Highly Concentrated Stabilized Hybrid Complexes of Hyaluronic Acid: Rheological and Biological Assessment of Compatibility with Adipose Tissue and Derived Stromal Cells towards Regenerative Medicine
Abstract
1. Introduction
2. Results
2.1. Rheological Characterization
Sensitivity to Enzymatic Degradation Studies
2.2. Adipogenic Differentiation
2.2.1. Cellular Viability and Proliferation in Presence of HA-Based Gels
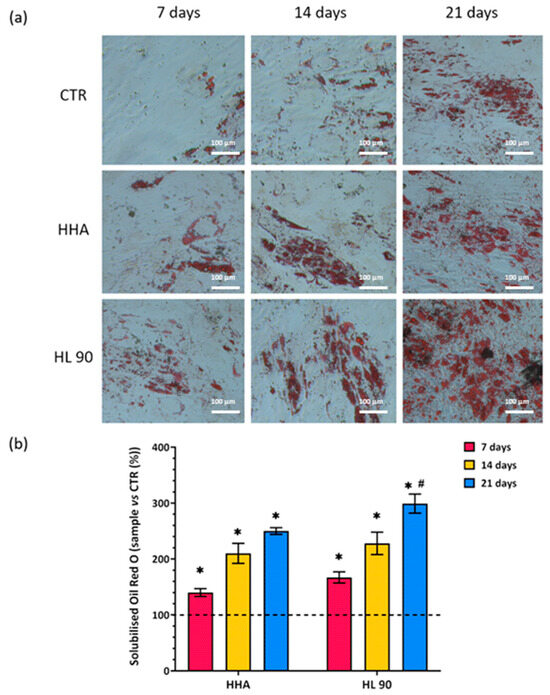
2.2.2. Intracellular Lipid Accumulation Evaluation after HA-Based Gels Treatment (Oil Red O Staining)
2.2.3. Adipogenic Gene Expression Analyses by qRT-PCR
2.2.4. Adipogenic Protein Evaluation
PPAR-γ, ADP, and LP Expression Evaluation by Western Blotting
ADP and LP Secretion Evaluation by ELISA Assay
3. Discussion
4. Materials and Methods
4.1. HA-Based Materials
4.2. Materials
4.3. Adipose Tissue
4.4. Rheological Characterization
4.4.1. Sample Preparation
4.4.2. Rheological Measurements
4.4.3. Stability to Enzymatic Degradation
4.5. Mesenchymal Stromal Cells Isolation from Human Adipose Tissue
Cell Characterization
4.6. Adipogenic Differentiation
4.6.1. Cellular Viability Assay
4.6.2. Oil Red O Staining
4.6.3. Gene Expression Analyses by qRT-PCR
4.6.4. Protein Expression Analyses
Western Blotting (WB)
ELISA Assay
4.7. Statistical Analyses
5. Conclusions
Supplementary Materials
Author Contributions
Funding
Institutional Review Board Statement
Informed Consent Statement
Data Availability Statement
Conflicts of Interest
References
- Si, Z.; Wang, X.; Sun, C.; Kang, Y.; Xu, J.; Wang, X.; Hui, Y. Adipose-derived stem cells: Sources, potency, and implications for regenerative therapies. Biomed. Pharmacother. 2019, 114, 108765. [Google Scholar] [CrossRef]
- Naderi, N.; Combellack, E.J.; Griffin, M.; Sedaghati, T.; Javed, M.; Findlay, M.W.; Wallace, C.G.; Mosahebi, A.; Butler, P.E.; Seifalian, A.M.; et al. The regenerative role of adipose-derived stem cells (ADSC) in plastic and reconstructive surgery. Int. Wound J. 2017, 14, 112–124. [Google Scholar] [CrossRef]
- Galderisi, U.; Giordano, A. The gap between the physiological and therapeutic roles of mesenchymal stem cells. Med. Res. Rev. 2014, 34, 1100–1126. [Google Scholar] [CrossRef]
- Bacakova, L.; Zarubova, J.; Travnickova, M.; Musilkova, J.; Pajorova, J.; Slepicka, P.; Kasalkova, N.S.; Svorcik, V.; Kolska, Z.; Motarjemi, H.; et al. Stem cells: Their source, potency and use in regenerative therapies with focus on adipose-derived stem cells—A review. Biotechnol. Adv. 2018, 36, 1111–1126. [Google Scholar] [CrossRef] [PubMed]
- Mehrabani, D.; Mehrabani, G.; Zare, S.; Manafi, A. Adipose-Derived Stem Cells (ADSC) and Aesthetic Surgery: A Mini Review. World J. Plast. Surg. 2013, 2, 65–70. [Google Scholar] [PubMed]
- Pearl, R.A.; Leedham, S.J.; Pacifico, M.D. The safety of autologous fat transfer in breast cancer: Lessons from stem cell biology. J. Plast. Reconstr. Aesthetic Surg. JPRAS 2012, 65, 283–288. [Google Scholar] [CrossRef]
- Zhao, Y.; Gao, J.; Lu, F. Human adipose-derived stem cell adipogenesis induces paracrine regulation of the invasive ability of MCF-7 human breast cancer cells in vitro. Exp. Ther. Med. 2013, 6, 937–942. [Google Scholar] [CrossRef] [PubMed]
- Rampler, E.; Egger, D.; Schoeny, H.; Rusz, M.; Pacheco, M.P.; Marino, G.; Kasper, C.; Naegele, T.; Koellensperger, G. The Power of LC-MS Based Multiomics: Exploring Adipogenic Differentiation of Human Mesenchymal Stem/Stromal Cells. Molecules 2019, 24, 3615. [Google Scholar] [CrossRef] [PubMed]
- Alessio, N.; Stellavato, A.; Squillaro, T.; Del Gaudio, S.; Di Bernardo, G.; Peluso, G.; De Rosa, M.; Schiraldi, C.; Galderisi, U. Hybrid complexes of high and low molecular weight hyaluronan delay in vitro replicative senescence of mesenchymal stromal cells: A pilot study for future therapeutic application. Aging 2018, 10, 1575–1585. [Google Scholar] [CrossRef]
- Kaleka, C.C.; Debieux, P.; Antonioli, E.; Zucconi, E.; Cohen, M.; Ferretti, M. Impact of Hyaluronic Acid on the Viability of Mesenchymal Cells Derived from Adipose Tissue Grown in Collagen Type I/III Membrane. Rev. Bras. Ortop. 2022, 57, 1022–1029. [Google Scholar]
- Zhu, Y.; Li, N.; Huang, M.; Bartels, M.; Dogné, S.; Zhao, S.; Chen, X.; Crewe, C.; Straub, L.; Vishvanath, L.; et al. Adipose tissue hyaluronan production improves systemic glucose homeostasis and primes adipocytes for CL 316,243-stimulated lipolysis. Nat. Commun. 2021, 12, 4829. [Google Scholar] [CrossRef] [PubMed]
- Fang, Z.; Lv, Y.; Zhang, H.; He, Y.; Gao, H.; Chen, C.; Wang, D.; Chen, P.; Tang, S.; Li, J.; et al. A multifunctional hydrogel loaded with two nanoagents improves the pathological microenvironment associated with radiation combined with skin wounds. Acta Biomater. 2023, 159, 111–127. [Google Scholar] [CrossRef] [PubMed]
- Stellavato, A.; Corsuto, L.; D’Agostino, A.; La Gatta, A.; Diana, P.; Bernini, P.; De Rosa, M.; Schiraldi, C. Hyaluronan Hybrid Cooperative Complexes as a Novel Frontier for Cellular Bioprocesses Re-Activation. PLoS ONE 2016, 11, e0163510. [Google Scholar] [CrossRef] [PubMed]
- Sakai, S.; Ohi, H.; Hotta, T.; Kamei, H.; Taya, M. Differentiation potential of human adipose stem cells bioprinted with hyaluronic acid/gelatin-based bioink through microextrusion and visible light-initiated crosslinking. Biopolymers 2018, 109, e23080. [Google Scholar] [CrossRef] [PubMed]
- Mineda, K.; Feng, J.; Ishimine, H.; Takada, H.; Doi, K.; Kuno, S.; Kinoshita, K.; Kanayama, K.; Kato, H.; Mashiko, T.; et al. Therapeutic Potential of Human Adipose-Derived Stem/Stromal Cell Microspheroids Prepared by Three-Dimensional Culture in Non-Cross-Linked Hyaluronic Acid Gel. Stem Cells Transl. Med. 2015, 4, 1511–1522. [Google Scholar] [CrossRef] [PubMed]
- Patel, M.; Koh, W.G. Composite Hydrogel of Methacrylated Hyaluronic Acid and Fragmented Polycaprolactone Nanofiber for Osteogenic Differentiation of Adipose-Derived Stem Cells. Pharmaceutics 2020, 12, 902. [Google Scholar] [CrossRef] [PubMed]
- Tremolada, C.; Colombo, V.; Ventura, C. Adipose Tissue and Mesenchymal Stem Cells: State of the Art and Lipogems® Technology Development. Curr. Stem Cell Rep. 2016, 2, 304–312. [Google Scholar] [CrossRef]
- La Gatta, A.; Stellavato, A.; Vassallo, V.; Di Meo, C.; Toro, G.; Iolascon, G.; Schiraldi, C. Hyaluronan and Derivatives: An In Vitro Multilevel Assessment of Their Potential in Viscosupplementation. Polymers 2021, 13, 3208. [Google Scholar] [CrossRef]
- Stillaert, F.B.; Di Bartolo, C.; Hunt, J.A.; Rhodes, N.P.; Tognana, E.; Monstrey, S.; Blondeel, P.N. Human clinical experience with adipose precursor cells seeded on hyaluronic acid-based spongy scaffolds. Biomaterials 2008, 29, 3953–3959. [Google Scholar] [CrossRef]
- Guo, J.; Guo, S.; Wang, Y.; Yu, Y. Adipose-derived stem cells and hyaluronic acid based gel compatibility, studied in vitro. Mol. Med. Rep. 2017, 16, 4095–4100. [Google Scholar] [CrossRef][Green Version]
- Stellavato, A.; La Noce, M.; Corsuto, L.; Pirozzi, A.V.A.; De Rosa, M.; Papaccio, G.; Schiraldi, C.; Tirino, V. Hybrid Complexes of High and Low Molecular Weight Hyaluronans Highly Enhance HASCs Differentiation: Implication for Facial Bioremodelling. Cell. Physiol. Biochem. 2017, 44, 1078–1092. [Google Scholar] [CrossRef]
- Scrima, M.; Merola, F.; Vito, N.; Pacchioni, D.; Vecchi, G.; Melito, C.; Iorio, A.; Giori, A.M.; Ferravante, A. Elucidations on the Performance and Reversibility of Treatment with Hyaluronic Acid Based Dermal Fillers: In vivo and in vitro Approaches. Clin. Cosmet. Investig. Dermatol. 2022, 15, 2629–2640. [Google Scholar] [CrossRef] [PubMed]
- Cassuto, D.; Cigni, C.; Bellia, G.; Schiraldi, C. Restoring Adipose Tissue Homeostasis in Response to Aging: Initial Clinical Experience with Profhilo Structura®. Gels 2023, 9, 614. [Google Scholar] [CrossRef] [PubMed]
- Zuk, P.A.; Zhu, M.; Ashjian, P.; De Ugarte, D.A.; Huang, J.I.; Mizuno, H.; Alfonso, Z.C.; Fraser, J.K.; Benhaim, P.; Hedrick, M.H. Human adipose tissue is a source of multipotent stem cells. Mol. Biol. Cell 2002, 13, 4279–4295. [Google Scholar] [CrossRef] [PubMed]
- Eto, H.; Suga, H.; Matsumoto, D.; Inoue, K.; Aoi, N.; Kato, H.; Araki, J.; Yoshimura, K. Characterization of structure and cellular components of aspirated and excised adipose tissue. Plast. Reconstr. Surg. 2009, 124, 1087–1097. [Google Scholar] [CrossRef] [PubMed]
- Casadei, A.; Epis, R.; Ferroni, L.; Tocco, I.; Gardin, C.; Bressan, E.; Sivolella, S.; Vindigni, V.; Pinton, P.; Mucci, G.; et al. Adipose tissue regeneration: A state of the art. J. Biomed. Biotechnol. 2012, 2012, 462543. [Google Scholar] [CrossRef] [PubMed]
- Drury, J.L.; Mooney, D.J. Hydrogels for tissue engineering: Scaffold design variables and applications. Biomaterials 2003, 24, 4337–4351. [Google Scholar] [CrossRef]
- Lapasin, R.; Segatti, F.; Mercuri, D.; De Conti, G.; Spagnul, C.; Fusi, S. Rheological studies dedicated to the development of a novel injectable polymeric blend for viscosupplementation treatment. Chem. Biochem. Eng. Q. 2015, 29, 511–518. [Google Scholar] [CrossRef]
- La Gatta, A.; Aschettino, M.; Stellavato, A.; D’Agostino, A.; Vassallo, V.; Bedini, E.; Bellia, G.; Schiraldi, C. Hyaluronan Hydrogels for Injection in Superficial Dermal Layers: An In Vitro Characterization to Compare Performance and Unravel the Scientific Basis of Their Indication. Int. J. Mol. Sci. 2021, 22, 6005. [Google Scholar] [CrossRef]
- Stosich, M.S.; Bastian, B.; Marion, N.W.; Clark, P.A.; Reilly, G.; Mao, J.J. Vascularized adipose tissue grafts from human mesenchymal stem cells with bioactive cues and microchannel conduits. Tissue Eng. 2017, 13, 2881–2890. [Google Scholar] [CrossRef]
- Young, D.A.; Christman, K.L. Injectable biomaterials for adipose tissue engineering. Biomed. Mater. 2012, 7, 024104. [Google Scholar] [CrossRef] [PubMed]
- Kablik, J.; Monheit, G.D.; Yu, L.; Chang, G.; Gershkovich, J. Comparative physical properties of hyaluronic acid dermal fillers. Dermatol. Surg. 2009, 35 (Suppl. S1), 302–312. [Google Scholar] [CrossRef] [PubMed]
- Kochhar, A.; Wu, I.; Mohan, R.; Condé-Green, A.; Hillel, A.T.; Byrne, P.J.; Elisseeff, J.H. A comparison of the rheologic properties of an adipose-derived extracellular matrix biomaterial, lipoaspirate, calcium hydroxylapatite, and cross-linked hyaluronic acid. JAMA Facial Plast. Surg. 2014, 16, 405–409. [Google Scholar] [CrossRef] [PubMed]
- Sundaram, H.; Voigts, B.; Beer, K.; Meland, M. Comparison of the rheological properties of viscosity and elasticity in two categories of soft tissue fillers: Calcium hydroxylapatite and hyaluronic acid. Dermatol. Surg. 2010, 36 (Suppl. S3), 1859–1865. [Google Scholar] [CrossRef]
- Rahman, M.; Temple, J.R.; Breitkopf, C.R.; Berenson, A.B. Racial differences in body fat distribution among reproductive-aged women. Metab. Clin. Exp. 2009, 58, 1329–1337. [Google Scholar] [CrossRef]
- Siersbaek, R.; Nielsen, R.; Mandrup, S. PPAR-gamma in adipocyte differentiation and metabolism-novel insights from genome-wide studies. FEBS Lett. 2010, 584, 3242–3249. [Google Scholar] [CrossRef]
- Rosen, E.D.; Sarraf, P.; Troy, A.E.; Bradwin, G.; Moore, K.; Milstone, D.S.; Spiegelman, B.M.; Mortensen, R.M. PPAR gamma is required for the differentiation of adipose tissue in vivo and in vitro. Mol. Cell 1999, 4, 611–617. [Google Scholar] [CrossRef]
- Simons, P.J.; van den Pangaart, P.S.; van Roomen, C.P.; Aerts, J.M.; Boon, L. Cytokine-mediated modulation of leptin and adiponectin secretion during in vitro adipogenesis: Evidence that tumor necrosis factor-alpha- and interleukin-1beta-treated human preadipocytes are potent leptin producers. Cytokine 2005, 32, 94–103. [Google Scholar] [CrossRef]
- Livak, K.J.; Schmittgen, T.D. Analysis of relative gene expression data using real-time quantitative PCR and the 2(-Delta Delta C(T)) Method. Methods 2001, 25, 402–408. [Google Scholar] [CrossRef]
- Bradford, M.M. A rapid and sensitive method for the quantitation of microgram quantities of protein utilizing the principle of protein-dye binding. Anal. Biochem. 1976, 72, 248–254. [Google Scholar] [CrossRef]








| Sample | G′ (Pa) at 1 Hz | G″ (Pa) at 1 Hz | η* (Pa·s) at 1 Hz |
|---|---|---|---|
| Pure HL 90 | 95 ± 10 *# | 105 ± 11 *# | 23 ± 2 *# |
| Fat/HL 90 1:3 | 5000 ± 1600 | 910 ± 320 | 810 ± 260 |
| Fat/HL 90 1:1 | 6500 ± 2100 | 1200 ± 410 | 1000 ± 330 |
| Fat/HL 90 3:1 | 8150 ± 2800 | 1300 ± 560 | 1300 ± 440 |
| Pure fat | 11,500 ± 5300 | 2000 ± 1300 | 18,000 ± 870 |
| Sample | Residual G′ (%) | Residual G″ (%) | ||||
|---|---|---|---|---|---|---|
| 5 min | 15 min | 25 min | 5 min | 15 min | 25 min | |
| HL 90 | 76.9 ± 10.9 | 51.3 ± 8.3 | 37.8 ± 4.7 | 86.5 ± 10.9 | 68.5 ± 10.8 | 55.2 ± 9.2 |
| HHA | 49.6 ± 2.70 | 11.3 ± 2.2 | 4.8 ± 0.7 | 68.3 ± 1.6 | 26.0 ± 3.3% | 12.0 ± 2.3 |
| Gene | Forward Primer | Reverse Primer |
|---|---|---|
| GAPDH | 5′-TGCACCACCAACTGCTTAGC-3′ | 5′-GGCATGGACTGTGGTCATGAG-3′ |
| PPAR-γ | 5′-TCGAGGACAGCGAGGCC-3′ | 5′-TCGAGGGTGTAGCGTGTAGAG-3′ |
| ADP | 5′-CCGCTTACATGTATCACTC-3′ | 5′-ATACTGGTCGTAGGTGAAGA-3′ |
| LEPTIN | 5-CCATCCTGGGAAGGAAAATG-3′ | 5-CCCTTAACGTAGTCCTTGCAG-3′ |
Disclaimer/Publisher’s Note: The statements, opinions and data contained in all publications are solely those of the individual author(s) and contributor(s) and not of MDPI and/or the editor(s). MDPI and/or the editor(s) disclaim responsibility for any injury to people or property resulting from any ideas, methods, instructions or products referred to in the content. |
© 2024 by the authors. Licensee MDPI, Basel, Switzerland. This article is an open access article distributed under the terms and conditions of the Creative Commons Attribution (CC BY) license (https://creativecommons.org/licenses/by/4.0/).
Share and Cite
Vassallo, V.; Di Meo, C.; Alessio, N.; La Gatta, A.; Ferraro, G.A.; Nicoletti, G.F.; Schiraldi, C. Highly Concentrated Stabilized Hybrid Complexes of Hyaluronic Acid: Rheological and Biological Assessment of Compatibility with Adipose Tissue and Derived Stromal Cells towards Regenerative Medicine. Int. J. Mol. Sci. 2024, 25, 2019. https://doi.org/10.3390/ijms25042019
Vassallo V, Di Meo C, Alessio N, La Gatta A, Ferraro GA, Nicoletti GF, Schiraldi C. Highly Concentrated Stabilized Hybrid Complexes of Hyaluronic Acid: Rheological and Biological Assessment of Compatibility with Adipose Tissue and Derived Stromal Cells towards Regenerative Medicine. International Journal of Molecular Sciences. 2024; 25(4):2019. https://doi.org/10.3390/ijms25042019
Chicago/Turabian StyleVassallo, Valentina, Celeste Di Meo, Nicola Alessio, Annalisa La Gatta, Giuseppe Andrea Ferraro, Giovanni Francesco Nicoletti, and Chiara Schiraldi. 2024. "Highly Concentrated Stabilized Hybrid Complexes of Hyaluronic Acid: Rheological and Biological Assessment of Compatibility with Adipose Tissue and Derived Stromal Cells towards Regenerative Medicine" International Journal of Molecular Sciences 25, no. 4: 2019. https://doi.org/10.3390/ijms25042019
APA StyleVassallo, V., Di Meo, C., Alessio, N., La Gatta, A., Ferraro, G. A., Nicoletti, G. F., & Schiraldi, C. (2024). Highly Concentrated Stabilized Hybrid Complexes of Hyaluronic Acid: Rheological and Biological Assessment of Compatibility with Adipose Tissue and Derived Stromal Cells towards Regenerative Medicine. International Journal of Molecular Sciences, 25(4), 2019. https://doi.org/10.3390/ijms25042019

