Mutations in Filamin C Associated with Both Alleles Do Not Affect the Functioning of Mice Cardiac Muscles
Abstract
1. Introduction
2. Results
2.1. Two Mutant Mouse Strains Were Generated
2.2. Homozygous FlncGA/GA Embryos Do Not Survive Beyond E11.5–E12.5
2.3. Mutant mRNA Presence in Muscle Tissue Is Reduced in Heterozygous Mice, but Not in FlncAGA/wt Hearts
2.4. Indicators of Grip Strength and Endurance of Mice with Genotypes Flncwt/AGA, Flncwt/GA, and FlncAGA/GA Distinguish from Wild-Type Animals
2.5. Protein Alterations Do Not Impair Heart Function
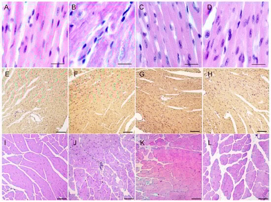
2.6. Myocardium and Skeletal Muscle Histological Sections of Flncwt/GA, Flncwt/AGA and FlncAGA/GA Mice Do Not Exhibit Pathological Features Characteristic of Myopathy
2.7. Computational Prediction of Mutant Proteins Structure
3. Discussion
4. Materials and Methods
4.1. Animals
4.1.1. Animal Housing
4.1.2. Transgenic Animals’ Generation
4.2. Genetic Construct Production
4.3. Genotyping
4.3.1. F0 Genotyping
4.3.2. F1 and Further Generations Genotyping
4.4. Expression Analysis (qPCR)
4.5. Physiology Test Performing
4.5.1. Endurance Test
4.5.2. Grip Strength Test
4.6. Heart Function
4.6.1. Electrocardiography
4.6.2. Echocardiography
4.7. Tissue Preparation and Histology
4.8. Embryo Dissections for Macroscopic and Histology Analysis
4.9. Statistical Analysis
5. Conclusions
Supplementary Materials
Author Contributions
Funding
Institutional Review Board Statement
Informed Consent Statement
Data Availability Statement
Conflicts of Interest
References
- Fujita, M.; Mitsuhashi, H.; Isogai, S.; Nakata, T.; Kawakami, A.; Nonaka, I.; Noguchi, S.; Hayashi, Y.K.; Nishino, I.; Kudo, A. Filamin C plays an essential role in the maintenance of the structural integrity of cardiac and skeletal muscles, revealed by the medaka mutant zacro. Dev. Biol. 2012, 361, 79–89. [Google Scholar] [CrossRef] [PubMed]
- Leber, Y.; Ruparelia, A.A.; Kirfel, G.; van der Ven, P.F.; Hoffmann, B.; Merkel, R.; Bryson-Richardson, R.J.; Fürst, D.O. Filamin C is a highly dynamic protein associated with fast repair of myofibrillar microdamage. Hum. Mol. Genet. 2016, 25, 2776–2788. [Google Scholar] [CrossRef] [PubMed]
- Lu, J.; Lian, G.; Lenkinski, R.; De Grand, A.; Vaid, R.R.; Bryce, T.; Stasenko, M.; Boskey, A.; Walsh, C.; Sheen, V. Filamin B mutations cause chondrocyte defects in skeletal development. Hum. Mol. Genet. 2007, 16, 1661–1675. [Google Scholar] [CrossRef] [PubMed]
- Nakamura, F.; Stossel, T.P.; Hartwig, J.H. The filamins: Organizers of cell structure and function. Cell Adhes. Migr. 2011, 5, 160–169. [Google Scholar] [CrossRef]
- Verdonschot, J.A.J.; Vanhoutte, E.K.; Claes, G.R.F.; Helderman-van den Enden, A.; Hoeijmakers, J.G.J.; Hellebrekers, D.; de Haan, A.; Christiaans, I.; Lekanne Deprez, R.H.; Boen, H.M.; et al. A mutation update for the FLNC gene in myopathies and cardiomyopathies. Hum. Mutat. 2020, 41, 1091–1111. [Google Scholar] [CrossRef]
- Zhang, M.; Liu, J.; Cheng, A.; Deyoung, S.M.; Saltiel, A.R. Identification of CAP as a costameric protein that interacts with filamin C. Mol. Biol. Cell 2007, 18, 4731–4740. [Google Scholar] [CrossRef] [PubMed]
- Anastasi, G.; Cutroneo, G.; Trimarchi, F.; Santoro, G.; Bruschetta, D.; Bramanti, P.; Pisani, A.; Favaloro, A. Evaluation of sarcoglycans, vinculin-talin-integrin system and filamin2 in alpha- and gamma-sarcoglycanopathy: An immunohistochemical study. Int. J. Mol. Med. 2004, 14, 989–999. [Google Scholar] [PubMed]
- Fürst, D.O.; Goldfarb, L.G.; Kley, R.A.; Vorgerd, M.; Olivé, M.; van der Ven, P.F. Filamin C-related myopathies: Pathology and mechanisms. Acta Neuropathol. 2013, 125, 33–46. [Google Scholar] [CrossRef]
- Takada, F.; Vander Woude, D.L.; Tong, H.Q.; Thompson, T.G.; Watkins, S.C.; Kunkel, L.M.; Beggs, A.H. Myozenin: An alpha-actinin- and gamma-filamin-binding protein of skeletal muscle Z lines. Proc. Natl. Acad. Sci. USA 2001, 98, 1595–1600. [Google Scholar] [CrossRef] [PubMed]
- Molt, S.; Bührdel, J.B.; Yakovlev, S.; Schein, P.; Orfanos, Z.; Kirfel, G.; Winter, L.; Wiche, G.; van der Ven, P.F.; Rottbauer, W.; et al. Aciculin interacts with filamin C and Xin and is essential for myofibril assembly, remodeling and maintenance. J. Cell Sci. 2014, 127, 3578–3592. [Google Scholar] [CrossRef] [PubMed]
- van der Flier, A.; Sonnenberg, A. Structural and functional aspects of filamins. Biochim. Biophys. Acta 2001, 1538, 99–117. [Google Scholar] [CrossRef] [PubMed]
- Baldassarre, M.; Razinia, Z.; Burande, C.F.; Lamsoul, I.; Lutz, P.G.; Calderwood, D.A. Filamins regulate cell spreading and initiation of cell migration. PLoS ONE 2009, 4, e7830. [Google Scholar] [CrossRef] [PubMed]
- Mao, Z.; Nakamura, F. Structure and Function of Filamin C in the Muscle Z-Disc. Int. J. Mol. Sci. 2020, 21, 2696. [Google Scholar] [CrossRef] [PubMed]
- Ortiz-Genga, M.F.; Cuenca, S.; Dal Ferro, M.; Zorio, E.; Salgado-Aranda, R.; Climent, V.; Padrón-Barthe, L.; Duro-Aguado, I.; Jiménez-Jáimez, J.; Hidalgo-Olivares, V.M.; et al. Truncating FLNC Mutations Are Associated With High-Risk Dilated and Arrhythmogenic Cardiomyopathies. J. Am. Coll. Cardiol. 2016, 68, 2440–2451. [Google Scholar] [CrossRef] [PubMed]
- van der Flier, A.; Kuikman, I.; Kramer, D.; Geerts, D.; Kreft, M.; Takafuta, T.; Shapiro, S.S.; Sonnenberg, A. Different splice variants of filamin-B affect myogenesis, subcellular distribution, and determine binding to integrin [beta] subunits. J. Cell Biol. 2002, 156, 361–376. [Google Scholar] [CrossRef]
- Rehfeldt, K.H.; Gregory, W.J.M.; Nuttall, A.; Oliver, W.C. Perioperative Transesophageal Echocardiography; Reich, D.L., Fischer, G.W., Eds.; Saunders: Philadelphia, PA, USA, 2014. [Google Scholar]
- Brieler, J.; Breeden, M.A.; Tucker, J. Cardiomyopathy: An Overview. Am. Fam. Physician 2017, 96, 640–646. [Google Scholar]
- Ader, F.; De Groote, P.; Réant, P.; Rooryck-Thambo, C.; Dupin-Deguine, D.; Rambaud, C.; Khraiche, D.; Perret, C.; Pruny, J.F.; Mathieu-Dramard, M.; et al. FLNC pathogenic variants in patients with cardiomyopathies: Prevalence and genotype-phenotype correlations. Clin. Genet. 2019, 96, 317–329. [Google Scholar] [CrossRef]
- Begay, R.L.; Graw, S.L.; Sinagra, G.; Asimaki, A.; Rowland, T.J.; Slavov, D.B.; Gowan, K.; Jones, K.L.; Brun, F.; Merlo, M.; et al. Filamin C Truncation Mutations Are Associated With Arrhythmogenic Dilated Cardiomyopathy and Changes in the Cell-Cell Adhesion Structures. JACC Clin. Electrophysiol. 2018, 4, 504–514. [Google Scholar] [CrossRef]
- Janin, A.; N’Guyen, K.; Habib, G.; Dauphin, C.; Chanavat, V.; Bouvagnet, P.; Eschalier, R.; Streichenberger, N.; Chevalier, P.; Millat, G. Truncating mutations on myofibrillar myopathies causing genes as prevalent molecular explanations on patients with dilated cardiomyopathy. Clin. Genet. 2017, 92, 616–623. [Google Scholar] [CrossRef]
- Elliott, P.; Andersson, B.; Arbustini, E.; Bilinska, Z.; Cecchi, F.; Charron, P.; Dubourg, O.; Kühl, U.; Maisch, B.; McKenna, W.J.; et al. Classification of the cardiomyopathies: A position statement from the European Society Of Cardiology Working Group on Myocardial and Pericardial Diseases. Eur. Heart J. 2008, 29, 270–276. [Google Scholar] [CrossRef]
- Maron, B.J.; Towbin, J.A.; Thiene, G.; Antzelevitch, C.; Corrado, D.; Arnett, D.; Moss, A.J.; Seidman, C.E.; Young, J.B. Contemporary definitions and classification of the cardiomyopathies: An American Heart Association Scientific Statement from the Council on Clinical Cardiology, Heart Failure and Transplantation Committee; Quality of Care and Outcomes Research and Functional Genomics and Translational Biology Interdisciplinary Working Groups; and Council on Epidemiology and Prevention. Circulation 2006, 113, 1807–1816. [Google Scholar] [CrossRef] [PubMed]
- Cui, H.; Wang, J.; Zhang, C.; Wu, G.; Zhu, C.; Tang, B.; Zou, Y.; Huang, X.; Hui, R.; Song, L.; et al. Mutation profile of FLNC gene and its prognostic relevance in patients with hypertrophic cardiomyopathy. Mol. Genet. Genom. Med. 2018, 6, 1104–1113. [Google Scholar] [CrossRef] [PubMed]
- Gómez, J.; Lorca, R.; Reguero, J.R.; Morís, C.; Martín, M.; Tranche, S.; Alonso, B.; Iglesias, S.; Alvarez, V.; Díaz-Molina, B.; et al. Screening of the Filamin C Gene in a Large Cohort of Hypertrophic Cardiomyopathy Patients. Circ. Cardiovasc. Genet. 2017, 10, e001584. [Google Scholar] [CrossRef] [PubMed]
- Valdés-Mas, R.; Gutiérrez-Fernández, A.; Gómez, J.; Coto, E.; Astudillo, A.; Puente, D.A.; Reguero, J.R.; Álvarez, V.; Morís, C.; León, D.; et al. Mutations in filamin C cause a new form of familial hypertrophic cardiomyopathy. Nat. Commun. 2014, 5, 5326. [Google Scholar] [CrossRef]
- Dalkilic, I.; Schienda, J.; Thompson, T.G.; Kunkel, L.M. Loss of FilaminC (FLNc) results in severe defects in myogenesis and myotube structure. Mol. Cell. Biol. 2006, 26, 6522–6534. [Google Scholar] [CrossRef] [PubMed]
- Chevessier, F.; Schuld, J.; Orfanos, Z.; Plank, A.C.; Wolf, L.; Maerkens, A.; Unger, A.; Schlötzer-Schrehardt, U.; Kley, R.A.; Von Hörsten, S.; et al. Myofibrillar instability exacerbated by acute exercise in filaminopathy. Hum. Mol. Genet. 2015, 24, 7207–7220. [Google Scholar] [CrossRef] [PubMed]
- Schuld, J.; Orfanos, Z.; Chevessier, F.; Eggers, B.; Heil, L.; Uszkoreit, J.; Unger, A.; Kirfel, G.; van der Ven, P.F.M.; Marcus, K.; et al. Homozygous expression of the myofibrillar myopathy-associated p.W2710X filamin C variant reveals major pathomechanisms of sarcomeric lesion formation. Acta Neuropathol. Commun. 2020, 8, 154. [Google Scholar] [CrossRef]
- Theiler, K. The House Mouse: Atlas of Embryonic Development; Springer: Berlin/Heidelberg, Germany, 1989. [Google Scholar] [CrossRef]
- Brodehl, A.; Ferrier, R.A.; Hamilton, S.J.; Greenway, S.C.; Brundler, M.A.; Yu, W.; Gibson, W.T.; McKinnon, M.L.; McGillivray, B.; Alvarez, N.; et al. Mutations in FLNC are Associated with Familial Restrictive Cardiomyopathy. Hum. Mutat. 2016, 37, 269–279. [Google Scholar] [CrossRef] [PubMed]
- Ohiri, J.C.; Dellefave-Castillo, L.; Tomar, G.; Wilsbacher, L.; Choudhury, L.; Barefield, D.Y.; Fullenkamp, D.; Gacita, A.M.; Monroe, T.O.; Pesce, L.; et al. Reduction of Filamin C Results in Altered Proteostasis, Cardiomyopathy, and Arrhythmias. J. Am. Heart Assoc. 2024, 13, e030467. [Google Scholar] [CrossRef]
- Shatunov, A.; Olivé, M.; Odgerel, Z.; Stadelmann-Nessler, C.; Irlbacher, K.; van Landeghem, F.; Bayarsaikhan, M.; Lee, H.S.; Goudeau, B.; Chinnery, P.F.; et al. In-frame deletion in the seventh immunoglobulin-like repeat of filamin C in a family with myofibrillar myopathy. Eur. J. Hum. Genet. 2009, 17, 656–663. [Google Scholar] [CrossRef] [PubMed]
- Wu, T.; Xu, Y.; Zhang, L.; Liang, Z.; Zhou, X.; Evans, S.M.; Chen, J. Filamin C is Essential for mammalian myocardial integrity. PLoS Genet. 2023, 19, e1010630. [Google Scholar] [CrossRef] [PubMed]
- Zhou, Y.; Chen, Z.; Zhang, L.; Zhu, M.; Tan, C.; Zhou, X.; Evans, S.M.; Fang, X.; Feng, W.; Chen, J. Loss of Filamin C Is Catastrophic for Heart Function. Circulation 2020, 141, 869–871. [Google Scholar] [CrossRef] [PubMed]
- Savolainen, S.M.; Foley, J.F.; Elmore, S.A. Histology atlas of the developing mouse heart with emphasis on E11.5 to E18.5. Toxicol. Pathol. 2009, 37, 395–414. [Google Scholar] [CrossRef] [PubMed]
- Kokot, T.; Zimmermann, J.P.; Schwäble, A.N.; Reimann, L.; Herr, A.L.; Höfflin, N.; Köhn, M.; Warscheid, B. Protein phosphatase-1 regulates the binding of filamin C to FILIP1 in cultured skeletal muscle cells under mechanical stress. Sci. Rep. 2024, 14, 27348. [Google Scholar] [CrossRef] [PubMed]
- Zhou, X.; Fang, X.; Ithychanda, S.S.; Wu, T.; Gu, Y.; Chen, C.; Wang, L.; Bogomolovas, J.; Qin, J.; Chen, J. Interaction of Filamin C With Actin Is Essential for Cardiac Development and Function. Circ. Res. 2023, 133, 400–411. [Google Scholar] [CrossRef]
- Kalinina, A.A.; Ziganshin, R.K.; Silaeva, Y.Y.; Sharova, N.I.; Nikonova, M.F.; Persiyantseva, N.A.; Gorkova, T.G.; Antoshina, E.E.; Trukhanova, L.S.; Donetskova, A.D.; et al. Physiological and Functional Effects of Dominant Active TCRα Expression in Transgenic Mice. Int. J. Mol. Sci. 2023, 24, 6527. [Google Scholar] [CrossRef] [PubMed]
- Balatskiy, A.V.; Nesterenko, A.M.; Lanin, A.A.; Ovechkina, V.S.; Sabinin, S.S.; Fetisova, E.S.; Moshchenko, A.A.; Jappy, D.; Sokolov, R.A.; Biglova, D.Z.; et al. Thermogenetics for cardiac pacing. bioRxiv 2024. [Google Scholar] [CrossRef]
- Pham, T.; Lau, Z.J.; Chen, S.H.A.; Makowski, D. Heart Rate Variability in Psychology: A Review of HRV Indices and an Analysis Tutorial. Sensors 2021, 21, 3998. [Google Scholar] [CrossRef] [PubMed]
- Zacchigna, S.; Paldino, A.; Falcão-Pires, I.; Daskalopoulos, E.P.; Dal Ferro, M.; Vodret, S.; Lesizza, P.; Cannatà, A.; Miranda-Silva, D.; Lourenço, A.P.; et al. Towards standardization of echocardiography for the evaluation of left ventricular function in adult rodents: A position paper of the ESC Working Group on Myocardial Function. Cardiovasc. Res. 2021, 117, 43–59. [Google Scholar] [CrossRef]
- Gage, G.J.; Kipke, D.R.; Shain, W. Whole animal perfusion fixation for rodents. J. Vis. Exp. 2012, 65, e3564. [Google Scholar] [CrossRef]
- Mirdita, M.; Schütze, K.; Moriwaki, Y.; Heo, L.; Ovchinnikov, S.; Steinegger, M. ColabFold: Making protein folding accessible to all. Nat. Methods 2022, 19, 679–682. [Google Scholar] [CrossRef] [PubMed]
- Waterhouse, A.M.; Procter, J.B.; Martin, D.M.A.; Clamp, M.; Barton, G.J. Jalview Version 2—A multiple sequence alignment editor and analysis workbench. Bioinformatics 2009, 25, 1189–1191. [Google Scholar] [CrossRef] [PubMed]
- Melnik, O.V.; Knyazeva, A.A.; Poluboyarinova, O.Y.; Vakhrushev, Y.A.; Fomisheva, Y.V.; Sitnikova, M.Y.; Simonenko, M.A.; Vershinina, T.L.; Kozyreva, A.A.; Polyakova, A.A.; et al. Clinical and morphological characteristics of restrictive cardiomyopathy associated with mutations in the filamin c gene. Transl. Med. 2018, 5, 15–22. (In Russian) [Google Scholar] [CrossRef][Green Version]










| (a) Flncwt/GA × Flncwt/GA | |||||
| Flncwt/wt | Flncwt/GA | FlncGA/GA | Total | ||
| Observed * | 32 (28.57%) | 80 (71.43%) | 0 (0%) | 112 | |
| Expected | 28 (25%) | 56 (50%) | 28 (25%) | 112 | |
| (b) Flncwt/AGA × Flncwt/AGA | |||||
| Flncwt/wt | Flncwt/AGA | FlncAGA/AGA | Total | ||
| Observed * | 29 (51.79%) | 27 (48.21%) | 0 (0%) | 56 | |
| Expected | 14 (25%) | 28 (50%) | 14 (25%) | 56 | |
| (c) Flncwt/AGA × Flncwt/GA | |||||
| Flncwt/wt | Flncwt/GA | Flncwt/AGA | FlncGA/AGA | Total | |
| Observed | 18 (26.09%) | 18 (26.09%) | 15 (21.74%) | 18 (26.09%) | 69 |
| Expected | 17.25 (25%) | 17.25 (25%) | 17.25 (25%) | 17.25 (25%) | 69 |
| Type of Mice | WT 1 | WT 2 | WT 3 | WT 4 | FlncGA/AGA 1 | FlncGA/AGA 2 | FlncGA/AGA 3 | FlncGA/AGA 4 |
|---|---|---|---|---|---|---|---|---|
| Age | 40 days | 40 days | 30 days | 30 days | 36 days | 36 days | 32 days | 32 days |
| Sex | female | male | male | male | male | female | male | male |
| MeanRR | 197.48 | 196.38 | 162.54 | 160.50 | 197.11 | 180.67 | 156.28 | 155.60 |
| SDNN | 4.29 | 23.04 | 1.66 | 2.72 | 10.23 | 3.00 | 7.28 | 3.34 |
| RMSSD | 3.29 | 2.41 | 0.90 | 0.39 | 2.67 | 0.74 | 2.68 | 1.12 |
| SDSD | 3.29 | 2.42 | 0.90 | 0.39 | 2.67 | 0.74 | 2.68 | 1.12 |
| CVNN | 0.02 | 0.12 | 0.01 | 0.02 | 0.05 | 0.02 | 0.05 | 0.02 |
| CVSD | 0.02 | 0.01 | 0.01 | 0.002 | 0.01 | 0.004 | 0.02 | 0.01 |
| MedianNN | 197.8 | 182.8 | 162.6 | 161.6 | 201.4 | 181 | 157.8 | 155 |
| Type of Mice | WT | GA/AGA |
|---|---|---|
| LVPWs, mm | 1.4 ± 0.1 | 1.4 ±0.1 |
| LVPWd, mm | 0.56 ± 0.05 | 0.7 ± 0.17 |
| LVIDs, mm | 1.5 ± 0.15 | 1.8 ± 0.25 |
| LVIDd, mm | 2.73 ± 0.4 | 2.83 ± 0.45 |
| FS, % | 45.01 ± 9.02 | 40.15 ± 4.59 |
| EF, % | 77.43 ± 9.56 | 72.29 ± 4.95 |
Disclaimer/Publisher’s Note: The statements, opinions and data contained in all publications are solely those of the individual author(s) and contributor(s) and not of MDPI and/or the editor(s). MDPI and/or the editor(s) disclaim responsibility for any injury to people or property resulting from any ideas, methods, instructions or products referred to in the content. |
© 2025 by the authors. Licensee MDPI, Basel, Switzerland. This article is an open access article distributed under the terms and conditions of the Creative Commons Attribution (CC BY) license (https://creativecommons.org/licenses/by/4.0/).
Share and Cite
Ilchuk, L.A.; Kochegarova, K.K.; Baikova, I.P.; Safonova, P.D.; Bruter, A.V.; Kubekina, M.V.; Okulova, Y.D.; Minkovskaya, T.E.; Kuznetsova, N.A.; Dolmatova, D.M.; et al. Mutations in Filamin C Associated with Both Alleles Do Not Affect the Functioning of Mice Cardiac Muscles. Int. J. Mol. Sci. 2025, 26, 1409. https://doi.org/10.3390/ijms26041409
Ilchuk LA, Kochegarova KK, Baikova IP, Safonova PD, Bruter AV, Kubekina MV, Okulova YD, Minkovskaya TE, Kuznetsova NA, Dolmatova DM, et al. Mutations in Filamin C Associated with Both Alleles Do Not Affect the Functioning of Mice Cardiac Muscles. International Journal of Molecular Sciences. 2025; 26(4):1409. https://doi.org/10.3390/ijms26041409
Chicago/Turabian StyleIlchuk, Leonid A., Ksenia K. Kochegarova, Iuliia P. Baikova, Polina D. Safonova, Alexandra V. Bruter, Marina V. Kubekina, Yulia D. Okulova, Tatiana E. Minkovskaya, Nadezhda A. Kuznetsova, Daria M. Dolmatova, and et al. 2025. "Mutations in Filamin C Associated with Both Alleles Do Not Affect the Functioning of Mice Cardiac Muscles" International Journal of Molecular Sciences 26, no. 4: 1409. https://doi.org/10.3390/ijms26041409
APA StyleIlchuk, L. A., Kochegarova, K. K., Baikova, I. P., Safonova, P. D., Bruter, A. V., Kubekina, M. V., Okulova, Y. D., Minkovskaya, T. E., Kuznetsova, N. A., Dolmatova, D. M., Ryabinina, A. Y., Mozhaev, A. A., Belousov, V. V., Ershov, B. P., Timashev, P. S., Filatov, M. A., & Silaeva, Y. Y. (2025). Mutations in Filamin C Associated with Both Alleles Do Not Affect the Functioning of Mice Cardiac Muscles. International Journal of Molecular Sciences, 26(4), 1409. https://doi.org/10.3390/ijms26041409

