |||
|---|---|---|---|---|---|
| Laser | Waterlase I PLUS 2.0 (Biolease) | Laser | Epix X (Biolease) | Laser | Epix X (Biolease) |
| Wavelength | 2780 nm | Wavelength | 940 nm | Wavelength | 940 nm |
| Co-axial aiming beam | 635 nm laser, 1 mW max. | Co-axial aiming beam | 625–670 nm Class 2 (red) | Co-axial aiming beam | 625–670 nm, Class 2 (red) |
| Energy distribution | Gaussian | Energy distribution | Gaussian | Energy distribution | Gaussian |
| Delivery system | Optical Fibre Cable, Hand-piece | Delivery system | Quartz fibre optic E3–7 | Delivery system | Whitening contour handpiece |
| Beam diameter | 0.0016 cm2 | Beam diameter | 0.0016 cm2 | Beam diameter | rectangular |
| Tip-to-tissue distance | Contact (0 mm) | Emission mode | CW | Emission mode | CW |
| Spot diameter at tissue | 0.0400 cm | Tip-to-tissue distance | Contact | Tip-to-tissue distance | 5 mm |
| Spot area at tissue | 0.0013 cm2 | Tip area | 0.0007 cm2 | Tip area | 2.8 cm2 |
| Emission mode | Free running pulse | Spot diameter at tissue | 0.0300 cm | Spot diameter at tissue | 0.86 cm2 |
| Pulse width | 60 µs (H mode) | Spot area at tissue | 0.0007 cm2 | Power output | 1.4 W |
| Peak power | 1333 Watts (W) | Energy delivery | Initiated | Spot area at tissue | 3.42 cm2 |
| Average power | 2 W | Average power | 1.2 Watts | treatment area | 7 cm2 |
| Average power density | 1592 W/cm2 | Fibre diameter | 300 µm | Fibre diameter | 8 × 35 mm |
| Pulse repetition rate | 25 PPS | Bean divergence | 8° | Total energy | 168 J |
| Energy per pulse | 80 mJ | Total energy | 72 J | Energy density with movement | 196.5 J/cm2 |
| Total energy | 180 J | Energy density with movement | 199.6 J/cm2 | Average power density | 24 W/cm2 |
| Average energy density | 143 238 J/cm2 | Average power density | 1698 W/cm2 | Duration of treatment | 120 s |
| Peak power density | 1061 033 W/cm2 | Length of treatment | 60 s | Number of application | Single application |
| Average power density | 1592 W/cm2 | Speed of movement | 2 mm/s | ||
| Water irrigation | 15 mL/min | ||||
| Amount of air | 20 mL/min | ||||
| Length of treatment | 90 s | ||||
| Speed of movement | 1 mm/s | ||||
Publisher’s Note: MDPI stays neutral with regard to jurisdictional claims in published maps and institutional affiliations. |
© 2022 by the authors. Licensee MDPI, Basel, Switzerland. This article is an open access article distributed under the terms and conditions of the Creative Commons Attribution (CC BY) license (https://creativecommons.org/licenses/by/4.0/).
Share and Cite
Hanna, R.; Pawelczyk-Madalińska, M.; Sălăgean, T.; Nap, M.E.; Bordea, I.R.; Benedicenti, S. A Novel Concept of Combined High-Level-Laser Treatment and Transcutaneous Photobiomodulation Therapy Utilisation in Orthodontic Periodontal Interface Management. Sensors 2022, 22, 2263. https://doi.org/10.3390/s22062263
Hanna R, Pawelczyk-Madalińska M, Sălăgean T, Nap ME, Bordea IR, Benedicenti S. A Novel Concept of Combined High-Level-Laser Treatment and Transcutaneous Photobiomodulation Therapy Utilisation in Orthodontic Periodontal Interface Management. Sensors. 2022; 22(6):2263. https://doi.org/10.3390/s22062263
Chicago/Turabian StyleHanna, Reem, Magdalena Pawelczyk-Madalińska, Tudor Sălăgean, Mircea Emil Nap, Ioana Roxana Bordea, and Stefano Benedicenti. 2022. "A Novel Concept of Combined High-Level-Laser Treatment and Transcutaneous Photobiomodulation Therapy Utilisation in Orthodontic Periodontal Interface Management" Sensors 22, no. 6: 2263. https://doi.org/10.3390/s22062263
APA StyleHanna, R., Pawelczyk-Madalińska, M., Sălăgean, T., Nap, M. E., Bordea, I. R., & Benedicenti, S. (2022). A Novel Concept of Combined High-Level-Laser Treatment and Transcutaneous Photobiomodulation Therapy Utilisation in Orthodontic Periodontal Interface Management. Sensors, 22(6), 2263. https://doi.org/10.3390/s22062263

