Survey of Slaughtered Pigs for Occurrence of Ochratoxin A and Porcine Nephropathy in Serbia
Abstract
:1. Introduction
2. Results and Discussion
2.1. Occurrence, concentration and regional distribution of Ochratoxin A in tissues
2.1.1. Ochratoxin A in Serum
2.1.2. Ochratoxin A in Kidney
2.1.3. Ochratoxin A in Liver
2.2. Pathomorphology examination
2.2.1. Gross pathology
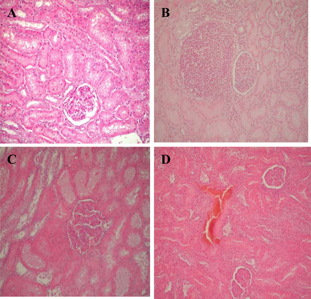
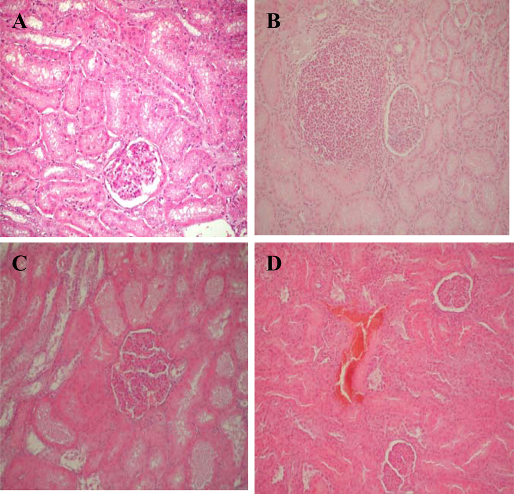
2.2.2. Histological examination
3. Experimental Section
3.1. Reagents
3.2. Sample collection
3.3. Extraction and clean-up for ochratoxin analyses
3.3.1. Extraction and clean-up for ochratoxin analyses from serum
3.3.2. Extraction and clean-up for ochratoxin analyses from kidney and liver
3.3.3. Chromatographic conditions (HPLC)
3.3.4. Confirmation of Ochratoxin A by liquid chromatography tandem mass spectrometric method (LC-MS/MS)
3.3.5. Liquid chromatography tandem mass spectrometric conditions
3.4. Statistical analysis
Acknowledgments
References and Notes
- Kuiper-Goodman, T; Scott, PM. Risk assessment of the mycotoxin ochratoxin. A Biomed. Environ. Sci 1989, 2, 179–248. [Google Scholar]
- Bauer, J; Garies, M. Ochratoxin A in the food chain. J. Vet. Med. 1987, B34, 613–627. [Google Scholar]
- Jorgensen, K. Survey of pork, poultry, coffee, beer and pulses for ochratoxin A. Food Addit. Contam 1998, 15, 550–554. [Google Scholar]
- Moss, MO. Mode of formation of ochratoxin A. Food Addit. Contam 1996, (Supplement 13), 5–9. [Google Scholar]
- Krogh, P. Mycotoxic nephropathy. In Advances in Veterinary Science and Comparative Medicine; Academic Press: New York, 1976; Vol. 20, pp. 147–170. [Google Scholar]
- Kotowski, K; Kostecki, M; Grabarkiewicz-Szczesna, J; Golinski, P. Ochratoxin A residue in kidneys and blood of pigs. Med. Weteryn 1993, 49, 554–556. [Google Scholar]
- Pleština, R. Some features of Balkan endemic nephropathy. Food Chem. Toxicol 1992, 30, 177–181. [Google Scholar]
- Petzinger, F; Ziegler, K. Ochratoxin A from a toxicological perspective. J. Vet. Pharmacol. Ther 2000, 23, 91–98. [Google Scholar]
- Bendele, AM; Carlton, WW; Krogh, P; Lillehoj, EB. Ochratoxin A carcinogenesis in the (C57BL/6J X C3H)F1 mouse. J. Natl. Cancer Inst 1985, 75, 733–742. [Google Scholar]
- Boorman, GA. Toxicology and Carcinogenesis Studies of Ochratoxin A (CAS No. 303-47- 9) in F344/N Rats (Gavage Studies). National Toxicology Program, 1989; Technical Report 358.
- Castegnaro, M; Mohr, U; Pfohl-Leszkowicz, A; Esteve, J; Steinmann, J; Tillmann, T; Michelon, J; Bartsch, H. Sexand strain-specific induction of renal tumors by ochratoxin A in rats correlates with DNA adduction. Int. J. Cancer 1998, 77, 70–75. [Google Scholar]
- Walker, R. Risk assessment of ochratoxin: current views of the European Scientific Committee on Food, the JECFA and the Codex Committee on Food Additives and Contaminants. Adv. Exp. Med. Biol 2002, 504, 249–255. [Google Scholar]
- Ochratoxin, A. IARC Monogr. Eval. Carcinog. Risks Hum 1993, 56, 489–521.
- Pittet, A. Natural occurrence of mycotoxins in food and feeds-an updated review. Revue Méd. Vét 1998, 149, 479–492. [Google Scholar]
- Hult, K; Hokby, E; Gatenbeck, S; Rutquist, L. Ochratoxin A in blood from slaughter pigs in Sweden: Use in evaluation of toxin content in consumed feed. Appl. Environ. Microbiol 1980, 39, 822–830. [Google Scholar]
- Hagelberg, S; Hult, K; Fuchs, R. Toxicokinetics of ochratoxin A in several species and its plasma-binding properties. J. Appl. Toxicol 1989, 9, 91–96. [Google Scholar]
- Rutqvist, L; Björklund, NE; Hult, K; Hökby, E; Carlsson, B. Ochratoxin A as the cause of spontaneous nephropathy in fattening pigs. Appl. Environ. Microbiol 1978, 36, 920–925. [Google Scholar]
- Josefsson, EBG; Möller, TE. Heat stability of ochratoxin A in pig products. J. Sci. Food Agric 1980, 31, 1313–1315. [Google Scholar]
- Langseth, W; Nymoen, U; Bergsjo, B. Ochratoxin A in plasma of Norwegian swine determined by an HPLC column switching method. Nat. Toxins 1993, 1, 216–221. [Google Scholar]
- Frohlich, AA; Marquardt, RR; Clarcke, JR. Enzymatic and immunological approaches for the quantitation and confirmation of ochratoxin A in swine kidneys. J. Food Protect 1997, 60, 172–176. [Google Scholar]
- Lusky, K; Goebel, R; Tesch, D; Doberschuetz, K-D; Lusky, K; Haider, W. Sole and combined administration of the mycotoxins OTA, ZEA and DON. Investigations on animal health and residue behavior. Fleischwirtschaft 2001, 81, 98–102. [Google Scholar]
- Gareis, M; Scheuer, R. Prevention of mycotoxin contamination of meat and meat products. Proceedings of International Symposium of Mycotoxicology ’99 Mycotoxin Contamination: Health Risk and Prevention Project 1999, 101–107. [Google Scholar]
- Pepeljnjak, S; Čuljak, K. Residues of Ochratoxin A in organs of pigs in wider anephropathic area of SR Croatia. 1986, 12, 71–76.
- Stoev, SD; Grozeva, N; Hald, B. Ultrastructural and toxicological invastigations in sponataneous cases of porcine nephropathy in Bulgaria. Vet. Arhiv 1998, 68, 39–49. [Google Scholar]
- Curtui, VG; Gareis, M; Usleber, E; Martlbauer, E. Survey of Romanian slaughtered pigs for the occurrence of mycotoxins ochratoxins A and B, and zearalenone. Food Addit. Contam 2001, 18, 730–738. [Google Scholar]
- Milićević, D; Verica Jurić, M; Mandić, M. Đorđević Novi Sad. The presence of ochratoxin A residue in blood plasma of slaughtered swine. Matica Srpska Proceedings for Natural Sciences, 2007, 113, 55–62. [Google Scholar]
- Milićević, D. The Presence of Ochratoxin A Residue in Blood plasma, Liver and Kidney of Slaughtered Swine.; M.Sc. Thesis, Faculty of Agriculture, University of Novi Sad, 2006.
- Holmberg, T; Breitholtz, A; Bengtsson, A; Hult, K. Ochratoxin A in swine blood in relation to moisture content in feeding barley at harvest. Acta Agric. Scand 1990, 40, 201–204. [Google Scholar]
- Holmberg, T; Hagelberg, S; Lundeheim, N; Thavelin, B; Hult, K. Ochratoxin A in swine blood used for evaluation of cereal handling procedures. J. Vet. Med 1990a, B37, 97–105. [Google Scholar]
- Golinski, P; Hult, K; Grabarkiewicz–Szczesna, J; Chelkowski, J; Szebiotko, K. Spontaneous occurrence of ochratoxin A residues in porcine kidney and serum samples in Poland. Appl. Environ. Microbiol 1985, 49, 1014–1015. [Google Scholar]
- Rosseau, DM; van Peteghem, CH. Spontaneous occurrence of ochratoxin A residues in porcine kidneys in Belgium. Bull. Environ. Contam. Toxicol 1989, 42, 181–189. [Google Scholar]
- Ominski, KH; Frohlich, AA; Marquardt, RR; Crow, GH; Abramson, D. The incidence and distribution of ochratoxin A in western Canadian swine. Food Addit. Contam 1996, 13, 185–198. [Google Scholar]
- SCF. Scientific Committee on Food, Opinion on Ochratoxin A. CS/CNTM/MYC/14 final. . Annex II to document XXIV/2210/98, European Commission, Brussels, 1998.
- JECFA. Toxicological evaluation of certain food additives, Proc. Fifty-sixth Meeting of JECFA,; WHO Food Additives Series: Geneva, Switzerland, 2001.
- Krogh, P; Axelsen, NH; Gyrd-Hansen, N; Hald, B; Hyldgaard-Jensen, J; Larsen, AE; Madsen, A; Mortensen, HP. Experimental porcine nephropathy. Acta Path. Microb. Scand. Sect. A 1974, 246, 1–21. [Google Scholar]
- Krogh, P; Elling, F; Hald, B; Larsen, AE; Lillehøj, EB; Madsen, A; Mortensen, HP. Time-dependent disappearance of ochratoxin A residues in tissues of bacon pigs. Toxicol 1976, 6, 235–242. [Google Scholar]
- Patterson, DSP; Roberts, BA; Small, BJ. Metabolism of ochratoxins A and B in the pig during early pregnancy and the accumulation in body tissue of ochratoxin A only. Food Cosmet. Toxicol 1976, 14, 439–442. [Google Scholar]
- Büchmann, NB; Hald, B. Analysis, occurrence and control of ochratoxin A residues in danish pig kidneys. Food Addit. Contam 1985, 2, 193–199. [Google Scholar]
- Mortensen, HP; Hald, B; Larsen, AE; Masen, A. Ochratoxin A contaminated barley for sows and piglets. Pig performance and residues in milk and pigs. Acta Agric. Scand 1983, 33, 349–352. [Google Scholar]
- Dragacci, S; Grosso, F; Bire, R; Fremy, JM; Coulon, S. A French monitoring programme for determining ochratoxin A occurrence in pig kidneys. Nat. Tox 1999, 7, 167–173. [Google Scholar]
- Gareis, M; Scheuer, R. Ochratoxin A in meat and meat products. Archives of Meat, Fish and Dairy Science 2000, 51, 81–128. [Google Scholar]
- Krogh, P; Axelsen, NH; Gyrd-Hansen, N; Hald, B; Hyldgaard-Jensen, J; Larsen, AE; Madsen, A; Mortensen, HP. Experimental porcine nephropathy. Acta Path. Microb. Scand 1974, 246, 1–21. [Google Scholar]
- Buck, BW; Osweiler, DG. Clinical and diagnostic Veterinary Toxicology 1976, 326.
- Humphreys, DJ. Mycotoxins, U. Veterinary Toxicology, 3rd Ed ed; BT Comp: London, 1988; pp. 283–311. [Google Scholar]
- Stoev, SD; Vitanov, S; Anguelov, G; Petkova-Bocharova, TK; Creppy, EE. Experimental mycotoxic nephropathy in pigs provoked by a diet containing ochratoxin A and penicillin acid. Vet. Res. Commun 2001, 25, 205–223. [Google Scholar]
- Stoev, SD; Paskalev, M; McDonald, S; Mantle, P. Experimental one year ochratoxin A toxicosis in pigs. Exp. Toxicol. Path 2002, 53, 481–487. [Google Scholar]
- Alvarez, L; Gil, AG; Ezpeleta, O; Garcia-Jalon, JA; Lopez, DC. Immunotoxic effects of ochratoxin A in Wistar rats after oral administration. Food Chem. Toxicol 2004, 42, 825–834. [Google Scholar]
- Aydin, G; Ozcelik, N; Cicek, E; Soyoz, M. Histopathologic changes in liver and renal tissues induced by ochratoxin A and melatonin in rats. Hum. Exp. Toxicol 2003, 22, 383–391. [Google Scholar]
- Monnet-Tschudi, F; Sorg, O; Honegger, P; Zurich, M; Huggett, AC; Schilter, B. Effects of naturally occurring food mycotoxin ochratoxin A on brain cells in culture. NeuroToxicol 1997, 18, 831–840. [Google Scholar]
- Gekle, M; Silbernagl, S. The role of the proximal tubule in ochratoxin A nephrotoxicity in vivo: toxodynamic and toxokinetic aspects. Renal Physiol. Biochem 1994, 17, 40–49. [Google Scholar]
- Bahnemann, E; Kerling, HP; Ensminger, S; Schwerdt, G. Renal transepithelial secretion of ochratoxin A in the non-filtering toad kidney. Toxicol 1997, 120, 11–17. [Google Scholar]
- Dahlmann, A; Dantzler, WH; Silbernagl, S; Gekle, M. Detailed mapping of ochratoxin A reabsorption along the rat nephron in vivo: The nephrotoxin can be reabsorbed in all nephron segments by different mechanisms. J. Pharmacol. Exp. Ther 1998, 286, 157–162. [Google Scholar]
- Gekle, M; Silbernagl, S; Mildenberger, S; Freudinger, R. Effect on dome formation and uptake of ochratoxin A in proximal tubule-derived opossum kidney cell monolayers. Cell Physiol. Biochem 1993, 3, 68–77. [Google Scholar]
- Sauvant, C; Silbernagl, S; Gekle, M. Exposure to ochratoxin A impairs organic anion transport in proximal tubulederived OK-cells. J. Pharmacol. Exp. Ther 1998, 287, 13–20. [Google Scholar]
- Schwerdt, G; Gekle, M; Freudinger, R; Mildenberger, S; Silbernagl, S. Apical-to-basolateral transepithelial transport of ochratoxin A by two subtypes of Madin-Darby canine kidney cells. Biochim. Biophys. Acta 1997, 1324, 191–199. [Google Scholar]
- Zingerle, M; Silbernagl, S; Gekle, M. Reabsorption of the nephrotoxin ochratoxin A along the rat nephron in vivo. J. Pharmacol. Exp. Ther 1997, 280, 220–224. [Google Scholar]
- Schwerdt, G; Bauer, K; Gekle, M; Silbernagl, S. Accumulation of ochratoxin A in rat kidney in vivo and in cultivated renal epithelial cells in vitro. Toxicol 1996, 114, 177–185. [Google Scholar]
- Stormer, FC. Ochratoxin A-a mycotoxin of concern. In Handbook of Applied Mycology. Mycotoxins in Ecological Systems; Bhatnagar, D, Lillehoj, EB, Arora, DK, Eds.; Marcel Dekker Inc: New York, USA, 1992; Vol. 5, pp. 403–431. [Google Scholar]
- ATSDR, Toxicological profile for mercury. . US Department of Health and Human Services, Public Health Service, Agency for toxic substances and disease registry, TP-93:10, 1994.
- Agency for Toxic Substances and Disease Registry (ATSDR). Toxicological profiles for arsenic, update. 1998.
- Zalups, RK; Lash, LH. Advances in understanding the renal transport and toxicity of mercury. J. Toxicol. Environ. Health 1994, 42, 1–44. [Google Scholar]
- Goering, PL; Waalkes, MP; Klaassen, CD. Toxicology of cadmium. Toxicology of Metals: Biochemical Aspects. Handbook of Experimental Pharmacology 1995, 115, 189–213. [Google Scholar]
- Maksimovic, ZJ; Djujic, I. Selenium deffciency in Serbia and possible effect on health. Biomed. Environ. Sci 1997, 10, 300–306. [Google Scholar]
- Uzelac-Keserovic, B; Spasic, P; Bojanic, N; Dimitrijevic, J; Lako, B; Lepsanovic, Z; Kuljic-Kapulica, N; Vasic, D; Apostolov, K. Isolation of a coronavirus from kidney biopsies of endemic Balkan nephropathy patients. Nephron 1999, 81, 141–145. [Google Scholar]
- Uzelac-Keserovi, B; Vasi, D; Ikonomovski, J; Bojani, N. Isolation of a coronavirus from urinary tract tumors of endemic balkan nephropathy patients. Nephron 2000, 86, 93–94. [Google Scholar]
- Feder, GL; Radovanovic, Z; Finkelman, RB. Relationship between weathered coal deposits and the etiology of Balkan endemic nephropathy. Kidney Int. 1991, 40(suppl. 34), S9–S11. [Google Scholar]
- Jørgensen, K; Larsen, EH; Petersen, A; Lund, KH; Hilbert, G; Andersen, NL; Hallas-Møller, T; Larsen, JC. Food Monitoring 1993–1997 Part 2: Chemical Contaminants. 2001, 18.
- Mantle, PG; McHugh, KM. Nephrotoxic fungi in foods from nephropathy households in Bulgaria. Mycol. Res 1993, 97, 205–212. [Google Scholar]
- Matrella, R; Monaci, L; Milillo, MA; Palmisano, F; Tantillo, MG. Ochratoxin A determination in paired kidneys and muscle samples from swines slaughtered in southern Italy. Food cont 2006, 117, 14–117. [Google Scholar]



| Region | N | Serum (ng/mL)
| |||
|---|---|---|---|---|---|
| n (%) | X̄ ±Sd | C.V. | Range | ||
| Vladimirci | 30 | 5 (16.5) | 0.1±90.57 | 2.96 | 0.33–2.56 |
| Senta | 30 | 13 (43.3) | 2.33±6.91 | 2.96 | 0.24–35.7 |
| Bogatić
| 30
| 10 (33.3)
| 8.58±40.25
| 4.69
| 0.22–221
|
| Total | 90 | 28 (31.1) | 3.70±23.6 | 6.37 | 0.22–221 |
| Kidneys (ng/g) | |||||
| Vladimirci | 30 | 8 (26.6) | 0.42±1.2 | 2.96 | 0.18–6.5 |
| Senta | 30 | 11 (36.6) | 1.14±3.3 | 2.89 | 0.17–17 |
| Bogatić
| 30
| 11 (36.6)
| 2.2±9.54
| 4.33
| 0.26–52.5
|
| Total | 90 | 30 (33.3) | 1.26±5.85 | 4.64 | 0.17–52.5 |
| Liver (ng/g) | |||||
| Vladimirci | 30 | 11 (36.6) | 0.48±0.75 | 1.55 | 0.32–2.2 |
| Senta | 30 | 4 (13.3) | 0.84±2.95 | 3.51 | 0.56–14.5 |
| Bogatić
| 30
| 9 (30)
| 0.56±1.17
| 2.09
| 0.22–5.46
|
| Total | 90 | 24 (26.6) | 0.63±1.87 | 2.96 | 0.22–14.5 |
| Region | N | Number of samples in the range
| |||
|---|---|---|---|---|---|
| Serum
| |||||
| < LOD | 0.1b-1 | 1–5 | >5 | ||
| Vladimirci | 30 | 25 | 3 | 2 | 0 |
| Senta | 30 | 17 | 6 | 4 | 3 |
| Bogatić
| 30
| 20
| 5
| 2
| 3
|
| Total | 90 | 62 | 14 | 8 | 6 |
| Kidneys | |||||
| < LOD
| 0.01b–1
| 1–5
| >5
| ||
| Vladimirci | 30 | 22 | 5 | 2 | 1 |
| Senta | 30 | 19 | 5 | 4 | 2 |
| Bogatić
| 30
| 19
| 5
| 4
| 1
|
| Total | 90 | 60 | 15 | 10 | 5 |
| Liver | |||||
| < LOD
| 0.01b–1
| 1–5
| >5
| ||
| Vladimirci | 30 | 19 | 5 | 6 | 0 |
| Senta | 30 | 26 | 1 | 2 | 1 |
| Bogatić
| 30
| 21
| 2
| 6
| 1
|
| Total | 90 | 66 | 8 | 14 | 2 |
| Samples | Country | Incidence % | Mean ppb | Range ppb | References |
|---|---|---|---|---|---|
| Serum | 6.7 | [28] | |||
| Sweden | 18 | ||||
| 9.4 | [29] | ||||
| Poland | 38 | [30] | |||
| Germany | 48.7 | 5.8 | [3] | ||
| France | 2 | up to 6 | [40] | ||
| Romania | 98 | 2.43 | up to 13.4 | [25] | |
| Bulgaria | 100 | 60.9 | [24] | ||
| Canada | 36 | 14 | [32] | ||
| Serbia
| 56.6
| 2.91
| 2.5–33
| [26]
| |
| Kidney | Germany | 41.9 | 0.43 | [41] | |
| Serbia
| 41.6
| 3.12
| [27]
| ||
| Liver | Germany | 17 | 0.07 | [22] | |
| Romania | 75 | 0.16 | [25] | ||
| Serbia
| 46.6
| 2.88
| up to 19.5
| [27]
|
© 2008 by MDPI This article is an open-access article distributed under the terms and conditions of the Creative Commons Attribution license (http://creativecommons.org/licenses/by/3.0/).
Share and Cite
Milićević, D.; Jurić, V.; Stefanović, S.; Jovanović, M.; Janković, S. Survey of Slaughtered Pigs for Occurrence of Ochratoxin A and Porcine Nephropathy in Serbia. Int. J. Mol. Sci. 2008, 9, 2169-2183. https://doi.org/10.3390/ijms9112169
Milićević D, Jurić V, Stefanović S, Jovanović M, Janković S. Survey of Slaughtered Pigs for Occurrence of Ochratoxin A and Porcine Nephropathy in Serbia. International Journal of Molecular Sciences. 2008; 9(11):2169-2183. https://doi.org/10.3390/ijms9112169
Chicago/Turabian StyleMilićević, Dragan, Verica Jurić, Srđan Stefanović, Milijan Jovanović, and Saša Janković. 2008. "Survey of Slaughtered Pigs for Occurrence of Ochratoxin A and Porcine Nephropathy in Serbia" International Journal of Molecular Sciences 9, no. 11: 2169-2183. https://doi.org/10.3390/ijms9112169
APA StyleMilićević, D., Jurić, V., Stefanović, S., Jovanović, M., & Janković, S. (2008). Survey of Slaughtered Pigs for Occurrence of Ochratoxin A and Porcine Nephropathy in Serbia. International Journal of Molecular Sciences, 9(11), 2169-2183. https://doi.org/10.3390/ijms9112169
