High-Titer Anti-ZSCAN1 Antibodies in a Toddler Clinically Diagnosed with Apparent Rapid-Onset Obesity with Hypothalamic Dysfunction, Hypoventilation, and Autonomic Dysregulation Syndrome
Abstract
1. Introduction
2. Methods
2.1. Assays for Autoimmune Encephalitis Antibodies
2.2. Assays for ZSCAN1 and Nax Antibodies
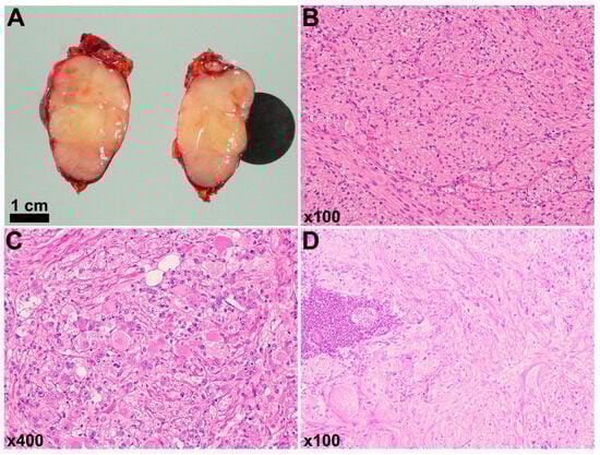
2.3. Case Presentation
3. Discussion
4. Conclusions and Future Directions
Author Contributions
Funding
Institutional Review Board Statement
Informed Consent Statement
Data Availability Statement
Conflicts of Interest
References
- Pinhas-Hamiel, O.; Hamiel, U.; Bendor, C.D.; Bardugo, A.; Twig, G.; Cukierman-Yaffe, T. The Global Spread of Severe Obesity in Toddlers, Children, and Adolescents: A Systematic Review and Meta-Analysis. Obes. Facts 2022, 15, 118–134. [Google Scholar] [CrossRef]
- Woolford, S.J.; Sidell, M.; Li, X.; Else, V.; Young, D.R.; Resnicow, K.; Koebnick, C. Changes in Body Mass Index among Children and Adolescents During the COVID-19 Pandemic. JAMA 2021, 326, 1434–1436. [Google Scholar] [CrossRef]
- Fäldt, A.; Nejat, S.; Edvinsson Sollander, S.; Durbeej, N.; Holmgren, A. Increased Incidence of Overweight and Obesity among Preschool Swedish Children during the COVID-19 Pandemic. Eur. J. Public Health 2023, 33, 127–131. [Google Scholar] [CrossRef]
- Takaya, J.; Higashino, H.; Takaya, R.; Sakaguchi, H.; Tanoue, J.; Higashide, T.; Moriguchi, H.; Nakao, M.; Takai, Y. Effect of the COVID-19 Pandemic Lockdown on the Physique of School-Age Children in Japan. Ann. Pediatr. Endocrinol. Metab. 2023, 28, 124–130. [Google Scholar] [CrossRef]
- Kass, D.A.; Duggal, P.; Cingolani, O. Obesity Could Shift Severe COVID-19 Disease to Younger Ages. Lancet 2020, 395, 1544–1545. [Google Scholar] [CrossRef]
- Sun, S.S.; Liang, R.; Huang, T.T.-K.; Daniels, S.R.; Arslanian, S.; Liu, K.; Grave, G.D.; Siervogel, R.M. Childhood Obesity Predicts Adult Metabolic Syndrome: The Fels Longitudinal Study. J. Pediatr. 2008, 152, 191–200. [Google Scholar] [CrossRef]
- Zhang, T.; Whelton, P.K.; Xi, B.; Krousel-Wood, M.; Bazzano, L.; He, J.; Chen, W.; Li, S. Rate of Change in Body Mass Index at Different Ages during Childhood and Adult Obesity Risk. Pediatr. Obes. 2019, 14, e12513. [Google Scholar] [CrossRef] [PubMed]
- Styne, D.M.; Arslanian, S.A.; Connor, E.L.; Farooqi, I.S.; Murad, M.H.; Silverstein, J.H.; Yanovski, J.A. Pediatric Obesity—Assessment, Treatment, and Prevention: An Endocrine Society Clinical Practice Guideline. J. Clin. Endocrinol. Metab. 2017, 102, 709–757. [Google Scholar] [CrossRef] [PubMed]
- Ize-Ludlow, D.; Gray, J.A.; Sperling, M.A.; Berry-Kravis, E.M.; Milunsky, J.M.; Farooqi, I.S.; Rand, C.M.; Weese-Mayer, D.E. Rapid-Onset Obesity with Hypothalamic Dysfunction, Hypoventilation, and Autonomic Dysregulation Presenting in Childhood. Pediatrics 2007, 120, e179–e188. [Google Scholar] [CrossRef]
- Fishman, L.S.; Samson, J.H.; Sperling, D.R. Primary Alveolar Hypoventilation Syndrome (Ondine’s Curse). Am. J. Dis. Child. 1965, 110, 155–161. [Google Scholar] [CrossRef] [PubMed]
- Katz, E.S.; McGrath, S.; Marcus, C.L. Late-Onset Central Hypoventilation with Hypothalamic Dysfunction: A Distinct Clinical Syndrome. Pediatr. Pulmonol. 2000, 29, 62–68. [Google Scholar] [CrossRef]
- Bougnères, P.; Pantalone, L.; Linglart, A.; Rothenbühler, A.; Le Stunff, C. Endocrine Manifestations of the Rapid-Onset Obesity with Hypoventilation, Hypothalamic, Autonomic Dysregulation, and Neural Tumor Syndrome in Childhood. J. Clin. Endocrinol. Metab. 2008, 93, 3971–3980. [Google Scholar] [CrossRef]
- Harvengt, J.; Gernay, C.; Mastouri, M.; Farhat, N.; Lebrethon, M.; Seghaye, M.; Bours, V. ROHHAD(NET) Syndrome: Systematic Review of the Clinical Timeline and Recommendations for Diagnosis and Prognosis. J. Clin. Endocrinol. Metab. 2020, 105, 2119–2131. [Google Scholar] [CrossRef]
- Lee, J.M.; Shin, J.; Kim, S.; Gee, H.; Lee, J.S.; Cha, D.H.; Rim, J.; Park, S.-J.; Kim, J.H.; Uçar, A.; et al. Rapid-Onset Obesity with Hypoventilation, Hypothalamic, Autonomic Dysregulation, and Neuroendocrine Tumors (ROHHADNET) Syndrome: A Systematic Review. BioMed Res. Int. 2018, 2018, 125071. [Google Scholar] [CrossRef]
- Mandel-Brehm, C.; Benson, L.; Tran, B.; Kung, A.; Mann, S.; Vazquez, S.; Retallack, H.; Sample, H.; Zorn, K.; Khan, L.; et al. ZSCAN1 Autoantibodies Are Associated with Pediatric Paraneoplastic ROHHAD. Ann. Neurol. 2022, 92, 279–291. [Google Scholar] [CrossRef] [PubMed]
- Nakamura-Utsunomiya, A. Autoimmunity Related to Adipsic Hypernatremia and ROHHAD Syndrome. Int. J. Mol. Sci. 2022, 23, 6899. [Google Scholar] [CrossRef] [PubMed]
- Waters, P.J.; Komorowski, L.; Woodhall, M.; Lederer, S.; Majed, M.; Fryer, J.; Mills, J.; Flanagan, E.P.; Irani, S.R.; Kunchok, A.C.; et al. A Multicenter Comparison of MOG-IgG Cell-Based Assays. Neurology 2019, 92, e1250–e1255. [Google Scholar] [CrossRef] [PubMed]
- Prüss, H.; Dalmau, J.; Harms, L.; Höltje, M.; Ahnert-Hilger, G.; Borowski, K.; Stoecker, W.; Wandinger, K.P. Retrospective Analysis of NMDA Receptor Antibodies in Encephalitis of Unknown Origin. Neurology 2010, 75, 1735–1739. [Google Scholar] [CrossRef] [PubMed]
- Nakamura-Utsunomiya, A.; Goda, S.; Hayakawa, S.; Sonoko, S.; Hoorn, E.; Blanchard, A.; Saito-hakoda, A.; Kakimoto, H.; Hachiya, R.; Kamimura, M.; et al. Identification of Clinical Factors Related to Antibody-mediated Immune Response to the Subfornical Organ. Clin. Endocrinol. 2022, 97, 72–80. [Google Scholar] [CrossRef] [PubMed]
- Nakamura-Utsunomiya, A.; Yamaguchi, K.; Goshima, N. Anti-ZSCAN1 Autoantibodies Are a Feasible Diagnostic Marker for ROHHAD Syndrome Not Associated with a Tumor. Int. J. Mol. Sci. 2023, 25, 1794. [Google Scholar] [CrossRef] [PubMed]
- Isojima, T.; Kato, N.; Ito, Y.; Kanzaki, S.; Murata, M. Growth Standard Charts for Japanese Children with Mean and Standard Deviation (SD) Values Based on the Year 2000 National Survey. Clin. Pediatr. Endocrinol. 2016, 25, 71–76. [Google Scholar] [CrossRef]
- Pussard, E.; Neveux, M.; Guigueno, N. Reference Intervals for Urinary Catecholamines and Metabolites from Birth to Adulthood. Clin. Biochem. 2009, 42, 536–539. [Google Scholar] [CrossRef]
- Okamatsu, C.; London, W.B.; Naranjo, A.; Hogarty, M.D.; Gastier-Foster, J.M.; Look, A.T.; LaQuaglia, M.; Maris, J.M.; Cohn, S.L.; Matthay, K.K.; et al. Clinicopathological Characteristics of Ganglioneuroma and Ganglioneuroblastoma: A Report from the CCG and COG: Ganglioneuroma and Ganglioneuroblastoma. Pediatr. Blood Cancer 2009, 53, 563–569. [Google Scholar] [CrossRef]
- Decarolis, B.; Simon, T.; Krug, B.; Leuschner, I.; Vokuhl, C.; Kaatsch, P.; Von Schweinitz, D.; Klingebiel, T.; Mueller, I.; Schweigerer, L.; et al. Treatment and Outcome of Ganglioneuroma and Ganglioneuroblastoma Intermixed. BMC Cancer 2016, 16, 542. [Google Scholar] [CrossRef]
- Adam, A.; Hochholzer, L. Ganglioneuroblastoma of the Posterior Mediastinum: A Clinicopathologic Review of 80 Cases. Cancer 1981, 47, 373–381. [Google Scholar] [CrossRef]
- De Bernardi, B.; Gambini, C.; Haupt, R.; Granata, C.; Rizzo, A.; Conte, M.; Tonini, G.P.; Bianchi, M.; Giuliano, M.; Luksch, R.; et al. Retrospective Study of Childhood Ganglioneuroma. J. Clin. Oncol. 2008, 26, 1710–1716. [Google Scholar] [CrossRef]
- Alexander, N.; Sullivan, K.; Shaikh, F.; Irwin, M.S. Characteristics and Management of Ganglioneuroma and Ganglioneuroblastoma-intermixed in Children and Adolescents. Pediatr. Blood Cancer 2018, 65, e26964. [Google Scholar] [CrossRef]
- Khaytin, I.; Victor, A.; Barclay, S.; Benson, L.; Slattery, S.; Rand, C.; Kurek, K.; Weese-Mayer, D. Rapid-Onset Obesity with Hypothalamic Dysfunction, Hypoventilation, and Autonomic Dysregulation (ROHHAD): A Collaborative Review of the Current Understanding. Clin. Auton. Res. 2023, 33, 251–268. [Google Scholar] [CrossRef] [PubMed]
- Dalmau, J.; Lancaster, E.; Martinez-Hernandez, E.; Rosenfeld, M.R.; Balice-Gordon, R. Clinical Experience and Laboratory Investigations in Patients with Anti-NMDAR Encephalitis. Lancet Neurol. 2011, 10, 63–74. [Google Scholar] [CrossRef] [PubMed]
- Williams, P.; Wegner, E.; Ziegler, D.S. Outcomes in Multifocal Neuroblastoma as Part of the Neurocristopathy Syndrome. Pediatrics 2014, 134, e611–e616. [Google Scholar] [CrossRef] [PubMed]
- Zaidi, S.; Gandhi, J.; Vatsia, S.; Smith, N.L.; Khan, S.A. Congenital Central Hypoventilation Syndrome: An Overview of Etiopathogenesis, Associated Pathologies, Clinical Presentation, and Management. Auton. Neurosci. 2018, 210, 1–9. [Google Scholar] [CrossRef]
- Barclay, S.F.; Rand, C.M.; Borch, L.A.; Nguyen, L.; Gray, P.A.; Gibson, W.T.; Wilson, R.J.A.; Gordon, P.M.K.; Aung, Z.; Berry-Kravis, E.M.; et al. Rapid-Onset Obesity with Hypothalamic Dysfunction, Hypoventilation, and Autonomic Dysregulation (ROHHAD): Exome Sequencing of Trios, Monozygotic Twins and Tumours. Orphanet J. Rare Dis. 2015, 10, 103. [Google Scholar] [CrossRef] [PubMed]
- Grossi, A.; Rusmini, M.; Cusano, R.; Massidda, M.; Santamaria, G.; Napoli, F.; Angelelli, A.; Fava, D.; Uva, P.; Ceccherini, I.; et al. Whole Genome Sequencing in ROHHAD Trios Proved Inconclusive: What’s beyond? Front. Genet. 2023, 14, 1031074. [Google Scholar] [CrossRef] [PubMed]
- Lazea, C.; Sur, L.; Florea, M. ROHHAD (Rapid-Onset Obesity with Hypoventilation, Hypothalamic Dysfunction, Autonomic Dysregulation) Syndrome—What Every Pediatrician Should Know About the Etiopathogenesis, Diagnosis and Treatment: A Review. Int. J. Gen. Med. 2021, 14, 319–326. [Google Scholar] [CrossRef] [PubMed]
- Victor, A.K.; Hedgecock, T.; Donaldson, M.; Johnson, D.; Rand, C.M.; Weese-Mayer, D.E.; Reiter, L.T. Analysis and Comparisons of Gene Expression Changes in Patient- Derived Neurons from ROHHAD, CCHS, and PWS. Front. Pediatr. 2023, 11, 1090084. [Google Scholar] [CrossRef]
- Sartori, S.; Priante, E.; Pettenazzo, A.; Marson, P.; Suppiej, A.; Benini, F.; Perilongo, G.; Toldo, I. Intrathecal Synthesis of Oligoclonal Bands in Rapid-Onset Obesity with Hypothalamic Dysfunction, Hypoventilation, and Autonomic Dysregulation Syndrome: New Evidence Supporting Immunological Pathogenesis. J. Child Neurol. 2014, 29, 421–425. [Google Scholar] [CrossRef] [PubMed]
- Sethi, K.; Lee, Y.-H.; Daugherty, L.E.; Hinkle, A.; Johnson, M.D.; Katzman, P.J.; Sullivan, J.S. ROHHADNET Syndrome Presenting as Major Behavioral Changes in a 5-Year-Old Obese Girl. Pediatrics 2014, 134, e586–e589. [Google Scholar] [CrossRef]
- Gharial, J.; Ganesh, A.; Curtis, C.; Pauranik, A.; Chan, J.A.; Kurek, K.; Lafay-Cousin, L. Neuroimaging and Pathology Findings Associated With Rapid Onset Obesity, Hypothalamic Dysfunction, Hypoventilation, and Autonomic Dysregulation (ROHHAD) Syndrome. J. Pediatr. Hematol. Oncol. 2020, 43, e571–e576. [Google Scholar] [CrossRef]
- Hiyama, T.Y.; Utsunomiya, A.N.; Matsumoto, M.; Fujikawa, A.; Lin, C.-H.; Hara, K.; Kagawa, R.; Okada, S.; Kobayashi, M.; Ishikawa, M.; et al. Adipsic Hypernatremia without Hypothalamic Lesions Accompanied by Autoantibodies to Subfornical Organ. Brain Pathol. 2017, 27, 323–331. [Google Scholar] [CrossRef]
- Nakamura-Utsunomiya, A.; Hiyama, T.Y.; Okada, S.; Noda, M.; Kobayashi, M. Characteristic Clinical Features of Adipsic Hypernatremia Patients with Subfornical Organ-Targeting Antibody. Clin. Pediatr. Endocrinol. 2017, 26, 197–205. [Google Scholar] [CrossRef]
- Gresa-Arribas, N.; Titulaer, M.J.; Torrents, A.; Aguilar, E.; McCracken, L.; Leypoldt, F.; Gleichman, A.J.; Balice-Gordon, R.; Rosenfeld, M.R.; Lynch, D.; et al. Antibody Titres at Diagnosis and during Follow-up of Anti-NMDA Receptor Encephalitis: A Retrospective Study. Lancet Neurol. 2014, 13, 167–177. [Google Scholar] [CrossRef] [PubMed]
- Lancaster, E.; Dalmau, J. Neuronal Autoantigens—Pathogenesis, Associated Disorders and Antibody Testing. Nat. Rev. Neurol. 2012, 8, 380–390. [Google Scholar] [CrossRef] [PubMed]
- Boers, A.; Wang, R.; van Leeuwen, R.W.; Klip, H.G.; de Bock, G.H.; Hollema, H.; van Criekinge, W.; de Meyer, T.; Denil, S.; van der Zee, A.G.J.; et al. Discovery of New Methylation Markers to Improve Screening for Cervical Intraepithelial Neoplasia Grade 2/3. Clin. Epigenet. 2016, 8, 29. [Google Scholar] [CrossRef] [PubMed]
- Zhong, X.; Zhong, G. Prognostic Biomarker Identification and Tumor Classification in Breast Cancer Patients by Methylation and Transcriptome Analysis. FEBS Open Bio 2021, 11, 2139–2151. [Google Scholar] [CrossRef] [PubMed]
- Chu, J.; Li, Y.; He, M.; Zhang, H.; Yang, L.; Yang, M.; Liu, J.; Cui, C.; Hong, L.; Hu, X.; et al. Zinc Finger and SCAN Domain Containing 1, ZSCAN1, Is a Novel Stemness-Related Tumor Suppressor and Transcriptional Repressor in Breast Cancer Targeting TAZ. Front. Oncol. 2023, 13, 1041688. [Google Scholar] [CrossRef] [PubMed]
- Cai, Y.; Chen, K.; Cheng, C.; Xu, Y.; Cheng, Q.; Xu, G.; Wu, Y.; Wu, Z. Prp19 Is an Independent Prognostic Marker and Promotes Neuroblastoma Metastasis by Regulating the Hippo-YAP Signaling Pathway. Front. Oncol. 2020, 10, 575366. [Google Scholar] [CrossRef]
- Zindel, D.; Mensat, P.; Vol, C.; Homayed, Z.; Charrier-Savournin, F.; Trinquet, E.; Banères, J.-L.; Pin, J.-P.; Pannequin, J.; Roux, T.; et al. G Protein-Coupled Receptors Can Control the Hippo/YAP Pathway through Gq Signaling. FASEB J. 2021, 35, e21668. [Google Scholar] [CrossRef]
- An, Y.; Kang, Q.; Zhao, Y.; Hu, X.; Li, N. Lats2 Modulates Adipocyte Proliferation and Differentiation via Hippo Signaling. PLoS ONE 2013, 8, e72042. [Google Scholar] [CrossRef]
- Wang, L.; Wang, S.; Shi, Y.; Li, R.; Günther, S.; Ong, Y.T.; Potente, M.; Yuan, Z.; Liu, E.; Offermanns, S. YAP and TAZ Protect against White Adipocyte Cell Death during Obesity. Nat. Commun. 2020, 11, 5455. [Google Scholar] [CrossRef]



| Units | Value | Reference Range | |
|---|---|---|---|
| Venous blood gas (FIO2 0.45) | |||
| pH | 7.466 | 7.350–7.450 | |
| pCO2 | mmHg | 35.1 | 35.0–45.0 |
| Cell count | |||
| Hemoglobin | g/dL | 10.8 | 11.6–14.8 |
| White blood cells | /μL | 6540 | 3300–8600 |
| Platelets | ×1000/μL | 343 | 158–348 |
| Electrolytes | |||
| Sodium | mmol/L | 151 | 138–145 |
| Chloride | mmol/L | 115 | 101–108 |
| Potassium | mmol/L | 4.5 | 3.5–4.9 |
| Calcium | mg/dL | 8.7 | 8.7–10.2 |
| Phosphorus | mg/dL | 6.2 | 4.5–5.8 |
| Endocrine tests | |||
| ACTH | pg/mL | 9.8 | 7.2–63.3 |
| Cortisol | μg/dL | 4.1 | 6.0–22.0 |
| 17-OHP | ng/mL | 0.4 | <5.0 |
| DHEA-S | μg/dL | <2.0 | <33.2 |
| Prolactin | ng/mL | 26.7 | 1.2–14.4 |
| Growth hormone | ng/mL | 0.48 | * |
| IGF-1 | ng/mL | 11 | 32–213 |
| TSH | mIU/L | 1.84 | 0.61–4.23 |
| free T4 | ng/dL | 0.69 | 1.00–1.80 |
| Renin concentration | pg/mL | 101.7 | 2.5–21.4 |
| Aldosterone | pg/mL | 14.9 | 30–159 |
| Adrenaline (blood) | pg/mL | 15 | <100 |
| Adrenaline (urine) | μg/mg creatinine | 0.006 | <39 ** |
| Noradrenaline (blood) | pg/mL | 57 | <70 |
| Noradrenaline (urine) | μg/mg creatinine | 0.052 | 0.012–0.139 ** |
| Dopamine (blood) | pg/mL | 16 | <30 |
| Dopamine (urine) | μg/mg creatinine | 1.313 | 0.220–1.654 ** |
| Mean daily urine cortisol | μg/day | 28.4 | 4.3–176.0 |
| Tumor-related markers | |||
| NSE | ng/mL | 22.8 | <15.1 |
| sIL-2R | U/mL | 446 | 156.6–474.5 |
| AFP | ng/mL | <0.9 | <6.2 |
| Homovanillic acid (urine) | mg/g creatinine | 26.4 | 7.3–28.6 |
| Vanillylmandelic acid (urine) | mg/g creatinine | 15.8 | 4.8–16.1 |
| Urine | |||
| Specific gravity | 1.019 | 1.010–1.025 | |
| Proteins | +/− | - | |
| Glucose | - | - | |
| Occult blood | 3+ | - | |
| Na | mmol/L | 157 | * |
| Cl | mmol/L | 104 | * |
| K | mmol/L | 51.3 | * |
| Cerebrospinal fluid (CSF) | |||
| Cell count | /μL | 3 | <5 |
| Proteins | mg/dL | 38 | 10–40 |
| Glucose | mg/dL | 52 | 50–75 |
| Sodium | mmol/L | 160 | 130–150 |
| Chloride | mmol/L | >120 | 120–130 |
| Potassium | mmol/L | 3.0 | 2.5–3.5 |
| Oligoclonal bands | Positive | Negative |
| Pretreatment | Post- Treatment | Positive Control | Negative Control | Reference | |
|---|---|---|---|---|---|
| Anti-ZSCAN1 antibodies | 348 | 350 | 74 | 3.2 | <40 |
Disclaimer/Publisher’s Note: The statements, opinions and data contained in all publications are solely those of the individual author(s) and contributor(s) and not of MDPI and/or the editor(s). MDPI and/or the editor(s) disclaim responsibility for any injury to people or property resulting from any ideas, methods, instructions or products referred to in the content. |
© 2024 by the authors. Licensee MDPI, Basel, Switzerland. This article is an open access article distributed under the terms and conditions of the Creative Commons Attribution (CC BY) license (https://creativecommons.org/licenses/by/4.0/).
Share and Cite
Tocan, V.; Nakamura-Utsunomiya, A.; Sonoda, Y.; Matsuoka, W.; Mizuguchi, S.; Muto, Y.; Hijioka, T.; Nogami, M.; Sasaoka, D.; Nagamatsu, F.; et al. High-Titer Anti-ZSCAN1 Antibodies in a Toddler Clinically Diagnosed with Apparent Rapid-Onset Obesity with Hypothalamic Dysfunction, Hypoventilation, and Autonomic Dysregulation Syndrome. Int. J. Mol. Sci. 2024, 25, 2820. https://doi.org/10.3390/ijms25052820
Tocan V, Nakamura-Utsunomiya A, Sonoda Y, Matsuoka W, Mizuguchi S, Muto Y, Hijioka T, Nogami M, Sasaoka D, Nagamatsu F, et al. High-Titer Anti-ZSCAN1 Antibodies in a Toddler Clinically Diagnosed with Apparent Rapid-Onset Obesity with Hypothalamic Dysfunction, Hypoventilation, and Autonomic Dysregulation Syndrome. International Journal of Molecular Sciences. 2024; 25(5):2820. https://doi.org/10.3390/ijms25052820
Chicago/Turabian StyleTocan, Vlad, Akari Nakamura-Utsunomiya, Yuri Sonoda, Wakato Matsuoka, Soichi Mizuguchi, Yuichiro Muto, Takaaki Hijioka, Masao Nogami, Daiki Sasaoka, Fusa Nagamatsu, and et al. 2024. "High-Titer Anti-ZSCAN1 Antibodies in a Toddler Clinically Diagnosed with Apparent Rapid-Onset Obesity with Hypothalamic Dysfunction, Hypoventilation, and Autonomic Dysregulation Syndrome" International Journal of Molecular Sciences 25, no. 5: 2820. https://doi.org/10.3390/ijms25052820
APA StyleTocan, V., Nakamura-Utsunomiya, A., Sonoda, Y., Matsuoka, W., Mizuguchi, S., Muto, Y., Hijioka, T., Nogami, M., Sasaoka, D., Nagamatsu, F., Oba, U., Kawakubo, N., Hamada, H., Mushimoto, Y., Chong, P. F., Kaku, N., Koga, Y., Sakai, Y., Oda, Y., ... Ohga, S. (2024). High-Titer Anti-ZSCAN1 Antibodies in a Toddler Clinically Diagnosed with Apparent Rapid-Onset Obesity with Hypothalamic Dysfunction, Hypoventilation, and Autonomic Dysregulation Syndrome. International Journal of Molecular Sciences, 25(5), 2820. https://doi.org/10.3390/ijms25052820

