Involvement of the SIX10 Gene in the Pathogenicity of Fusarium oxysporum Formae Speciales in Strawberries
Abstract
1. Introduction
2. Results
2.1. Isolation and Identification of Pathogenic Fusarium oxysporum
2.2. Fusarium oxysporum f. sp. fragariae Is Partially Responsible for the Pathogen Population
2.3. Growth, Sporulation, and Germination Abilities of Fo and Fof at Different Temperatures
2.4. Pathogenicity of Fo and Fof
2.5. SIX Homologous Gene Evolutionary Tree Analysis
2.6. Deletion of Fof16180 in Fof
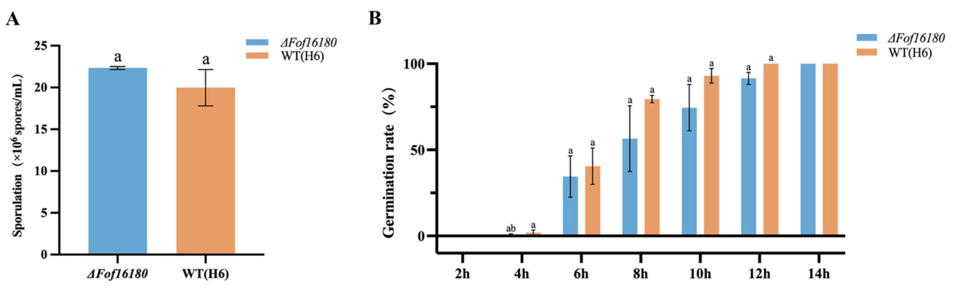
2.7. Growth, Spore Production, and Spore Germination of ΔFof16180
2.8. Effect of Abiotic Stress on ΔFof16180
2.9. Effect of ΔFof16180 on Pathogenicity
3. Discussion
4. Materials and Methods
4.1. Media
4.2. Isolates, Molecular Identification, and Phylogenetic Analysis of F. oxysporum
4.3. Identification of F. oxysporum f. sp. fragariae
4.4. Growth, Spore Production, and Spore Germination of Pathogens
4.5. Pathogenicity Assays of Different Specialized Types of F. oxysporum
4.6. Construction of Fof16180 Deletion Mutants
4.7. PEG-Mediated Fof Protoplast Transformation
4.8. Effect of Abiotic Stress on Deletion Mutants
4.9. Pathogenicity Assays for Deletion Mutants
4.10. Statistical Analysis of Data
Author Contributions
Funding
Institutional Review Board Statement
Informed Consent Statement
Data Availability Statement
Acknowledgments
Conflicts of Interest
References
- Barbey, C.R.; Lee, S.; Verma, S.; Bird, K.A.; Yocca, A.E.; Edger, P.P.; Knapp, S.J.; Whitaker, V.M.; Folta, K.M. Disease resistance genetics and genomics in octoploid strawberry. G3 2019, 9, 3315–3332. [Google Scholar] [CrossRef] [PubMed]
- Guo, J.; Yang, Z.; Karkee, M.; Jiang, Q.; Feng, X.; He, Y. Technology progress in mechanical harvest of fresh market strawberries. Comput. Electron. Agric. 2024, 226, 109468. [Google Scholar] [CrossRef]
- Wang, S.Y. Antioxidants and health benefits of strawberries. Acta Hortic. 2012, 1049, 49–62. [Google Scholar] [CrossRef]
- Aras, S.; Endes, A. Effect of Fusarium oxysporum infection on strawberry under calcium, iron, and zinc deficiency conditions. Zemdirbyste-Agriculture 2023, 110, 71–78. [Google Scholar] [CrossRef]
- Fang, X.; You, M.P.; Barbetti, M.J. Reduced severity and impact of Fusarium wilt on strawberry by manipulation of soil pH, soil organic amendments and crop rotation. Eur. J. Plant Pathol. 2012, 134, 619–629. [Google Scholar] [CrossRef]
- Kim, J.S.; Kang, N.J.; Kwak, Y.S.; Lee, C. Investigation of Genetic Diversity of Fusarium oxysporum f. sp. fragariae Using PCR-RFLP. Plant Pathol. 2017, 33, 140–147. [Google Scholar] [CrossRef]
- Zhang, M.; Kong, Z.; Fu, H.; Shu, X.; Xue, Q.; Lai, H.; Guo, Q. Rhizosphere microbial ecological characteristics of strawberry root rot. Front. Microbiol. 2023, 14, 1286740. [Google Scholar] [CrossRef]
- Yang, R.; Liu, P.; Ye, W.; Chen, Y.; Wei, D.; Qiao, C.; Zhou, B.; Xiao, J. Biological Control of Root Rot of Strawberry by Bacillus amyloliquefaciens Strains CMS5 and CMR12. J. Fungi 2024, 10, 410. [Google Scholar] [CrossRef]
- Hu, S.; Yan, C.; Yu, H.; Zhang, Y.; Zhang, C.Q. Establishment of the Recombinase Polymerase Amplification–Lateral Flow Dipstick Detection Technique for Fusarium oxysporum. Plant Dis. 2023, 107, 2665–2672. [Google Scholar] [CrossRef]
- Yang, D.; Zhang, X.; Ming, Y.; Liu, C.; Zhang, X.; Liu, S.; Zhu, L. Characterization of the High-Quality Genome Sequence and Virulence Factors of Fusarium oxysporum f. sp. vasinfectum Race 7. J. Fungi 2024, 10, 242. [Google Scholar] [CrossRef]
- Shipman, A.; Tian, M. Combined Use of Phenotype-Based and Genome-Informed Approaches Identified a Unique Fusarium oxysporum f. sp. cubense Isolate in Hawaii. Phytopathology 2024, 114, 1305–1319. [Google Scholar] [CrossRef] [PubMed]
- Hage-Ahmed, K.; Krammer, J.; Steinkellner, S. The intercropping partner affects arbuscular mycorrhizal fungi and Fusarium oxysporum f. sp. lycopersici interactions in tomato. Mycorrhiza 2013, 23, 543–550. [Google Scholar] [CrossRef] [PubMed]
- Lee, S.M.; Lee, W.J.; Jang, K.S.; Choi, Y.H.; Kim, H.; Choi, G.J. Resistance of Commercial Melon Cultivars to Isolates of Fusarium oxysporum f. sp. melonis. Hortic. Sci. Technol. 2018, 36, 577–584. [Google Scholar] [CrossRef]
- Rong, Z.; Ren, T.; Yue, J.; Zhou, W.; Liang, D.; Zhang, C. Characterization, Genome Sequencing, and Development of a Rapid PCR Identification Primer for Fusarium oxysporum f. sp. crocus, a new forma specialis Causing Saffron Corm Rot. Plants 2024, 13, 3166. [Google Scholar] [CrossRef]
- Pastrana, A.M.; Watson, D.C.; Gordon, T.R. Transmission of Fusarium oxysporum f. sp. fragariae Through Stolons in Strawberry Plants. Plant Dis. 2019, 103, 1249–1251. [Google Scholar] [CrossRef]
- Henry, P.M.; Haugland, M.; Lopez, L.; Munji, M.; Watson, D.C.; Gordon, T.R. The potential for Fusarium oxysporum f. sp. fragariae, cause of fusarium wilt of strawberry, to colonize organic matter in soil and persist through anaerobic soil disinfestation. Plant Pathol. 2020, 69, 1218–1226. [Google Scholar] [CrossRef]
- Matson, M.E.; Kane, S.M.; Crouch, U.T.; Zepada, S.K.; Martin, F.N. Development of a Large-Scale Soil DNA Extraction Method for Molecular Quantification of Fusarium oxysporum f. sp. fragariae in Soil. Phytopathology 2024, 114, 717–724. [Google Scholar] [CrossRef]
- Cho, G.; Kwak, Y.S. Genetic Variation of Strawberry Fusarium Wilt Pathogen Population in Korea. Mycobiology 2022, 50, 79–85. [Google Scholar] [CrossRef]
- Chae, D.H.; Kim, D.R.; Kwak, Y.S. Sensitivity Variation of Fusarium oxysporum f. sp. fragariae, Strawberry Wilt Pathogen against Biocontrol Agent. J. Agric. Life Sci. 2021, 55, 33–42. [Google Scholar] [CrossRef]
- Zhang, Y.; Yu, H.; Hu, M.; Wu, J.; Zhang, C. Fungal Pathogens Associated with Strawberry Crown Rot Disease in China. J. Fungi 2022, 8, 1161. [Google Scholar] [CrossRef]
- Jones, J.D.; Dangl, J.L. The plant immune system. Nature 2006, 444, 323–329. [Google Scholar] [CrossRef] [PubMed]
- Ma, L.J.; Van Der Does, H.C.; Borkovich, K.A.; Coleman, J.J.; Daboussi, M.J.; Di Pietro, A.; Dufresne, M.; Freitag, M.; Grabherr, M.; Henrissat, B.; et al. Comparative genomics reveals mobile pathogenicity chromosomes in Fusarium. Nature 2010, 464, 367–373. [Google Scholar] [CrossRef] [PubMed]
- Liu, Y.Q.; Liu, L.N.; Chen, Y.; Li, C.Y.; Yang, J. Dynamic Analysis of Interaction between Plant Pathogenic Fungus Effector Protein and Plants. Mol. Plant Breed. 2018, 16, 6678–6687. [Google Scholar] [CrossRef]
- Tintor, N.; Paauw, M.; Rep, M.; Takken, F.L. The root-invading pathogen Fusarium oxysporum targets pattern-triggered immunity using both cytoplasmic and apoplastic effectors. New Phytol. 2020, 227, 1479–1492. [Google Scholar] [CrossRef] [PubMed]
- Dilla-Ermita, C.J.; Goldman, P.; Anchieta, A.; Feldmann, M.J.; Pincot, D.D.; Famula, R.A.; Vachev, M.; Cole, G.S.; Knapp, S.J.; Klosterman, S.J.; et al. Secreted in xylem 6 (SIX6) mediates Fusarium oxysporum f. sp. fragariae race 1 avirulence on FW1-resistant strawberry cultivars. Mol. Plant-Microbe Interact. 2024, 37, 530–541. [Google Scholar] [CrossRef]
- Thatcher, L.F.; Gardiner, D.M.; Kazan, K.; Manners, J.M. A Highly Conserved Effector in Fusarium oxysporum Is Required for Full Virulence on Arabidopsis. Mol. Plant-Microbe Interact. 2012, 25, 180–190. [Google Scholar] [CrossRef]
- Poon, N.K.; Teo, C.H.; Othman, R.Y. Differential gene expression analysis of Secreted in Xylem (SIX) genes from Fusarium oxysporum f. sp. cubense tropical race 4 in Musa acuminata cv. Berangan and potential application for early detection of infection. J. Gen. Plant Pathol. 2020, 86, 13–23. [Google Scholar] [CrossRef]
- Gordon, T.R. Fusarium oxysporum and the Fusarium wilt syndrome. Annu. Rev. Phytopathol. 2017, 55, 23–39. [Google Scholar] [CrossRef]
- Ma, L.J.; Geiser, D.M.; Proctor, R.H.; Rooney, A.P.; O’Donnell, K.; Trail, F.; Gardiner, D.M.; Manners, J.M.; Kazan, K. Fusarium pathogenomics. Annu. Rev. Microbiol. 2013, 67, 399–416. [Google Scholar] [CrossRef]
- Michielse, C.B.; Rep, M. Pathogen profile update: Fusarium oxysporum. Mol. Plant Pathol. 2009, 10, 311–324. [Google Scholar] [CrossRef]
- Burkhardt, A.; Henry, P.M.; Koike, S.T.; Gordon, T.R.; Martin, F. Detection of Fusarium oxysporum f. sp. fragariae from Infected Strawberry Plants. Plant Dis. 2019, 103, 1006–1013. [Google Scholar] [CrossRef] [PubMed]
- Henry, P.M.; Pastrana, A.M.; Leveau, J.H.; Gordon, T.R. Persistence of Fusarium oxysporum f. sp. fragariae in Soil Through Asymptomatic Colonization of Rotation Crops. Phytopathology 2019, 109, 770–779. [Google Scholar] [CrossRef] [PubMed]
- Arroyo, F.T.; Llergo, Y.; Aguado, A.; Romero, F. First report of Fusarium wilt caused by Fusarium oxysporum on strawberry in Spain. Plant Dis. 2009, 93, 323. [Google Scholar] [CrossRef] [PubMed]
- Zhao, X.S.; Zhen, W.C.; Qi, Y.Z.; Liu, X.J.; Yin, B.Z. Coordinated effects of root autotoxic substances and Fusarium oxysporum Schl. f. sp. fragariae on the growth and replant disease of strawberry. Front. Agric. China 2009, 3, 34–39. [Google Scholar] [CrossRef]
- Li, J.; Fokkens, L.; Rep, M. A single gene in Fusarium oxysporum limits host range. Mol. Plant Pathol. 2021, 22, 108–116. [Google Scholar] [CrossRef]
- Jangir, P.; Mehra, N.; Sharma, K.; Singh, N.; Rani, M.; Kapoor, R. Secreted in Xylem Genes: Drivers of Host Adaptation in Fusarium oxysporum. Front. Plant Sci. 2021, 12, 628611. [Google Scholar] [CrossRef]
- Niu, X.W.; Zhao, X.Q.; Ling, K.S.; Levi, A.; Sun, Y.Y.; Fan, M. The FonSIX6 gene acts as an avirulence effector in the Fusarium oxysporum f. sp. Niveum—Watermelon pathosystem. Sci. Rep. 2016, 6, 28146. [Google Scholar] [CrossRef]
- de Lamo, F.J.; Constantin, M.E.; Fresno, D.H.; Boeren, S.; Rep, M.; Takken, F.L. Xylem Sap Proteomics Reveals Distinct Differences Between R Gene- and Endophyte-Mediated Resistance Against Fusarium Wilt Disease in Tomato. Front. Microbiol. 2018, 9, 2977. [Google Scholar] [CrossRef]
- Hu, J.R.; Li, J.M.; Wang, H.Y.; Sun, M.L.; Huang, C.Y.; Wang, H.C. Analysis of growth dynamics in five different media and metabolic phenotypic characteristics of Piriformospora indica. Front. Microbiol. 2024, 14, 1301743. [Google Scholar] [CrossRef]
- Cai, L.; Hyde, K.D.; Taylor, P.W.J.; Weir, B.; Waller, J.; Abang, M.M.; Zhang, J.Z.; Yang, Y.L.; Phoulivong, S.; Liu, Z.Y.; et al. A polyphasic approach for studying Colletotrichum. Fungal Divers. 2009, 39, 183–204. [Google Scholar]
- Phoulivong, S.; Cai, L.; Chen, H.; Mckenzie, E.H.C.; Abdelsalam, K.; Chukeatirote, E. Colletotrichum gloeosporioides is not a common pathogen on tropical fruits. Fungal Divers. 2020, 44, 33–43. [Google Scholar] [CrossRef]
- Moussa, T.A.; Al-Zahrani, H.S.; Kadasa, N.M.; Ahmed, S.A.; de Hoog, G.S.; Al-Hatmi, A.M. Two new species of the Fusarium fujikuroi species complex isolated from the natural environment. Antonie Van Leeuwenhoek 2017, 110, 819–832. [Google Scholar] [CrossRef]
- O’Donnell, K.; Nirenberg, H.I.; Aoki, T.; Cigelnik, E. A Multigene phylogeny of the Gibberella fujikuroi species complex: Detection of additional phylogenetically distinct species. Mycoscience 2000, 41, 61–78. [Google Scholar] [CrossRef]
- Tamura, K.; Peterson, D.; Peterson, N.; Stecher, G.; Nei, M.; Kumar, S. MEGA5: Molecular evolutionary genetics analysis using maximum likelihood, evolutionary distance, and maximum parsimony methods. Mol. Biol. Evol. 2011, 28, 2731–2739. [Google Scholar] [CrossRef]
- Sánchez-Baracaldo, P.; Bianchini, G.; Huelsenbeck, J.P.; Raven, J.A.; Pisani, D.; Knoll, A.H. Reply to Nakov et al.: Model choice requires biological insight when studying the ancestral habitat of photosynthetic eukaryotes. Proc. Natl. Acad. Sci. USA 2017, 114, E10608–E10609. [Google Scholar] [CrossRef]
- Vaidya, G.; Lohman, D.J.; Meier, R. SequenceMatrix: Concatenation software for the fast assembly of multi-gene datasets with character set and codon information. Cladistics 2011, 27, 171–180. [Google Scholar] [CrossRef]
- Ronquist, F.; Huelsenbeck, J.P. MrBayes 3: Bayesian phylogenetic inference under mixed models. Bioinformatics 2003, 19, 1572–1574. [Google Scholar] [CrossRef]
- Suga, H.; Hirayama, Y.; Morishima, M.; Suzuki, T.; Kageyama, K.; Hyakumachi, M. Development of PCR primers to identify Fusarium oxysporum f. sp. fragariae. Plant Dis. 2013, 97, 619–625. [Google Scholar] [CrossRef]
- Gale, L.R.; Bryant, J.D.; Calvo, S.; Giese, H.; Katan, T.; O’Donnell, K.; Suga, H.; Taga, M.; Usgaard, T.R.; Ward, T.J.; et al. Chromosome complement of the fungal plant pathogen Fusarium graminearum based on genetic and physical mapping and cytological observations. Genetics 2005, 171, 985–1001. [Google Scholar] [CrossRef]
- Fang, X.; Kuo, J.; You, M.P.; Finnegan, P.M.; Barbetti, M.J. Comparative root colonisation of strawberry cultivars Camarosa and Festival by Fusarium oxysporum f. sp. fragariae. Plant Soil. 2012, 358, 75–89. [Google Scholar] [CrossRef]
- Chen, S.; Yuan, N.; Schnabel, G.; Luo, C. Function of the genetic element ‘Mona’ associated with fungicide resistance in Monilinia fructicola. Mol. Plant Pathol. 2017, 18, 90–97. [Google Scholar] [CrossRef] [PubMed]
- Carter, M. Investigating Novel Approaches for the Integrated Control of the Soilborne Strawberry Pathogens Macrophomina phaseolina and Fusarium oxysporum f. sp. fragariae. Master’s Thesis, California Polytechnic State University, San Luis Obispo, CA, USA, 2016. [Google Scholar]
- Liu, Y.; Wei, X.; Chang, F.; Yu, N.; Guo, C.; Cai, H. Distribution and Pathogenicity of Fusarium Species Associated with Soybean Root Rot in Northeast China. Plant Pathol. J. 2023, 39, 575–583. [Google Scholar] [CrossRef] [PubMed]
- Adjei, E.O. Occurrence and Pathogenicity of Crown Rot Disease Organisms in Major Banana Producing Areas in Ashanti Region. Master’s Thesis, Kwame Nkrumah University of Science and Technology, Kumasi, Ghana, 2010. [Google Scholar]











| Province | Number of Isolates | Fusarium oxysporum | F. oxysporum f. sp. fragariae | Proportion of Fof in This Province (%) |
|---|---|---|---|---|
| Anhui | 8 | 1 | 7 | 87.50 |
| Guizhou | 5 | 5 | 0 | 0 |
| Hubei | 1 | 0 | 1 | 100 |
| Liaoning | 2 | 2 | 0 | 0 |
| Yunnan | 18 | 2 | 16 | 88.89 |
| Zhejiang | 17 | 3 | 14 | 82.35 |
| Sichuan | 4 | 3 | 1 | 25.00 |
| Total | 55 | 17 | 39 | 70.91 |
| Primers | Direction | Product Length (bp) | Sequence (5′→3′) |
|---|---|---|---|
| EF1 | Forward | 680 | ATGGGTATAAGGA(A/G) GACAAGAC |
| EF2 | Reverse | GGA(G/A) GTACCAGT(G/A) ATCATGTT | |
| ITS1 | Forward | 593 | CTTGGTCATTTAGAGGAAGTAA |
| ITS4 | Reverse | TCCTCCGCTTATTGATATGC | |
| Fof16180-UP-F | Forward | 1045 | GGCCCAACTAAGCTTGCTTAG |
| Fof16180-UP-R | Reverse | AAAATAGGCATTGATGTGTTGACCTCCGCAAGTCGAACGAAGATAAAC | |
| Fof16180-DOWN-F | Forward | 978 | CTCGTCCGAGGGCAAAGGAATAGAGTAGGAGCTGGACGGCGAATAATAC |
| Fof16180-DOWN-R | Reverse | CGTTGTCTATGTAGGCTGCCG | |
| Fof16180-ID-F | Forward | 1604 | CGCAAGAGGGAATCTAGAGTC |
| Fof16180-ID-R | Reverse | CTTCGGTGACCAGCTTCGGAG | |
| Fof16180-Nest-F | Forward | 3089 | GGCTACGCTAAGCTATTCACG |
| Fof16180-Nest-R | Reverse | GACTTTCGTCTTTGAAATAC | |
| HPH-F | Forward | 1349 | GGAGGTCAACACATCAATGCCTATT |
| HPH-R | Reverse | CTACTCTATTCCTTTGCCCT | |
| FofraF | Forward | 239 | CAGATGGGGTGCTTAAAGTT |
| FofraR | Reverse | ACCGCTAGGTCGTAACAAA |
| Method | Root Inoculation | Crown Inoculation | ||||
|---|---|---|---|---|---|---|
| Isolate | Plant | Root | Crown | Plant | Crown | Root |
| ΔFof16180 | 53.33 | 66.67 | 26.67 | 40.00 | 20.00 | 26.67 |
| WT (H6) | 86.67 | 80.00 | 26.67 | 66.67 | 60.00 | 60.00 |
| Media Name | Method |
|---|---|
| PDA (1 L) | Comprised 200 g of potato, 20 g of glucose, and 20 g of agar [39]. |
| Yeast extract peptone dextrose medium (YEPD 1 L) | Comprised 10 g of peptone, 3 g of yeast extract, and 20 g of glucose. After dissolving these components, the pH was adjusted to 6.7. |
| Regeneration medium (RM, 1 L) | Comprised 1 g of yeast extract, 1 g of casamino acid, and 274 g of sucrose. After dissolving these components, the pH was adjusted to 7.0. |
| Selective regeneration medium (SRM, 1 L) | Comprised 1 g of yeast extract, 1 g of casamino acid, 342 g of sucrose, and 10 g of agarose. |
| Sorbitol Tris CaCl (STC, 200 mL) | Comprised 29.16 g of 0.8 M sorbitol, 1.2114 g of Tris-HCL, and 1.11 g of 50 mM CaCl. After dissolving these components, the pH was adjusted to 7.0. |
| Sorbitol PEG Tris CaCl (SPTC, 100 mL) | A total of 40 g of polyethylene glycol (PEG) was dissolved in 100 mL of STC. |
| Complete medium (CM, 1 L) | Comprised 50 mL of 20× nitrate salts, 1 g of casamino acid, 10 g of glucose, 2 g of peptone, 1 g of yeast extract, 1 mL of trace element, and 1 mL of vitamin solution. After dissolving these components in 1 L H2O, the pH was adjusted to 6.5. |
| Trace element (100 mL) | Comprised 2.2 g of ZnSO4·7H2O, 1.1 g of H3BO3, 0.5 g of MnCl2·4H2O, 0.5 g of FeSO4·7H2O, 0.17 g of CoCl2·6H2O, 0.16 g of CuSO4·5H2O, 0.15 g of Na2MoO4·5H2O, and 5 g of Na4EDTA. |
| Vitamin solution (100 mL) | Comprised 0.01 g of biotin, 0.01 g of pyridoxin, 0.01 g of thiamine, 0.01 g of riboflavin, 0.01 g of p-aminobenzonic acid, and 0.01 g of nicotinic acid. |
| Minimal medium (MM, 1 L) | Comprised 30 g of sucrose, 1 g of KH2PO4, 0.5 g of MgSO4·7H2O, 0.01 g of FeSO4·7H2O, 0.5 g of KCl, 2 g of NaNO3, and 200 μL of 1× trace element. |
| 1× trace element (100 μL) | Comprised 5 g of citric acid, 5 g of ZnSO4·7H2O, 1 g of Fe (NH4)2(SO4)2·6H2O, and 0.25 g of CuSO4·5H2O. |
| Oatmeal agar (OA, 1 L) | Comprised 30 g of oatmeal and 16 g of agar. |
| Water agar medium (WAM, 1 L) | Comprised 16 g of agar. |
| 0.2 g/L Congo red | A total of 0.04 g of solid Congo red was dissolved in 200 mL of PDA. |
| 1 mol/L KCl | A total of 15.088 g of solid KCl was dissolved in 200 mL of PDA. |
| 10% SDS | A total of 0.1 g of solid SDS was dissolved in 200 mL of PDA. |
| 1 mol/L glucose | A total of 39.634 g of solid glucose was dissolved in 200 mL of PDA. |
| 1 mol/L NaCl | A total of 11.688 g of solid NaCl was dissolved in 200 mL of PDA. |
Disclaimer/Publisher’s Note: The statements, opinions and data contained in all publications are solely those of the individual author(s) and contributor(s) and not of MDPI and/or the editor(s). MDPI and/or the editor(s) disclaim responsibility for any injury to people or property resulting from any ideas, methods, instructions or products referred to in the content. |
© 2025 by the authors. Licensee MDPI, Basel, Switzerland. This article is an open access article distributed under the terms and conditions of the Creative Commons Attribution (CC BY) license (https://creativecommons.org/licenses/by/4.0/).
Share and Cite
Yang, W.; Ma, T.; Liang, D.; Zhang, C. Involvement of the SIX10 Gene in the Pathogenicity of Fusarium oxysporum Formae Speciales in Strawberries. Int. J. Mol. Sci. 2025, 26, 1123. https://doi.org/10.3390/ijms26031123
Yang W, Ma T, Liang D, Zhang C. Involvement of the SIX10 Gene in the Pathogenicity of Fusarium oxysporum Formae Speciales in Strawberries. International Journal of Molecular Sciences. 2025; 26(3):1123. https://doi.org/10.3390/ijms26031123
Chicago/Turabian StyleYang, Wenbo, Tianling Ma, Dong Liang, and Chuanqing Zhang. 2025. "Involvement of the SIX10 Gene in the Pathogenicity of Fusarium oxysporum Formae Speciales in Strawberries" International Journal of Molecular Sciences 26, no. 3: 1123. https://doi.org/10.3390/ijms26031123
APA StyleYang, W., Ma, T., Liang, D., & Zhang, C. (2025). Involvement of the SIX10 Gene in the Pathogenicity of Fusarium oxysporum Formae Speciales in Strawberries. International Journal of Molecular Sciences, 26(3), 1123. https://doi.org/10.3390/ijms26031123

