Bacillus subtilis DinG 3′⟶5′ Exo(ribo)nuclease: A Helpmate to Mitigate Replication Stress
Abstract
1. Introduction
2. Results and Discussion
2.1. DinG Cannot Cleave Circular ssDNA or dsDNA, But Degrades Nicked dsDNA
2.2. Saturating Concentrations of DinG Are Required to Degrade Linear dsDNA
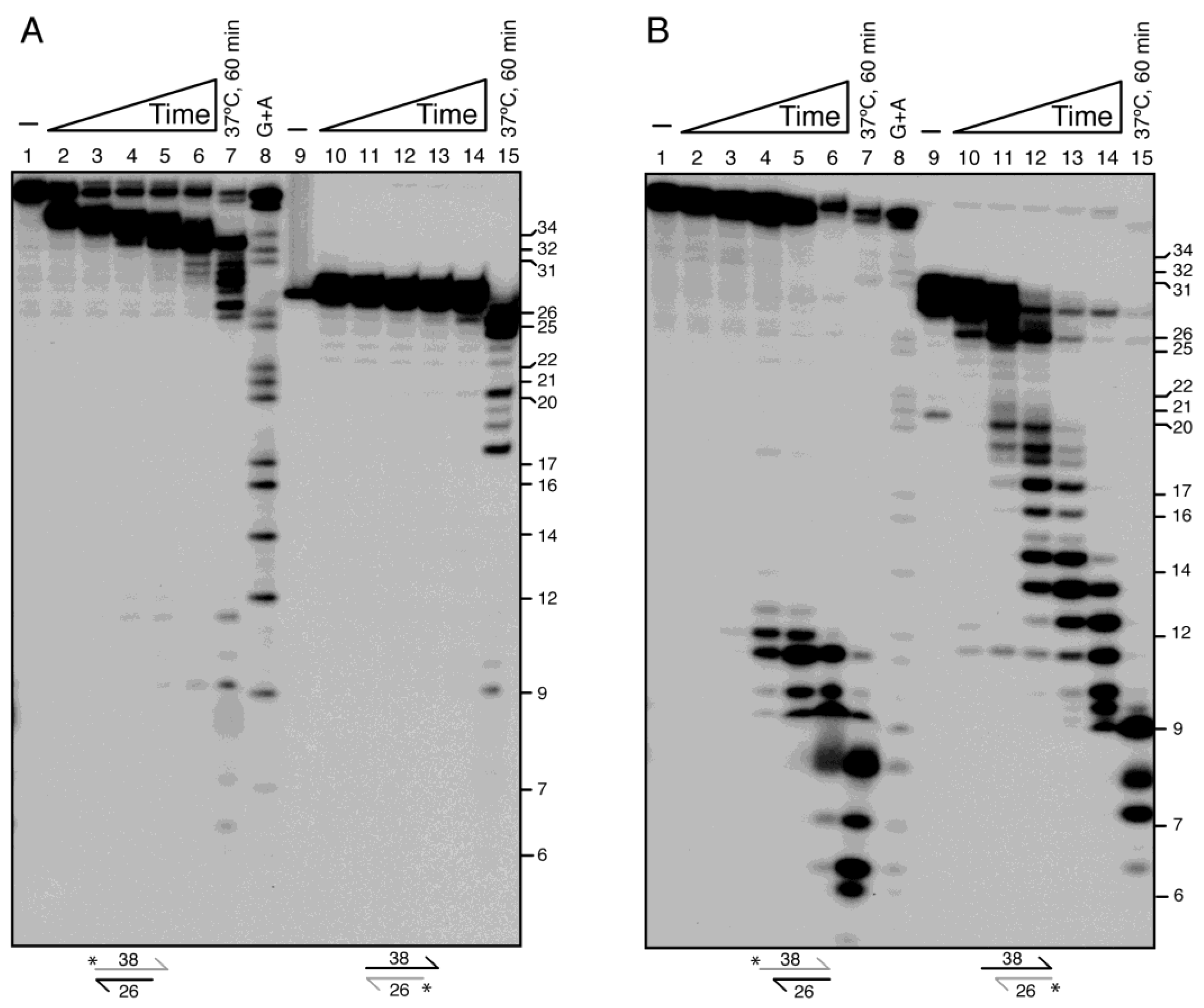
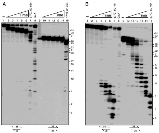
2.3. DinG Preferentially Degrades lssDNA over lssRNA, with 3′⟶5′ Polarity
2.4. ssDNA Stimulates the ATPase Activity of DinG and DinG D10A E12A
2.5. The ATPase Activity of DinG Is Not Stimulated by Either lssDNA Degradation or Duplex DNA
2.6. DinG Engages 3′-Ends, and ATP Slightly Attenuates lssDNA Degradation
2.7. DinG Binds lssDNA with High Affinity, But Not DinG D10A E12A
2.8. DinG Appears to Advance in 4–5 nt Steps During 3′→5′ Degradation
2.9. DinG Resects Fork DNA Via 3′-Tail Degradation
2.10. DinG and DinG·ATP Differentially Degrade Unreplicated Forked DNA
2.11. DinG Degrades Recessed DNA in 5′-Overhang Substrates
2.12. DinG Degrades the RNA Strand of RNA–DNA Hybrids
2.13. DinG Partially Degrades RNA–DNA hybrids Present on Genomic DNA
2.14. DinG Interacts with RecA, Which Provides a Platform to Overcome Replication Stress
2.15. DinG-mGold Molecules Are Recruited to DnaX-CFP upon Endogenous or Environmental Threats
2.16. Absence of DinG Does Not Affect End Resection
2.17. DinG and YpvA Differentially Contribute to Cell Survival Following DNA Damage
2.18. dinG Inactivation Does Not Increase the Sensitivity of ΔrnhC or ΔrecA Cells to DNA Damage
2.19. Absence of DinG Reduces Mutagenesis
3. Conclusions
DinG, as a Helpmate, Contributes to Mitigate Replication Stress, a Proposed Model
4. Materials and Methods
4.1. Bacterial Strains and Plasmids
4.2. Cell Viability and Survival Studies
4.3. Genetic Recombination Studies
4.4. Mutagenesis Assays
4.5. In Vivo Protein–Protein Interaction Assays
4.6. Single Particle Tracking and Diffusion Analysis
4.7. Enzymes, Reagents, and Protein Purifications
4.8. ATPase Assays
4.9. Streptavidin Displacement, DNA Degradation, and DNA Unwinding Assays
4.10. Protein–DNA Interactions
4.11. R-Loop Removal Analyses
4.12. In Vitro Protein–Protein Interaction Assays
Supplementary Materials
Author Contributions
Funding
Institutional Review Board Statement
Informed Consent Statement
Data Availability Statement
Acknowledgments
Conflicts of Interest
References
- Koonin, E.V. Escherichia coli dinG gene encodes a putative DNA helicase related to a group of eukaryotic helicases including Rad3 protein. Nucleic Acids Res. 1993, 21, 1497. [Google Scholar] [CrossRef]
- Sung, P.; Bailly, V.; Weber, C.; Thompson, L.H.; Prakash, L.; Prakash, S. Human xeroderma pigmentosum group D gene encodes a DNA helicase. Nature 1993, 365, 852–855. [Google Scholar] [CrossRef]
- Cantor, S.B.; Bell, D.W.; Ganesan, S.; Kass, E.M.; Drapkin, R.; Grossman, S.; Wahrer, D.C.; Sgroi, D.C.; Lane, W.S.; Haber, D.A.; et al. BACH1, a novel helicase-like protein, interacts directly with BRCA1 and contributes to its DNA repair function. Cell 2001, 105, 149–160. [Google Scholar] [CrossRef] [PubMed]
- Voloshin, O.N.; Vanevski, F.; Khil, P.P.; Camerini-Otero, R.D. Characterization of the DNA damage-inducible helicase DinG from Escherichia coli. J. Biol. Chem. 2003, 278, 28284–28293. [Google Scholar] [CrossRef]
- Brown, L.T.; Sutera, V.A., Jr.; Zhou, S.; Weitzel, C.S.; Cheng, Y.; Lovett, S.T. Connecting Replication and Repair: YoaA, a Helicase-Related Protein, Promotes Azidothymidine Tolerance through Association with Chi, an Accessory Clamp Loader Protein. PLoS Genet. 2015, 11, e1005651. [Google Scholar] [CrossRef] [PubMed]
- Cheng, K.; Wigley, D.B. DNA translocation mechanism of an XPD family helicase. eLife 2018, 7, e42400. [Google Scholar] [CrossRef] [PubMed]
- Voloshin, O.N.; Camerini-Otero, R.D. The DinG protein from Escherichia coli is a structure-specific helicase. J. Biol. Chem. 2007, 282, 18437–18447. [Google Scholar] [CrossRef]
- Weeks-Pollenz, S.J.; Ali, Y.; Morris, L.A.; Sutera, V.A.; Dudenhausen, E.E.; Hibnick, M.; Lovett, S.T.; Bloom, L.B. Characterization of the Escherichia coli XPD/Rad3 iron-sulfur helicase YoaA in complex with the DNA polymerase III clamp loader subunit chi (Χ). J. Biol. Chem. 2023, 299, 102786. [Google Scholar] [CrossRef]
- Au, N.; Kuester-Schoeck, E.; Mandava, V.; Bothwell, L.E.; Canny, S.P.; Chachu, K.; Colavito, S.A.; Fuller, S.N.; Groban, E.S.; Hensley, L.A.; et al. Genetic composition of the Bacillus subtilis SOS system. J. Bacteriol. 2005, 187, 7655–7666. [Google Scholar] [CrossRef]
- McRobbie, A.M.; Meyer, B.; Rouillon, C.; Petrovic-Stojanovska, B.; Liu, H.; White, M.F. Staphylococcus aureus DinG, a helicase that has evolved into a nuclease. Biochem. J. 2012, 442, 77–84. [Google Scholar] [CrossRef]
- Gao, T.; Hao, W.; Gao, J.; Sun, Y.; Sun, Y.; Yang, J.; Cheng, K. Structural and functional investigation of DinG containing a 3′-5′ exonuclease domain. mBio 2025, 16, e00884-25. [Google Scholar] [CrossRef] [PubMed]
- Mirkin, E.V.; Mirkin, S.M. Mechanisms of transcription-replication collisions in bacteria. Mol. Cell. Biol. 2005, 25, 888–895. [Google Scholar] [CrossRef] [PubMed]
- Pomerantz, R.T.; O’Donnell, M. What happens when replication and transcription complexes collide? Cell Cycle 2010, 9, 2537–2543. [Google Scholar] [CrossRef]
- Merrikh, H.; Zhang, Y.; Grossman, A.D.; Wang, J.D. Replication-transcription conflicts in bacteria. Nat. Rev. Microbiol. 2012, 10, 449–458. [Google Scholar] [CrossRef]
- Huang, D.; Johnson, A.E.; Sim, B.S.; Lo, T.W.; Merrikh, H.; Wiggins, P.A. The in vivo measurement of replication fork velocity and pausing by lag-time analysis. Nat. Commun. 2023, 14, 1762. [Google Scholar] [CrossRef]
- Mangiameli, S.M.; Merrikh, C.N.; Wiggins, P.A.; Merrikh, H. Transcription leads to pervasive replisome instability in bacteria. Elife 2017, 6, e19848. [Google Scholar] [CrossRef]
- Simmons, L.A.; Grossman, A.D.; Walker, G.C. Replication is required for the RecA localization response to DNA damage in Bacillus subtilis. Proc. Natl. Acad. Sci. USA 2007, 104, 1360–1365. [Google Scholar] [CrossRef] [PubMed]
- Merrikh, C.N.; Brewer, B.J.; Merrikh, H. The B. subtilis Accessory Helicase PcrA Facilitates DNA Replication through Transcription Units. PLoS Genet. 2015, 11, e1005289. [Google Scholar] [CrossRef]
- Million-Weaver, S.; Samadpour, A.N.; Merrikh, H. Replication restart after replication-transcription conflicts requires RecA in Bacillus subtilis. J. Bacteriol. 2015, 197, 2374–2382. [Google Scholar] [CrossRef]
- Lang, K.S.; Hall, A.N.; Merrikh, C.N.; Ragheb, M.; Tabakh, H.; Pollock, A.J.; Woodward, J.J.; Dreifus, J.E.; Merrikh, H. Replication-Transcription Conflicts Generate R-Loops that Orchestrate Bacterial Stress Survival and Pathogenesis. Cell 2017, 170, 787–799.e18. [Google Scholar] [CrossRef]
- Hinrichs, R.; Graumann, P.L. Visual Evidence for the Recruitment of Four Enzymes with RNase Activity to the Bacillus subtilis Replication Forks. Cells 2024, 13, 1381. [Google Scholar] [CrossRef] [PubMed]
- Marrin, M.E.; Foster, M.R.; Santana, C.M.; Choi, Y.; Jassal, A.S.; Rancic, S.J.; Greenwald, C.R.; Drucker, M.N.; Feldman, D.T.; Thrall, E.S. The translesion polymerase Pol Y1 is a constitutive component of the B. subtilis replication machinery. Nucleic Acids Res. 2024, 52, 9613–9629. [Google Scholar] [CrossRef]
- Le Chatelier, E.; Becherel, O.J.; d’Alencon, E.; Canceill, D.; Ehrlich, S.D.; Fuchs, R.P.; Janniere, L. Involvement of DnaE, the second replicative DNA polymerase from Bacillus subtilis, in DNA mutagenesis. J. Biol. Chem. 2004, 279, 1757–1767. [Google Scholar] [CrossRef] [PubMed]
- Cheng, K. Structure, function and evolution of the bacterial DinG-like proteins. Comput. Struct. Biotechnol. J. 2025, 27, 1124–1139. [Google Scholar] [CrossRef]
- Muntel, J.; Fromion, V.; Goelzer, A.; Maabeta, S.; Mader, U.; Buttner, K.; Hecker, M.; Becher, D. Comprehensive absolute quantification of the cytosolic proteome of Bacillus subtilis by data independent, parallel fragmentation in liquid chromatography/mass spectrometry (LC/MSE). Mol. Cell. Proteom. 2014, 13, 1008–1019. [Google Scholar] [CrossRef] [PubMed]
- Ohtani, N.; Haruki, M.; Morikawa, M.; Crouch, R.J.; Itaya, M.; Kanaya, S. Identification of the genes encoding Mn2+-dependent RNase HII and Mg2+-dependent RNase HIII from Bacillus subtilis: Classification of RNases H into three families. Biochemistry 1998, 38, 605–618. [Google Scholar] [CrossRef]
- Moreno-del Alamo, M.; Carrasco, B.; Torres, R.; Alonso, J.C. Bacillus subtilis PcrA Helicase Removes Trafficking Barriers. Cells 2021, 10, 935. [Google Scholar] [CrossRef]
- Korada, S.K.; Johns, T.D.; Smith, C.E.; Jones, N.D.; McCabe, K.A.; Bell, C.E. Crystal structures of Escherichia coli exonuclease I in complex with single-stranded DNA provide insights into the mechanism of processive digestion. Nucleic Acids Res. 2013, 41, 5887–5897. [Google Scholar] [CrossRef]
- Grunberg, S.; Coxam, B.; Chen, T.H.; Dai, N.; Saleh, L.; Correa, I.R.; Nichols, N.M.; Yigit, E.E. E. coli RNase I exhibits a strong Ca2+-dependent inherent double-stranded RNase activity. Nucleic Acids Res. 2021, 49, 5265–5277. [Google Scholar] [CrossRef]
- Boguslawski, S.J.; Smith, D.E.; Michalak, M.A.; Mickelson, K.E.; Yehle, C.O.; Patterson, W.L.; Carrico, R.J. Characterization of monoclonal antibody to DNA · RNA and its application to immunodetection of hybrids. J. Immunol. Methods 1986, 89, 123–130. [Google Scholar] [CrossRef]
- Bou-Nader, C.; Bothra, A.; Garboczi, D.N.; Leppla, S.H.; Zhang, J. Structural basis of R-loop recognition by the S9.6 monoclonal antibody. Nat. Commun. 2022, 13, 1641. [Google Scholar] [CrossRef] [PubMed]
- Lee, H.; Cho, H.; Kim, J.; Lee, S.; Yoo, J.; Park, D.; Lee, G. RNase H is an exo- and endoribonuclease with asymmetric directionality, depending on the binding mode to the structural variants of RNA:DNA hybrids. Nucleic Acids Res. 2022, 50, 1801–1814. [Google Scholar] [CrossRef]
- Carrasco, B.; Moreno-del Álamo, M.; Torres, R.; Alonso, J.C. PcrA Dissociates RecA Filaments and the SsbA and RecO Mediators Counterbalance Such Activity. Front. Mol. Biosci. 2022, 9, 836211. [Google Scholar] [CrossRef] [PubMed]
- Hernández-Tamayo, R.; Oviedo-Bocanegra, L.M.; Fritz, G.; Graumann, P.L. Symmetric activity of DNA polymerases at and recruitment of exonuclease ExoR and of PolA to the Bacillus subtilis replication forks. Nucleic Acids Res. 2019, 47, 8521–8536. [Google Scholar] [CrossRef]
- Stracy, M.; Schweizer, J.; Sherratt, D.J.; Kapanidis, A.N.; Uphoff, S.; Lesterlin, C. Transient non-specific DNA binding dominates the target search of bacterial DNA-binding proteins. Mol. Cell 2021, 81, 1499–1514.e6. [Google Scholar] [CrossRef] [PubMed]
- Carrasco, B.; Torres, R.; Moreno-Del Alamo, M.; Ramos, C.; Ayora, S.; Alonso, J.C. Processing of stalled replication forks in Bacillus subtilis. FEMS Microbiol. Rev. 2024, 48, fuad065. [Google Scholar] [CrossRef]
- Campbell, E.A.; Korzheva, N.; Mustaev, A.; Murakami, K.; Nair, S.; Goldfarb, A.; Darst, S.A. Structural mechanism for rifampicin inhibition of bacterial RNA polymerase. Cell 2001, 104, 901–912. [Google Scholar] [CrossRef]
- Lang, K.S.; Merrikh, H. The Clash of Macromolecular Titans: Replication-Transcription Conflicts in Bacteria. Annu. Rev. Microbiol. 2018, 72, 71–88. [Google Scholar] [CrossRef]
- Drolet, M.; Brochu, J. R-loop-dependent replication and genomic instability in bacteria. DNA Repair 2019, 84, 102693. [Google Scholar] [CrossRef]
- Ferrandiz, M.J.; Hernandez, P.; de la Campa, A.G. Genome-wide proximity between RNA polymerase and DNA topoisomerase I supports transcription in Streptococcus pneumoniae. PLoS Genet. 2021, 17, e1009542. [Google Scholar] [CrossRef]
- Lovett, S.T. The DNA Exonucleases of Escherichia coli. EcoSal Plus 2011, 4, 1128. [Google Scholar] [CrossRef]
- Nischwitz, E.; Schoonenberg, V.A.C.; Fradera-Sola, A.; Dejung, M.; Vydzhak, O.; Levin, M.; Luke, B.; Butter, F.; Scheibe, M. DNA damage repair proteins across the Tree of Life. iScience 2023, 26, 106778. [Google Scholar] [CrossRef]
- Sedgwick, B. Repairing DNA-methylation damage. Nat. Rev. Mol. Cell Biol. 2004, 5, 148–157. [Google Scholar] [CrossRef]
- Cárdenas, P.P.; Carrasco, B.; Sanchez, H.; Deikus, G.; Bechhofer, D.H.; Alonso, J.C. Bacillus subtilis polynucleotide phosphorylase 3′-to-5′ DNase activity is involved in DNA repair. Nucleic Acids Res. 2009, 37, 4157–4169. [Google Scholar] [CrossRef]
- Moreno-del Álamo, M.; Torres, R.; Manfredi, C.; Ruiz-Maso, J.A.; Del Solar, G.; Alonso, J.C. Bacillus subtilis PcrA Couples DNA Replication, Transcription, Recombination and Segregation. Front. Mol. Biosci. 2020, 7, 140. [Google Scholar] [CrossRef]
- Torres, R.; Romero, H.; Rodriguez-Cerrato, V.; Alonso, J.C. Interplay between Bacillus subtilis RecD2 and the RecG or RuvAB helicase in recombinational repair. DNA Repair. 2017, 55, 40–46. [Google Scholar] [CrossRef] [PubMed]
- Friedberg, E.C.; Walker, G.C.; Siede, W.; Wood, R.D.; Schultz, R.A.; Ellenberger, T. DNA Repair and Mutagenesis; ASM Press: Washington, DC, USA, 2005. [Google Scholar]
- Raguse, M.; Torres, R.; Seco, E.M.; Gandara, C.; Ayora, S.; Moeller, R.; Alonso, J.C. Bacillus subtilis DisA helps to circumvent replicative stress during spore revival. DNA Repair. 2017, 59, 57–68. [Google Scholar] [CrossRef] [PubMed]
- Duigou, S.; Ehrlich, S.D.; Noirot, P.; Noirot-Gros, M.F. DNA polymerase I acts in translesion synthesis mediated by the Y-polymerases in Bacillus subtilis. Mol. Microbiol. 2005, 57, 678–690. [Google Scholar] [CrossRef] [PubMed]
- Carvajal-Garcia, J.; Samadpour, A.N.; Hernandez Viera, A.J.; Merrikh, H. Oxidative stress drives mutagenesis through transcription-coupled repair in bacteria. Proc. Natl. Acad. Sci. USA 2023, 120, e2300761120. [Google Scholar] [CrossRef]
- Duigou, S.; Ehrlich, S.D.; Noirot, P.; Noirot-Gros, M.F. Distinctive genetic features exhibited by the Y-family DNA polymerases in Bacillus subtilis. Mol. Microbiol. 2004, 54, 439–451. [Google Scholar] [CrossRef]
- Browning, K.R.; Merrikh, H. Replication-Transcription Conflicts: A Perpetual War on the Chromosome. Annu. Rev. Biochem. 2024, 93, 21–46. [Google Scholar] [CrossRef]
- Lenhart, J.S.; Brandes, E.R.; Schroeder, J.W.; Sorenson, R.J.; Showalter, H.D.; Simmons, L.A. RecO and RecR Are Necessary for RecA Loading in Response to DNA Damage and Replication Fork Stress. J. Bacteriol. 2014, 196, 2851–2860. [Google Scholar] [CrossRef]
- Carrasco, B.; Yadav, T.; Serrano, E.; Alonso, J.C. Bacillus subtilis RecO and SsbA are crucial for RecA-mediated recombinational DNA repair. Nucleic Acids Res. 2015, 43, 5984–5997. [Google Scholar] [CrossRef] [PubMed]
- Stragier, P.; Bonamy, C.; Karmazyn-Campelli, C. Processing of a sporulation sigma factor in Bacillus subtilis: How morphological structure could control gene expression. Cell 1988, 52, 697–704. [Google Scholar] [CrossRef] [PubMed]
- Carrasco, B.; Serrano, E.; Sanchez, H.; Wyman, C.; Alonso, J.C. Chromosomal transformation in Bacillus subtilis is a non-polar recombination reaction. Nucleic Acids Res. 2016, 44, 2754–2768. [Google Scholar] [CrossRef]
- Karimova, G.; Pidoux, J.; Ullmann, A.; Ladant, D. A bacterial two-hybrid system based on a reconstituted signal transduction pathway. Proc. Natl. Acad. Sci. USA 1998, 95, 5752–5756. [Google Scholar] [CrossRef]
- Alonso, J.C.; Luder, G.; Tailor, R.H. Characterization of Bacillus subtilis recombinational pathways. J. Bacteriol. 1991, 173, 3977–3980. [Google Scholar] [CrossRef]
- Schindelin, J.; Arganda-Carreras, I.; Frise, E.; Kaynig, V.; Longair, M.; Pietzsch, T.; Preibisch, S.; Rueden, C.; Saalfeld, S.; Schmid, B.; et al. Fiji: An open-source platform for biological-image analysis. Nat. Methods 2012, 9, 676–682. [Google Scholar] [CrossRef]
- Jaqaman, K.; Loerke, D.; Mettlen, M.; Kuwata, H.; Grinstein, S.; Schmid, S.L.; Danuser, G. Robust single-particle tracking in live-cell time-lapse sequences. Nat. Methods 2008, 5, 695–702. [Google Scholar] [CrossRef]
- Oviedo-Bocanegra, L.M.; Hinrichs, R.; Rotter, D.A.O.; Dersch, S.; Graumann, P.L. Single molecule/particle tracking analysis program SMTracker 2.0 reveals different dynamics of proteins within the RNA degradosome complex in Bacillus subtilis. Nucleic Acids Res. 2021, 49, e112. [Google Scholar] [CrossRef] [PubMed]
- Fujita, M.; Sadaie, Y. Rapid isolation of RNA polymerase from sporulating cells of Bacillus subtilis. Gene 1998, 221, 185–190. [Google Scholar] [CrossRef]
- Carrasco, B.; Ayora, S.; Lurz, R.; Alonso, J.C. Bacillus subtilis RecU Holliday-junction resolvase modulates RecA activities. Nucleic Acids Res. 2005, 33, 3942–3952. [Google Scholar] [CrossRef][Green Version]
- Walsh, B.W.; Lenhart, J.S.; Schroeder, J.W.; Simmons, L.A. Far Western blotting as a rapid and efficient method for detecting interactions between DNA replication and DNA repair proteins. Methods Mol. Biol. 2012, 922, 161–168. [Google Scholar]
- Sanchez, H.; Kidane, D.; Cozar, M.C.; Graumann, P.L.; Alonso, J.C. Recruitment of Bacillus subtilis RecN to DNA double-strand breaks in the absence of DNA end processing. J. Bacteriol. 2006, 188, 353–360. [Google Scholar] [CrossRef] [PubMed]
- Dubnau, D.; Blokesch, M. Mechanisms of DNA Uptake by Naturally Competent Bacteria. Annu. Rev. Genet. 2019, 53, 217–237. [Google Scholar] [CrossRef] [PubMed]
- Maier, B. Competence and Transformation in Bacillus subtilis. Curr. Issues Mol. Biol. 2020, 37, 57–76. [Google Scholar] [CrossRef] [PubMed]
- Serrano, E.; Ramos, C.; Alonso, J.C.; Ayora, S. Recombination proteins differently control the acquisition of homeologous DNA during Bacillus subtilis natural chromosomal transformation. Environ. Microbiol. 2021, 23, 512–524. [Google Scholar] [CrossRef]









| Condition | No Cells | No Tracks | D a | D1 b | D2 c |
|---|---|---|---|---|---|
| - | 138 | 25,841 | 0.2160 ± 0.018 | 0.043 ± 0.002 | 0.67 ± 0.002 |
| + MMS | 131 | 14,608 | 0.1770 ± 0.011 | 0.043 ± 0.001 | 0.67 ± 0.002 |
| + Rif | 133 | 12,031 | 0.0980 ± 0.017 | 0.043 ± 0.001 | 0.67 ± 0.001 |
Disclaimer/Publisher’s Note: The statements, opinions and data contained in all publications are solely those of the individual author(s) and contributor(s) and not of MDPI and/or the editor(s). MDPI and/or the editor(s) disclaim responsibility for any injury to people or property resulting from any ideas, methods, instructions or products referred to in the content. |
© 2025 by the authors. Licensee MDPI, Basel, Switzerland. This article is an open access article distributed under the terms and conditions of the Creative Commons Attribution (CC BY) license (https://creativecommons.org/licenses/by/4.0/).
Share and Cite
Carrasco, B.; Torres, R.; López-Sanz, M.; Hernández-Tamayo, R.; Graumann, P.L.; Alonso, J.C. Bacillus subtilis DinG 3′⟶5′ Exo(ribo)nuclease: A Helpmate to Mitigate Replication Stress. Int. J. Mol. Sci. 2025, 26, 9681. https://doi.org/10.3390/ijms26199681
Carrasco B, Torres R, López-Sanz M, Hernández-Tamayo R, Graumann PL, Alonso JC. Bacillus subtilis DinG 3′⟶5′ Exo(ribo)nuclease: A Helpmate to Mitigate Replication Stress. International Journal of Molecular Sciences. 2025; 26(19):9681. https://doi.org/10.3390/ijms26199681
Chicago/Turabian StyleCarrasco, Begoña, Rubén Torres, María López-Sanz, Rogelio Hernández-Tamayo, Peter L. Graumann, and Juan C. Alonso. 2025. "Bacillus subtilis DinG 3′⟶5′ Exo(ribo)nuclease: A Helpmate to Mitigate Replication Stress" International Journal of Molecular Sciences 26, no. 19: 9681. https://doi.org/10.3390/ijms26199681
APA StyleCarrasco, B., Torres, R., López-Sanz, M., Hernández-Tamayo, R., Graumann, P. L., & Alonso, J. C. (2025). Bacillus subtilis DinG 3′⟶5′ Exo(ribo)nuclease: A Helpmate to Mitigate Replication Stress. International Journal of Molecular Sciences, 26(19), 9681. https://doi.org/10.3390/ijms26199681

