Surgical Guidance for Removal of Cholesteatoma Using a Multispectral 3D-Endoscope †
Abstract
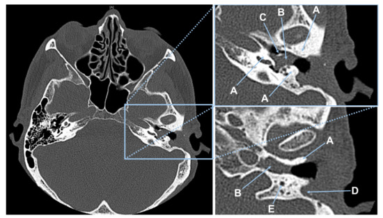
1. Introduction
2. Materials and Methods
2.1. Imaging Setup
2.2. Surgical Cases and Tissue Specification
2.3. Visualization
3. Results
3.1. Optical Properties of the Endoscopic System
3.1.1. Modulated Transfer Function
3.1.2. Chromatic Aberration
3.1.3. Lens Distortion
3.1.4. Penetration Depth of Light
3.2. Cholesteatoma Visualization
3.3. Multispectral Stereo Acquisition
4. Discussion
Author Contributions
Funding
Acknowledgments
Conflicts of Interest
Abbreviations
| RGB | Red-green-blue color model |
| CT | Computed tomography |
| MTF | Modulated transfer function |
| SNR | Signal-to-noise ratio |
| TOI | Tissue-of-interest |
| UV | Ultra violet |
| IR | Infrared |
| WD | Working distance |
| Xe | Xenon lamp |
| CMOS | Complementary metal oxide semiconductor |
| TORP | Total ossicular replacement prosthesis |
References
- Uecker, F.C. Hals-Nasen-Ohren-Heilkunde in Frage und Antwort: Fragen und Fallgeschichten zur Vorbereitung auf Mündliche Prüfungen Während des Semesters und Examen; Elsevier, Urban & Fischer Verlag: München, Germany, 2006. [Google Scholar]
- Dornelles, C.; Costa, S.S.d.; Meurer, L.; Schweiger, C. Some considerations about acquired adult and pediatric cholesteatomas. Rev. Bras. Otorrinolaringologia 2005, 71, 536–546. [Google Scholar] [CrossRef]
- Fassett, D.R.; Kan, P.; Chin, S.S.; Couldwell, W.T. Cholesteatoma of the clivus. Skull Base 2006, 16, 45–47. [Google Scholar] [CrossRef] [PubMed]
- Sudhoff, H.; Hildmann, H. Gegenwärtige Theorien zur Cholesteatomentstehung. HNO 2003, 51, 71–83. [Google Scholar] [CrossRef] [PubMed]
- Gilberto, N.; Custódio, S.; Colaço, T.; Santos, R.; Sousa, P.; Escada, P. Middle ear congenital cholesteatoma: Systematic review, meta-analysis and insights on its pathogenesis. Eur. Arch. Oto-Rhino-Laryngol. 2020, 277, 987–998. [Google Scholar] [CrossRef] [PubMed]
- Keeler, J.A.; Kaylie, D.M. Cholesteatoma: Is a second stage necessary? Laryngoscope 2016, 126, 1499–1500. [Google Scholar] [CrossRef]
- Gioacchini, F.M.; Cassandro, E.; Alicandri-Ciufelli, M.; Kaleci, S.; Cassandro, C.; Scarpa, A.; Re, M. Surgical outcomes in the treatment of temporal bone cerebrospinal fluid leak: A systematic review. Auris Nasus Larynx 2018, 45, 903–910. [Google Scholar] [CrossRef]
- Prasad, S.; La Melia, C.; Medina, M.; Vincenti, V.; Bacciu, A.; Bacciu, S.; Pasanisi, E. Long-term surgical and functional outcomes of the intact canal wall technique for middle ear cholesteatoma in the paediatric population. Acta Otorhinolaryngol. Ital. 2014, 34, 354. [Google Scholar]
- Olszewska, E.; Wagner, M.; Bernal-Sprekelsen, M.; Ebmeyer, J.; Dazert, S.; Hildmann, H.; Sudhoff, H. Etiopathogenesis of cholesteatoma. Eur. Arch. Oto-Rhino-Laryngol. Head Neck 2004, 261, 6–24. [Google Scholar] [CrossRef]
- Russo, C.; Elefante, A.; Cavaliere, M.; Di Lullo, A.M.; Motta, G.; Iengo, M.; Brunetti, A. Apparent diffusion coefficients for predicting primary cholesteatoma risk of recurrence after surgical clearance. Eur. J. Radiol. 2020, 125, 108915. [Google Scholar] [CrossRef]
- Black, B.; Gutteridge, I. The prevention of recurrent cholesteatoma in CWU surgery: The use of titanium sheeting. Otol. Neurotol. 2017, 38, 1290–1295. [Google Scholar] [CrossRef]
- Kazahaya, K.; Potsic, W.P. Congenital cholesteatoma. Curr. Opin. Otolaryngol. Head Neck Surg. 2004, 12, 398–403. [Google Scholar] [CrossRef] [PubMed]
- Blanco, P.; González, F.; Holguín, J.; Guerra, C. Surgical management of middle ear cholesteatoma and reconstruction at the same time. Colomb. Med. 2014, 45, 127–131. [Google Scholar] [CrossRef] [PubMed]
- Smith, J.A.; Danner, C.J. Complications of chronic otitis media and cholesteatoma. Otolaryngol. Clin. N. Am. 2006, 39, 1237–1255. [Google Scholar] [CrossRef] [PubMed]
- Reddy, R.; Echanique, K.; Jyung, R. Iatrogenic skull base cholesteatoma. Ear Nose Throat J. 2018, 97, E41–E42. [Google Scholar] [PubMed]
- Gard, N.; Rosenthal, J.C.; Jurk, S.; Schneider, A.; Eisert, P. Image-based measurement by instrument tip tracking for tympanoplasty using digital surgical microscopy. In Proceedings of the Medical Imaging 2019: Image-Guided Procedures, Robotic Interventions, and Modeling, San Diego, CA, USA, 17–19 February 2019; pp. 318–328. [Google Scholar] [CrossRef]
- Wisotzky, E.L.; Uecker, F.C.; Arens, P.; Dommerich, S.; Hilsmann, A.; Eisert, P. Intraoperative hyperspectral determination of human tissue properties. J. Biomed. Opt. 2018, 23, 91409. [Google Scholar] [CrossRef]
- Wisotzky, E.L.; Rosenthal, J.C.; Eisert, P.; Hilsmann, A.; Schmid, F.; Bauer, M.; Schneider, A.; Uecker, F.C. Interactive and Multimodal-based Augmented Reality for Remote Assistance using a Digital Surgical Microscope. In Proceedings of the IEEE VR 2019, The 26th IEEE Conference on Virtual Reality and 3D User Interfaces, Osaka, Japan, 23–27 March 2019; pp. 1477–1484. [Google Scholar] [CrossRef]
- Kumar, A.; Wang, Y.-Y.; Wu, C.-J.; Liu, K.-C.; Wu, H.-S. Stereoscopic laparoscopy using depth information from 3D model. In Proceedings of the 2014 IEEE International Symposium on Bioelectronics and Bioinformatics (IEEE ISBB 2014), Chung Li, Taiwan, 11–14 April 2014; pp. 1–4. [Google Scholar]
- Augmented reality navigation for liver resection with a stereoscopic laparoscope. Comput. Methods Programs Biomed. 2020, 187, 105099. [CrossRef]
- Lu, G.; Fei, B. Medical hyperspectral imaging: A review. J. Biomed. Opt. 2014, 19, 10901. [Google Scholar] [CrossRef]
- Salomatina, E.V.; Jiang, B.; Novak, J.; Yaroslavsky, A.N. Optical properties of normal and cancerous human skin in the visible and near-infrared spectral range. J. Biomed. Opt. 2006, 11, 64026. [Google Scholar] [CrossRef]
- Zuzak, K.J.; Francis, R.P.; Wehner, E.F.; Smith, J.; Litorja, M.; Allen, D.W.; Tracy, C.; Cadeddu, J.; Livingston, E. Hyperspectral imaging utilizing LCTF and DLP technology for surgical and clinical applications. In Proceedings of the Design and Quality for Biomedical Technologies II, San Jose, CA, USA, 26 January 2009; International Society for Optics and Photonics: Bellingham, WA, USA; p. 71700C. [Google Scholar]
- Holmer, A.; Marotz, J.; Wahl, P.; Dau, M.; Kämmerer, P.W. Hyperspectral imaging in perfusion and wound diagnostics–methods and algorithms for the determination of tissue parameters. Biomed. Eng./Biomed. Tech. 2018, 63, 547–556. [Google Scholar] [CrossRef]
- Luthman, A.S.; Dumitru, S.; Quiros-Gonzalez, I.; Joseph, J.; Bohndiek, S.E. Fluorescence hyperspectral imaging (fHSI) using a spectrally resolved detector array. J. Biophotonics 2017, 10, 840–853. [Google Scholar] [CrossRef]
- Geelen, B.; Blanch, C.; Gonzalez, P.; Tack, N.; Lambrechts, A. A tiny VIS-NIR snapshot multispectral camera. In Proceedings of the Advanced Fabrication Technologies for Micro/Nano Optics Photonics VIII, San Francisco, CA, USA, 7–12 February 2015; p. 937414. [Google Scholar]
- Garini, Y.; Young, I.T.; McNamara, G. Spectral Imaging: Principles and Applications. Cytometry Part A 2006, 69, 735–747. [Google Scholar] [CrossRef] [PubMed]
- Wisotzky, E.L.; Rosenthal, J.C.; Hilsmann, A.; Eisert, P.; Uecker, F.C. A multispectral 3D-Endoscope for Cholesteatoma Removal. Curr. Directions Biomed. Eng. 2020, 6. in press. [Google Scholar] [CrossRef]
- Wisotzky, E.L.; Kossack, B.; Uecker, F.C.; Arens, P.; Dommerich, S.; Hilsmann, A.; Eisert, P. Validation of two techniques for intraoperative hyperspectral human tissue determination. In Proceedings of the Medical Imaging 2019: Image-Guided Procedures, Robotic Interventions, and Modeling, San Diego, CA, USA, 17–19 February 2019; p. 109511Z. [Google Scholar] [CrossRef]
- Rosenthal, J.C.; Gard, N.; Schneider, A.; Eisert, P. Kalibrierung stereoskopischer Systeme für medizinische Messaufgaben. In Proceedings of the 16th Annual CURAC Conference, Hanover, Germany, 5–7 October 2017. [Google Scholar]
- Zhang, Z. Flexible camera calibration by viewing a plane from unknown orientations. In Proceedings of the Seventh IEEE International Conference on Computer Vision, Kerkyra, Greece, 20–27 September 1999. [Google Scholar]
- Garrido-Jurado, S.; Muñoz-Salinas, R.; Madrid-Cuevas, F.J.; Marín-Jiménez, M.J. Automatic generation and detection of highly reliable fiducial markers under occlusion. Pattern Recognit. 2014, 47, 2280–2292. [Google Scholar] [CrossRef]
- Eisert, P. Model-based camera calibration using analysis by synthesis techniques. In Proceedings of the International Workshop on Vision, Modeling, and Visualization, Erlangen, Germany, 20–22 November 2002; pp. 307–314. [Google Scholar]
- Zilly, F.; Müller, M.; Eisert, P.; Kauff, P. Joint Estimation of Epipolar Geometry and Rectification Parameters using Point Correspondences for Stereoscopic TV Sequences. In Proceedings of the 3DPVT, Espace Saint Martin, Paris, France, 17–20 May 2010. [Google Scholar]
- Waizenegger, W.; Feldmann, I.; Schreer, O.; Kauff, P.; Eisert, P. Real-time 3D body reconstruction for immersive TV. In Proceedings of the IEEE International Conference on Image Processing (ICIP), Phoenix, AZ, USA, 25–28 September 2016; pp. 360–364. [Google Scholar]
- Semaan, M.T.; Megerian, C.A. The pathophysiology of cholesteatoma. Otolaryngol. Clin. N. Am. 2006, 39, 1143–1159. [Google Scholar] [CrossRef] [PubMed]
- Jackler, R.K.; Santa Maria, P.L.; Varsak, Y.K.; Nguyen, A.; Blevins, N.H. A new theory on the pathogenesis of acquired cholesteatoma: mucosal traction. Laryngoscope 2015, 125, S1–S14. [Google Scholar] [CrossRef]
- Hüttenbrink, K.B. A new theory interprets the development of a retraction pocket as a natural self-healing process. Eur. Arch. Oto-Rhino-Laryngol. 2019, 276, 367–373. [Google Scholar] [CrossRef]
- Wisotzky, E.L.; Arens, P.; Dommerich, S.; Hilsmann, A.; Eisert, P.; Uecker, F.C. Determination of optical properties of cholesteatoma in the spectral range of 250 to 800 nm. Biomed. Opt. Express 2020, 11, 1489–1500. [Google Scholar] [CrossRef]
- Friebel, M.; Roggan, A.; Müller, G.J.; Meinke, M.C. Determination of optical properties of human blood in the spectral range 250 to 1100 nm using Monte Carlo simulations with hematocrit-dependent effective scattering phase functions. J. Biomed. Opt. 2006, 11, 34021. [Google Scholar] [CrossRef]
- Wisotzky, E.L.; Uecker, F.C.; Dommerich, S.; Hilsmann, A.; Eisert, P.; Arens, P. Determination of optical properties of human tissues obtained from parotidectomy in the spectral range of 250 to 800 nm. J. Biomed. Opt. 2019, 24, 125001. [Google Scholar] [CrossRef]
- Lister, T.; Wright, P.A.; Chappell, P.H. Optical properties of human skin. J. Biomed. Opt. 2012, 17, 090901. [Google Scholar] [CrossRef]
- Jacques, S.L. Optical properties of biological tissues: A review. Phys. Med. Biol. 2013, 58, R37–R61. [Google Scholar] [CrossRef] [PubMed]
- Putora, I. The sharpness indicator. SMPTE J. 1998, 107, 106–112. [Google Scholar] [CrossRef]
- Edmund Optics. Wavelength Effects on Performance. Available online: https://www.edmundoptics.com/knowledge-center/application-notes/imaging/wavelength-effects-on-performance/ (accessed on 16 September 2020).
- Koren, N. ISO 12233 Test Chart. Available online: http://www.normankoren.com/Tutorials/MTF.html (accessed on 16 September 2020).
- Klein, J.; Brauers, J.; Aach, T. Spatial and spectral analysis and modeling of transversal chromatic aberrations and their compensation. In Proceedings of the Conference on Colour in Graphics, Imaging, and Vision, Joensuu, Finland, 14–17 June 2010; Society for Imaging Science and Technology: Springfield, VA, USA; pp. 516–522. [Google Scholar]
- Brauers, J.; Aach, T. Geometric calibration of lens and filter distortions for multispectral filter-wheel cameras. IEEE Trans. Image Process. 2011, 20, 496–506. [Google Scholar] [CrossRef] [PubMed]
- Klein, J.; Aach, T. Multispectral filter wheel cameras: Modeling aberrations for filters in front of lens. In Proceedings of the Digital Photography VIII. International Society for Optics and Photonics, Burlingame, CA, USA, 23–24 January 2012; p. 82990R. [Google Scholar]
- Klein, J. Multispectral imaging and image processing. In Proceedings of the Image Processing: Algorithms and Systems XII, San Francisco, CA, USA, 3–5 February 2014; International Society for Optics and Photonics: Bellingham, WA, USA; p. 90190Q. [Google Scholar]
- Wang, Q.; Cheng, W.C.; Suresh, N.; Hua, H. Development of the local magnification method for quantitative evaluation of endoscope geometric distortion. J. Biomed. Opt. 2016, 21, 56003. [Google Scholar] [CrossRef]
- Wilson, B.; Patterson, M. The physics of photodynamic therapy. Phys. Med. Biol. 1986, 31, 327. [Google Scholar] [CrossRef]
- Kubby, J.A. Adaptive Optics for Biological Imaging; Taylor & Francis: Boca Raton, FL, USA, 2013. [Google Scholar]
- Rosenthal, J.C.; Hu, Z.; Gard, N.; Eisert, P. Endoscopic Vision Challenge—Stereo Correspondence and Reconstruction of Endoscopic Data (SCARED), organized by Intuitive Surgical. In Proceedings of the 22nd International Conference on Medical Image Computing and Computer Assisted Intervention (MICCAI), Shenzhen, China, 13–17 October 2019. [Google Scholar]
- Fei, B. Chapter 3.6—Hyperspectral imaging in medical applications. In Hyperspectral Imaging, Series: Data Handling in Science and Technology, Volume 32; Amigo, J.M., Ed.; Elsevier: Amsterdam, The Netherlands, 2020; pp. 523–565. [Google Scholar] [CrossRef]
- Ortega, S.; Halicek, M.; Fabelo, H.; Camacho, R.; Plaza, M.d.L.L.; Godtliebsen, F.; Callicó, G.M.; Fei, B. Hyperspectral Imaging for the Detection of Glioblastoma Tumor Cells in H&E Slides Using Convolutional Neural Networks. Sensors 2020, 20. [Google Scholar] [CrossRef]
- Halicek, M.; Dormer, J.D.; Little, J.V.; Chen, A.Y.; Fei, B. Tumor detection of the thyroid and salivary glands using hyperspectral imaging and deep learning. Biomed. Opt. Express 2020, 11, 1383–1400. [Google Scholar] [CrossRef]
- Hyperspectral Imaging—Technology Partnership between KARL STORZ and Diaspective Vision, 2020. Available online: https://www.karlstorz.com/gb/en/hyperspektrale-bildgebung-technologiepartnerschaft-zwischen-karl-storz-und-diaspective-vision.htm (accessed on 2 September 2020).
- Abdullah, B.; Rasid, N.S.A.; Lazim, N.M.; Volgger, V.; Betz, C.S.; Mohammad, Z.W.; Hassan, N.F.H.N. Ni endoscopic classification for Storz Professional Image Enhancement System (SPIES) endoscopy in the detection of upper aerodigestive tract (UADT) tumours. Sci. Rep. 2020, 10, 1–7. [Google Scholar] [CrossRef]














| Output Resolution | Interlaced | 1920 × 1080 px |
| Frame Rate | 25 fps | |
| Endoscope Diameter | approximately 9.4 mm | |
| Light Source | Xenon (Xe) | 300 W |
| Focal Length | 4.63 mm | |
| Interaxial Distance | 4.16 mm |
| Illumination | MTF | MTF |
|---|---|---|
| white | 84.1 lp/mm | 99.5 lp/mm |
| 400 nm | 40.2 lp/mm | 65.8 lp/mm |
| 420 nm | 34.7 lp/mm | 60.7 lp/mm |
| 440 nm | 35.9 lp/mm | 57.8 lp/mm |
| 460 nm | 44.3 lp/mm | 63.0 lp/mm |
| 480 nm | 51.0 lp/mm | 98.4 lp/mm |
| 500 nm | 53.8 lp/mm | 106.9 lp/mm |
| 520 nm | 47.9 lp/mm | 98.4 lp/mm |
| 540 nm | 46.0 lp/mm | 98.4 lp/mm |
| 560 nm | 47.4 lp/mm | 98.5 lp/mm |
| 580 nm | 47.8 lp/mm | 99.1 lp/mm |
| 600 nm | 52.0 lp/mm | 98.7 lp/mm |
| 620 nm | 51.6 lp/mm | 99.3 lp/mm |
| 640 nm | 47.0 lp/mm | 94.9 lp/mm |
| 660 nm | 45.5 lp/mm | 94.4 lp/mm |
© 2020 by the authors. Licensee MDPI, Basel, Switzerland. This article is an open access article distributed under the terms and conditions of the Creative Commons Attribution (CC BY) license (http://creativecommons.org/licenses/by/4.0/).
Share and Cite
Wisotzky, E.L.; Rosenthal, J.-C.; Wege, U.; Hilsmann, A.; Eisert, P.; Uecker, F.C. Surgical Guidance for Removal of Cholesteatoma Using a Multispectral 3D-Endoscope. Sensors 2020, 20, 5334. https://doi.org/10.3390/s20185334
Wisotzky EL, Rosenthal J-C, Wege U, Hilsmann A, Eisert P, Uecker FC. Surgical Guidance for Removal of Cholesteatoma Using a Multispectral 3D-Endoscope. Sensors. 2020; 20(18):5334. https://doi.org/10.3390/s20185334
Chicago/Turabian StyleWisotzky, Eric L., Jean-Claude Rosenthal, Ulla Wege, Anna Hilsmann, Peter Eisert, and Florian C. Uecker. 2020. "Surgical Guidance for Removal of Cholesteatoma Using a Multispectral 3D-Endoscope" Sensors 20, no. 18: 5334. https://doi.org/10.3390/s20185334
APA StyleWisotzky, E. L., Rosenthal, J.-C., Wege, U., Hilsmann, A., Eisert, P., & Uecker, F. C. (2020). Surgical Guidance for Removal of Cholesteatoma Using a Multispectral 3D-Endoscope. Sensors, 20(18), 5334. https://doi.org/10.3390/s20185334

