Stem Cells Associated with Adult Skeletal Muscle Can Form Beating Cardiac Tissue In Vitro in Response to Media Containing Heparin, Dexamethasone, Growth Factors and Hydrogen Peroxide
Abstract
1. Introduction
2. Results
2.1. Characterization of Skeletal Muscle Stem Cells
2.2. Aggregation of Skeletal Muscle Stem Cells and Cardiac Differentiation
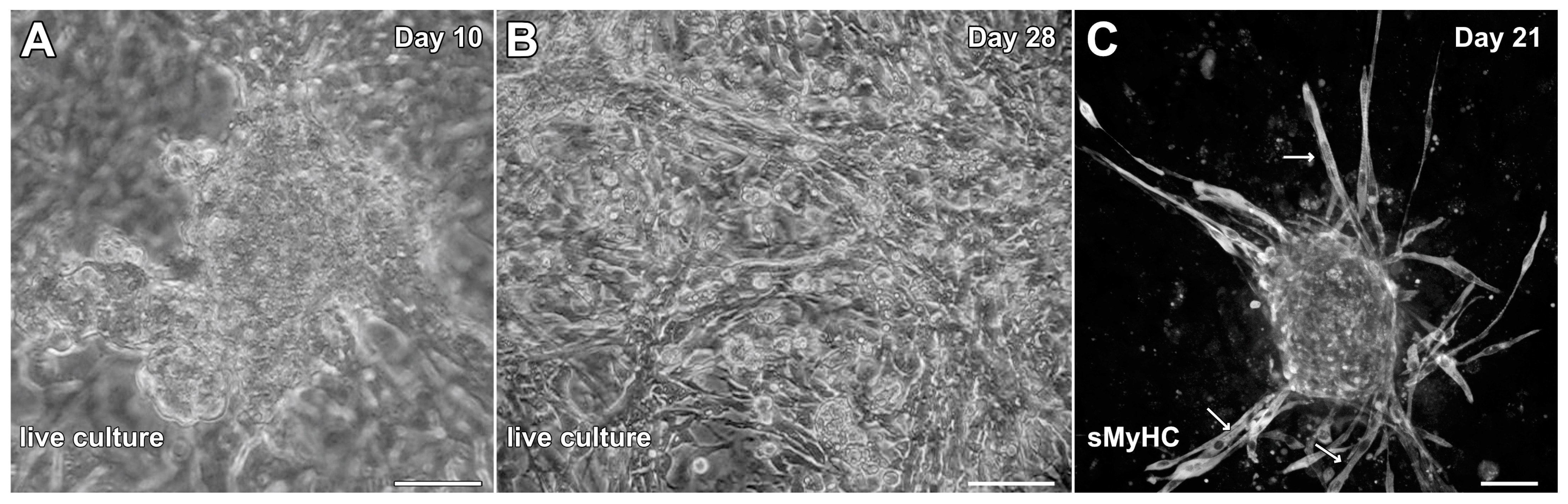
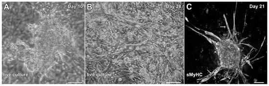
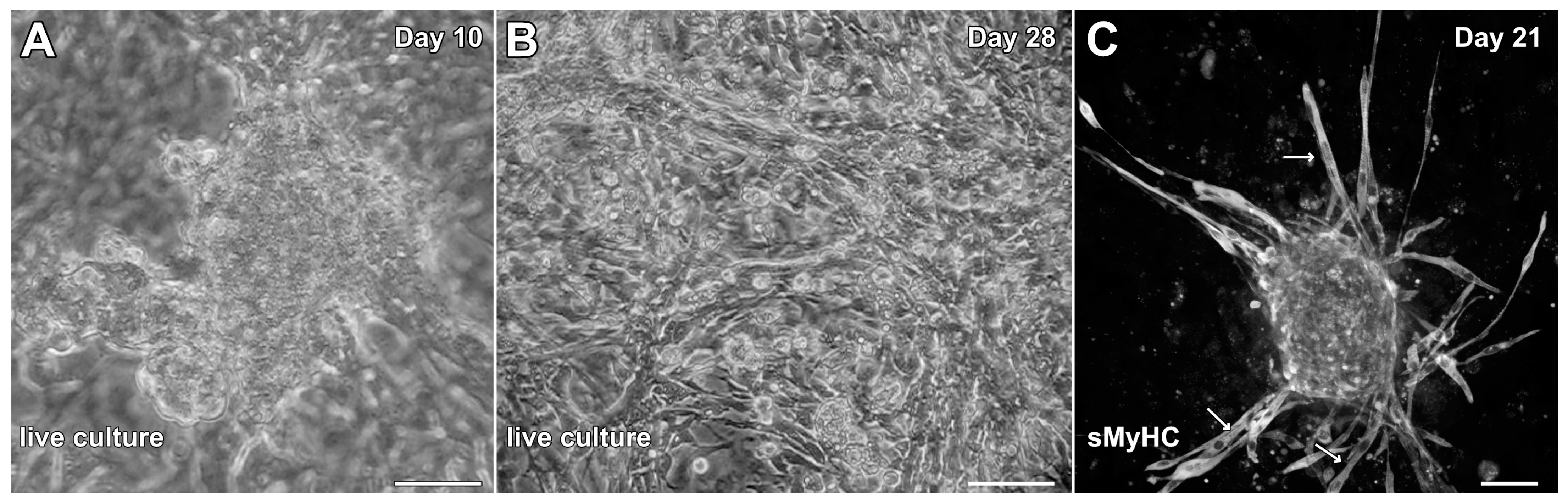
2.3. Formation of Contractile Cardiac Tissue Without Skeletal Muscle Contamination
3. Discussion
4. Material and Methods
4.1. Stem Cell Isolation
4.2. Skeletal Muscle Differentiation
4.3. Analysis of the Initial Non-Adherent Cell Population
4.4. Cardiac Myosphere Differentiation
4.5. Long-Term Myosphere Cultures
4.6. Immunocytochemistry of Myospheres
4.7. Cell Counts and Determination of Cellular Yields in Long-Term Cultures
4.8. Contractility and Live Imaging Analysis of Cardiac Myospheres
Supplementary Materials
Author Contributions
Funding
Institutional Review Board Statement
Informed Consent Statement
Data Availability Statement
Acknowledgments
Conflicts of Interest
References
- Redkar, A.; Montgomery, M.; Litvin, J. Fate map of early avian cardiac progenitor cells. Development 2001, 128, 2269–2279. [Google Scholar] [CrossRef]
- Stalsberg, H.; DeHaan, R.L. The precardiac areas and formation of the tubular heart in the chick embryo. Dev. Biol. 1969, 19, 128–159. [Google Scholar] [CrossRef]
- Camp, E.; Dietrich, S.; Münsterberg, A. Fate mapping identifies the origin of SHF/AHF progenitors in the chick primitive streak. PLoS ONE 2012, 7, e51948. [Google Scholar] [CrossRef]
- Mjaatvedt, C.; Nakaoka, T.; Moreno-Rodriguez, R.; Norris, R.; Kern, M.; Eisenberg, C.; Turner, D.; Markwald, R. The outflow tract of the heart is recruited from a novel heart-forming field. Dev. Biol. 2001, 238, 97–109. [Google Scholar] [CrossRef]
- Ordahl, C.P.; Douarin, N.M.L. Two myogenic lineages within the developing somite. Development 1992, 114, 339–353. [Google Scholar] [CrossRef]
- Piatkowska, A.M.; Evans, S.E.; Stern, C.D. Cellular aspects of somite formation in vertebrates. Cells Dev. 2021, 168, 203732. [Google Scholar] [CrossRef]
- Adams, R.J.; Schwartz, A. Comparative mechanisms for contraction of cardiac and skeletal muscle. Chest 1980, 78, 123–139. [Google Scholar] [CrossRef]
- Bottinelli, R.; Reggiani, C. Human skeletal muscle fibres: Molecular and functional diversity. Prog. Biophys. Mol. Biol. 2000, 73, 195–262. [Google Scholar] [CrossRef]
- Ríos, E.; Figueroa, L.; Manno, C.; Kraeva, N.; Riazi, S. The couplonopathies: A comparative approach to a class of diseases of skeletal and cardiac muscle. J. Gen. Physiol. 2015, 145, 459–474. [Google Scholar] [CrossRef]
- Akazawa, H.; Komuro, I. Cardiac transcription factor Csx/Nkx2-5: Its role in cardiac development and diseases. Pharmacol. Ther. 2005, 107, 252–268. [Google Scholar] [CrossRef]
- Cao, C.; Li, L.; Zhang, Q.; Li, H.; Wang, Z.; Wang, A.; Liu, J. Nkx2. 5: A crucial regulator of cardiac development, regeneration and diseases. Front. Cardiovasc. Med. 2023, 10, 1270951. [Google Scholar] [CrossRef]
- Pownall, M.E.; Gustafsson, M.K.; Emerson Jr, C.P. Myogenic regulatory factors and the specification of muscle progenitors in vertebrate embryos. Annu. Rev. Cell Dev. Biol. 2002, 18, 747–783. [Google Scholar] [CrossRef]
- Li, L.; Miano, J.M.; Cserjesi, P.; Olson, E.N. SM22α, a marker of adult smooth muscle, is expressed in multiple myogenic lineages during embryogenesis. Circ. Res. 1996, 78, 188–195. [Google Scholar] [CrossRef]
- Sugi, Y.; Lough, J. Onset of expression and regional deposition of alpha-smooth and sarcomeric actin during avian heart development. Dev. Dyn. 1992, 193, 116–124. [Google Scholar] [CrossRef]
- Ya, J.; Markman, M.W.; Wagenaar, G.T.; Blommaart, P.J.B.; Moorman, A.F.; Lamers, W.H. Expression of the smooth-muscle proteins α-smooth-muscle actin and calponin, and of the intermediate filament protein desmin are parameters of cardiomyocyte maturation in the prenatal rat heart. Anat. Rec. 1997, 249, 495–505. [Google Scholar] [CrossRef]
- Ordahl, C.P. The skeletal and cardiac α-action genes are coexpressed in early embryonic striated muscle. Dev. Biol. 1986, 117, 488–492. [Google Scholar] [CrossRef]
- Clause, K.C.; Tchao, J.; Powell, M.C.; Liu, L.J.; Huard, J.; Keller, B.B.; Tobita, K. Developing cardiac and skeletal muscle share fast-skeletal myosin heavy chain and cardiac troponin-I expression. PLoS ONE 2012, 7, e40725. [Google Scholar] [CrossRef]
- Cuda, G.; Fananapazir, L.; Zhu, W.; Sellers, J.; Epstein, N. Skeletal muscle expression and abnormal function of beta-myosin in hypertrophic cardiomyopathy. J. Clin. Investig. 1993, 91, 2861–2865. [Google Scholar] [CrossRef]
- McNally, E.M.; Golbus, J.R.; Puckelwartz, M.J. Genetic mutations and mechanisms in dilated cardiomyopathy. J. Clin. Investig. 2013, 123, 19–26. [Google Scholar] [CrossRef]
- Gong, Y.; Yang, J.; Liu, Q.; Cai, J.; Zheng, Y.; Zhang, Y.; Yu, D.; Liu, H.; Zhang, Z. IGF1 Knockdown Hinders Myocardial Development through Energy Metabolism Dysfunction Caused by ROS-Dependent FOXO Activation in the Chicken Heart. Oxid. Med. Cell Longev. 2019, 2019, 7838754. [Google Scholar] [CrossRef]
- Takebayashi-Suzuki, K.; Pauliks, L.B.; Eltsefon, Y.; Mikawa, T. Purkinje fibers of the avian heart express a myogenic transcription factor program distinct from cardiac and skeletal muscle. Dev. Biol. 2001, 234, 390–401. [Google Scholar] [CrossRef] [PubMed]
- Haider, H.K.; Ye, L.; Ashraf, M. Skeletal muscle derived stem cells for myocardial repair. In Frontiers in Cardiovascular Drug Discovery; Rahman, A., Choudhary, M.I., Eds.; Bentham Science Publishers: Sharjah, United Arab Emirates, 2010; Volume 1, pp. 288–306. [Google Scholar]
- Hassan, N.; Tchao, J.; Tobita, K. Concise review: Skeletal muscle stem cells and cardiac lineage: Potential for heart repair. Stem Cells Trans. Med. 2014, 3, 183–193. [Google Scholar] [CrossRef]
- Menasché, P. Skeletal myoblasts and cardiac repair. J. Mol. Cell Cardiol. 2008, 45, 545–553. [Google Scholar] [CrossRef] [PubMed]
- Pedrotty, D.M.; Koh, J.; Davis, B.H.; Taylor, D.A.; Wolf, P.; Niklason, L.E. Engineering skeletal myoblasts: Roles of three-dimensional culture and electrical stimulation. Am. J. Physiol. Heart Circ. Physiol. 2005, 288, H1620–H1626. [Google Scholar] [CrossRef] [PubMed]
- Reinecke, H.; Poppa, V.; Murry, C.E. Skeletal muscle stem cells do not transdifferentiate into cardiomyocytes after cardiac grafting. J. Mol. Cell Cardiol. 2002, 34, 241–249. [Google Scholar] [CrossRef]
- Rikhtegar, R.; Pezeshkian, M.; Dolati, S.; Safaie, N.; Rad, A.A.; Mahdipour, M.; Nouri, M.; Jodati, A.R.; Yousefi, M. Stem cells as therapy for heart disease: iPSCs, ESCs, CSCs, and skeletal myoblasts. Biomed. Pharmacother. 2019, 109, 304–313. [Google Scholar] [CrossRef]
- Rubart, M.; Soonpaa, M.H.; Nakajima, H.; Field, L.J. Spontaneous and evoked intracellular calcium transients in donor-derived myocytes following intracardiac myoblast transplantation. J. Clin. Investig. 2004, 114, 775–783. [Google Scholar] [CrossRef]
- Eisenberg, L.M.; Eisenberg, C.A. Embryonic myocardium shows increased longevity as a functional tissue when cultured in the presence of a noncardiac tissue layer. Tissue Eng. 2006, 12, 853–865. [Google Scholar] [CrossRef]
- Eisenberg, L.M.; Kaur, K.; Castillo, J.M.; Edwards, J.G.; Eisenberg, C.A. Dexamethasone Treatment Preserves the Structure of Adult Cardiac Explants and Supports Their Long-Term Contractility In Vitro. Int. J. Transl. Med. 2023, 3, 360–373. [Google Scholar] [CrossRef]
- Kaur, K.; Yang, J.; Edwards, J.; Eisenberg, C.; Eisenberg, L. G9a histone methyltransferase inhibitor BIX 01294 promotes expansion of adult cardiac progenitor cells without changing their phenotype or differentiation potential. Cell Prolif. 2016, 49, 373–385. [Google Scholar] [CrossRef]
- Yang, J.; Kaur, K.; Edwards, J.G.; Eisenberg, C.A.; Eisenberg, L.M. Inhibition of histone methyltransferase, histone deacetylase, and β-catenin synergistically enhance the cardiac potential of bone marrow cells. Stem Cells Int. 2017, 2017, 3464953. [Google Scholar] [CrossRef] [PubMed]
- Judson, R.N.; Zhang, R.H.; Rossi, F.M. Tissue-resident mesenchymal stem/progenitor cells in skeletal muscle: Collaborators or saboteurs? FEBS J. 2013, 280, 4100–4108. [Google Scholar] [CrossRef] [PubMed]
- Pannérec, A.; Marazzi, G.; Sassoon, D. Stem cells in the hood: The skeletal muscle niche. Trends Mol. Med. 2012, 18, 599–606. [Google Scholar] [CrossRef] [PubMed]
- Sesillo, F.B.; Wong, M.; Cortez, A.; Alperin, M. Isolation of muscle stem cells from rat skeletal muscles. Stem Cell Res. 2020, 43, 101684. [Google Scholar] [CrossRef]
- Yang, J.; Kaur, K.; Ong, L.L.; Eisenberg, C.A.; Eisenberg, L.M. Inhibition of G9a histone methyltransferase converts bone marrow mesenchymal stem cells to cardiac competent progenitors. Stem Cells Int. 2015, 2015, 270428. [Google Scholar] [CrossRef]
- Shahini, A.; Vydiam, K.; Choudhury, D.; Rajabian, N.; Nguyen, T.; Lei, P.; Andreadis, S.T. Efficient and high yield isolation of myoblasts from skeletal muscle. Stem Cell Res. 2018, 30, 122–129. [Google Scholar] [CrossRef]
- Matsuura, K.; Nagai, T.; Nishigaki, N.; Oyama, T.; Nishi, J.; Wada, H.; Sano, M.; Toko, H.; Akazawa, H.; Sato, T. Adult cardiac Sca-1-positive cells differentiate into beating cardiomyocytes. J. Biol. Chem. 2004, 279, 11384–11391. [Google Scholar] [CrossRef]
- Paquin, J.; Danalache, B.A.; Jankowski, M.; McCann, S.M.; Gutkowska, J. Oxytocin induces differentiation of P19 embryonic stem cells to cardiomyocytes. Proc. Natl. Acad. Sci. USA 2002, 99, 9550–9555. [Google Scholar] [CrossRef]
- Du, A.; Sanger, J.M.; Linask, K.K.; Sanger, J.W. Myofibrillogenesis in the first cardiomyocytes formed from isolated quail precardiac mesoderm. Dev. Biol. 2003, 257, 382–394. [Google Scholar] [CrossRef]
- Gaughan, J.P.; Hefner, C.A.; Houser, S.R. Electrophysiological properties of neonatal rat ventricular myocytes with α1-adrenergic-induced hypertrophy. Am. J. Physiol. Heart Circ. Physiol. 1998, 275, H577–H590. [Google Scholar] [CrossRef]
- Kuo, I.Y.; Ehrlich, B.E. Signaling in muscle contraction. Cold Spring Harb. Perspect. Biol. 2015, 7, a006023. [Google Scholar] [CrossRef] [PubMed]
- Constantin, B.; Cognard, C.; Raymond, G. Myoblast fusion is not a prerequisite for the appearance of calcium current, calcium release, and contraction in rat skeletal muscle cells developing in culture. Exp. Cell Res. 1995, 217, 497–505. [Google Scholar] [CrossRef]
- Eisenberg, C.A.; Gourdie, R.G.; Eisenberg, L.M. Wnt-11 is expressed in early avian mesoderm and required for the differentiation of the quail mesoderm cell line QCE-6. Development 1997, 124, 525–536. [Google Scholar] [CrossRef]
- Eisenberg, C.A.; Eisenberg, L.M. WNT11 promotes cardiac tissue formation of early mesoderm. Dev. Dyn. 1999, 216, 45–58. [Google Scholar] [CrossRef]
- Clause, K.C.; Tinney, J.P.; Liu, L.J.; Gharaibeh, B.; Huard, J.; Kirk, J.A.; Shroff, S.G.; Fujimoto, K.L.; Wagner, W.R.; Ralphe, J.C. A Three-Dimensional Gel Bioreactor for Assessment of Cardiomyocyte Induction in Skeletal Muscle–Derived Stem Cells. Tissue Eng. Part C Methods 2010, 16, 375–385. [Google Scholar] [CrossRef] [PubMed]
- Gharaibeh, B.; Lu, A.; Tebbets, J.; Zheng, B.; Feduska, J.; Crisan, M.; Péault, B.; Cummins, J.; Huard, J. Isolation of a slowly adhering cell fraction containing stem cells from murine skeletal muscle by the preplate technique. Nat. Protoc. 2008, 3, 1501–1509. [Google Scholar] [CrossRef] [PubMed]
- Neef, K.; Treskes, P.; Xu, G.; Drey, F.; Srinivasan, S.P.; Saric, T.; Nembo, E.; Semmler, J.; Nguemo, F.; Stamm, C. Dynamic Support Culture of Murine Skeletal Muscle-Derived Stem Cells Improves Their Cardiogenic Potential In Vitro. Stem Cells Int. 2015, 2015, 247091. [Google Scholar] [CrossRef]
- Invernici, G.; Cristini, S.; Madeddu, P.; Brock, S.; Spillmann, F.; Bernasconi, P.; Cappelletti, C.; Calatozzolo, C.; Fascio, U.; Bisleri, G. Human adult skeletal muscle stem cells differentiate into cardiomyocyte phenotype in vitro. Exp. Cell Res. 2008, 314, 366–376. [Google Scholar] [CrossRef]
- Hatami, L.; Valojerdi, M.R.; Mowla, S.J. Effects of oxytocin on cardiomyocyte differentiation from mouse embryonic stem cells. Int. J. Cardiol. 2007, 117, 80–89. [Google Scholar] [CrossRef]
- White, S.M.; Constantin, P.E.; Claycomb, W.C. Cardiac physiology at the cellular level: Use of cultured HL-1 cardiomyocytes for studies of cardiac muscle cell structure and function. Am. J. Physiol. Heart Circ. Physiol. 2004, 286, H823–H829. [Google Scholar] [CrossRef]
- Natarajan, A.R.; Rong, Q.; Katchman, A.N.; Ebert, S.N. Intrinsic cardiac catecholamines help maintain beating activity in neonatal rat cardiomyocyte cultures. Pediatr. Res. 2004, 56, 411–417. [Google Scholar] [CrossRef]
- Li, J.; Stouffs, M.; Serrander, L.; Banfi, B.; Bettiol, E.; Charnay, Y.; Steger, K.; Krause, K.-H.; Jaconi, M.E. The NADPH oxidase NOX4 drives cardiac differentiation: Role in regulating cardiac transcription factors and MAP kinase activation. Mol. Biol. Cell 2006, 17, 3978–3988. [Google Scholar] [CrossRef]
- Guo, S.; Okyere, A.D.; McEachern, E.; Strong, J.L.; Carter, R.L.; Patwa, V.C.; Thomas, T.P.; Landy, M.; Song, J.; Lucchese, A.M. Epidermal growth factor receptor-dependent maintenance of cardiac contractility. Cardiovasc. Res. 2022, 118, 1276–1288. [Google Scholar] [CrossRef] [PubMed]
- Tenin, G.; Clowes, C.; Wolton, K.; Krejci, E.; Wright, J.A.; Lovell, S.C.; Sedmera, D.; Hentges, K.E. Erbb2 is required for cardiac atrial electrical activity during development. PLoS ONE 2014, 9, e107041. [Google Scholar] [CrossRef] [PubMed]
- Sanchez-Soria, P.; Camenisch, T.D. ErbB signaling in cardiac development and disease. Semin. Cell Dev. Biol. 2010, 21, 929–935. [Google Scholar] [CrossRef]
- Ebner, R.; Derynck, R. Epidermal growth factor and transforming growth factor-alpha: Differential intracellular routing and processing of ligand-receptor complexes. Cell Regul. 1991, 2, 599–612. [Google Scholar] [CrossRef] [PubMed]
- Forough, R.; Scarcello, C.; Perkins, M. Cardiac biomarkers: A focus on cardiac regeneration. J. Tehran Heart Cent. 2011, 6, 179–186. [Google Scholar]
- Clément, S.; Stouffs, M.; Bettiol, E.; Kampf, S.; Krause, K.-H.; Chaponnier, C.; Jaconi, M. Expression and function of α-smooth muscle actin during embryonic-stem-cell-derived cardiomyocyte differentiation. J. Cell Sci. 2007, 120, 229–238. [Google Scholar] [CrossRef]
- Ozerdem, U.; Grako, K.A.; Dahlin-Huppe, K.; Monosov, E.; Stallcup, W.B. NG2 proteoglycan is expressed exclusively by mural cells during vascular morphogenesis. Dev. Dyn. 2001, 222, 218–227. [Google Scholar] [CrossRef]
- Valente, M.; Nascimento, D.S.; Cumano, A.; Pinto-Do-Ó, P. Sca-1+ cardiac progenitor cells and heart-making: A critical synopsis. Stem Cells Dev. 2014, 23, 2263–2273. [Google Scholar] [CrossRef]
- Israeli-Rosenberg, S.; Manso, A.M.; Okada, H.; Ross, R.S. Integrins and integrin-associated proteins in the cardiac myocyte. Circ. Res. 2014, 114, 572–586. [Google Scholar] [CrossRef]
- Rémond, M.C.; Iaffaldano, G.; O’Quinn, M.P.; Mezentseva, N.V.; Garcia, V.; Harris, B.S.; Gourdie, R.G.; Eisenberg, C.A.; Eisenberg, L.M. GATA6 reporter gene reveals myocardial phenotypic heterogeneity that is related to variations in gap junction coupling. Am. J. Physiol. Heart Circ. Physiol. 2011, 301, H1952–H1964. [Google Scholar] [CrossRef] [PubMed]
- Danoviz, M.E.; Yablonka-Reuveni, Z. Skeletal muscle satellite cells: Background and methods for isolation and analysis in a primary culture system. Methods Mol. Biol. 2012, 798, 21–52. [Google Scholar] [CrossRef] [PubMed]
- Messina, E.; De Angelis, L.; Frati, G.; Morrone, S.; Chimenti, S.; Fiordaliso, F.; Salio, M.; Battaglia, M.; Latronico, M.V.; Coletta, M. Isolation and expansion of adult cardiac stem cells from human and murine heart. Circ. Res. 2004, 95, 911–921. [Google Scholar] [CrossRef] [PubMed]
- Sugi, Y.; Markwald, R.R. Formation and early morphogenesis of endocardial endothelial precursor cells and the role of endoderm. Dev. Biol. 1996, 175, 66–83. [Google Scholar] [CrossRef]
- Eisenberg, C.A.; Bader, D. QCE-6: A clonal cell line with cardiac myogenic and endothelial cell potentials. Dev. Biol. 1995, 167, 469–481. [Google Scholar] [CrossRef]
- Kaur, K.; Yang, J.; Eisenberg, C.A.; Eisenberg, L.M. 5-azacytidine promotes the transdifferentiation of cardiac cells to skeletal myocytes. Cell Reprogram 2014, 16, 324–330. [Google Scholar] [CrossRef]
- Winitsky, S.O.; Gopal, T.V.; Hassanzadeh, S.; Takahashi, H.; Gryder, D.; Rogawski, M.A.; Takeda, K.; Yu, Z.X.; Xu, Y.H.; Epstein, N.D. Adult murine skeletal muscle contains cells that can differentiate into beating cardiomyocytes in vitro. PLoS Biol. 2005, 3, e87. [Google Scholar] [CrossRef]








Disclaimer/Publisher’s Note: The statements, opinions and data contained in all publications are solely those of the individual author(s) and contributor(s) and not of MDPI and/or the editor(s). MDPI and/or the editor(s) disclaim responsibility for any injury to people or property resulting from any ideas, methods, instructions or products referred to in the content. |
© 2025 by the authors. Licensee MDPI, Basel, Switzerland. This article is an open access article distributed under the terms and conditions of the Creative Commons Attribution (CC BY) license (https://creativecommons.org/licenses/by/4.0/).
Share and Cite
Eisenberg, L.M.; Eisenberg, C.A. Stem Cells Associated with Adult Skeletal Muscle Can Form Beating Cardiac Tissue In Vitro in Response to Media Containing Heparin, Dexamethasone, Growth Factors and Hydrogen Peroxide. Int. J. Mol. Sci. 2025, 26, 2683. https://doi.org/10.3390/ijms26062683
Eisenberg LM, Eisenberg CA. Stem Cells Associated with Adult Skeletal Muscle Can Form Beating Cardiac Tissue In Vitro in Response to Media Containing Heparin, Dexamethasone, Growth Factors and Hydrogen Peroxide. International Journal of Molecular Sciences. 2025; 26(6):2683. https://doi.org/10.3390/ijms26062683
Chicago/Turabian StyleEisenberg, Leonard M., and Carol A. Eisenberg. 2025. "Stem Cells Associated with Adult Skeletal Muscle Can Form Beating Cardiac Tissue In Vitro in Response to Media Containing Heparin, Dexamethasone, Growth Factors and Hydrogen Peroxide" International Journal of Molecular Sciences 26, no. 6: 2683. https://doi.org/10.3390/ijms26062683
APA StyleEisenberg, L. M., & Eisenberg, C. A. (2025). Stem Cells Associated with Adult Skeletal Muscle Can Form Beating Cardiac Tissue In Vitro in Response to Media Containing Heparin, Dexamethasone, Growth Factors and Hydrogen Peroxide. International Journal of Molecular Sciences, 26(6), 2683. https://doi.org/10.3390/ijms26062683

