Local Expression of Epigenetic Candidate Biomarkers of Adolescent Idiopathic Scoliosis Progression
Abstract
1. Introduction
2. Results
2.1. Gene Expression Profiling Across Musculoskeletal Tissues
2.2. Comparison Between Musculoskeletal Tissues and Peripheral Blood
2.3. Comparison Between Convex and Concave Tissue Compartments
2.4. miRNA Expression Analysis
2.5. Correlation Between Gene Expression and Clinical Parameters
3. Discussion
4. Materials and Methods
4.1. Case Series
4.2. Tissue Harvesting
4.3. RNA Isolation
4.4. Gene Expression Analysis
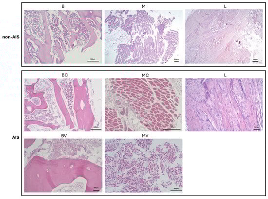
4.5. Histology
4.6. Statistical Analysis
5. Conclusions
Supplementary Materials
Author Contributions
Funding
Institutional Review Board Statement
Informed Consent Statement
Data Availability Statement
Acknowledgments
Conflicts of Interest
Abbreviations
| 18S | 18S ribosomal RNA |
| PITX1 | Paired-like homeodomain 1 |
| PCDH10 | Protocadherin 10 |
| GREM1 | Gremlin1 |
| CTNNB1 | Catenin beta 1 |
| GSK3B | Glycogen synthase kinase 3 beta |
| LRP6 | LDL receptor-related protein 6 |
| DKK1 | Dickkopf-related protein 1 |
| GAPDH | Glyceraldehyde-3-phosphate dehydrogenase |
| COMP | Cartilage oligomeric matrix protein |
| H19 | H19 imprinted maternally expressed transcript |
| NPY | Neuropeptide Y |
| FGF4 | Fibroblast growth factor 4 |
| WNT10A | Wnt family member 10A |
| FBN1 | Fibrillin-1 |
| MYH3 | Myosin heavy chain 3 |
| B2M | Beta-2-microglobulin |
| CRTC1 | CREB-regulated transcription coactivator 1 |
| ADIPOQ | Adiponectin |
| SOX9 | SRY-box transcription factor 9 |
| FRZB | Frizzled-related protein |
| AXIN1 | Axin 1 |
| FBN2 | Fibrillin 2 |
| ESR2 | Estrogen receptor 2 |
| PPIA | Peptidylprolyl isomerase A |
| HAS2 | Hyaluronan synthase 2 |
| ESR1 | Estrogen receptor 1 |
| APC | Adenomatous polyposis coli |
| FZD1 | Frizzled class receptor 1 |
| LRP5 | LDL receptor-related protein 5 |
| WNT1 | Wnt family member 1 |
| MSTN | Myostatin |
References
- Konieczny, M.R.; Senyurt, H.; Krauspe, R. Epidemiology of adolescent idiopathic scoliosis. J. Child. Orthop. 2013, 7, 3–9. [Google Scholar] [CrossRef]
- Wang, Y.; Chen, H.; Zhang, J.; Lam, T.-p.; Hung, A.L.H.; Cheng, J.C.Y.; Lee, W.Y.W. Potential Muscle-Related Biomarkers in Predicting Curve Progression to the Surgical Threshold in Adolescent Idiopathic Scoliosis-A Pilot Proteomic Study Comparing Four Non-Progressive vs. Four Progressive Patients vs. A Control Cohort. J. Clin. Med. 2021, 10, 4927. [Google Scholar] [CrossRef]
- Khatami, N.; Caraus, I.; Rahaman, M.; Nepotchatykh, E.; Elbakry, M.; Elremaly, W.; Franco, A.; Beauséjour, M.; Laberge, A.-M.; Parent, S.; et al. Genome-wide profiling of circulating microRNAs in adolescent idiopathic scoliosis and their relation to spinal deformity severity, and disease pathophysiology. Sci. Rep. 2025, 15, 5305. [Google Scholar] [CrossRef]
- Ward, K.; Ogilvie, J.W.; Singleton, M.V.; Chettier, R.; Engler, G.; Nelson, L.M. Validation of DNA-Based Prognostic Testing to Predict Spinal Curve Progression in Adolescent Idiopathic Scoliosis. Spine 2010, 35, 1455–1464. [Google Scholar] [CrossRef]
- Roye, B.D.; Wright, M.L.; Matsumoto, H.; Yorgova, P.; McCalla, D.; Hyman, J.E.; Roye, D.P.; Shah, S.A.; Vitale, M.G. An Independent Evaluation of the Validity of a DNA-Based Prognostic Test for Adolescent Idiopathic Scoliosis. J. Bone Jt. Surg.—Am. Vol. 2014, 97, 1994–1998. [Google Scholar] [CrossRef] [PubMed]
- Faldini, C.; Manzetti, M.; Neri, S.; Barile, F.; Viroli, G.; Geraci, G.; Ursini, F.; Ruffilli, A. Epigenetic and Genetic Factors Related to Curve Progression in Adolescent Idiopathic Scoliosis: A Systematic Scoping Review of the Current Literature. Int. J. Mol. Sci. 2022, 23, 5914. [Google Scholar] [CrossRef] [PubMed]
- Inoue, M.; Minami, S.; Nakata, Y.; Kitahara, H.; Otsuka, Y.; Isobe, K.; Takaso, M.; Tokunaga, M.; Nishikawa, S.; Maruta, T.; et al. Association between Estrogen Receptor Gene Polymorphisms and Curve Severity of Idiopathic Scoliosis. Spine 2002, 27, 2357–2362. [Google Scholar] [CrossRef]
- Inoue, M.; Minami, S.; Nakata, Y.; Takaso, M.; Otsuka, Y.; Kitahara, H.; Isobe, K.; Kotani, T.; Maruta, T.; Moriya, H. Prediction of Curve Progression in Idiopathic Scoliosis from Gene Polymorphic Analysis. Stud. Health Technol. Inform. 2002, 91, 90–96. [Google Scholar] [CrossRef] [PubMed]
- Lonstein, J.E.; Carlson, J.M. The Prediction of Curve Progression in Untreated Idiopathic Scoliosis during Growth. J. Bone Jt. Surg.—Ser. A 1984, 66, 1061–1071. [Google Scholar] [CrossRef]
- Pérez-Machado, G.; Berenguer-Pascual, E.; Bovea-Marco, M.; Rubio-Belmar, P.A.; García-López, E.; Garzón, M.J.; Mena-Mollá, S.; Pallardó, F.V.; Bas, T.; Viña, J.R.; et al. From Genetics to Epigenetics to Unravel the Etiology of Adolescent Idiopathic Scoliosis. Bone 2020, 140, 115563. [Google Scholar] [CrossRef]
- García-Cano, E.; Arámbula Cosío, F.; Duong, L.; Bellefleur, C.; Roy-Beaudry, M.; Joncas, J.; Parent, S.; Labelle, H. Prediction of Spinal Curve Progression in Adolescent Idiopathic Scoliosis Using Random Forest Regression. Comput. Biol. Med. 2018, 103, 34–43. [Google Scholar] [CrossRef]
- Zhu, Z.; Tang, N.L.S.; Xu, L.; Qin, X.; Mao, S.; Song, Y.; Liu, L.; Li, F.; Liu, P.; Yi, L.; et al. Genome-Wide Association Study Identifies New Susceptibility Loci for Adolescent Idiopathic Scoliosis in Chinese Girls. Nat. Commun. 2015, 6, 8355. [Google Scholar] [CrossRef] [PubMed]
- Londono, D.; Kou, I.; Johnson, T.A.; Sharma, S.; Ogura, Y.; Tsunoda, T.; Takahashi, A.; Matsumoto, M.; Herring, J.A.; Lam, T.P.; et al. A Meta-Analysis Identifies Adolescent Idiopathic Scoliosis Association with LBX1 Locus in Multiple Ethnic Groups. J. Med. Genet. 2014, 51, 401–406. [Google Scholar] [CrossRef]
- Raimondi, L.; De Luca, A.; Gallo, A.; Perna, F.; Cuscino, N.; Cordaro, A.; Costa, V.; Bellavia, D.; Faldini, C.; Scilabra, S.D.; et al. Investigating the Differential Circulating MicroRNA Expression in Adolescent Females with Severe Idiopathic Scoliosis: A Proof-of-Concept Observational Clinical Study. Int. J. Mol. Sci. 2024, 25, 570. [Google Scholar] [CrossRef] [PubMed]
- Meng, Y.; Lin, T.; Liang, S.; Gao, R.; Jiang, H.; Shao, W.; Yang, F.; Zhou, X. Value of DNA Methylation in Predicting Curve Progression in Patients with Adolescent Idiopathic Scoliosis. EBioMedicine 2018, 36, 489–496. [Google Scholar] [CrossRef]
- Carry, P.M.; Terhune, E.A.; Trahan, G.D.; Vanderlinden, L.A.; Wethey, C.I.; Ebrahimi, P.; McGuigan, F.; Åkesson, K.; Had-ley-miller, N. Severity of Idiopathic Scoliosis Is Associated with Differential Methylation: An Epigenome-Wide Association Study of Monozygotic Twins with Idiopathic Scoliosis. Genes 2021, 12, 1191. [Google Scholar] [CrossRef] [PubMed]
- Shi, B.; Xu, L.L.; Mao, S.; Xu, L.L.; Liu, Z.; Sun, X.; Zhu, Z.; Qiu, Y. Abnormal PITX1 Gene Methylation in Adolescent Idiopathic Scoliosis: A Pilot Study. BMC Musculoskelet. Disord. 2018, 19, 138. [Google Scholar] [CrossRef]
- hu Mao, S.; ping Qian, B.; Shi, B.; zhang Zhu, Z.; Qiu, Y. Quantitative Evaluation of the Relationship between COMP Promoter Methylation and the Susceptibility and Curve Progression of Adolescent Idiopathic Scoliosis. Eur. Spine J. 2018, 27, 272–277. [Google Scholar] [CrossRef]
- Shi, B.; Mao, S.; Xu, L.; Li, Y.; Sun, X.; Liu, Z.; Zhu, Z.; Qiu, Y. Quantitation Analysis of PCDH10 Methylation in Adolescent Idiopathic Scoliosis Using Pyrosequencing Study. Spine 2020, 45, E373–E378. [Google Scholar] [CrossRef]
- Zhang, J.; Chen, H.; Leung, R.K.K.; Choy, K.W.; Lam, T.P.; Ng, B.K.W.; Qiu, Y.; Feng, J.Q.; Cheng, J.C.Y.; Lee, W.Y.W. Aberrant MiR-145-5p/b-Catenin Signal Impairs Osteocyte Function in Adolescent Idiopathic Scoliosis. FASEB J. 2018, 32, 6537–6549. [Google Scholar] [CrossRef]
- Wang, Y.; Zhang, H.; Yang, G.; Xiao, L.; Li, J.; Guo, C. Dysregulated Bone Metabolism Is Related to High Expression of MiR-151a-3p in Severe Adolescent Idiopathic Scoliosis. Biomed. Res. Int. 2020, 2020, 4243015. [Google Scholar] [CrossRef]
- García-Giménez, J.L.; Rubio-Belmar, P.A.; Peiró-Chova, L.; Hervás, D.; González-Rodríguez, D.; Ibañez-Cabellos, J.S.; Bas-Hermida, P.; Mena-Mollá, S.; García-López, E.M.; Pallardó, F.V.; et al. Circulating MiRNAs as Diagnostic Biomarkers for Adolescent Idiopathic Scoliosis. Sci. Rep. 2018, 8, 2646. [Google Scholar] [CrossRef]
- Zamborský, R.; Liščák, B.; Trepáč, M.; Švec, A.; Danisovič, Ľ. Adolescent Idiopathic Scoliosis-Future Molecular-Based Diagnostic and Prognostic Testing. Ortop. Traumatol. Rehabil. 2019, 21, 253–260. [Google Scholar] [CrossRef]
- Jiang, H.; Yang, F.; Lin, T.; Shao, W.; Meng, Y.; Ma, J.; Wang, C.; Gao, R.; Zhou, X. Asymmetric Expression of H19 and ADIPOQ in Concave/Convex Paravertebral Muscles Is Associated with Severe Adolescent Idiopathic Scoliosis. Mol. Med. 2018, 24, 48. [Google Scholar] [CrossRef]
- Gutierrez-Arcelus, M.; Ongen, H.; Lappalainen, T.; Montgomery, S.B.; Buil, A.; Yurovsky, A.; Bryois, J.; Padioleau, I.; Romano, L.; Planchon, A.; et al. Tissue-Specific Effects of Genetic and Epigenetic Variation on Gene Regulation and Splicing. PLoS Genet. 2015, 11, e1004958. [Google Scholar] [CrossRef] [PubMed]
- Miller, R.H.; Pollard, C.A.; Brogaard, K.R.; Olson, A.C.; Barney, R.C.; Lipshultz, L.I.; Johnstone, E.B.; Ibrahim, Y.O.; Hotaling, J.M.; Schisterman, E.F.; et al. Tissue-Specific DNA Methylation Variability and Its Potential Clinical Value. Front. Genet. 2023, 14, 1125967. [Google Scholar] [CrossRef]
- Zhang, F.; Jonsson, A.H.; Nathan, A.; Millard, N.; Curtis, M.; Xiao, Q.; Gutierrez-Arcelus, M.; Apruzzese, W.; Watts, G.F.M.; Weisenfeld, D.; et al. Deconstruction of Rheumatoid Arthritis Synovium Defines Inflammatory Subtypes. Nature 2023, 623, 616–624. [Google Scholar] [CrossRef] [PubMed]
- Neri, S.; Assirelli, E.; Manzetti, M.; Viroli, G.; Ialuna, M.; Traversari, M.; Ciaffi, J.; Ursini, F.; Faldini, C.; Ruffilli, A. Identification of Epigenetic Biomarkers of Adolescent Idiopathic Scoliosis Progression: A Workflow to Assess Local Gene Expression. Int. J. Mol. Sci. 2024, 25, 5329. [Google Scholar] [CrossRef]
- Sun, D.; Ding, Z.; Hai, Y.; Cheng, Y. Advances in Epigenetic Research of Adolescent Idiopathic Scoliosis and Congenital Scoliosis. Front. Genet. 2023, 14, 1211376. [Google Scholar] [CrossRef] [PubMed]
- Vandesompele, J.; De Preter, K.; Pattyn, F.; Poppe, B.; Van Roy, N.; De Paepe, A.; Speleman, F. Accurate Normalization of Real-Time Quantitative RT-PCR Data by Geometric Averaging of Multiple Internal Control Genes. Genome Biol. 2002, 3, research0034.1. [Google Scholar] [CrossRef]
- Andersen, C.L.; Jensen, J.L.; Ørntoft, T.F. Normalization of Real-Time Quantitative Reverse Transcription-PCR Data: A Model-Based Variance Estimation Approach to Identify Genes Suited for Normalization, Applied to Bladder and Colon Cancer Data Sets. Cancer Res. 2004, 64, 5245–5250. [Google Scholar] [CrossRef]
- Lonsdale, J.; Thomas, J.; Salvatore, M.; Phillips, R.; Lo, E.; Shad, S.; Hasz, R.; Walters, G.; Garcia, F.; Young, N.; et al. The Geno-type-Tissue Expression (GTEx) Project. Nat. Genet. 2013, 45, 580–585. [Google Scholar] [CrossRef]
- Livak, K.J.; Schmittgen, T.D. Analysis of Relative Gene Expression Data Using Real-Time Quantitative PCR and the 2-ΔΔCT Method. Methods 2001, 25, 402–408. [Google Scholar] [CrossRef]
- Fendri, K.; Patten, S.A.; Kaufman, G.N.; Zaouter, C.; Parent, S.; Grimard, G.; Edery, P.; Moldovan, F. Microarray Expression Profiling Identifies Genes with Altered Expression in Adolescent Idiopathic Scoliosis. Eur. Spine J. 2013, 22, 1300–1311. [Google Scholar] [CrossRef]
- Zhuang, Q.; Mao, W.; Xu, P.; Li, H.; Sun, Z.; Li, S.; Qiu, G.; Li, J.; Zhang, J. Identification of Differential Genes Expression Profiles and Pathways of Bone Marrow Mesenchymal Stem Cells of Adolescent Idiopathic Scoliosis Patients by Microarray and Integrated Gene Network Analysis. Spine 2016, 41, 840–855. [Google Scholar] [CrossRef] [PubMed]
- Hui, S.; Yang, Y.; Li, J.; Li, N.; Xu, P.; Li, H.; Zhang, Y.; Wang, S.; Lin, G.; Li, S.; et al. Differential MiRNAs Profile and Bioinformatics Analyses in Bone Marrow Mesenchymal Stem Cells from Adolescent Idiopathic Scoliosis Patients. Spine J. 2019, 19, 1584–1596. [Google Scholar] [CrossRef]
- Kouwenhoven, J.-W.M.; Castelein, R.M. The Pathogenesis of Adolescent Idiopathic Scoliosis. Spine 2008, 33, 2898–2908. [Google Scholar] [CrossRef] [PubMed]
- Xu, L.; Dai, Z.; Xia, C.; Wu, Z.; Feng, Z.; Sun, X.; Liu, Z.; Qiu, Y.; Cheng, J.C.Y.; Zhu, Z. Asymmetric Expression of Wnt/B-Catenin Pathway in AIS: Primary or Secondary to the Curve? Spine 2020, 45, E677–E683. [Google Scholar] [CrossRef] [PubMed]
- von Maltzahn, J.; Chang, N.C.; Bentzinger, C.F.; Rudnicki, M.A. Wnt Signaling in Myogenesis. Trends Cell Biol. 2012, 22, 602–609. [Google Scholar] [CrossRef]
- Cheng, J.C.; Castelein, R.M.; Chu, W.C.; Danielsson, A.J.; Dobbs, M.B.; Grivas, T.B.; Gurnett, C.A.; Luk, K.D.; Moreau, A.; Newton, P.O.; et al. Adolescent Idiopathic Scoliosis. Nat. Rev. Dis. Primers 2015, 1, 15030. [Google Scholar] [CrossRef]
- Newman, J.M.; Shah, N.V.; Diebo, B.G.; Goldstein, A.C.; Coste, M.; Varghese, J.J.; Murray, D.P.; Naziri, Q.; Paulino, C.B. The Top 100 Classic Papers on Adolescent Idiopathic Scoliosis in the Past 25 Years: A Bibliometric Analysis of the Orthopaedic Literature. Spine Deform. 2020, 8, 5–16. [Google Scholar] [CrossRef] [PubMed]
- Faldini, C.; Viroli, G.; Fiore, M.; Barile, F.; Manzetti, M.; Di Martino, A.; Ruffilli, A. Power-Assisted Pedicle Screws Placement: Is It as Safe and as Effective as Manual Technique? Narrative Review of the Literature and Our Technique. Musculoskelet. Surg. 2021, 105, 117–123. [Google Scholar] [CrossRef] [PubMed]
- Faldini, C.; Barile, F.; Viroli, G.; Manzetti, M.; Ialuna, M.; Traversari, M.; Paolucci, A.; Rinaldi, A.; D’Antonio, G.; Ruffilli, A. Freehand Power-Assisted Pedicle Screw Placement in Scoliotic Patients: Results on 5522 Consecutive Pedicle Screws. Musculoskelet. Surg. 2024, 108, 63–68. [Google Scholar] [CrossRef] [PubMed]








| Donor ID | Age at Surgery | Gender | BMI | Main Curve Localization | Menarche Status | COBB Angle | RISSER Stage |
|---|---|---|---|---|---|---|---|
| AIS 1 | 15 | M | 19 | thoracic | NA | 60 | 4 |
| AIS 2 | 19 | F | 24 | double | yes | 60 | 5 |
| AIS 3 | 20 | F | 23 | thoracic | yes | 52 | 5 |
| AIS 4 | 19 | F | 21 | thoracic | yes | 63 | 5 |
| AIS 5 | 23 | M | 22 | thoracolumbar | NA | 52 | 5 |
| AIS 6 | 17 | F | 20 | lumbar | yes | 56 | 4 |
| AIS 7 | 19 | F | 23 | thoracic | yes | 59 | 5 |
| AIS 8 | 17 | M | 22 | lumbar | NA | 54 | 5 |
| AIS 9 | 14 | F | 23 | lumbar | yes | 67 | 4 |
| AIS 10 | 17 | M | 21 | thoracic | NA | 69 | 5 |
| AIS 11 | 17 | M | 20 | thoracic | NA | 61 | 5 |
| AIS 12 | 11 | F | 20 | thoracic | no | 45 | 2 |
| AIS 13 | 25 | F | 19 | thoracic | yes | 81 | 5 |
| AIS 14 | 17 | F | 20 | thoracic | yes | 57 | 5 |
| AIS 15 | 20 | M | 17 | thoracic | NA | 86 | 5 |
| AIS 16 | 18 | F | 22 | thoracolumbar | yes | 45 | 5 |
| AIS 17 | 25 | F | 28 | thoracic | yes | 70 | 5 |
| AIS 18 | 16 | M | 17 | thoracolumbar | NA | 64 | 4 |
| AIS 19 | 12 | F | 25 | double | yes | 72 | 2 |
| AIS 20 | 15 | M | 20 | thoracic | NA | 62 | 5 |
| AIS 21 | 22 | F | 19 | thoracic | yes | 80 | 5 |
Disclaimer/Publisher’s Note: The statements, opinions and data contained in all publications are solely those of the individual author(s) and contributor(s) and not of MDPI and/or the editor(s). MDPI and/or the editor(s) disclaim responsibility for any injury to people or property resulting from any ideas, methods, instructions or products referred to in the content. |
© 2025 by the authors. Licensee MDPI, Basel, Switzerland. This article is an open access article distributed under the terms and conditions of the Creative Commons Attribution (CC BY) license (https://creativecommons.org/licenses/by/4.0/).
Share and Cite
Neri, S.; Ruffilli, A.; Assirelli, E.; Manzetti, M.; Viroli, G.; Traversari, M.; Ialuna, M.; Naldi, S.; Ciaffi, J.; Ursini, F.; et al. Local Expression of Epigenetic Candidate Biomarkers of Adolescent Idiopathic Scoliosis Progression. Int. J. Mol. Sci. 2025, 26, 8453. https://doi.org/10.3390/ijms26178453
Neri S, Ruffilli A, Assirelli E, Manzetti M, Viroli G, Traversari M, Ialuna M, Naldi S, Ciaffi J, Ursini F, et al. Local Expression of Epigenetic Candidate Biomarkers of Adolescent Idiopathic Scoliosis Progression. International Journal of Molecular Sciences. 2025; 26(17):8453. https://doi.org/10.3390/ijms26178453
Chicago/Turabian StyleNeri, Simona, Alberto Ruffilli, Elisa Assirelli, Marco Manzetti, Giovanni Viroli, Matteo Traversari, Marco Ialuna, Susanna Naldi, Jacopo Ciaffi, Francesco Ursini, and et al. 2025. "Local Expression of Epigenetic Candidate Biomarkers of Adolescent Idiopathic Scoliosis Progression" International Journal of Molecular Sciences 26, no. 17: 8453. https://doi.org/10.3390/ijms26178453
APA StyleNeri, S., Ruffilli, A., Assirelli, E., Manzetti, M., Viroli, G., Traversari, M., Ialuna, M., Naldi, S., Ciaffi, J., Ursini, F., & Faldini, C. (2025). Local Expression of Epigenetic Candidate Biomarkers of Adolescent Idiopathic Scoliosis Progression. International Journal of Molecular Sciences, 26(17), 8453. https://doi.org/10.3390/ijms26178453

