Hydatidiform Moles: The Contribution of Ancillary Techniques in Refining Their Histopathological Diagnosis
Abstract
1. Introduction
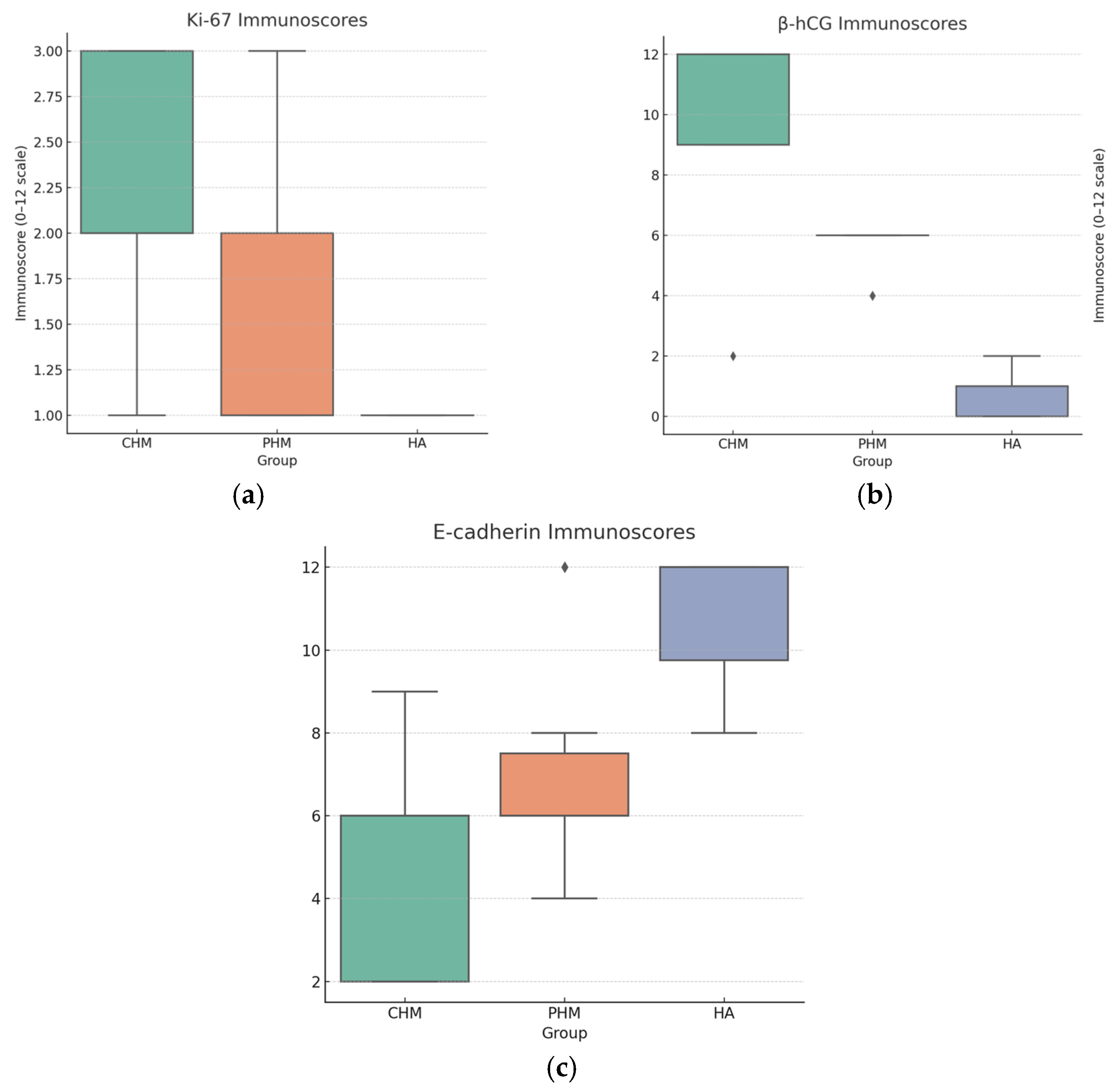
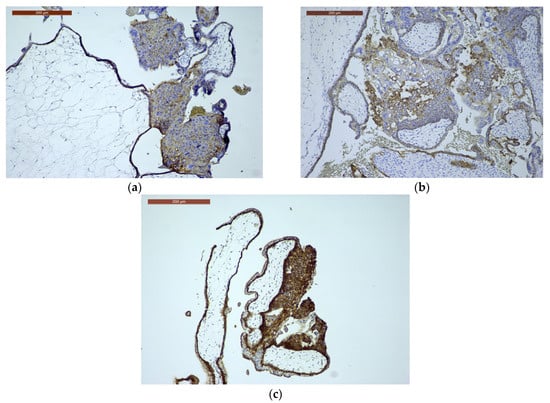
2. Results
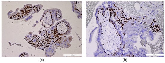
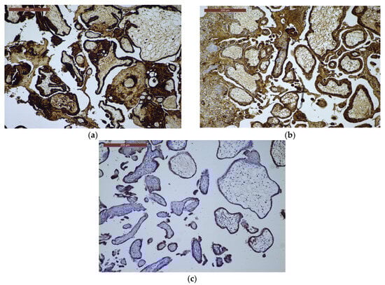
2.1. Major Findings on the Immunoexpression of the Studied Markers
2.2. Marker-Specific Performance
3. Discussion
3.1. Ancillary Technique Framework
3.2. Features of p57 Immunoexpression
3.3. Features of Ki-67, E-Cadherin, and β-hCG Immunoexpression
3.4. Enhancing Diagnostic Accuracy and Clinical Management in Trophoblastic Disease
3.5. Diagnostic Algorithmic Approach for Hydropic Villous Pathology (CHM, PHM, and HA)
4. Materials and Methods
4.1. Patients
4.2. Tissue Preparation for Immunohistochemical Staining
4.3. Scoring of p57, Ki-67, β-hCG, and E-Cadherin Immunoexpression
4.4. Statistical Analysis
5. Conclusions
Author Contributions
Funding
Institutional Review Board Statement
Informed Consent Statement
Data Availability Statement
Conflicts of Interest
References
- Hui, P.; Buza, N.; Murphy, K.M.; Ronnett, B.M. Hydatidiform Moles: Genetic Basis and Precision Diagnosis. Annu. Rev. Pathol. 2017, 12, 449–485. [Google Scholar] [CrossRef] [PubMed]
- Moussa, R.A.; Eesa, A.N.; Abdallah, Z.F.; Abdelmeged, A.; Mahran, A.; Bahaa, H. Diagnostic Utility of Twist1, Ki-67, and E-Cadherin in Diagnosing Molar Gestations and Hydropic Abortions. Am. J. Clin. Pathol. 2018, 149, 442–455. [Google Scholar] [CrossRef]
- Aiob, A.; Gumin, D.; Zilberfarb, I.; Naskovica, K.; Sgayer, I.; Mikhail, S.M.; Sharon, A.; Lowenstein, L. Ethnic disparities in complete and partial molar pregnancy incidence: A retrospective analysis of arab and jewish women in single medical center. BMC Public Health 2024, 24, 1440. [Google Scholar] [CrossRef]
- Vecchia, C.L.; Franceschi, S.; Parazzini, F.; Fasoli, M.; Decarli, A.; Gallus, G.; Tognoni, G. Risk Factors for Gestational Trophoblastic Disease in Italy. Am. J. Epidemiol. 1985, 121, 457–464. [Google Scholar] [CrossRef]
- Desmarais, C.C.F.; Maestá, I.; Sun, S.Y.; de Rezende-Filho, J.; de Araújo Costa, R.A.; Lin, L.H.; Branco-Silva, M.; Horowitz, N.S.; Elias, K.M.; Braga, A.; et al. Initial Treatment and Outcomes of Complete Hydatidiform Mole in Women 40 Years or Older: A Multicenter Cohort Study. Cancers 2025, 17, 3125. [Google Scholar] [CrossRef]
- Zhu, T.; Zhu, G.; Ma, J.; Yu, X.; Chen, T.; Tao, X.; Sun, L.; Lu, X.; Du, Y. Demographics, risk factors associated with malignant progression, and pregnancy outcomes of hydatidiform mole: A retrospective cohort study in Shanghai, China. Front. Oncol. 2025, 15, 1643590. [Google Scholar] [CrossRef] [PubMed]
- Joyce, C.M.; Maher, G.J.; Dineen, S.; Suraweera, N.; McCarthy, T.V.; Coulter, J.; O’Donoghue, K.; Seckl, M.J.; Fitzgerald, B. Morphology combined with HER2 D-DISH ploidy analysis to diagnose partial hydatidiform mole: An evaluation audit using molecular genotyping. J. Clin. Pathol. 2025, 78, 327–334. [Google Scholar] [CrossRef] [PubMed]
- Fukunaga, M.; Katabuchi, H.; Nagasaka, T.; Mikami, Y.; Minamiguchi, S.; Lage, J.M. Interobserver and intraobserver variability in the diagnosis of hydatidiform mole. Am. J. Surg. Pathol. 2005, 29, 942–947. [Google Scholar] [CrossRef]
- Crisp, H.; Burton, J.L.; Stewart, R.; Wells, M. Refining the diagnosis of hydatidiform mole: Image ploidy analysis and p57KIP2 immunohistochemistry. Histopathology 2003, 43, 363–373. [Google Scholar] [CrossRef]
- Berkowitz, R.S.; Goldstein, D.P. Current management of gestational trophoblastic diseases. Gynecol. Oncol. 2009, 112, 654–662. [Google Scholar] [CrossRef]
- Petignat, P.; Billieux, M.H.; Blouin, J.L.; Dahoun, S.; Vassilakos, P. Is genetic analysis useful in the routine management of hydatidiform mole? Hum. Reprod. 2003, 18, 243–249. [Google Scholar] [CrossRef]
- Merchant, S.H.; Amin, M.B.; Viswanatha, D.S.; Malhotra, R.K.; Moehlenkamp, C.; Joste, N.E. p57KIP2 immunohistochemistry in early molar pregnancies: Emphasis on its complementary role in the differential diagnosis of hydropic abortuses. Hum. Pathol. 2005, 36, 180–186. [Google Scholar] [CrossRef]
- DeScipio, C.; Haley, L.; Beierl, K.; Pandit, A.P.; Murphy, K.M.; Ronnett, B.M. Diandric triploid hydatidiform mole with loss of maternal chromosome 11. Am. J. Surg. Pathol. 2011, 35, 1586–1591. [Google Scholar] [CrossRef]
- Gonzalez, J.; Popp, M.; Ocejo, S.; Abreu, A.; Bahmad, H.F.; Poppiti, R. Gestational Trophoblastic Disease: Complete versus Partial Hydatidiform Moles. Diseases 2024, 12, 159. [Google Scholar] [CrossRef]
- Lösch, A.; Kainz, C. Immunohistochemistry in the diagnosis of the gestational trophoblastic disease. Acta Obstet. Gynecol. Scand. 1996, 75, 753–756. [Google Scholar] [CrossRef]
- Khooei, A.; Atabaki Pasdar, F.; Fazel, A.; Mahmoudi, M.; Nikravesh, M.R.; Khaje Delui, M.; Pourheydar, B. Ki-67 expression in hydatidiform moles and hydropic abortions. Iran. Red Crescent. Med. J. 2013, 15, 590–594. [Google Scholar] [CrossRef]
- Cheng, A.N.; Hui, P.; Shih, I. Gestational trophoblastic disease. In WHO Classification of Female Genital Tumours, 5th ed.; WHO Classification of Tumours Editorial Board; IARC WHO: Lyon, France, 2020; pp. 309–335. [Google Scholar]
- Kaur, B. Pathology of Gestational Trophoblastic Disease (GTD). Hematol. Oncol. Clin. N. Am. 2024, 38, 1191–1217. [Google Scholar] [CrossRef] [PubMed]
- Banet, N.; DeScipio, C.; Murphy, K.M.; Beierl, K.; Adams, E.; Vang, R.; Ronnett, B.M. Characteristics of hydatidiform moles: Analysis of a prospective series with p57 immunohistochemistry and molecular genotyping. Mod. Pathol. 2014, 27, 238–254. [Google Scholar] [CrossRef] [PubMed]
- Madi, J.M.; Braga, A.R.; Paganella, M.P.; Litvin, I.E.; Da Ros Wendland, E.M. Accuracy of p57KIP2 compared with genotyping for the diagnosis of complete hydatidiform mole: Protocol for a systematic review and meta-analysis. Syst. Rev. 2016, 5, 169. [Google Scholar] [CrossRef] [PubMed]
- Kavyah, R.; Sangeetha, S.R.; Choudhary, S.; Loganathan, A. Harnessing p57 Immunohistochemistry to Enhance Diagnostic Accuracy in Molar Pregnancies: An Insight. Cureus 2025, 17, e83716. [Google Scholar] [CrossRef]
- Vang, R.; Gupta, M.; Wu, L.S.; Yemelyanova, A.V.; Kurman, R.J.; Murphy, K.M.; Descipio, C.; Ronnett, B.M. Diagnostic reproducibility of hydatidiform moles: Ancillary techniques (p57 immunohistochemistry and molecular genotyping) improve morphologic diagnosis. Am. J. Surg. Pathol. 2012, 36, 443–453. [Google Scholar] [CrossRef]
- Zhao, Y.; Xiong, G.W.; Zhang, X.W.; Hang, B.O. Is Ki-67 of Diagnostic Value in Distinguishing Between Partial and Complete Hydatidiform Moles? A Systematic Review and Meta-analysis. Anticancer Res. 2018, 38, 1105–1110. [Google Scholar] [CrossRef]
- Samadder, A.; Kar, R. Utility of p57 immunohistochemistry in differentiating between complete mole, partial mole & non-molar or hydropic abortus. Indian J. Med. Res. 2017, 145, 133–137. [Google Scholar] [CrossRef] [PubMed]
- Akbarzadeh-Jahromi, M.; Taheri, T.; Aslani, F.S.; Safaei, A.; Pouraminaee, F.; Zare, M. Diagnosis of hydatidiform moles using p57immunohistochemistry and chromogenic insitu hybridization: A retrospective study. Int. J. Reprod. Biomed. 2024, 22, 727–738. [Google Scholar] [CrossRef] [PubMed]
- Awosusi, B.L.; Ajani, M.A.; Adegoke, O.O.; Salami, A.A.; Okolo, C.A. P57kip2 immunohistochemical marker as a diagnostic tool for cases of hydatidiform moles in a tertiary health facility in Southwestern Nigeria. Niger. Postgrad. Med. J. 2020, 27, 331–335. [Google Scholar] [CrossRef]
- Oranratanaphan, S.; Khongthip, Y.; Areeruk, W.; Triratanachat, S.; Tantbirojn, P.; Phupong, V.; Vongpaisarnsin, K.; Lertkhachonsuk, R. Determination of morphologic and immunohistochemical stain (p57kip2) discrepancy of complete and partial hydatidiform mole by using microsatellite genotyping. Taiwan. J. Obstet. Gynecol. 2020, 59, 570–574. [Google Scholar] [CrossRef]
- Xing, D.; Adams, E.; Huang, J.; Ronnett, B.M. Refined diagnosis of hydatidiform moles with p57 immunohistochemistry and molecular genotyping: Updated analysis of a prospective series of 2217 cases. Mod. Pathol. 2021, 34, 961–982. [Google Scholar] [CrossRef] [PubMed]
- Kubelka-Sabit, K.B.; Prodanova, I.; Jasar, D.; Bozinovski, G.; Filipovski, V.; Drakulevski, S.; Plaseska-Karanfilska, D. Molecular and Immunohistochemical Characteristics of Complete Hydatidiform Moles. Balkan J. Med. Genet. 2017, 20, 27–34. [Google Scholar] [CrossRef][Green Version]
- Reynolds, E.A.; DuBeshter, B.; Katzman, P.; Larson, K.; Katzel, S.; Glantz, C. Expression of CD44, E-cadherin, and antimetastatic protein nm23-H1 in complete hydatidiform moles. Gynecol. Oncol. 2007, 104, 451–454. [Google Scholar] [CrossRef]
- Erol, O.; Süren, D.; Tutuş, B.; Toptaş, T.; Gökay, A.A.; Derbent, A.U.; Özel, M.K.; Sezer, C. Immunohistochemical Analysis of E-Cadherin, p53 and Inhibin-α Expression in Hydatidiform Mole and Hydropic Abortion. Pathol. Oncol. Res. 2016, 22, 515–521. [Google Scholar] [CrossRef]
- Osterheld, M.C.; Caron, L.; Chaubert, P.; Meagher-Villemure, K. Combination of Immunohistochemistry and Ploidy Analysis to Assist Histopathological Diagnosis of Molar Diseases. Clin. Med. Pathol. 2008, 1, 61–67. [Google Scholar] [CrossRef] [PubMed]
- Ronnett, B.M. Hydatidiform moles: Ancillary techniques to refine diagnosis. Arch. Pathol. Lab. Med. 2018, 142, 1485–1502. [Google Scholar] [CrossRef] [PubMed]
- Meda, S.; Reginald, B.A.; Reddy, B.S. Immunohistochemical study of the expression of human chorionic gonadotropin-β in salivary gland tumors. J. Cancer Res. Ther. 2018, 14, 952–956. [Google Scholar] [CrossRef] [PubMed]







| Antibody | CHM Negative | CHM Discordant Positive | CHM Positive Equivocal | PHM Negative | PHM Positive | HA Negative | HA Positive |
|---|---|---|---|---|---|---|---|
| p57 | 9 (57%) | 3 (18%) | 4 (25%) | - | 38 (100%) | - | 10 (100%) |
| Antibody | CHM Negative | CHM Positive | CHM Positive Equivocal/ Discordant | PHM Negative | PHM Positive | HA Negative | HA Positive |
|---|---|---|---|---|---|---|---|
| Ki-67 | - | 2 (12.5%) weak | - | - | 21 (57.8%) weak | - | 10 (100%) weak |
| 8 (50%) moderate | 9 (23.68%) moderate | ||||||
| 6 (37.5%) strong | 4 (10.52%) strong |
| Antibody | CHM Negative | CHM Positive | CHM Positive Equivocal | PHM Negative | PHM Positive | HA Negative | HA Positive |
|---|---|---|---|---|---|---|---|
| β-hCG | - | 10 (62.5%) 12 | 1 (20%) 2 very weak | - | 36 (94.73%) 6 | 4 (40%) 0 | 2 (20%) 2 |
| 5 (31.25%) 9 | 2 (5.26%) 4 | 4 (40%) 1 |
| Antibody | CHM Negative | CHM Positive | CHM Positive Equivocal | PHM Negative | PHM Positive | HA Negative | HA Positive |
|---|---|---|---|---|---|---|---|
| E-cadherin | - | 2 (12.5%) 9 | - | - | 2 (5.26%) 12 | - | 7 (70%) 12 |
| 7 (43.75%) 6 | 8 (21.05%) 8 | 2 (20%) 9 | |||||
| 7 (43.75%) 2 | 22 (57.89%) 6 | 1 (10%) 8 | |||||
| 6 (15.78%) 4 |
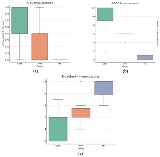
| Marker | Statistical Tests (Overall + Pairwise) | ROC AUC | Sensitivity | Specificity | PPV | NPV | Interpretation |
|---|---|---|---|---|---|---|---|
| p57 | χ2 = 26.94, p = 2.1 × 10−7; Fisher’s exact p < 2 × 10−7 (CHM vs. PHM + HA) | - | 56–75% (depending on equivocal staining) | 100% | 100% | 87–94% | Most specific marker for CHM; negativity strongly supports diagnosis. Equivocal staining reduces sensitivity: genotyping recommended in indeterminate cases. |
| Ki-67 | χ2 = 21.1, p = 0.0003; Kruskal–Wallis p < 4 × 10−5. Pairwise MWU: CHM vs. PHM p = 0.0009, CHM vs. HA p < 0.0001, and PHM vs. HA p = 0.027 | 0.81 | 87.5% | 71.1% | 51.9% | 94.1% | Reflects proliferation gradient (CHM ≫ PHM > HA). Good sensitivity but overlap with PHM lowers specificity. |
| β-hCG | χ2 = 121.1, p = 3.8 × 10−20; Kruskal–Wallis p < 4.3 × 10−12. Pairwise MWU all highly significant (p < 0.001) | 0.95 | 93.8% | 100% | 100% | 98% | Best overall discriminator. CHM shows very high expression, PHM intermediate, and HA minimal/absent. |
| E-cadherin | χ2 = 67.7, p = 1.3 × 10−10; Kruskal–Wallis p = 1.1 × 10−6. Pairwise MWU: CHM vs. HA p < 0.0002, PHM vs. HA p < 0.00001, and CHM vs. PHM p = 0.06 | 0.25 | 87.5% | 41.7% | 33.3% | 90.9% | Downregulated in CHM but retained in HA. Biologically relevant but limited diagnostic utility due to poor specificity. |
| Staining Intensity | Score |
|---|---|
| 0—no positive cells | Negative |
| +—≤25% positive cells | Low |
| ++—26–50% positive cells | Moderate |
| +++—>50% positive cells | High |
| Staining Intensity (I) | Percentage of Positive Cells (P) |
|---|---|
| 0—Negative 1—Weak intracytoplasmic staining 2—Moderate intracytoplasmic staining 3—Strong intracytoplasmic staining | 0—Negative (<5%) 1—5–25% 2—25–50% 3—50–75% 4—>75% |
Disclaimer/Publisher’s Note: The statements, opinions and data contained in all publications are solely those of the individual author(s) and contributor(s) and not of MDPI and/or the editor(s). MDPI and/or the editor(s) disclaim responsibility for any injury to people or property resulting from any ideas, methods, instructions or products referred to in the content. |
© 2025 by the authors. Licensee MDPI, Basel, Switzerland. This article is an open access article distributed under the terms and conditions of the Creative Commons Attribution (CC BY) license.
Share and Cite
Balan, T.A.; Balan, R.A.; Amalinei, C.; Giușcă, S.E.; Căruntu, I.-D. Hydatidiform Moles: The Contribution of Ancillary Techniques in Refining Their Histopathological Diagnosis. Int. J. Mol. Sci. 2026, 27, 142. https://doi.org/10.3390/ijms27010142
Balan TA, Balan RA, Amalinei C, Giușcă SE, Căruntu I-D. Hydatidiform Moles: The Contribution of Ancillary Techniques in Refining Their Histopathological Diagnosis. International Journal of Molecular Sciences. 2026; 27(1):142. https://doi.org/10.3390/ijms27010142
Chicago/Turabian StyleBalan, Teodora Ana, Raluca Anca Balan, Cornelia Amalinei, Simona Eliza Giușcă, and Irina-Draga Căruntu. 2026. "Hydatidiform Moles: The Contribution of Ancillary Techniques in Refining Their Histopathological Diagnosis" International Journal of Molecular Sciences 27, no. 1: 142. https://doi.org/10.3390/ijms27010142
APA StyleBalan, T. A., Balan, R. A., Amalinei, C., Giușcă, S. E., & Căruntu, I.-D. (2026). Hydatidiform Moles: The Contribution of Ancillary Techniques in Refining Their Histopathological Diagnosis. International Journal of Molecular Sciences, 27(1), 142. https://doi.org/10.3390/ijms27010142

