Optimization of Gelatin-Based Scaffolds for Soft Tissue Regeneration: In Vitro and In Vivo Performance
Abstract
1. Introduction
2. Results
2.1. Scaffold Structure
2.2. Cell-Viability Experiment
2.3. SEM Image Analyses
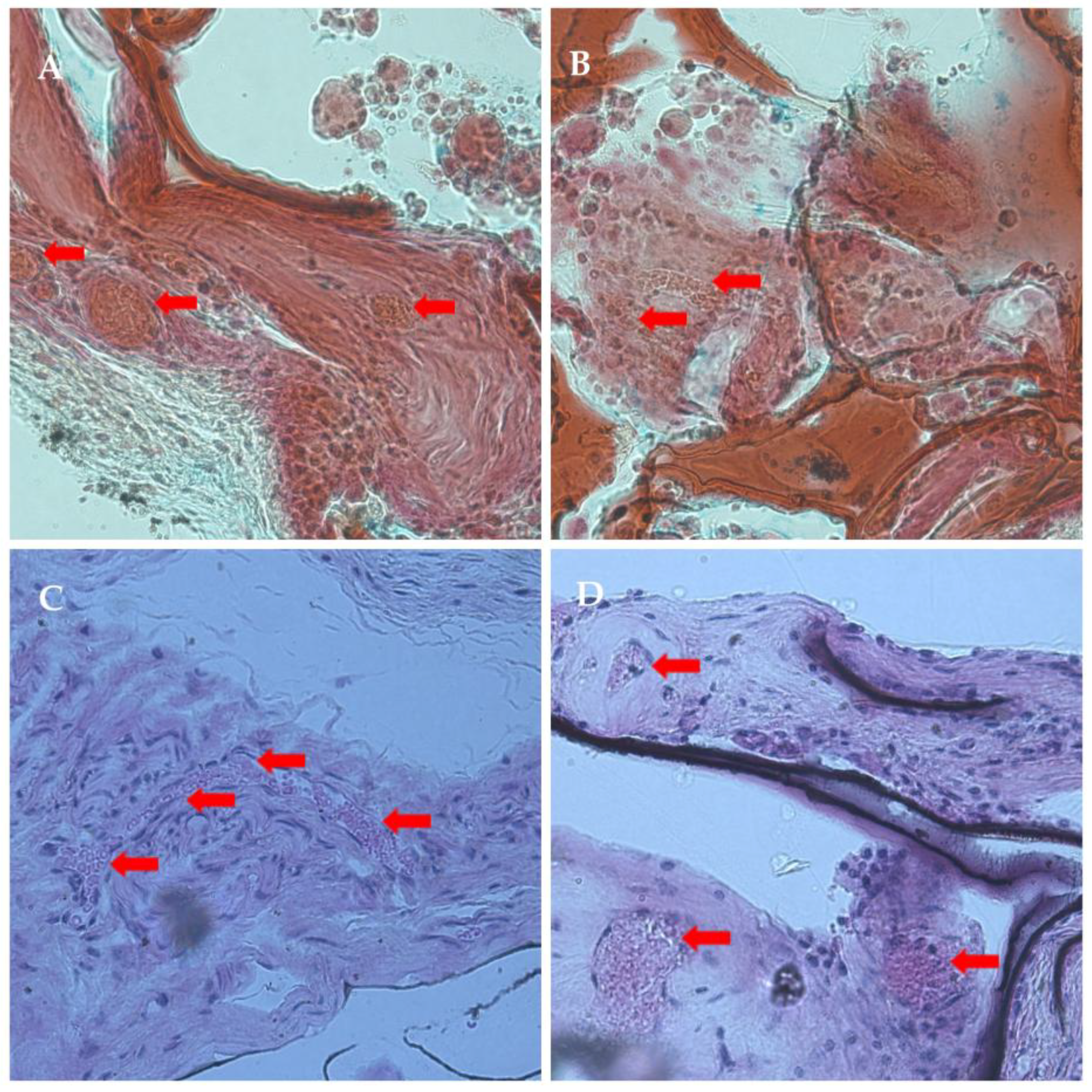
2.4. Microscopic Images of the Explant
3. Discussion
4. Materials and Methods
4.1. Scaffold Preparation
4.2. Cell Culture
4.3. Viability of hBM-dMSCs Cultured on the Scaffolds Using XTT
4.4. Animals and Surgical Procedures
4.5. Microscopic Images and Cell Adherence Test by Calcein Staining
4.6. SEM Images
4.7. Histological Procedures
4.8. Statistical Analysis
5. Conclusions
Author Contributions
Funding
Institutional Review Board Statement
Informed Consent Statement
Data Availability Statement
Acknowledgments
Conflicts of Interest
References
- Langer, R.; Vacanti, J.P. Tissue Engineering. Science 1993, 260, 920–926. [Google Scholar] [CrossRef] [PubMed]
- Langer, R.; Vacanti, J. Advances in tissue engineering. J. Pediatr. Surg. 2016, 51, 8–12. [Google Scholar] [CrossRef]
- Banfi, G.; Corsi, M.M. Regenerative medicine. J. Biol. Regul. Homeost. Agents 2011, 25 (Suppl. 2), S1. [Google Scholar]
- Inchingolo, A.M.; Inchingolo, A.D.; Nardelli, P.; Latini, G.; Trilli, I.; Ferrante, L.; Malcangi, G.; Palermo, A.; Inchingolo, F.; Dipalma, G. Stem Cells: Present Understanding and Prospects for Regenerative Dentistry. J. Funct. Biomater. 2024, 15, 308. [Google Scholar] [CrossRef]
- Yadav, S.; Khan, J.; Yadav, A. Applications of Scaffolds in Tissue Engineering: Current Utilization and Future Prospective. Curr. Gene Ther. 2024, 24, 94–109. [Google Scholar] [CrossRef]
- Janouskova, O. Synthetic polymer scaffolds for soft tissue engineering. Physiol. Res. 2018, 67 (Suppl. 2), S335–S348. [Google Scholar] [CrossRef]
- Hinsenkamp, A.; Fulop, A.; Hricisak, L.; Pal, E.; Kun, K.; Majer, A.; Varga, V.; Lacza, Z.; Hornyak, I. Application of Injectable, Crosslinked, Fibrin-Containing Hyaluronic Acid Scaffolds for In Vivo Remodeling. J. Funct. Biomater. 2022, 13, 119. [Google Scholar] [CrossRef] [PubMed]
- Varga, V.; Smeller, L.; Várdai, R.; Kocsis, B.; Zsoldos, I.; Cruciani, S.; Pala, R.; Hornyák, I. Water-Insoluble, Thermostable, Crosslinked Gelatin Matrix for Soft Tissue Implant Development. Int. J. Mol. Sci. 2024, 25, 4336. [Google Scholar] [CrossRef]
- Arif, Z.U.; Khalid, M.Y.; Noroozi, R.; Sadeghianmaryan, A.; Jalalvand, M.; Hossain, M. Recent advances in 3D-printed polylactide and polycaprolactone-based biomaterials for tissue engineering applications. Int. J. Biol. Macromol. 2022, 218, 930–968. [Google Scholar] [CrossRef]
- Terzopoulou, Z.; Zamboulis, A.; Koumentakou, I.; Michailidou, G.; Noordam, M.J.; Bikiaris, D.N. Biocompatible Synthetic Polymers for Tissue Engineering Purposes. Biomacromolecules 2022, 23, 1841–1863. [Google Scholar] [CrossRef] [PubMed]
- Sultana, N.; Cole, A.; Strachan, F. Biocomposite Scaffolds for Tissue Engineering: Materials, Fabrication Techniques and Future Directions. Materials 2024, 17, 5577. [Google Scholar] [CrossRef]
- Wong, S.K.; Yee, M.M.F.; Chin, K.Y.; Ima-Nirwana, S. A Review of the Application of Natural and Synthetic Scaffolds in Bone Regeneration. J. Funct. Biomater. 2023, 14, 286. [Google Scholar] [CrossRef]
- Hinsenkamp, A.; Kardos, D.; Lacza, Z.; Hornyák, I. A Practical Guide to Class IIa Medical Device Development. Appl. Sci. 2020, 10, 3638. [Google Scholar] [CrossRef]
- Wosicka-Frackowiak, H.; Poniedzialek, K.; Wozny, S.; Kuprianowicz, M.; Nyga, M.; Jadach, B.; Milanowski, B. Collagen and Its Derivatives Serving Biomedical Purposes: A Review. Polymers 2024, 16, 2668. [Google Scholar] [CrossRef] [PubMed]
- De Boulle, K.; Glogau, R.; Kono, T.; Nathan, M.; Tezel, A.; Roca-Martinez, J.X.; Paliwal, S.; Stroumpoulis, D. A review of the metabolism of 1,4-butanediol diglycidyl ether-crosslinked hyaluronic acid dermal fillers. Dermatol. Surg. 2013, 39, 1758–1766. [Google Scholar] [CrossRef] [PubMed]
- Schiavi, A.; Cuccaro, R.; Troia, A. Functional mechanical attributes of natural and synthetic gel-based scaffolds in tissue engineering: Strain-stiffening effects on apparent elastic modulus and compressive toughness. J. Mech. Behav. Biomed. Mater. 2022, 126, 105066. [Google Scholar] [CrossRef] [PubMed]
- Sultana, N.; Wang, M. Fabrication of HA/PHBV composite scaffolds through the emulsion freezing/freeze-drying process and characterisation of the scaffolds. J. Mater. Sci. Mater. Med. 2008, 19, 2555–2561. [Google Scholar] [CrossRef]
- Busra, M.F.M.; Lokanathan, Y. Recent Development in the Fabrication of Collagen Scaffolds for Tissue Engineering Applications: A Review. Curr. Pharm. Biotechnol. 2019, 20, 992–1003. [Google Scholar] [CrossRef]
- Zhu, S.; Yuan, Q.; Yin, T.; You, J.; Gu, Z.; Xiong, S.; Hu, Y. Self-assembly of collagen-based biomaterials: Preparation, characterizations and biomedical applications. J. Mater. Chem. B 2018, 6, 2650–2676. [Google Scholar] [CrossRef]
- Liu, X.; Zheng, C.; Luo, X.; Wang, X.; Jiang, H. Recent advances of collagen-based biomaterials: Multi-hierarchical structure, modification and biomedical applications. Mater. Sci. Eng. C Mater. Biol. Appl. 2019, 99, 1509–1522. [Google Scholar] [CrossRef]
- Marques, C.F.; Diogo, G.S.; Pina, S.; Oliveira, J.M.; Silva, T.H.; Reis, R.L. Collagen-based bioinks for hard tissue engineering applications: A comprehensive review. J. Mater. Sci. Mater. Med. 2019, 30, 32. [Google Scholar] [CrossRef]
- Zheng, M.; Wang, X.; Chen, Y.; Yue, O.; Bai, Z.; Cui, B.; Jiang, H.; Liu, X. A Review of Recent Progress on Collagen-Based Biomaterials. Adv. Healthc. Mater. 2023, 12, e2202042. [Google Scholar] [CrossRef] [PubMed]
- An, B.; Lin, Y.S.; Brodsky, B. Collagen interactions: Drug design and delivery. Adv. Drug Deliv. Rev. 2016, 97, 69–84. [Google Scholar] [CrossRef] [PubMed]
- Liu, X.; Gao, Y.; Long, X.; Hayashi, T.; Mizuno, K.; Hattori, S.; Fujisaki, H.; Ogura, T.; Wang, D.O.; Ikejima, T. Type I collagen promotes the migration and myogenic differentiation of C2C12 myoblasts via the release of interleukin-6 mediated by FAK/NF-κB p65 activation. Food Funct. 2020, 11, 328–338. [Google Scholar] [CrossRef] [PubMed]
- Silver, F.H.; Jaffe, M.; Shah, R.G. 11—Structure and behavior of collagen fibers. In Handbook of Properties of Textile and Technical Fibres, 2nd ed.; Bunsell, A.R., Ed.; Woodhead Publishing: Cambridge, UK, 2018; pp. 345–365. [Google Scholar]
- Rezvani Ghomi, E.; Nourbakhsh, N.; Akbari Kenari, M.; Zare, M.; Ramakrishna, S. Collagen-based biomaterials for biomedical applications. J. Biomed. Mater. Res. B Appl. Biomater. 2021, 109, 1986–1999. [Google Scholar] [CrossRef]
- Goder Orbach, D.; Sharabani-Yosef, O.; Hadad, O.; Zilberman, M. Gelatin-Based Polymers Can Be Processed to Highly Resilient Biocompatible Porous Hydrogel Scaffolds for Soft Tissue Regeneration Applications. Gels 2024, 10, 678. [Google Scholar] [CrossRef]
- From Collagen to Gelatine. In Gelatine Handbook; Wiley-VCH: Weinheim, Germany, 2007; pp. 45–117.
- Catarino, M.; Castro, F.; Macedo, J.P.; Lopes, O.; Pereira, J.; Lopes, P.; Fernandes, G.V.O. Mechanisms of Degradation of Collagen or Gelatin Materials (Hemostatic Sponges) in Oral Surgery: A Systematic Review. Surgeries 2024, 5, 532–548. [Google Scholar] [CrossRef]
- Lai, J.Y.; Lin, P.K.; Hsiue, G.H.; Cheng, H.Y.; Huang, S.J.; Li, Y.T. Low Bloom strength gelatin as a carrier for potential use in retinal sheet encapsulation and transplantation. Biomacromolecules 2009, 10, 310–319. [Google Scholar] [CrossRef]
- Ninan, G.; Joseph, J.; Aliyamveettil, Z.A. A comparative study on the physical, chemical and functional properties of carp skin and mammalian gelatins. J. Food Sci. Technol. 2014, 51, 2085–2091. [Google Scholar] [CrossRef]
- Zhao, Z.; Qin, Z.; Zhao, T.; Li, Y.; Hou, Z.; Hu, H.; Su, X.; Gao, Y. Crosslinked Biodegradable Hybrid Hydrogels Based on Poly(ethylene glycol) and Gelatin for Drug Controlled Release. Molecules 2024, 29, 4952. [Google Scholar] [CrossRef]
- Jayachandran, B.; Parvin, T.N.; Alam, M.M.; Chanda, K.; MM, B. Insights on Chemical Crosslinking Strategies for Proteins. Molecules 2022, 27, 8124. [Google Scholar] [CrossRef] [PubMed]
- Krishnakumar, G.S.; Sampath, S.; Muthusamy, S.; John, M.A. Importance of crosslinking strategies in designing smart biomaterials for bone tissue engineering: A systematic review. Mater. Sci. Eng. C 2019, 96, 941–954. [Google Scholar] [CrossRef]
- Alonci, G.; Boussard, A.; Savona, M.; Cordella, F.; Angelici, G.; Mocchi, R.; Sommatis, S.; Monticelli, D. A LC-QTOF Method for the Determination of PEGDE Residues in Dermal Fillers. Gels 2023, 9, 409. [Google Scholar] [CrossRef]
- Kudva, A.K.; Luyten, F.P.; Patterson, J. In Vitro Screening of Molecularly Engineered Polyethylene Glycol Hydrogels for Cartilage Tissue Engineering using Periosteum-Derived and ATDC5 Cells. Int. J. Mol. Sci. 2018, 19, 3341. [Google Scholar] [CrossRef]
- ISO 10993-1:2018; Biological Evaluation of Medical Devices—Part 1: Evaluation and Testing Within a Risk Management Process. International Organization for Standardization: Geneva, Switzerland, 2008.
- Nam, J.H.; Lee, S.Y.; Khan, G.; Park, E.S. Validation of the optimal scaffold pore size of nasal implants using the 3-dimensional culture technique. Arch. Plast. Surg. 2020, 47, 310–316. [Google Scholar] [CrossRef] [PubMed]
- Jonnalagadda, J.B.; Rivero, I.V.; Dertien, J.S. In vitro chondrocyte behavior on porous biodegradable poly(e-caprolactone)/polyglycolic acid scaffolds for articular chondrocyte adhesion and proliferation. J. Biomater. Sci. Polym. Ed. 2015, 26, 401–419. [Google Scholar] [CrossRef] [PubMed]
- Wolf, K.; Alexander, S.; Schacht, V.; Coussens, L.M.; von Andrian, U.H.; van Rheenen, J.; Deryugina, E.; Friedl, P. Collagen-based cell migration models in vitro and in vivo. Semin. Cell Dev. Biol. 2009, 20, 931–941. [Google Scholar] [CrossRef]
- Maiz-Fernández, S.; Pérez-Álvarez, L.; Ruiz-Rubio, L.; González, R.P.; Sáez-Martínez, V.; Pérez, J.R.; Vilas-Vilela, J.L. Synthesis and Characterization of Covalently Crosslinked pH-Responsive Hyaluronic Acid Nanogels: Effect of Synthesis Parameters. Polymers 2019, 11, 742. [Google Scholar] [CrossRef]
- Vitus, V.; Ibrahim, F.; Wan Kamarul Zaman, W.S. Modelling of Stem Cells Microenvironment Using Carbon-Based Scaffold for Tissue Engineering Application—A Review. Polymers 2021, 13, 4058. [Google Scholar] [CrossRef]
- Soliman, S.; Sant, S.; Nichol, J.W.; Khabiry, M.; Traversa, E.; Khademhosseini, A. Controlling the porosity of fibrous scaffolds by modulating the fiber diameter and packing density. J. Biomed. Mater. Res. Part A 2011, 96A, 566–574. [Google Scholar] [CrossRef]
- Mughal, M.; Sindali, K.; Man, J.; Roblin, P. ‘Fat chance’: A review of adipose tissue engineering and its role in plastic and reconstructive surgery. Ann. R. Coll. Surg. Engl. 2021, 103, 245–249. [Google Scholar] [CrossRef] [PubMed]
- Rouwkema, J.; Rivron, N.C.; van Blitterswijk, C.A. Vascularization in tissue engineering. Trends Biotechnol. 2008, 26, 434–441. [Google Scholar] [CrossRef] [PubMed]
- Caballé-Serrano, J.; Zhang, S.; Sculean, A.; Staehli, A.; Bosshardt, D.D. Tissue Integration and Degradation of a Porous Collagen-Based Scaffold Used for Soft Tissue Augmentation. Materials 2020, 13, 2420. [Google Scholar] [CrossRef] [PubMed]
- Rahmanian-Schwarz, A.; Held, M.; Knoeller, T.; Stachon, S.; Schmidt, T.; Schaller, H.-E.; Just, L. In vivo biocompatibility and biodegradation of a novel thin and mechanically stable collagen scaffold. J. Biomed. Mater. Res. Part A 2014, 102, 1173–1179. [Google Scholar] [CrossRef]
- Owens, K.W.; Yukna, R.A. Collagen Membrane Resorption in Dogs: A Comparative Study. Implant. Dent. 2001, 10, 49–58. [Google Scholar] [CrossRef]
- Gao, L.L.; Wei, Y.; Tan, Y.S.; Li, R.X.; Zhang, C.Q.; Gao, H. Irrigating degradation properties of silk fibroin-collagen type II composite cartilage scaffold in vitro and in vivo. Biomater. Adv. 2023, 149, 213389. [Google Scholar] [CrossRef]
- Keefe, J.; Wauk, L.; Chu, S.; DeLustro, F. Clinical use of injectable bovine collagen: A decade of experience. Clin. Mater. 1992, 9, 155–162. [Google Scholar] [CrossRef]
- Lam, J.; Truong, N.F.; Segura, T. Design of cell-matrix interactions in hyaluronic acid hydrogel scaffolds. Acta Biomater. 2014, 10, 1571–1580. [Google Scholar] [CrossRef]














| ID | Constituents |
|---|---|
| 50G1B | 1 mL 50 mg/mL freeze-dried GEL, 4 µL BDDE, 300 µL 1% NaOH |
| 50G3B | 1 mL 50 mg/mL freeze-dried GEL, 12 µL BDDE, 300 µL 1% NaOH |
| 50G5B | 1 mL 50 mg/mL freeze-dried GEL, 20 µL BDDE, 300 µL 1% NaOH |
| 50G5BX2 | 1 mL 50 mg/mL freeze-dried GEL, 40 µL BDDE, 600 µL 1% NaOH |
| 50G1P | 1 mL 50 mg/mL freeze-dried GEL, 4 µL PEGDE, 300 µL 1% NaOH |
| 50G3P | 1 mL 50 mg/mL freeze-dried GEL, 12 µL PEGDE, 300 µL 1% NaOH |
| 50G5P | 1 mL 50 mg/mL freeze-dried GEL, 20 µL PEGDE, 300 µL 1% NaOH |
| 50G5D | 1 mL 50 mg/mL freeze-dried GEL, 20 µL DVS, 300 µL 1% NaOH |
| ID | Constituents | Implantation Time |
|---|---|---|
| Group I (I) | 1 mL 50 mg/mL freeze-dried GEL, 20 µL BDDE, and 300 µL 1 w/w % NaOH | 4 weeks |
| Group II (II) | 1 mL 50 mg/mL freeze-dried GEL, 40 µL BDDE, and 600 µL 1 w/w % NaOH | 4 weeks |
| Group III (III) | 1 mL 50 mg/mL freeze-dried GEL, 20 µL BDDE, and 300 µL 1 w/w % NaOH | 12 weeks |
Disclaimer/Publisher’s Note: The statements, opinions and data contained in all publications are solely those of the individual author(s) and contributor(s) and not of MDPI and/or the editor(s). MDPI and/or the editor(s) disclaim responsibility for any injury to people or property resulting from any ideas, methods, instructions or products referred to in the content. |
© 2025 by the authors. Licensee MDPI, Basel, Switzerland. This article is an open access article distributed under the terms and conditions of the Creative Commons Attribution (CC BY) license (https://creativecommons.org/licenses/by/4.0/).
Share and Cite
Szűcs-Takács, Z.; Varga, V.; Bán, F.; Harcsa, V.; Pinke, B.; Várdai, R.; Gajnut, F.; Major, E.; Hornyák, I. Optimization of Gelatin-Based Scaffolds for Soft Tissue Regeneration: In Vitro and In Vivo Performance. Int. J. Mol. Sci. 2025, 26, 9106. https://doi.org/10.3390/ijms26189106
Szűcs-Takács Z, Varga V, Bán F, Harcsa V, Pinke B, Várdai R, Gajnut F, Major E, Hornyák I. Optimization of Gelatin-Based Scaffolds for Soft Tissue Regeneration: In Vitro and In Vivo Performance. International Journal of Molecular Sciences. 2025; 26(18):9106. https://doi.org/10.3390/ijms26189106
Chicago/Turabian StyleSzűcs-Takács, Zita, Viktória Varga, Fanni Bán, Viktória Harcsa, Balázs Pinke, Róbert Várdai, Fatime Gajnut, Enikő Major, and István Hornyák. 2025. "Optimization of Gelatin-Based Scaffolds for Soft Tissue Regeneration: In Vitro and In Vivo Performance" International Journal of Molecular Sciences 26, no. 18: 9106. https://doi.org/10.3390/ijms26189106
APA StyleSzűcs-Takács, Z., Varga, V., Bán, F., Harcsa, V., Pinke, B., Várdai, R., Gajnut, F., Major, E., & Hornyák, I. (2025). Optimization of Gelatin-Based Scaffolds for Soft Tissue Regeneration: In Vitro and In Vivo Performance. International Journal of Molecular Sciences, 26(18), 9106. https://doi.org/10.3390/ijms26189106

