Characterization of Isolated Human Astrocytes from Aging Brain
Abstract
1. Introduction
2. Results
2.1. PSP Comparisons
2.2. ADD Comparison
2.3. PD Comparison
2.4. All Diseased Cases vs. CN
3. Discussion
4. Material and Methods
4.1. Subject Selection and Characterization
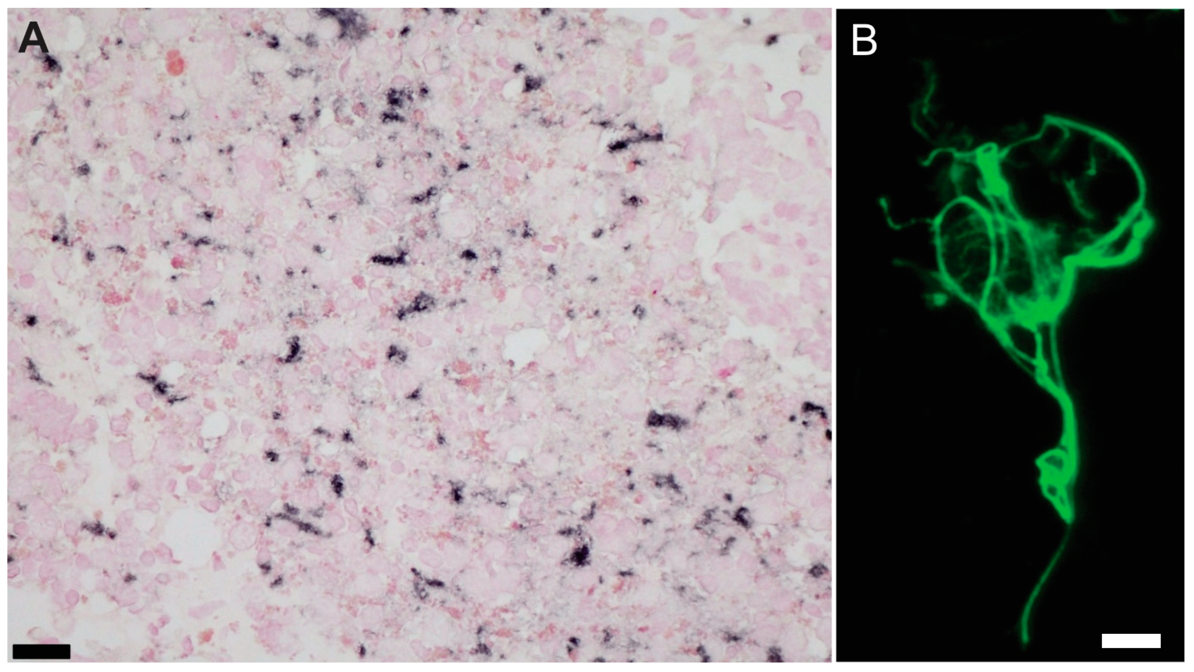
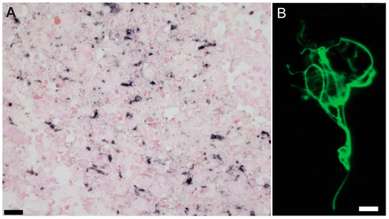
4.2. Whole-Cell-Dissociated-Suspension Preparation
4.3. Astrocyte Suspension Enrichment
4.4. Differential Expression Analysis
4.5. Hub Gene Identification
Supplementary Materials
Author Contributions
Funding
Institutional Review Board Statement
Informed Consent Statement
Data Availability Statement
Conflicts of Interest
References
- Booth, H.D.E.; Hirst, W.D.; Wade-Martins, R. The Role of Astrocyte Dysfunction in Parkinson’s Disease Pathogenesis. Trends Neurosci. 2017, 40, 358–370. [Google Scholar] [CrossRef]
- Sorrentino, Z.A.; Giasson, B.I.; Chakrabarty, P. α-Synuclein and astrocytes: Tracing the pathways from homeostasis to neurodegeneration in Lewy body disease. Acta Neuropathol. 2019, 138, 1–21. [Google Scholar] [CrossRef]
- Fan, L.Y.; Yang, J.; Li, M.L.; Liu, R.Y.; Kong, Y.; Duan, S.Y.; Guo, G.Y.; Yang, J.H.; Xu, Y.M. Single-nucleus transcriptional profiling uncovers the reprogrammed metabolism of astrocytes in Alzheimer’s disease. Front. Mol. Neurosci. 2023, 16, 1136398. [Google Scholar] [CrossRef]
- Miyazaki, I.; Asanuma, M. Neuron-Astrocyte Interactions in Parkinson’s Disease. Cells 2020, 9, 2623. [Google Scholar] [CrossRef] [PubMed]
- Benarroch, E.E. Astrocyte signaling and synaptic homeostasis: I: Membrane channels, transporters, and receptors in astrocytes. Neurology 2016, 87, 324–330. [Google Scholar] [CrossRef]
- Perez-Nievas, B.G.; Serrano-Pozo, A. Deciphering the Astrocyte Reaction in Alzheimer’s Disease. Front. Aging Neurosci. 2018, 10, 114. [Google Scholar] [CrossRef] [PubMed]
- Song, Y.J.; Halliday, G.M.; Holton, J.L.; Lashley, T.; O’Sullivan, S.S.; McCann, H.; Lees, A.J.; Ozawa, T.; Williams, D.R.; Lockhart, P.J.; et al. Degeneration in different parkinsonian syndromes relates to astrocyte type and astrocyte protein expression. J. Neuropathol. Exp. Neurol. 2009, 68, 1073–1083. [Google Scholar] [CrossRef] [PubMed]
- Song, J.J.; Oh, S.M.; Kwon, O.C.; Wulansari, N.; Lee, H.S.; Chang, M.Y.; Lee, E.; Sun, W.; Lee, S.E.; Chang, S.; et al. Cografting astrocytes improves cell therapeutic outcomes in a Parkinson’s disease model. J. Clin. Investig. 2018, 128, 463–482. [Google Scholar] [CrossRef]
- Wang, C.; Yang, T.; Liang, M.; Xie, J.; Song, N. Astrocyte dysfunction in Parkinson’s disease: From the perspectives of transmitted alpha-synuclein and genetic modulation. Transl. Neurodegener. 2021, 10, 39. [Google Scholar] [CrossRef]
- Boisvert, M.M.; Erikson, G.A.; Shokhirev, M.N.; Allen, N.J. The Aging Astrocyte Transcriptome from Multiple Regions of the Mouse Brain. Cell Rep. 2018, 22, 269–285. [Google Scholar] [CrossRef]
- Wang, X.; Allen, M.; Is, O.; Reddy, J.S.; Tutor-New, F.Q.; Castanedes Casey, M.; Carrasquillo, M.M.; Oatman, S.R.; Min, Y.; Asmann, Y.W.; et al. Alzheimer’s disease and progressive supranuclear palsy share similar transcriptomic changes in distinct brain regions. J. Clin. Investig. 2022, 132, e149904. [Google Scholar] [CrossRef]
- Chai, H.; Diaz-Castro, B.; Shigetomi, E.; Monte, E.; Octeau, J.C.; Yu, X.; Cohn, W.; Rajendran, P.S.; Vondriska, T.M.; Whitelegge, J.P.; et al. Neural Circuit-Specialized Astrocytes: Transcriptomic, Proteomic, Morphological, and Functional Evidence. Neuron 2017, 95, 531–549.e9. [Google Scholar] [CrossRef] [PubMed]
- Tagliafierro, L.; Bonawitz, K.; Glenn, O.C.; Chiba-Falek, O. Gene Expression Analysis of Neurons and Astrocytes Isolated by Laser Capture Microdissection from Frozen Human Brain Tissues. Front. Mol. Neurosci. 2016, 9, 72. [Google Scholar] [CrossRef] [PubMed]
- Izrael, M.; Slutsky, S.G.; Admoni, T.; Cohen, L.; Granit, A.; Hasson, A.; Itskovitz-Eldor, J.; Paker, L.K.; Kuperstein, G.; Lavon, N.; et al. Safety and efficacy of human embryonic stem cell-derived astrocytes following intrathecal transplantation in SOD1(G93A) and NSG animal models. Stem Cell Res. Ther. 2018, 9, 152. [Google Scholar] [CrossRef]
- Zhang, Y.; Sloan, S.A.; Clarke, L.E.; Caneda, C.; Plaza, C.A.; Blumenthal, P.D.; Vogel, H.; Steinberg, G.K.; Edwards, M.S.B.; Li, G.; et al. Purification and Characterization of Progenitor and Mature Human Astrocytes Reveals Transcriptional and Functional Differences with Mouse. Neuron 2016, 89, 37–53. [Google Scholar] [CrossRef]
- Whitney, K.; Song, W.M.; Sharma, A.; Dangoor, D.K.; Farrell, K.; Krassner, M.M.; Ressler, H.W.; Christie, T.D.; Walker, R.H.; Nirenberg, M.J.; et al. Single-cell transcriptomic and neuropathologic analysis reveals dysregulation of the integrated stress response in progressive supranuclear palsy. bioRxiv 2023. [Google Scholar] [CrossRef] [PubMed]
- Dai, D.L.; Li, M.; Lee, E.B. Human Alzheimer’s disease reactive astrocytes exhibit a loss of homeostastic gene expression. Acta Neuropathol. Commun. 2023, 11, 127. [Google Scholar] [CrossRef]
- Caldi Gomes, L.; Galhoz, A.; Jain, G.; Roser, A.E.; Maass, F.; Carboni, E.; Barski, E.; Lenz, C.; Lohmann, K.; Klein, C.; et al. Multi-omic landscaping of human midbrains identifies disease-relevant molecular targets and pathways in advanced-stage Parkinson’s disease. Clin. Transl. Med. 2022, 12, e692. [Google Scholar] [CrossRef]
- Sadick, J.S.; O’Dea, M.R.; Hasel, P.; Dykstra, T.; Faustin, A.; Liddelow, S.A. Astrocytes and oligodendrocytes undergo subtype-specific transcriptional changes in Alzheimer’s disease. Neuron 2022, 110, 1788–1805.e10. [Google Scholar] [CrossRef]
- Linnerbauer, M.; Wheeler, M.A.; Quintana, F.J. Astrocyte Crosstalk in CNS Inflammation. Neuron 2020, 108, 608–622. [Google Scholar] [CrossRef]
- Liddelow, S.A.; Guttenplan, K.A.; Clarke, L.E.; Bennett, F.C.; Bohlen, C.J.; Schirmer, L.; Bennett, M.L.; Münch, A.E.; Chung, W.-S.; Peterson, T.C.; et al. Neurotoxic reactive astrocytes are induced by activated microglia. Nature 2017, 541, 481–487. [Google Scholar] [CrossRef] [PubMed]
- Monterey, M.D.; Wei, H.; Wu, X.; Wu, J.Q. The Many Faces of Astrocytes in Alzheimer’s Disease. Front. Neurol. 2021, 12, 619626. [Google Scholar] [CrossRef] [PubMed]
- Kim, J.; Yoo, I.D.; Lim, J.; Moon, J.S. Pathological phenotypes of astrocytes in Alzheimer’s disease. Exp. Mol. Med. 2024, 56, 95–99. [Google Scholar] [CrossRef]
- Briel, N.; Ruf, V.C.; Pratsch, K.; Roeber, S.; Widmann, J.; Mielke, J.; Dorostkar, M.M.; Windl, O.; Arzberger, T.; Herms, J.; et al. Single-nucleus chromatin accessibility profiling highlights distinct astrocyte signatures in progressive supranuclear palsy and corticobasal degeneration. Acta Neuropathol. 2022, 144, 615–635. [Google Scholar] [CrossRef]
- Farrell, K.; Humphrey, J.; Chang, T.; Zhao, Y.; Leung, Y.Y.; Kuksa, P.P.; Patil, V.; Lee, W.P.; Kuzma, A.B.; Valladares, O.; et al. Genetic, transcriptomic, histological, and biochemical analysis of progressive supranuclear palsy implicates glial activation and novel risk genes. Nat. Commun. 2024, 15, 7880. [Google Scholar] [CrossRef]
- Jackson, R.J.; Melloni, A.; Fykstra, D.P.; Serrano-Pozo, A.; Shinobu, L.; Hyman, B.T. Astrocyte tau deposition in progressive supranuclear palsy is associated with dysregulation of MAPT transcription. Acta Neuropathol. Commun. 2024, 12, 132. [Google Scholar] [CrossRef]
- Forrest, S.L.; Lee, S.; Nassir, N.; Martinez-Valbuena, I.; Sackmann, V.; Li, J.; Ahmed, A.; Tartaglia, M.C.; Ittner, L.M.; Lang, A.E.; et al. Cell-specific MAPT gene expression is preserved in neuronal and glial tau cytopathologies in progressive supranuclear palsy. Acta Neuropathol. 2023, 146, 395–414. [Google Scholar] [CrossRef] [PubMed]
- Chen, Y.; Li, Z.; Ge, X.; Lv, H.; Geng, Z. Identification of novel hub genes for Alzheimer’s disease associated with the hippocampus using WGCNA and differential gene analysis. Front. Neurosci. 2024, 18, 1359631. [Google Scholar] [CrossRef]
- Park, H.K.; Cho, A.R.; Lee, S.C.; Ban, J.Y. MPTP-induced model of Parkinson’s disease in heat shock protein 70.1 knockout mice. Mol. Med. Rep. 2012, 5, 1465–1468. [Google Scholar] [CrossRef][Green Version]
- Singh, R.; Kolvraa, S.; Rattan, S.I. Genetics of human longevity with emphasis on the relevance of HSP70 as candidate genes. Front. Biosci. 2007, 12, 4504–4513. [Google Scholar] [CrossRef]
- Miñones-Moyano, E.; Porta, S.; Escaramís, G.; Rabionet, R.; Iraola, S.; Kagerbauer, B.; Espinosa-Parrilla, Y.; Ferrer, I.; Estivill, X.; Martí, E. MicroRNA profiling of Parkinson’s disease brains identifies early downregulation of miR-34b/c which modulate mitochondrial function. Hum. Mol. Genet. 2011, 20, 3067–3078. [Google Scholar] [CrossRef] [PubMed]
- Bai, X.; Tang, Y.; Yu, M.; Wu, L.; Liu, F.; Ni, J.; Wang, Z.; Wang, J.; Fei, J.; Wang, W.; et al. Downregulation of blood serum microRNA 29 family in patients with Parkinson’s disease. Sci. Rep. 2017, 7, 5411. [Google Scholar] [CrossRef]
- Nies, Y.H.; Mohamad Najib, N.H.; Lim, W.L.; Kamaruzzaman, M.A.; Yahaya, M.F.; Teoh, S.L. MicroRNA Dysregulation in Parkinson’s Disease: A Narrative Review. Front. Neurosci. 2021, 15, 660379. [Google Scholar] [CrossRef]
- Bas, J.; Calopa, M.; Mestre, M.; Molleví, D.G.; Cutillas, B.; Ambrosio, S.; Buendia, E. Lymphocyte populations in Parkinson’s disease and in rat models of parkinsonism. J. Neuroimmunol. 2001, 113, 146–152. [Google Scholar] [CrossRef]
- Xu, K.; Li, Y.; Zhou, Y.; Zhang, Y.; Shi, Y.; Zhang, C.; Bai, Y.; Wang, S. Neuroinflammation in Parkinson’s disease: Focus on the relationship between miRNAs and microglia. Front. Cell. Neurosci. 2024, 18, 1429977. [Google Scholar] [CrossRef] [PubMed]
- McGeer, P.L.; Itagaki, S.; Boyes, B.E.; McGeer, E.G. Reactive microglia are positive for HLA-DR in the substantia nigra of Parkinson’s and Alzheimer’s disease brains. Neurology 1988, 38, 1285–1291. [Google Scholar] [CrossRef]
- Liu, Y.T.; Huang, X.; Nguyen, D.; Shammas, M.K.; Wu, B.P.; Dombi, E.; Springer, D.A.; Poulton, J.; Sekine, S.; Narendra, D.P. Loss of CHCHD2 and CHCHD10 activates OMA1 peptidase to disrupt mitochondrial cristae phenocopying patient mutations. Hum. Mol. Genet. 2020, 29, 1547–1567. [Google Scholar] [CrossRef] [PubMed]
- Rivera-Mejias, P.; Narbona-Perez, A.J.; Hasberg, L.; Kroczek, L.; Bahat, A.; Lawo, S.; Folz-Donahue, K.; Schumacher, A.L.; Ahola, S.; Mayer, F.C.; et al. The mitochondrial protease OMA1 acts as a metabolic safeguard upon nuclear DNA damage. Cell Rep. 2023, 42, 112332. [Google Scholar] [CrossRef]
- Guo, X.; Aviles, G.; Liu, Y.; Tian, R.; Unger, B.A.; Lin, Y.T.; Wiita, A.P.; Xu, K.; Correia, M.A.; Kampmann, M. Mitochondrial stress is relayed to the cytosol by an OMA1-DELE1-HRI pathway. Nature 2020, 579, 427–432. [Google Scholar] [CrossRef]
- Malik, B.R.; Maddison, D.C.; Smith, G.A.; Peters, O.M. Autophagic and endo-lysosomal dysfunction in neurodegenerative disease. Mol. Brain 2019, 12, 100. [Google Scholar] [CrossRef]
- Gu, X.J.; Su, W.M.; Dou, M.; Jiang, Z.; Duan, Q.Q.; Yin, K.F.; Cao, B.; Wang, Y.; Li, G.B.; Chen, Y.P. Expanding causal genes for Parkinson’s disease via multi-omics analysis. NPJ Park. Dis. 2023, 9, 146. [Google Scholar] [CrossRef] [PubMed]
- Zhou, S.; Tian, Y.; Song, X.; Xiong, J.; Cheng, G. Brain Proteome-Wide and Transcriptome-Wide Asso-ciation Studies, Bayesian Colocalization, and Mendelian Randomization Analyses Reveal Causal Genes of Parkinson’s Disease. J. Gerontol. A Biol. Sci. Med. Sci. 2023, 78, 563–568. [Google Scholar] [CrossRef] [PubMed]
- Sakane, F.; Mizuno, S.; Komenoi, S. Diacylglycerol Kinases as Emerging Potential Drug Targets for a Variety of Diseases: An Update. Front. Cell Dev. Biol. 2016, 4, 82. [Google Scholar] [CrossRef] [PubMed]
- Hill, M.A.; Gammie, S.C. Alzheimer’s disease large-scale gene expression portrait identifies exercise as the top theoretical treatment. Sci. Rep. 2022, 12, 17189. [Google Scholar] [CrossRef]
- Zhang, H.; Liu, W.; Wu, Y.; Chen, C. USP3: Key deubiquitylation enzyme in human diseases. Cancer Sci. 2024, 115, 2094–2106. [Google Scholar] [CrossRef]
- Zhang, Y.; Wu, J.; You, G.; Guo, W.; Wang, Y.; Yu, Z.; Geng, Y.; Zhong, Q.; Zan, J.; Zheng, L. Bioinformatic Analysis and Experimental Validation of Ubiquitin-Proteasomal System-Related Hub Genes as Novel Biomarkers for Alzheimer’s Disease. J. Integr. Neurosci. 2023, 22, 138. [Google Scholar] [CrossRef]
- Wu, X.; Liu, M.; Zhang, X.; Pan, X.; Cui, X.; Jin, J.; Sun, H.; Xiao, C.; Tong, X.; Ren, L.; et al. Elucidating Microglial Heterogeneity and Functions in Alzheimer’s Disease Using Single-cell Analysis and Convolutional Neural Network Disease Model Construction. Sci. Rep. 2024, 14, 17271. [Google Scholar] [CrossRef]
- Todi, S.V.; Paulson, H.L. Balancing act: Deubiquitinating enzymes in the nervous system. Trends Neurosci. 2011, 34, 370–382. [Google Scholar] [CrossRef]
- Takamura, H.; Nakayama, Y.; Ito, H.; Katayama, T.; Fraser, P.E.; Matsuzaki, S. SUMO1 Modification of Tau in Progressive Supranuclear Palsy. Mol. Neurobiol. 2022, 59, 4419–4435. [Google Scholar] [CrossRef]
- Oddo, S. The ubiquitin-proteasome system in Alzheimer’s disease. J. Cell Mol. Med. 2008, 12, 363–373. [Google Scholar] [CrossRef]
- Cook, C.; Petrucelli, L. A critical evaluation of the ubiquitin-proteasome system in Parkinson’s disease. Biochim. Biophys. Acta 2009, 1792, 664–675. [Google Scholar] [CrossRef] [PubMed]
- Jansen, A.H.; Reits, E.A.; Hol, E.M. The ubiquitin proteasome system in glia and its role in neurodegenerative diseases. Front. Mol. Neurosci. 2014, 7, 73. [Google Scholar] [CrossRef] [PubMed]
- Spano, D.; Catara, G. Targeting the Ubiquitin-Proteasome System and Recent Advances in Cancer Therapy. Cells 2023, 13, 29. [Google Scholar] [CrossRef]
- Huang, X.; Dixit, V.M. Drugging the undruggables: Exploring the ubiquitin system for drug development. Cell Res. 2016, 26, 484–498. [Google Scholar] [CrossRef]
- Serrano, G.E.; Walker, J.E.; Intorcia, A.J.; Glass, M.J.; Arce, R.A.; Piras, I.S.; Talboom, J.S.; Nelson, C.M.; Cutler, B.D.; Sue, L.I.; et al. Whole-Cell Dissociated Suspension Analysis in Human Brain Neurodegenerative Disease: A Pilot Study. medRxiv 2021. [Google Scholar] [CrossRef]
- Piras, I.S.; Huentelman, M.J.; Walker, J.E.; Arce, R.; Glass, M.J.; Vargas, D.; Sue, L.I.; Intorcia, A.J.; Nelson, C.M.; Suszczewicz, K.E. Olfactory bulb and amygdala gene expression changes in subjects dying with COVID-19. medRxiv 2021. [Google Scholar] [CrossRef]
- Mathys, H.; Davila-Velderrain, J.; Peng, Z.; Gao, F.; Mohammadi, S.; Young, J.Z.; Menon, M.; He, L.; Abdurrob, F.; Jiang, X.; et al. Single-cell transcriptomic analysis of Alzheimer’s disease. Nature 2019, 570, 332–337. [Google Scholar] [CrossRef]
- Dobin, A.; Davis, C.A.; Schlesinger, F.; Drenkow, J.; Zaleski, C.; Jha, S.; Batut, P.; Chaisson, M.; Gingeras, T.R. STAR: Ultrafast universal RNA-seq aligner. Bioinformatics 2013, 29, 15–21. [Google Scholar] [CrossRef]
- Chandramohan, R.; Wu, P.-Y.; Phan, J.H.; Wang, M.D. Benchmarking RNA-Seq quantification tools. In Proceedings of the 2013 35th Annual International Conference of the IEEE Engineering in Medicine and Biology Society (EMBC), Osaka, Japan, 3–7 July 2013; IEEE: New York, NY, USA, 2013. [Google Scholar]
- Ewels, P.; Magnusson, M.; Lundin, S.; Käller, M. MultiQC: Summarize analysis results for multiple tools and samples in a single report. Bioinformatics 2016, 32, 3047–3048. [Google Scholar] [CrossRef]
- Love, M.I.; Huber, W.; Anders, S. Moderated estimation of fold change and dispersion for RNA-seq data with DESeq2. Genome Biol. 2014, 15, 550. [Google Scholar] [CrossRef]
- Wu, T.; Hu, E.; Xu, S.; Chen, M.; Guo, P.; Dai, Z.; Feng, T.; Zhou, L.; Tang, W.; Zhan, L. clusterProfiler 4.0: A universal enrichment tool for interpreting omics data. The innovation 2021, 2, 100141. [Google Scholar] [CrossRef] [PubMed]
- Bajpai, A.K.; Davuluri, S.; Tiwary, K.; Narayanan, S.; Oguru, S.; Basavaraju, K.; Dayalan, D.; Thirumurugan, K.; Acharya, K.K. Systematic comparison of the protein-protein interaction databases from a user’s perspective. J. Biomed. Inform. 2020, 103, 103380. [Google Scholar] [CrossRef] [PubMed]
- Kohl, M.; Wiese, S.; Warscheid, B. Cytoscape: Software for visualization and analysis of biological networks. In Data Mining in Proteomics: From Standards to Applications; Springer: Berlin/Heidelberg, Germany, 2011; pp. 291–303. [Google Scholar]







| Diagnosis (n) | Age (SD) | PMI (SD) | LB Total (SD) # | Tau Total (SD) # | Plaque Total (SD) # | PSP & Tau Pathology (SD) # | RIN (SD) |
|---|---|---|---|---|---|---|---|
| CN (3) | 89 (10) | 2.9 (0.3) | 0 | 6 (.6) | 7 (6) | 6 (0.6) | 9.1 (0.2) |
| ILBD (3) | 86 (9) | 3.1 (0.7) | 13 (2) | 5 (3) | 0.6(1) | 5 (3) | 9.5 (0.1) |
| PSP (5) | 89 (7) | 4.4 (1.1) | 2 (4) | 9 (1) | 7 (6) | 27 (9) * | 8.6 (0.7) |
| PD (6) | 82 (14) | 3.7 (0.6) | 31 (5) * | 5 (1) | 0.5 (1) | 5 (1) | 9.2 (0.4) |
| ADD (4) | 87 (4) | 3.2 (1.1) | 0 | 10 (3) * | 12 (3) * | 10 (3) | 9.0 (0.3) |
| Comparison (Number of Samples) | No. of DEGs |
|---|---|
| PSP (5) vs. CN(3) | 1968 (1933 upregulated, 35 downregulated) |
| PSP (5) vs. ADD (4) | 89 (88 upregulated, 1 downregulated) |
| PSP (5) vs. PD (6) | 243 (4 upregulated, 239 downregulated) |
| ADD (4) vs. CN (3) | 754 (749 upregulated, 5 downregulated) |
| ADD (4) vs. PD (6) | 4 (1 upregulated 3 downregulated) |
| PD (6) vs. CN (3) | 1150 (53 upregulated, 1097 downregulated) |
| PD (6) vs. ILBD (3) | 150 (135 upregulated, 15 downregulated) |
| ILBD (3) vs. CN (3) | 1 (downregulated) |
| PSP + PD + ADD (18) vs. CN + ILBD (6) | 503 (364 upregulated, 139 downregulated) |
Disclaimer/Publisher’s Note: The statements, opinions and data contained in all publications are solely those of the individual author(s) and contributor(s) and not of MDPI and/or the editor(s). MDPI and/or the editor(s) disclaim responsibility for any injury to people or property resulting from any ideas, methods, instructions or products referred to in the content. |
© 2025 by the authors. Licensee MDPI, Basel, Switzerland. This article is an open access article distributed under the terms and conditions of the Creative Commons Attribution (CC BY) license (https://creativecommons.org/licenses/by/4.0/).
Share and Cite
Serrano, G.E.; Aslam, S.; Walker, J.E.; Piras, I.S.; Huentelman, M.J.; Arce, R.A.; Glass, M.J.; Intorcia, A.J.; Suszczewicz, K.E.; Borja, C.I.; et al. Characterization of Isolated Human Astrocytes from Aging Brain. Int. J. Mol. Sci. 2025, 26, 3416. https://doi.org/10.3390/ijms26073416
Serrano GE, Aslam S, Walker JE, Piras IS, Huentelman MJ, Arce RA, Glass MJ, Intorcia AJ, Suszczewicz KE, Borja CI, et al. Characterization of Isolated Human Astrocytes from Aging Brain. International Journal of Molecular Sciences. 2025; 26(7):3416. https://doi.org/10.3390/ijms26073416
Chicago/Turabian StyleSerrano, Geidy E., Sidra Aslam, Jessica E. Walker, Ignazio S. Piras, Matthew J. Huentelman, Richard A. Arce, Michael J. Glass, Anthony J. Intorcia, Katsuko E. Suszczewicz, Claryssa I. Borja, and et al. 2025. "Characterization of Isolated Human Astrocytes from Aging Brain" International Journal of Molecular Sciences 26, no. 7: 3416. https://doi.org/10.3390/ijms26073416
APA StyleSerrano, G. E., Aslam, S., Walker, J. E., Piras, I. S., Huentelman, M. J., Arce, R. A., Glass, M. J., Intorcia, A. J., Suszczewicz, K. E., Borja, C. I., Cline, M. P., Qiji, S. H., Lorenzini, I., Beh, S. T., Mariner, M., Krupp, A., McHattie, R., Shull, A., Wermager, Z. R., & Beach, T. G. (2025). Characterization of Isolated Human Astrocytes from Aging Brain. International Journal of Molecular Sciences, 26(7), 3416. https://doi.org/10.3390/ijms26073416

