A Review of Antisynthetase Syndrome-Associated Interstitial Lung Disease
Abstract
1. Introduction
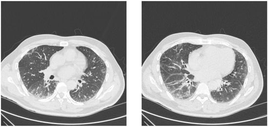
2. Clinical Case
3. Etiology and Pathogenesis
4. Epidemiology
5. Classification and Diagnostic Criteria
6. Clinical Features
6.1. Muscle
6.2. Joint
6.3. Lung
- Interstitial Lung Disease
- Pulmonary Arterial Hypertension
6.4. Skin
- Mechanic’s Hands and Hiker’s Feet
- Raynaud’s Phenomenon, Nailfold Capillary Abnormalities, and Digital Ischemia
6.5. Other Clinical Features
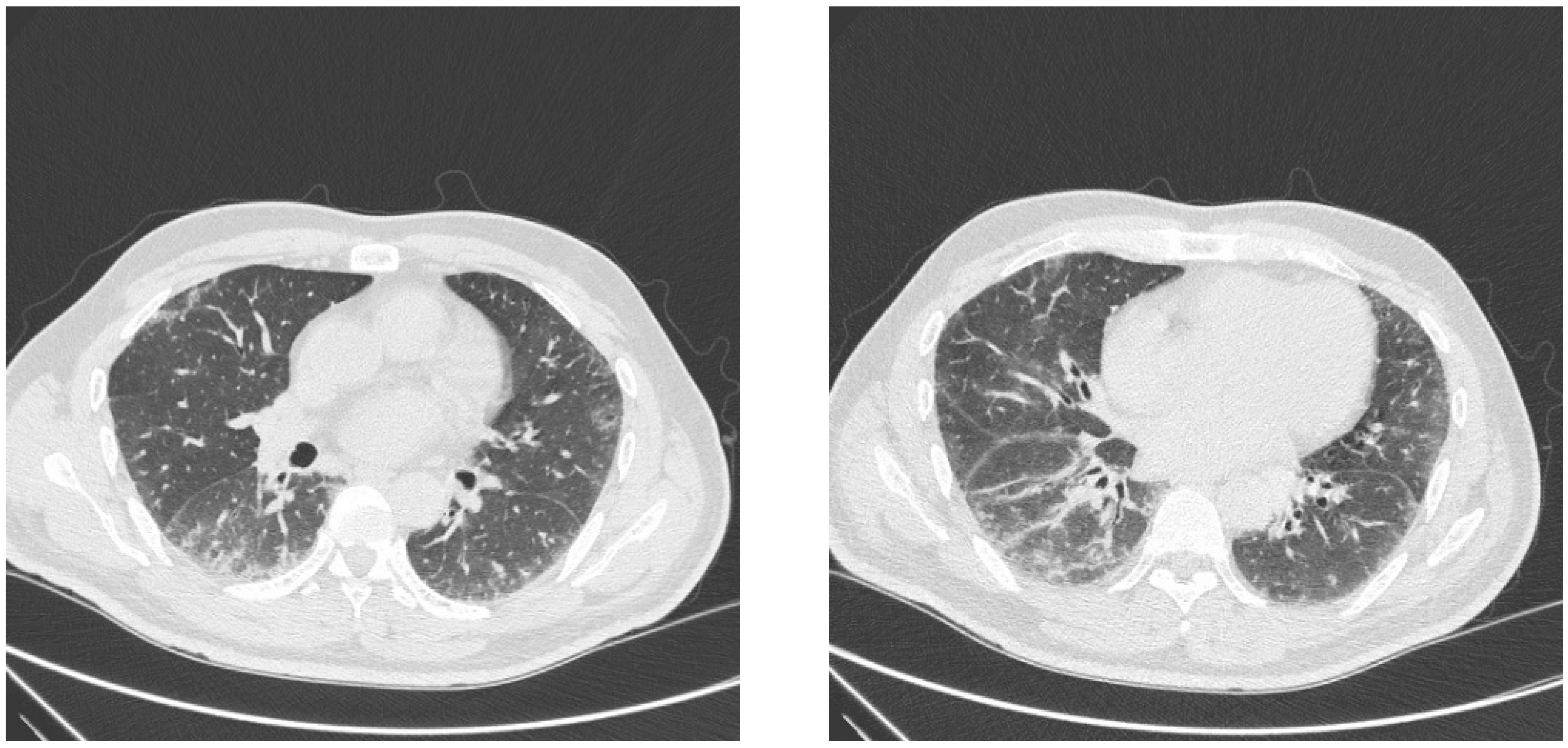
7. Imaging and Histology
8. Autoantibodies Phenotypic Profiles
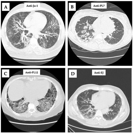
- Anti-Jo-1 (Anti-Histidyl tRNA Synthetase)
- Anti-PL7 (Anti-Threonyl tRNA Synthetase) and Anti-PL12 (Anti-Alanyl tRNA Synthetase)
- Anti-OJ (anti-isoleucyl tRNA synthetase)
- Anti-EJ (anti-glycyl tRNA synthetase)
- Anti-KS (anti-asparaginyl tRNA synthetase), Anti-HA/YRS (anti-tyrosyl tRNA synthetase), Anti-Zo (anti-phenylalanyl tRNA synthetase)
- ACPA (anti-citrullinated peptide/protein antibody)
- Anti-Ro52
| Predominant Feature | Antisynthetase Antibodies | Common Phenotype | |
|---|---|---|---|
| Arthritis Myositis ILD | ![]() | Anti-Jo-1 | |
| Anti-OJ | |||
| Anti-PL7 |
| ||
| Anti-PL12 |
| ||
| Anti-EJ | |||
| Anti-KS | |||
| Anti-HA/YRS and Anti-Zo |
| ||
9. Treatment of ILD in ASyS
9.1. Glucocorticoids
9.2. Mycophenolate Mofetil
9.3. Azathioprine
9.4. Calcineurin Inhibitors
9.5. Rituximab
9.6. Cyclophosphamide
9.7. CD19-Targeted Chimeric Antigen Receptor T Cells
9.8. Other Biological Agents
9.9. Intravenous Immunoglobulin
9.9.1. Therapeutic Apheresis
9.9.2. Antifibrotic Agents
10. Conclusions
Author Contributions
Funding
Informed Consent Statement
Data Availability Statement
Acknowledgments
Conflicts of Interest
References
- Wells, M.; Alawi, S.; Thin, K.Y.M.; Gunawardena, H.; Brown, A.R.; Edey, A.; Pauling, J.D.; Barratt, S.L.; Adamali, H.I. A multidisciplinary approach to the diagnosis of antisynthetase syndrome. Front. Med. 2022, 9, 959653. [Google Scholar] [CrossRef] [PubMed]
- Witt, L.J.; Curran, J.J.; Strek, M.E. The Diagnosis and Treatment of Antisynthetase Syndrome. Clin. Pulm. Med. 2016, 23, 218–226. [Google Scholar] [CrossRef] [PubMed]
- Opinc, A.H.; Makowska, J.S. Antisynthetase syndrome—Much more than just a myopathy. Semin. Arthritis Rheum. 2021, 51, 72–83. [Google Scholar] [CrossRef] [PubMed]
- Zanframundo, G.; Faghihi-Kashani, S.; Scirè, C.A.; Bonella, F.; Corte, T.J.; Doyle, T.J.; Fiorentino, D.; Gonzalez-Gay, M.A.; Hudson, M.; Kuwana, M.; et al. Defining anti-synthetase syndrome: A systematic literature review. Clin. Exp. Rheumatol. 2022, 40, 309–319. [Google Scholar] [CrossRef] [PubMed]
- Galindo-Feria, A.S.; Notarnicola, A.; Lundberg, I.E.; Horuluoglu, B. Aminoacyl-tRNA Synthetases: On Anti-Synthetase Syndrome and Beyond. Front. Immunol. 2022, 13, 866087. [Google Scholar] [CrossRef]
- Bunn, C.C.; Bernstein, R.M.; Mathews, M.B. Autoantibodies against alanyl-tRNA synthetase and tRNAAla coexist and are associated with myositis. J. Exp. Med. 1986, 163, 1281–1291. [Google Scholar] [CrossRef] [PubMed]
- Targoff, I.N. Autoantibodies to aminoacyl-transfer RNA synthetases for isoleucine and glycine. Two additional synthetases are antigenic in myositis. J. Immunol. 1990, 144, 1737–1743. [Google Scholar] [CrossRef] [PubMed]
- Hirakata, M.; Suwa, A.; Nagai, S.; Kron, M.A.; Trieu, E.P.; Mimori, T.; Akizuki, M.; Targoff, I.N. Anti-KS: Identification of autoantibodies to asparaginyl-transfer RNA synthetase associated with interstitial lung disease. J. Immunol. 1999, 162, 2315–2320. [Google Scholar] [CrossRef]
- Betteridge, Z.; Gunawardena, H.; North, J.; Slinn, J.; McHugh, N. Anti-synthetase syndrome: A new autoantibody to phenylalanyl transfer RNA synthetase (anti-Zo) associated with polymyositis and interstitial pneumonia. Rheumatology 2007, 46, 1005–1008. [Google Scholar] [CrossRef]
- Mimori, T.; Imura, Y.; Nakashima, R.; Yoshifuji, H. Autoantibodies in idiopathic inflammatory myopathy: An update on clinical and pathophysiological significance. Curr. Opin. Rheumatol. 2007, 19, 523–529. [Google Scholar] [CrossRef]
- Hervier, B.; Benveniste, O. Clinical heterogeneity and outcomes of antisynthetase syndrome. Curr. Rheumatol. Rep. 2013, 15, 349. [Google Scholar] [CrossRef] [PubMed]
- Huang, K.; Aggarwal, R. Antisynthetase syndrome: A distinct disease spectrum. J. Scleroderma Relat. Disord. 2020, 5, 178–191. [Google Scholar] [CrossRef] [PubMed]
- Zhao, N.; Jiang, W.; Wu, H.; Wang, P.; Wang, X.; Bai, Y.; Li, Y.; Tang, Y.; Liu, Y. Clinical features, prognostic factors, and survival of patients with antisynthetase syndrome and interstitial lung disease. Front. Immunol. 2022, 13, 872615. [Google Scholar] [CrossRef] [PubMed]
- Cavagna, L.; Trallero-Araguás, E.; Meloni, F.; Cavazzana, I.; Rojas-Serrano, J.; Feist, E.; Zanframundo, G.; Morandi, V.; Meyer, A.; Pereira da Silva, J.A.; et al. Influence of Antisynthetase Antibodies Specificities on Antisynthetase Syndrome Clinical Spectrum Time Course. J. Clin. Med. 2019, 8, 2013. [Google Scholar] [CrossRef] [PubMed]
- Darrah, E.; Rosen, A. Granzyme B cleavage of autoantigens in autoimmunity. Cell Death Differ. 2010, 17, 624–632. [Google Scholar] [CrossRef] [PubMed]
- Howard, O.M.; Dong, H.F.; Yang, D.; Raben, N.; Nagaraju, K.; Rosen, A.; Casciola-Rosen, L.; Härtlein, M.; Kron, M.; Yiadom, K.; et al. Histidyl-tRNA synthetase and asparaginyl-tRNA synthetase, autoantigens in myositis, activate chemokine receptors on T lymphocytes and immature dendritic cells. J. Exp. Med. 2002, 196, 781–791. [Google Scholar] [CrossRef] [PubMed]
- Galindo-Feria, A.S.; Albrecht, I.; Fernandes-Cerqueira, C.; Notarnicola, A.; James, E.A.; Herrath, J.; Dastmalchi, M.; Sandalova, T.; Rönnblom, L.; Jakobsson, P.J.; et al. Proinflammatory Histidyl-Transfer RNA Synthetase-Specific CD4+ T Cells in the Blood and Lungs of Patients With Idiopathic Inflammatory Myopathies. Arthritis Rheumatol. 2020, 72, 179–191. [Google Scholar] [CrossRef] [PubMed]
- Hervier, B.; Perez, M.; Allenbach, Y.; Devilliers, H.; Cohen, F.; Uzunhan, Y.; Ouakrim, H.; Dorgham, K.; Méritet, J.F.; Longchampt, E.; et al. Involvement of NK Cells and NKp30 Pathway in Antisynthetase Syndrome. J. Immunol. 2016, 197, 1621–1630. [Google Scholar] [CrossRef] [PubMed]
- Behrens Pinto, G.L.; Carboni, R.C.S.; de Souza, F.H.C.; Shinjo, S.K. A prospective cross-sectional study of serum IL-17A in antisynthetase syndrome. Clin. Rheumatol. 2020, 39, 2763–2771. [Google Scholar] [CrossRef]
- Mitsdoerffer, M.; Lee, Y.; Jäger, A.; Kim, H.J.; Korn, T.; Kolls, J.K.; Cantor, H.; Bettelli, E.; Kuchroo, V.K. Proinflammatory T helper type 17 cells are effective B-cell helpers. Proc. Natl. Acad. Sci. USA 2010, 107, 14292–14297. [Google Scholar] [CrossRef]
- Roşu, A.; Mărgăritescu, C.; Stepan, A.; Muşetescu, A.; Ene, M. IL-17 patterns in synovium, serum and synovial fluid from treatment-naïve, early rheumatoid arthritis patients. Rom. J. Morphol. Embryol. 2012, 53, 73–80. [Google Scholar]
- Chen, X.Q.; Yu, Y.C.; Deng, H.H.; Sun, J.Z.; Dai, Z.; Wu, Y.W.; Yang, M. Plasma IL-17A is increased in new-onset SLE patients and associated with disease activity. J. Clin. Immunol. 2010, 30, 221–225. [Google Scholar] [CrossRef]
- Chen, T.; Li, Y.; Sun, R.; Hu, H.; Liu, Y.; Herrmann, M.; Zhao, Y.; Muñoz, L.E. Receptor-Mediated NETosis on Neutrophils. Front. Immunol. 2021, 12, 775267. [Google Scholar] [CrossRef] [PubMed]
- Khandpur, R.; Carmona-Rivera, C.; Vivekanandan-Giri, A.; Gizinski, A.; Yalavarthi, S.; Knight, J.S.; Friday, S.; Li, S.; Patel, R.M.; Subramanian, V.; et al. NETs are a source of citrullinated autoantigens and stimulate inflammatory responses in rheumatoid arthritis. Sci. Transl. Med. 2013, 5, 178ra40. [Google Scholar] [CrossRef]
- Seto, N.; Torres-Ruiz, J.J.; Carmona-Rivera, C.; Pinal-Fernandez, I.; Pak, K.; Purmalek, M.M.; Hosono, Y.; Fernandes-Cerqueira, C.; Gowda, P.; Arnett, N.; et al. Neutrophil dysregulation is pathogenic in idiopathic inflammatory myopathies. JCI Insight 2020, 5, e134189. [Google Scholar] [CrossRef]
- López-Mejías, R.; Remuzgo-Martínez, S.; Genre, F.; Pulito-Cueto, V.; Rozas, S.M.F.; Llorca, J.; Fernández, D.I.; Cuesta, V.M.M.; Ortego-Centeno, N.; Gómez, N.P.; et al. Influence of MUC5B gene on antisynthetase syndrome. Sci. Rep. 2020, 10, 1415. [Google Scholar] [CrossRef] [PubMed]
- Remuzgo-Martínez, S.; Atienza-Mateo, B.; Ocejo-Vinyals, J.G.; Genre, F.; Pulito-Cueto, V.; Mora-Cuesta, V.M.; Iturbe-Fernández, D.; Lera-Gómez, L.; Pérez-Fernández, R.; Prieto-Peña, D.; et al. Role of MUC1 rs4072037 polymorphism and serum KL-6 levels in patients with antisynthetase syndrome. Sci. Rep. 2021, 11, 22574. [Google Scholar] [CrossRef] [PubMed]
- Ponce-Gallegos, M.A.; Ramos-Martínez, E.; García-Carmona, A.; Mejía, M.; Nava-Quiroz, K.J.; Pérez-Rubio, G.; Ambrocio-Ortiz, E.; González-Pérez, M.I.; Buendía-Roldán, I.; Rojas-Serrano, J.; et al. Genetic Susceptibility to Antisynthetase Syndrome Associated With Single-Nucleotide Variants in the IL1B Gene That Lead Variation in IL-1β Serum Levels. Front. Med. 2020, 7, 547186. [Google Scholar] [CrossRef] [PubMed]
- Pinal-Fernandez, I.; Casal-Dominguez, M.; Huapaya, J.A.; Albayda, J.; Paik, J.J.; Johnson, C.; Silhan, L.; Christopher-Stine, L.; Mammen, A.L.; Danoff, S.K. A longitudinal cohort study of the anti-synthetase syndrome: Increased severity of interstitial lung disease in black patients and patients with anti-PL7 and anti-PL12 autoantibodies. Rheumatology 2017, 56, 999–1007. [Google Scholar] [CrossRef]
- Solomon, J.; Swigris, J.J.; Brown, K.K. Myositis-related interstitial lung disease and antisynthetase syndrome. J. Bras. Pneumol. 2011, 37, 100–109. [Google Scholar] [CrossRef]
- Lilleker, J.B.; Vencovsky, J.; Wang, G.; Wedderburn, L.R.; Diederichsen, L.P.; Schmidt, J.; Oakley, P.; Benveniste, O.; Danieli, M.G.; Danko, K.; et al. The EuroMyositis registry: An international collaborative tool to facilitate myositis research. Ann. Rheum. Dis. 2018, 77, 30–39. [Google Scholar] [CrossRef]
- Noguchi, E.; Uruha, A.; Suzuki, S.; Hamanaka, K.; Ohnuki, Y.; Tsugawa, J.; Watanabe, Y.; Nakahara, J.; Shiina, T.; Suzuki, N.; et al. Skeletal Muscle Involvement in Antisynthetase Syndrome. JAMA Neurol. 2017, 74, 992–999. [Google Scholar] [CrossRef]
- Bohan, A.; Peter, J.B. Polymyositis and dermatomyositis (first of two parts). N. Engl. J. Med. 1975, 292, 344–347. [Google Scholar] [CrossRef]
- Lundberg, I.E.; Tjärnlund, A.; Bottai, M.; Werth, V.P.; Pilkington, C.; de Visser, M.; Alfredsson, L.; Amato, A.A.; Barohn, R.J.; Liang, M.H.; et al. 2017 European League Against Rheumatism/American College of Rheumatology Classification Criteria for Adult and Juvenile Idiopathic Inflammatory Myopathies and Their Major Subgroups. Arthritis Rheumatol. 2017, 69, 2271–2282. [Google Scholar] [CrossRef]
- Connors, G.R.; Christopher-Stine, L.; Oddis, C.V.; Danoff, S.K. Interstitial lung disease associated with the idiopathic inflammatory myopathies: What progress has been made in the past 35 years? Chest 2010, 138, 1464–1474. [Google Scholar] [CrossRef]
- Marco, J.L.; Collins, B.F. Clinical manifestations and treatment of antisynthetase syndrome. Best. Pract. Res. Clin. Rheumatol. 2020, 34, 101503. [Google Scholar] [CrossRef]
- Cavagna, L.; Nuño, L.; Scirè, C.A.; Govoni, M.; Longo, F.J.L.; Franceschini, F.; Neri, R.; Castañeda, S.; Giraldo, W.A.S.; Caporali, R.; et al. Clinical Spectrum Time Course in Anti Jo-1 Positive Antisynthetase Syndrome: Results From an International Retrospective Multicenter Study. Medicine 2015, 94, e1144. [Google Scholar] [CrossRef]
- Cavagna, L.; Nuño, L.; Scirè, C.A.; Govoni, M.; Longo, F.J.; Franceschini, F.; Neri, R.; Castañeda, S.; Sifuentes Giraldo, W.A.; Caporali, R.; et al. Serum Jo-1 Autoantibody and Isolated Arthritis in the Antisynthetase Syndrome: Review of the Literature and Report of the Experience of AENEAS Collaborative Group. Clin. Rev. Allergy Immunol. 2017, 52, 71–80. [Google Scholar] [CrossRef]
- González-Gay, M.A.; Montecucco, C.; Selva-O’Callaghan, A.; Trallero-Araguas, E.; Molberg, O.; Andersson, H.; Rojas-Serrano, J.; Perez-Roman, D.I.; Bauhammer, J.; Fiehn, C.; et al. Timing of onset affects arthritis presentation pattern in antisyntethase syndrome. Clin. Exp. Rheumatol. 2018, 36, 44–49. [Google Scholar]
- Baccaro, A.C.C.D.; Behrens Pinto, G.L.; Carboni, R.C.S.; Shinjo, S.K. The clinical manifestations at the onset of antisynthetase syndrome: A chameleon with multiple faces. Reumatismo 2020, 72, 86–92. [Google Scholar] [CrossRef]
- Shi, J.; Li, S.; Yang, H.; Zhang, Y.; Peng, Q.; Lu, X.; Wang, G. Clinical Profiles and Prognosis of Patients with Distinct Antisynthetase Autoantibodies. J. Rheumatol. 2017, 44, 1051–1057. [Google Scholar] [CrossRef]
- Hervier, B.; Devilliers, H.; Stanciu, R.; Meyer, A.; Uzunhan, Y.; Masseau, A.; Dubucquoi, S.; Hatron, P.Y.; Musset, L.; Wallaert, B.; et al. Hierarchical cluster and survival analyses of antisynthetase syndrome: Phenotype and outcome are correlated with anti-tRNA synthetase antibody specificity. Autoimmun. Rev. 2012, 12, 210–217. [Google Scholar] [CrossRef]
- Marie, I.; Hatron, P.Y.; Dominique, S.; Cherin, P.; Mouthon, L.; Menard, J.F.; Levesque, H.; Jouen, F. Short-term and long-term outcome of anti-Jo1-positive patients with anti-Ro52 antibody. Semin. Arthritis Rheum. 2012, 41, 890–899. [Google Scholar] [CrossRef]
- Marie, I.; Josse, S.; Decaux, O.; Dominique, S.; Diot, E.; Landron, C.; Roblot, P.; Jouneau, S.; Hatron, P.Y.; Tiev, K.P.; et al. Comparison of long-term outcome between anti-Jo1- and anti-PL7/PL12 positive patients with antisynthetase syndrome. Autoimmun. Rev. 2012, 11, 739–745. [Google Scholar] [CrossRef]
- Andersson, H.; Kirkhus, E.; Garen, T.; Walle-Hansen, R.; Merckoll, E.; Molberg, Ø. Comparative analyses of muscle MRI and muscular function in anti-synthetase syndrome patients and matched controls: A cross-sectional study. Arthritis Res. Ther. 2017, 19, 17. [Google Scholar] [CrossRef]
- McGrath, E.R.; Doughty, C.T.; Amato, A.A. Autoimmune Myopathies: Updates on Evaluation and Treatment. Neurotherapeutics 2018, 15, 976–994. [Google Scholar] [CrossRef]
- Aggarwal, R.; Cassidy, E.; Fertig, N.; Koontz, D.C.; Lucas, M.; Ascherman, D.P.; Oddis, C.V. Patients with non-Jo-1 anti-tRNA-synthetase autoantibodies have worse survival than Jo-1 positive patients. Ann. Rheum. Dis. 2014, 73, 227–232. [Google Scholar] [CrossRef]
- Teel, A.; Lu, J.; Park, J.; Singh, N.; Basharat, P. The Role of Myositis-Specific Autoantibodies and the Management of Interstitial Lung Disease in Idiopathic Inflammatory Myopathies: A Systematic Review. Semin. Arthritis Rheum. 2022, 57, 152088. [Google Scholar] [CrossRef]
- Zamora, A.C.; Hoskote, S.S.; Abascal-Bolado, B.; White, D.; Cox, C.W.; Ryu, J.H.; Moua, T. Clinical features and outcomes of interstitial lung disease in anti-Jo-1 positive antisynthetase syndrome. Respir. Med. 2016, 118, 39–45. [Google Scholar] [CrossRef]
- Waseda, Y.; Johkoh, T.; Egashira, R.; Sumikawa, H.; Saeki, K.; Watanabe, S.; Matsunuma, R.; Takato, H.; Ichikawa, Y.; Hamaguchi, Y.; et al. Antisynthetase syndrome: Pulmonary computed tomography findings of adult patients with antibodies to aminoacyl-tRNA synthetases. Eur. J. Radiol. 2016, 85, 1421–1426. [Google Scholar] [CrossRef]
- Debray, M.P.; Borie, R.; Revel, M.P.; Naccache, J.M.; Khalil, A.; Toper, C.; Israel-Biet, D.; Estellat, C.; Brillet, P.Y. Interstitial lung disease in anti-synthetase syndrome: Initial and follow-up CT findings. Eur. J. Radiol. 2015, 84, 516–523. [Google Scholar] [CrossRef]
- Yamakawa, H.; Hagiwara, E.; Kitamura, H.; Iwasawa, T.; Otoshi, R.; Aiko, N.; Katano, T.; Shintani, R.; Ikeda, S.; Okuda, R.; et al. Predictive Factors for the Long-Term Deterioration of Pulmonary Function in Interstitial Lung Disease Associated with Anti-Aminoacyl-tRNA Synthetase Antibodies. Respiration 2018, 96, 210–221. [Google Scholar] [CrossRef]
- Chartrand, S.; Swigris, J.J.; Peykova, L.; Chung, J.; Fischer, A. A Multidisciplinary Evaluation Helps Identify the Antisynthetase Syndrome in Patients Presenting as Idiopathic Interstitial Pneumonia. J. Rheumatol. 2016, 43, 887–892. [Google Scholar] [CrossRef]
- Chatterjee, S.; Prayson, R.; Farver, C. Antisynthetase syndrome: Not just an inflammatory myopathy. Cleve Clin. J. Med. 2013, 80, 655–666. [Google Scholar] [CrossRef]
- Hervier, B.; Meyer, A.; Dieval, C.; Uzunhan, Y.; Devilliers, H.; Launay, D.; Canuet, M.; Têtu, L.; Agard, C.; Sibilia, J.; et al. Pulmonary hypertension in antisynthetase syndrome: Prevalence, aetiology and survival. Eur. Respir. J. 2013, 42, 1271–1282. [Google Scholar] [CrossRef]
- Rojas-Serrano, J.; Herrera-Bringas, D.; Mejía, M.; Rivero, H.; Mateos-Toledo, H.; Figueroa, J.E. Prognostic factors in a cohort of antisynthetase syndrome (ASS): Serologic profile is associated with mortality in patients with interstitial lung disease (ILD). Clin. Rheumatol. 2015, 34, 1563–1569. [Google Scholar] [CrossRef]
- Bachmeyer, C.; Tillie-Leblond, I.; Lacert, A.; Cadranel, J.; Aractingi, S. “Mechanic’s hands”: A misleading cutaneous sign of the antisynthetase syndrome. Br. J. Dermatol. 2007, 156, 192–194. [Google Scholar] [CrossRef]
- Cox, J.T.; Gullotti, D.M.; Mecoli, C.A.; Lahouti, A.H.; Albayda, J.; Paik, J.; Johnson, C.; Danoff, S.K.; Mammen, A.L.; Christopher-Stine, L. “Hiker’s feet”: A novel cutaneous finding in the inflammatory myopathies. Clin. Rheumatol. 2017, 36, 1683–1686. [Google Scholar] [CrossRef]
- Wernham, M.; Montague, S.J. Mechanic’s hands and hiker’s feet in antisynthetase syndrome. CMAJ 2017, 189, E1365. [Google Scholar] [CrossRef][Green Version]
- Sebastiani, M.; Triantafyllias, K.; Manfredi, A.; González-Gay, M.A.; Palmou-Fontana, N.; Cassone, G.; Drott, U.; Delbrück, C.; Rojas-Serrano, J.; Bertolazzi, C.; et al. Nailfold Capillaroscopy Characteristics of Antisynthetase Syndrome and Possible Clinical Associations: Results of a Multicenter International Study. J. Rheumatol. 2019, 46, 279–284. [Google Scholar] [CrossRef]
- Yoshida, A.; Gono, T.; Okazaki, Y.; Shirai, Y.; Takeno, M.; Kuwana, M. Severe digital ischemia as an unrecognized manifestation in patients with antisynthetase autoantibodies: Case series and systematic literature review. J. Scleroderma Relat. Disord. 2022, 7, 204–216. [Google Scholar] [CrossRef] [PubMed]
- Dieval, C.; Deligny, C.; Meyer, A.; Cluzel, P.; Champtiaux, N.; Lefevre, G.; Saadoun, D.; Sibilia, J.; Pellegrin, J.L.; Hachulla, E.; et al. Myocarditis in Patients With Antisynthetase Syndrome: Prevalence, Presentation, and Outcomes. Medicine 2015, 94, e798. [Google Scholar] [CrossRef] [PubMed]
- Labirua-Iturburu, A.; Selva-O’Callaghan, A.; Vincze, M.; Dankó, K.; Vencovsky, J.; Fisher, B.; Charles, P.; Dastmalchi, M.; Lundberg, I.E. Anti-PL-7 (anti-threonyl-tRNA synthetase) antisynthetase syndrome: Clinical manifestations in a series of patients from a European multicenter study (EUMYONET) and review of the literature. Medicine 2012, 91, 206–211. [Google Scholar] [CrossRef] [PubMed]
- Sawal, N.; Mukhopadhyay, S.; Rayancha, S.; Moore, A.; Garcha, P.; Kumar, A.; Kaul, V. A narrative review of interstitial lung disease in anti-synthetase syndrome: A clinical approach. J. Thorac. Dis. 2021, 13, 5556–5571. [Google Scholar] [CrossRef]
- Baratella, E.; Marrocchio, C.; Cifaldi, R.; Santagiuliana, M.; Bozzato, A.M.; Crivelli, P.; Ruaro, B.; Salton, F.; Confalonieri, M.; Cova, M.A. Interstitial lung disease in patients with antisynthetase syndrome: A retrospective case series study. Jpn. J. Radiol. 2021, 39, 40–46. [Google Scholar] [CrossRef]
- Gomes Ferreira, S.; Fernandes, L.; Santos, S.; Ferreira, S.; Teixeira, M. From Suspected COVID-19 to Anti-synthetase Syndrome: A Diagnostic Challenge in the Pandemic Era. Cureus 2024, 16, e52733. [Google Scholar] [CrossRef] [PubMed]
- Alfraji, N.; Mazahir, U.; Chaudhri, M.; Miskoff, J. Anti-synthetase syndrome: A rare and challenging diagnosis for bilateral ground-glass opacities-a case report with literature review. BMC Pulm. Med. 2021, 21, 11. [Google Scholar] [CrossRef] [PubMed]
- De Souza, F.H.C.; De Araújo, D.B.; Hoff, L.S.; Baldi, B.G.; Faria, M.S.M.S.; Da Rocha Junior, L.F.; Da Silva, L.R.S.; Behrens Pinto, G.L.; Bezerra, M.C.; Miossi, R.; et al. Diagnosis and treatment of interstitial lung disease related to systemic autoimmune myopathies: A narrative review. Reumatismo 2023, 75, e134189. [Google Scholar] [CrossRef]
- Jiang, M.; Dong, X.; Zheng, Y. Clinical characteristics of interstitial lung diseases positive to different anti-synthetase antibodies. Medicine 2021, 100, e25816. [Google Scholar] [CrossRef]
- Hallowell, R.W.; Danoff, S.K. Diagnosis and Management of Myositis-Associated Lung Disease. Chest 2023, 163, 1476–1491. [Google Scholar] [CrossRef]
- da Silva, L.M.B.; Borges, I.B.P.; Shinjo, S.K. High prevalence of necrotising myopathy pattern in muscle biopsies of patients with anti-Jo-1 antisynthetase syndrome. Clin. Exp. Rheumatol. 2023, 41, 238–246. [Google Scholar] [CrossRef] [PubMed]
- Tanboon, J.; Inoue, M.; Hirakawa, S.; Tachimori, H.; Hayashi, S.; Noguchi, S.; Okiyama, N.; Fujimoto, M.; Suzuki, S.; Nishino, I. Muscle pathology of antisynthetase syndrome according to antibody subtypes. Brain Pathol. 2023, 33, e13155. [Google Scholar] [CrossRef] [PubMed]
- Hamaguchi, Y.; Fujimoto, M.; Matsushita, T.; Kaji, K.; Komura, K.; Hasegawa, M.; Kodera, M.; Muroi, E.; Fujikawa, K.; Seishima, M.; et al. Common and distinct clinical features in adult patients with anti-aminoacyl-tRNA synthetase antibodies: Heterogeneity within the syndrome. PLoS ONE 2013, 8, e60442. [Google Scholar]
- Sreevilasan, S.K.; Devarasetti, P.; Narahari, N.K.; Desai, A.; Rajasekhar, L. Clinical profile and treatment outcomes in antisynthetase syndrome: A tertiary centre experience. Rheumatol. Adv. Pract. 2021, 5 (Suppl. 2), ii10–ii18. [Google Scholar] [CrossRef] [PubMed]
- Lefèvre, G.; Meyer, A.; Launay, D.; Machelart, I.; DeBandt, M.; Michaud, J.; Tournadre, A.; Godmer, P.; Kahn, J.E.; Behra-Marsac, A.; et al. Seronegative polyarthritis revealing antisynthetase syndrome: A multicentre study of 40 patients. Rheumatology 2015, 54, 927–932. [Google Scholar] [CrossRef] [PubMed]
- Marie, I.; Josse, S.; Hatron, P.Y.; Dominique, S.; Hachulla, E.; Janvresse, A.; Cherin, P.; Mouthon, L.; Vittecoq, O.; Menard, J.F.; et al. Interstitial lung disease in anti-Jo-1 patients with antisynthetase syndrome. Arthritis Care Res. 2013, 65, 800–808. [Google Scholar] [CrossRef] [PubMed]
- Arcani, R.; Rey, L.; Mazziotto, A.; Bertin, D.; Kaplanski, G.; Jarrot, P.A.; Lafforgue, P.; Venton, G.; Heim, X.; Villani, P.; et al. Anti-Jo-1 autoantibodies: Biomarkers of severity and evolution of the disease in antisynthetase syndrome. Arthritis Res. Ther. 2023, 25, 125. [Google Scholar] [CrossRef] [PubMed]
- Hervier, B.; Uzunhan, Y.; Hachulla, E.; Benveniste, O.; Nunes, H.; Delaval, P.; Musset, L.; Dubucquoi, S.; Wallaert, B.; Hamidou, M. Antisynthetase syndrome positive for anti-threonyl-tRNA synthetase (anti-PL7) antibodies. Eur. Respir. J. 2011, 37, 714–717. [Google Scholar] [CrossRef] [PubMed]
- Zhan, X.; Yan, W.; Wang, Y.; Li, Q.; Shi, X.; Gao, Y.; Ye, Q. Clinical features of anti-synthetase syndrome associated interstitial lung disease: A retrospective cohort in China. BMC Pulm. Med. 2021, 21, 57. [Google Scholar] [CrossRef]
- Abel, A.; Lazaro, E.; Ralazamahaleo, M.; Pierrisnard, E.; Suzon, B.; Bonnet, F.; Mercié, P.; Macey, J.; Agossou, M.; Viallard, J.F.; et al. Phenotypic Profiles Among 72 Caucasian and Afro-Caribbean Patients with Antisynthetase Syndrome Involving Anti-PL7 or Anti-PL12 Autoantibodies. Eur. J. Intern. Med. 2023, 115, 104–113. [Google Scholar] [CrossRef]
- Vulsteke, J.B.; Satoh, M.; Malyavantham, K.; Bossuyt, X.; De Langhe, E.; Mahler, M. Anti-OJ autoantibodies: Rare or underdetected? Autoimmun. Rev. 2019, 18, 658–664. [Google Scholar] [CrossRef] [PubMed]
- Liu, Y.; Liu, X.; Xie, M.; Chen, Z.; He, J.; Wang, Z.; Dai, J.; Cai, H. Clinical characteristics of patients with anti-EJ antisynthetase syndrome associated interstitial lung disease and literature review. Respir. Med. 2020, 165, 105920. [Google Scholar] [CrossRef] [PubMed]
- Okayasu, K.; Ohtani, Y.; Takemura, T.; Uchibori, K.; Tamaoka, M.; Furuiye, M.; Miyazaki, Y.; Inase, N.; Yoshizawa, Y. Nonspecific interstitial pneumonia (NSIP) associated with anti-KS antibody: Differentiation from idiopathic NSIP. Intern. Med. 2009, 48, 1301–1306. [Google Scholar] [CrossRef] [PubMed][Green Version]
- Schneider, F.; Aggarwal, R.; Bi, D.; Gibson, K.; Oddis, C.; Yousem, S.A. The pulmonary histopathology of anti-KS transfer RNA synthetase syndrome. Arch. Pathol. Lab. Med. 2015, 139, 122–125. [Google Scholar] [CrossRef] [PubMed]
- Tansley, S.L.; Betteridge, Z.; Lu, H.; Davies, E.; Rothwell, S.; New, P.P.; Chinoy, H.; Gordon, P.; Gunawardena, H.; Lloyd, M.; et al. The myositis clinical phenotype associated with anti-Zo autoantibodies: A case series of nine UK patients. Rheumatology 2020, 59, 1626–1631. [Google Scholar] [CrossRef] [PubMed]
- Ueda-Hayakawa, I.; Hasegawa, M.; Kumada, S.; Tanaka, C.; Komura, K.; Hamaguchi, Y.; Takehara, K.; Fujimoto, M. Usefulness of anti-cyclic citrullinated peptide antibody and rheumatoid factor to detect rheumatoid arthritis in patients with systemic sclerosis. Rheumatology 2010, 49, 2135–2139. [Google Scholar] [CrossRef]
- Pakozdi, A.; Nihtyanova, S.; Moinzadeh, P.; Ong, V.H.; Black, C.M.; Denton, C.P. Clinical and serological hallmarks of systemic sclerosis overlap syndromes. J. Rheumatol. 2011, 38, 2406–2409. [Google Scholar] [CrossRef]
- Hoffman, I.E.; Peene, I.; Cebecauer, L.; Isenberg, D.; Huizinga, T.W.; Union, A.; Meheus, L.; De Bosschere, K.; Hulstaert, F.; Veys, E.M.; et al. Presence of rheumatoid factor and antibodies to citrullinated peptides in systemic lupus erythematosus. Ann. Rheum. Dis. 2005, 64, 330–332. [Google Scholar] [CrossRef]
- Qing, Y.F.; Zhang, Q.B.; Zhou, J.G.; Yuan, G.H.; Wei, J.; Xing, Y.; Liu, J.P.; Jiang, L.; Chen, J.P. The detecting and clinical value of anti-cyclic citrullinated peptide antibodies in patients with systemic lupus erythematosus. Lupus 2009, 18, 713–717. [Google Scholar] [CrossRef]
- Kakumanu, P.; Sobel, E.S.; Narain, S.; Li, Y.; Akaogi, J.; Yamasaki, Y.; Segal, M.S.; Hahn, P.C.; Chan, E.K.; Reeves, W.H.; et al. Citrulline dependence of anti-cyclic citrullinated peptide antibodies in systemic lupus erythematosus as a marker of deforming/erosive arthritis. J. Rheumatol. 2009, 36, 2682–2690. [Google Scholar] [CrossRef]
- Meyer, A.; Lefevre, G.; Bierry, G.; Duval, A.; Ottaviani, S.; Meyer, O.; Tournadre, A.; Le Goff, B.; Messer, L.; Buchdahl, A.L.; et al. In antisynthetase syndrome, ACPA are associated with severe and erosive arthritis: An overlapping rheumatoid arthritis and antisynthetase syndrome. Medicine 2015, 94, e523. [Google Scholar] [CrossRef] [PubMed]
- Bauhammer, J.; Blank, N.; Max, R.; Lorenz, H.M.; Wagner, U.; Krause, D.; Fiehn, C. Rituximab in the Treatment of Jo1 Antibody-associated Antisynthetase Syndrome: Anti-Ro52 Positivity as a Marker for Severity and Treatment Response. J. Rheumatol. 2016, 43, 1566–1574. [Google Scholar] [CrossRef] [PubMed]
- Vojinovic, T.; Cavazzana, I.; Ceruti, P.; Fredi, M.; Modina, D.; Berlendis, M.; Franceschini, F. Predictive Features and Clinical Presentation of Interstitial Lung Disease in Inflammatory Myositis. Clin. Rev. Allergy Immunol. 2021, 60, 87–94. [Google Scholar] [CrossRef]
- Shao, C.; Sun, Y.; Huang, H.; Zhang, Z.; Pan, R.; Xu, K.; Zhang, X.; Zhang, Y.; Xu, Z. Myositis specific antibodies are associated with isolated anti-Ro-52 associated interstitial lung disease. Rheumatology 2022, 61, 1083–1091. [Google Scholar] [CrossRef] [PubMed]
- Chaudhry, S.; Christopher-Stine, L. Myositis interstitial lung disease and autoantibodies. Front. Med. 2023, 10, 1117071. [Google Scholar] [CrossRef] [PubMed]
- Pepper, E.; Vilar, L.; Ward, I.M. Clinical Characteristics and Prognostic Value of Ro52/SSA Antibodies in Idiopathic Inflammatory Myopathies. J. Clin. Rheumatol. 2023, 29, 347–353. [Google Scholar] [CrossRef] [PubMed]
- Limaye, V.S.; Cassidy, J.; Scott, G.; Roberts-Thomson, P.J.; Gillis, D. Anti-Ro52 antibodies, antisynthetase antibodies, and antisynthetase syndrome. Clin. Rheumatol. 2008, 27, 521–523. [Google Scholar] [CrossRef] [PubMed]
- Cruellas, M.G.; Viana, V.D.S.T.; Levy-Neto, M.; Souza, F.H.; Shinjo, S.K. Myositis-specific and myositis-associated autoantibody profiles and their clinical associations in a large series of patients with polymyositis and dermatomyositis. Clinics 2013, 68, 909–914. [Google Scholar] [CrossRef] [PubMed]
- Yamasaki, Y.; Satoh, M.; Mizushima, M.; Okazaki, T.; Nagafuchi, H.; Ooka, S.; Shibata, T.; Nakano, H.; Ogawa, H.; Azuma, K.; et al. Clinical subsets associated with different anti-aminoacyl transfer RNA synthetase antibodies and their association with coexisting anti-Ro52. Mod. Rheumatol. 2016, 26, 403–409. [Google Scholar] [CrossRef]
- Bozzalla-Cassione, E.; Zanframundo, G.; Biglia, A.; Bellis, E.; Bozzini, S.; Codullo, V.; Vertui, V.; Alpini, C.; Valentini, A.; Preda, L.; et al. Anti-Ro52 antibodies positivity in antisynthetase syndrome: A single centre cohort study. Clin. Exp. Rheumatol. 2022, 40 (Suppl. 134), 27–31. [Google Scholar] [CrossRef]
- La Corte, R.; Lo Mo Naco, A.; Locaputo, A.; Dolzani, F.; Trotta, F. In patients with antisynthetase syndrome the occurrence of anti-Ro/SSA antibodies causes a more severe interstitial lung disease. Autoimmunity 2006, 39, 249–253. [Google Scholar] [CrossRef]
- Váncsa, A.; Csípo, I.; Németh, J.; Dévényi, K.; Gergely, L.; Dankó, K. Characteristics of interstitial lung disease in SS-A positive/Jo-1 positive inflammatory myopathy patients. Rheumatol. Int. 2009, 29, 989–994. [Google Scholar] [CrossRef]
- Chen, H.; Liu, H.; Lyu, W.; Liu, Y.; Huang, M.; Zhang, Y.; Qiu, Y.; Xiao, Y.; Cai, H.; Dai, J. An observational study of clinical recurrence in patients with interstitial lung disease related to the antisynthetase syndrome. Clin. Rheumatol. 2023, 42, 711–720. [Google Scholar] [CrossRef]
- Swigris, J.J.; Olson, A.L.; Fischer, A.; Lynch, D.A.; Cosgrove, G.P.; Frankel, S.K.; Meehan, R.T.; Brown, K.K. Mycophenolate mofetil is safe, well tolerated, and preserves lung function in patients with connective tissue disease-related interstitial lung disease. Chest 2006, 130, 30–36. [Google Scholar] [CrossRef]
- Saketkoo, L.A.; Espinoza, L.R. Experience of mycophenolate mofetil in 10 patients with autoimmune-related interstitial lung disease demonstrates promising effects. Am. J. Med. Sci. 2009, 337, 329–335. [Google Scholar] [CrossRef]
- Morganroth, P.A.; Kreider, M.E.; Werth, V.P. Mycophenolate mofetil for interstitial lung disease in dermatomyositis. Arthritis Care Res. 2010, 62, 1496–1501. [Google Scholar] [CrossRef]
- Fischer, A.; Brown, K.K.; Du Bois, R.M.; Frankel, S.K.; Cosgrove, G.P.; Fernandez-Perez, E.R.; Huie, T.J.; Krishnamoorthy, M.; Meehan, R.T.; Olson, A.L.; et al. Mycophenolate mofetil improves lung function in connective tissue disease-associated interstitial lung disease. J. Rheumatol. 2013, 40, 640–646. [Google Scholar] [CrossRef]
- Tsuchiya, H.; Tsuno, H.; Inoue, M.; Takahashi, Y.; Yamashita, H.; Kaneko, H.; Kano, T.; Mimori, A. Mycophenolate mofetil therapy for rapidly progressive interstitial lung disease in a patient with clinically amyopathic dermatomyositis. Mod. Rheumatol. 2014, 24, 694–696. [Google Scholar] [CrossRef]
- Mira-Avendano, I.C.; Parambil, J.G.; Yadav, R.; Arrossi, V.; Xu, M.; Chapman, J.T.; Culver, D.A. A retrospective review of clinical features and treatment outcomes in steroid-resistant interstitial lung disease from polymyositis/dermatomyositis. Respir. Med. 2013, 107, 890–896. [Google Scholar] [CrossRef]
- Huapaya, J.A.; Silhan, L.; Pinal-Fernandez, I.; Casal-Dominguez, M.; Johnson, C.; Albayda, J.; Paik, J.J.; Sanyal, A.; Mammen, A.L.; Christopher-Stine, L.; et al. Long-Term Treatment With Azathioprine and Mycophenolate Mofetil for Myositis-Related Interstitial Lung Disease. Chest 2019, 156, 896–906. [Google Scholar] [CrossRef]
- Ge, Y.; Zhou, H.; Shi, J.; Ye, B.; Peng, Q.; Lu, X.; Wang, G. The efficacy of tacrolimus in patients with refractory dermatomyositis/polymyositis: A systematic review. Clin. Rheumatol. 2015, 34, 2097–2103. [Google Scholar] [CrossRef]
- Hozumi, H.; Fujisawa, T.; Nakashima, R.; Yasui, H.; Suzuki, Y.; Kono, M.; Karayama, M.; Furuhashi, K.; Enomoto, N.; Inui, N.; et al. Efficacy of Glucocorticoids and Calcineurin Inhibitors for Anti-aminoacyl-tRNA Synthetase Antibody-positive Polymyositis/dermatomyositis-associated Interstitial Lung Disease: A Propensity Score-matched Analysis. J. Rheumatol. 2019, 46, 509–517. [Google Scholar] [CrossRef]
- Lee, D.S.W.; Rojas, O.L.; Gommerman, J.L. B cell depletion therapies in autoimmune disease: Advances and mechanistic insights. Nat. Rev. Drug Discov. 2021, 20, 179–199. [Google Scholar] [CrossRef]
- Sem, M.; Molberg, O.; Lund, M.B.; Gran, J.T. Rituximab treatment of the anti-synthetase syndrome: A retrospective case series. Rheumatology 2009, 48, 968–971. [Google Scholar] [CrossRef]
- Marie, I.; Dominique, S.; Janvresse, A.; Levesque, H.; Menard, J.F. Rituximab therapy for refractory interstitial lung disease related to antisynthetase syndrome. Respir. Med. 2012, 106, 581–587. [Google Scholar] [CrossRef]
- Andersson, H.; Sem, M.; Lund, M.B.; Aaløkken, T.M.; Günther, A.; Walle-Hansen, R.; Garen, T.; Molberg, Ø. Long-term experience with rituximab in anti-synthetase syndrome-related interstitial lung disease. Rheumatology 2015, 54, 1420–1428. [Google Scholar] [CrossRef]
- Doyle, T.J.; Dhillon, N.; Madan, R.; Cabral, F.; Fletcher, E.A.; Koontz, D.C.; Aggarwal, R.; Osorio, J.C.; Rosas, I.O.; Oddis, C.V.; et al. Rituximab in the Treatment of Interstitial Lung Disease Associated with Antisynthetase Syndrome: A Multicenter Retrospective Case Review. J. Rheumatol. 2018, 45, 841–850. [Google Scholar] [CrossRef]
- Allenbach, Y.; Guiguet, M.; Rigolet, A.; Marie, I.; Hachulla, E.; Drouot, L.; Jouen, F.; Jacquot, S.; Mariampillai, K.; Musset, L.; et al. Efficacy of Rituximab in Refractory Inflammatory Myopathies Associated with Anti- Synthetase Auto-Antibodies: An Open-Label, Phase II Trial. PLoS ONE 2015, 10, e0133702. [Google Scholar] [CrossRef]
- Ge, Y.; Peng, Q.; Zhang, S.; Zhou, H.; Lu, X.; Wang, G. Cyclophosphamide treatment for idiopathic inflammatory myopathies and related interstitial lung disease: A systematic review. Clin. Rheumatol. 2015, 34, 99–105. [Google Scholar] [CrossRef] [PubMed]
- Barba, T.; Fort, R.; Cottin, V.; Provencher, S.; Durieu, I.; Jardel, S.; Hot, A.; Reynaud, Q.; Lega, J.C. Treatment of idiopathic inflammatory myositis associated interstitial lung disease: A systematic review and meta-analysis. Autoimmun. Rev. 2019, 18, 113–122. [Google Scholar] [CrossRef] [PubMed]
- Moreno-Torres, V.; Martín-Iglesias, D.; Vivero, F.; González-Echavarri, C.; García-Moyano, M.; Enghelmayer, J.I.; Malfante, P.; Gaser, A.; Ruiz-Irastorza, G.; EPIMAR cohort Investigators. Intravenous cyclophosphamide improves functional outcomes in interstitial lung disease related to idiopathic inflammatory myopathies. Semin. Arthritis Rheum. 2023, 59, 152164. [Google Scholar] [CrossRef]
- Marie, I.; Hatron, P.Y.; Cherin, P.; Hachulla, E.; Diot, E.; Vittecoq, O.; Menard, J.F.; Jouen, F.; Dominique, S. Functional outcome and prognostic factors in anti-Jo1 patients with antisynthetase syndrome. Arthritis Res. Ther. 2013, 15, R149. [Google Scholar] [CrossRef]
- McPherson, M.; Economidou, S.; Liampas, A.; Zis, P.; Parperis, K. Management of MDA-5 antibody positive clinically amyopathic dermatomyositis associated interstitial lung disease: A systematic review. Semin. Arthritis Rheum. 2022, 53, 151959. [Google Scholar] [CrossRef]
- Langlois, V.; Gillibert, A.; Uzunhan, Y.; Chabi, M.L.; Hachulla, E.; Landon-Cardinal, O.; Mariampillai, K.; Champtiaux, N.; Nunes, H.; Benveniste, O.; et al. Rituximab and Cyclophosphamide in Antisynthetase Syndrome-related Interstitial Lung Disease: An Observational Retrospective Study. J. Rheumatol. 2020, 47, 1678–1686. [Google Scholar] [CrossRef]
- Maher, T.M.; Tudor, V.A.; Saunders, P.; Gibbons, M.A.; Fletcher, S.V.; Denton, C.P.; Hoyles, R.K.; Parfrey, H.; Renzoni, E.A.; Kokosi, M.; et al. Rituximab versus intravenous cyclophosphamide in patients with connective tissue disease-associated interstitial lung disease in the UK (RECITAL): A double-blind, double-dummy, randomised, controlled, phase 2b trial. Lancet Respir. Med. 2023, 11, 45–54. [Google Scholar] [CrossRef]
- Mougiakakos, D.; Krönke, G.; Völkl, S.; Kretschmann, S.; Aigner, M.; Kharboutli, S.; Böltz, S.; Manger, B.; Mackensen, A.; Schett, G. CD19-Targeted CAR T Cells in Refractory Systemic Lupus Erythematosus. N. Engl. J. Med. 2021, 385, 567–569. [Google Scholar] [CrossRef]
- Boulougoura, A.; Gendelman, H.; Surmachevska, N.; Kyttaris, V.C. Journal Club: Anti-CD19 Chimeric Antigen Receptor T Cell Therapy for Refractory Systemic Lupus Erythematosus. ACR Open Rheumatol. 2023, 5, 624–628. [Google Scholar] [CrossRef]
- Mackensen, A.; Müller, F.; Mougiakakos, D.; Böltz, S.; Wilhelm, A.; Aigner, M.; Völkl, S.; Simon, D.; Kleyer, A.; Munoz, L.; et al. Author Correction: Anti-CD19 CAR T cell therapy for refractory systemic lupus erythematosus. Nat. Med. 2023, 29, 2956. [Google Scholar] [CrossRef]
- Bergmann, C.; Müller, F.; Distler, J.H.W.; Györfi, A.H.; Völkl, S.; Aigner, M.; Kretschmann, S.; Reimann, H.; Harrer, T.; Bayerl, N.; et al. Treatment of a patient with severe systemic sclerosis (SSc) using CD19-targeted CAR T cells. Ann. Rheum. Dis. 2023, 82, 1117–1120. [Google Scholar] [CrossRef]
- Müller, F.; Boeltz, S.; Knitza, J.; Aigner, M.; Völkl, S.; Kharboutli, S.; Reimann, H.; Taubmann, J.; Kretschmann, S.; Rösler, W.; et al. CD19-targeted CAR T cells in refractory antisynthetase syndrome. Lancet 2023, 401, 815–818. [Google Scholar] [CrossRef]
- Pecher, A.C.; Hensen, L.; Klein, R.; Schairer, R.; Lutz, K.; Atar, D.; Seitz, C.; Stanger, A.; Schneider, J.; Braun, C.; et al. CD19-Targeting CAR T Cells for Myositis and Interstitial Lung Disease Associated With Antisynthetase Syndrome. JAMA 2023, 329, 2154–2162. [Google Scholar] [CrossRef] [PubMed]
- Taubmann, J.; Knitza, J.; Müller, F.; Völkl, S.; Aigner, M.; Kleyer, A.; Gary, R.; Kretschmann, S.; Boeltz, S.; Atzinger, A.; et al. Rescue therapy of antisynthetase syndrome with CD19-targeted CAR-T-cells after failure of several B cell depleting antibodies. Rheumatology 2023, 63, e12–e14. [Google Scholar] [CrossRef]
- Mueller, F.; Schwingen, N.R.; Stabel, L.; Aigner, M.; Taubmann, J.; Kretschmann, S.; Reimann, H.; Lutzny-Geier, G.; Schletter, M.; Eisenhauer, N.; et al. CAR-T Cell Therapy in Patients with Refractory Systemic Autoimmune Diseases Exhibits Less Inflammation, Toxicities and Different Cellular Dynamics Compared to Patients with B Cell Lymphoma. Blood 2023, 142, 6871. [Google Scholar] [CrossRef]
- Campochiaro, C.; Farina, N.; De Luca, G.; Trignani, G.; Tomelleri, A.; Matucci-Cerinic, M.; Dagna, L. Anakinra for the Treatment of Antisynthetase Syndrome: A Monocentric Case Series and a Systematic Literature Review. J. Rheumatol. 2023, 50, 151–153. [Google Scholar] [CrossRef] [PubMed]
- Baumann Benvenuti, F.; Dudler, J. Long-lasting improvement of refractory antisynthetase syndrome with tocilizumab: A report of two cases. RMD Open 2023, 9, e003599. [Google Scholar] [CrossRef] [PubMed]
- Xia, N.; Hong, S.M.; Zhang, X.; Shao, C.; Yan, N.; Ding, H.; Guo, Q. Efficacy and safety of abatacept for interstitial lung disease associated with antisynthetase syndrome: A case series. Clin. Exp. Rheumatol. 2024, 42, 377–385. [Google Scholar] [CrossRef] [PubMed]
- Pineton de Chambrun, M.; Hervier, B.; Chauveau, S.; Tandjaoui-Lambiotte, Y.; Combes, A.; Uzunhan, Y. Tofacitinib in antisynthetase syndrome-related rapidly progressive interstitial lung disease. Rheumatology 2020, 59, e142–e143. [Google Scholar] [CrossRef] [PubMed]
- Sugino, K.; Ono, H.; Saito, M.; Ando, M.; Tsuboi, E. Successful baricitinib treatment of refractory anti-synthetase syndrome associated with interstitial lung disease. Respirol. Case Rep. 2023, 11, e01129. [Google Scholar] [CrossRef] [PubMed]
- Beckett, M.; Dutz, J.; Huang, K. Upadacitinib therapy in refractory inflammatory myositis: A case series of 10 patients. RMD Open 2024, 10, e003837. [Google Scholar] [CrossRef] [PubMed]
- Velikova, T.; Sekulovski, M.; Bogdanova, S.; Vasilev, G.; Peshevska-Sekulovska, M.; Miteva, D.; Georgiev, T. Intravenous Immunoglobulins as Immunomodulators in Autoimmune Diseases and Reproductive Medicine. Antibodies 2023, 12, 20. [Google Scholar] [CrossRef]
- Aggarwal, R.; Charles-Schoeman, C.; Schessl, J.; Bata-Csörgő, Z.; Dimachkie, M.M.; Griger, Z.; Moiseev, S.; Oddis, C.; Schiopu, E.; Vencovský, J.; et al. Trial of Intravenous Immune Globulin in Dermatomyositis. N. Engl. J. Med. 2022, 387, 1264–1278. [Google Scholar] [CrossRef] [PubMed]
- Huapaya, J.A.; Hallowell, R.; Silhan, L.; Pinal-Fernandez, I.; Casal-Dominguez, M.; Johnson, C.; Albayda, J.; Paik, J.J.; Lin, C.T.; Hussien, A.; et al. Long-term treatment with human immunoglobulin for antisynthetase syndrome-associated interstitial lung disease. Respir. Med. 2019, 154, 6–11. [Google Scholar] [CrossRef] [PubMed]
- Omotoso, B.A.; Ogden, M.I.; Balogun, R.A. Therapeutic plasma exchange in antisynthetase syndrome with severe interstitial lung disease. J. Clin. Apher. 2015, 30, 375–379. [Google Scholar] [CrossRef] [PubMed]
- Thompson, T.Z.; Bobr, A.; Juskewitch, J.E.; Winters, J.L. Therapeutic plasma exchange for steroid refractory idiopathic inflammatory myopathies with interstitial lung disease. J. Clin. Apher. 2023, 38, 481–490. [Google Scholar] [CrossRef] [PubMed]
- Wells, A.U.; Flaherty, K.R.; Brown, K.K.; Inoue, Y.; Devaraj, A.; Richeldi, L.; Moua, T.; Crestani, B.; Wuyts, W.A.; Stowasser, S.; et al. Nintedanib in patients with progressive fibrosing interstitial lung diseases-subgroup analyses by interstitial lung disease diagnosis in the INBUILD trial: A randomised, double-blind, placebo-controlled, parallel-group trial. Lancet Respir. Med. 2020, 8, 453–460. [Google Scholar] [CrossRef]
- FDA. Available online: https://www.fda.gov/news-events/press-announcements/fda-approves-first-treatment-group-progressive-interstitial-lung-diseases (accessed on 15 March 2024).
- Flaherty, K.R.; Wells, A.U.; Cottin, V.; Devaraj, A.; Walsh, S.L.F.; Inoue, Y.; Richeldi, L.; Kolb, M.; Tetzlaff, K.; Stowasser, S.; et al. Nintedanib in Progressive Fibrosing Interstitial Lung Diseases. N. Engl. J. Med. 2019, 381, 1718–1727. [Google Scholar] [CrossRef] [PubMed]
- Distler, O.; Highland, K.B.; Gahlemann, M.; Azuma, A.; Fischer, A.; Mayes, M.D.; Raghu, G.; Sauter, W.; Girard, M.; Alves, M.; et al. Nintedanib for Systemic Sclerosis-Associated Interstitial Lung Disease. N. Engl. J. Med. 2019, 380, 2518–2528. [Google Scholar] [CrossRef] [PubMed]
- Liang, J.; Cao, H.; Yang, Y.; Ke, Y.; Yu, Y.; Sun, C.; Yue, L.; Lin, J. Efficacy and Tolerability of Nintedanib in Idiopathic-Inflammatory-Myopathy-Related Interstitial Lung Disease: A Pilot Study. Front. Med. 2021, 8, 626953. [Google Scholar] [CrossRef]
- Wang, H.; Wang, Y.; Sun, D.; Yu, S.; Du, X.; Ye, Q. Progressive pulmonary fibrosis in myositis-specific antibody-positive interstitial pneumonia: A retrospective cohort study. Front. Med. 2023, 10, 1325082. [Google Scholar] [CrossRef]



| Antibody | Prevalence in Patients with Myositis | Myositis | Arthritis | ILD |
|---|---|---|---|---|
| Anti-Jo-1 | 15–30% | 82% | 74% | 82% |
| Anti-Pl-7 | 2–5% | 80% | 50% | 77% |
| Anti-PL-12 | 2–5% | 51% | 42% | 83% |
| Anti-EJ | <2% | 84% | 53% | 90% |
| Anti-OJ | <2% | 78% | 44% | 61% |
| Anti-KS | <2% | - | - | - |
| Anti-Zo | <1% | - | - | - |
| Anti-Ha | <1% | - | - | - |
| Antibody | Zhao, 2022 [13] n = 111 | Cavagna, 2019 [14] n = 828 |
|---|---|---|
| Anti-Jo-1 | 63% | 72% |
| Anti-Pl-7 | 15% | 11% |
| Anti-PL-12 | 8% | 10% |
| Anti-EJ | 14% | 5% |
| Anti-OJ | - | 2% |
| Anti-KS | - | - |
| Anti-Zo | - | - |
| Anti-Ha | - | - |
| Solomon et al., 2011 [30] | Connors et al., 2010 [35] | EULAR/ACR 2017 [34] |
|---|---|---|
| Antisynthetase antibody plus two major criteria or one major and two minor criteria: | Antisynthetase antibody plus one or more of the following: | Definite IIM: score of at least 7.5 (8.7 with muscle biopsy) Probable IIM: score of at least 5.5 (6.7 with muscle biopsy) |
|
|
|
| Variable | All Patients n = 124 | Jo-1 n = 62 | PL7 n = 31 | PL12 n = 12 | EJ n = 19 |
|---|---|---|---|---|---|
| Mean age of onset (years) | 50.4 | 49.9 | 51.7 | 54.0 | 47.6 |
| Female | 75.8% | 71.0% | 80.6% | 75.0% | 84.2% |
| Muscle weakness | 63.7% | 62.9% | 71.0% | 66.7% | 52.6% |
| ILD | 94.4% | 96.8% | 83.9% | 100% | 100% |
| Rapid onset ILD | 8.9% | 4.8% | 19.4% | 8.3% | 5.8% |
| Raynaud’s phenomenon | 9.7% | 12.9% | 3.2% | 16.7% | 5.3% |
| Mechanic’s hands | 46.0% | 46.8% | 45.2% | 41.7% | 47.4% |
| Arthritis/arthralgia | 54.0% | 71.0% | 41.9% | 41.7% | 26.3% |
| Dysphagia | 11.3% | 8.1% | 19.4% | 8.3% | 10.5% |
| Malignancy | 6.5% | 6.5% | 6.5% | 8.3% | 5.3% |
| Ro52+ | 29.0% | 9.7% | 38.7% | 66.7% | 52.6% |
| Antisynthetase Autoantibody | Myositis (%) | Classic Onset | Hypomyopathic Onset |
|---|---|---|---|
| Anti-Jo-1 (n = 593) | 82.1% | 80.0% | 20.0% |
| Anti-PL7 (n = 95) | 80.0% | 69.3% | 30.7% |
| Anti-PL12 (n = 84) | 51.2% | 72.1% | 27.9% |
| Anti-EJ (n = 38) | 84.2% | 81.3% | 18.7% |
| Anti-OJ (n = 18) | 77.8% | 64.3% | 35.7% |
| A. Teel, 2022 [48] | |||||
|---|---|---|---|---|---|
| All Antisynthetase Antibodies (n = 994) | Jo-1 n = 712 | PL7 n = 78 | PL12 n = 23 | EJ n = 52 | OJ n = 4 |
| 93% | 83% | 87% | 91% | 98% | 100% |
| B. Cavagna, 2019 [14] | |||||
| Antisynthetase Autoantibody (n = 828) | ILD (%) | Acute Onset | Chronic Onset | Asymptomatic | |
| Anti-Jo-1 (n = 593) | 82.0% | 37.3% | 41.9% | 20.8% | |
| Anti-PL7 (n = 95) | 76.8% | 38.9% | 44.4% | 12.6% | |
| Anti-PL12 (n = 84) | 83.3% | 48.6% | 40.0% | 11.4% | |
| Anti-EJ (n = 38) | 89.5% | 63.6% | 33.3% | 3.0% | |
| Anti-OJ (n = 18) | 61.1% | 36.4% | 54.6% | 9.1% | |
| A. de Souza, 2023 [68] | ||||||
|---|---|---|---|---|---|---|
| Antisynthetase Antibody | Frequency in Myositis | Frequency of ILD | NSIP Pattern | UIP Pattern | OP Pattern | DAD Pattern |
| Jo-1 | 15–30% | 70–80% | 10% | 25% | 5% | 50% |
| PL7 | 5–10% | 84% | 25% | 50% | 50% | - |
| PL12 | <5% | 90% | 17% | 67% | 17% | - |
| KS | 1% | 90% | 62% | 27–35% | - | - |
| OJ | 1% | 8% | - | - | - | - |
| EJ | 1% | >90% | 75% | 4% | 21% | - |
| Ha | <1% | 60–100% | - | 21% | - | - |
| Zo | <1% | 4–38% | 60% | 10% | 30% | - |
| B. Jiang, 2021 [69] | ||||||
| Autoantibody n = 84 (n) | NSIP | OP | NSIP + OP | UIP | Unclassifiable | |
| Jo-1 (36) | 44.5% | 27.8% | 19.4% | 0% | 8.3% | |
| PL7 (22) | 50.0% | 18.2% | 22.7% | 9.1% | 0% | |
| PL12 (9) | 22.2% | 33.3% | 22.2% | 11.1% | 11.1% | |
| EJ (12) | 58.3% | 33.3% | 8.3% | 0% | 0% | |
| OJ (5) | 20.0% | 0% | 20.0% | 40.0% | 20.0% | |
| Treatment Guideline for Myositis Associated ILD | |
|---|---|
| Initial Treatment of ILD Preferred | Mycophenolate Mofetil Azathioprine Rituximab Calcineurin Inhibitors |
| Additional options | JAK inhibitors Cyclophosphamide |
| Glucocorticoids, short term | |
| Treatment for patients with progressive ILD on initial treatment | IVIG Nintedanib |
Disclaimer/Publisher’s Note: The statements, opinions and data contained in all publications are solely those of the individual author(s) and contributor(s) and not of MDPI and/or the editor(s). MDPI and/or the editor(s) disclaim responsibility for any injury to people or property resulting from any ideas, methods, instructions or products referred to in the content. |
© 2024 by the authors. Licensee MDPI, Basel, Switzerland. This article is an open access article distributed under the terms and conditions of the Creative Commons Attribution (CC BY) license (https://creativecommons.org/licenses/by/4.0/).
Share and Cite
Patel, P.; Marinock, J.M.; Ajmeri, A.; Brent, L.H. A Review of Antisynthetase Syndrome-Associated Interstitial Lung Disease. Int. J. Mol. Sci. 2024, 25, 4453. https://doi.org/10.3390/ijms25084453
Patel P, Marinock JM, Ajmeri A, Brent LH. A Review of Antisynthetase Syndrome-Associated Interstitial Lung Disease. International Journal of Molecular Sciences. 2024; 25(8):4453. https://doi.org/10.3390/ijms25084453
Chicago/Turabian StylePatel, Puja, Jenna M. Marinock, Aamir Ajmeri, and Lawrence H. Brent. 2024. "A Review of Antisynthetase Syndrome-Associated Interstitial Lung Disease" International Journal of Molecular Sciences 25, no. 8: 4453. https://doi.org/10.3390/ijms25084453
APA StylePatel, P., Marinock, J. M., Ajmeri, A., & Brent, L. H. (2024). A Review of Antisynthetase Syndrome-Associated Interstitial Lung Disease. International Journal of Molecular Sciences, 25(8), 4453. https://doi.org/10.3390/ijms25084453


