Whole Genome Sequencing of Clinical Mycobacterium bovis BCG in Disseminated Infection with Mycotic Aneurysm and ARDS After Intravesical Therapy: A Case Report
Abstract
1. Introduction
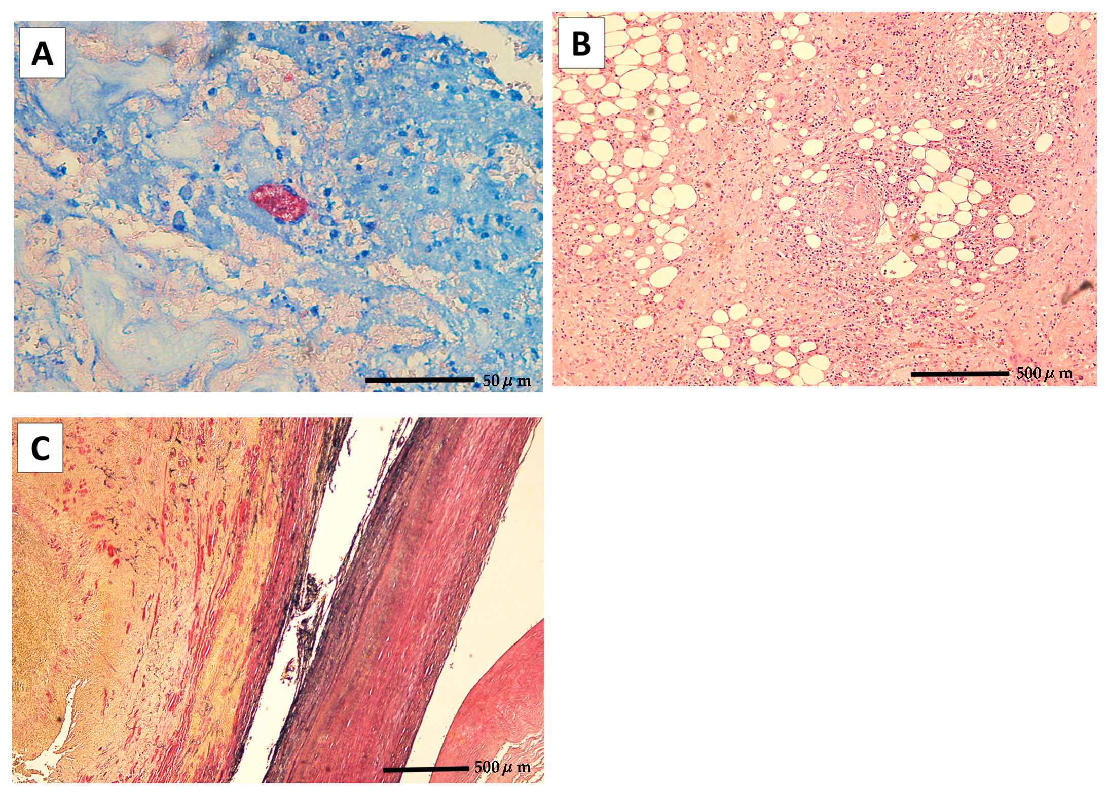
2. Case Presentation
3. Discussion
4. Materials and Methods
5. Conclusions
Supplementary Materials
Author Contributions
Funding
Institutional Review Board Statement
Informed Consent Statement
Data Availability Statement
Acknowledgments
Conflicts of Interest
Abbreviations
| AFB | acid-fast bacilli |
| ARDS | acute respiratory distress syndrome |
| BAL | bronchoalveolar lavage |
| BCG | Bacillus Calmette–Guérin |
| CT | computed tomography |
| ERCP | endoscopic retrograde cholangiopancreatography |
| EVAR | endovascular aneurysm repair |
| FDG-PET/CT | 18F-fluorodeoxyglucose-positron emission tomography/computed tomography |
| GGOs | ground-glass opacities |
| HLA | human leukocyte antigen |
| iBCG | intravesical Bacillus Calmette–Guérin |
| iBCG-L/SCs | iBCG-related local/systemic complications |
| iBCG-ST/SLAEs | iBCG-related short-term/self-limiting adverse events |
| IGRA | interferon-gamma release assay |
| NAATs | nucleic acid amplification tests |
| NMIBC | non-muscle-invasive bladder cancer |
| MTBC | Mycobacterium tuberculosis complex |
| PCR | polymerase chain reaction |
| TURBT | transurethral resection of bladder tumor |
| WGS | whole-genome sequencing |
References
- World Health Organization. BCG vaccines: WHO position paper—February 2018. Wkly. Epidemiol. Rec. 2018, 93, 73–96. Available online: https://www.who.int/publications/i/item/who-wer9308-73-96 (accessed on 14 December 2025).
- Babjuk, M.; Burger, M.; Capoun, O.; Cohen, D.; Compérat, E.M.; Escrig, J.L.D.; Gontero, P.; Liedberg, F.; Masson-Lecomte, A.; Mostafid, A.H.; et al. European Association of Urology Guidelines on Non–muscle-invasive Bladder Cancer (Ta, T1, and Carcinoma in Situ). Eur. Urol. 2022, 81, 75–94. [Google Scholar] [CrossRef]
- Morales, A.; Eidinger, D.; Bruce, A.W. Intracavitary Bacillus Calmette-guerin in the Treatment of Superficial Bladder Tumors. J. Urol. 1976, 116, 180–182. [Google Scholar] [CrossRef]
- Böhle, A.; Brandau, S. Immune mechanisms in bacillus Calmette-Guerin immunotherapy for superficial bladder cancer. J. Urol. 2003, 170, 964–969. [Google Scholar] [CrossRef]
- Pettenati, C.; Ingersoll, M.A. Mechanisms of BCG immunotherapy and its outlook for bladder cancer. Nat. Rev. Urol. 2018, 15, 615–625. [Google Scholar] [CrossRef]
- Guallar-Garrido, S.; Julián, E. Bacillus Calmette-Guérin (BCG) therapy for bladder cancer: An update. ImmunoTargets Ther. 2020, 9, 1–11. [Google Scholar] [CrossRef]
- Macleod, L.C.; Ngo, T.C.; Gonzalgo, M.L. Complications of intravesical bacillus calmette-guérin. Can. Urol. Assoc. J. 2014, 8, E540–E544. [Google Scholar] [CrossRef]
- Gonzalez, O.Y.; Musher, D.M.; Brar, I.; Furgeson, S.; Boktour, M.R.; Septimus, E.J.; Hamill, R.J.; Graviss, E.A. Spectrum of bacille Calmette-Guérin (BCG) infection after intravesical BCG immunotherapy. Clin. Infect. Dis. 2003, 36, 140–148. [Google Scholar] [CrossRef] [PubMed]
- Asín, M.A.P.-J.; Fernández-Ruiz, M.; López-Medrano, F.; Lumbreras, C.; Tejido, Á.; Juan, R.S.; Arrebola-Pajares, A.; Lizasoain, M.; Prieto, S.; Aguado, J.M. Bacillus Calmette-Guérin (BCG) infection following intravesical BCG administration as adjunctive therapy for bladder cancer: Incidence, risk factors, and outcome in a single-institution series and review of the literature. Medicine 2014, 93, 236–254. [Google Scholar] [CrossRef] [PubMed]
- Liatsos, G.D.; Mariolis, I.; Hadziyannis, E.; Bamias, A.; Vassilopoulos, D. Review of BCG immunotherapy for bladder cancer. Clin. Microbiol. Rev. 2025, 38, e0019423. [Google Scholar] [CrossRef] [PubMed]
- Decaestecker, K.; Oosterlinck, W. Managing the adverse events of intravesical bacillus Calmette-Guérin therapy. Res. Rep. Urol. 2015, 7, 157–163. [Google Scholar] [CrossRef] [PubMed]
- King, B.; Singh, D.; Rathore, A.; Flenner, R.; Flemmer, M. Case report with systematic literature review on vascular complications of BCG intravesical therapy for bladder cancer. J. Clin. Med. 2022, 11, 6226. [Google Scholar] [CrossRef]
- Palmier, M.; Monnot, A.; Tenière, T.; Cohen, Q.; Plissonnier, D. Mycotic arterial aneurysm secondary to BCG intravesical instillation: A review. J. Med. Vasc. 2022, 47, 94–105. [Google Scholar] [CrossRef]
- Davies, B.; Ranu, H.; Jackson, M. Pulmonary complications of intravesicular BCG immunotherapy. Thorax 2012, 67, 933–934. [Google Scholar] [CrossRef] [PubMed]
- Lewandowska, K.; Lewandowska, A.; Baranska, I.; Klatt, M.; Augustynowicz-Kopec, E.; Tomkowski, W.; Szturmowicz, M. Severe respiratory failure due to pulmonary BCGosis in a patient treated for superficial bladder cancer. Diagnostics 2022, 12, 922. [Google Scholar] [CrossRef]
- Abdallah, A.M.; Hill-Cawthorne, G.A.; Otto, T.D.; Coll, F.; Guerra-Assunção, J.A.; Gao, G.; Naeem, R.; Ansari, H.; Malas, T.B.; Adroub, S.A.; et al. Genomic expression catalogue of a global collection of BCG vaccine strains show evidence for highly diverged metabolic and cell-wall adaptations. Sci. Rep. 2015, 5, 15443. [Google Scholar] [CrossRef]
- Riste, M.; Davda, P.; Smith, E.G.; Wyllie, D.H.; Dedicoat, M.; Jog, S.; Laird, S.; Langman, G.; Jenkins, N.; Stevenson, J.; et al. Prosthetic hip joint infection by Bacillus Calmette-Guerin therapy following intravesical instillation for bladder cancer identified using whole-genome sequencing: A case report. BMC Infect. Dis. 2021, 21, 151. [Google Scholar] [CrossRef]
- Krajewski, W.; Matuszewski, M.; Poletajew, S.; Grzegrzółka, J.; Zdrojowy, R.; Kołodziej, A. Are there differences in toxicity and efficacy between various Bacillus Calmette-Guerin strains in bladder cancer patients? Analysis of 844 patients. Urol. Int. 2018, 101, 277–284. [Google Scholar] [CrossRef]
- Saelens, J.W.; Sweeney, M.I.; Viswanathan, G.; Xet-Mull, A.M.; Smith, K.L.J.; Sisk, D.M.; Hu, D.D.; Cronin, R.M.; Hughes, E.J.; Brewer, W.J.; et al. An ancestral mycobacterial effector promotes dissemination of infection. Cell 2022, 185, 4507–4525.e18. [Google Scholar] [CrossRef]
- Hida, Y.; Hisada, K.; Shimada, A.; Yamashita, M.; Kimura, H.; Yoshida, H.; Iwasaki, H.; Iwano, M. Rapid detection of the Mycobacterium tuberculosis complex by use of quenching probe PCR (geneCube). J. Clin. Microbiol. 2012, 50, 3604–3608. [Google Scholar] [CrossRef] [PubMed]
- Ruiz-Lorente, I.; Gimeno, L.; López-Abad, A.; Cubillana, P.L.; Aparicio, T.F.; Egea, L.J.A.; Avilés, J.M.; Iñiguez, G.D.; Martínez-Valls, P.L.G.; Server, G.; et al. HLA class-I genotyping to personalize Bacille Calmette-Guerin immunotherapy in bladder cancer. OncoImmunology 2025, 14, 2598920. [Google Scholar] [CrossRef] [PubMed]
- Stary, H.C.; Chandler, A.B.; Dinsmore, R.E.; Fuster, V.; Glagov, S.; Insull, W., Jr.; Rosenfeld, M.E.; Schwartz, C.J.; Wagner, W.D.; Wissler, R.W. A definition of advanced types of atherosclerotic lesions and a histological classification of atherosclerosis. A report from the Committee on Vascular Lesions of the Council on Arteriosclerosis, American Heart Association. Circulation 1995, 92, 1355–1374. [Google Scholar] [CrossRef]
- Wilburn, K.M.; A Fieweger, R.; VanderVen, B.C. Cholesterol and fatty acids grease the wheels of Mycobacterium tuberculosis pathogenesis. Pathog. Dis. 2018, 76, fty021. [Google Scholar] [CrossRef] [PubMed]
- Dutta, N.K.; Karakousis, P.C. Latent tuberculosis infection: Myths, models, and molecular mechanisms. Microbiol. Mol. Biol. Rev. 2014, 78, 343–371. [Google Scholar] [CrossRef] [PubMed]
- García, J.S.Y.; Bigi, M.M.; Klepp, L.I.; García, E.A.; Blanco, F.C.; Bigi, F. Does Mycobacterium bovis persist in cattle in a non-replicative latent state as Mycobacterium tuberculosis in human beings? Vet. Microbiol. 2020, 247, 108758. [Google Scholar] [CrossRef]
- Bowyer, L.; Hall, R.; Reading, J.; Marsh, M. The persistence of bacille Calmette-Guérin in the bladder after intravesical treatment for bladder cancer. Br. J. Urol. 1995, 75, 188–192. [Google Scholar] [CrossRef]
- Yamada-Noda, M.; Ohkusu, K.; Hata, H.; Shah, M.M.; Nhung, P.H.; Sun, X.S.; Hayashi, M.; Ezaki, T. Mycobacterium species identification: A new approach via dnaJ gene sequencing. Syst. Appl. Microbiol. 2007, 30, 453–462. [Google Scholar] [CrossRef]
- Ministry of Education, Culture, Sports, Science and Technology (Japan); Ministry of Health, Labour and Welfare (Japan); Ministry of Economy, Trade and Industry (Japan). Ethical Guidelines for Medical and Biological Research Involving Human Subjects. Tokyo (Japan): Government of Japan; 2021. [Amended 2022 Mar 10; Partially Amended 2023 Mar 27]. Available online: https://www.mext.go.jp/content/20250325-mxt_life-000035486-01.pdf (accessed on 4 December 2025).


| Parameter | Value | Reference Range | Unit |
|---|---|---|---|
| Inflammation | |||
| C-reactive protein (CRP) | 19.42 | 0.00–0.14 | mg/dL |
| Hematology | |||
| White blood cell count | 5.1 | 3.3–8.6 | ×103/µL |
| Hemoglobin | 12.0 | 13.7–16.8 | g/dL |
| Mean corpuscular volume (MCV) | 91 | 83.6–98.2 | fL |
| Platelets | 148 | 158–348 | ×103/µL |
| Differential (percent) | |||
| Neutrophils | 93.1 | 39.8–70.5 | % |
| Lymphocytes | 4.7 | 23.1–49.9 | % |
| Monocytes | 2.0 | 4.3–10.0 | % |
| Eosinophils | 0.0 | 0.6–5.4 | % |
| Basophils | 0.2 | 0.3–1.4 | % |
| Liver/biliary enzymes and proteins | |||
| Aspartate aminotransferase (AST) | 268 | 13–30 | U/L |
| Alanine aminotransferase (ALT) | 285 | 10–42 | U/L |
| Alkaline phosphatase (ALP) | 580 | 38–113 | U/L |
| Gamma-glutamyl transferase (GGT) | 254 | 13–64 | U/L |
| Total bilirubin | 1.72 | 0.4–1.5 | mg/dL |
| Total protein | 5.6 | 6.6–8.1 | g/dL |
| Albumin | 2.2 | 4.1–5.1 | g/dL |
| Renal function/electrolytes | |||
| Blood urea nitrogen (BUN) | 51.6 | 8.0–20.0 | mg/dL |
| Creatinine | 2.47 | 0.65–1.07 | mg/dL |
| eGFR | 21.14 | ≥60 | mL/min/1.73 m2 |
| Sodium | 143 | 138–145 | mmol/L |
| Potassium | 4.7 | 3.6–4.8 | mmol/L |
| Muscle/cardiac markers | |||
| Creatine kinase (CK) | 246 | 59–248 | U/L |
Disclaimer/Publisher’s Note: The statements, opinions and data contained in all publications are solely those of the individual author(s) and contributor(s) and not of MDPI and/or the editor(s). MDPI and/or the editor(s) disclaim responsibility for any injury to people or property resulting from any ideas, methods, instructions or products referred to in the content. |
© 2025 by the authors. Licensee MDPI, Basel, Switzerland. This article is an open access article distributed under the terms and conditions of the Creative Commons Attribution (CC BY) license.
Share and Cite
Nakagawa, Y.; Yamamoto, C.; Kawajiri, H.; Watanabe, M.; Yamada, T.; Yamada, Y.; Kambayashi, D.; Furukawa, K.; Hamashima, R.; Yamano, T.; et al. Whole Genome Sequencing of Clinical Mycobacterium bovis BCG in Disseminated Infection with Mycotic Aneurysm and ARDS After Intravesical Therapy: A Case Report. Int. J. Mol. Sci. 2026, 27, 238. https://doi.org/10.3390/ijms27010238
Nakagawa Y, Yamamoto C, Kawajiri H, Watanabe M, Yamada T, Yamada Y, Kambayashi D, Furukawa K, Hamashima R, Yamano T, et al. Whole Genome Sequencing of Clinical Mycobacterium bovis BCG in Disseminated Infection with Mycotic Aneurysm and ARDS After Intravesical Therapy: A Case Report. International Journal of Molecular Sciences. 2026; 27(1):238. https://doi.org/10.3390/ijms27010238
Chicago/Turabian StyleNakagawa, Yuta, Chie Yamamoto, Hidetake Kawajiri, Makoto Watanabe, Tomomi Yamada, Yukiji Yamada, Daisuke Kambayashi, Keitaro Furukawa, Ryosuke Hamashima, Tetsuhiro Yamano, and et al. 2026. "Whole Genome Sequencing of Clinical Mycobacterium bovis BCG in Disseminated Infection with Mycotic Aneurysm and ARDS After Intravesical Therapy: A Case Report" International Journal of Molecular Sciences 27, no. 1: 238. https://doi.org/10.3390/ijms27010238
APA StyleNakagawa, Y., Yamamoto, C., Kawajiri, H., Watanabe, M., Yamada, T., Yamada, Y., Kambayashi, D., Furukawa, K., Hamashima, R., Yamano, T., Inaba, T., Kooguchi, K., Oda, S., Mitarai, S., & Nukui, Y. (2026). Whole Genome Sequencing of Clinical Mycobacterium bovis BCG in Disseminated Infection with Mycotic Aneurysm and ARDS After Intravesical Therapy: A Case Report. International Journal of Molecular Sciences, 27(1), 238. https://doi.org/10.3390/ijms27010238

