Spectral–Spatial Features Integrated Convolution Neural Network for Breast Cancer Classification
Abstract
1. Introduction
- A CNN model is proposed utilizing both spectral and spatial information based on a concatenation of multiresolution spectral information obtained from the wavelet transform at the various deep layer of CNN.
- Utilization of average pooling instead of max pooling operation and batch normalization after each convolution operation is introduced to solve the poor convergence problem.
- Performance comparison of the proposed model with various CNN models is presented on two datasets, namely, Breast Cancer Classification Challenge 2015 and BreaKHis.
2. Related Work
3. The Proposed Method
4. Experiment Results
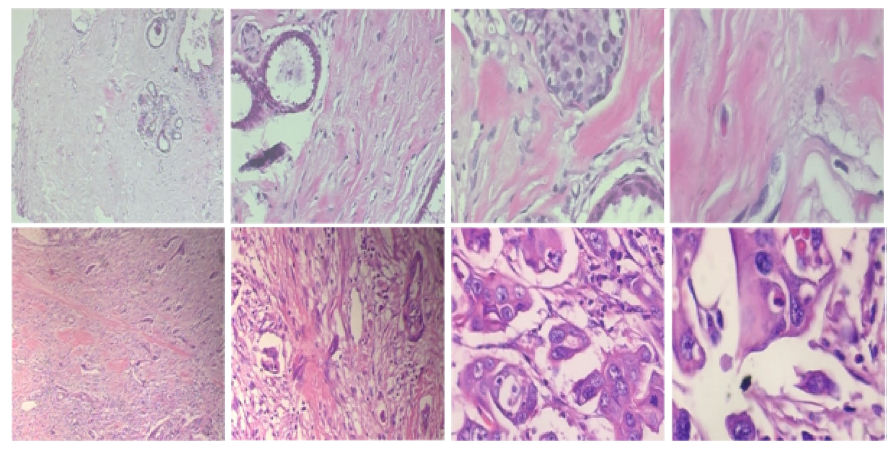
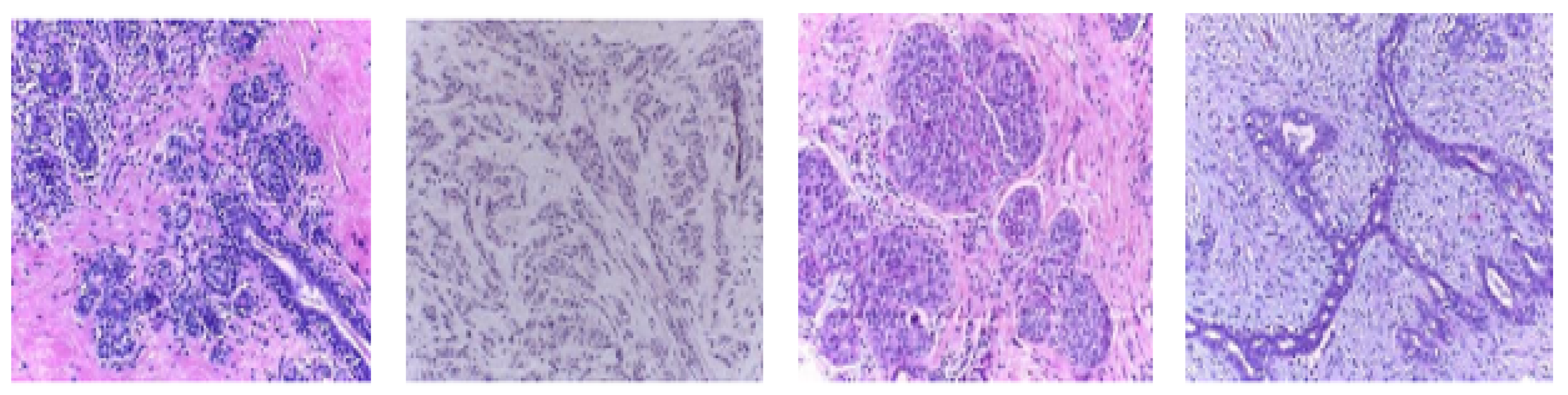
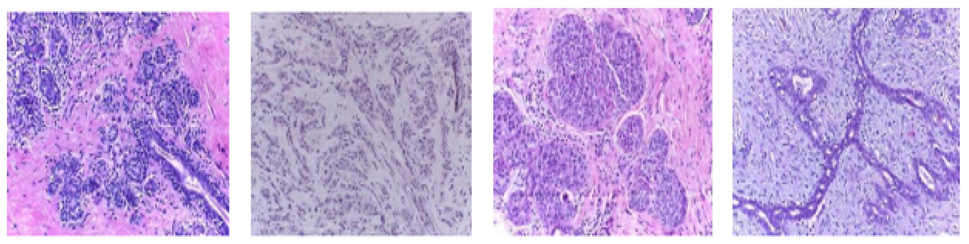
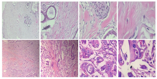
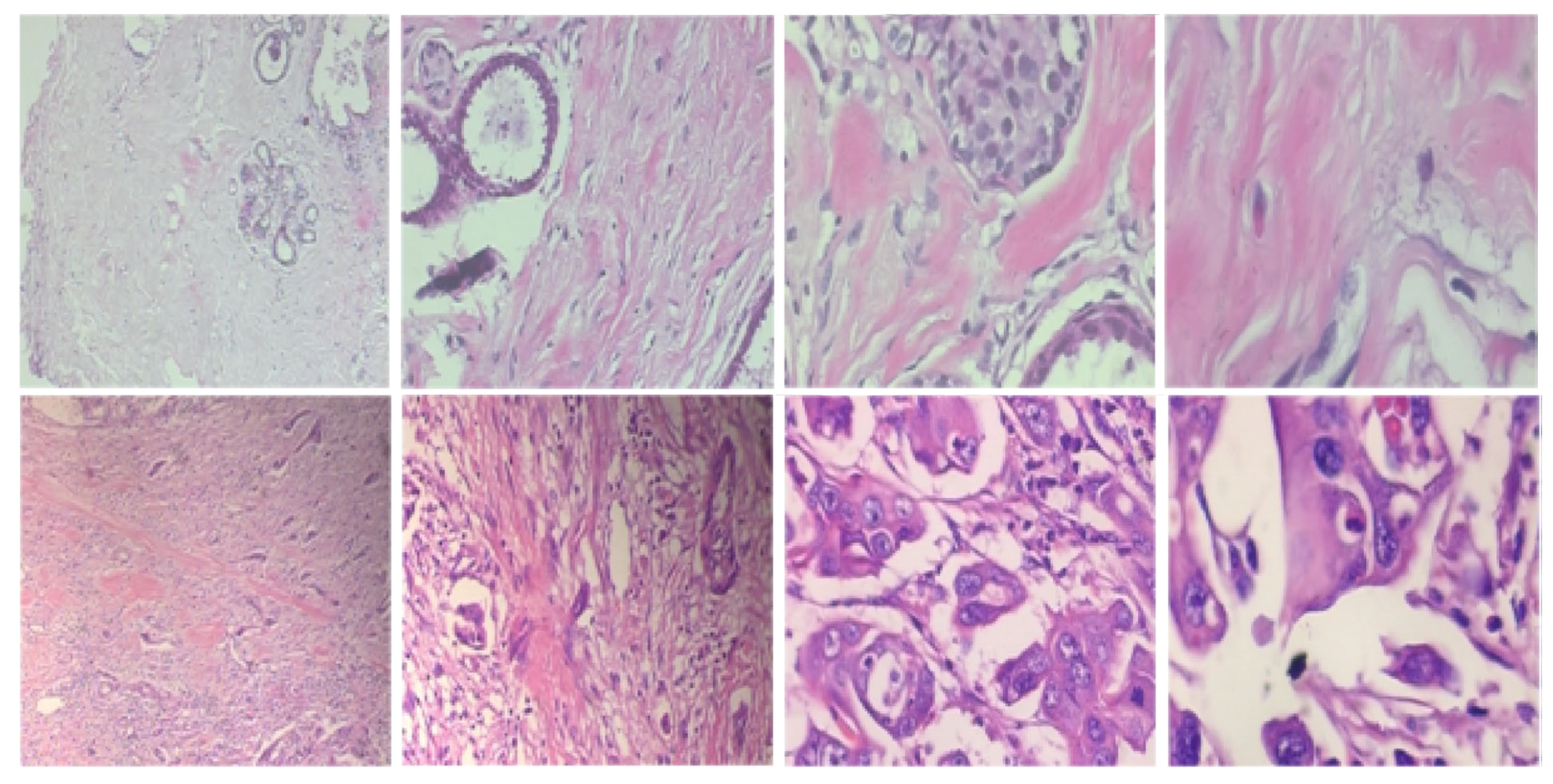
4.1. Datasets
4.2. Data Augmentation
4.3. Evaluation Metrics
4.4. Performance Analysis on the Breakhis Dataset
4.5. Performance Analysis on the Bcc2015 Dataset
5. Conclusions
Author Contributions
Funding
Conflicts of Interest
References
- Silva, T.A.E.D.; Silva, L.F.D.; Muchaluat-Saade, D.C.; Conci, A. A Computational Method to Assist the Diagnosis of Breast Disease Using Dynamic Thermography. Sensors 2020, 20, 3866. [Google Scholar] [CrossRef] [PubMed]
- Aldhaeebi, M.A.; Alzoubi, K.; Almoneef, T.S.; Bamatraf, S.M.; Attia, H.; Ramahi, O.M. Review of Microwaves Techniques for Breast Cancer Detection. Sensors 2020, 20, 2390. [Google Scholar] [CrossRef] [PubMed]
- Zhou, X.; Li, C.; Rahaman, M.M.; Yao, Y.; Ai, S.; Sun, C.; Wang, Q.; Zhang, Y.; Li, M.; Li, X.; et al. A Comprehensive Review for Breast Histopathology Image Analysis Using Classical and Deep Neural Networks. IEEE Access 2020, 8, 90931–90956. [Google Scholar] [CrossRef]
- Veronika, G.; Lenka, L.; Peter, K.; Jan, T. Electrochemical Nanobiosensors for Detection of Breast Cancer Biomarkers. Sensors 2020, 20, 4022. [Google Scholar]
- Abrao Nemeir, I.; Saab, J.; Hleihel, W.; Errachid, A.; Jafferzic-Renault, N.; Zine, N. The advent of salivary breast cancer biomarker detection using affinity sensors. Sensors 2019, 19, 2373. [Google Scholar] [CrossRef]
- Mambou, S.J.; Maresova, P.; Krejcar, O.; Selamat, A.; Kuca, K. Breast cancer detection using infrared thermal imaging and a deep learning model. Sensors 2018, 18, 2799. [Google Scholar] [CrossRef]
- Mur, A.; Dormido, R.; Vega, J.; Dormido-Canto, S.; Duro, N. Unsupervised event detection and classification of multichannel signals. Expert Syst. Appl. 2016, 54, 294–303. [Google Scholar] [CrossRef]
- Hassaballah, M.; Awad, A.I. Detection and description of image features: An introduction. In Image Feature Detectors and Descriptors; Springer: Berlin/Heidelberg, Germany, 2016; pp. 1–8. [Google Scholar]
- Awad, A.I.; Hassaballah, M. Image Feature Detectors and Descriptors: Foundations and Applications; Springer: Berlin/Heidelberg, Germany, 2016; p. 630. [Google Scholar]
- Hassaballah, M.; Hosny, K.M. Recent Advances in Computer Vision: Theories and Applications; Springer: Berlin/Heidelberg, Germany, 2018; p. 804. [Google Scholar]
- Hassaballah, M.; Awad, A.I. Deep Learning in Computer Vision: Principles and Applications; CRC Press: Boca Raton, FL, USA, 2020. [Google Scholar]
- Gour, M.; Jain, S.; Sunil Kumar, T. Residual learning based CNN for breast cancer histopathological image classification. Int. J. Imaging Syst. Technol. 2020. [Google Scholar] [CrossRef]
- Alom, M.Z.; Yakopcic, C.; Nasrin, M.S.; Taha, T.M.; Asari, V.K. Breast cancer classification from histopathological images with inception recurrent residual convolutional neural network. J. Digit. Imaging 2019, 32, 605–617. [Google Scholar] [CrossRef]
- Spanhol, F.A.; Oliveira, L.S.; Petitjean, C.; Heutte, L. A dataset for breast cancer histopathological image classification. IEEE Trans. Biomed. Eng. 2015, 63, 1455–1462. [Google Scholar] [CrossRef]
- Nahid, A.A.; Mehrabi, M.A.; Kong, Y. Histopathological breast cancer image classification by deep neural network techniques guided by local clustering. BioMed Res. Int. 2018, 2018, 1–20. [Google Scholar] [CrossRef] [PubMed]
- Xie, J.; Liu, R.; Luttrell IV, J.; Zhang, C. Deep learning based analysis of histopathological images of breast cancer. Front. Genet. 2019, 10, 80. [Google Scholar] [CrossRef] [PubMed]
- Jiang, Y.; Chen, L.; Zhang, H.; Xiao, X. Breast cancer histopathological image classification using convolutional neural networks with small SE-ResNet module. PLoS ONE 2019, 14, e0214587. [Google Scholar] [CrossRef] [PubMed]
- Wei, B.; Han, Z.; He, X.; Yin, Y. Deep learning model based breast cancer histopathological image classification. In Proceedings of the International Conference on Cloud Computing and Big Data Analysis, Chengdu, China, 28–30 April 2017; IEEE: Piscataway, NJ, USA, 2017; pp. 348–353. [Google Scholar]
- Nahid, A.A.; Mikaelian, A.; Kong, Y. Histopathological breast-image classification with restricted Boltzmann machine along with backpropagation. Biomed. Res. 2018, 29, 2068–2077. [Google Scholar] [CrossRef]
- Mahbod, A.; Ellinger, I.; Ecker, R.; Smedby, Ö.; Wang, C. Breast cancer histological image classification using fine-tuned deep network fusion. In International Conference on Image Analysis and Recognition; Springer: Berlin/Heidelberg, Germany, 2018; pp. 754–762. [Google Scholar]
- Han, Z.; Wei, B.; Zheng, Y.; Yin, Y.; Li, K.; Li, S. Breast cancer multi-classification from histopathological images with structured deep learning model. Sci. Rep. 2017, 7, 1–10. [Google Scholar] [CrossRef]
- Spanhol, F.A.; Oliveira, L.S.; Petitjean, C.; Heutte, L. Breast cancer histopathological image classification using convolutional neural networks. In International Joint Conference on Neural Networks; IEEE: Piscataway, NJ, USA, 2016; pp. 2560–2567. [Google Scholar]
- Shen, L.; Margolies, L.R.; Rothstein, J.H.; Fluder, E.; McBride, R.; Sieh, W. Deep learning to improve breast cancer detection on screening mammography. Sci. Rep. 2019, 9, 1–12. [Google Scholar] [CrossRef]
- Nawaz, M.; Sewissy, A.A.; Soliman, T.H.A. Multi-class breast cancer classification using deep learning convolutional neural network. Int. J. Adv. Comput. Sci. Appl. 2018, 9, 316–332. [Google Scholar] [CrossRef]
- Benhammou, Y.; Achchab, B.; Herrera, F.; Tabik, S. BreakHis based breast cancer automatic diagnosis using deep learning: Taxonomy, survey and insights. Neurocomputing 2020, 375, 9–24. [Google Scholar] [CrossRef]
- Kumar, A.; Singh, S.K.; Saxena, S.; Lakshmanan, K.; Sangaiah, A.K.; Chauhan, H.; Shrivastava, S.; Singh, R.K. Deep feature learning for histopathological image classification of canine mammary tumors and human breast cancer. Inf. Sci. 2020, 508, 405–421. [Google Scholar] [CrossRef]
- Li, L.; Pan, X.; Yang, H.; Liu, Z.; He, Y.; Li, Z.; Fan, Y.; Cao, Z.; Zhang, L. Multi-task deep learning for fine-grained classification and grading in breast cancer histopathological images. Multimed. Tools Appl. 2020, 79, 14509–14528. [Google Scholar] [CrossRef]
- Sharma, S.; Mehra, R. Conventional Machine Learning and Deep Learning Approach for Multi-Classification of Breast Cancer Histopathology Images—A Comparative Insight. J. Digit. Imaging 2020, 33, 632–654. [Google Scholar] [CrossRef] [PubMed]
- Araújo, T.; Aresta, G.; Castro, E.; Rouco, J.; Aguiar, P.; Eloy, C.; Polónia, A.; Campilho, A. Classification of breast cancer histology images using convolutional neural networks. PLoS ONE 2017, 12, e0177544. [Google Scholar] [CrossRef] [PubMed]
- Zhu, C.; Song, F.; Wang, Y.; Dong, H.; Guo, Y.; Liu, J. Breast cancer histopathology image classification through assembling multiple compact CNNs. BMC Med. Informatics Decis. Mak. 2019, 19, 198. [Google Scholar] [CrossRef] [PubMed]
- Das, K.; Conjeti, S.; Roy, A.G.; Chatterjee, J.; Sheet, D. Multiple instance learning of deep convolutional neural networks for breast histopathology whole slide classification. In Proceedings of the IEEE International Symposium on Biomedical Imaging, Washington, DC, USA, 4–7 April 2018; IEEE: Piscataway, NJ, USA, 2018; pp. 578–581. [Google Scholar]
- Niwas, S.I.; Palanisamy, P.; Sujathan, K.; Bengtsson, E. Analysis of nuclei textures of fine needle aspirated cytology images for breast cancer diagnosis using complex Daubechies wavelets. Signal Process. 2013, 93, 2828–2837. [Google Scholar] [CrossRef]
- Kausar, T.; Wang, M.; Idrees, M.; Lu, Y. HWDCNN: Multi-class recognition in breast histopathology with Haar wavelet decomposed image based convolution neural network. Biocybern. Biomed. Eng. 2019, 39, 967–982. [Google Scholar] [CrossRef]
- He, K.; Zhang, X.; Ren, S.; Sun, J. Deep residual learning for image recognition. In Proceedings of the IEEE Conference on Computer Vision and Pattern Recognition, Las Vegas, NV, USA, 27–30 June 2016; pp. 770–778. [Google Scholar]
- Huang, G.; Liu, Z.; Van Der Maaten, L.; Weinberger, K.Q. Densely connected convolutional networks. In Proceedings of the IEEE Conference on Computer Vision and Pattern Recognition, Honolulu, HI, USA, 21–26 July 2017; pp. 4700–4708. [Google Scholar]
- Russakovsky, O.; Deng, J.; Su, H.; Krause, J.; Satheesh, S.; Ma, S.; Huang, Z.; Karpathy, A.; Khosla, A.; Bernstein, M.; et al. Imagenet large scale visual recognition challenge. Int. J. Comput. Vis. 2015, 115, 211–252. [Google Scholar] [CrossRef]
- Liu, Y.; Gadepalli, K.; Norouzi, M.; Dahl, G.E.; Kohlberger, T.; Boyko, A.; Venugopalan, S.; Timofeev, A.; Nelson, P.Q.; Corrado, G.S.; et al. Detecting cancer metastases on gigapixel pathology images. arXiv 2017, arXiv:1703.02442. [Google Scholar]
- Pego, A.; Aguiar, P. Bioimaging 2015. Available online: http://www.bioimaging2015.ineb.up.pt/ (accessed on 21 July 2020).
- Cireşan, D.C.; Giusti, A.; Gambardella, L.M.; Schmidhuber, J. Mitosis detection in breast cancer histology images with deep neural networks. In International Conference on Medical Image Computing and Computer-Assisted Intervention; Springer: Berlin/Heidelberg, Germany, 2013; pp. 411–418. [Google Scholar]
- Stenkvist, B.; Westman-Naeser, S.; Holmquist, J.; Nordin, B.; Bengtsson, E.; Vegelius, J.; Eriksson, O.; Fox, C.H. Computerized nuclear morphometry as an objective method for characterizing human cancer cell populations. Cancer Res. 1978, 38, 4688–4697. [Google Scholar]
- Kowal, M.; Filipczuk, P.; Obuchowicz, A.; Korbicz, J.; Monczak, R. Computer-aided diagnosis of breast cancer based on fine needle biopsy microscopic images. Comput. Biol. Med. 2013, 43, 1563–1572. [Google Scholar] [CrossRef]
- Filipczuk, P.; Fevens, T.; Krzyżak, A.; Monczak, R. Computer-aided breast cancer diagnosis based on the analysis of cytological images of fine needle biopsies. IEEE Trans. Med Imaging 2013, 32, 2169–2178. [Google Scholar] [CrossRef]
- George, Y.M.; Zayed, H.H.; Roushdy, M.I.; Elbagoury, B.M. Remote computer-aided breast cancer detection and diagnosis system based on cytological images. IEEE Syst. J. 2013, 8, 949–964. [Google Scholar] [CrossRef]









| Layer (Type) | Output Shape | Parameters | Connected to |
|---|---|---|---|
| InputLayer | (512,512,3) | 0 | |
| wavelet | (256,256,12) | 0 | InputLayer |
| conv_1 | (256,256,64) | 6976 | wavelet |
| norm_1 | (256,256,64) | 256 | conv_1 |
| relu_1 | (256,256,64) | 0 | norm_1 |
| conv_1_2 | (128,128,64) | 36,928 | relu_1 |
| conv_a | (128,128,128) | 13,952 | wavelet[1] |
| norm_1_2 | (128,128,64) | 256 | conv_1_2 |
| norm_a | (128,128,128) | 512 | conv_a |
| relu_1_2 | (128,128,64) | 0 | norm_1_2 |
| relu_a | (128,128,128) | 0 | norm_a |
| concate_1 | (128,128,192) | 0 | relu_1_2, relu_a |
| conv_2 | (128,128,128) | 221,312 | concate_1 |
| conv_b | (64,64,64) | 6976 | wavelet[2] |
| norm_2 | (128,128,128) | 512 | conv_2 |
| norm_b | (64,64,64) | 256 | conv_b |
| relu_2 | (128,128,128) | 0 | norm_2 |
| relu_b | (64,64,64) | 0 | norm_b |
| conv_2_2 | (64,64,128) | 147,584 | relu_2 |
| conv_b_2 | (64,64,128) | 73,856 | relu_b |
| norm_2_2 | (64,64,128) | 512 | conv_2_2 |
| norm_b_2 | (64,64,128) | 512 | conv_b_2 |
| conv_c | (32,32,256) | 27,904 | wavelet[3] |
| relu_2_2 | (64,64,128) | 0 | norm_2_2 |
| relu_b_2 | (64,64,128) | 0 | norm_b_2 |
| norm_c | (32,32,256) | 1024 | conv_c |
| concate_2 | (64,64,256) | 0 | relu_2_2 relu_b_2 |
| relu_c | (32,32,256) | 0 | norm_c |
| conv_3 | (64,64,256) | 590,080 | concate_2 |
| conv_c_2 | (32,32,256) | 590,080 | relu_c |
| nomr_3 | (64,64,256) | 1024 | conv_3 |
| norm_c_2 | (32,32,256) | 1024 | conv_c_2 |
| relu_3 | (64,64,256) | 0 | nomr_3 |
| relu_c_2 | (32,32,256) | 0 | norm_c_2 |
| conv_3_2 | (32,32,256) | 590,080 | relu_3 |
| conv_c_3 | (32,32,256) | 590,080 | relu_c_2 |
| norm_3_2 | (32,32,256) | 1024 | conv_3_2 |
| norm_c_3 | (32,32,256) | 1024 | conv_c_3 |
| relu_3_2 | (32,32,256) | 0 | norm_3_2 |
| elu_c_3 | (32,32,256) | 0 | norm_c_3 |
| concate_3 | (32,32,512) | 0 | relu_3_2 relu_c_3 |
| conv_4 | (32,32,256) | 1179904 | concate_3 |
| relu_4 | (32,32,256) | 0 | norm_4 |
| conv_4_2 | (16,16,256) | 590,080 | relu_4 |
| norm_4_2 | (16,16,256) | 1024 | conv_4_2 |
| relu_4_2 | (16,16,256) | 0 | norm_4_2 |
| conv_5_1 | (16,16,128) | 295,040 | relu_4_2 |
| norm_5_1 | (16,16,128) | 512 | conv_5_1 |
| relu_5_1 | (16,16,128) | 0 | norm_5_1 |
| pool_5_1 | (16,16,128) | 0 | relu_5_1 |
| flat_5_1 | (32768) | 0 | pool_5_1 |
| fc_5(Dense) | (2048) | 67,110,912 | flat_5_1 |
| norm_5 | (2048) | 8192 | fc_5 |
| relu_5 | (2048) | 0 | norm_5 |
| drop_5 | (2048) | 0 | relu_5 |
| fc_6 | (2048) | 4,196,352 | drop_5 |
| norm_6 | (2048) | 8192 | fc_6 |
| relu_6 | (2048) | 0 | norm_6 |
| drop_6 | (2048) | 0 | relu_6 |
| fc_7 | (4) | 8196 | drop_6 |
| Methods | 40× | 100× | 200× | 400× |
|---|---|---|---|---|
| ResHist model [12] | 86.38 | 87.28 | 91.35 | 86.29 |
| IRRCNN w/o augmentation [13] | 97.16 | 96.84 | 96.61 | 95.78 |
| IRRCNN with augmentation [13] | 97.95 | 97.57 | 97.32 | 97.36 |
| Alex Net [22] | 85.6 | 83.5 | 82.7 | 80.7 |
| class structure-based deep CNN [21] | 92.8 | 93.9 | 93.4 | 92.9 |
| Multi task CNN [40] | 81.87 | 83.39 | 82.56 | 80.69 |
| CNN & Fusion Rules [41] | 90.0 | 88.4 | 84.6 | 86.1 |
| VLAD encoding [42] | 91.8 | 92.2 | 91.6 | 90.5 |
| Structured Deep Learning [43] | 95.8 | 96.9 | 96.7 | 94.9 |
| IRV2+1-NN_Aug [16] | 98.04 | 97.50 | 97.85 | 97.48 |
| RBM [15] | 88.7 | 85.3 | 88.6 | 88.4 |
| DenseNet CNN [24] | 93.64 | 97.42 | 95.87 | 94.67 |
| PFTS Features + 1-NN [14] | 80.9 | 80.7 | 81.5 | 79.4 |
| PFTS Features + SVM [14] | 81.6 | 79.9 | 85.1 | 82.3 |
| VGGNET16-RF [26] | 92.22 | 93.40 | 95.23 | 92.80 |
| VGGNET16-SVM(POLY) [26] | 94.11 | 95.12 | 97.01 | 93.40 |
| Xception model [27] | 95.26 | 93.37 | 93.09 | 91.65 |
| Proposed method | 97.58 | 97.44 | 97.28 | 97.02 |
| Model | Sensitivity | Specificity | Accuracy | AUC |
|---|---|---|---|---|
| CNN [29] | 61.1 | 94.4 | 77.8 | - |
| CNN+ SVM [29] | 66.7 | 65.6 | 83.3 | - |
| IRRCNN with augmentation [13] | 97.71 | 98.89 | 98.59 | 99.05 |
| multiple compact CNNs [30] | - | - | 86.6 | 93.91 |
| Proposed Wavelet + CNN | 96.59 | 97.73 | 97.45 | 99.03 |
© 2020 by the authors. Licensee MDPI, Basel, Switzerland. This article is an open access article distributed under the terms and conditions of the Creative Commons Attribution (CC BY) license (http://creativecommons.org/licenses/by/4.0/).
Share and Cite
Mewada, H.K.; Patel, A.V.; Hassaballah, M.; Alkinani, M.H.; Mahant, K. Spectral–Spatial Features Integrated Convolution Neural Network for Breast Cancer Classification. Sensors 2020, 20, 4747. https://doi.org/10.3390/s20174747
Mewada HK, Patel AV, Hassaballah M, Alkinani MH, Mahant K. Spectral–Spatial Features Integrated Convolution Neural Network for Breast Cancer Classification. Sensors. 2020; 20(17):4747. https://doi.org/10.3390/s20174747
Chicago/Turabian StyleMewada, Hiren K, Amit V Patel, Mahmoud Hassaballah, Monagi H. Alkinani, and Keyur Mahant. 2020. "Spectral–Spatial Features Integrated Convolution Neural Network for Breast Cancer Classification" Sensors 20, no. 17: 4747. https://doi.org/10.3390/s20174747
APA StyleMewada, H. K., Patel, A. V., Hassaballah, M., Alkinani, M. H., & Mahant, K. (2020). Spectral–Spatial Features Integrated Convolution Neural Network for Breast Cancer Classification. Sensors, 20(17), 4747. https://doi.org/10.3390/s20174747

