Levels of Small Extracellular Vesicles Containing hERG-1 and Hsp47 as Potential Biomarkers for Cardiovascular Diseases
Abstract
1. Introduction
2. Results
2.1. hERG1 and Hsp47 Are Expressed on the Surfaces of sEVs
2.2. Effect of Hypoxia on the Secretion of sEVs Containing hERG1 and Hsp47 Proteins Derived from Cardiomyocyte Cell Culture
2.3. Blood Levels of sEVs Containing hERG1 and Hsp47 Proteins in the Stress Test
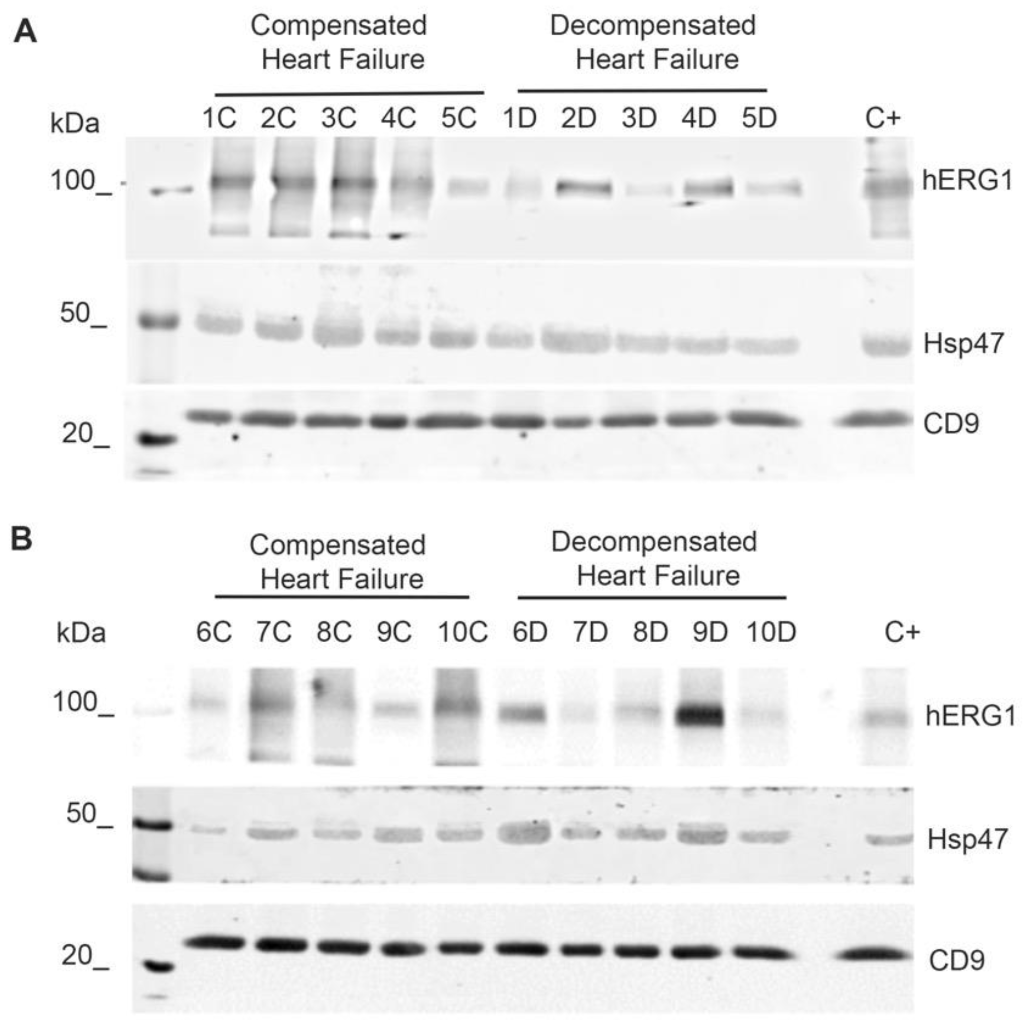
2.4. Effect of Chronic Heart Failure on sEVs, EV-hERG1, and EV-Hsp47 Levels in Blood Samples
2.5. Levels of sEVs Containing hERG1 and Hsp47 Decreased in the Blood of Participants with Decompensated Heart Failure
3. Discussion
3.1. hERG1 in Cardiovascular Diseases
3.2. Hsp47 in Cardiovascular Diseases
3.3. hERG1 and Hsp47 on the Surface of sEVs
4. Materials and Methods
4.1. Human Participants
4.1.1. Stress Test Participants
4.1.2. Participants with Chronic Heart Failure Disease
Decompensated Heart Failure (DHF) Inclusion Criteria
- Symptoms and signs characteristic of the clinical condition (Framingham criteria).
- Elevated levels of NT-ProBNP above 1200 pg/mL (normal value < 450 pg/mL).
- An echocardiogram consistent with either of the two following situations:
- A left ventricular ejection fraction (LVEF) less than 50% (i.e., LVEF depressed).
- An LVEF greater than or equal to 50%, if accompanied by structural changes in the heart (i.e., LVEF preserved).
Compensated Heart Failure (CHF) Inclusion Criteria
- A known history of heart failure treatment.
- A concordant echocardiogram (according to the same criteria described for the DHF echocardiogram).
- A functional capacity of I or II, according to the New York Classification (N.Y.H.A.).
- Compensated for at least three months without variation in symptoms or functional capacity.
- Administration of at least three out of the four drugs recommended by the clinical guidelines at effective doses (ruling out the initial stage of dose escalation): (i) sacubitril/valsartan, angiotensin-converting enzyme (ACE) inhibitors, and angiotensin II receptor blockers; (ii) beta blockers; (iii) spironolactone; and (iv) sodium–glucose cotransporter 2 (SGLT2) inhibitors.
Heart Failure Exclusion Criteria
- The presence of an active concomitant inflammatory or infectious disease.
- Undergoing systemic immunosuppressive and/or steroidal therapy.
4.2. Sample Storage
4.3. Cell Culture
4.4. Hypoxia Cell Culture
4.5. NTA Measurements with the NanoSight NS300
4.6. NTA Fluorescence
4.7. sEV Purification by Ultracentrifugation
4.8. sEV Purification by Size Exclusion Chromatography
4.9. Western Blot Analysis
4.10. Transmission Electron Microscopy (TEM)
4.11. Flow Cytometry
4.12. In-House ELISA
4.13. Statistical Analysis
5. Conclusions
6. Patents
Supplementary Materials
Author Contributions
Funding
Institutional Review Board Statement
Informed Consent Statement
Data Availability Statement
Conflicts of Interest
References
- Pagliaro, B.R.; Cannata, F.; Stefanini, G.G.; Bolognese, L. Myocardial Ischemia and Coronary Disease in Heart Failure. Heart Fail. Rev. 2020, 25, 53–65. [Google Scholar] [CrossRef] [PubMed]
- Adhikary, D.; Barman, S.; Ranjan, R.; Stone, H. A Systematic Review of Major Cardiovascular Risk Factors: A Growing Global Health Concern. Cureus 2022, 14, e30119. [Google Scholar] [CrossRef] [PubMed]
- Şahin, B.; İlgün, G. Risk Factors of Deaths Related to Cardiovascular Diseases in World Health Organization (WHO) Member Countries. Health Soc. Care Community 2022, 30, 73–80. [Google Scholar] [CrossRef]
- Al Rimon, R.; Nelson, V.L.; Brunt, K.R.; Kassiri, Z. High-impact opportunities to address ischemia: A focus on heart and circulatory research. Am. J. Physiol.-Heart Circ. Physiol. 2022, 323, H1221–H1230. [Google Scholar] [CrossRef] [PubMed]
- Jenča, D.; Melenovský, V.; Stehlik, J.; Staněk, V.; Kettner, J.; Kautzner, J.; Adámková, V.; Wohlfahrt, P. Heart Failure after Myocardial Infarction: Incidence and Predictors. ESC Heart Fail. 2021, 8, 222–237. [Google Scholar] [CrossRef] [PubMed]
- Pathak, L.A.; Shirodkar, S.; Ruparelia, R.; Rajebahadur, J. Coronary Artery Disease in Women. Indian Heart J. 2017, 69, 532–538. [Google Scholar] [CrossRef] [PubMed]
- Henzlova, M.J.; Duvall, W.L.; Einstein, A.J.; Travin, M.I.; Verberne, H.J. ASNC Imaging Guidelines for SPECT Nuclear Cardiology Procedures: Stress, Protocols, and Tracers. J. Nucl. Cardiol. 2016, 23, 606–639. [Google Scholar] [CrossRef] [PubMed]
- Schönmann, C.; Brockow, K. Adverse reactions during procedures: Hypersensitivity to contrast agents and dyes. Ann. Allergy Asthma Immunol. 2020, 124, 156–164. [Google Scholar] [CrossRef] [PubMed]
- Davenport, M.S.; Asch, D.; Cavallo, J.; Cohan, R.; Dillman, J.R.; Ellis, J.H. ACR Manual On Contrast Media 2020 ACR Committee on Drugs and Contrast Media; 2020; ISBN 9781559030120. [Google Scholar]
- Berezin, A.E.; Berezin, A.A. Biomarkers in Heart Failure: From Research to Clinical Practice. Ann. Lab. Med. 2023, 43, 225–236. [Google Scholar] [CrossRef]
- Gaggin, H.K.; Januzzi, J.L. Biomarkers and Diagnostics in Heart Failure. Biochim. Biophys. Acta-Mol. Basis Dis. 2013, 1832, 2442–2450. [Google Scholar] [CrossRef] [PubMed]
- Babuin, L.; Jaffe, A.S. Troponin: The Biomarker of Choice for the Detection of Cardiac Injury. C Can. Med. Assoc. J. 2005, 173, 1191–1202. [Google Scholar] [CrossRef] [PubMed]
- Van Der Linden, N.; Wildi, K.; Mueller, C. Combining High-Sensitivity Cardiac Troponin i and Cardiac Troponin T in the Early Diagnosis of Acute Myocardial Infarction. Circulation 2018, 138, 989–999. [Google Scholar] [CrossRef] [PubMed]
- Zaborowski, M.P.; Balaj, L.; Breakefield, X.O.; Lai, C.P. Extracellular Vesicles: Composition, Biological Relevance, and Methods of Study. Bioscience 2015, 65, 783–797. [Google Scholar] [CrossRef] [PubMed]
- Yáñez-Mó, M.; Siljander, P.R.-M.; Andreu, Z.; Zavec, A.B.; Borràs, F.E.; Buzas, E.I.; Buzas, K.; Casal, E.; Cappello, F.; Carvalho, J.; et al. Biological Properties of Extracellular Vesicles and Their Physiological Functions. J. Extracell. Vesicles 2015, 4, 27066. [Google Scholar] [CrossRef] [PubMed]
- Boulanger, C.M.; Loyer, X.; Rautou, P.-E.; Amabile, N. Extracellular Vesicles in Coronary Artery Disease. Nat. Rev. Cardiol. 2017, 14, 259–272. [Google Scholar] [CrossRef] [PubMed]
- Hevia, D.; Cifuentes, J.; Alvarado, O.; Martín, P.S.; Venegas, P.; Coron, M.; Cabrera, I.; López, S.; Oyarce, K.; Rojas, F.; et al. En El Infarto Agudo Al Miocardio Los Niveles Plasmáticos de Microvesículas Extracelulares Se Elevan Más Precozmente Que El Aumento de La Troponina-I. Rev. Chil. Cardiol. 2017, 36, 24–33. [Google Scholar] [CrossRef][Green Version]
- Dragovic, R.A.; Gardiner, C.; Brooks, A.S.; Tannetta, D.S.; Ferguson, D.J.P.; Hole, P.; Carr, B.; Redman, C.W.G.; Harris, A.L.; Dobson, P.J.; et al. Sizing and Phenotyping of Cellular Vesicles Using Nanoparticle Tracking Analysis. Nanomed. Nanotechnol. Biol. Med. 2011, 7, 780–788. [Google Scholar] [CrossRef] [PubMed]
- Mørk, M.; Pedersen, S.; Botha, J.; Lund, S.M.; Kristensen, S.R. Preanalytical, Analytical, and Biological Variation of Blood Plasma Submicron Particle Levels Measured with Nanoparticle Tracking Analysis and Tunable Resistive Pulse Sensing. Scand. J. Clin. Lab. Investig. 2016, 76, 349–360. [Google Scholar] [CrossRef]
- Weber, A.; Wehmeyer, J.C.; Schmidt, V.; Lichtenberg, A.; Akhyari, P. Rapid Fluorescence-Based Characterization of Single Extracellular Vesicles in Human Blood with Nanoparticle-Tracking Analysis. JoVE (J. Vis. Exp.) 2019, 143, e58731. [Google Scholar] [CrossRef]
- Gartz, M.; Darlington, A.; Afzal, M.Z.; Strande, J.L. Exosomes Exert Cardioprotection in Dystrophin-Deficient Cardiomyocytes via ERK1/2-P38/MAPK Signaling. Sci. Rep. 2018, 8, 16519. [Google Scholar] [CrossRef] [PubMed]
- Vicencio, J.M.; Yellon, D.M.; Sivaraman, V.; Das, D.; Boi-Doku, C.; Arjun, S.; Zheng, Y.; Riquelme, J.A.; Kearney, J.; Sharma, V.; et al. Plasma Exosomes Protect the Myocardium from Ischemia-Reperfusion Injury. J. Am. Coll. Cardiol. 2015, 65, 1525–1536. [Google Scholar] [CrossRef]
- Saheera, S.; Jani, V.P.; Witwer, K.W.; Kutty, S. Extracellular Vesicle Interplay in Cardiovascular Pathophysiology. Am. J. Physiol.-Heart Circ. Physiol. 2021, 320, H1749–H1761. [Google Scholar] [CrossRef] [PubMed]
- Sklifasovskaya, A.P.; Blagonravov, M.; Ryabinina, A.; Goryachev, V.; Syatkin, S.; Chibisov, S.; Akhmetova, K.; Prokofiev, D.; Agostinelli, E. The Role of Heat Shock Proteins in the Pathogenesis of Heart Failure (Review). Int. J. Mol. Med. 2023, 52, 106. [Google Scholar] [CrossRef] [PubMed]
- Abdelnasir, A.; Sun, J.R.; Cheng, Y.F.; Chen, H.B.; Tang, S.; Kemper, N.; Hartung, J.; Bao, E.D. Evaluation of Hsp47 Expression in Heat-Stressed Rat Myocardial Cells in Vitro and in Vivo. Genet. Mol. Res. 2014, 13, 10787–10802. [Google Scholar] [CrossRef] [PubMed]
- Khalil, H.; Kanisicak, O.; Vagnozzi, R.J.; Johansen, A.K.; Maliken, B.D.; Prasad, V.; Boyer, J.G.; Brody, M.J.; Schips, T.; Kilian, K.K.; et al. Cell-Specific Ablation of Hsp47 Defines the Collagen-Producing Cells in the Injured Heart. JCI Insight 2019, 4, e128722. [Google Scholar] [CrossRef] [PubMed]
- Tseng, G.-N. IKr: The HERG Channel. J. Mol. Cell. Cardiol. 2001, 33, 835–849. [Google Scholar] [CrossRef] [PubMed]
- Sanguinetti, M.C.; Tristani-Firouzi, M. HERG Potassium Channels and Cardiac Arrhythmia. Nature 2006, 440, 463–469. [Google Scholar] [CrossRef]
- Curran, M.E.; Splawski, I.; Timothy, K.W.; Vincen, G.M.; Green, E.D.; Keating, M.T. A Molecular Basis for Cardiac Arrhythmia: HERG Mutations Cause Long QT Syndrome. Cell 1995, 80, 795–803. [Google Scholar] [CrossRef]
- Werner, C.; Stangl, S.; Salvermoser, L.; Schwab, M.; Shevtsov, M.; Xanthopoulos, A.; Wang, F.; Dezfouli, A.B.; Thölke, D.; Ostheimer, C.; et al. Hsp70 in Liquid Biopsies—A Tumor-Specific Biomarker for Detection and Response Monitoring in Cancer. Cancers 2021, 13, 3706. [Google Scholar] [CrossRef]
- Martin-Ventura, J.L.; Roncal, C.; Orbe, J.; Blanco-Colio, L.M. Role of Extracellular Vesicles as Potential Diagnostic and/or Therapeutic Biomarkers in Chronic Cardiovascular Diseases. Front. Cell Dev. Biol. 2022, 10, 813885. [Google Scholar] [CrossRef] [PubMed]
- Vandenberg, J.I.; Perry, M.D.; Perrin, M.J.; Mann, S.A.; Ke, Y.; Hill, A.P. HERG K(+) Channels: Structure, Function, and Clinical Significance. Physiol. Rev. 2012, 92, 1393–1478. [Google Scholar] [CrossRef] [PubMed]
- Berthet, M.; Denjoy, I.; Donger, C.; Demay, L.; Hammoude, H.; Klug, D.; Schulze-Bahr, E.; Richard, P.; Funke, H.; Schwartz, K.; et al. C-Terminal HERG Mutations: The Role of Hypokalemia and a KCNQ1- Associated Mutation in Cardiac Event Occurrence. Circulation 1999, 99, 1464–1470. [Google Scholar] [CrossRef] [PubMed]
- Jehle, J.; Schweizer, P.A.; Katus, H.A.; Thomas, D. Novel Roles for HERG K + Channels in Cell Proliferation and Apoptosis. Cell Death Dis. 2011, 2, e193. [Google Scholar] [CrossRef] [PubMed]
- Teng, G.Q.; Zhao, X.; Lees-Miller, J.P.; Quinn, F.R.; Li, P.; Rancourt, D.E.; London, B.; Cross, J.C.; Duff, H.J. Homozygous missense N629D hERG (KCNH2) potassium channel mutation causes developmental defects in the right ventricle and its outflow tract and embryonic lethality. Circ. Res. 2008, 103, 1483–1491. [Google Scholar] [CrossRef]
- Kekenes-Huskey, P.M.; Burgess, D.E.; Sun, B.; Bartos, D.C.; Rozmus, E.R.; Anderson, C.L.; January, C.T.; Eckhardt, L.L.; Delisle, B.P. Mutation-Specific Differences in Kv7.1 (KCNQ1) and Kv11.1 (KCNH2) Channel Dysfunction and Long QT Syndrome Phenotypes. Int. J. Mol. Sci. 2022, 23, 7389. [Google Scholar] [CrossRef] [PubMed]
- Lamothe, S.M.; Song, W.; Guo, J.; Li, W.; Yang, T.; Baranchuk, A.; Graham, C.H.; Zhang, S. Hypoxia Reduces Mature HERG Channels through Calpain Up-Regulation. FASEB J. 2017, 31, 5068–5077. [Google Scholar] [CrossRef] [PubMed]
- Lamothe, S.M.; Guo, J.; Li, W.; Yang, T.; Zhang, S. The Human Ether-a-Go-Go-Related Gene (HERG) Potassium Channel Represents an Unusual Target for Protease-Mediated Damage. J. Biol. Chem. 2016, 291, 20387–20401. [Google Scholar] [CrossRef]
- Kepenek, E.S.; Ozcinar, E.; Tuncay, E.; Akcali, K.C.; Akar, A.R.; Turan, B. Differential Expression of Genes Participating in Cardiomyocyte Electrophysiological Remodeling via Membrane Ionic Mechanisms and Ca2+-Handling in Human Heart Failure. Mol. Cell. Biochem. 2020, 463, 33–44. [Google Scholar] [CrossRef]
- Holzem, K.M.; Gomez, J.F.; Glukhov, A.V.; Madden, E.J.; Koppel, A.C.; Ewald, G.A.; Trenor, B.; Efimov, I.R. Reduced Response to IKr Blockade and Altered HERG1a/1b Stoichiometry in Human Heart Failure. Physiol. Behav. 2017, 176, 139–148. [Google Scholar] [CrossRef]
- Bellaye, P.S.; Burgy, O.; Causse, S.; Garrido, C.; Bonniaud, P. Heat Shock Proteins in Fibrosis and Wound Healing: Good or Evil? Pharmacol. Ther. 2014, 143, 119–132. [Google Scholar] [CrossRef]
- Xie, S.; Xing, Y.; Shi, W.; Zhang, M.; Chen, M.; Fang, W.; Liu, S.; Zhang, T.; Zeng, X.; Chen, S.; et al. Cardiac Fibroblast Heat Shock Protein 47 Aggravates Cardiac Fibrosis Post Myocardial Ischemia–Reperfusion Injury by Encouraging Ubiquitin Specific Peptidase 10 Dependent Smad4 Deubiquitination. Acta Pharm. Sin. B 2022, 12, 4138–4153. [Google Scholar] [CrossRef] [PubMed]
- Pan, X.; Chen, X.; Ren, Q.; Yue, L.; Niu, S.; Li, Z.; Zhu, R.; Chen, X.; Jia, Z.; Zhen, R.; et al. Single-Cell Transcriptome Reveals Effects of Semaglutide on Non-Cardiomyocytes of Obese Mice. Biochem. Biophys. Res. Commun. 2022, 622, 22–29. [Google Scholar] [CrossRef] [PubMed]
- Wang, Y.; Liu, J.; Wu, H.; Cai, Y. Combined Biomarkers Composed of Environment and Genetic Factors in Stroke. Biosci. Trends 2018, 12, 360–368. [Google Scholar] [CrossRef] [PubMed]
- Hemanthakumar, K.A.; Shentong, F.; Anisimov, A.; Mäyränpää, M.I.; Mervaala, E.; Kivelä, R. Cardiovascular Disease Risk Factors Induce Mesenchymal Features and Senescence in Mouse Cardiac Endothelial Cells. Elife 2021, 10, e62678. [Google Scholar] [CrossRef] [PubMed]
- Sanguinetti, M.C. HERG1 Channel Agonists and Cardiac Arrhythmia. Curr. Opin. Pharmacol. 2014, 15, 22–27. [Google Scholar] [CrossRef] [PubMed]
- Sasikumar, P.; AlOuda, K.S.; Kaiser, W.J.; Holbrook, L.M.; Kriek, N.; Unsworth, A.J.; Bye, A.P.; Sage, T.; Ushioda, R.; Nagata, K.; et al. The Chaperone Protein HSP47: A Platelet Collagen Binding Protein That Contributes to Thrombosis and Hemostasis. J. Thromb. Haemost. 2018, 16, 946–959. [Google Scholar] [CrossRef] [PubMed]
- McDonagh, T.A.; Metra, M.; Adamo, M.; Baumbach, A.; Böhm, M.; Burri, H.; Čelutkiene, J.; Chioncel, O.; Cleland, J.G.F.; Coats, A.J.S.; et al. 2021 ESC Guidelines for the Diagnosis and Treatment of Acute and Chronic Heart Failure. Eur. Heart J. 2021, 42, 3599–3726. [Google Scholar] [CrossRef]
- Jarolim, P. High Sensitivity Cardiac Troponin Assays in the Clinical Laboratories. Clin. Chem. Lab. Med. 2015, 53, 635–652. [Google Scholar] [CrossRef] [PubMed]
- Nakagawa, Y.; Nishikimi, T.; Kuwahara, K. Atrial and Brain Natriuretic Peptides: Hormones Secreted from the Heart. Peptides 2019, 111, 18–25. [Google Scholar] [CrossRef]
- Heidenreich, P.A.; Bozkurt, B.; Aguilar, D.; Allen, L.A.; Byun, J.J.; Colvin, M.M.; Deswal, A.; Drazner, M.H.; Dunlay, S.M.; Evers, L.R.; et al. 2022 AHA/ACC/HFSA Guideline for the Management of Heart Failure: Executive Summary: A Report of the American College of Cardiology/American Heart Association Joint Committee on Clinical Practice Guidelines. Circulation 2022, 145, E876–E894. [Google Scholar] [CrossRef]
- Moreno, C.; Hermosilla, T.; Morales, D.; Encina, M.; Torres-Díaz, L.; Díaz, P.; Sarmiento, D.; Simon, F.; Varela, D. Cavβ2 Transcription Start Site Variants Modulate Calcium Handling in Newborn Rat Cardiomyocytes. Pflügers Arch.-Eur. J. Physiol. 2015, 467, 2473–2484. [Google Scholar] [CrossRef] [PubMed]
- Morales, D.; Hermosilla, T.; Varela, D. Calcium-Dependent Inactivation Controls Cardiac L-Type Ca2+ Currents under β-Adrenergic Stimulation. J. Gen. Physiol. 2019, 151, 786–797. [Google Scholar] [CrossRef] [PubMed]
- Koncz, A.; Turiák, L.; Németh, K.; Lenzinger, D.; Bárkai, T.; Lőrincz, P.; Zelenyánszki, H.; Vukman, K.V.; Buzás, E.I.; Visnovitz, T. Endoplasmin Is a Hypoxia-Inducible Endoplasmic Reticulum-Derived Cargo of Extracellular Vesicles Released by Cardiac Cell Lines. Membranes 2023, 13, 431. [Google Scholar] [CrossRef] [PubMed]
- Serman, Y.; Fuentealba, R.A.; Pasten, C.; Rocco, J.; Ko, B.C.B.; Carrión, F.; Irarrázabal, C.E. Emerging New Role of NFAT5 in Inducible Nitric Oxide Synthase in Response to Hypoxia in Mouse Embryonic Fibroblast Cells. Am. J. Physiol. Cell Physiol. 2019, 317, C31–C38. [Google Scholar] [CrossRef] [PubMed]
- Tian, Y.; Gong, M.; Hu, Y.; Liu, H.; Zhang, W.; Zhang, M.; Hu, X. Quality and Efficiency Assessment of Six Extracellular Vesicle Isolation Methods by Nano-Flow Cytometry. J. Extracell. Vesicles 2019, 9, 1697028. [Google Scholar] [CrossRef] [PubMed]
- Welsh, J.A.; Goberdhan, D.C.; O’Driscoll, L.; Buzas, E.I.; Blenkiron, C.; Bussolati, B.; Cai, H.; Di Vizio, D.; Driedonks, T.A.; Erdbrügger, U.; et al. Minimal information for studies of extracellular vesicles (MISEV2023): From basic to advanced approaches. J. Extracell. Vesicles 2024, 13, e12404. [Google Scholar] [CrossRef] [PubMed]
- Pisitkun, T.; Shen, R.F.; Knepper, M.A. Identification and Proteomic Profiling of Exosomes in Human Urine. Proc. Natl. Acad. Sci. USA 2004, 101, 13368–13373. [Google Scholar] [CrossRef] [PubMed]
- Figueroa-Valdés, A.I.; de la Fuente, C.; Hidalgo, Y.; Vega-Letter, A.M.; Tapia-Limonchi, R.; Khoury, M.; Alcayaga-Miranda, F. A Chemically Defined, Xeno- and Blood-Free Culture Medium Sustains Increased Production of Small Extracellular Vesi-cles From Mesenchymal Stem Cells. Front. Bioeng. Biotechnol. 2021, 9, 619930. [Google Scholar] [CrossRef]
- Suárez, H.; Gámez-Valero, A.; Reyes, R.; López-Martín, S.; Rodríguez, M.J.; Carrascosa, J.L.; Cabañas, C.; Borràs, F.E.; Yáñez-Mó, M. A Bead-Assisted Flow Cytometry Method for the Semi-Quantitative Analysis of Extracellular Vesicles. Sci. Rep. 2017, 7, 11271. [Google Scholar] [CrossRef]








| Stress Test | |||
|---|---|---|---|
| Negative for Myocardial Ischemia (n = 13) | Positive for Myocardial Ischemia (n = 13) | p-Value | |
| Sex (male, %) | 84.62 | 53.84 | 0.101 |
| Age (year, range) | 61 ± 12.86 (33–77) | 64.92 ± 10.03 (55–84) | 0.513 |
| AHT (%) | 46.15 | 69.23 | 0.122 |
| T2DM (%) | 25.00 | 30.00 | 0.583 |
| Dyslipidemia (%) | 46.15 | 40.00 | 0.552 |
| Smoking (%) | 41.66 | 40.00 | 0.639 |
| AMI (%) | 18.18 | 36.36 | 0.318 |
| CHF (n = 10) | DHF (n = 10) | p-Value | |
|---|---|---|---|
| Sex (male, %) | 72.73 | 72.73 | 1.000 |
| Age (years; mean ± SD) | 65.27 ± 8.49 | 63.00 ± 17.54 | 0.711 |
| SBP (mmHg; mean ± SD) | 119.78 ± 22.77 | 146.18 ± 32.14 | 0.047 |
| DBP (mmHg; mean ± SD) | 72.56 ± 7.42 | 86.55 ± 23.86 | 0.157 |
| Heart rate (beats/min; mean ± SD) | 76.71 ± 9.81 | 87.63 ± 25.14 | 0.385 |
| HTA (%) | 72.73 | 63.64 | 0.050 |
| Dyslipidemia (%) | 0 | 18.08 | 0.238 |
| DM (%) | 36.36 | 36.36 | 1.000 |
| CKD (%) | 0 | 0 | 1.000 |
| Smoking (%) | 9.09 | 45.45 | 0.074 |
| Implantable cardioverter–defibrillator (ICD) | 36.36 | 18.18 | 0.318 |
| One-sided analysis |
Disclaimer/Publisher’s Note: The statements, opinions and data contained in all publications are solely those of the individual author(s) and contributor(s) and not of MDPI and/or the editor(s). MDPI and/or the editor(s) disclaim responsibility for any injury to people or property resulting from any ideas, methods, instructions or products referred to in the content. |
© 2024 by the authors. Licensee MDPI, Basel, Switzerland. This article is an open access article distributed under the terms and conditions of the Creative Commons Attribution (CC BY) license (https://creativecommons.org/licenses/by/4.0/).
Share and Cite
Osorio, L.A.; Lozano, M.; Soto, P.; Moreno-Hidalgo, V.; Arévalo-Gil, A.; Ramírez-Balaguera, A.; Hevia, D.; Cifuentes, J.; Hidalgo, Y.; Alcayaga-Miranda, F.; et al. Levels of Small Extracellular Vesicles Containing hERG-1 and Hsp47 as Potential Biomarkers for Cardiovascular Diseases. Int. J. Mol. Sci. 2024, 25, 4913. https://doi.org/10.3390/ijms25094913
Osorio LA, Lozano M, Soto P, Moreno-Hidalgo V, Arévalo-Gil A, Ramírez-Balaguera A, Hevia D, Cifuentes J, Hidalgo Y, Alcayaga-Miranda F, et al. Levels of Small Extracellular Vesicles Containing hERG-1 and Hsp47 as Potential Biomarkers for Cardiovascular Diseases. International Journal of Molecular Sciences. 2024; 25(9):4913. https://doi.org/10.3390/ijms25094913
Chicago/Turabian StyleOsorio, Luis A., Mauricio Lozano, Paola Soto, Viviana Moreno-Hidalgo, Angely Arévalo-Gil, Angie Ramírez-Balaguera, Daniel Hevia, Jorge Cifuentes, Yessia Hidalgo, Francisca Alcayaga-Miranda, and et al. 2024. "Levels of Small Extracellular Vesicles Containing hERG-1 and Hsp47 as Potential Biomarkers for Cardiovascular Diseases" International Journal of Molecular Sciences 25, no. 9: 4913. https://doi.org/10.3390/ijms25094913
APA StyleOsorio, L. A., Lozano, M., Soto, P., Moreno-Hidalgo, V., Arévalo-Gil, A., Ramírez-Balaguera, A., Hevia, D., Cifuentes, J., Hidalgo, Y., Alcayaga-Miranda, F., Pasten, C., Morales, D., Varela, D., Urquidi, C., Iturriaga, A., Rivera-Palma, A., Larrea-Gómez, R., & Irarrázabal, C. E. (2024). Levels of Small Extracellular Vesicles Containing hERG-1 and Hsp47 as Potential Biomarkers for Cardiovascular Diseases. International Journal of Molecular Sciences, 25(9), 4913. https://doi.org/10.3390/ijms25094913

