Post-Traumatic Expressions of Aromatase B, Glutamine Synthetase, and Cystathionine-Beta-Synthase in the Cerebellum of Juvenile Chum Salmon, Oncorhynchus keta
Abstract
1. Introduction
2. Results
2.1. Aromatase B Expression in the Intact Cerebellum of Juvenile O. keta
2.2. Aromatase B Expression at 90 Days after Injury to the Juvenile O. keta Cerebellum
2.3. Expression of Aromatase B during Repeated Injury (90 Days + 7 Days) in the Juvenile O. keta Cerebellum
2.4. Expression of Glutamine Synthetase in the Intact Juvenile O. keta Cerebellum
2.5. GS Expression at 90 Days after the Injury to the Juvenile O. keta Cerebellum
2.6. GS Expression upon Repeated Injury (90 Days + 7 Days) in the Juvenile O. keta Cerebellum
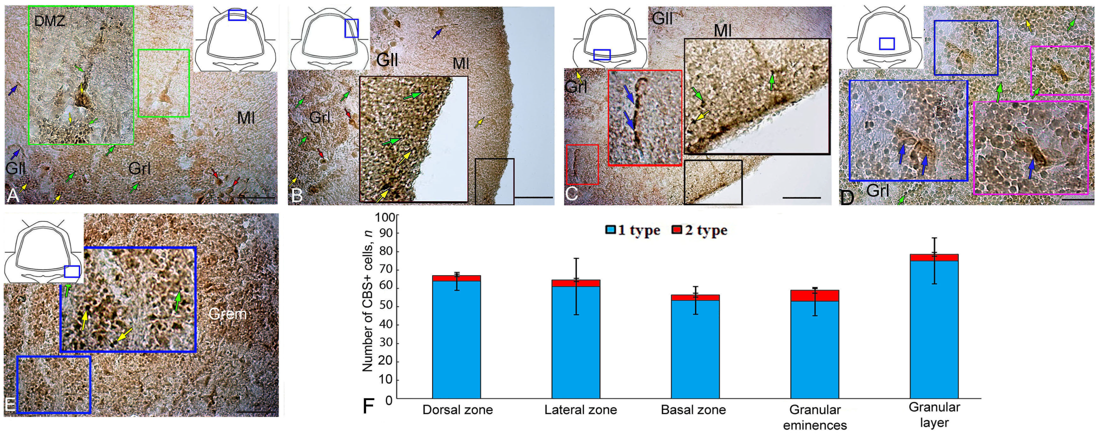
2.7. CBS Expression in the Intact Juvenile O. keta Cerebellum
2.8. Expression of CBS at 90 Days Post Injury to the Juvenile O. keta Cerebellum
2.9. CBS Expression upon Repeated Injury (90 Days + 7 Days) in the Juvenile O. keta Cerebellum
3. Discussion
3.1. Aromatase B Expression in Adult Neurogenesis
3.2. Aromatase B Expression Post Injury
3.3. Expression of Glutamine Synthetase in Adult Neurogenesis
3.4. Expression of Glutamine Synthetase Post Injury
3.5. Expression of Cystathionine-Beta Synthase in Adult Neurogenesis
3.6. Expression of Cystathionine-Beta Synthase Post Injury
4. Material and Methods
4.1. Experimental Animals
4.2. Experimental Design: Primary Long-Term Injury and Secondary Acute Injury
4.3. Preparation of Material for Immunohistochemical Studies
4.4. Immunohistochemical Detection of Aromatase B, Glutamine Synthase, and Cystathionine-Beta-Synthase
4.5. Microscopy
4.6. Densitometry
4.7. Statistical Analysis
4.8. Stereological Method in the Study of the Quantitative Parameters of the Cerebellum
5. Conclusions
Author Contributions
Funding
Institutional Review Board Statement
Informed Consent Statement
Data Availability Statement
Conflicts of Interest
Abbreviations
| 3-MST | 3-mercaptopyruvate sulfurtransferase |
| aNSC | adult neuronal stem cells |
| Aro | aromatase |
| BrdU | bromodeoxyuridine |
| BZ | basal zone |
| CBS | cystathionine β-synthase |
| CNN | constitutive neurogenic niche |
| CNS | central nervous system |
| CSE | cystathionine γ-lyase |
| cyp19a1a | CYP19A1 cytochrome P450 family 19 subfamily A member 1 |
| cyp19a1b | cytochrome P450, family 19, subfamily A, polypeptide 1b |
| DMZ | dorsal matrix zone |
| DNA | deoxyribonucleic acid |
| DZ | dorsal zone |
| EDC | eurydendroid cells |
| GABA | gamma-aminobutyric acid |
| GFAP | glial fibrillar acidic protein |
| Gll | ganglionic layer |
| Gr em | granular eminences |
| Grl | granular layer |
| GS | glutamine synthetase |
| H2S | hydrogen sulfide |
| H2S2 | hydrogen persulfide |
| H2S3 | hydrogen trisulfide |
| IHC | immunohistochemical labeling |
| KATP | adenosine triphosphate-sensitive K+ channel |
| LTP | long-term potentiation |
| LZ | lateral zone |
| Ml | molecular layer |
| MMP | mitochondrial membrane potential |
| MRNA | matrix ribonucleic acid |
| NADPH | nicotinamide adenine dinucleotide phosphate |
| NE | neuroepithelial |
| Nes | nestin |
| NMDA | N-methyl-D-aspartate receptor |
| NO | nitric oxide |
| NPC | neuronal progenitor cells |
| Nrf2 | nuclear factor erythroid 2-related factor 2 |
| NSC | neuronal stem cells |
| OD | optical density |
| PC | Purkinje cells |
| PCNA | proliferating cell nuclear antigen |
| PVZ | periventricular zone |
| Q-PCR | quantitative polymerase chain reaction |
| RGC | radial glia cells |
| RNN | reactive neurogenic niche |
| ROS | reactive oxygen species |
| rvSUR1 | terminal of rat vascular SUR1 subunit of KATP channels |
| SC | stem cell |
| Sox2 | SRY (sex-determining region Y)-box 2 |
| TBI | traumatic brain injury |
| TRPA1 | transient receptor potential ankyrin 1 |
| UOD | units of optical density |
References
- Zupanc, G.K.; Sîrbulescu, R.F. Teleost fish as a model system to study successful regeneration of the central nervous system. In New Perspectives in Regeneration; Current Topics in Microbiology and Immunology Series; Springer: Berlin/Heidelberg, Germany, 2013; Volume 367, pp. 193–233. [Google Scholar] [CrossRef]
- Becker, C.G.; Becker, T. Zebrafish as a model system for successful spinal cord regeneration. In Model Organisms in Spinal Cord Regeneration; Becker, C.G., Becker, T., Eds.; Wiley: Weinheim, Germany, 2007; pp. 289–319. [Google Scholar]
- Becker, C.G.; Becker, T. Adult zebrafish as a model for successful central nervous system regeneration. Restor. Neurol. Neurosci. 2008, 26, 71–80. [Google Scholar]
- Sîrbulescu, R.F.; Zupanc, G.K.H. Spinal cord repair in regeneration-competent vertebrates: Adult teleost fish as a model system. Brain Res. Rev. 2011, 67, 73–93. [Google Scholar] [CrossRef]
- Anderson, M.J.; Waxman, S.G. Neurogenesis in adult vertebrate spinal cord in situ and in vitro: A new model system. Ann. N. Y. Acad. Sci. 1985, 457, 213–233. [Google Scholar] [CrossRef]
- Santana-Gomez, C.E.; Medel-Matus, J.S.; Rundle, B.K. Animal models of post-traumatic epilepsy and their neurobehavioral comorbidities. Seizure 2021, 90, 9–16. [Google Scholar] [CrossRef]
- Fisher, R.S.; Acevedo, C.; Arzimanoglou, A.; Bogacz, A.; Cross, J.H.; Elger, C.E.; Engel, J., Jr.; Forsgren, L.; French, J.A.; Glynn, M.; et al. ILAE official report: A practical clinical definition of epilepsy. Epilepsia 2014, 55, 475–482. [Google Scholar] [CrossRef] [PubMed]
- McCutcheon, V.; Park, E.; Liu, E.; Sobhebidari, P.; Tavakkoli, J.; Wen, X.Y.; Baker, A.J. A Novel Model of Traumatic Brain Injury in Adult Zebrafish Demonstrates Response to Injury and Treatment Comparable with Mammalian Models. J. Neurotrauma 2017, 34, 1382–1393. [Google Scholar] [CrossRef]
- Zupanc, G.K.H.; Zupanc, M.M. New neurons for the injured brain: Mechanisms of neuronal regeneration in adult teleost fish. Regen. Med. 2006, 1, 207–216. [Google Scholar] [CrossRef]
- Zupanc, G.K.H. Adult neurogenesis in teleost fish. In Neurogenesis in the Adult Brain; Seki, T., Sawamoto, K., Parent, J.M., Alvarez-Buylla, A., Eds.; Springer: Tokyo, Japan, 2011; pp. 137–168. [Google Scholar]
- Zupanc, G.K.; Sîrbulescu, R.F. Adult neurogenesis and neuronal regeneration in the central nervous system of teleost fish. Eur. J. Neurosci. 2011, 34, 917–929. [Google Scholar] [CrossRef]
- Otteson, D.C.; Hitchcock, P.F. Stem cells in the teleost retina: Persistent neurogenesis and injury-induced regeneration. Vis. Res. 2003, 43, 927–936. [Google Scholar] [CrossRef]
- Chapouton, P.; Jagasia, R.; Bally-Cuif, L. Adult neurogenesis in non-mammalian vertebrates. Bioessays 2007, 29, 745–757. [Google Scholar] [CrossRef]
- Venkatesh, I.; Mehra, V.; Wang, Z.; Califf, B.; Blackmore, M.G. Developmental Chromatin Restriction of Pro-Growth Gene Networks Acts as an Epigenetic Barrier to Axon Regeneration in Cortical Neurons. Dev. Neurobiol. 2018, 78, 960–977. [Google Scholar] [CrossRef]
- Wong, V.S.; Langley, B. Epigenetic changes following traumatic brain injury and their implications for outcome, recovery and therapy. Neurosci. Lett. 2016, 625, 26–33. [Google Scholar] [CrossRef]
- Mitra, S.; Sharma, P.; Kaur, S.; Khursheed, M.A.; Gupta, S.; Ahuja, R.; Kurup, A.J.; Chaudhary, M.; Ramachandran, R. Histone Deacetylase-Mediated Muller Glia Reprogramming through Her4.1-Lin28a Axis Is Essential for Retina Regeneration in Zebrafish. iScience 2018, 7, 68–84. [Google Scholar] [CrossRef]
- Gupta, S.; Dutta, S.; Hui, S.P. Regenerative Potential of Injured Spinal Cord in the Light of Epigenetic Regulation and Modulation. Cells 2023, 12, 1694. [Google Scholar] [CrossRef]
- Dumont, R.J.; Okonkwo, D.O.; Verma, S.; Hurlbert, R.J.; Boulos, P.T.; Ellegala, D.B.; Dumont, A.S. Acute spinal cord injury, part I: Pathophysiologic mechanisms. Clin. Neuropharmacol. 2001, 24, 254–264. [Google Scholar] [CrossRef]
- Van Den Hauwe, L.; Sundgren, P.C.; Flanders, A.E. Spinal trauma and spinal cord injury (SCI). In Diseases of the Brain, Head and Neck, Spine 2020–2023: Diagnostic Imaging; Hodler, J., Kubik-Huch, R.A., von Schulthess, G.K., Eds.; IDKD Springer Series; Springer: Cham, Switzerland, 2020. [Google Scholar]
- Norenberg, M.D.; Smith, J.; Marcillo, A. The pathology of human spinal cord injury: Defining the problems. J. Neurotrauma 2004, 21, 429–440. [Google Scholar] [CrossRef]
- Anjum, A.; Yazid, M.D.; Fauzi Daud, M.; Idris, J.; Ng, A.M.H.; Selvi Naicker, A.; Ismail, O.H.R.; Athi Kumar, R.K.; Lokanathan, Y. Spinal Cord Injury: Pathophysiology, Multimolecular Interactions, and Underlying Recovery Mechanisms. Int. J. Mol. Sci. 2020, 21, 7533. [Google Scholar] [CrossRef]
- Xiong, Y.; Hall, E.D. Pharmacological evidence for a role of peroxynitrite in the pathophysiology of spinal cord injury. Exp. Neurol. 2009, 216, 105–114. [Google Scholar] [CrossRef]
- Clifford, T.; Finkel, Z.; Rodriguez, B.; Joseph, A.; Cai, L. Current Advancements in Spinal Cord Injury Research—Glial Scar Formation and Neural Regeneration. Cells 2023, 12, 853. [Google Scholar] [CrossRef]
- Agrawal, S.K.; Nashmi, R.; Fehlings, M.G. Role of L- and N-type calcium channels in the pathophysiology of traumatic spinal cord white matter injury. Neuroscience 2000, 99, 179–188. [Google Scholar] [CrossRef]
- Hayta, E.; Elden, H. Acute spinal cord injury: A review of pathophysiology and potential of non-steroidal anti-inflammatory drugs for pharmacological intervention. J. Chem. Neuroanat. 2018, 87, 25–31. [Google Scholar] [CrossRef]
- Zhang, Y.; Al Mamun, A.; Yuan, Y.; Lu, Q.; Xiong, J.; Yang, S.; Wu, C.; Wu, Y.; Wang, J. Acute spinal cord injury: Pathophysiology and pharmacological intervention (Review). Mol. Med. Rep. 2021, 23, 417. [Google Scholar] [CrossRef]
- Liu, X.; Zhang, Y.; Wang, Y.; Qian, T. Inflammatory Response to Spinal Cord Injury and Its Treatment. World Neurosurg. 2021, 155, 19–31. [Google Scholar] [CrossRef]
- Thuret, S.; Moon, L.D.; Gage, F.H. Therapeutic interventions after spinal cord injury. Nat. Rev. Neurosci. 2006, 7, 628–643. [Google Scholar] [CrossRef] [PubMed]
- Tran, A.P.; Warren, P.M.; Silver, J. New insights into glial scar formation after spinal cord injury. Cell Tissue Res. 2022, 387, 319–336. [Google Scholar] [CrossRef] [PubMed]
- Fawcett, J.W. Overcoming inhibition in the damaged spinal cord. J. Neurotrauma 2006, 23, 371–383. [Google Scholar] [CrossRef] [PubMed]
- Karpenko, V.I. Nutrition and Growth Characteristics of Pacific Salmon in Sea Waters; Karpenko, V.I., Andrievskaya, L.D., Koval, M.V., Eds.; KamchatNIRO: Petropavlovsk-Kamchatsky, Russia, 2013; p. 303. ISBN 978-5-902210-42-9. (In Russian) [Google Scholar]
- Andreeva, N.G.; Obukhov, D.K. Evolutionary Morphology of the Vertebrate Central Nervous System, 2nd ed.; Lan Publication: St. Petersburg, Russia, 1999; 384p. (In Russian) [Google Scholar]
- Pushchina, E.V.; Stukaneva, M.E.; Varaksin, A.A. Hydrogen Sulfide Modulates Adult and Reparative Neurogenesis in the Cerebellum of Juvenile Masu Salmon. Int. J. Mol. Sci. 2020, 21, 9638. [Google Scholar] [CrossRef] [PubMed]
- Coumailleau, P.; Pellegrini, E.; Adrio, F.; Diotel, N.; Cano-Nicolau, J.; Nasri, A.; Vaillant, C.; Kah, O. Aromatase, estrogen receptors and brain development in fish and amphibians. Biochim. Biophys. Acta. 2015, 1849, 152–162. [Google Scholar] [CrossRef]
- Brinton, R.D. Estrogen-induced plasticity from cells to circuits: Predictions for cognitive function. Trends Pharmacol. Sci. 2009, 30, 212–222. [Google Scholar] [CrossRef]
- Saldanha, C.J.; Duncan, K.A.; Walters, B.J. Neuroprotective actions of brain aromatase. Front. Neuroendocrinol. 2009, 30, 106–118. [Google Scholar] [CrossRef]
- Behl, C. Oestrogen as a neuroprotective hormone. Nat. Rev. Neurosci. 2002, 3, 433–442. [Google Scholar] [CrossRef] [PubMed]
- González, A.; Piferrer, F. Characterization of aromatase activity in the sea bass: Effects of temperature and different catalytic properties of brain and ovarian homogenates and microsomes. J. Exp. Zool. 2002, 293, 500–510. [Google Scholar] [CrossRef] [PubMed]
- Diotel, N.; Le Page, Y.; Mouriec, K.; Tong, S.K.; Pellegrini, E.; Vaillant, C.; Anglade, I.; Brion, F.; Pakdel, F.; Chung, B.C.; et al. Aromatase in the brain of teleost fish: Expression, regulation and putative functions. Front. Neuroendocrinol. 2010, 31, 172–192. [Google Scholar] [CrossRef] [PubMed]
- Jeng, S.R.; Yueh, W.S.; Pen, Y.T.; Gueguen, M.M.; Pasquier, J.; Dufour, S.; Chang, C.F.; Kah, O. Expression of aromatase in radial glial cells in the brain of the Japanese eel provides insight into the evolution of the cyp191a gene in Actinopterygians. Brain Behav. Evol. 2012, 7, e44750. [Google Scholar] [CrossRef] [PubMed]
- Maruska, K.P.; Butler, J.M.; Anselmo, C.; Tandukar, G. Distribution of aromatase in the brain of the African cichlid fish Astatotilapia burtoni: Aromatase expression, but not estrogen receptors, varies with female reproductive-state. J. Comp. Neurol. 2020, 528, 2499–2522. [Google Scholar] [CrossRef] [PubMed]
- Forlano, P.M.; Deitcher, D.L.; Myers, D.A.; Bass, A.H. Anatomical distribution and cellular basis for high levels of aromatase activity in the brain of teleost fish: Aromatase enzyme and mRNA expression identify glia as source. J. Neurosci. 2001, 21, 8943–8955. [Google Scholar] [CrossRef] [PubMed]
- Xing, L.; Venables, M.J.; Trudeau, V.L. Role of aromatase and radial glial cells in neurotoxin-induced dopamine neuron degeneration and regeneration. Gen. Comp. Endocrinol. 2017, 241, 69–79. [Google Scholar] [CrossRef] [PubMed]
- Le Page, Y.; Diotel, N.; Vaillant, C.; Pellegrini, E.; Anglade, I.; Mérot, Y.; Kah, O. Aromatase, brain sexualization and plasticity: The fish paradigm. Eur. J. Neurosci. 2010, 32, 2105–2115. [Google Scholar] [CrossRef]
- Mouriec, K.; Lareyre, J.J.; Tong, S.K.; Le Page, Y.; Vaillant, C.; Pellegrini, E.; Pakdel, F.; Chung, B.C.; Kah, O.; Anglade, I. Early regulation of brain aromatase (cyp19a1b) by estrogen receptors during zebrafish development. Dev. Dyn. 2009, 238, 2641–2651. [Google Scholar] [CrossRef]
- Adolf, B.; Chapouton, P.; Lam, C.S.; Topp, S.; Tannhäuser, B.; Strähle, U.; Götz, M.; Bally-Cuif, L. Conserved and acquired features of adult neurogenesis in the zebrafish telencephalon. Dev. Biol. 2006, 295, 278–293. [Google Scholar] [CrossRef]
- Pellegrini, E.; Mouriec, K.; Anglade, I.; Menuet, A.; Le Page, Y.; Gueguen, M.M.; Marmignon, M.H.; Brion, F.; Pakdel, F.; Kah, O. Identification of aromatase-positive radial glial cells as progenitor cells in the ventricular layer of the forebrain in zebrafish. J. Comp. Neurol. 2007, 501, 150–167. [Google Scholar] [CrossRef] [PubMed]
- Diotel, N.; Do Rego, J.L.; Anglade, I.; Vaillant, C.; Pellegrini, E.; Gueguen, M.M.; Mironov, S.; Vaudry, H.; Kah, O. Activity and expression of steroidogenic enzymes in the brain of adult zebrafish. Eur. J. Neurosci. 2011, 34, 45–56. [Google Scholar] [CrossRef]
- März, M.; Chapouton, P.; Diotel, N.; Vaillant, C.; Hesl, B.; Takamiya, M.; Lam, C.S.; Kah, O.; Bally-Cuif, L.; Strähle, U. Heterogeneity in progenitor cell subtypes in the ventricular zone of the zebrafish adult telencephalon. Glia 2010, 58, 870–888. [Google Scholar] [CrossRef] [PubMed]
- Diotel, N.; Vaillant, C.; Gabbero, C.; Mironov, S.; Fostier, A.; Gueguen, M.M.; Anglade, I.; Kah, O.; Pellegrini, E. Effects of estradiol in adult neurogenesis and brain repair in zebrafish. Horm. Behav. 2013, 63, 193–207. [Google Scholar] [CrossRef]
- Makantasi, P.; Dermon, C.R. Estradiol treatment decreases cell proliferation in the neurogenic zones of adult female zebrafish (Danio rerio) brain. Neuroscience 2014, 277, 306–320. [Google Scholar] [CrossRef] [PubMed]
- Than-Trong, E.; Bally-Cuif, L. Radial glia and neural progenitors in the adult zebrafish central nervous system. Glia 2015, 63, 1406–1428. [Google Scholar] [CrossRef]
- Ari, C.; Kálmán, M. Glial architecture of the ghost shark (Callorhinchus milii, Holocephali, Chondrichthyes) as revealed by different immunohistochemical markers. J. Exp. Zool. B Mol. Dev. Evol. 2008, 310, 504–519. [Google Scholar] [CrossRef]
- Grupp, L.; Wolburg, H.; Mack, A.F. Astroglial structures in the zebrafish brain. J. Comp. Neurol. 2010, 518, 4277–4287. [Google Scholar] [CrossRef]
- Bejarano-Escobar, R.; Blasco, M.; Durán, A.C.; Rodríguez, C.; Martín-Partido, G.; Francisco-Morcillo, J. Retinal histogenesis and cell differentiation in an elasmobranch species, the small-spotted catshark Scyliorhinus canicula. J. Anat. 2012, 220, 318–335. [Google Scholar] [CrossRef]
- Sánchez-Farías, N.; Candal, E. Identification of Radial Glia Progenitors in the Developing and Adult Retina of Sharks. Front. Neuroanat. 2016, 10, 65. [Google Scholar] [CrossRef][Green Version]
- Norenberg, M.D.; Martinez-Hernandez, A. Fine structural localization of glutamine synthetase in astrocytes of rat brain. Brain Res. 1979, 161, 303–310. [Google Scholar] [CrossRef]
- Norenberg, M.D. Distribution of glutamine synthetase in the rat central nervous system. J. Histochem. Cytochem. 1979, 27, 756–762. [Google Scholar] [CrossRef]
- Bernstein, H.G.; Bannier, J.; Meyer-Lotz, G.; Steiner, J.; Keilhoff, G.; Dobrowolny, H.; Walter, M.; Bogerts, B. Distribution of immunoreactive glutamine synthetase in the adult human and mouse brain. Qualitative and quantitative observations with special emphasis on extra-astroglial protein localization. J. Chem. Neuroanat. 2014, 61–62, 33–50. [Google Scholar] [CrossRef] [PubMed]
- Götz, M. Radial glial cells. In Neuroglia, 3rd ed.; Kettenmann, H., Ransom, B.R., Eds.; Oxford University Press: New York, NY, USA, 2013; pp. 50–61. [Google Scholar]
- Menuet, A.; Pellegrini, E.; Brion, F.; Gueguen, M.M.; Anglade, I.; Pakdel, F.; Kah, O. Expression and estrogen-dependent regulation of the zebrafish brain aromatase gene. J. Comp. Neurol. 2005, 485, 304–320. [Google Scholar] [CrossRef] [PubMed]
- Tong, S.K.; Mouriec, K.; Kuo, M.W.; Pellegrini, E.; Gueguen, M.M.; Brion, F.; Kah, O.; Chung, B.C. A cyp19a1b-gfp (aromatase B) transgenic zebrafish line that expresses GFP in radial glial cells. Genesis 2009, 47, 67–73. [Google Scholar] [CrossRef] [PubMed]
- Strobl-Mazzulla, P.H.; Nuñez, A.; Pellegrini, E.; Gueguen, M.M.; Kah, O.; Somoza, G.M. Progenitor radial cells and neurogenesis in pejerrey fish forebrain. Brain Behav. Evol. 2010, 76, 20–31. [Google Scholar] [CrossRef] [PubMed]
- Vosges, M.; Le Page, Y.; Chung, B.C.; Combarnous, Y.; Porcher, J.M.; Kah, O.; Brion, F. 17alpha-ethinylestradiol disrupts the ontogeny of the forebrain GnRH system and the expression of brain aromatase during early development of zebrafish. Aquat. Toxicol. 2010, 99, 479–491. [Google Scholar] [CrossRef] [PubMed]
- Pellegrini, E.; Menuet, A.; Lethimonier, C.; Adrio, F.; Gueguen, M.M.; Tascon, C.; Anglade, I.; Pakdel, F.; Kah, O. Relationships between aromatase and estrogen receptors in the brain of teleost fish. Gen. Comp. Endocrinol. 2005, 142, 60–66. [Google Scholar] [CrossRef]
- Brion, F.; Le Page, Y.; Piccini, B.; Cardoso, O.; Tong, S.K.; Chung, B.C.; Kah, O. Screening estrogenic activities of chemicals or mixtures in vivo using transgenic (cyp19a1b-GFP) zebrafish embryos. PLoS ONE 2012, 7, e36069. [Google Scholar] [CrossRef] [PubMed]
- Mayer, I.; Borg, B.; Berglund, I.; Lambert, J.G. Effects of castration and androgen treatment on aromatase activity in the brain of mature male Atlantic salmon (Salmo salar L.) parr. Gen. Comp. Endocrinol. 1991, 82, 86–92. [Google Scholar] [CrossRef]
- González, A.; Piferrer, F. Aromatase activity in the European sea bass (Dicentrarchus labrax L.) brain. Distribution and changes in relation to age, sex, and the annual reproductive cycle. Gen. Comp. Endocrinol. 2003, 132, 223–230. [Google Scholar] [CrossRef] [PubMed]
- Goto-Kazeto, R.; Kight, K.E.; Zohar, Y.; Place, A.R.; Trant, J.M. Localization and expression of aromatase mRNA in adult zebrafish. Gen. Comp. Endocrinol. 2004, 139, 72–84. [Google Scholar] [CrossRef] [PubMed]
- Andersson, E.; Borg, B.; Lambert, J.G. Aromatase activity in brain and pituitary of immature and mature Atlantic salmon (Salmo salar L.) parr. Gen. Comp. Endocrinol. 1988, 72, 394–401. [Google Scholar] [CrossRef] [PubMed]
- Vaillant, C.; Gueguen, M.M.; Feat, J.; Charlier, T.D.; Coumailleau, P.; Kah, O.; Brion, F.; Pellegrini, E. Neurodevelopmental effects of natural and synthetic ligands of estrogen and progesterone receptors in zebrafish eleutheroembryos. Gen. Comp. Endocrinol. 2020, 288, 113345. [Google Scholar] [CrossRef] [PubMed]
- Ulhaq, Z.S.; Kishida, M. Brain Aromatase Modulates Serotonergic Neuron by Regulating Serotonin Levels in Zebrafish Embryos and Larvae. Front. Endocrinol. 2018, 9, 230. [Google Scholar] [CrossRef] [PubMed]
- Menuet, A.; Anglade, I.; Le Guevel, R.; Pellegrini, E.; Pakdel, F.; Kah, O. Distribution of aromatase mRNA and protein in the brain and pituitary of female rainbow trout: Comparison with estrogen receptor alpha. J. Comp. Neurol. 2003, 462, 180–193. [Google Scholar] [CrossRef] [PubMed]
- Rothenaigner, I.; Krecsmarik, M.; Hayes, J.A.; Bahn, B.; Lepier, A.; Fortin, G.; Götz, M.; Jagasia, R.; Bally-Cuif, L. Clonal analysis by distinct viral vectors identifies bona fide neural stem cells in the adult zebrafish telencephalon and characterizes their division properties and fate. Development 2011, 138, 1459–1469. [Google Scholar] [CrossRef]
- Pasmanik, M.; Callard, G.V. Changes in brain aromatase and 5 alpha-reductase activities correlate significantly with seasonal reproductive cycles in goldfish (Carassius auratus). Endocrinology 1988, 122, 1349–1356. [Google Scholar] [CrossRef]
- Balthazart, J.; Absil, P.; Foidart, A.; Houbart, M.; Harada, N.; Ball, G.F. Distribution of aromatase-immunoreactive cells in the forebrain of zebra finches (Taeniopygia guttata): Implications for the neural action of steroids and nuclear definition in the avian hypothalamus. J. Neurobiol. 1996, 31, 129–148. [Google Scholar] [CrossRef]
- Forlano, P.M.; Schlinger, B.A.; Bass, A.H. Brain aromatase: New lessons from non-mammalian model systems. Front. Neuroendocrinol. 2006, 27, 247–274. [Google Scholar] [CrossRef]
- Saldanha, C.J.; Tuerk, M.J.; Kim, Y.H.; Fernandes, A.O.; Arnold, A.P.; Schlinger, B.A. Distribution and regulation of telencephalic aromatase expression in the zebra finch revealed with a specific antibody. J. Comp. Neurol. 2000, 423, 619–630. [Google Scholar] [CrossRef]
- Azcoitia, I.; Sierra, A.; Veiga, S.; Garcia-Segura, L.M. Aromatase expression by reactive astroglia is neuroprotective. Ann. N. Y. Acad. Sci. 2003, 1007, 298–305. [Google Scholar] [CrossRef]
- Garcia-Segura, L.M.; Wozniak, A.; Azcoitia, I.; Rodriguez, J.R.; Hutchison, R.E.; Hutchison, J.B. Aromatase expression by astrocytes after brain injury: Implications for local estrogen formation in brain repair. Neuroscience 1999, 89, 567–578. [Google Scholar] [CrossRef] [PubMed]
- Peterson, R.S.; Lee, D.W.; Fernando, G.; Schlinger, B.A. Radial glia express aromatase in the injured zebra finch brain. J. Comp. Neurol. 2004, 475, 261–269. [Google Scholar] [CrossRef]
- Pietranera, L.; Brocca, M.E.; Roig, P.; Lima, A.; Garcia-Segura, L.M.; De Nicola, A.F. Estrogens are neuroprotective factors for hypertensive encephalopathy. J. Steroid. Biochem. Mol. Biol. 2015, 146, 15–25. [Google Scholar] [CrossRef]
- Garcia-Segura, L.M.; Veiga, S.; Sierra, A.; Melcangi, R.C.; Azcoitia, I. Aromatase: A neuroprotective enzyme. Prog. Neurobiol. 2003, 71, 31–41. [Google Scholar] [CrossRef] [PubMed]
- Zhang, Q.G.; Wang, R.; Tang, H.; Dong, Y.; Chan, A.; Sareddy, G.R.; Vadlamudi, R.K.; Brann, D.W. Brain-derived estrogen exerts anti-inflammatory and neuroprotective actions in the rat hippocampus. Mol. Cell Endocrinol. 2014, 389, 84–91. [Google Scholar] [CrossRef]
- Saldanha, C.J.; Burstein, S.R.; Duncan, K.A. Induced synthesis of oestrogens by glia in the songbird brain. J. Neuroendocrinol. 2013, 25, 1032–1038. [Google Scholar] [CrossRef] [PubMed]
- Luchetti, S.; van Eden, C.G.; Schuurman, K.; van Strien, M.E.; Swaab, D.F.; Huitinga, I. Gender differences in multiple sclerosis: Induction of estrogen signaling in male and progesterone signaling in female lesions. J. Neuropathol. Exp. Neurol. 2014, 73, 123–135. [Google Scholar] [CrossRef]
- Spence, R.D.; Zhen, Y.; White, S.; Schlinger, B.A.; Day, L.B. Recovery of motor and cognitive function after cerebellar lesions in a songbird: Role of estrogens. Eur. J. Neurosci. 2009, 29, 1225–1234. [Google Scholar] [CrossRef]
- Gillies, G.E.; McArthur, S. Estrogen actions in the brain and the basis for differential action in men and women: A case for sex-specific medicines. Pharmacol. Rev. 2010, 62, 155–198. [Google Scholar] [CrossRef] [PubMed]
- März, M.; Schmidt, R.; Rastegar, S.; Strähle, U. Regenerative response following stab injury in the adult zebrafish telencephalon. Dev. Dyn. 2011, 240, 2221–2231. [Google Scholar] [CrossRef] [PubMed]
- Balthazart, J.; Ball, G.F. New insights into the regulation and function of brain estrogen synthase (aromatase). Trends Neurosci. 1998, 21, 243–249. [Google Scholar] [CrossRef] [PubMed]
- Perez-Pouchoulen, M.; Yu, S.J.; Roby, C.R.; Bonsavage, N.; McCarthy, M.M. Regulatory Control of Microglial Phagocytosis by Estradiol and Prostaglandin E2 in the Developing Rat Cerebellum. Cerebellum 2019, 18, 882–895. [Google Scholar] [CrossRef]
- Zhang, D.; Xiong, H.; Mennigen, J.A.; Popesku, J.T.; Marlatt, V.L.; Martyniuk, C.J.; Crump, K.; Cossins, A.R.; Xia, X.; Trudeau, V.L. Defining global neuroendocrine gene expression patterns associated with reproductive seasonality in fish. Brain Behav. Evol. 2009, 4, e5816. [Google Scholar] [CrossRef][Green Version]
- Garcia-Segura, L.M.; McCarthy, M.M. Minireview: Role of glia in neuroendocrine function. Endocrinology 2004, 145, 1082–1086. [Google Scholar] [CrossRef] [PubMed]
- Suzuki, S.; Gerhold, L.M.; Böttner, M.; Rau, S.W.; Dela Cruz, C.; Yang, E.; Zhu, H.; Yu, J.; Cashion, A.B.; Kindy, M.S.; et al. Estradiol enhances neurogenesis following ischemic stroke through estrogen receptors alpha and beta. J. Comp. Neurol. 2007, 500, 1064–1075. [Google Scholar] [CrossRef]
- Ubuka, T.; Haraguchi, S.; Tobari, Y.; Narihiro, M.; Ishikawa, K.; Hayashi, T.; Harada, N.; Tsutsui, K. Hypothalamic inhibition of socio-sexual behaviour by increasing neuroestrogen synthesis. Nat. Commun. 2014, 5, 3061. [Google Scholar] [CrossRef]
- García-Ovejero, D.; Veiga, S.; García-Segura, L.M.; Doncarlos, L.L. Glial expression of estrogen and androgen receptors after rat brain injury. J. Comp. Neurol. 2002, 450, 256–271. [Google Scholar] [CrossRef]
- Saldanha, C.J. Glial estradiol synthesis after brain injury. Curr. Opin. Endocr. Metab. Res. 2021, 21, 100298. [Google Scholar] [CrossRef]
- Jayakumar, A.R.; Norenberg, M.D. Glutamine Synthetase: Role in Neurological Disorders. Adv. Neurobiol. 2016, 13, 327–350. [Google Scholar] [CrossRef]
- Walls, A.B.; Waagepetersen, H.S.; Bak, L.K.; Schousboe, A.; Sonnewald, U. The glutamine-glutamate/GABA cycle: Function, regional differences in glutamate and GABA production and effects of interference with GABA metabolism. Neurochem. Res. 2015, 40, 402–409. [Google Scholar] [CrossRef]
- Hertz, L. The Glutamate-Glutamine (GABA) Cycle: Importance of Late Postnatal Development and Potential Reciprocal Interactions between Biosynthesis and Degradation. Front. Endocrinol. 2013, 4, 59. [Google Scholar] [CrossRef]
- Kirkham, M.; Hameed, L.S.; Berg, D.A.; Wang, H.; Simon, A. Progenitor cell dynamics in the Newt Telencephalon during homeostasis and neuronal regeneration. Stem Cell Rep. 2014, 2, 507–519. [Google Scholar] [CrossRef]
- Lindsey, B.W.; Hall, Z.J.; Heuzé, A.; Joly, J.S.; Tropepe, V.; Kaslin, J. The role of neuro-epithelial-like and radial-glial stem and progenitor cells in development, plasticity, and repair. Prog. Neurobiol. 2018, 170, 99–114. [Google Scholar] [CrossRef]
- Fishell, G.; Goldman, J.E. A silver lining to stroke: Does ischemia generate new cortical interneurons? Nat. Neurosci. 2010, 13, 145–146. [Google Scholar] [CrossRef]
- Okubo, K.; Takeuchi, A.; Chaube, R.; Paul-Prasanth, B.; Kanda, S.; Oka, Y.; Nagahama, Y. Sex differences in aromatase gene expression in the medaka brain. J. Neuroendocrinol. 2011, 23, 412–423. [Google Scholar] [CrossRef] [PubMed]
- Pushchina, E.V.; Stukaneva, M.E.; Varaksin, A.A. Damage-related changes in the cerebellum of juvenile Oncorhynchus masou: Reactivation of neurogenic niches and astrocytic response. J. R. Sci. 2019, 1, 36–54. [Google Scholar]
- Monzón-Mayor, M.; Yanes, C.; De Barry, J.; Capdevilla-Carbonell, C.; Renau-Piqueras, J.; Tholey, G.; Gombos, G. Heterogeneous immunoreactivity of glial cells in the mesencephalon of a lizard: A double labeling immunohistochemical study. J. Morphol. 1998, 235, 109–119. [Google Scholar] [CrossRef]
- Perez, S.E.; Adrio, F.; Rodriguez, M.A.; Rodriguez-Moldes, I.; Anadon, R. NADPH-diaphorase histochemistry reveals oligodendrocytes in the rainbow trout (teleosts). Neurosci. Lett. 1996, 205, 83–86. [Google Scholar] [CrossRef] [PubMed]
- Díaz-Regueira, S.M.; Anadón, R. The Macroglia of Teleosts: Characterization, Distribution and Development. In Understanding Glial Cells; Castellano, B., González, B., Nieto-Sampedro, M., Eds.; Springer: Boston, MA, USA, 1998; pp. 19–46. [Google Scholar]
- Alunni, A.; Krecsmarik, M.; Bosco, A.; Galant, S.; Pan, L.; Moens, C.B.; Bally-Cuif, L. Notch3 signaling gates cell cycle entry and limits neural stem cell amplification in the adult pallium. Development 2013, 140, 3335–3347. [Google Scholar] [CrossRef] [PubMed]
- Alunni, A.; Bally-Cuif, L. A comparative view of regenerative neurogenesis in vertebrates. Development 2016, 143, 741–753. [Google Scholar] [CrossRef] [PubMed]
- Kaslin, J.; Ganz, J.; Brand, M. Proliferation, neurogenesis and regeneration in the non-mammalian vertebrate brain. Philos. Trans. R. Soc. Lond. B Biol. Sci. 2008, 363, 101–122. [Google Scholar] [CrossRef]
- Ghosh, S.; Hui, S.P. Regeneration of Zebrafish CNS: Adult Neurogenesis. Neural Plast. 2016, 2016, 5815439. [Google Scholar] [CrossRef]
- Skaggs, K.; Goldman, D.; Parent, J.M. Excitotoxic brain injury in adult zebrafish stimulates neurogenesis and long-distance neuronal integration. Glia 2014, 62, 2061–2079. [Google Scholar] [CrossRef]
- Lindsey, B.W.; Darabie, A.; Tropepe, V. The cellular composition of neurogenic periventricular zones in the adult zebrafish forebrain. J. Comp. Neurol. 2012, 520, 2275–2316. [Google Scholar] [CrossRef]
- Ganz, J.; Brand, M. Adult neurogenesis in fish. Cold Spring Harb. Perspect. Biol. 2016, 8, a019018. [Google Scholar] [CrossRef]
- Duncan, R.N.; Panahi, S.; Piotrowski, T.; Dorsky, R.I. Identification of Wnt Genes Expressed in Neural Progenitor Zones during Zebrafish Brain Development. Brain Behav. Evol. 2015, 10, e0145810. [Google Scholar] [CrossRef]
- Kaslin, J.; Kroehne, V.; Benato, F.; Argenton, F.; Brand, M. Development and specification of cerebellar stem and progenitor cells in zebrafish: From embryo to adult. Neural. Dev. 2013, 8, 9. [Google Scholar] [CrossRef]
- Chen, J.; Poskanzer, K.E.; Freeman, M.R.; Monk, K.R. Live-imaging of astrocyte morphogenesis and function in zebrafish neural circuits. Nat. Neurosci. 2020, 23, 1297–1306. [Google Scholar] [CrossRef]
- Lindsey, B.W.; Aitken, G.E.; Tang, J.K.; Khabooshan, M.; Douek, A.M.; Vandestadt, C.; Kaslin, J. Midbrain tectal stem cells display diverse regenerative capacities in zebrafish. Sci. Rep. 2019, 9, 4420. [Google Scholar] [CrossRef]
- Grandel, H.; Kaslin, J.; Ganz, J.; Wenzel, I.; Brand, M. Neural stem cells and neurogenesis in the adult zebrafish brain: Origin, proliferation dynamics, migration and cell fate. Dev. Biol. 2006, 295, 263–277. [Google Scholar] [CrossRef]
- Zupanc, G.K. Neurogenesis and neuronal regeneration in the adult fish brain. J. Comp. Physiol. A Neuroethol. Sens. Neural. Behav. Physiol. 2006, 192, 649–670. [Google Scholar] [CrossRef] [PubMed]
- Zupanc, G.K.; Horschke, I.; Ott, R.; Rascher, G.B. Postembryonic development of the cerebellum in gymnotiform fish. J. Comp. Neurol. 1996, 370, 443–464. [Google Scholar] [CrossRef]
- Radmilovich, M.; Barreiro, I.; Iribarne, L.; Grant, K.; Kirschbaum, F.; Castelló, M.E. Post-hatching brain morphogenesis and cell proliferation in the pulse-type mormyrid Mormyrus rume proboscirostris. J. Physiol. Paris 2016, 110, 245–258. [Google Scholar] [CrossRef]
- Kaslin, J.; Kroehne, V.; Ganz, J.; Hans, S.; Brand, M. Distinct roles of neuroepithelial-like and radial glia-like progenitor cells in cerebellar regeneration. Development 2017, 144, 1462–1471. [Google Scholar] [CrossRef]
- Lee, M.; Schwab, C.; Yu, S.; McGeer, E.; McGeer, P.L. Astrocytes produce the antiinflammatory and neuroprotective agent hydrogen sulfide. Neurobiol. Aging 2009, 30, 1523–1534. [Google Scholar] [CrossRef] [PubMed]
- Abe, K.; Kimura, H. The possible role of hydrogen sulfide as an endogenous neuromodulator. J. Neurosci. 1996, 16, 1066–1071. [Google Scholar] [CrossRef]
- Nagai, Y.; Tsugane, M.; Oka, J.; Kimura, H. Hydrogen sulfide induces calcium waves in astrocytes. FASEB J. 2004, 18, 557–559. [Google Scholar] [CrossRef] [PubMed]
- Enokido, Y.; Suzuki, E.; Iwasawa, K.; Namekata, K.; Okazawa, H.; Kimura, H. Cystathionine beta-synthase, a key enzyme for homocysteine metabolism, is preferentially expressed in the radial glia/astrocyte lineage of developing mouse CNS. FASEB J. 2005, 19, 1854–1856. [Google Scholar] [CrossRef]
- Zhang, M.; Shan, H.; Wang, Y.; Wang, T.; Liu, W.; Wang, L.; Zhang, L.; Chang, P.; Dong, W.; Chen, X.; et al. The expression changes of cystathionine-β-synthase in brain cortex after traumatic brain injury. J. Mol. Neurosci. 2013, 51, 57–67. [Google Scholar] [CrossRef]
- Robert, K.; Vialard, F.; Thiery, E.; Toyama, K.; Sinet, P.M.; Janel, N.; London, J. Expression of the cystathionine beta synthase (CBS) gene during mouse development and immunolocalization in adult brain. J. Histochem. Cytochem. 2003, 51, 363–371. [Google Scholar] [CrossRef]
- Zuhra, K.; Augsburger, F.; Majtan, T.; Szabo, C. Cystathionine-β-Synthase: Molecular Regulation and Pharmacological Inhibition. Biomolecules 2020, 10, 697. [Google Scholar] [CrossRef]
- Wang, Z.; Liu, D.X.; Wang, F.W.; Zhang, Q.; Du, Z.X.; Zhan, J.M.; Yuan, Q.H.; Ling, E.A.; Hao, A.J. L-Cysteine promotes the proliferation and differentiation of neural stem cells via the CBS/H2S pathway. Neuroscience 2013, 237, 106–117. [Google Scholar] [CrossRef]
- Pushchina, E.V.; Varaksin, A.A.; Obukhov, D.K.; Prudnikov, I.M. GFAP expression in the optic nerve and increased H. Neural. Regen. Res. 2020, 15, 1867–1886. [Google Scholar] [CrossRef]
- Pushchina, E.V.; Varaksin, A.A. Cystathionine β-synthase in the CNS of masu salmon Oncorhynchus masou (Salmonidae) and carp Cyprinus carpio (Cyprinidae) Neurochem. J. 2011, 5, 24–34. [Google Scholar] [CrossRef]
- Sen, N.; Paul, B.D.; Gadalla, M.M.; Mustafa, A.K.; Sen, T.; Xu, R.; Kim, S.; Snyder, S.H. Hydrogen sulfide-linked sulfhydration of NF-κB mediates its antiapoptotic actions. Mol. Cell 2012, 45, 13–24. [Google Scholar] [CrossRef] [PubMed]
- Polster, B.M.; Kinnally, K.W.; Fiskum, G. BH3 death domain peptide induces cell type-selective mitochondrial outer membrane permeability. J. Biol. Chem. 2001, 276, 37887–37894. [Google Scholar] [CrossRef] [PubMed]
- Zhang, J.; Zhang, S.; Shan, H.; Zhang, M. Biologic Effect of Hydrogen Sulfide and Its Role in Traumatic Brain Injury. Oxid. Med. Cell Longev. 2020, 2020, 7301615. [Google Scholar] [CrossRef] [PubMed]
- Sarkar, C.; Zhao, Z.; Aungst, S.; Sabirzhanov, B.; Faden, A.I.; Lipinski, M.M. Impaired autophagy flux is associated with neuronal cell death after traumatic brain injury. Autophagy 2014, 10, 2208–2222. [Google Scholar] [CrossRef] [PubMed]
- Wu, J.; Lipinski, M.M. Autophagy in Neurotrauma: Good, Bad, or Dysregulated. Cells 2019, 8, 693. [Google Scholar] [CrossRef] [PubMed]
- Zhang, L.; Wang, H. Autophagy in Traumatic Brain Injury: A New Target for Therapeutic Intervention. Front. Mol. Neurosci. 2018, 11, 190. [Google Scholar] [CrossRef] [PubMed]
- Zhang, M.; Shan, H.; Chang, P.; Wang, T.; Dong, W.; Chen, X.; Tao, L. Hydrogen sulfide offers neuroprotection on traumatic brain injury in parallel with reduced apoptosis and autophagy in mice. Brain Behav. Evol. 2014, 9, e87241. [Google Scholar] [CrossRef]
- Gao, C.; Chang, P.; Yang, L.; Wang, Y.; Zhu, S.; Shan, H.; Zhang, M.; Tao, L. Neuroprotective effects of hydrogen sulfide on sodium azide-induced oxidative stress in PC12 cells. Int. J. Mol. Med. 2018, 41, 242–250. [Google Scholar] [CrossRef]
- Zhang, J.; Shi, C.; Wang, H.; Gao, C.; Chang, P.; Chen, X.; Shan, H.; Zhang, M.; Tao, L. Hydrogen sulfide protects against cell damage through modulation of PI3K/Akt/Nrf2 signaling. Int. J. Biochem. Cell Biol. 2019, 117, 105636. [Google Scholar] [CrossRef]
- Zhang, M.; Shan, H.; Chang, P.; Ma, L.; Chu, Y.; Shen, X.; Wu, Q.; Wang, Z.; Luo, C.; Wang, T.; et al. Upregulation of 3-MST Relates to Neuronal Autophagy After Traumatic Brain Injury in Mice. Cell Mol. Neurobiol. 2017, 37, 291–302. [Google Scholar] [CrossRef]
- Wang, J.F.; Li, Y.; Song, J.N.; Pang, H.G. Role of hydrogen sulfide in secondary neuronal injury. Neurochem. Int. 2014, 64, 37–47. [Google Scholar] [CrossRef]
- Jiang, X.; Huang, Y.; Lin, W.; Gao, D.; Fei, Z. Protective effects of hydrogen sulfide in a rat model of traumatic brain injury via activation of mitochondrial adenosine triphosphate-sensitive potassium channels and reduction of oxidative stress. J. Surg. Res. 2013, 184, e27–e35. [Google Scholar] [CrossRef]
- Zhao, W.; Zhang, J.; Lu, Y.; Wang, R. The vasorelaxant effect of H(2)S as a novel endogenous gaseous K(ATP) channel opener. EMBO J. 2001, 20, 6008–6016. [Google Scholar] [CrossRef]
- Yong, Q.C.; Choo, C.H.; Tan, B.H.; Low, C.M.; Bian, J.S. Effect of hydrogen sulfide on intracellular calcium homeostasis in neuronal cells. Neurochem. Int. 2010, 56, 508–515. [Google Scholar] [CrossRef]
- García-Bereguiaín, M.A.; Samhan-Arias, A.K.; Martín-Romero, F.J.; Gutiérrez-Merino, C. Hydrogen sulfide raises cytosolic calcium in neurons through activation of L-type Ca2+ channels. Antioxid. Redox Signal. 2008, 10, 31–42. [Google Scholar] [CrossRef] [PubMed]
- Liu, C.X.; Tan, Y.R.; Xiang, Y.; Liu, C.; Liu, X.A.; Qin, X.Q. Hydrogen Sulfide Protects against Chemical Hypoxia-Induced Injury via Attenuation of ROS-Mediated Ca. Biomed. Res. Int. 2018, 2018, 2070971. [Google Scholar] [CrossRef] [PubMed]
- Kimura, H. Physiological role of hydrogen sulfide and polysulfide in the central nervous system. Neurochem. Int. 2013, 63, 492–497. [Google Scholar] [CrossRef]
- Zupanc, G.K.; Ott, R. Cell proliferation after lesions in the cerebellum of adult teleost fish: Time course, origin, and type of new cells produced. Exp. Neurol. 1999, 160, 78–87. [Google Scholar] [CrossRef] [PubMed]
- Kaslin, J.; Brand, M. Cerebellar Development and Neurogenesis in Zebrafish. In Handbook of the Cerebellum and Cerebellar Disorders, 2nd ed.; Manto, M., Gruol, D.L., Schmahmann, J.D., Koibuchi, N., Sillitoe, R.V., Eds.; Springer: Dordrecht, The Netherlands, 2022; pp. 1623–1646. [Google Scholar] [CrossRef]
- Bell, C.C.; Han, V.; Sawtell, N.B. Cerebellum-like structures and their implications for cerebellar function. Annu. Rev. Neurosci. 2008, 31, 1–24. [Google Scholar] [CrossRef]
- Ito, M. Historical review of the significance of the cerebellum and the role of Purkinje cells in motor learning. Ann. N. Y. Acad. Sci. 2002, 978, 273–288. [Google Scholar] [CrossRef]
- Paulin, M.G. The role of the cerebellum in motor control and perception. Brain Behav. Evol. 1993, 41, 39–50. [Google Scholar] [CrossRef]
- Hibi, M.; Shimizu, T. Development of the cerebellum and cerebellar neural circuits. Dev. Neurobiol. 2012, 72, 282–301. [Google Scholar] [CrossRef]
- Rodriguez, F.; Duran, E.; Gomez, A.; Ocana, F.M.; Alvarez, E.; Jimenez-Moya, F.; Broglio, C.; Salas, S. Cognitive and emotional functions of the teleost fish cerebellum. Brain Res. Bull. 2005, 66, 365–370. [Google Scholar] [CrossRef]
- Ito, M. Control of mental activities by internal models in the cerebellum. Nat. Rev. Neurosci. 2008, 9, 304–313. [Google Scholar] [CrossRef]













| Intact Animals | Long-Term TBI | Long-Term TBI + Acute TBI | |||||
|---|---|---|---|---|---|---|---|
| Aromatase | |||||||
| Brain Areas | Type of cell | Cell Size, µm | Optical Density *, UOD | Cell Size, µm | Optical Density *, UOD | Cell Size, µm | Optical Density *, UOD |
| Dorsal zone | 1 type, round | 4.4 ± 0.3/4.1 ± 0.2 | 121.2 ± 11.1/168.5 ± 13.4 | 4.6 ± 0.3/3.1 ± 0.3 | 136.1 ± 13.4/198.5 ± 19.7 | 3.9 ± 0.4/3.2 ± 0.4 | 141.3 ± 10.2/208.5 ± 17.7 |
| 2 type, oval | 6.1 ± 0.3/5.1 ± 0.4 | 133.4 ± 11.7/172.4 ± 16.7 | 6.2 ± 0.5/4.6 ± 0.3 | 146.3 ± 11.4/184.2 ± 19.1 | 5.7 ± 0.5/5.2 ± 0.3 | 155.4 ± 15.2/202.3 ± 21.3 | |
| 3 type, differentiated | – | – | – | – | 21.4 ± 1.4/11.6 ± 1.7 | 147.4 ± 11.2 | |
| 4 type, elongated | 11.5 ± 0.7/4.8 ± 0.4 | 71.8 ± 9.7/121.2 ± 11.2 | – | – | 14.4 ± 0.9/4.6 ± 0.3 | 153.4 ± 10.1/182.9 ± 16.6 | |
| Lateral zone | 1 type, round | 4 ± 0.3/4.2 ± 0.5 | 139.2 ± 11.3/178.3 ± 10.8 | 4.3 ± 0.2/3.7 ± 0.3 | 158.5 ± 12.4/189.7 ± 20.4 | 4.5 ± 0.2/4.1 ± 0.2 | 199.6 ± 19.5 |
| 2 type, oval | 5.9 ± 0.3/4.6 ± 0.5 | 126.4 ± 15.2/188.6 ± 11.2 | 5.3 ± 0. 2/4.7 ± 0.3 | 133.4 ± 9.2/199.4 ± 17.2 | 5.5 ± 0.4/4.7 ± 0.4 | 139.3 ± 15.1/198.5 ± 17.7 | |
| 3 type, differentiated | – | – | – | – | 28.6 ± 2.5/17.1 ± 1.4 | 125.3 ± 12.1/205.9 ± 21.2 | |
| 4 type, elongated | 12.4 ± 1.1/5.2 ± 0.3 | 121.9 ± 12.4 | – | – | 13.2 ± 0.5/5.2 ± 0.4 | 133.5 ± 11.2/200.5 ± 19.3 | |
| Basal zone | 1 type, round | 4.2 ± 0.4/4.5 ± 0.4 | 137.3 ± 10/168.2 ± 12.6 | 4.1 ± 0.3/3.1 ± 0.1 | 136.6 ± 11.3/191.3 ± 17.9 | 4.8 ± 0.6/3.2 ± 0.2 | 144.3 ± 12.4/199.5 ± 17.9 |
| 2 type, oval | 5.7 ± 0.5/4.3 ± 0.3 | 126.6 ± 8.2/178.7 ± 10.7 | 5.5 ± 0.3/4.9 ± 0.3 | 119.3 ± 9.1/199.2 ± 18.1 | 5.6 ± 0.5/5.1 ± 0.6 | 132.4 ± 11.1/197.8 ± 15.7 | |
| 3 type, differentiated | – | – | – | – | 29.6 ± 2.6/17.3 ± 1.2 | 122.7 ± 8.9/178.5 ± 20.3 | |
| 4 type, elongated | 11.6 ± 0.9/4.9 ± 0.5 | 82.4 ± 10.1/126.2 ± 11.6 | 12.1 ± 0.6/4.7 ± 0.6 | 199.5 ± 19.1 | 13.5 ± 0.6/5.5 ± 0.6 | 141.5 ± 10/188.5 ± 17.7 | |
| Granular layer | 1 type, round | 4.5 ± 0.4/4.3 ± 0.3 | 131.1 ± 9.3/177.3 ± 13.4 | 4.4 ± 0.4/3.5 ± 0.3 | 141.6 ± 10.2/191.5 ± 16.8 | 4.3 ± 0.2/3.6 ± 0.3 | 137.8 ± 10.2/191.3 ± 18.2 |
| 2 type, oval | 5.9 ± 0.3/4.8 ± 0.6 | 139.6 ± 11.3 | 6.2 ± 0.5/4.7 ± 0.3 | 178.7 ± 17.2 | 6 ± 0.4/4.6 ± 0.5 | 199.1 ± 19.7 | |
| 4 type, elongated | – | – | 12.5 ± 1.3/4.4 ± 0.5 | 181.2 ± 15.3 | 14.7 ± 0.9/4.6 ± 0.5 | 141.4 ± 12.3/192.3 ± 21.4 | |
| Granular eminence | 1 type, round | 3.9 ± 0.3/3.7 ± 0.4 | 143.3 ± 11.4 | 4.1 ± 0.2/4.1 ± 0.1 | 128.4 ± 8.2/181 ± 19.1 | 4.8 ± 0.6/4 ± 0.5 | 149.2 ± 12.1/199.9 ± 17.4 |
| 2 type, oval | 4.9 ± 0.3/4.3 ± 0.2 | 122.4 ± 12.5/188.2 ± 8.1 | 6.4 ± 0. 3/5 ± 0.3 | 146.7 ± 11.1/182.5 ± 17.3 | 5.8 ± 0.8/4.8 ± 0.6 | 141.4 ± 10/204.97 ± 22.4 | |
| 4 type, elongated | – | – | 12.5 ± 1.3/4.4 ± 0.5 | 192.3 ± 16.3 | 11.9 ± 1.4/4.8 ± 0.6 | 189.3 ± 17.1 | |
| Intact Animals | Long-Term TBI | Long-Term TBI + Acute TBI | |||||
|---|---|---|---|---|---|---|---|
| Glutamine Synthetase | |||||||
| Brain Areas | Type of Cell | Cell Size, µm | Optical Density *, UOD | Cell Size, µm | Optical Density *, UOD | Cell Size, µm | Optical Density *, UOD |
| Dorsal zone | 1 type, round 2 type, oval 4 type, elongated | 3.7 ± 0.3/3.6 ± 0.3 5.8 ± 0.4/4.8 ± 0.3 – 9.1 ± 0.2/4.6 ± 0.2 | 103.2 ± 10.4/167.8 ± 16.3 123.2 ± 10.9 – 103 ± 10.2 | 3.9 ± 0.4/3.2 ± 0.4 5.7 ± 0.5/5.2 ± 0.1 – – | 116.7 ± 11.3/161.7 ± 16.8 177.7 ± 18.4 – – | 4.6 ± 0.3/3.5 ± 0.3 6.2 ± 0.5/4.6 ± 0.3 – 11.3 ± 0.7/5.6 ± 0.8 | 177.7 ± 17.8 158 ± 16.4 – 122.8 ± 12.3/177.7 ± 18.4 |
| Lateral zone | 1 type, round 2 type, oval 3 type, differentiated 4 type, elongated | 4.1 ± 0.4/3.8 ± 0.5 5.7 ± 0.4/4.6 ± 0.2 23.5 ± 1.2/14.5 ± 0.3 11.3 ± 0.4/4.4 ± 0.7 | 126.4 ± 9.3/133.6 ± 15.2 117.5 ± 9.8 122.2 ± 12.1 67.1 ± 7.4 | 4.5 ± 0.2/4.1 ± 0.2 5.5 ± 0.4/4.7 ± 0.4 – – | 153.2 ± 15.2 123.4 ± 12.2/173.9 ± 19.3 – – | 4.3 ± 0.2/3.7 ± 0.3 5.3 ± 0.2/4.7 ± 0.3 33.1 ± 4.1/22.2 ± 1 11 ± 0.5/5.1 ± 0.5 | 167.6 ± 18.1 169.7 ± 13.4 129.2 ± 11.5/171.4 ± 14.8 133.7 ± 16.2/166.1 ± 12.1 |
| Basal zone | 1 type, round 2 type, oval 4 type, elongated | 3.9 ± 0.2/3.7 ± 0.4 5.4 ± 0.3/4.7 ± 0.5 – 12.3 ± 0.6/4.8 ± 0.4 | 119.3 ± 12.4/157.3 ± 18.1 113.7 ± 10.2 – 123.2 ± 15.1 | 4.8 ± 0.6/3.2 ± 0.2 5.6 ± 0.5/5.1 ± 0.6 – – | 113.2 ± 10.2/163.5 ± 19.8 176.8 ± 12.6 – – | 4.1 ± 0.3/3.3 ± 0.4 5.5 ± 0.3/4.9 ± 0.3 – 11.4 ± 0.3/5 ± 0.4 | 179.1 ± 15.1 179.7 ± 12.4 – 132.8 ± 11.6/161.7 ± 12.5 |
| Granular layer | 1 type, round 2 type, oval 4 type, elongated | 3.4 ± 0.2/3.2 ± 0.4 5.3 ± 0.3/4.1 ± 0.3 11.3 ± 0.3/5.2 ± 0.4 | 116.6 ± 9.9/148.6 ± 13.1 116.1 ± 11.8 110.9 ± 10.5 | 4.3 ± 0.2/3.6 ± 0.3 6 ± 0.4/4.6 ± 0.5 – | 122.1 ± 11.4/173.1 ± 18.5 177.5 ± 14.2 – | 4.4 ± 0.4/3.5 ± 0.3 6.2 ± 0.5/4.7 ± 0.3 11.9 ± 0.9/5.7 ± 0.5 | 179.6 ± 15.1 159.4 ± 12.3 129.9 ± 13.2 |
| Granular eminence | 1 type, round 2 type, oval 4 type, elongated | 3.5 ± 0.4/3.4 ± 0.4 5.5 ± 0.4/4.4 ± 0.4 11.6 ± 0.2/5 ± 0.5 | 111.3 ± 11.2/153.3 ± 14.6 122.4 ± 11.6/134.7 ± 13.2 116.3 ± 11.6 | 4.8 ± 0.6/4 ± 0.5 5.8 ± 0.8/4.8 ± 0.6 12.3 ± 0.8/5.8 ± 0.6 | 163.1 ± 18.4 153.7 ± 15.2 129.2 ± 12.5/163.7 ± 17.2 | 4.1 ± 0.2/4.1 ± 0.1 6.4 ± 0.3/5 ± 0.3 11.9 ± 0.9/5.9 ± 0.7 | 179.4 ± 11.4 169.7 ± 10 111.5 ± 9.4/171.1 ± 11.1 |
| Intact Animals | Long-Term TBI | Long-Term TBI + Acute TBI | |||||
|---|---|---|---|---|---|---|---|
| Cystathionine β-Synthase | |||||||
| Brain Areas | Type of Cell | Cell Size, µm | Optical Density *, UOD | Cell Size, µm | Optical Density *, UOD | Cell Size, µm | Optical Density *, UOD |
| Dorsal zone | 1 type, round | 4.4 ± 0.5/3.3 ± 0.5 | 94.4 ± 10.7/101.4 ± 13 | 4.3 ± 0.3/3.7 ± 0.3 | 131 ± 5.6/182.4 ± 77.9 | 4.1± 0.3/3.9 ± 0.3 | 177.5 ± 18.1 |
| 2 type, oval | 5.9 ± 0.3/5.1 ± 0.3 | 91.3 ± 11.3/115.5 ± 11.3 | 6.1 ± 0.6/5.6 ± 0.5 | 152.3 ± 9.2 | 6 ± 0.4/5 ± 0.5 | 183.4 ± 17.7 | |
| 3 type, differentiated | 18.9 ±1.5/15.6 ± 1.2 | 86.6 ± 7.3/114.2 ± 9.2 | 18.5 ±1.2/15.2 ± 1.5 | 96.4 ± 9.3/118.2 ± 10.2 | 19.3 ±1.1/17.1 ± 1.3 | 74.7 ± 11.2/101.7 ± 12.1 | |
| 4 type, elongated | 10.2 ± 1.1/5.1± 0.3 | 91.5 ± 9.3/105.7 ± 9.6 | 10.2 ± 1.1/5.1± 0.3 | 124.5 ± 10.2/175.5 ± 11.9 | – | – | |
| Lateral zone | 1 type, round | 4.5 ± 0.4/3.4 ± 0.4 | 81.3 ± 9.4/123.9 ± 7.1 | 3.7 ± 0.3/3.4 ± 0.5 | 135.4 ± 4.6/167.5 ± 12.1 | 4.1± 0.3/3.5± 0.3 | 163.4 ± 9.2 |
| 2 type, oval | 5.5 ± 0.4/4.9 ± 0.3 | 86.2 ± 13.1/127.3 ± 9.2 | 5.7 ± 0.5/4.8 ± 0.3 | 183.4 ± 17.1 | 5.2± 0.5/4± 0.3 | 174.5 ± 6.9 | |
| 3 type, differentiated | 19.1 ±2.1/15.1 ± 1.3 | 84.8 ± 9.2/133.5 ± 8.1 | 20.1 ±0.9/15.4 ± 1.2 | 89.8 ± 8.1/133.5 ± 18.5 | 20.1 ±0.9/15.4 ± 1.2 | 109.2 ± 10.3 | |
| 4 type, elongated | 11.2 ± 1/5.3± 0.4 | 97.4 ± 8.3/115.9 ± 11.2 | 10.1 ± 1/5.2± 0.4 | 144.2 ± 9.4/164 ± 10 | – | – | |
| Basal zone | 1 type, round | 4.4 ± 0.3/3.6 ± 0.4 | 86.8 ± 5.9/123.9 ± 7.1/167.2 ± 12.3 | 4 ± 0.5/3.3 ±0.4 | 108.9 ± 11.2/157 ± 17.3 | 4. 4 ± 0.3/3.4 ± 0.2 | 188.2 ± 9.2 |
| 2 type, oval | 6.2 ± 0.3/4.7 ± 0.4 | 91.3 ± 9.9/133 ± 12.4/158.2 ± 14.6 | 6 ± 0.5/5.3 ± 0.2 | 111.2 ± 7.1/173.2 ± 18.1 | 5.7 ± 0.3/5.3 ± 0.2 | 173 ± 11.7 | |
| 3 type, differentiated | 22.1 ±2.1/14.3 ± 1.1 | 77.7 ± 9.4/133.9 ± 11.1 | 19.4 ±1.1/15.2 ± 1.5 | 87.4 ± 11.5/127.6 ± 13.4 | 17.7 ± 1.3/16.2 ± 1.3 | 178.5 ± 15.6 | |
| 4 type, elongated | 10.4 ± 1.3/5.3± 0.4 | 84.5 ± 13.6/116.9 ± 7.2 | 10.2 ± 1.1/5.1± 0.3 | 133.2 ± 11.2 | 11.2 ± 1/4.8± 0.4 | 173.6 ± 17.1 | |
| Granular layer | 1 type, round | 4.4 ± 0.5/3.9 ± 0.4 | 79.3 ± 8.7/143.6 ± 11.4 | 4.4 ± 0.2/3.4 ± 0.5 | 125.2 ± 11.4/163.2 ± 15.5 | 4.1 ±0.2/3.6 ±0.1 | 188.5 ± 12.4 |
| 2 type, oval | 6.7 ± 0.4/5.1± 0.6 | 89.8 ± 9.1/123.1 ± 12.5 | 5.9 ± 0.5/4.2 ± 0.5 | 139.7 ± 11.5/188.2 ± 18.8 | 6.1 ± 0. 3/5.1 ± 0.3 | 179.3 ± 9.6 | |
| 4 type, elongated | 10 ± 0.9/5 ± 0.4 | 90 ± 10.7/133.5 ± 16.3 | 12.2 ± 1/4.9± 0.4 | 123.1 ± 12.5 | 12.1± 1.2/5.2 ± 0.5 | 181.3 ± 14.4 | |
| Granular eminence | 1 type, round | 4.3 ± 0.5/3.9 ± 0.4 | 123.6 ± 13.2 | 4.4 ± 0.3/3.3 ± 0.4 | 122.2 ± 11.3/163.8 ± 15.3 | 4.4 ± 0.2/3.4 ±0.1 | 183.7 ± 19.2 |
| 2 type, oval | 6.7 ± 0.4/4.9± 0.6 | 154.5 ± 17.1 | 5.9 ± 0.6/4 ± 0.2 | 126 ±10.2/173.4 ± 17.9 | 5.5 ± 0. 3/4.4 ± 0.3 | 179.5 ± 18.1 | |
| 4 type, elongated | – | – | 12.2 ± 1/4.9± 0.4 | 137.1 ± 12.5 | – | – | |
Disclaimer/Publisher’s Note: The statements, opinions and data contained in all publications are solely those of the individual author(s) and contributor(s) and not of MDPI and/or the editor(s). MDPI and/or the editor(s) disclaim responsibility for any injury to people or property resulting from any ideas, methods, instructions or products referred to in the content. |
© 2024 by the authors. Licensee MDPI, Basel, Switzerland. This article is an open access article distributed under the terms and conditions of the Creative Commons Attribution (CC BY) license (https://creativecommons.org/licenses/by/4.0/).
Share and Cite
Pushchina, E.V.; Bykova, M.E.; Varaksin, A.A. Post-Traumatic Expressions of Aromatase B, Glutamine Synthetase, and Cystathionine-Beta-Synthase in the Cerebellum of Juvenile Chum Salmon, Oncorhynchus keta. Int. J. Mol. Sci. 2024, 25, 3299. https://doi.org/10.3390/ijms25063299
Pushchina EV, Bykova ME, Varaksin AA. Post-Traumatic Expressions of Aromatase B, Glutamine Synthetase, and Cystathionine-Beta-Synthase in the Cerebellum of Juvenile Chum Salmon, Oncorhynchus keta. International Journal of Molecular Sciences. 2024; 25(6):3299. https://doi.org/10.3390/ijms25063299
Chicago/Turabian StylePushchina, Evgeniya V., Mariya E. Bykova, and Anatoly A. Varaksin. 2024. "Post-Traumatic Expressions of Aromatase B, Glutamine Synthetase, and Cystathionine-Beta-Synthase in the Cerebellum of Juvenile Chum Salmon, Oncorhynchus keta" International Journal of Molecular Sciences 25, no. 6: 3299. https://doi.org/10.3390/ijms25063299
APA StylePushchina, E. V., Bykova, M. E., & Varaksin, A. A. (2024). Post-Traumatic Expressions of Aromatase B, Glutamine Synthetase, and Cystathionine-Beta-Synthase in the Cerebellum of Juvenile Chum Salmon, Oncorhynchus keta. International Journal of Molecular Sciences, 25(6), 3299. https://doi.org/10.3390/ijms25063299

