When a Worm Loves a Coral: A Symbiotic Relationship from the Jurassic/Cretaceous Boundary
Abstract
1. Introduction
2. Materials and Methods
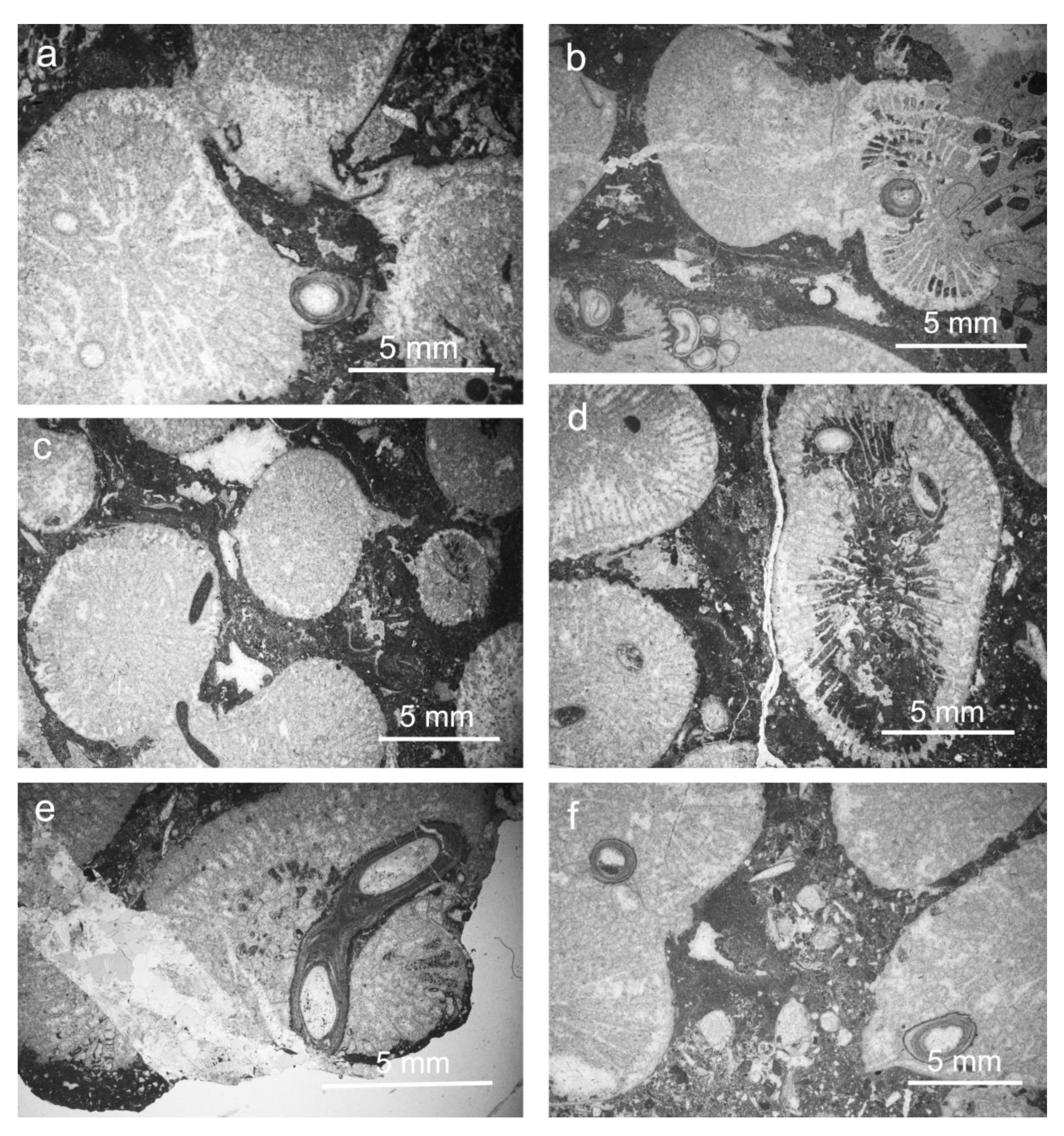
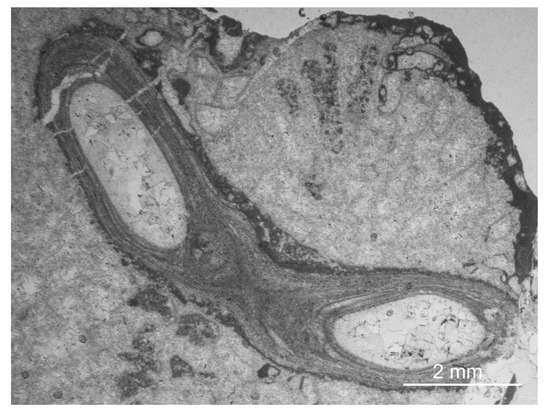
3. Results
4. Discussion
4.1. Coral
4.2. Nature of Tubes
4.3. Type of the Coral–Worm Association
4.4. Coral–Worm Symbiosis in a Fossil Record
4.5. Polychaete Worms Symbiotically Associated with Modern Corals
5. Conclusions
Author Contributions
Funding
Institutional Review Board Statement
Data Availability Statement
Acknowledgments
Conflicts of Interest
References
- Montano, S. The extraordinary importance of coral-associated fauna. Diversity 2020, 12, 357. [Google Scholar] [CrossRef]
- Montano, S. Diversity of coral-associated fauna: An urgent call for research. Diversity 2022, 14, 765. [Google Scholar] [CrossRef]
- Salamon, K.; Kołodziej, B. Unravelling the microbiome of fossil corals: A message from microborings. Hist. Biol. 2022, 34, 1228–1239. [Google Scholar] [CrossRef]
- Martin, D.; Britayev, T.A. Symbiotic polychaetes: Review of known species. Oceanogr. Mar. Biol. Ann. Rev. 1998, 36, 217–340. [Google Scholar]
- Darrell, J.G.; Taylor, P.D. Macrosymbiosis in corals: A review of fossil and potentially fossilizable examples. Cour. Forsch. Senckenberg 1993, 164, 185–198. [Google Scholar]
- Martinell, J.; Domènech, R. Commensalism in the fossil record: Eunicid polychaete bioerosion on Pliocene solitary corals. Acta Palaeontol. Pol. 2009, 54, 143–154. [Google Scholar] [CrossRef]
- Tapanila, L. Palaeoecology and diversity of endosymbionts in Palaeozoic marine invertebrates. Trace fossil evidence. Lethaia 2005, 38, 89–99. [Google Scholar] [CrossRef]
- Vinn, O. Symbiotic endobionts in Paleozoic stromatoporoids. Palaeogeogr. Palaeoclimatol. Palaeoecol. 2016, 453, 146–153. [Google Scholar] [CrossRef]
- Martinell, J.; Domènech, R.; Vera, J.L.; Lozano, M.C. When a worm loves a coral: Meandropolydora on solitary corals in Western Mediterraenan Pliocene. In Proceedings of the VI International Bioerosion Workshop; Programme & Abstracts, Erlangen, Germany, 29 October–3 November 2006; p. 28. [Google Scholar]
- Hoeksema, B.W.; van der Schoot, R.J.; Wels, D.; Scott, C.M.; ten Hove, H.A. Filamentous turf algae on tube worms intensify damage in massive Porites corals. Ecology 2019, 100, e02668. [Google Scholar] [CrossRef]
- Hoeksema, B.W.; Wels, D.; van der Schoot, R.J.; ten Hove, H.A. Coral injuries caused by Spirobranchus opercula with and without epibiotic turf algae at Curaçao. Mar. Biol. 2019, 166, 60. [Google Scholar] [CrossRef]
- Kołodziej, B. A symbiosis between scleractinian coral Calamophylliopsis and polychaete (Tithonian–Berriasian). Publ. Serv. Géol. Luxemb. 1995, 29, 121–122. [Google Scholar]
- Kołodziej, B. Corals of the Štramberk-type limestones from Poland: Taxonomic and palaeoecological aspects. Neues. Jahrb. Geol. Palaontol. Abh. 2015, 276, 189–200. [Google Scholar] [CrossRef]
- Vašíček, Z.; Skupien, P. The Štramberk fossil site (Uppermost Jurassic/Lower Cretaceous, Outer Western Carpathians)—Two centuries of the geological and paleontological research. Sb. Věd. Pr. Vysoké Šk. Báň.-Tech. Univ. Ostrava Řada Hut-Geol. 2004, 50, 83–102, (In Czech, with English Summary). [Google Scholar]
- Eliášová, H. Corals from the Štramberk Limestone (Silesian Unit, Western Outer Carpathians, Czech Republic). In: Krobicki, M. Ed, Utwory przełomu jury i kredy w zachodnich Karpatach fliszowych polsko-czeskiego pogranicza. Jurassica VII, Żywiec/Štramberk. Geologia 2008, 34, 151–160. [Google Scholar]
- Hoffmann, M.; Kołodziej, B.; Kowal-Kasprzyk, J. A lost carbonate platform deciphered from clasts embedded in flysch: Štramberk-type limestones, Polish Outer Carpathians. Ann. Soc. Geol. Pol. 2021, 91, 203–251. [Google Scholar] [CrossRef]
- Kozlová, Z. Corals from the Štramberk Carbonate Platform (Tithonian–Berriasian, Czech Republic, Poland, Carpathians): An overview. In Proceedings of the 11th International Congress on the Jurassic System; Abstracts, Program and Field Trip Guide, Budapest, Hungary, 29 August–2 September 2022; Pálfy, J., Főzy, I., Eds.; p. 64. [Google Scholar]
- Kołodziej, B. Encrusting and intergrowth symbioses between Stylosmilia corallina and calcified sponges (Late Jurassic). In Proceedings of the Berichte des Institutes für Geologie und Paläontologie der Karl-Franzens-Universität Graz; Abstracts of the 8th International Symposium on Fossil Cnidaria and Porifera, Graz, Austria, 3–7 August 2003; Volume 7, p. 42. [Google Scholar]
- Eliáš, M.; Eliášová, H. Facies and palaeogeography of the Jurassic in the western part of the Outer Flysch Carpathians in Czechoslovakia. Sbor. Geol. Vĕd. 1984, 39, 105–170. [Google Scholar]
- Vaňková, L.; Elbra, T.; Pruner, P.; Vašíček, Z.; Skupien, P.; Reháková, D.; Schnabl, P.; Košťák, M.; Švábenická, L.; Svobodová, A.; et al. Integrated stratigraphy and palaeoenvironment of the Berriasian peri-reefal limestones at Štramberk (Outer Western Carpathians, Czech Republic). Palaeogeogr. Palaeoclimatol. Palaeoecol. 2019, 532, 109256. [Google Scholar] [CrossRef]
- Hoffmann, M.; Kołodziej, B.; Skupien, P. Microencruster-microbial framework and synsedimentary cements in the Štramberk Limestone (Carpathians, Czech Republic): Insights into reef zonation. Ann. Soc. Geol. Pol. 2017, 87, 325–347. [Google Scholar] [CrossRef]
- Castelluccio, A.; Mazzoli, S.; Andreucci, B.; Jankowski, L.; Szaniawski, R.; Zattin, M. Building and exhumation of the Western Carpathians: New constraints from sequentially restored, balanced cross sections integrated with low-temperature thermochronometry. Tectonics 2016, 35, 2698–2733. [Google Scholar] [CrossRef]
- Ricci, C.; Lathuiliere, B.; Rusciadelli, G. Coral communities, zonation and paleoecology of an Upper Jurassic reef complex (Ellipsactinia Limestones, central Apennines, Italy). Riv. Ital. Paleontol. Stratigr. 2018, 124, 433–508. [Google Scholar] [CrossRef]
- Löser, H. Catalogue of Cretaceous Corals, Volume 4: Systematic Part; CPress Verlag: Dresden, Germany, 2016; 710p. [Google Scholar]
- Roniewicz, E.; Stolarski, J. Evolutionary trends in the epithecate scleractinian corals. Acta Palaeontol. Pol. 1999, 44, 131–166. [Google Scholar]
- Hoeksema, B.W.; Timmerman, R.F.; Spaargaren, R.; Smith-Moorhouse, A.; van der Schoot, R.J.; Langdon-Down, S.J.; Harper, C.E. Morphological modifications and injuries of corals caused by symbiotic feather duster worms (Sabellidae) in the Caribbean. Diversity 2022, 14, 332. [Google Scholar] [CrossRef]
- Tovar-Hernández, M.A.; ten Hove, H.A.; Vinn, O.; Zatoń, M.; de León-González, J.A.; García-Garza, M.E. Fan worms (Annelida: Sabellidae) from Indonesia collected by the Snellius II Expedition (1984) with descriptions of three new species and tube microstructure. PeerJ 2020, 8, e9692. [Google Scholar] [CrossRef] [PubMed]
- Nishi, E.; Nishihira, M. Age-estimation of the Christmas tree worm Spirobranchus giganteus (Polychaeta, Serpulidae) living buried in the coral skeleton from the coral-growth band of the host coral. Fish. Sci. 1996, 62, 400–403. [Google Scholar] [CrossRef]
- Nishi, E.; Nishihira, M. Use of annual density banding to estimate longevity of infauna of massive corals. Fish. Sci. 1999, 65, 48–56. [Google Scholar] [CrossRef]
- Hoeksema, B.W.; Lau, Y.W.; ten Hove, H.A. Octocorals as secondary hosts for Christmas tree worms off Curaçao. Bull. Mar. Sci. 2015, 91, 489–490. [Google Scholar] [CrossRef]
- Hoeksema, B.W.; García-Hernández, J.E.; van Moorsel, G.W.N.M.; Olthof, G.; ten Hove, H.A. Extension of the recorded host range of Caribbean Christmas tree worms (Spirobranchus spp.) with two scleractinians, a zoantharian, and an ascidian. Diversity 2020, 12, 115. [Google Scholar] [CrossRef]
- ten Hove, H.A.; Kupriyanova, E.K. Taxonomy of Serpulidae (Annelida, Polychaeta): The state of affairs. Zootaxa 2009, 2036, 1–126. [Google Scholar] [CrossRef]
- Hoeksema, B.W.; Harper, C.E.; Langdon-Down, S.J.; van der Schoot, R.J.; Smith-Moorhouse, A.; Spaargaren, R.; Timmerman, R.F. Host range of the coral-associated worm snail Petaloconchus sp. (Gastropoda: Vermetidae), a newly discovered cryptogenic pest species in the southern Caribbean. Diversity 2022, 14, 196. [Google Scholar] [CrossRef]
- Bandel, K.; Kowalke, T. Cretaceous Laxispira and a discussion on the monophyly of vermetids and turritellids (Caenogastropoda, Mollusca). Geol. Palaeontol. 1997, 31, 257–274. [Google Scholar]
- Lesser, M.P.; Stat, M.; Gates, R.D. The endosymbiotic dinoflagellates (Symbiodinium sp.) of corals are parasites and mutualists. Coral Reefs 2013, 32, 603–611. [Google Scholar] [CrossRef]
- Bogdanov, E.A.; Vishnyakov, A.E.; Ostrovsky, A.N. From Procaryota to Eumetazoa: Symbiotic associations in fossil and recent bryozoans. Paleontol. J. 2022, 56, 836–851. [Google Scholar] [CrossRef]
- Frankowiak, K.; Wang, X.T.; Sigman, D.M.; Gothmann, A.M.; Kitahara, M.V.; Mazur, M.; Meibom, A.; Stolarski, J. Photosymbiosis and the expansion of shallow-water corals. Sci. Adv. 2016, 2, e1601122. [Google Scholar] [CrossRef] [PubMed]
- Oliver, W.A., Jr. Symbioses of Devonian rugose corals. Mem. Assoc. Australas. Palaeontol. 1983, 1, 261–274. [Google Scholar] [CrossRef]
- Elias, R.J. Symbiotic relationships between worms and solitary rugose corals in the Late Ordovician. Paleobiology 1986, 12, 32–45. [Google Scholar] [CrossRef]
- Zapalski, M.K. Parasitism versus commensalism: The case of tabulate endobionts. Palaeontology 2007, 50, 1375–1380. [Google Scholar] [CrossRef]
- Lin, W.; Herbig, H.G. A soft-bodied endosymbiont in Serpukhovian (Late Mississippian, Carboniferous) rugose corals from South China. Boll. Soc. Paleontol. Ital. 2020, 59, 235–245. [Google Scholar] [CrossRef]
- Luci, L.; Garberoglio, R.M.; Lazo, D.G.; Manceñido, M.O. Sclerobionts on soft-bottom, free-living Stylomaeandra Fromentel corals from the Lower Cretaceous Agrio Formation, Neuquén Basin, Argentina: Palaeobiological implications for umbrella-shaped colonies. Hist. Biol. 2021, 33, 3542–3560. [Google Scholar] [CrossRef]
- Garberoglio, R.M.; Lazo, D.G. Post-mortem and symbiotic sabellid and serpulid-coral associations from the Lower Cretaceous of Argentina. Rev. Bras. Paleontol. 2011, 14, 215–228. [Google Scholar] [CrossRef]
- Hoeksema, B.W.; ten Hove, H.A. Attack on a Christmas tree worm by a Caribbean sharpnose pufferfish at St. Eustatius, Dutch Caribbean. Bull. Mar. Sci. 2017, 93, 1023–1024. [Google Scholar] [CrossRef]
- Muller, E.; de Gier, W.; ten Hove, H.A.; van Moorsel, G.W.M.N.; Hoeksema, B.W. Nocturnal predation of Christmas tree worms by a Batwing coral crab at Bonaire (Southern Caribbean). Diversity 2020, 12, 455. [Google Scholar] [CrossRef]
- Ben-Tzvi, O.; Einbinder, S.; Brokovich, E. A beneficial association between a polychaete worm and a scleractinian coral? Coral Reefs 2006, 25, 98. [Google Scholar] [CrossRef]
- Rowley, S. A critical evaluation of the symbiotic association between tropical tube-dwelling polychaetes and their hermatypic coral hosts, with a focus on Spirobranchus giganteus (Pallas, 1766). Plymouth Stud. Sci. 2008, 1, 335–353. [Google Scholar]
- Bałuk, W.; Radwański, A. The micropolychaete Josephella commensalis sp.n. commensal of the scleractinian coral Tarbellastraea reussiana (Milne-Edwards & Haime, 1850) from the Korytnica Clays (Middle Miocene; Holy Cross Mountains, Central Poland). Acta Geol. Pol. 1997, 47, 211–224. [Google Scholar]
- Marsden, J.R. Coral preference behaviour by planktotrophic larvae of Spirobranchus giganteus corniculatus (Serpulidae: Polychaeta). Coral Reefs 1987, 6, 71–74. [Google Scholar] [CrossRef]
- Hunte, W.; Conlin, B.E.; Marsden, J.R. Habitat selection in the tropical polychaete Spirobranchus giganteus. I. Distribution on corals. Mar. Biol. 1990, 104, 87–92. [Google Scholar] [CrossRef]
- Hutchings, P. Role of polychaetes in bioerosion of coral substrates. In Current Developments in Bioerosion; Springer: Berlin/Heidelberg, Germany, 2008; pp. 249–264. [Google Scholar] [CrossRef]
- Dee, S.; DeCarlo, T.; Lozić, I.; Nilsen, J.; Browne, N.K. Low bioerosion rates on inshore turbid reefs of Western Australia. Diversity 2023, 15, 62. [Google Scholar] [CrossRef]
- Samimi-Namin, K.; Risk, M.J.; Hoeksema, B.W.; Zohari, Z.; Rezai, H. Coral mortality and serpulid infestations associated with red tide, in the Persian Gulf. Coral Reefs 2010, 29, 509. [Google Scholar] [CrossRef]
- Nishi, E. Serpulid polychaetes associated with living and dead corals at Okinawa Island, Southwest Japan. Publ. Seto Mar. Biol. Lab. 1996, 36, 305–318. [Google Scholar] [CrossRef]
- Capa, M.; Kupriyanova, E.; Nogueira, J.M.D.M.; Bick, A.; Tovar-Hernández, M.A. Fanworms: Yesterday, today and tomorrow. Diversity 2021, 13, 130. [Google Scholar] [CrossRef]
- Sanfilippo, R.; Vertino, A.; Rosso, A.; Beuck, L.; Freiwald, A.; Taviani, M. Serpula vermicularis tube aggregations are intergown with Madrepora oculata and other stony corals including Desmophyllum dianthus. Facies 2013, 59, 663–677. [Google Scholar] [CrossRef]
- Rosso, A.; Vertino, A.; Di Geronimo, I.; Sanfilippo, R.; Sciuto, F.; Di Geronimo, R.; Violanti, D.; Corselli, C.; Taviani, M.; Mastrototaro, F.; et al. Hard and soft-bottom thanatofacies from the Santa Maria di Leuca deep-water coral province, Mediterranean. Deep Sea Res. II 2010, 57, 360–379. [Google Scholar] [CrossRef]
- van der Schoot, R.J.; Hoeksema, B.W. Abundance of coral-associated fauna in relation to depth and eutrophication along the leeward side of Curaçao, southern Caribbean. Mar. Environ. Res. 2022, 181, 105738. [Google Scholar] [CrossRef]
- García-Hernández, J.E.; Hoeksema, B.W. Sponges as secondary hosts for Christmas tree worms at Curaçao. Coral Reefs 2017, 36, 1243. [Google Scholar] [CrossRef]
- Liu, P.J.; Hsieh, H.L. Burrow architecture of the spionid polychaete Polydora villosa in the corals Montipora and Porites. Zool. Stud. 2000, 39, 47–54. [Google Scholar]
- Zibrowius, H.; Southward, E.C.; Day, J.H. New observations on a little-known species of Lumbrineris (Polychaeta) living on various cnidarians, with notes on its recent and fossil scleractinian hosts. J. Mar. Biol. Assoc. 1975, 55, 83–108. [Google Scholar] [CrossRef]
- Miura, T.; Shirayama, Y. Lumbrineris flabellicola (Fage, 1936), a lumbrinerid polychaete associated with a Japanese ahermatypic coral. Benthos Res. 1992, 43, 23–27. [Google Scholar] [CrossRef]
- Wright, J.D.; Woodwick, K.H. A new species of Autolytus (Polychaeta: Syllidae) commensal on a Californian hydrocoral. South. Calif. Acad. Sci. 1977, 76, 42–48. [Google Scholar] [CrossRef]
- DeVantier, L.M.; Reichelt, R.E.; Bradbury, R. Does Spirobranchus giganteus protect host Porites from predation by Acanthaster planci: Predator pressure as a mechanism of coevolution? Mar. Ecol. Prog. Ser. 1986, 32, 307–310. [Google Scholar] [CrossRef]




Disclaimer/Publisher’s Note: The statements, opinions and data contained in all publications are solely those of the individual author(s) and contributor(s) and not of MDPI and/or the editor(s). MDPI and/or the editor(s) disclaim responsibility for any injury to people or property resulting from any ideas, methods, instructions or products referred to in the content. |
© 2023 by the authors. Licensee MDPI, Basel, Switzerland. This article is an open access article distributed under the terms and conditions of the Creative Commons Attribution (CC BY) license (https://creativecommons.org/licenses/by/4.0/).
Share and Cite
Vinn, O.; Hoeksema, B.W.; Kołodziej, B.; Kozlová, Z. When a Worm Loves a Coral: A Symbiotic Relationship from the Jurassic/Cretaceous Boundary. Diversity 2023, 15, 147. https://doi.org/10.3390/d15020147
Vinn O, Hoeksema BW, Kołodziej B, Kozlová Z. When a Worm Loves a Coral: A Symbiotic Relationship from the Jurassic/Cretaceous Boundary. Diversity. 2023; 15(2):147. https://doi.org/10.3390/d15020147
Chicago/Turabian StyleVinn, Olev, Bert W. Hoeksema, Bogusław Kołodziej, and Zuzana Kozlová. 2023. "When a Worm Loves a Coral: A Symbiotic Relationship from the Jurassic/Cretaceous Boundary" Diversity 15, no. 2: 147. https://doi.org/10.3390/d15020147
APA StyleVinn, O., Hoeksema, B. W., Kołodziej, B., & Kozlová, Z. (2023). When a Worm Loves a Coral: A Symbiotic Relationship from the Jurassic/Cretaceous Boundary. Diversity, 15(2), 147. https://doi.org/10.3390/d15020147

