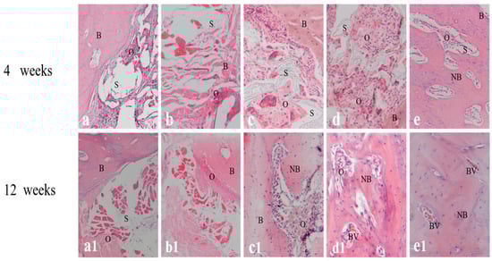
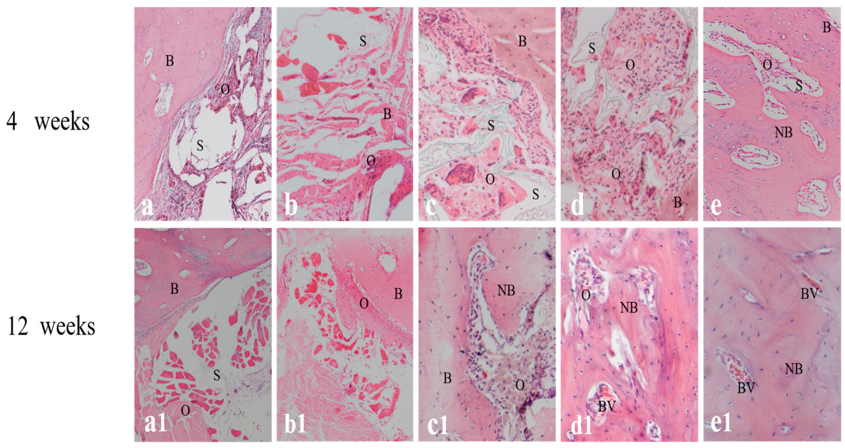
Correction: Su et al. Dual Delivery of BMP-2 and bFGF from a New Nano-Composite Scaffold, Loaded with Vascular Stents for Large-Size Mandibular Defect Regeneration. Int. J. Mol. Sci. 2013, 14, 12714–12728
Reference
- Su, J.; Xu, H.; Sun, J.; Gong, X.; Zhao, H. Dual Delivery of BMP-2 and bFGF from a New Nano-Composite Scaffold, Loaded with Vascular Stents for Large-Size Mandibular Defect Regeneration. Int. J. Mol. Sci. 2013, 14, 12714–12728. [Google Scholar] [CrossRef]


Disclaimer/Publisher’s Note: The statements, opinions and data contained in all publications are solely those of the individual author(s) and contributor(s) and not of MDPI and/or the editor(s). MDPI and/or the editor(s) disclaim responsibility for any injury to people or property resulting from any ideas, methods, instructions or products referred to in the content. |
© 2025 by the authors. Licensee MDPI, Basel, Switzerland. This article is an open access article distributed under the terms and conditions of the Creative Commons Attribution (CC BY) license (https://creativecommons.org/licenses/by/4.0/).
Share and Cite
Su, J.; Xu, H.; Sun, J.; Gong, X.; Zhao, H. Correction: Su et al. Dual Delivery of BMP-2 and bFGF from a New Nano-Composite Scaffold, Loaded with Vascular Stents for Large-Size Mandibular Defect Regeneration. Int. J. Mol. Sci. 2013, 14, 12714–12728. Int. J. Mol. Sci. 2025, 26, 8730. https://doi.org/10.3390/ijms26178730
Su J, Xu H, Sun J, Gong X, Zhao H. Correction: Su et al. Dual Delivery of BMP-2 and bFGF from a New Nano-Composite Scaffold, Loaded with Vascular Stents for Large-Size Mandibular Defect Regeneration. Int. J. Mol. Sci. 2013, 14, 12714–12728. International Journal of Molecular Sciences. 2025; 26(17):8730. https://doi.org/10.3390/ijms26178730
Chicago/Turabian StyleSu, Jiansheng, Hongzhen Xu, Jun Sun, Xue Gong, and Hang Zhao. 2025. "Correction: Su et al. Dual Delivery of BMP-2 and bFGF from a New Nano-Composite Scaffold, Loaded with Vascular Stents for Large-Size Mandibular Defect Regeneration. Int. J. Mol. Sci. 2013, 14, 12714–12728" International Journal of Molecular Sciences 26, no. 17: 8730. https://doi.org/10.3390/ijms26178730
APA StyleSu, J., Xu, H., Sun, J., Gong, X., & Zhao, H. (2025). Correction: Su et al. Dual Delivery of BMP-2 and bFGF from a New Nano-Composite Scaffold, Loaded with Vascular Stents for Large-Size Mandibular Defect Regeneration. Int. J. Mol. Sci. 2013, 14, 12714–12728. International Journal of Molecular Sciences, 26(17), 8730. https://doi.org/10.3390/ijms26178730
