High-Frequency Generation of Homozygous/Biallelic Mutants via CRISPR/Cas9 Driven by AtKu70/80 Promoters
Abstract
1. Introduction
2. Results
2.1. Construction of pRd35Cas9-2BR, pRdKu70Cas9-2BR and pRdKu80Cas9-2BR
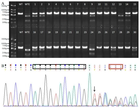
2.2. Hairy Root Transformation and Gene Editing Efficiency of GmRj7, and GmNNL1
2.3. Validation of the Gene Editing Efficiency in Arabidopsis
3. Discussion
3.1. Simply and Effectively Selectable Marker in E. coli
3.2. The CRISPR/Cas9 System Driven by AtKu70/80 Promoters Significantly Improves Proportion of Homozygous/Biallelic Mutation in R. rhizogenes and R. tumefaciens-Mediated Transformation
4. Materials and Methods
4.1. Plant Materials and Growth Conditions
4.2. Construction of Basic Editing Vectors
4.3. Construction of Editing Vectors for Knockout GmRj7, GmNNL1, AtBRI1, and AtPDS3 Genes
4.4. Hairy Root Transformation in Soybean and Validation of Genome Editing Efficiency
4.5. Arabidopsis Transformation and Validation of Genome Editing Efficiency
5. Conclusions
Supplementary Materials
Author Contributions
Funding
Data Availability Statement
Conflicts of Interest
References
- Gao, C. Genome Engineering for Crop Improvement and Future Agriculture. Cell 2021, 184, 1621–1635. [Google Scholar] [CrossRef]
- Yu, H.; Lin, T.; Meng, X.; Du, H.; Zhang, J.; Liu, G.; Chen, M.; Jing, Y.; Kou, L.; Li, X.; et al. A Route to de Novo Domestication of Wild Allotetraploid Rice. Cell 2021, 184, 1156–1170.e14. [Google Scholar] [CrossRef] [PubMed]
- Li, T.; Yang, X.; Yu, Y.; Si, X.; Zhai, X.; Zhang, H.; Dong, W.; Gao, C.; Xu, C. Domestication of Wild Tomato Is Accelerated by Genome Editing. Nat. Biotechnol. 2018, 36, 1160–1163. [Google Scholar] [CrossRef] [PubMed]
- Feng, C.; Su, H.; Bai, H.; Wang, R.; Liu, Y.; Guo, X.; Liu, C.; Zhang, J.; Yuan, J.; Birchler, J.A.; et al. High-efficiency Genome Editing Using a Dmc1 Promoter-controlled CRISPR /Cas9 System in Maize. Plant Biotechnol. J. 2018, 16, 1848–1857. [Google Scholar] [CrossRef] [PubMed]
- Ma, X.; Zhang, Q.; Zhu, Q.; Liu, W.; Chen, Y.; Qiu, R.; Wang, B.; Yang, Z.; Li, H.; Lin, Y.; et al. A Robust CRISPR/Cas9 System for Convenient, High-Efficiency Multiplex Genome Editing in Monocot and Dicot Plants. Mol. Plant 2015, 8, 1274–1284. [Google Scholar] [CrossRef]
- Li, H.-J.; Liu, N.-Y.; Shi, D.-Q.; Liu, J.; Yang, W.-C. YAO Is a Nucleolar WD40-Repeat Protein Critical for Embryogenesis and Gametogenesis in Arabidopsis. BMC Plant Biol. 2010, 10, 169. [Google Scholar] [CrossRef]
- Yan, L.; Wei, S.; Wu, Y.; Hu, R.; Li, H.; Yang, W.; Xie, Q. High-Efficiency Genome Editing in Arabidopsis Using YAO Promoter-Driven CRISPR/Cas9 System. Mol. Plant 2015, 8, 1820–1823. [Google Scholar] [CrossRef]
- Zhang, F.; LeBlanc, C.; Irish, V.F.; Jacob, Y. Rapid and Efficient CRISPR/Cas9 Gene Editing in Citrus Using the YAO Promoter. Plant Cell Rep. 2017, 36, 1883–1887. [Google Scholar] [CrossRef]
- Wang, Z.-P.; Xing, H.-L.; Dong, L.; Zhang, H.-Y.; Han, C.-Y.; Wang, X.-C.; Chen, Q.-J. Egg Cell-Specific Promoter-Controlled CRISPR/Cas9 Efficiently Generates Homozygous Mutants for Multiple Target Genes in Arabidopsis in a Single Generation. Genome Biol. 2015, 16, 144. [Google Scholar] [CrossRef]
- Mao, Y.; Zhang, Z.; Feng, Z.; Wei, P.; Zhang, H.; Botella, J.R.; Zhu, J. Development of Germ-line-specific CRISPR-Cas9 Systems to Improve the Production of Heritable Gene Modifications in Arabidopsis. Plant Biotechnol. J. 2016, 14, 519–532. [Google Scholar] [CrossRef]
- Miki, D.; Zhang, W.; Zeng, W.; Feng, Z.; Zhu, J.-K. CRISPR/Cas9-Mediated Gene Targeting in Arabidopsis Using Sequential Transformation. Nat. Commun. 2018, 9, 1967. [Google Scholar] [CrossRef]
- Li, B.; Shang, Y.; Wang, L.; Lv, J.; Wu, Q.; Wang, F.; Chao, J.; Mao, J.; Ding, A.; Wu, X.; et al. Efficient Genome Editing in Dicot Plants Using Calreticulin Promoter-Driven CRISPR/Cas System. Mol. Hortic. 2025, 5, 9. [Google Scholar] [CrossRef] [PubMed]
- Cui, Y.; Zhang, Q.; Meng, Q.; Liu, X.; Liu, X. The Peanut Ubiquitin4 Promoter Drives Stable Gene Overexpression and Efficient Multiplex CRISPR/Cas9 Gene Editing in Peanut. aBIOTECH 2025. [Google Scholar] [CrossRef]
- Liu, S.; Wang, X.; Li, Q.; Peng, W.; Zhang, Z.; Chu, P.; Guo, S.; Fan, Y.; Lyu, S. AtGCS Promoter-Driven Clustered Regularly Interspaced Short Palindromic Repeats/Cas9 Highly Efficiently Generates Homozygous/Biallelic Mutations in the Transformed Roots by Agrobacterium Rhizogenes–Mediated Transformation. Front. Plant Sci. 2022, 13, 952428. [Google Scholar] [CrossRef] [PubMed]
- Cong, L.; Ran, F.A.; Cox, D.; Lin, S.; Barretto, R.; Habib, N.; Hsu, P.D.; Wu, X.; Jiang, W.; Marraffini, L.A.; et al. Multiplex Genome Engineering Using CRISPR/Cas Systems. Science 2013, 339, 819–823. [Google Scholar] [CrossRef]
- Jinek, M.; Chylinski, K.; Fonfara, I.; Hauer, M.; Doudna, J.A.; Charpentier, E. A Programmable Dual-RNA–Guided DNA Endonuclease in Adaptive Bacterial Immunity. Science 2012, 337, 816–821. [Google Scholar] [CrossRef] [PubMed]
- Puchta, H.; Fauser, F. Synthetic Nucleases for Genome Engineering in Plants: Prospects for a Bright Future. Plant J. 2014, 78, 727–741. [Google Scholar] [CrossRef]
- Maruyama, T.; Dougan, S.K.; Truttmann, M.C.; Bilate, A.M.; Ingram, J.R.; Ploegh, H.L. Increasing the Efficiency of Precise Genome Editing with CRISPR-Cas9 by Inhibition of Nonhomologous End Joining. Nat. Biotechnol. 2015, 33, 538–542. [Google Scholar] [CrossRef]
- Park, S.-J.; Ciccone, S.L.M.; Freie, B.; Kurimasa, A.; Chen, D.J.; Li, G.C.; Clapp, D.W.; Lee, S.-H. A Positive Role for the Ku Complex in DNA Replication Following Strand Break Damage in Mammals. J. Biol. Chem. 2004, 279, 6046–6055. [Google Scholar] [CrossRef]
- Liu, P.F.; Wang, Y.K.; Chang, W.C.; Chang, H.Y.; Pan, R.L. Regulation of Arabidopsis Thaliana Ku Genes at Different Developmental Stages under Heat Stress. Biochim. Biophys. Acta (BBA)—Gene Regul. Mech. 2008, 1779, 402–407. [Google Scholar] [CrossRef]
- Zhang, W.-W.; Yaneva, M. On the Mechanisms of Ku Protein Binding to DNA. Biochem. Biophys. Res. Commun. 1992, 186, 574–579. [Google Scholar] [CrossRef]
- Winter, D.; Vinegar, B.; Nahal, H.; Ammar, R.; Wilson, G.V.; Provart, N.J. An “Electronic Fluorescent Pictograph” Browser for Exploring and Analyzing Large-Scale Biological Data Sets. PLoS ONE 2007, 2, e718. [Google Scholar] [CrossRef]
- Qin, G.; Gu, H.; Ma, L.; Peng, Y.; Deng, X.W.; Chen, Z.; Qu, L.-J. Disruption of Phytoene Desaturase Gene Results in Albino and Dwarf Phenotypes in Arabidopsis by Impairing Chlorophyll, Carotenoid, and Gibberellin Biosynthesis. Cell Res. 2007, 17, 471–482. [Google Scholar] [CrossRef]
- Noguchi, T.; Fujioka, S.; Choe, S.; Takatsuto, S.; Yoshida, S.; Yuan, H.; Feldmann, K.A.; Tax, F.E. Brassinosteroid-Insensitive Dwarf Mutants of Arabidopsis Accumulate Brassinosteroids. Plant Physiol. 1999, 121, 743–752. [Google Scholar] [CrossRef]
- Xing, H.-L.; Dong, L.; Wang, Z.-P.; Zhang, H.-Y.; Han, C.-Y.; Liu, B.; Wang, X.-C.; Chen, Q.-J. A CRISPR/Cas9 Toolkit for Multiplex Genome Editing in Plants. BMC Plant Biol. 2014, 14, 327. [Google Scholar] [CrossRef]
- Wang, X.; Teng, C.; Wei, H.; Liu, S.; Xuan, H.; Peng, W.; Li, Q.; Hao, H.; Lyu, Q.; Lyu, S.; et al. Development of a Set of Novel Binary Expression Vectors for Plant Gene Function Analysis and Genetic Transformation. Front. Plant Sci. 2023, 13, 1104905. [Google Scholar] [CrossRef] [PubMed]
- Klepikova, A.V.; Kasianov, A.S.; Gerasimov, E.S.; Logacheva, M.D.; Penin, A.A. A High Resolution Map of the Arabidopsis Thaliana Developmental Transcriptome Based on RNA-seq Profiling. Plant J. 2016, 88, 1058–1070. [Google Scholar] [CrossRef] [PubMed]
- Oikemus, S.; Hu, K.; Shin, M.; Idrizi, F.; Goodman-Khan, A.; Kolb, A.; Ghanta, K.S.; Lee, J.; Wagh, A.; Wolfe, S.A.; et al. Identifying Optimal Conditions for Precise Knock-in of Exogenous DNA into the Zebrafish Genome. Development 2025, 152, dev204571. [Google Scholar] [CrossRef] [PubMed]
- Boel, A.; Steyaert, W.; De Rocker, N.; Menten, B.; Callewaert, B.; De Paepe, A.; Coucke, P.; Willaert, A. BATCH-GE: Batch Analysis of Next-Generation Sequencing Data for Genome Editing Assessment. Sci. Rep. 2016, 6, 30330. [Google Scholar] [CrossRef]
- Koblan, L.W.; Doman, J.L.; Wilson, C.; Levy, J.M.; Tay, T.; Newby, G.A.; Maianti, J.P.; Raguram, A.; Liu, D.R. Improving Cytidine and Adenine Base Editors by Expression Optimization and Ancestral Reconstruction. Nat. Biotechnol. 2018, 36, 843–846. [Google Scholar] [CrossRef]
- Zhang, Z.; Baxter, A.E.; Ren, D.; Qin, K.; Chen, Z.; Collins, S.M.; Huang, H.; Komar, C.A.; Bailer, P.F.; Parker, J.B.; et al. Efficient Engineering of Human and Mouse Primary Cells Using Peptide-Assisted Genome Editing. Nat. Biotechnol. 2024, 42, 305–315. [Google Scholar] [CrossRef] [PubMed]
- Develtere, W.; Decaestecker, W.; Rombaut, D.; Anders, C.; Clicque, E.; Vuylsteke, M.; Jacobs, T.B. Continual Improvement of CRISPR-induced Multiplex Mutagenesis in Arabidopsis. Plant J. 2024, 119, 1158–1172. [Google Scholar] [CrossRef] [PubMed]
- Bai, M.; Lin, W.; Peng, C.; Song, P.; Kuang, H.; Lin, J.; Zhang, J.; Wang, J.; Chen, B.; Li, H.; et al. Expressing a Human RNA Demethylase as an Assister Improves Gene-Editing Efficiency in Plants. Mol. Plant 2024, 17, 363–366. [Google Scholar] [CrossRef] [PubMed]
- Zhang, Y.; Ren, Q.; Tang, X.; Liu, S.; Malzahn, A.A.; Zhou, J.; Wang, J.; Yin, D.; Pan, C.; Yuan, M.; et al. Expanding the Scope of Plant Genome Engineering with Cas12a Orthologs and Highly Multiplexable Editing Systems. Nat. Commun. 2021, 12, 1944. [Google Scholar] [CrossRef]
- Schlechter, R.O.; Jun, H.; Bernach, M.; Oso, S.; Boyd, E.; Muñoz-Lintz, D.A.; Dobson, R.C.J.; Remus, D.M.; Remus-Emsermann, M.N.P. Chromatic Bacteria—A Broad Host-Range Plasmid and Chromosomal Insertion Toolbox for Fluorescent Protein Expression in Bacteria. Front. Microbiol. 2018, 9, 3052. [Google Scholar] [CrossRef]
- Fan, Y.; Zhang, X.; Zhong, L.; Wang, X.; Jin, L.; Lyu, S. One-Step Generation of Composite Soybean Plants with Transgenic Roots by Agrobacterium Rhizogenes-Mediated Transformation. BMC Plant Biol. 2020, 20, 208. [Google Scholar] [CrossRef]
- Zhang, H.; Cao, Y.; Zhang, H.; Xu, Y.; Zhou, C.; Liu, W.; Zhu, R.; Shang, C.; Li, J.; Shen, Z.; et al. Efficient Generation of CRISPR/Cas9-Mediated Homozygous/Biallelic Medicago Truncatula Mutants Using a Hairy Root System. Front. Plant Sci. 2020, 11, 294. [Google Scholar] [CrossRef]
- Zhang, X.; Teng, C.; Lyu, K.; Lyu, S.; Fan, Y. ‘Two in One’ Cloning Vector Applied for Blunt-End and T-A Cloning with One-Step Digestion–Ligation and Screening of Positive Recombinants by Unaided Eyes. CIMB 2024, 47, 17. [Google Scholar] [CrossRef]




| CRISPR/Cas9 System | GmRj7 (Number of HBM/Total) | GmNNL1 (Number of HBM/Total) |
|---|---|---|
| pRd35Cas9-2BR | 66.7% (20/30) | 25.6% (23/90) |
| pRdKu70Cas9-2BR | 66.7% (20/30) | 50% (45/90) |
| pRdKu80Cas9-2BR | 60% (18/30) | 48.9% (44/90) |
| CRISPR/Cas9 System | AtPDS (Number of HBM/Total) | AtBRI1 (Number of HBM/Total) |
|---|---|---|
| pRd35SCas9-2BR | 19.2% (11/52) | 17.7% (8/45) |
| pRdKu70Cas9-2BR | 47.5% (29/61) | 43.4% (23/53) |
| pRdKu80Cas9-2BR | 39.3% (22/56) | 34.5% (19/55) |
Disclaimer/Publisher’s Note: The statements, opinions and data contained in all publications are solely those of the individual author(s) and contributor(s) and not of MDPI and/or the editor(s). MDPI and/or the editor(s) disclaim responsibility for any injury to people or property resulting from any ideas, methods, instructions or products referred to in the content. |
© 2025 by the authors. Licensee MDPI, Basel, Switzerland. This article is an open access article distributed under the terms and conditions of the Creative Commons Attribution (CC BY) license (https://creativecommons.org/licenses/by/4.0/).
Share and Cite
Zhang, H.; Teng, C.; Lyu, S.; Fan, Y. High-Frequency Generation of Homozygous/Biallelic Mutants via CRISPR/Cas9 Driven by AtKu70/80 Promoters. Int. J. Mol. Sci. 2025, 26, 9094. https://doi.org/10.3390/ijms26189094
Zhang H, Teng C, Lyu S, Fan Y. High-Frequency Generation of Homozygous/Biallelic Mutants via CRISPR/Cas9 Driven by AtKu70/80 Promoters. International Journal of Molecular Sciences. 2025; 26(18):9094. https://doi.org/10.3390/ijms26189094
Chicago/Turabian StyleZhang, Huihui, Chong Teng, Shanhua Lyu, and Yinglun Fan. 2025. "High-Frequency Generation of Homozygous/Biallelic Mutants via CRISPR/Cas9 Driven by AtKu70/80 Promoters" International Journal of Molecular Sciences 26, no. 18: 9094. https://doi.org/10.3390/ijms26189094
APA StyleZhang, H., Teng, C., Lyu, S., & Fan, Y. (2025). High-Frequency Generation of Homozygous/Biallelic Mutants via CRISPR/Cas9 Driven by AtKu70/80 Promoters. International Journal of Molecular Sciences, 26(18), 9094. https://doi.org/10.3390/ijms26189094

