Cinnamic Acid: A Shield Against High-Fat-Diet-Induced Liver Injury—Exploring Nrf2’s Protective Mechanisms
Abstract
1. Introduction
2. Results
2.1. CA Fails to Mitigate Fasting Glucose Levels During the IPGTT in HFD Rats
2.2. CA Does Not Change Adiposity Markers in HFD Rats
2.3. CA Fails to Alter Fasting Levels of Glucose, Insulin, and HOMA-IR
2.4. CA Lowers Serum and Hepatic Lipids in Control and HFD Rats
2.5. CA Attenuates the Increments in Serum Function Enzymes and Apoptosis Markers
2.6. CA Alleviates Oxidative Stress and Inflammation in the Livers of HFD Rats and Stimulates Antioxidant Levels in the Livers of Both the Control and HFD Rats
2.7. CA Enhances the Hepatic Nuclear Translocation of Nrf2 by Suppressing the Expression of Keap-1 Under Basal and HFD Conditions
2.8. CA Downregulates Hepatic Lipogenic Genes and Stimulates PPARα in Both the Control and HFD Rats
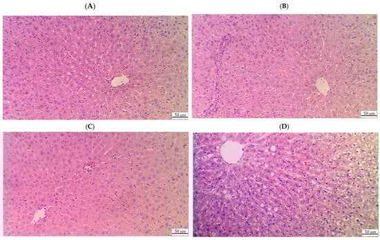
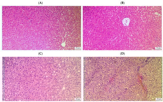
2.9. CA Prevents Hepatic Damage and Restores Normal Liver Histology in HFD Rats
3. Discussion
4. Materials and Methods
4.1. Animals
4.2. Control and HFD Composition
4.3. Drugs
4.4. Experimental Groups and Design
4.5. Measurement of Obesity-Related Anthropometric Parameters
4.6. Intraperitoneal Glucose Tolerance Test (IPGTT) and Intraperitoneal Insulin Tolerance Test (IPITT)
4.7. Euthanasia, Blood Sampling, and Tissue Collection Procedures
4.8. Preparation of Liver Homogenates
4.9. Isolation of Nuclear Proteins from Frozen Liver Tissue
4.10. Comprehensive Biochemical Assessments of the Serum
4.11. Comprehensive Biochemical Assessments of the Liver Homogenates
4.12. Biochemical Evaluation of Nuclear Tissue Fractions
4.13. Quantitative PCR Protocol for Gene Expression Analysis in Hepatic Tissues
4.14. Histological Study
4.15. Statistical Analysis
5. Conclusions
Study Limitations
Author Contributions
Funding
Institutional Review Board Statement
Data Availability Statement
Acknowledgments
Conflicts of Interest
References
- Almubark, R.A.; Alqahtani, S.; Isnani, A.C.; Alqarni, A.; Shams, M.; Yahia, M.; Alfadda, A.A. Gender differences in the attitudes and management of people with obesity in Saudi Arabia: Data from the ACTION-IO study. Risk Manag. Healthc. Policy 2022, 15, 1179–1188. [Google Scholar] [CrossRef]
- Pouwels, S.; Sakran, N.; Graham, Y.; Leal, A.; Pintar, T.; Yang, W.; Kassir, R.; Singhal, R.; Mahawar, K.; Ramnarain, D. Non-alcoholic fatty liver disease (NAFLD): A review of pathophysiology, clinical management and effects of weight loss. BMC Endocr. Disord. 2022, 22, 63. [Google Scholar] [CrossRef]
- Younossi, Z.M.; Golabi, P.; Paik, J.M.; Henry, A.; Van Dongen, C.; Henry, L. The global epidemiology of nonalcoholic fatty liver disease (NAFLD) and nonalcoholic steatohepatitis (NASH): A systematic review. Hepatology 2023, 77, 1335–1347. [Google Scholar] [CrossRef] [PubMed]
- Jinjuvadia, R.; Antaki, F.; Lohia, P.M.; Liangpunsakul, S. The Association Between Nonalcoholic Fatty Liver Disease and Metabolic Abnormalities in The United States Population. J. Clin. Gastroenterol. 2017, 51, 160–166. [Google Scholar] [CrossRef]
- Geng, W.; Liao, W.; Cao, X.; Yang, Y. Therapeutic Targets and Approaches to Manage Inflammation of NAFLD. Biomedicines 2025, 13, 393. [Google Scholar] [CrossRef]
- Samarasinghe, S.M.; Hewage, A.S.; Siriwardana, R.C.; Tennekoon, K.H.; Niriella, M.A.; De Silva, S. Genetic and metabolic aspects of non-alcoholic fatty liver disease (NAFLD) pathogenicity. Egypt. J. Med. Hum. Genet. 2023, 24, 53. [Google Scholar] [CrossRef]
- Palma, R.; Pronio, A.; Romeo, M.; Scognamiglio, F.; Ventriglia, L.; Ormando, V.M.; Lamazza, A.; Pontone, S.; Federico, A.; Dallio, M. The role of insulin resistance in fueling NAFLD pathogenesis: From molecular mechanisms to clinical implications. J. Clin. Med. 2022, 11, 3649. [Google Scholar] [CrossRef] [PubMed]
- Tilg, H.; Adolph, T.E.; Moschen, A.R. Multiple Parallel Hits Hypothesis in Nonalcoholic Fatty Liver Disease: Revisited After a Decade. Hepatology 2021, 73, 833–842. [Google Scholar] [CrossRef]
- Ngo, V.; Duennwald, M.L. Nrf2 and oxidative stress: A general overview of mechanisms and implications in human disease. Antioxidants 2022, 11, 2345. [Google Scholar] [CrossRef]
- Khan, M.Z.; Li, L.; Zhan, Y.; Binjiang, H.; Liu, X.; Kou, X.; Khan, A.; Qadeer, A.; Ullah, Q.; Alzahrani, K.J.; et al. Targeting Nrf2/KEAP1 signaling pathway using bioactive compounds to combat mastitis. Front. Immunol. 2025, 16, 1425901. [Google Scholar] [CrossRef]
- Chen, Y.; Wu, Y.; Zhang, Y.; Ji, P.; Hua, J. Modulation of Lipid Metabolism and Keap1-Nrf2 Pathway Activation in Macrophages by Targeting PPARγ Affects NAFLD Progression. J. Gastroenterol. Hepatol. 2025, 40, 2119–2133. [Google Scholar] [CrossRef] [PubMed]
- Xia, Y.; Zhai, X.; Qiu, Y.; Lu, X.; Jiao, Y. The Nrf2 in Obesity: A Friend or Foe? Antioxidants 2022, 11, 2067. [Google Scholar] [CrossRef]
- Qiu, S.; Liang, Z.; Wu, Q.; Wang, M.; Yang, M.; Chen, C.; Zheng, H.; Zhu, Z.; Li, L.; Yang, G. Hepatic lipid accumulation induced by a high-fat diet is regulated by Nrf2 through multiple pathways. FASEB J. 2022, 36, e22280. [Google Scholar] [CrossRef] [PubMed]
- Li, L.; Fu, J.; Sun, J.; Liu, D.; Chen, C.; Wang, H.; Hou, Y.; Xu, Y.; Pi, J. Is Nrf2-ARE a potential target in NAFLD mitigation? Curr. Opin. Toxicol. 2019, 13, 35–44. [Google Scholar] [CrossRef]
- Farage, A.E.; Abdo, W.; Osman, A.; Abdel-Kareem, M.A.; Hakami, Z.H.; Alsulimani, A.; Bin-Ammar, A.; Alanazi, A.S.; Alsuwayt, B.; Alanazi, M.M. Betulin prevents high fat diet-induced non-alcoholic fatty liver disease by mitigating oxidative stress and upregulating Nrf2 and SIRT1 in rats. Life Sci. 2023, 322, 121688. [Google Scholar] [CrossRef]
- Bukke, V.N.; Moola, A.; Serviddio, G.; Vendemiale, G.; Bellanti, F. Nuclear factor erythroid 2-related factor 2-mediated signaling and metabolic associated fatty liver disease. World J. Gastroenterol. 2022, 28, 6909. [Google Scholar] [CrossRef]
- Luchkova, A.; Mata, A.; Cadenas, S. Nrf2 as a regulator of energy metabolism and mitochondrial function. FEBS Lett. 2024, 598, 2092–2105. [Google Scholar] [CrossRef] [PubMed]
- Yang, Q.; Shen, X.; Luo, Y.; Li, R.; Meng, X.; Xu, P.; Liu, X.; Bian, D.; Wang, J.; Shi, J.; et al. ELANE enhances KEAP1 protein stability and reduces NRF2-mediated ferroptosis inhibition in metabolic dysfunction-associated fatty liver disease. Cell Death Dis. 2025, 16, 266. [Google Scholar] [CrossRef] [PubMed]
- Hammoutene, A.; Laouirem, S.; Albuquerque, M.; Colnot, N.; Brzustowski, A.; Valla, D.; Provost, N.; Delerive, P.; Paradis, V.; QUID-NASH Research Group. A new NRF2 activator for the treatment of human metabolic dysfunction-associated fatty liver disease. JHEP Rep. 2023, 5, 100845. [Google Scholar] [CrossRef]
- Wu, X.; Wei, J.; Yi, Y.; Gong, Q.; Gao, J. Activation of Nrf2 signaling: A key molecular mechanism of protection against cardiovascular diseases by natural products. Front. Pharmacol. 2022, 13, 1057918. [Google Scholar] [CrossRef]
- Doumas, M.; Imprialos, K.; Dimakopoulou, A.; Stavropoulos, K.; Binas, A.; Athyros, V.G. The role of statins in the management of nonalcoholic fatty liver disease. Curr. Pharm. Des. 2018, 24, 4587–4592. [Google Scholar] [CrossRef] [PubMed]
- Kozłowska, A. Clinical Insights into Non-Alcoholic Fatty Liver Disease and the Therapeutic Potential of Flavonoids: An Update. Nutrients 2025, 17, 956. [Google Scholar] [CrossRef]
- Tan, P.; Jin, L.; Qin, X.; He, B. Natural flavonoids: Potential therapeutic strategies for non-alcoholic fatty liver disease. Front. Pharmacol. 2022, 13, 1005312. [Google Scholar] [CrossRef]
- Aldaba-Muruato, L.R.; Escalante-Hipólito, B.; Alarcón-López, A.Y.; Martínez-Soriano, P.A.; Angeles, E.; Macías-Pérez, J.R. Preclinical Research on Cinnamic Acid Derivatives for the Prevention of Liver Damage: Promising Therapies for Liver Diseases. Biomedicines 2025, 13, 1094. [Google Scholar] [CrossRef]
- Cui, Y.; Yang, Y.; Tang, X.; Wang, P.; Cui, J.; Chen, Y.; Zhang, T. Cinnamic acid alleviates hypertensive left ventricular hypertrophy by antagonizing the vasopressor activity and the pro-cardiac hypertrophic signaling of angiotensin II. Front. Pharmacol. 2025, 16, 1555991. [Google Scholar] [CrossRef]
- Asl, A.S.S.; Sayahi, M.H.; Hashempur, M.H.; Irajie, C.; Alaeddini, A.H.; Ghafouri, S.N.; Noori, M.; Dastyafteh, N.; Mottaghipisheh, J.; Asadi, M.; et al. Cinnamic acid conjugated with triazole acetamides as anti-Alzheimer and anti-melanogenesis candidates: An in vitro and in silico study. Sci. Rep. 2025, 15, 655. [Google Scholar]
- Alotaibi, S.N.; Alshammari, G.M.; Albadr, N.A.; Yahya, M.A. Therapeutic Potential of Cinnamic Acid as an SGLT2 Inhibitor in Mitigating Diabetic Nephropathy in a Rat Model of Type 2 Diabetes. Mol. Nutr. Food Res. 2025, e70164. [Google Scholar] [CrossRef] [PubMed]
- Anlar, H.G.; Bacanli, M.; Çal, T.; Aydin, S.; Ari, N.; Bucurgat, Ü.Ü.; Başaran, A.A.; Başaran, A.N. Effects of cinnamic acid on complications of diabetes. Turk. J. Med. Sci. 2018, 48, 168–177. [Google Scholar] [CrossRef] [PubMed]
- Wu, Y.; Wang, M.; Yang, T.; Qin, L.; Hu, Y.; Zhao, D.; Wu, L.; Liu, T. Cinnamic acid ameliorates nonalcoholic fatty liver disease by suppressing hepatic lipogenesis and promoting fatty acid oxidation. Evid.-Based Complement. Altern. Med. 2021, 2021, 9561613. [Google Scholar] [CrossRef]
- Wondrak, G.T.; Cabello, C.M.; Villeneuve, N.F.; Zhang, S.; Ley, S.; Li, Y.; Sun, Z.; Zhang, D.D. Cinnamoyl-based Nrf2-activators targeting human skin cell photo-oxidative stress. Free Radic. Biol. Med. 2008, 45, 385–395. [Google Scholar] [CrossRef]
- Hseu, Y.-C.; Korivi, M.; Lin, F.-Y.; Li, M.-L.; Lin, R.-W.; Wu, J.-J.; Yang, H.-L. Trans-cinnamic acid attenuates UVA-induced photoaging through inhibition of AP-1 activation and induction of Nrf2-mediated antioxidant genes in human skin fibroblasts. J. Dermatol. Sci. 2018, 90, 123–134. [Google Scholar] [CrossRef] [PubMed]
- Ibrahim, E.A.; Moawed, F.S.; Moustafa, E.M. Suppression of inflammatory cascades via novel cinnamic acid nanoparticles in acute hepatitis rat model. Arch. Biochem. Biophys. 2020, 696, 108658. [Google Scholar] [CrossRef] [PubMed]
- Flessa, C.-M.; Nasiri-Ansari, N.; Kyrou, I.; Leca, B.M.; Lianou, M.; Chatzigeorgiou, A.; Kaltsas, G.; Kassi, E.; Randeva, H.S. Genetic and diet-induced animal models for non-alcoholic fatty liver disease (NAFLD) research. Int. J. Mol. Sci. 2022, 23, 15791. [Google Scholar] [CrossRef] [PubMed]
- Yang, C.-R.; Lin, W.-J.; Shen, P.-C.; Liao, P.-Y.; Dai, Y.-C.; Hung, Y.-C.; Lai, H.C.; Mehmood, S.; Cheng, W.-C.; Ma, W.-L. Phenotypic and metabolomic characteristics of mouse models of metabolic associated steatohepatitis. Biomark. Res. 2024, 12, 6. [Google Scholar] [CrossRef]
- Buyco, D.G.; Martin, J.; Jeon, S.; Hooks, R.; Lin, C.; Carr, R. Experimental models of metabolic and alcoholic fatty liver disease. World J. Gastroenterol. 2021, 27, 1–18. [Google Scholar] [CrossRef]
- Zheng, Q.; Zhu, M.; Zeng, X.; Liu, W.; Fu, F.; Li, X.; Liao, G.; Lu, Y.; Chen, Y. Comparison of Animal Models for the Study of Nonalcoholic Fatty Liver Disease. Mod. Pathol. 2023, 103, 100129. [Google Scholar] [CrossRef]
- Yang, M.; Wei, Y.; Liu, J.; Wang, Y.; Wang, G. Contributions of Hepatic Insulin Resistance and Islet β-Cell Dysfunction to the Blood Glucose Spectrum in Newly Diagnosed Type 2 Diabetes Mellitus. Diabetes Metab. J. 2025, 49, 883–892. [Google Scholar] [CrossRef]
- Song, Y.; Sui, T.; Zhang, Y.; Wang, Y.; Chen, M.; Deng, J.; Chai, Z.; Lai, L.; Li, Z. Genetic deletion of a short fragment of glucokinase in rabbit by CRISPR/Cas9 leading to hyperglycemia and other typical features seen in MODY-2. Cell. Mol. Life Sci. 2020, 77, 3265–3277. [Google Scholar] [CrossRef]
- Chang, H.K.; Hsu, F.L.; Liu, I.M.; Cheng, J.T. Stimulatory effect of cinnamic acid analogues on α1A-adrenoceptors in-vitro. J. Pharm. Pharmacol. 2003, 55, 833–837. [Google Scholar] [CrossRef]
- Adisakwattana, S.; Moonsan, P.; Yibchok-Anun, S. Insulin-releasing properties of a series of cinnamic acid derivatives in vitro and in vivo. J. Agric. Food Chem. 2008, 56, 7838–7844. [Google Scholar] [CrossRef]
- Małodobra-Mazur, M.; Lewoń, D.; Cierzniak, A.; Okulus, M.; Gliszczyńska, A. Phospholipid Derivatives of Cinnamic Acid Restore Insulin Sensitivity in Insulin Resistance in 3T3-L1 Adipocytes. Nutrients 2021, 13, 3619. [Google Scholar] [CrossRef] [PubMed]
- Huang, D.-W.; Shen, S.-C. Caffeic acid and cinnamic acid ameliorate glucose metabolism via modulating glycogenesis and gluconeogenesis in insulin-resistant mouse hepatocytes. J. Funct. Foods 2012, 4, 358–366. [Google Scholar] [CrossRef]
- Wang, Z.; Ge, S.; Li, S.; Lin, H.; Lin, S. Anti-obesity effect of trans-cinnamic acid on HepG2 cells and HFD-fed mice. Food Chem. Toxicol. 2020, 137, 111148. [Google Scholar] [CrossRef]
- Lee, A.G.; Kang, S.; Im, S.; Pak, Y.K. Cinnamic acid attenuates peripheral and hypothalamic inflammation in high-fat diet-induced obese mice. Pharmaceutics 2022, 14, 1675. [Google Scholar] [CrossRef]
- Mnafgui, K.; Derbali, A.; Sayadi, S.; Gharsallah, N.; Elfeki, A.; Allouche, N. Anti-obesity and cardioprotective effects of cinnamic acid in high fat diet-induced obese rats. J. Food Sci. Technol. 2015, 52, 4369–4377. [Google Scholar] [CrossRef]
- Kang, N.H.; Mukherjee, S.; Yun, J.W. Trans-cinnamic acid stimulates white fat browning and activates brown adipocytes. Nutrients 2019, 11, 577. [Google Scholar] [CrossRef]
- Yang, X.; Sun, L.; Feng, D.; Deng, Y.; Liao, W. A lipidomic study: Nobiletin ameliorates hepatic steatosis through regulation of lipid alternation. J. Nutr. Biochem. 2023, 118, 109353. [Google Scholar] [CrossRef]
- El-Sehrawy, A.A.M.A.; Mohammed, A.N.; Gupta, J.; Mohammed, J.S.; Roopashree, R.; Kashyap, A.; Janney, J.B.; Sahoo, S.; Al-Hasnaawei, S.; Nasr, Y.M. Combating oxidative stress in non-alcoholic fatty liver disease: From mechanisms to therapeutic strategies. Pathol. Res. Pr. 2025, 272, 156053. [Google Scholar] [CrossRef]
- Amirkalali, B.; Farahmand, M.; Rashedi, M.H.; Gholami, A.; Sheikholmolooki, F.; Sedighi, M.; Doustmohammadian, A. Dietary inflammatory index and non-alcoholic fatty liver disease risk: A systematic review and meta-analysis of observational studies. Front. Nutr. 2025, 12, 1596300. [Google Scholar] [CrossRef]
- Hu, Z.; Yue, H.; Jiang, N.; Qiao, L. Diet, oxidative stress and MAFLD: A mini review. Front. Nutr. 2025, 12, 1539578. [Google Scholar] [CrossRef] [PubMed]
- Li, L.; Yang, J.; Li, F.; Gao, F.; Zhu, L.; Hao, J. FBXW7 mediates high glucose-induced SREBP-1 expression in renal tubular cells of diabetic nephropathy under PI3K/Akt pathway regulation. Mol. Med. Rep. 2021, 23, 233. [Google Scholar] [CrossRef]
- Uttarwar, L.; Gao, B.; Ingram, A.J.; Krepinsky, J.C. SREBP-1 activation by glucose mediates TGF-β upregulation in mesangial cells. Am. J. Physiol. Ren. Physiol. 2012, 302, F329–F341. [Google Scholar] [CrossRef] [PubMed]
- Zhou, C.; Qian, W.; Li, J.; Ma, J.; Chen, X.; Jiang, Z.; Cheng, L.; Duan, W.; Wang, Z.; Wu, Z. High glucose microenvironment accelerates tumor growth via SREBP1-autophagy axis in pancreatic cancer. J. Exp. Clin. Cancer Res. 2019, 38, 302. [Google Scholar] [CrossRef]
- Kusnadi, A.; Park, S.H.; Yuan, R.; Pannellini, T.; Giannopoulou, E.; Oliver, D.; Lu, T.; Park-Min, K.-H.; Ivashkiv, L.B. The cytokine TNF promotes transcription factor SREBP activity and binding to inflammatory genes to activate macrophages and limit tissue repair. Immunity 2019, 51, 241–257.e9. [Google Scholar] [CrossRef]
- Xu, H.L.; Wan, S.R.; An, Y.; Wu, Q.; Xing, Y.H.; Deng, C.H.; Zhang, P.P.; Long, Y.; Xu, B.T.; Jiang, Z.Z. Targeting cell death in NAFLD: Mechanisms and targeted therapies. Cell Death Discov. 2024, 10, 399. [Google Scholar] [CrossRef] [PubMed]
- Malucelli, M.; Strobel, R.; Ivantes, C.; Sakamoto, D.; Duarte, M.L.; Pedroso, M.L.A. Histological findings and NAFLD/NASH Status in liver biopsies of patients subjected to bariatric surgery. Arq. Bras. Endocrinol. Metabol. 2023, 68, e220138. [Google Scholar] [CrossRef]
- Felemban, A.H.; Alshammari, G.M.; Yagoub, A.E.A.; Al-Harbi, L.N.; Alhussain, M.H.; Yahya, M.A. Activation of AMPK entails the protective effect of royal jelly against high-fat-diet-induced hyperglycemia, hyperlipidemia, and non-alcoholic fatty liver disease in rats. Nutrients 2023, 15, 1471. [Google Scholar] [CrossRef]
- Li, Y.; Deng, X.; Tan, X.; Li, Q.; Yu, Z.; Wu, W.; Ma, X.; Zeng, J.; Wang, X. Protective role of curcumin in disease progression from non-alcoholic fatty liver disease to hepatocellular carcinoma: A meta-analysis. Front. Pharmacol. 2024, 15, 1343193. [Google Scholar] [CrossRef]
- Huang, H.; Liu, Z.; Xie, J.; Xu, C. NAFLD does not increase the risk of incident dementia: A prospective study and meta-analysis. J. Psychiatr. Res. 2023, 161, 435–440. [Google Scholar] [CrossRef] [PubMed]
- Rezaei, Z.; Momtaz, S.; Gharazi, P.; Rahimifard, M.; Baeeri, M.; Abdollahi, A.R.; Abdollahi, M.; Niknejad, A.; Khayatan, D.; Farzaei, M.H. Cinnamic Acid Ameliorates Acetic Acid-induced Inflammatory Response through Inhibition of TLR-4 in Colitis Rat Model. Anti-Inflamm. Anti-Allergy Agents Med. Chem. 2024, 23, 21–30. [Google Scholar] [CrossRef]
- Hussein, M.A.; Zalzala, M.H. Evaluation of Anti-inflammatory Effects of Cinnamic Acid Against Dextran Sodium Sulfate Induced Ulcerative Colitis in Male Mice. Iraqi J. Pharm. Sci. 2023, 32, 33–40. [Google Scholar]
- Zhuo, R.; Cheng, X.; Luo, L.; Yang, L.; Zhao, Y.; Zhou, Y.; Peng, L.; Jin, X.; Cui, L.; Liu, F. Cinnamic acid improved lipopolysaccharide-induced depressive-like behaviors by inhibiting neuroinflammation and oxidative stress in mice. Pharmacology 2022, 107, 281–289. [Google Scholar] [CrossRef]
- Yazdi, M.; Nafari, A.; Azadpour, M.; Alaee, M.; Moradi, F.H.; Choghakhori, R.; Hormozi, M.; Ahmadvand, H. Protective effects of cinnamic acid against hyperglycemia induced oxidative stress and inflammation in HepG2 cells. Rep. Biochem. Mol. Biol. 2023, 12, 1–12. [Google Scholar] [CrossRef]
- Nouni, C.; Theodosis-Nobelos, P.; Rekka, E.A. Antioxidant and Hypolipidemic Activities of Cinnamic Acid Derivatives. Molecules 2023, 28, 6732. [Google Scholar] [CrossRef] [PubMed]
- Moslehi, A.; Hamidi-Zad, Z. Role of SREBPs in liver diseases: A mini-review. J. Clin. Transl. Hepatol. 2018, 6, 332. [Google Scholar] [CrossRef]
- Qin, S.; Chen, Z.; Wen, Y.; Yi, Y.; Lv, C.; Zeng, C.; Chen, L.; Shi, M. Phytochemical activators of Nrf2: A review of therapeutic strategies in diabetes: Phytochemical activators of Nrf2. Acta Biochim. Biophys. Sin. 2022, 55, 11. [Google Scholar]
- Weber, M.; Mera, P.; Casas, J.; Salvador, J.; Rodríguez, A.; Alonso, S.; Sebastián, D.; Soler-Vázquez, M.C.; Montironi, C.; Recalde, S. Liver CPT1A gene therapy reduces diet-induced hepatic steatosis in mice and highlights potential lipid biomarkers for human NAFLD. FASEB J. 2020, 34, 11816–11837. [Google Scholar] [CrossRef] [PubMed]
- Badmus, O.O.; Hillhouse, S.A.; Anderson, C.D.; Hinds Jr, T.D.; Stec, D.E. Molecular mechanisms of metabolic associated fatty liver disease (MAFLD): Functional analysis of lipid metabolism pathways. Clin. Sci. 2022, 136, 1347–1366. [Google Scholar] [CrossRef] [PubMed]
- Ferramosca, A.; Di Giacomo, M.; Zara, V. Antioxidant dietary approach in treatment of fatty liver: New insights and updates. World J. Gastroenterol. 2017, 23, 4146. [Google Scholar] [CrossRef] [PubMed]
- Park, J.-S.; Rustamov, N.; Roh, Y.-S. The roles of NFR2-regulated oxidative stress and mitochondrial quality control in chronic liver diseases. Antioxidants 2023, 12, 1928. [Google Scholar] [CrossRef]
- Jin, S.H.; Yang, J.H.; Shin, B.Y.; Seo, K.; Shin, S.M.; Cho, I.J.; Ki, S.H. Resveratrol inhibits LXRα-dependent hepatic lipogenesis through novel antioxidant Sestrin2 gene induction. Toxicol. Appl. Pharmacol. 2013, 271, 95–105. [Google Scholar] [CrossRef] [PubMed]
- Kay, H.Y.; Kim, W.D.; Hwang, S.J.; Choi, H.-S.; Gilroy, R.K.; Wan, Y.-J.Y.; Kim, S.G. Nrf2 inhibits LXRα-dependent hepatic lipogenesis by competing with FXR for acetylase binding. Antioxid. Redox Signal. 2011, 15, 2135–2146. [Google Scholar] [CrossRef]
- Meakin, P.J.; Chowdhry, S.; Sharma, R.S.; Ashford, F.B.; Walsh, S.V.; McCrimmon, R.J.; Dinkova-Kostova, A.T.; Dillon, J.F.; Hayes, J.D.; Ashford, M.L. Susceptibility of Nrf2-null mice to steatohepatitis and cirrhosis upon consumption of a high-fat diet is associated with oxidative stress, perturbation of the unfolded protein response, and disturbance in the expression of metabolic enzymes but not with insulin resistance. Mol. Cell. Biol. 2014, 34, 3305–3320. [Google Scholar]
- Sugimoto, H.; Okada, K.; Shoda, J.; Warabi, E.; Ishige, K.; Ueda, T.; Taguchi, K.; Yanagawa, T.; Nakahara, A.; Hyodo, I. Deletion of nuclear factor-E2-related factor-2 leads to rapid onset and progression of nutritional steatohepatitis in mice. Am. J. Physiol. -Gastrointest. Liver Physiol. 2010, 298, G283–G294. [Google Scholar] [CrossRef]
- Elkanawati, R.Y.; Sumiwi, S.A.; Levita, J. Impact of Lipids on Insulin Resistance: Insights from Human and Animal Studies. Drug Des. Dev. Ther. 2024, 18, 3337–3360. [Google Scholar] [CrossRef]
- Li, N.; Hao, L.; Li, S.; Deng, J.; Yu, F.; Zhang, J.; Nie, A.; Hu, X. The NRF-2/HO-1 Signaling Pathway: A Promising Therapeutic Target for Metabolic Dysfunction-Associated Steatotic Liver Disease. J. Inflamm. Res. 2024, 17, 8061–8083. [Google Scholar] [CrossRef]
- Ramadori, P.; Drescher, H.; Erschfeld, S.; Schumacher, F.; Berger, C.; Fragoulis, A.; Schenkel, J.; Kensler, T.W.; Wruck, C.J.; Trautwein, C. Hepatocyte-specific Keap1 deletion reduces liver steatosis but not inflammation during non-alcoholic steatohepatitis development. Free Radic. Biol. Med. 2016, 91, 114–126. [Google Scholar] [CrossRef]
- Niture, S.K.; Jaiswal, A.K. Nrf2 protein up-regulates antiapoptotic protein Bcl-2 and prevents cellular apoptosis. J. Biol. Chem. 2012, 287, 9873–9886. [Google Scholar] [CrossRef] [PubMed]
- Zhang, J.; Zhao, M.; Yu, H.; Wang, Q.; Shen, F.; Cai, H.; Feng, F.; Tang, J. Palmitoleic Acid Ameliorates Metabolic Disorders and Inflammation by Modulating Gut Microbiota and Serum Metabolites. Mol. Nutr. Food Res. 2024, 68, 2300749. [Google Scholar] [CrossRef] [PubMed]
- Miller, W.P.; Sunilkumar, S.; Giordano, J.F.; Toro, A.L.; Barber, A.J.; Dennis, M.D. The stress response protein REDD1 promotes diabetes-induced oxidative stress in the retina by Keap1-independent Nrf2 degradation. J. Biol. Chem. 2020, 295, 7350–7361. [Google Scholar] [CrossRef]
- Yahya, M.A.; Alshammari, G.M.; Osman, M.A.; Al-Harbi, L.N.; Yagoub, A.E.A.; AlSedairy, S.A. Liquorice root extract and isoliquiritigenin attenuate high-fat diet-induced hepatic steatosis and damage in rats by regulating AMPK. Arch. Physiol. Biochem. 2024, 130, 385–400. [Google Scholar] [CrossRef] [PubMed]
- Al-Harbi, L.N. Morin Prevents Non-Alcoholic Hepatic Steatosis in Obese Rats by Targeting the Peroxisome Proliferator-Activated Receptor Alpha (PPARα). Life 2024, 14, 945. [Google Scholar] [CrossRef] [PubMed]
- Hemmati, A.A.; Alboghobeish, S.; Ahangarpour, A. Effects of cinnamic acid on memory deficits and brain oxidative stress in streptozotocin-induced diabetic mice. Korean J. Physiol. Pharmacol. 2018, 22, 257. [Google Scholar] [CrossRef] [PubMed]
- Alshammari, G.M.; Al-Ayed, M.S.; Abdelhalim, M.A.; Al-Harbi, L.N.; Yahya, M.A. Effects of antioxidant combinations on the renal toxicity induced rats by gold nanoparticles. Molecules 2023, 28, 1879. [Google Scholar] [CrossRef]
- AlTamimi, J.Z.; AlFaris, N.A.; Alshammari, G.M.; Alagal, R.I.; Aljabryn, D.H.; Yahya, M.A. Esculeoside A alleviates reproductive toxicity in streptozotocin-diabetic rats’s model by activating Nrf2 signaling. Saudi J. Biol. Sci. 2023, 30, 103780. [Google Scholar] [CrossRef]
- Novelli, E.; Diniz, Y.; Galhardi, C.; Ebaid, G.; Rodrigues, H.; Mani, F.; Fernandes, A.A.H.; Cicogna, A.C.; Novelli Filho, J. Anthropometrical parameters and markers of obesity in rats. Lab. Anim. 2007, 41, 111–119. [Google Scholar] [CrossRef]
- Yahya, M.A.; Alshammari, G.M.; Osman, M.A.; Al-Harbi, L.N.; Alotaibi, S.N. Isoliquiritigenin Prevents the Development of Nephropathy by an HFD in Rats Through the Induction of Antioxidant Production and Inhibition of the MD-2/TLR4/NF-κB Pathway. Biology 2024, 13, 984. [Google Scholar] [CrossRef]







| Parameter | Control | Control + CA (40 mg/kg) | HFD | HFD + CA (20 mg/kg) | HFD + CA (40 mg/kg) | HFD + CA (40 mg/kg) + Brusatol |
|---|---|---|---|---|---|---|
| Initial body weights (g) | 121.4 ± 9.4 | 120.1 ± 9.9 | 116.4 ± 7.8 | 118.3 ± 7.4 | 129.3 ± 6.4 | 110.2 ± 10.4 |
| Final body weights (g) | 438.3 ± 41.4 | 441.3 ± 39.7 | 584.5 ± 61.2 a | 568.4 ± 48.8 ab | 565.4 ± 54.3 ab | 571.3 ± 55.9 ab |
| Weight gain (%) | 292.3 ± 24.3 | 300.3 ± 29.5 | 447.8± 43.8 a | 425.5 ± 48.5 ab | 404.6 ± 38.6 ab | 469.2 ± 51.3 ab |
| Cumulative food intake (last weeks/rat) | 218.8 ± 21.7 | 224.5 ± 20.9 | 343.4 ± 28.6 ab | 356.6 ± 36.1 ab | 348.2 ± 36.7 ab | 348.8 ± 4.5 ab |
| Calorie intake (kcal/last 2 weeks/rat) | 842.7 ± 83.6 | 864.3 ± 80.4 | 1801.3 ± 149.0 ab | 1867.7± 189.7 ab | 1825.5 ± 192.3 ab | 1827.71 ± 23.58 ab |
| BMI (g/cm2) | 0.68 ± 0.05 | 0.65 ± 0.07 | 0.84 ± 0.08 ab | 0.86 ± 0.08 ab | 0.83 ± 0.09 ab | 0.85 ± 0.08 ab |
| Mesenteric fat (g) | 5.3 ± 0.56 | 5.9 ± 0.72 | 10.4 ± 1.1 ab | 11.3 ± 1.7 ab | 10.9 ± 1.1 ab | 11.2 ± 1.2 ab |
| Subcutaneous fat (g) | 7.8 ± 0.65 | 7.1 ± 0.73 | 12.5 ± 1.4 ab | 12.9± 1.4 ab | 11.8 ± 1.4 ab | 12.1 ± 1.6 ab |
| Peritoneal fat (g) | 4.6 ± 0.63 | 4.9 ± 0.59 | 8.6 ± 0.77 ab | 8.8 ± 0.85 ab | 8.4 ± 0.66 ab | 8.3 ± 0.99 ab |
| Epididymal fat (g) | 5.8 ± 0.55 | 5.6 ± 0.51 | 10.5 ± 1.3 ab | 11.5 ± 1.2 ab | 10.9 ± 0.98 ab | 11.2 ± 1.4 ab |
| Total fat weight (g) | 23.7 ± 2.4 | 23.1 ± 2.4 | 42.8 ± 5.04 ab | 44.9 ± 4.9 ab | 43.7 ± 5.8 ab | 42.6 ± 5.8 ab |
| Adiposity index (%) | 5.4 ± 0.71 | 5.7 ± 0.42 | 7.2 ± 0.81 ab | 7.8 ± 0.77 ab | 7.4 ± 0.84 ab | 7.5 ± 0.76 ab |
| Parameter | Control | Control + CA (40 mg/kg) | HFD | HFD + CA (20 mg/kg) | HFD + CA (40 mg/kg) | HFD + CA (40 mg/kg + Brusatol |
|---|---|---|---|---|---|---|
| Fasting glucose (mg/dL) | 96.9 ± 8.6 | 98.6 ± 6.5 | 202.2 ± 20.4 ab | 198.4 ± 18.4 ab | 206.3 ± 19.5 ab | 194.3 ± 19.3 ab |
| Fasting Insulin (ng/mL) | 3.9 ± 0.44 | 3.5 ± 0.53 | 7.6 ± 0.64 ab | 7.9 ± 0.66 abc | 7.4 ± 0.83 ab | 7.5 ± 0.72 ab |
| HOMA-IR | 0.91 ± 0.08 | 0.84 ± 0.07 a | 3.69 ± 0.44 ab | 3.86 ± 0.45 abc | 3.57 ± 0.33 bcd | 3.63 ± 0.63 abde |
| Serum HbA1C (%) | 4.32 ± 0.39 | 4.15 ± 0.43 | 7.41 ± 0.81 ab | 6.1 ± 0.77 abc | 4.6 ± 0.58 bcd | 7.9 ± 0.88 abde |
| Serum Triglycerides (mg/dL) | 83.3 ± 7.4 | 61.2 ± 5.8 a | 187.3 ± 16.5 ab | 123.4 ± 13.6 abc | 87.5 ± 8.6 bcd | 194.3 ± 18.5 abde |
| Serum Cholesterol (mg/kg) | 118.3 ± 11.4 | 85.6 ± 7.6 a | 256.4 ± 24.5 ab | 197.4 ± 17.6 abc | 124.5 ± 5.4 bcd | 248.5 ± 21.4 abde |
| Serum LDL-c (mg/dL) | 56.4 ± 6.2 | 41.2 ± 4.3 a | 125.4 ± 14.3 ab | 88.6 ± 9.4 abc | 59.6 ± 5.3 bcd | 119.4 ± 12.5 abde |
| Hepatic Triglycerides (mg/g) | 5.6 ± 0.45 | 4.1 ± 0.38 a | 13.8 ± 1.3 ab | 9.4 ± 0.84 abc | 6.1 ± 0.73 bcd | 12.8 ± 1.4 abde |
| Hepatic Cholesterol (mg/g) | 7.4 ± 0.68 | 5.8 ± 0.45 a | 17.5 ± 1.4 ab | 12.1 ± 1.2 abc | 7.5 ± 0.92 bcd | 20.4 ± 1.8 abde |
| Parameter | Control | Control + CA (40 mg/kg) | HFD | HFD + CA (20 mg/kg) | HFD + CA (40 mg/kg) | HFD + CA (40 mg/kg) + Brusatol |
|---|---|---|---|---|---|---|
| Serum | ||||||
| ALT (U/L) | 31.6 ± 2.7 | 33.4 ± 3.1 | 92.4 ± 8.6 ab | 61.9 ± 6.3 abc | 35.6 ± 4.5 cd | 89.7 ± 9.8 abde |
| AST (U/L) | 44.5 ± 5.7 | 41.9 ± 5.5 | 112.3 ± 12.7 ab | 84.5 ± 8.8 abc | 46.8 ± 4.8 cd | 109.4 ± 10.8 abde |
| γ-GT (U/L) | 22.4 ± 1.7 | 19.8 ± 1.5 | 68.9 ± 5.7 ab | 41.7 ± 4.6 abc | 21.7 ± 1.6 cd | 64.5 ± 5.8 abde |
| Liver | ||||||
| BCl2 (pg/g protein) | 54.1 ± 4.8 | 76.8 ± 6.6 a | 24.5 ± 2.1 ab | 36.6 ± 4.1 abc | 49.5 ± 3.7 bcd | 20.5 ± 1.3 abde |
| Bax (pg/g protein) | 21.9 ± 1.4 | 24.3 ± 2.7 | 108.5 ± 12.3 ab | 78.5 ± 8.8 abc | 32.4 ± 3.5 abcd | 113.5 ± 13.2 abde |
| Caspase-3 (pg/g protein) | 5.3 ± 0.83 | 4.9 ± 0.57 | 22.5 ± 1.8 ab | 12.4 ± 1.2 abc | 6.3 ± 0.74 bcd | 19.6 ± 1.9 abde |
| Product | Control Diet | HFD | ||
|---|---|---|---|---|
| gm% | kcal% | gm% | kcal% | |
| Protein | 19.2 | 20 | 26% | 20% |
| Carbohydrate | 67.3 | 70 | 26% | 20% |
| Fat | 4.3 | 10 | 35% | 60% |
| Total | 100 | 100 | ||
| kcal/gm | 3.85 | 5.24 | ||
| Ingredient composition of diet | ||||
| gm | kcal | gm | kcal | |
| Proteins | ||||
| Casein | 200 | 800 | 200 | 800 |
| L-Cystine | 3 | 12 | 3 | 12 |
| Carbohydrates | ||||
| Corn Starch | 550 | 2200 | 0 | 0 |
| Maltodextrin 10 | 150 | 600 | 125 | 500 |
| Sucrose | 0 | 0 | 68.8 | 500 |
| Fibers | ||||
| Cellulose | 50 | 0 | 50 | 50 |
| Fats | ||||
| Soybean Oil | 25 | 225 | 25 | 225 |
| Fat | 20 | 180 | 245 | 2205 |
| Others | ||||
| Mineral Mix, S10026 | 10 | 0 | 10 | 0 |
| DiCalcium Phosphate | 13 | 0 | 13 | 0 |
| Calcium Carbonate | 5.5 | 0 | 5.5 | 0 |
| Potassium Citrate, 1 H2O | 16.5 | 0 | 16.5 | 0 |
| Vitamin Mix, V10001 | 10 | 40 | 10 | 40 |
| Vitamin Mix V10001C | 0 | 0 | 0 | 0 |
| Choline Bitartrate | 2 | 0 | 2 | 0 |
| FD&C Red Dye #40 | 0.025 | 0 | 0.05 | 0 |
| FD&C Blue Dye #1 | 0.025 | 0 | 0 | 0 |
| Total | 1055.05 | 4057 | 773.85 | 4057 |
| Gene | Accession Number | Forward Primer (5′→3′) | Reverse Primer (5′→3′) | PB |
|---|---|---|---|---|
| SREBP1c | NM_001276707.1 | CGGGACAGCTTAGCCTCTACA | CGGCCACAAGAAGTAGATCA | 21 |
| Keap1 | NM_057152.2 | CTTCGGGGAGGAGGAGTTCT | CGTTCAGATCATCGCGGCTG | 132 |
| Nrf2 | NM_031789 | AAAATCATTAACCTCCCTGTTGAT | CGGCGACTTTATTCTTACCTCTC3 | 118 |
| ACC1 | NM_022193.1 | GCTGGGACAAAGAACCATCC | TCCGTTGTTGTGCATTATCTGG | 193 |
| FAS | NM_017332.1 | CCACAGGACAAGCCCATCTT | TCGGAGACAGTTCACCAAGC | 159 |
| NF-κB | XM_342346.4 | GTGCAGAAAGAAGACATTGAGGTG | AGGCTAGGGTCAGCGTATGG | 176 |
| PPARα | NM_0011453661 | AAGTTTGAGTTTGCTGTGAAGTTCA | CGATGGGCTTCACGTTCAG | 121 |
| β-actin | NM_031144.3 | AGGCCCCTCTGAACCCTAAG | CAGCCTGGATGGCTACGTACA | 96 |
Disclaimer/Publisher’s Note: The statements, opinions and data contained in all publications are solely those of the individual author(s) and contributor(s) and not of MDPI and/or the editor(s). MDPI and/or the editor(s) disclaim responsibility for any injury to people or property resulting from any ideas, methods, instructions or products referred to in the content. |
© 2025 by the authors. Licensee MDPI, Basel, Switzerland. This article is an open access article distributed under the terms and conditions of the Creative Commons Attribution (CC BY) license (https://creativecommons.org/licenses/by/4.0/).
Share and Cite
Alahdal, A.T.; Al-Harbi, L.N.; Alshammari, G.M.; Saleh, A.; Yahya, M.A. Cinnamic Acid: A Shield Against High-Fat-Diet-Induced Liver Injury—Exploring Nrf2’s Protective Mechanisms. Int. J. Mol. Sci. 2025, 26, 7940. https://doi.org/10.3390/ijms26167940
Alahdal AT, Al-Harbi LN, Alshammari GM, Saleh A, Yahya MA. Cinnamic Acid: A Shield Against High-Fat-Diet-Induced Liver Injury—Exploring Nrf2’s Protective Mechanisms. International Journal of Molecular Sciences. 2025; 26(16):7940. https://doi.org/10.3390/ijms26167940
Chicago/Turabian StyleAlahdal, Asmahan Taher, Laila Naif Al-Harbi, Ghedeir M. Alshammari, Ali Saleh, and Mohammed Abdo Yahya. 2025. "Cinnamic Acid: A Shield Against High-Fat-Diet-Induced Liver Injury—Exploring Nrf2’s Protective Mechanisms" International Journal of Molecular Sciences 26, no. 16: 7940. https://doi.org/10.3390/ijms26167940
APA StyleAlahdal, A. T., Al-Harbi, L. N., Alshammari, G. M., Saleh, A., & Yahya, M. A. (2025). Cinnamic Acid: A Shield Against High-Fat-Diet-Induced Liver Injury—Exploring Nrf2’s Protective Mechanisms. International Journal of Molecular Sciences, 26(16), 7940. https://doi.org/10.3390/ijms26167940

